



鼻腔鼻窦炎性病变种类繁多,根据发病部位可分为鼻炎、鼻窦炎。根据病程可分为急性、慢性。根据病因可分为细菌性、病毒性、真菌性、变态反应性等。常见病原菌包括肺炎双球菌、流感嗜血杆菌、葡萄球菌、类杆菌属和毛霉菌、曲霉菌及白念珠菌等真菌。
鼻腔鼻窦炎症的影像诊断思路包括定位诊断、定性诊断及定量诊断。
首先是定位诊断,即确定病变的起源部位,判断病变起源于鼻腔或是鼻窦,组织学起源是黏膜、窦壁骨质或血管、淋巴等其他组织。
其次是定性诊断,根据影像学特征包括病变的大小、形态、密度或/和信号、边缘、强化程度、骨质及邻近结构等的变化进行判断。其中,密度和信号在定性诊断中至关重要,炎症、息肉在T 2 WI通常为高信号,而真菌性炎的T 2 WI为极低信号,变应性真菌性炎症和真菌球呈高密度。增强扫描主要反映病变的血供情况,鼻部炎性病变主要表现为边缘黏膜强化。骨质改变包括有吸收变薄、增生硬化、受压移位、侵蚀破坏等表现,如慢性炎症主要表现为骨质增生硬化,慢性侵袭性炎症表现为骨质侵蚀破坏伴残存骨壁增生硬化,黏液囊肿窦壁则为吸收变薄、受压移位。鼻部侵袭性炎性病变常侵犯邻近结构,需要注意观察的邻近结构包括翼腭窝、颞下窝、海绵窦、眼眶及前颅窝。
最后为定量诊断,鼻腔鼻窦形态不规则,毗邻眼眶、前中颅底,结构重要且复杂,准确判断病变与视神经、海绵窦及颅底孔道走行神经的关系,不仅有助于明确诊断,而且对临床选择治疗方案及预后、随访至关重要。
1.概念
急性鼻窦炎多继发于急性鼻炎,病程小于4周,有炎性反应,鼻窦黏膜肿胀,可出现气-液平面。
2.人口统计学特点
中年人多见,男女比例约为1∶1。
3.病因及流行病学
病因不明,与多种因素有关,包括病原体感染、变应性反应、解剖结构异常及全身因素等,发病率为5%~15%。
1.大体病理
黏膜水肿,分泌物呈黏液性或脓性。
2.组织学表现
显微镜下见黏膜上皮细胞增生,血管扩张,黏膜及黏膜下层炎性细胞浸润,间质水肿,腺体增生,潴留囊肿形成。
常见症状有持续性鼻塞、脓涕、后吸性分泌物、头痛和面部疼痛,可伴发热。其中前组鼻窦炎多致头面部胀痛,后组鼻窦炎胀痛多位于头颅深部。
1.最佳诊断线索
鼻窦黏膜增厚,气-液平面。
2.发生部位
上颌窦最常见,其次为筛窦,以多个窦腔受累多见。
3.形态学表现
规则或不规则。
4.CT表现
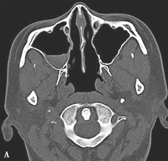
①平扫表现:鼻窦黏膜增厚,伴黏液或脓液聚集时,可见气-液平面(图1-3-19)。严重者黏膜显著增厚,渗出液使窦腔实变,内夹杂气泡影。若感染不及时控制,窦壁骨质吸收、破坏,易形成骨髓炎,或向邻近结构蔓延引起蜂窝织炎。②增强扫描表现:边缘黏膜明显强化。
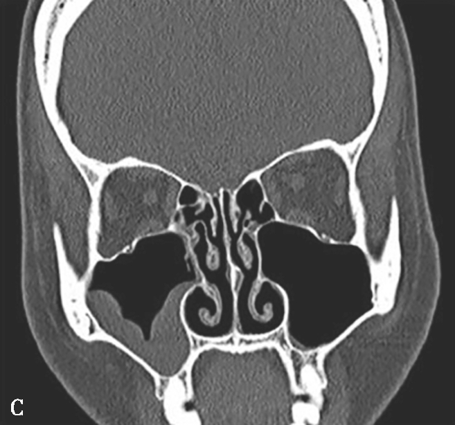
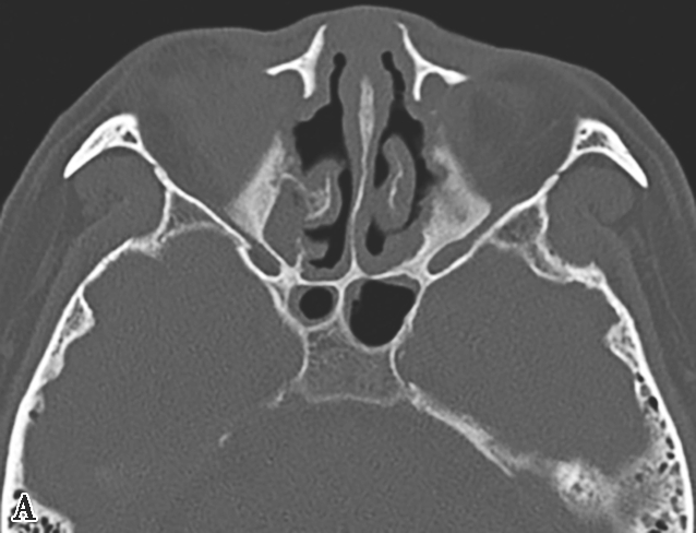
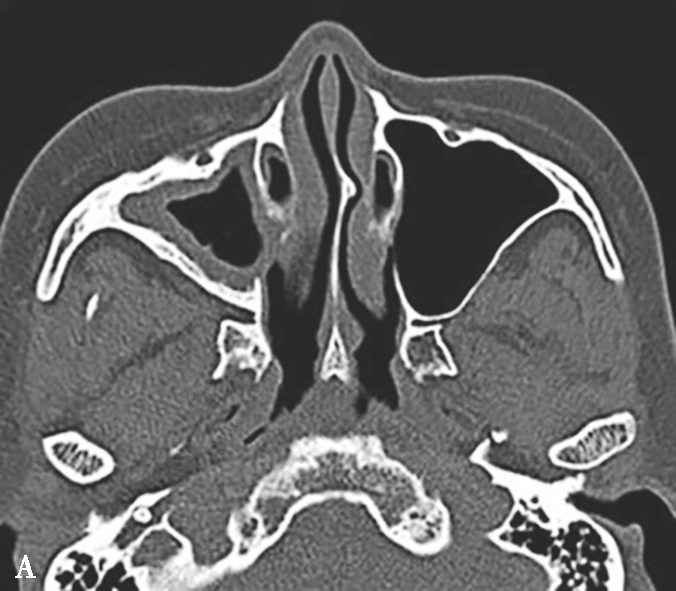
图1-3-19 急性鼻窦炎
A.CT横断面骨窗,示右侧上颌窦内软组织密度影,可见气-液平面;B、C.横断面及冠状面骨窗,示右侧上颌窦黏膜增厚
5.MRI表现
①T 1 WI表现:低信号多见,亦可为等或高信号。②T 2 WI表现:高信号多见,亦可为等或低信号,依分泌物内自由水与蛋白质含量而定。信号可不均匀。③增强扫描表现:边缘黏膜明显强化。
6.最佳影像学检查方法选择
CT是首选的影像检查方法,MRI为补充检查方法,MRI增强扫描有助于观察脑膜、脑实质等邻近结构的受累情况。
1.鼻窦肿瘤
窦腔膨胀改变明显,实性成分不同程度强化,窦壁骨质变形、吸收或骨质破坏。
2.真菌性鼻窦炎
上颌窦多见,病变内部多合并点、条状钙化。
药物治疗无效,需鼻内镜手术,最佳方案为两者结合。鼻内镜术后约半数患者复发,与鼻窦炎的病理类型有关。
1.急性鼻炎病史,临床表现为持续性鼻塞、脓涕,头部胀痛等。
2.鼻窦黏膜增厚、强化,窦腔内气-液平面,窦腔膨胀性改变不显著。
(王 倩 付 琳)
1.概念
慢性鼻窦炎病程大于3个月,由急性鼻窦炎治疗不及时或不彻底,反复发作迁延而致。由于反复感染,鼻窦黏膜增生、息肉样肥厚、部分萎缩和纤维化,可形成黏膜下囊肿,窦壁骨质硬化、肥厚。
2.人口统计学特点
中年人多见,男女比例约为1∶1。
3.病因
与多种因素有关,包括病原体感染、变应性反应、解剖结构异常及全身因素等。过敏因素是主要原因。
1.大体病理
黏膜水肿,分泌物呈黏液性或脓性,可伴多发性息肉。
2.组织学表现
显微镜下见黏膜上皮细胞增生,血管扩张,黏膜及黏膜下层炎性细胞浸润,间质水肿,腺体增生,潴留囊肿形成。
持续性鼻阻、反复性脓涕、后吸性分泌物和鼻出血,严重者可出现嗅觉减退、头痛和面部压痛。
1.最佳诊断线索
鼻窦黏膜增厚,CT或MRI增强后周边黏膜强化,窦壁骨质增生硬化、肥厚。
2.发生部位
上颌窦最常见,其次为筛窦,以多个窦腔受累多见。
3.形态学表现
规则或不规则。
4.CT表现
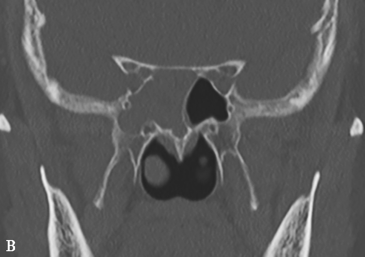
①平扫表现:鼻窦黏膜增厚,轻度2~5mm,中度5~10mm,重度> 10mm。黏膜下囊肿可见。严重者窦腔实变。窦壁骨质硬化、肥厚(图1-3-20A~C)。②增强扫描表现:边缘黏膜明显强化。
5.MRI表现
①T 1 WI表现:低信号多见,亦可为等或高信号。②T 2 WI表现:高信号多见,亦可为等或低信号,依分泌物内自由水与蛋白质含量而定。信号可不均匀。③增强扫描表现:边缘黏膜明显强化(图1-3-20D~F)。
图1-3-20 慢性鼻窦炎
