



艾滋病,全称为获得性免疫缺陷综合征(acquired immunodeficiency syndrome,AIDS),是由人类免疫缺陷病毒(human immunodeficiency virus,HIV)感染引起的一种传染病。其特征是HIV特异性侵犯CD4 + T淋巴细胞,造成CD4 + T淋巴细胞数量下降和功能进行性破坏以及感染和癌变。临床初始表现为无症状病毒感染者,继而出现发热、消瘦、腹泻、鹅口疮和全身淋巴结肿大,最后并发各种严重的机会性感染和机会性肿瘤,成为艾滋病。在联合抗艾滋病病毒疗法问世之前,艾滋病死亡率极高,几乎100%的艾滋病患者在发病后的两年内死亡;但1996年以来,由于高效抗逆转录病毒治疗(highly active anti-retroviral therapy,HAART,俗称“鸡尾酒疗法”)的出现,艾滋病已成为类似高血压、糖尿病等不能根治但可以长期控制的慢性疾病,研究显示,患者在有效的抗病毒治疗下,其平均寿命能延长数十年。
艾滋病的诊疗经过通常包括以下环节:
(1)病史询问
1)艾滋病到发病期时最常见的临床表现为发热、消瘦、干咳/气短、腹泻和鹅口疮,所以,医生如遇到上述情况时一定要考虑到艾滋病的可能,要仔细询问有无感染HIV的流行病学史,并建议进行HIV抗体检测。
2)由于艾滋病发病时常出现各种严重的机会性感染,所以对无明显原因出现的各种机会性感染的患者也要考虑有无可能是艾滋病。
3)流行病学史的询问:由于HIV感染后有数年的无症状期,所以早期诊断非常困难,而流行病学史的询问有助于早期发现感染者,建议对于性乱者和性病患者,以及静脉吸毒者要常规筛查HIV抗体。
(2)体格检查:
由于艾滋病最常累及的系统是皮肤黏膜淋巴系统,所以对患者除进行全面的体格检查,要重点检查口腔、皮肤,尤其注意有无鹅口疮。
(3)实验室检查
1)HIV感染诊断直接相关的检查:HIV抗体检查,常用方法有酶联免疫吸附试验(ELISA)和蛋白印迹法(WB)测定血清抗体。ELISA敏感性好,且操作简便,但有一定的假阳性,故目前用作初筛检查。WB是目前最特异、敏感的证实HIV感染的方法,仅用作确认试验。
2)判断病情严重程度和疗效的检查:多在HIV抗体检查阳性后才进行。包括HIV病毒定量检测,目前最常用的方法是血浆病毒RNA定量检测(又称血浆病毒载量),该法敏感、准确。T淋巴细胞亚群检测,目前临床上用的方法是用流式细胞仪检测T淋巴细胞亚群。HIV感染后,CD4 + T淋巴细胞数进行性减少,CD8 + T淋巴细胞数在HIV感染的早期增多,艾滋病期减少。测定CD4 + 和CD8 + 淋巴细胞亚群,即纯真细胞和记忆CD4 + 细胞亚群、激活亚群、功能亚群、凋亡亚群、记忆和纯真亚群,能进一步判断病情和预后。
(4)辅助检查:
患者如出现各种临床表现或机会性感染,应进行相关的检查,如无任何表现,也要进行胸部X线和心电图等检查。
(5)临床处理:
保密和谈话。
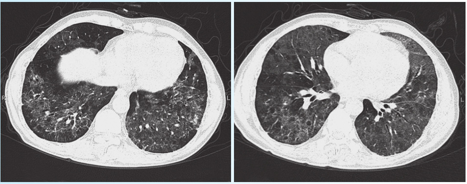
患者,男性,35岁,因“发热伴呼吸困难2个月”来门诊就诊。患者2013年12月初无诱因出现发热,最高体温39.0℃,伴胸闷及憋气,偶有咳黏痰,同时伴有头痛、膝关节及腰部疼痛,无其他不适,就诊于当地医院,查血常规:WBC 12.33×10 9 /L,中性粒细胞百分比82.7%,Hb 149g/L,PLT 162×10 9 /L。肝肾功能、尿常规均(−)。肺CT示双肺弥漫性病变(图2-2-1)。考虑肺部感染,予抗炎治疗(不详),无好转。既往体健。查体:呼吸急促,呼吸30次/min,SpO 2 90%,双肺呼吸音粗,未闻及干湿啰音,心腹查体(−)。