A~C.横断面、冠状面及矢状面CT平扫,示右侧额窦、上颌窦黏膜增厚,窦腔内可见软组织密度影,窦口鼻道复合体狭窄,右侧上颌窦窦壁骨质增生硬化、肥厚;D~F.同一患者横断面MR T 2 WI、T 1 WI及横断面增强T 1 WI,示右侧上颌窦黏膜增厚,呈T 1 WI等信号、T 2 WI高信号影,增强扫描示右侧上颌窦黏膜线样强化
6.最佳影像学检查方法选择
CT是首选的影像检查方法,MRI为补充检查方法,MRI增强扫描有助于观察脑膜、脑实质等邻近结构的受累情况。
1.真菌性鼻窦炎
上颌窦多见,病变内部多合并点、条状钙化。
2.鼻息肉
鼻腔和鼻窦软组织密度影,鼻甲为软组织影取代,窦壁变形,窦腔膨胀。
3.韦氏(Wegener)肉芽肿
鼻甲及鼻中隔骨质破坏,鼻腔中线处见结节状软组织肿块。
4.非霍奇金淋巴瘤
鼻腔软组织影,易累及鼻前庭及鼻面部软组织。
药物治疗无效,需鼻内镜手术,最佳方案为两者结合。鼻内镜术后约半数患者复发,与鼻窦炎的病理类型有关。
1.急性鼻窦炎病史,临床表现为持续性鼻塞、脓涕,头部胀痛等。
2.鼻窦黏膜增厚、强化,窦壁骨质硬化、肥厚,窦腔膨胀性改变不显著。
3.影像检查的目的主要是显示引流通道和各种结构及变异情况,而非定性诊断。
(王 倩 付 琳)
1.概念
真菌球是真菌性鼻窦炎最常见的类型,发生于全身免疫状态正常的非特应性患者,症状轻或表现为慢性鼻窦炎症状,但免疫功能下降时可转为侵袭性鼻窦炎。真菌不侵犯鼻黏膜,通常仅发生于1个鼻窦,以上颌窦最常见。
2.人口统计学特点
多发于中老年人,年龄28~86岁,平均64岁,目前尚无儿童发病的报道,女性较男性稍多,文献报道女性占64%。
3.病因
曲霉菌是真菌性鼻窦炎最常见的致病菌,其次是毛霉菌。
1.大体病理
鼻窦黏膜水肿,窦腔可见灰黑色、暗褐色团块,窦壁骨质受压吸收或变薄。
2.组织学表现
鼻黏膜外真菌感染,病理学切片见菌块由互相缠绕的真菌菌丝聚集形成。鼻窦黏膜水肿,大量中性粒细胞和/或浆细胞浸润,淋巴滤泡形成,腺体分泌亢进。真菌菌丝不侵犯鼻窦黏膜、血管内,没有肉芽肿反应。
临床症状多不典型,通常与慢性细菌性鼻窦炎相似,常见症状包括鼻出血、血涕、脓性或恶臭分泌物、单侧面部疼痛、头痛,发生在后组筛窦或蝶窦者还可出现无任何诱因的突然视力下降,尤其血涕较其他鼻窦炎更常见。鼻内镜检查约1/3患者无任何阳性体征,一旦发现典型分泌物即可诊断,此种分泌物为不同色泽、干酪样极易破碎的团块,常伴有恶臭。
1.最佳诊断线索
多累及1个窦腔,上颌窦开口处最常见,CT软组织窗示窦腔内软组织影伴点、条状高密度影,MR T 2 WI为极低信号。
2.发生部位
上颌窦最常见,其他依次为蝶窦、筛窦,额窦受累罕见。
3.形态学表现
呈点、细条或云絮状高密度影,融合成团块。
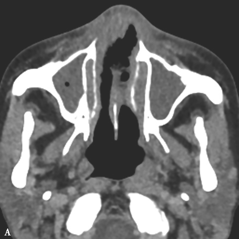
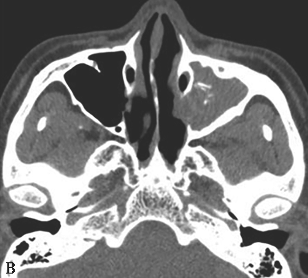
4.CT表现
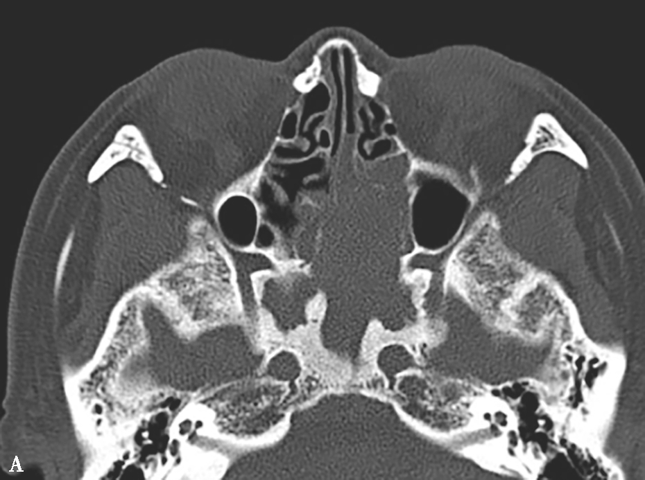
①平扫表现:受累鼻窦窦腔不均匀实变,病变中央可见点、细条或云絮状高密度影,融合成团块状,密度高于软组织但低于骨质,平均CT值约140HU,由真菌菌丝中的钙盐、铁和镁等重金属形成。窦壁骨质增生伴骨质破坏,骨质破坏多见于近上颌窦自然开口处(图1-3-21A~C)。②增强扫描表现:边缘黏膜明显强化。
5.MRI表现
①T 1 WI表现:真菌菌丝呈低信号或等信号;外周黏膜炎症为中等信号。②T 2 WI表现:呈极低信号,甚至无信号;外周黏膜呈高信号。③增强扫描表现:真菌菌丝无强化,边缘黏膜明显强化(图1-3-21D~F)。
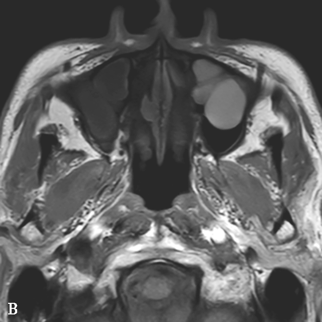
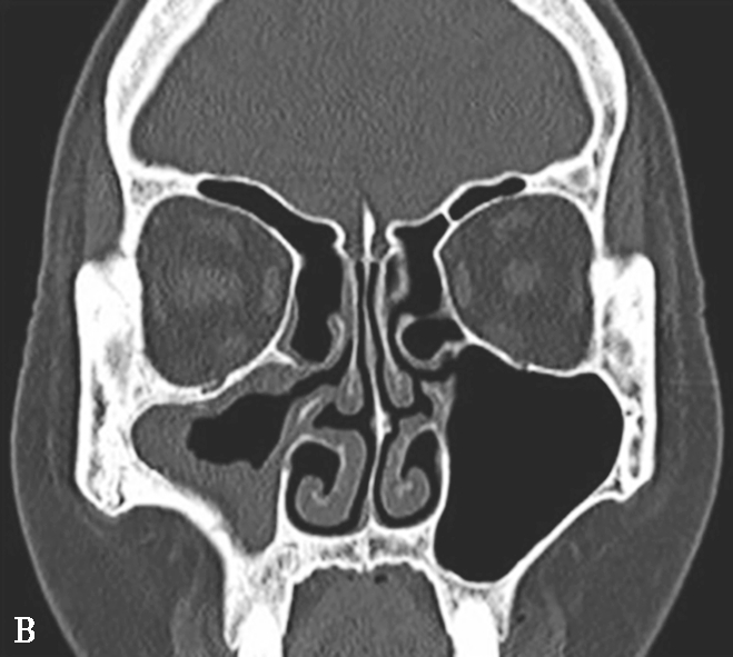
图1-3-21 真菌球
A~C.横断面CT骨窗、横断面软组织窗、冠状面CT骨窗,A、C示左侧上颌窦内充填软组织密度影,伴中央多发条状、云絮状高密度影,上颌窦窦口扩大,窦壁骨质增生硬化、肥厚;B示窦腔实变,中央高密度影显示更清楚;D~F.MRI横断面T 1 WI、T 2 WI及增强T 1 WI,示左侧上颌窦内软组织影,T 1 WI呈等、高信号,T 2 WI呈等、高信号,窦口区病变T 1 WI呈不规则形等、稍高信号,T 2 WI呈极低信号,增强扫描后窦口区病变无强化,周边黏膜呈线样强化
6.最佳影像学检查方法选择
CT是首选的影像检查方法,软组织窗对该病的诊断价值较大,MRI为补充检查方法。
1.非真菌性鼻窦炎
窦腔内钙化出现率<3%,且钙化通常位于窦腔外周,边界清,典型者呈圆形或蛋壳状,出现骨皮质或骨小梁时提示已骨化。
2.变应性真菌性鼻窦炎
多发生在有特应性体质的年轻人,常有家族过敏史,累及多个鼻窦,典型CT表现为受累窦腔实变,窦壁膨胀变薄,伴有条状、匍行状或云雾状高密度影。
3.鼻窦肿瘤或瘤样病变
包括骨化性纤维瘤、脑膜瘤、软骨瘤、骨肉瘤、软骨肉瘤等,结合临床表现,根据CT所显示钙化或骨化的形态、窦壁骨质改变及侵犯的范围,多数病变较易与真菌球鉴别,但少数仅靠CT表现无法鉴别,行MRI检查可提供有价值的鉴别信息。
该病内科治疗效果不明显,一旦影像学提出诊断,应及早手术治疗,功能性鼻内镜手术是最佳治疗方法,预后良好,术后复发率很低。
单个窦腔(上颌窦最常见)内软组织影伴点、细条或云絮状高密度影,窦壁骨质增生与破坏(近上颌窦自然开口处)同时存在提示为该病。
(王 倩 付 琳)
1.概念
变应性真菌性鼻窦炎以变应性黏蛋白及嗜酸性粒细胞性真菌性鼻-鼻窦炎为特征,是一种鼻部呼吸道黏膜对空气中的真菌变应原产生的过敏反应。多发生于免疫功能正常的特应性患者,病变特征为鼻窦内发现黏蛋白。
2.人口统计学特点
多发于免疫力正常且具有特应性体质的青少年及青年,常伴有家族过敏史。
3.病因
真菌过敏是其病理生理学基础,曲霉菌仍是最常见的病原体。
1.大体病理
单发或多发半透明粉白色息肉,周围稀薄黄色或黏白色分泌物,鼻腔内见果酱样或油灰样黄色或黄褐色黏着分泌物。
2.组织学表现
黏膜组织慢性炎症,间质水肿,表层固有膜内见大量嗜酸性粒细胞浸润,可见夏科-莱登(Charcot-Leyden)结晶,组织内无真菌浸润。鼻窦变应性黏蛋白分泌物真菌涂片阳性。
鼻塞、脓涕,长期反复发作的鼻窦炎或鼻息肉病史,严重者出现头痛、视力改变或面部畸形。鼻内镜见单或双侧鼻息肉,部分患者鼻息肉之间可见黏稠的黄色或棕色黏蛋白。实验室检查:外周血嗜酸性粒细胞及总IgE水平明显增高。
1.最佳诊断线索
鼻窦CT扫描显示鼻窦腔内片状磨玻璃样高密度影,周围为软组织影,可伴骨质吸收或侵袭性生长,为变应性真菌性鼻窦炎具有诊断意义的影像检查特征。
2.发生部位
全组或半组鼻窦。
3.形态学表现
不规则形。
4.CT表现
①平扫表现:半组或全组窦腔内充填软组织影,骨窗示病变内部多发形态不一的云雾状或磨玻璃样密度影,CT值约100HU,软组织窗更为明显,呈不规则线状、匍匐状或斑片状高密度影(图1-3-22);常伴单或双侧鼻息肉;窦腔扩大、窦壁变薄、骨质吸收或结构不清,筛窦最常受累,眶纸板最常见骨质吸收,眶内侵犯多见。②增强扫描表现:边缘黏膜明显强化。
图1-3-22 变应性真菌性鼻窦炎
A、B.横断面、冠状面CT骨窗,示双侧上颌窦、筛窦腔膨胀,窦腔充填软组织密度影,病变内部可见片状磨玻璃样密度增高影,上颌窦壁骨质增生硬化;C.横断面CT软组织窗,示病变内部磨玻璃样密度影显示更清楚
5.MRI表现
①T 1 WI表现:呈低或等信号,外周阻塞炎症多呈低信号。②T 2 WI表现:呈低或极低信号,外周阻塞炎症多呈高信号。③增强扫描表现:病变不强化,增强后外周阻塞炎症周边黏膜明显强化。
6.最佳影像学检查方法选择
CT是首选的影像检查方法,软组织窗对该病的诊断价值较大,MRI为补充检查方法。
1.非真菌性鼻窦炎
窦腔内钙化出现率<3%,且钙化通常位于窦腔外周,边界清,典型者呈圆形或蛋壳状,出现骨皮质或骨小梁时提示已骨化。
2.多发性鼻息肉
鼻腔和窦腔内无高密度影。
3.黏液囊肿
一般发生于单个鼻窦,CT表现为等密度、低密度,少数为高密度。
该病内科治疗效果不明显,一旦影像学提出诊断,应及早手术治疗,功能性鼻内镜手术是最佳治疗方法,预后良好,术后复发率很低。
过敏体质、长期反复发作的鼻窦炎或鼻息肉,CT显示多个窦腔磨玻璃样密度影伴窦腔扩大、窦壁变薄、骨质吸收时提示该病。
(王 倩 付 琳)
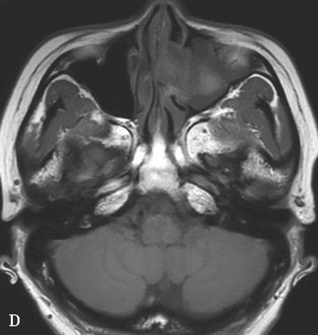
急性侵袭性真菌性鼻窦炎(acute invasive fungal rhinosinusitis,AIFRS)在临床上少见,几乎全部发生于免疫功能低下或缺陷患者,常见有糖尿病酮症酸中毒、器官移植、长期应用抗肿瘤药物或抗生素或类固醇药物、放疗及获得性免疫缺陷综合征(AIDS)患者。该病起病急、进展快,真菌菌丝侵犯血管、骨质,引起血管炎、血管栓塞、骨质破坏和组织坏死等改变。该病早期侵犯鼻腔和鼻窦,接着沿血管迅速扩散,短期内蔓延到面颊部软组织、眼眶、颅内等邻近结构。如不及时治疗,则易引起真菌性脑膜炎、脑炎、脑梗死、脑脓肿,死亡率高达60%~100%。最常见致病菌为毛霉菌,其次为曲霉菌,白念珠菌也有报道。
早期临床症状有发热、眶周面颊部肿胀及疼痛,严重者很快出现剧烈头痛、呕吐、眼球突出、动眼障碍、视力下降、皮肤破溃等,晚期可出现严重组织坏死,如鼻腔侧壁、鼻中隔、鼻甲、硬腭、面部皮肤等部位,抗生素治疗不能缓解。鼻内镜检查可见鼻黏膜呈黑色坏死性改变,鼻腔内可见褐色或黑色干痂,周围可伴有脓性分泌物。
1.CT表现
该病多发生于上颌窦和筛窦,其次为蝶窦,额窦罕见。早期表现为单侧鼻腔、鼻窦黏膜和软组织增厚,但无特异性,应密切结合临床考虑;Silverman等提出上颌窦周围脂肪间隙软组织浸润为该病较早的征象;典型表现为鼻窦内充以软组织影,窦壁及邻近颅面部骨质可出现广泛骨质破坏,但无窦腔变形,窦腔内一般无钙化;广泛侵犯眼眶、颞下窝、翼腭窝、硬腭、颅面部软组织等邻近结构,严重者可侵犯颅内,出现脑膜炎、脑炎、脑脓肿、脑梗死等(图1-3-23A、B)。
2.MRI表现
T 1 WI多为低或等信号,T 2 WI多为高信号,增强后有明显强化。MRI能更清楚显示眼眶、颅内、海绵窦等鼻外蔓延范围,为治疗方案选择提供依据,对术后随访也有很大帮助(图1-3-23C~E)。
3.影像检查方法选择
CT和MRI联合使用有助于该病的诊断和治疗。
①患者免疫功能低下或为免疫缺陷状态;②病变进展快;③多部位受累;④骨质破坏;⑤MR T 2 WI呈高信号,明显强化。
1.鼻腔或鼻窦癌
一般不伴有基础病,临床上发热少见,较该病进展缓慢,多发生于一个鼻窦或鼻腔,侵犯范围较局限,很少伴有颅面部广泛骨质破坏。
2.鼻部淋巴瘤
较该病进展慢,更易发生于鼻腔前部或中线结构,邻近骨质改变较轻,易侵犯面部软组织,引起明显增厚,侵犯颅内少见。
患者有基础疾病,病变进展快,多部位受累,为该病较特征性病变。
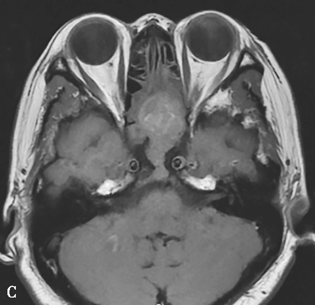
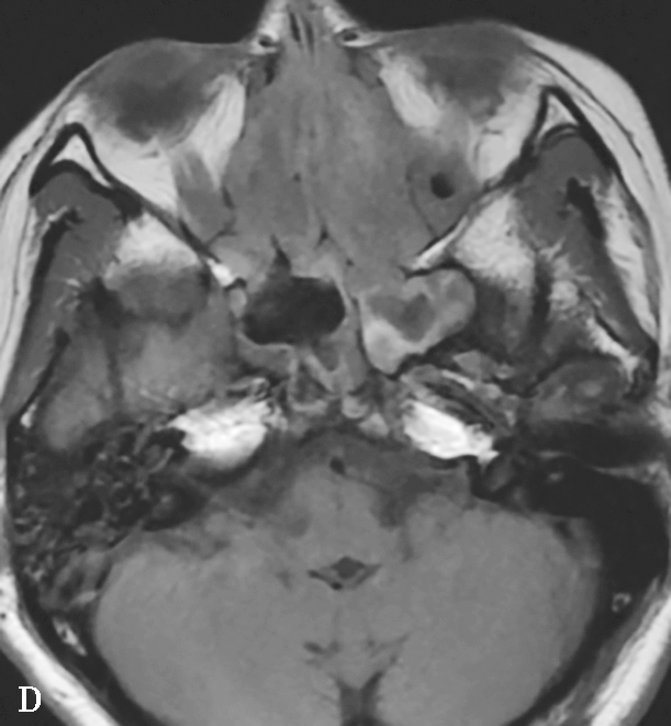
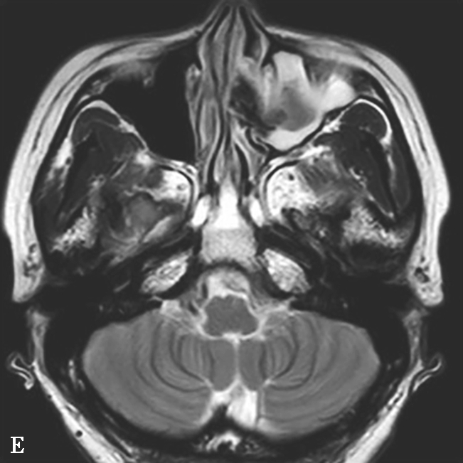
图1-3-23 急性侵袭性真菌性鼻窦炎
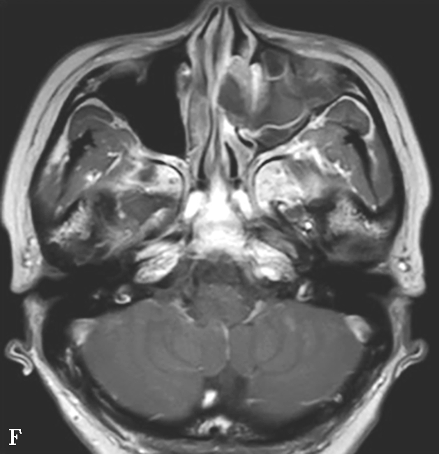
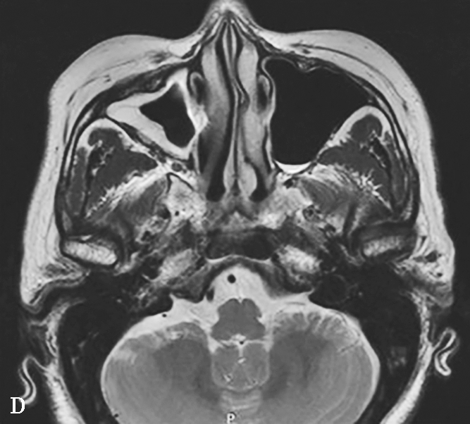