图2-2-1 肺部CT图像
该患者存在发热、胸闷、憋气、咳嗽,白细胞及中性粒细胞增多,胸部CT示双肺病变,考虑肺部感染诊断明确。患者发病地点在社区,而非医疗机构,所以考虑社区获得性肺炎。
1.症状 咳嗽、咳痰、伴或不伴胸痛。
2.发热。
3.查体 肺部啰音或肺实变体征。
4.血白细胞计数升高或降低。
5.X线胸片示片状、斑片状或间质状。
上述1~4条具备一项联合5可诊断肺炎。
肺炎可由细菌、真菌、支原体、衣原体、病毒、寄生虫等病原微生物引起。
患者肺部感染经抗生素治疗效果不佳,考虑以下原因:①治疗不足,为治疗方案未覆盖的细菌感染或细菌耐药;②少见病原体(结核分枝杆菌、真菌、卡氏肺孢菌、肺吸虫等);③出现并发症(感染性或非感染性);④非感染性疾病。
进一步完善以下检查:
1.痰标本采集及送检。需给患者宣教如何留取痰标本,清晨,嘱其先漱口,并深咳嗽,留取脓性痰送检。无痰患者可用高渗盐水雾化导痰。
合格痰:鳞状上皮细胞<10个/低倍视野,多核白细胞>25个/低倍视野,或两者比例<1∶2.5。
痰送检:痰细菌涂片、痰真菌涂片、痰抗酸染色及痰细菌培养、痰真菌培养、痰结核培养、痰六胺银染色。
2.血培养。宜在寒战前30~60分钟和高热发作时采血,并于24~48小时内进行培养。分别抽血3次,成人每次采血量不应少于10ml。
3.血清支原体抗体、衣原体抗体、军团菌抗体、CMV IgM、CMV pp65、CMV DNA、EBV DNA。
4.复查胸部CT。
5.注意患者目前呼吸急促,存在低氧血症,可能为重症肺炎,建议患者急诊就诊。
衣原体抗体:单份血清IgM抗体效价≥1∶16,IgG抗体效价≥1∶512或双份血清(急性期和恢复期)衣原体抗体效价升高4倍以上对诊断衣原体肺炎有辅助意义。
支原体抗体:单次血清抗体效价≥1∶64或双份血清的抗体效价升高4倍或以上对诊断支原体肺炎有辅助意义。
军团菌抗体:单份血清的抗体效价达到1∶128或急性期恢复期双份血清的抗体效价增高4倍以上提示军团菌感染。
CMV pp65抗原检测:巨细胞病毒感染后36~48小时可阳性。
CMV IgM:阳性表明新近CMV感染、潜伏的病毒被激活或新生儿先天性感染。
CMV DNA:阳性提示CMV感染,有该病毒复制,但不一定是显性感染。
EBV DNA:阳性提示EBV感染。
痰六胺银染色:阳性提示肺孢子菌肺炎。
结果回报:痰六胺银染色可见较多肺孢子菌包囊,痰细菌培养、真菌培养、结核培养、支原体抗体、衣原体抗体、军团菌抗体均(−)。肺孢子菌包囊的姬氏染色和痰六胺银染色结果见图2-2-2。
图2-2-2 肺孢子菌染色图
A.包囊姬氏染色;B.痰六胺银染色。
本患者痰六胺银染色阳性,肺孢子菌肺炎诊断明确。
肺孢子菌病是由卡氏肺孢菌引起的呼吸系统机会性感染。卡氏肺孢菌长期以来被认为属于原虫孢子菌纲,但目前已明确将其归为真菌。卡氏肺孢菌体寄生在肺泡内,感染后临床特征为发热、干咳、呼吸急促、呼吸困难和发绀等,症状呈进行性加重,病死率高。