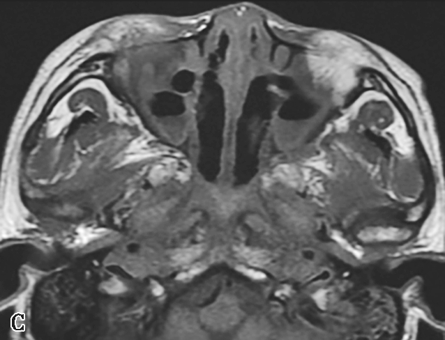
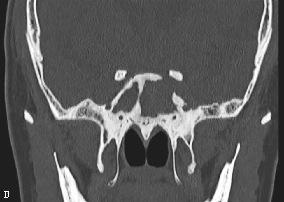
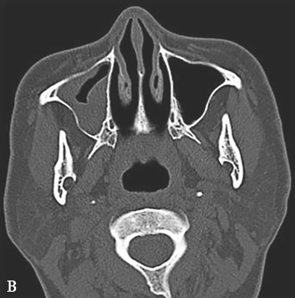
A、B.横断面、冠状面CT骨窗,示双侧蝶窦、后组筛窦软组织影,密度不均,窦壁骨质硬化伴局部骨质破坏,累及双侧圆孔、翼管;C~E.MRI横断面T 1 WI、T 2 WI、T 1 WI+FS+C,示双侧蝶窦、后组筛窦内混杂长T 1 、长T 2 信号,窦腔内见斑片状短T 1 、短T 2 信号影,增强扫描边缘强化,前颅底脑膜增厚强化
(王 倩 付 琳)
嗜酸细胞增多黏液性鼻窦炎(eosinophilic mucin rhinosinusitis,EMRS)是一类比较特殊的慢性鼻窦炎,临床表现上有诸多特点,如术后复发率高、易合并哮喘、嗅觉功能受损严重以及激素治疗效果佳等。研究结果表明,鼻窦黏膜中嗜酸性粒细胞的浸润程度与鼻窦病变范围、治疗效果、复发率及患者的生活质量紧密相关。
通常情况下以鼻塞、流脓涕、嗅觉进行性下降、头面部胀痛等一系列症状为主的临床表现。诊断“金标准”依靠病理,而在患者清醒状态下获取足够的组织并不容易,鼻窦影像学检查的诊断价值越来越受到重视。
1.CT表现
该病息肉样变及水肿通常发生于中鼻甲周围,即病变大多位于前组筛窦、后组筛窦以及嗅裂区,表现为以筛窦为主的高密度影。呈典型的“双重密度”表现,即受累鼻窦腔内斑片状或云雾状高密度影,其中高密度影对应嗜酸性黏蛋白(eosinophilic mucin,EM)的位置,周围低密度影为水肿的鼻窦黏膜(图1-3-24A、B)。
2.MRI表现
EM表现为T 1 低信号或中等信号,T 2 极低信号或信号缺失(图1-3-24C~E)。
图1-3-24 嗜酸细胞增多黏液性鼻窦炎
A、B.横断面及冠状面CT骨窗,示双侧额窦、筛窦、上颌窦及蝶窦腔充填软组织影,密度不均匀,见多发斑片状磨玻璃样密度影“双重密度影”;双侧中、总鼻道见软组织影充填;C~E.横断面T 1 WI、T 2 WI及冠状面T 1 WI,示全组鼻窦窦腔充填长T 1 、混杂短到长T 2 信号影,双侧中鼻道、总鼻道及上颌窦窦口区可见小斑片状略短T 1 混杂等到短T 2 信号影
3.影像检查方法选择
CT和MRI联合使用有助于该病的诊断和治疗。
1.位于前组筛窦、后组筛窦以及嗅裂区。
2.息肉样变及水肿通常发生于中鼻甲周围。
3.典型的“双重密度”表现。
1.鼻腔或鼻窦癌
一般不伴有基础病,临床上发热少见,较该病进展缓慢,多发生于一个鼻窦或鼻腔,侵犯范围较局限,很少伴有颅面部广泛骨质破坏。
2.鼻部淋巴瘤
较该病进展慢,更易发生于鼻腔前部或中线结构,邻近骨质改变较轻,易侵犯面部软组织,引起明显增厚,侵犯颅内少见。
病变大多位于前组筛窦、后组筛窦及嗅裂区,息肉样变及水肿通常发生于中鼻甲周围,典型的“双重密度”表现。
(王 倩 付 琳)
1.概念
慢性侵袭性真菌性鼻窦炎(chronic invasive fungal rhinosinusitis,CIFRS),Stringer等定义该病为病程大于4周、病情进展较慢的一种侵袭性炎性病变,其组织病理学特点为鼻窦黏膜、血管及骨质内有真菌菌丝侵犯,在临床上少见,近期随着鼻窦影像检查方法的广泛开展,该病检出率有逐渐增多的趋势,但影像学极易误诊为恶性肿瘤。
2.人口统计学特点
与AIFRS不同,CIFRS常累及免疫功能低下没那么严重的患者,以健康成年人多见,少数发生于可能影响机体免疫功能的全身疾病(如糖尿病、白血病等)的患者。男性略多于女性。
3.病因
主要致病真菌是曲霉菌,其次为毛霉菌。
1.大体病理学表现
鼻内镜检查可见到鼻腔重度充血和息肉样变的黏膜,或可见表面被覆黄色或黑色、黑褐色块状软组织样肿物,还可见黄白色质韧组织。
2.组织学表现
病理可见黏膜下组织包括血管和骨质受真菌菌丝侵犯,以慢性化脓性肉芽性炎症为主,常伴有慢性非特异性炎症,也可发生真菌血管炎、出血及凝固性坏死,其中真菌引起的肉芽肿反应常为慢性免疫反应的结果。50%以上由烟曲霉菌感染。
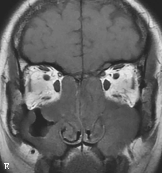
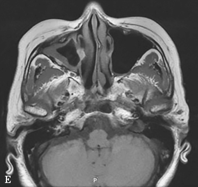
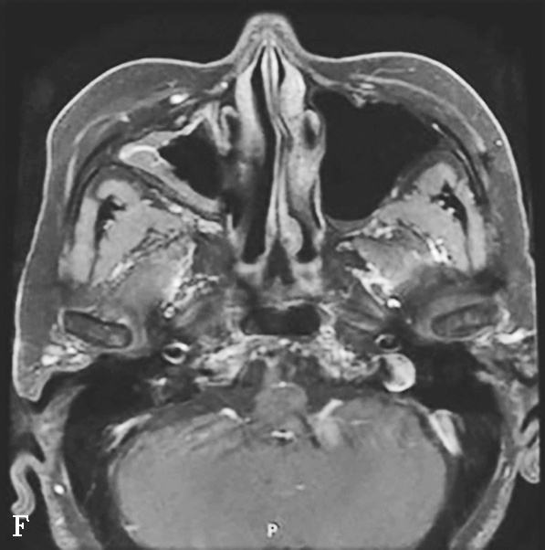
患者通常患有AIDS、糖尿病或皮质类固醇增多症,但是在免疫功能正常的患者也可发病。病程可能几个月或数年缓慢进展、持续存在或复发病变较小时无任何特异性临床症状或体征,早期临床症状不典型,与慢性鼻炎或鼻窦炎相似;晚期侵犯鼻腔鼻窦周围结构,如颅底、眼眶、海绵窦、翼腭窝等,与鼻腔鼻窦恶性肿瘤的临床症状相似而易忽视或误诊。侵犯到眼眶可出现眶周肿胀、眼眶疼痛、突眼、视力下降等;蔓延到眶尖或/和海绵窦可导致眶尖或/和海绵窦综合征,患者多以此症状就诊;侵犯颅内可出现头痛、癫痫、意识障碍或局部神经症状;蔓延到翼腭窝可出现相应脑神经麻痹;侵犯硬腭可发生腭部缺损;严重的并发症包括真菌性动脉瘤、颈内动脉破裂和海绵窦血栓等。
1.最佳诊断线索
病变窦腔含气差,密度增高伴有局灶性骨侵蚀,邻近软组织受累、黏膜增厚但增强后无强化。窦周脂肪间隙、眼眶、翼腭窝、鼻泪管、泪囊侵犯,鼻中隔溃疡穿孔伴骨质侵蚀而不连续。
2.发生部位
CIFRS病变常见于筛窦和蝶窦,其次是上颌窦。
3.形态学表现
病变多数形态不规则,边界不清,也可呈软组织肿块样。
4.CT表现
①平扫表现:病变窦腔黏膜增厚,或可见形态不规则、中等密度的软组织影,病灶范围广泛时常伴坏死而表现为密度不均匀,病变内高密度影提示真菌感染。受累窦壁骨质膨胀,呈局灶性不规则破坏,伴或不伴骨硬化。病变窦腔周围脂肪间隙受累模糊,邻近窦壁骨质也可正常,这是因为病变的播散是通过血管周围间隙的蔓延,邻近间隙受累血管充血水肿或软组织内真菌浸润导致(图1-3-25A、B)。②增强扫描表现:病变窦腔周围脂肪组织和邻近肌肉可见中等强化。对蝶窦CIFRS进一步行CT血管造影有助于明确有无邻近动脉狭窄或闭塞;确定缺血区域的范围;识别假性动脉瘤。
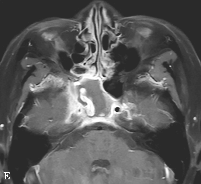
5.MRI表现
①T 1 WI表现:由于蛋白质和水的比例不同,伴真菌成分的出现,T 2 WI信号表现多种多样,与脑灰质信号相比,多数呈低或等信号,病变窦腔周围脂肪信号减低。②T 2 WI表现:根据病程长短、病灶有无出血和坏死灶,病变T 2 WI信号也多种多样,多呈高-等低混杂信号,以低信号为主;高信号由病灶出血,积液造成,而等信号则由于病灶内肉芽肿形成,T 2 WI明显低信号由病灶内的菌丝或纤维化造成。病变窦腔受累脂肪间隙信号减低,抑脂像有助于判断有无脂肪浸润及浸润范围。③弥散加权像:扩散明显受限,ADC(表观弥散系数)图呈明显低信号,主要是因为病灶以真菌菌丝及纤维基质为主,内含假性结核肉芽肿结节及大量的坏死渗出,从而抑制水分子的弥散。④MRA:可显示血管有无受累(狭窄、夹层、血栓形成)。⑤增强扫描表现:病灶呈明显不均匀强化(图1-3-25C~F)。
6.最佳影像学检查方法选择
增强CT结合MRI,增强CT伴骨窗和软组织窗重建可以评估软组织浸润和骨侵蚀的改变,MRI能够更清晰地显示病灶大小、形态及侵犯范围,尤其能够准确评价颅底、颅内及眼眶等结构,并帮助评价神经、血管等结构的侵犯。
1.鼻-鼻窦炎并发症
①患者可能是免疫功能正常的患者,儿童多见;②骨质破坏少见,窦腔可见密度均匀的液体密度影及气-液平面,窦壁黏膜增厚;③眶隔后骨膜下脓肿、海绵窦血栓、脑膜炎或脑脓肿等并发症有可能表现为与急性侵袭性真菌鼻窦炎相似。
2.鼻腔鼻窦鳞癌
①发病年龄较大,病史较短,进展快,免疫力正常,以发生于上颌窦者多见;②CT以窦壁骨质广泛吸收破坏多见,多不伴有骨质增生硬化改变;③T 2 WI上以等信号为主,可伴高信号坏死灶,少有低信号影。
图1-3-25 慢性侵袭性真菌性鼻窦炎
A、B.横断面CT及冠状面CT骨窗,示右侧蝶窦可见软组织影充填,蝶窦侧壁欠光整,骨皮质略模糊;C.横断面T 2 WI,示右侧蝶窦病变呈混杂等略低信号,右侧海绵窦受累增厚;D.横断面T 1 WI,示病变呈略高信号;E.横断面T 1 WI+FS+C,示蝶窦腔病变大部分无强化,可见不规则索条状明显强化影,窦腔边缘黏膜增厚强化,右侧海绵窦受累增厚强化,斜坡及Meckel腔脑膜增厚强化;F.冠状面T 1 WI+FS+C,示蝶窦病变破坏鞍底骨质,累及鞍上及右侧海绵窦,垂体受累轻到中度不均匀强化,蝶窦黏膜弥漫性增厚强化
3.非霍奇金淋巴瘤
①病史较长,病变多位于鼻腔前部,常常累及鼻前庭软组织,单纯发生于鼻窦者较少见;②CT上无或轻度骨质破坏;③MRI上病灶信号较均匀,T 2 WI呈等或略高信号,DWI示弥散明显受限,ADC图呈较低信号,增强多呈中度均匀强化。
4.非侵袭性真菌性鼻腔鼻窦炎
包括真菌球和变应性真菌性鼻窦炎,较易鉴别,鉴别要点见本节“真菌球”和“变应性真菌性鼻窦炎”。
5.Wegener肉芽肿
①临床相对罕见的疾病,血清c-ANCA(胞质型抗中性粒细胞胞质抗体)阳性;②CT早期表现为黏膜增厚,进展期及晚期表现为鼻甲及鼻中隔骨质破坏,而累及的窦壁骨质表现为明显增厚,呈“双线”征;③MR T 1 WI呈低或等信号,早期T 2 WI多为高信号,晚期多为低信号,提示为纤维组织;④Wegener肉芽肿也易累及眼眶及颞骨。
6.鼻咽癌
①典型临床表现为回缩性涕血伴单侧中耳乳突炎及颈部肿块;②CT表现为鼻咽部软组织增厚,常伴颅底骨质破坏和淋巴结转移;③MRI上病灶信号多较均匀,T 2 WI呈稍高信号,增强后可见明显强化。
7.腺样囊性癌
①病变缓慢生长、弥漫浸润、易沿神经血管播散等,并且易转移至肺、骨;②影像学特点,肿瘤内见多发小囊或筛囊状表现,CT表现为筛样低密度,骨质破坏多以溶骨性为主,较少伴骨质硬化;③MR T 2 WI呈多发小囊状高信号,可清楚显示病变沿神经浸润、见缝就钻等特点。
手术治疗合并药物治疗,手术的关键是彻底清除鼻腔、鼻窦病变组织,清除到组织病理学证实切缘为正常组织为止,消除真菌赖以生存的微环境,保持鼻腔鼻窦的通气引流;抗真菌治疗用两性霉素B作为首选药物;治疗潜在的疾病,如免疫功能低下状态的治疗。
1.临床上多以眶尖或海绵窦综合征就诊,对于糖尿病或免疫功能低下的患者出现鼻窦病变伴有窦周脂肪间隙累及,即使没有骨侵蚀破坏表现,必须警惕有无侵袭性真菌性鼻窦炎的发生。
2.影像学检查必须评估眼眶、海绵窦、颈内动脉和基底动脉等颅内有无受累的情况。
3.典型CT表现为窦腔内中度增强的软组织密度影,伴窦壁骨质硬化和吸收破坏。
4.MR T 2 WI上呈等(肉芽组织)、低(菌丝及纤维基质)信号或伴高信号(出血、积液),增强后病灶呈明显不均匀强化。
5.DWI上呈高信号、ADC图上呈低信号。
6.病灶广泛侵犯周围结构,窦腔外病灶范围大于窦腔病灶是另一影像学特点。
(付 琳)
1.概念
肉芽肿性多血管炎(granulomatosis with polyangiitis,GPA)既往称作Wegener肉芽肿(Wegener granulomatosis),是一种可影响多个器官系统的自身免疫性血管炎,最常累及上、下呼吸道和肾脏,它是一种少见的慢性进行性、破坏性巨细胞溃疡性肉芽肿。在病理与组织学方面,GPA表现为血管壁的急性坏死性炎症,血清中抗嗜中性多形核粒细胞和单核粒细胞胞质颗粒抗体特异性高,对诊断具有重要意义。