肺孢子菌病为机会性感染,多见于免疫功能低下的患者:①早产儿或营养不良的婴幼儿;②先天性免疫缺陷;③获得性免疫缺陷,包括艾滋病、白血病、淋巴瘤和其他恶性肿瘤,结缔组织病或器官移植而大量使用激素、细胞毒性药物和放疗,均可引起免疫抑制。
1.起病隐匿或亚急性,干咳,气短和活动后加重,可有发热、发绀,严重者发生呼吸窘迫。
2.肺部阳性体征少,或可闻及少量散在的干湿啰音。体征与疾病症状的严重程度往往不成比例。
3.胸部X线检查可见双肺从肺门开始的弥漫性网状结节样间质浸润,有时呈毛玻璃状阴影。
4.血气分析呈现低氧血症,严重病例动脉血氧分压(PaO 2 )明显降低,常在60mmHg以下。
5.血乳酸脱氢酶常升高。
6.确诊依靠病原学检查如痰液或支气管肺泡灌洗/肺组织活检等发现肺孢子菌的包囊或滋养体。
本患者开始给予治疗:泼尼松,15mg,3次/d,口服治疗。患者体温逐渐降至正常,胸闷、憋气症状好转。
患者为成年患者,无激素及免疫抑制剂使用史,需进一步检查患者的免疫功能,包括体液免疫功能(B淋巴细胞数量和免疫球蛋白)、细胞免疫功能(T淋巴细胞亚群),并进一步询问个人史,是否有非婚性生活史,是否患艾滋病。
进一步追问患者,从事建筑行业工作,有非婚双性性行为。患者存在非婚性行为,需警惕艾滋病。注意:多数患者会隐瞒非婚性行为个人史,故即使患者否认,亦需警惕艾滋病。
HIV属于逆转录病毒科慢病毒属中的人类慢病毒组,为直径100~120nm的球形颗粒,由核心和包膜两部分组成(图2-2-3)。核心包括两条单股RNA链、核心结构蛋白和病毒复制所必需的酶类,含有逆转录酶(RT,P51/P66),整合酶(INT,P32)和蛋白酶(PI,P10)。核心外面为病毒衣壳蛋白(P24,P17)。病毒的最外层为包膜,其中嵌有外膜糖蛋白GP120和跨膜糖蛋白GP41。
图2-2-3 HIV模式图
RNA.核糖核酸;GP.膜糖蛋白。
根据HIV基因差异,分为HIV-1型和HIV-2型,两型间氨基酸序列的同源性为40%~60%。目前全球流行的主要是HIV-1型。抵抗力弱,对乙肝病毒有效的消毒剂均可杀死HIV。变异性强。靶细胞结合,形成互补DNA,整合,产生病毒RNA,形成新的病毒。
HIV主要存在于感染者和患者的血液、精液、阴道分泌物、胸腹水、脑脊液和乳汁中。经以下三种途径传播:性接触(包括同性、异性和双性性接触)、血液及血制品(包括共用针具静脉吸毒、介入性医疗操作等)和母婴传播(包括经胎盘、分娩时和哺乳传播)。握手、拥抱、礼节性亲吻、同吃同饮等日常生活接触不会传播艾滋病。HIV感染高危人群有:男同性恋者、静脉药物依赖者、与HIV携带者经常有性接触者。
HIV Ag/Ab结果:待确认。免疫球蛋白、补体均(−)。
由于大多数HIV感染者在病毒进入身体的3个月内血清抗体转为阳性,因此,测定血清抗体是目前确定有无HIV感染的最简便、快速而有效的方法。常用方法有酶联免疫吸附试验(ELISA)和蛋白印迹法(WB)。ELISA敏感性好,且操作简便,但有一定的假阳性,故目前用作初筛检查。WB是目前最特异、敏感的证实HIV感染的方法,但操作较ELISA稍复杂,仅用作确认试验。一般若初筛检查为阳性,多记录为待确认,血液标本送到疾病控制预防中心进一步做确认试验。本患者HIV抗体初筛阳性,目前高度怀疑本患者为艾滋病。
HIV/AIDS的实验室检测主要包括HIV抗体、HIV核酸、T淋巴细胞亚群等。HIV-1/2抗体检测是HIV感染诊断的金标准;HIV核酸定量(病毒载量)检测和CD4 + T淋巴细胞计数是判断疾病进展、临床用药、疗效和预后的两项重要指标。