2.人口统计学特点
男性稍多于女性,年龄5~91岁和40~50岁是疾病高发年龄。
3.病因
可能与自体免疫、感染、环境和遗传等因素有关,但病因至今仍不清楚。目前多数学者认为是一种自身免疫性疾病。抗中性粒细胞胞质抗体(ANCA)与中性粒细胞中表达的蛋白酶3结合引发,伴发炎性异常导致内皮损伤及坏死性肉芽肿性血管炎。
GPA是以坏死性血管炎、无菌性坏死和肉芽肿炎三联征为特征的一种血管炎性疾病。血管炎是累及中、小血管的纤维素样坏死。大体病理表现为弥漫性黏膜溃疡并伴有结痂。
GPA肉芽肿是有多种细胞浸润的异质性炎性反应,其中心常存在血管壁纤维素样坏死,周围以巨噬细胞聚集为主,伴有单核细胞浸润,并有上皮样细胞、多核巨细胞及成纤维细胞增生,细胞聚集较多时,即被称为肉芽肿性结节。
GPA血管炎可以发生于动脉、静脉和毛细血管,直径多<0.5cm。病变中常不止一种类型血管受累,主要是血管慢性炎性反应,也可以有血管急性炎性反应。
无菌性坏死主要是中小型血管的纤维素样坏死,可以形成中性粒细胞微脓肿和地图样坏死。除上述典型的病理特征外,亦可出现间质纤维组织增生、淋巴细胞聚集及嗜酸性粒细胞浸润。
GPA典型临床三联征即上呼吸道、下呼吸道的坏死性肉芽肿,动脉和静脉的坏死性血管炎,肾小球肾炎。超过80%的GPA患者会累及上呼吸道,鼻腔鼻窦受累主要表现为鼻窦炎及鼻腔病变的症状,如鼻塞、鼻出血、疼痛、嗅觉丧失、化脓性鼻漏、鼻中隔溃疡和穿孔会导致鞍鼻畸形。其他如中耳炎、耳痛、听力下降、声门狭窄、咳嗽和口腔病变等,下呼吸道病变表现为咳嗽、咯血、胸痛和发热,75%的GPA患者出现肺影像学异常,可出现咯血、贫血和呼吸困难,即GPA所致的弥漫性肺泡出血表现。肾脏损伤表现为血尿、蛋白尿和红细胞型尿。其他可见关节痛、外周和中枢神经病变、心包炎及皮肤有红斑、瘀斑和结节等。
对于是否必须通过组织学检查来诊断GPA目前仍有争议,多数临床医师认为对于具有典型临床特征和ANCA水平升高的患者,并不追求一定要有组织学检查,因活检并非总能观察到GPA的典型组织学特征,而且GPA病灶部位的活检结果并不是特异性的,阳性率不到40%,最常表现的是非特异性炎症和坏死。
1.最佳诊断线索
当表现为以鼻腔为中心的慢性、严重的鼻窦炎性病程,黏膜增厚和骨质增生硬化,伴有软组织肿块或结节、鼻中隔或非鼻中隔软骨和骨质破坏,尤其是合并鼻中隔穿孔时,应考虑GPA,建议患者进一步实验室检查有无c-ANCA阳性。
2.发生部位
以鼻腔中线结构为中心,其次是鼻窦受累。
3.形态学表现
溃疡性病变,伴或不伴结节状病变。
4.CT表现
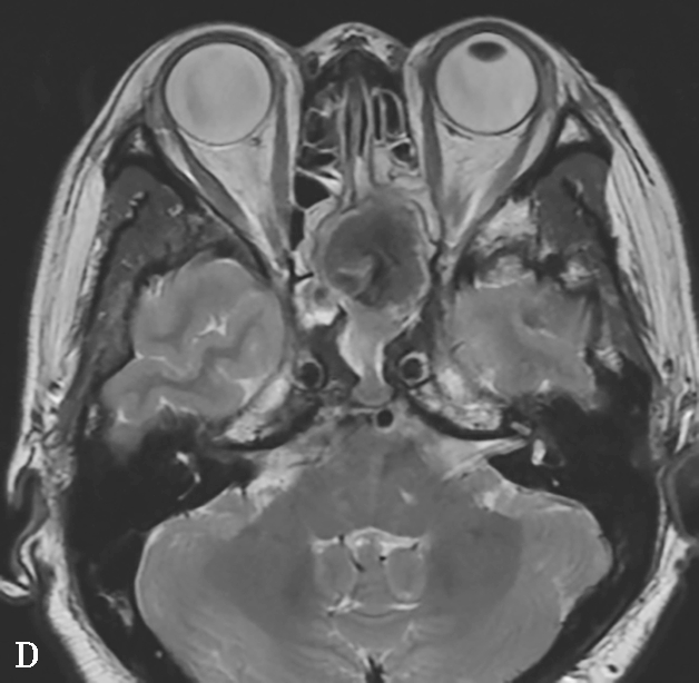
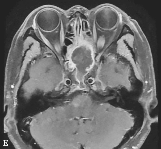
①平扫表现:首先侵犯鼻部中线区,鼻中隔和双侧中下鼻甲及上颌窦内壁骨质破坏,伴有不规则索条影;双侧上颌窦腔缩小,黏膜增厚,窦壁骨质硬化、肥厚,可出现“双线”征;最终导致上颌窦内壁、筛窦间隔、纸样板、筛板、鼻甲和鼻中隔明显破坏而形成大空腔,类似术后改变。鼻窦周围软组织浸润,眼眶是该病窦外侵犯的首发部位,很少累及颅底、翼腭窝、窦后区和鼻咽部(图1-3-26A、B)。②增强扫描表现:鼻腔及鼻窦可见结节状及肿块样黏膜增厚强化。
5.MRI表现
①T 1 WI表现:呈低至中等信号的结节状肿块影。②T 2 WI表现:早期T 2 WI多为高信号,中晚期多为结节状肿块影(与高信号的水肿黏膜相比),提示为纤维组织,当病变呈急性加重并侵犯邻近的软组织时,表现为软组织水肿高信号。③增强扫描表现:病变区黏膜呈结节状或肿块状强化,周围受累组织呈明显不均匀强化(图1-3-26C~F),TIC(时间-信号强度曲线)整体呈平缓型,早期缓升,说明GPA与TIC单纯表现为平缓型的普通良性病变相比血管通透性更高或血管数量更为丰富,致使对比剂早期更易透过血管进入血液,产生更高的流速造成早期时相内曲线斜率略升高,这与该病的多血管炎症的发病机制密切相关。
图1-3-26 鼻腔鼻窦肉芽肿性多血管炎
A、B.横断面CT及冠状面CT骨窗,示鼻背部塌陷,鼻中隔、双侧筛窦及上颌窦黏膜增厚,窦壁骨质增生硬化,内缘骨皮质欠光整;双侧中、下鼻甲形态欠自然,双侧眼眶内下壁骨皮质部分缺损,邻近内下象限肌锥外间隙可见弥漫性软组织增厚影,右侧为著;双侧上颌窦口-鼻道复合体增宽,钩突缺如;C.横断面T 1 WI,示双侧上颌窦腔可见略低信号,气-液平面可见,鼻背部塌陷,鼻中隔黏膜增厚,鼻咽顶后壁软组织增厚,呈等信号;D.横断面T 2 WI,示上颌窦腔病变呈高信号,余病变呈略低信号;E.横断面T 1 WI+FS+C,示窦腔、鼻中隔增厚,黏膜及其他受累结构呈中等强化,双侧翼腭窝及上颌窦后脂肪间隙受累,强化;F.冠状面T 1 WI+FS+C,示双侧眼眶内下象限肌锥外间隙病变呈中等强化,大脑纵裂及额部脑膜受累,呈弥漫性增厚强化
6.最佳影像学检查方法选择
鼻窦螺旋CT多平面重建、冠状面重建骨窗是初步评估的最佳检查方法。如果CT或临床症状怀疑眼眶、面深部、颅底或脑膜受累,建议进一步行增强MRI检查,尤其是脂肪抑制序列可以评价神经、血管等微小结构的受累程度。
1.鼻-鼻窦炎并发症
①患者可能是免疫功能正常,急性鼻窦炎儿童多见。②骨质破坏少见,窦腔可见密度均匀的液体密度影及气-液平面,窦壁黏膜增厚。③眶隔后骨膜下脓肿,海绵窦血栓,脑膜炎或脑脓肿等并发症有可能表现为与急性侵袭性真菌鼻窦炎相似。④在免疫功能低下患者中表现为快速进展的鼻窦破坏性过程。
2.鼻部结节病
①一种系统性肉芽肿性疾病,发病率低,鼻窦受累少见,c-ANCA阴性。②鼻部骨质改变较该病轻,较为局限,MRI有典型信号表现,比该病更易蔓延到颅内。
3.非霍奇金淋巴瘤
①主要与NK-T细胞淋巴瘤(又名恶性中线区肉芽肿)相鉴别,该病进展较快,多位于鼻腔前部,常常累及鼻前庭软组织,单纯发生于鼻窦者较少见。②CT也可表现为中线区软组织肿块伴鼻中隔和非鼻中隔骨质破坏或重塑。③影像上可能完全与GPA相似。
药物治疗包括免疫抑制剂、环磷酰胺和其他细胞毒性药物,临床上一般用高剂量泼尼松,之后环磷酰胺治疗暴发性疾病。
手术多用于特定的头颈部疾病如鞍鼻畸形和声门下狭窄,不过手术操作可能加剧鼻腔内新骨的形成。
当患者表现为以鼻腔为中心的慢性、破坏性、严重的鼻窦炎,伴黏膜增厚和骨质增生硬化,同时如合并鼻中隔穿孔时,应考虑GPA,建议患者进一步实验室检查有无c-ANCA阳性。
(付 琳)
1.概念
鼻窦黏膜下囊肿(mucous cyst)主要包括黏液腺潴留囊肿和黏膜下浆液性囊肿,前者为黏液腺体分泌物在腺泡内潴留形成的囊肿,多发生于上颌窦和蝶窦,可单发或多发;后者为浆液性渗出物聚集在黏膜下层结缔组织中形成的囊肿,多发生于上颌窦,一般为单发,多位于上颌窦底壁。黏膜下囊肿生长缓慢,多在鼻窦影像检查时偶然发现。
2.人口统计学特点
可发生于任何年龄,无明显性别差异,多发生于慢性鼻窦炎的患者中。
3.病因
黏液腺潴留囊肿为黏液腺体分泌物在腺泡内潴留形成的囊肿。黏膜下浆液性囊肿多由于炎症或变态反应所致,毛细血管渗出性的浆液流入黏膜下的疏松结缔组织内,逐渐膨大形成囊肿。
1.大体病理学表现
多为透明或淡黄色球状或丘状肿物,边缘清晰,切开后可有较多淡黄色清亮液体溢出。
2.组织学表现
黏液潴留囊肿多由黏液腺阻塞所致,壁为腺体立方上皮,囊肿多较小,内含黄色液体,不含胆固醇结晶。黏膜下浆液性囊肿无囊壁上皮,表层覆盖炎性鼻窦黏膜,内含黄色血浆,多含有胆固醇结晶,易凝固。
囊肿一般不会出现特殊的临床症状和体征。但患者多伴有慢性鼻窦炎,多表现为头痛,面部压迫感,上列牙痛等症状。
1.最佳诊断线索
鼻窦内丘状或类圆形均匀等密度肿物,MRI示长T 1 、长T 2 信号病变,增强后无强化。
2.发生部位
额窦、筛窦、蝶窦及上颌窦均可发生,上颌窦为最好发的部位。
3.形态学表现
病灶较小时多表现为丘状隆起,随着病变内分泌物聚集可呈球形。
4.病变数目
若一个窦腔内有两个或两个以上的病变,或伴有窦腔内黏膜增厚者多为黏液腺潴留囊肿;浆液性囊肿多为上颌窦内的单发球状病灶。
5.CT表现
①平扫表现:多为低密度,部分病变内黏液较多,可呈等密度;②增强扫描表现:无强化。
6.MRI表现
①T 1 WI表现:由于病变内所含黏液浓度不同,多呈等信号或低信号,部分可呈高信号;②T 2 WI表现:多呈高信号;③弥散加权像:多呈低信号;④增强扫描:无强化,周围增厚的黏膜可见强化(图1-3-27)。
图1-3-27 鼻窦黏膜下囊肿
A.横断面T 1 WI,示左侧上颌窦多发丘状高信号病变,右侧上颌窦病变呈低信号;B.横断面T 2 WI,示双侧上颌窦病变呈高信号;C.增强后横断面T 1 WI+FS+C,示病变边缘黏膜强化,注意增强后左侧上颌窦病变并非真实强化
7.最佳影像学检查方法选择
CT是最常用的检查方法。MRI可作为补充的检查方法。
1.鼻窦黏液囊肿
①由于鼻窦开口阻塞造成的窦腔内积液;②额窦及筛窦好发,窦壁多呈膨胀性改变。
2.鼻窦实性肿瘤
鼻窦内均匀或不均匀强化的实性病变。
1.对无症状或不伴有严重鼻窦炎的患者,以观察为主,而不是首选手术。
2.对于伴有鼻窦炎的患者,可在鼻内镜下行囊肿切除术。
1.见于上颌窦内,沿窦壁生长的丘状或球形肿物。
2.窦壁骨质无异常改变。
3.增强后无强化。
(李 铮)
1.概念
鼻源性眼眶蜂窝织炎(sinonasal orbital cellulites)是一种急性感染性疾病,主要包括眶隔前蜂窝织炎、眶骨膜下脓肿、眶内蜂窝织炎、球后视神经炎。
2.人口统计学特点
可发生于任何人群,多见于儿童。
3.病因
①感染鼻窦的细菌或脓液经过解剖途径累及眼眶,例如鼻窦炎经过鼻泪管感染眼眶;②鼻窦外伤或手术损伤邻近眶壁;③免疫抑制状态或免疫缺陷。
眶隔前蜂窝织炎多由葡萄球菌、链球菌和流感嗜血杆菌感染引起。眶骨膜下脓肿、眶内蜂窝织炎、球后视神经炎可由包括厌氧菌在内的多种病原微生物引起。
眶隔前蜂窝织炎最常见的临床表现为眼睑周围软组织红、肿、热、痛。①眶骨膜下脓肿:眼球突出、眼睑肿胀,压痛、视力下降,眼球运动障碍等。②眶内蜂窝织炎:最常见的表现为眼球突出伴眼眶疼痛,其他症状主要包括发热、球结膜水肿、视力下降、眼球运动障碍等。③球后视神经炎:视力下降。
1.最佳诊断线索
眶隔前方或眼眶深部软组织浸润伴片絮状或环形异常强化;鼻窦炎伴有或不伴有窦壁骨质破坏。
2.发生部位
眶隔前蜂窝织炎主要累及眼睑周围软组织,眶骨膜下脓肿位于眶壁下方眼眶肌锥外间隙。眶内蜂窝织炎多累及眶脂体、眼外肌,球后视神经炎多累及眶内段视神经及周围鞘膜。
3.形态学表现
眶隔前蜂窝织炎及眶内蜂窝织炎多表现为软组织内片絮状渗出,眶骨膜下脓肿呈丘状突向眶腔,球后视神经炎可表现为视神经增粗,视神经鞘增厚,边缘模糊。
4.病变数目
多单侧受累,部分病变可累及双侧眼眶。
5.CT表现
①平扫表现:眶隔前蜂窝织炎,眼睑增厚,皮下脂肪间隙模糊;眶骨膜下脓肿,眶壁下肌锥外间隙丘状肿物;眶内蜂窝织炎(图1-3-28A),眶内结构正常界面消失,眶脂体密度增高,眼球突出;球后视神经炎,视神经增粗,边缘模糊。②增强扫描表现:多呈弥漫性不均匀强化,眶骨膜下脓肿呈边缘强化或环形强化。
6.MRI表现
①T 1 WI表现:呈不均匀等、低信号;②T 2 WI表现:多呈不均匀高信号;③弥散加权像:眶骨膜下脓肿呈高信号,ADC图呈低信号;④增强扫描:呈不均匀片絮状强化,眶骨膜下脓肿呈边缘强化或环形强化(图1-3-28B)。