病毒载量测定的临床意义包括预测疾病进程、提供开始抗病毒治疗的依据、评估治疗效果、指导治疗方案调整,也可作为HIV感染早期诊断的参考指标。
CD4 + T淋巴细胞是HIV感染最主要的靶细胞,HIV感染人体后,出现CD4 + T淋巴细胞进行性减少,CD4 + /CD8 + T淋巴细胞比值倒置现象,细胞免疫功能受损。CD4 + T淋巴细胞计数的临床意义是:了解机体的免疫状态和病程进展、确定疾病分期和治疗时机、判断治疗效果和HIV感染者的临床合并症。
检查结果回报:HIV-1 病毒载量 191679copies/ml。T、B 淋巴细胞亚群:CD4 + T 50/μl,CD8 + T 980/μl,CD8 + CD38 + T/CD8 + T 97.7%,CD8 + DR + T/CD8 + T 76.7%。CD4 + T/CD8 + T 5%。HIV确证试验:阳性。本例患者艾滋病诊断明确。
注意报传染病卡。
诊断原则:HIV/AIDS的诊断需结合流行病学史(包括不安全性生活史、静脉注射毒品史、输入未经抗HIV抗体检测的血液或血液制品、HIV抗体阳性者所生子女或职业暴露史等)、临床表现和实验室检查等进行综合分析,慎重作出诊断。根据2018年中华医学会制定的我国《艾滋病诊疗指南》规定:
1.急性期 诊断标准:患者近期内有流行病学史和临床表现,结合实验室HIV抗体由阴性转为阳性即可诊断,或仅实验室检查HIV抗体由阴性转为阳性即可诊断。
2.无症状期 诊断标准:有流行病学史,结合HIV抗体阳性即可诊断,或仅实验室检查HIV抗体阳性即可诊断。
3.艾滋病期 原因不明的持续不规则发热38℃以上,>1个月;腹泻(大便次数多于3次/d),>1个月;6个月之内体重下降10%以上;反复发作的口腔白念珠菌感染;反复发作的单纯疱疹病毒感染或带状疱疹病毒感染;肺孢子菌肺炎(PCP);反复发生的细菌性肺炎;活动性结核或非结核分枝杆菌病;深部真菌感染;中枢神经系统病变;中青年人出现痴呆;活动性巨细胞病毒感染;弓形虫脑病;青霉菌感染;反复发生的败血症;皮肤黏膜或内脏的卡波西肉瘤、淋巴瘤。
诊断标准:有流行病学史、实验室检查HIV抗体阳性,加上述各项中的任何一项,即可诊为艾滋病。或者HIV抗体阳性,而CD4 + T淋巴细胞数<200/mm 3 ,也可诊断为艾滋病。
艾滋病常见的肺部机会性感染有肺孢子菌肺炎、巨细胞病毒肺炎、反复发生的细菌性肺炎、活动性结核或非结核分枝杆菌病、肺部真菌感染等。
结果回报:CMV DNA 6000copies/ml,EBV DNA、梅毒螺旋体颗粒凝集试验(TPPA)、快速血浆反应素试验(RPR)均(−)。
注意: 患者巨细胞病毒感染诊断明确。需请眼科会诊。
巨细胞病毒(CMV)感染是艾滋病患者最常见的疱疹病毒感染。巨细胞病毒可侵犯艾滋病患者的多个器官系统,包括眼睛、肺、消化系统、中枢神经系统等,其中巨细胞病毒视网膜脉络膜炎是艾滋病患者最常见的巨细胞病毒感染。
CD4 + T淋巴细胞计数<200/mm 3 的成人和青少年,包括孕妇及接受HAART者需要进行预防性治疗。
药物选择:首选复方磺胺甲
唑(SMZ-TMP),1片/d。若患者对该药不能耐受,替代药品有氨苯砜。肺孢子菌肺炎患者经HAART使CD4
+
T淋巴细胞增加到>200/mm
3
并持续≥6个月时,可停止预防用药。如果CD4
+
T淋巴细胞计数又降低到<200/mm
3
时,应重新开始预防用药。
艾滋病合并结核病的诊断需要结合临床表现、辅助检查、病理学检查及影像学检查结果来进行综合判断,尤其要注意发生于HIV感染者的结核病在临床表现及诊断方面有其自身特点,不能将一般结核病的诊断方法简单地套用于艾滋病合并结核病的诊断中,在进行诊断时应注意患者的免疫功能状态,因为患者细胞缺陷程度对患者的临床表现及诊断方法的敏感性与特异性等方面存在一定影响。
临床表现为局灶或弥漫性中枢神经系统损害。头颅CT呈单个或多个低密度病灶,增强扫描呈环状或结节样增强,周围一般有水肿带。MRI表现为颅内多发长T 1 和长T 2 信号。确诊依赖脑活检。
临床上常见的是念珠菌感染和新生隐球菌感染。诊断依靠临床表现或感染部位发现病原体。
发现感染时就建议治疗,在开始HAART前,如果患者存在严重的机会性感染和处于既往慢性疾病急性发作期,应控制病情稳定后,再开始治疗。
在抗病毒治疗过程中要定期(每3~6个月)门诊随访,进行临床评估和实验室检测,以评价治疗的效果,及时发现抗病毒药物的副反应,以及病毒耐药性是否产生等,必要时更换药物以保证抗病毒治疗的成功。
抗病毒治疗的有效性主要通过以下三方面进行评估:病毒学指标、免疫学指标和临床症状,病毒学指标的改变是最重要的指标。
(1)病毒学指标:
大多数患者抗病毒治疗后血浆病毒载量4周内应下降1个数量级以上,在治疗后的3~6个月病毒载量应达到检测不到的水平。
(2)免疫学指标:
在实施HAART 3个月后,CD4 + T淋巴细胞数与治疗前相比增加了30%或在治疗后1年CD4 + T淋巴细胞数增长100/mm 3 ,提示治疗有效。
(3)临床症状:
反映抗病毒治疗效果的最敏感的一个指标是体重增加,对于儿童可观察身高、营养及发育改善情况。体重增加后机会性感染的发病率和艾滋病的死亡率可以大大降低。在开始抗病毒治疗后最初的3个月出现的机会性感染应与免疫重建综合征相鉴别。
病毒耐药是导致抗病毒治疗失败的主要原因之一,对抗病毒疗效不佳或失败者可行耐药性检测。
抗病毒药物的副作用及耐受性影响患者的服药依从性,进而影响抗病毒治疗的成败,所以适时监测并及时处理药物的副作用对于治疗效果至关重要。轻微的药物副作用可通过对症处理得到缓解,对于比较严重的副反应则需替换药物和调整方案。
由于缺乏根除HIV的药物和预防性疫苗,HIV/AIDS的预防在防止艾滋病传播中就显得尤其重要。目前HIV/AIDS的预防主要是采取以切断传染途径为主的综合性预防措施:关键是洁身自爱,提倡安全的性生活,远离毒品,加强血制品管理,切断母婴传播。
临床工作者在救治艾滋病患者时应注意:采血和输液时应戴手套;艾滋病患者用过的空针、针头、输液器等物品应单独存放在密闭、不易被刺破的容器内,一次性处理。如果不慎被污染针头刺破,注意事项及应急处理如下:
(1)意外损伤的感染率不到1%(有报道为0.33%)。
(2)立即将受伤局部血液挤出,并以酒精进行局部消毒。
(3)在伤后的48小时内(最好在1~2小时)进行预防用药。
(4)在伤后的6周、12周、6个月时分别进行有关血清学检查。
(李太生)
[1] 李兰娟,任红.传染病学.9版.北京:人民卫生出版社,2018.
[2] 中华医学会感染病学分会艾滋病学组.中国艾滋病诊疗指南(2021版).中国艾滋病性病杂志,2021,27(11):1182.