7.最佳影像学检查方法选择
CT可同时显示眼眶及邻近鼻窦病变,为首选检查方法,MRI多用于复杂病变的鉴别诊断及侵犯范围评估。
图1-3-28 鼻源性眼眶蜂窝织炎
A.横断面CT骨窗,示左侧筛窦炎,破坏左侧筛房间隔及眼眶内壁,并累及左侧眼眶内象限,注意病变内气体;B.横断面T 1 WI+FS+C,示眼眶内象限边缘强化的眶骨膜下脓肿,左侧眼眶内容物受压向前外移位,左侧眼睑增厚强化
1.急性侵袭性真菌性鼻窦炎
①可广泛累及鼻腔、鼻窦周围软组织并伴有骨质破坏;②血管侵袭性改变:无强化区、死骨;③较少出现环形强化,一般不形成软组织气肿。
2.炎性假瘤
累及肌锥内、外间隙,范围较局限;多伴有眼外肌增粗,肌腹、肌腱均增粗。
1.针对病原菌进行抗炎治疗。
2.可同时应用激素治疗,减轻炎症反应。
3.脓肿形成时应及时手术切口引流。
急性眼球肿胀或眼球突出并伴有眼眶疼痛的患者;影像检查发现眶隔前或眶内弥漫性病变;邻近鼻窦炎性改变,应首先考虑此病。
(李 铮)
1.概念
鼻息肉(nasal polyps)是发生于鼻腔或鼻窦黏膜的肿块,是一种临床常见疾病,根据病因和发病部位,主要分为三种类型:①炎症性鼻息肉,单侧单发多见,多由局部感染引起,切除后不易复发;②过敏性息肉,常为双侧多发;③后鼻孔息肉,息肉经后鼻孔深入鼻咽部。
2.人口统计学特点
可见于任何人,但好发于成年人,男性发病率高于女性,并具有家族倾向性。
3.病因
过去认为自主神经功能失调、代谢紊乱、血管运动功能失调、离子通透性改变、气流动力学、感染和变态反应等是形成息肉的重要原因。但均只从某一侧面解释息肉的成因,未能从根本上阐明鼻息肉的发病机制。目前认为鼻息肉的发病是多因素、多步骤的病程。感染、变态反应、创伤在鼻息肉的发生中起重要作用,解剖异常、内环境和代谢紊乱,以及遗传因素参与了息肉的形成和复发。
1.大体病理学表现
表现为光滑、半透明、触之柔软、不痛。
2.组织学表现
鼻息肉由极度水肿的疏松纤维组织构成,表面覆盖呼吸上皮,间质中有大量炎性细胞浸润,其中含有较多的嗜酸性粒细胞和肥大细胞。嗜酸性粒细胞浸润是鼻息肉组织学上特征性的改变。
鼻息肉主要表现为鼻塞、流涕、嗅觉减退,可伴鼻窦炎症状、头昏、头痛、耳鸣和听力下降。
1.最佳诊断线索
黏液样密度或信号的条状或哑铃型病变伴有边缘薄环形强化。周围骨质受压呈膨胀性改变。
2.发生部位
最常见于上颌窦,病变经过上颌窦口或上颌窦囟门,突入到鼻腔当中,较大者可经过后鼻孔突入鼻咽腔内。
3.形态学表现
病变多呈条状或哑铃状,较大者病变可见后鼻孔或鼻咽腔内形成球状肿物。
4.病变数目
炎症性息肉多为单侧单发。过敏性息肉常为双侧多发,也有文献将其命名为息肉病。
5.CT表现
①平扫表现:呈边缘清晰的等密度或近似黏液密度的肿块,周围骨质受压、膨胀、变薄,一般无骨质破坏。息肉附着处骨质增生硬化。②增强扫描表现:病变边缘黏膜强化,内部无强化。
6.MRI表现
①T 1 WI表现:与脑实质相比呈低信号,长期慢性的鼻息肉信号可增高。②T 2 WI表现:接近于水样的高信号。③弥散加权像:无明显弥散受限。④增强扫描:边缘黏膜强化,内部无强化(图1-3-29)。
7.最佳影像学检查方法选择
CT检查可显示鼻窦及其周围结构,评估病变数量、病灶起源部位、累及范围,为影像诊断鼻息肉的首选检查方法。MRI可用于复杂病变的鉴别诊断。
1.内翻乳头状瘤
①多位于中鼻道;②MR T 2 WI及增强T 1 WI表现为特征性的卷曲脑回状改变。
2.真菌球型鼻窦炎
①病灶内多发点片状高密度影;②T 1 WI呈等信号,T 2 WI呈低信号,增强后病变周围黏膜强化,病变无强化。
3.青少年鼻咽纤维血管瘤
①好发生于青少年男性;②病变位于蝶腭孔周围,可伴有骨质破坏;③增强后明显强化。
图1-3-29 鼻息肉
A.横断面MR T 1 WI,示右侧鼻腔内条状等低信号,右侧上颌窦实变,呈等低信号;B.横断面MR T 2 WI,示鼻腔内病变呈高信号,右侧上颌窦内见等信号积液及高信号的黏膜下囊肿;C.MR T 1 WI+FS+C,示鼻腔及上颌窦边缘黏膜强化
1.鼻息肉病的治疗应采取以手术为主的综合治疗,鼻内镜手术和合理的术后护理是提高治愈率、减少复发的重要手段。
2.药物治疗主要是针对感染和变态反应因素。目的是限制鼻息肉和鼻炎的症状,重建鼻呼吸和嗅觉,防止鼻息肉复发。
1.黏液样密度或信号的条状或哑铃型病变伴有边缘薄环形强化,周围骨质呈受压、膨胀性改变。
2.后鼻孔息肉应注意不要误诊为鼻咽肿瘤。
3.病变基底部骨质增生硬化对于判断病变附着位置具有重要作用。
4.对于表现不典型的病变,应考虑行增强MRI检查。
(李 铮)
1.概念
鼻石(rhinolith)又称鼻结石(nasal calculi)或鼻石症(rhinolithiasis),是一种临床罕见疾病。根据病变核心的不同,将鼻石分为真性和假性。以内生性异物为核心的鼻石可随时间而消失,称为无核结石,也称真性结石。而以外生性异物,如棉片、卫生纸、纽扣、石块、果核及豌豆等为核心的鼻石称为假性结石。
2.人口统计学特点
目前缺少大宗病例报道,国内文献多报道患者年龄多为20~70岁,平均年龄约40岁。男女患病率无显著差异。
3.病因
鼻石症病因不清。通常认为在鼻腔异物的基础上,以异物为核心,周围的炎性渗出物及鼻腔分泌物等经气流浓缩后,分解出多种无机盐成分包裹于病变周围而逐渐形成,可在鼻腔存留数年。
1.大体病理学表现
病变多呈黑褐色,表面多有污秽及肉芽肿,触之坚硬。
2.组织学表现
病变主要由钙和镁构成,核心由含有白磷钙石的镁构成,周围为磷酸镁和磷酸钙沉积。
异物刚进入鼻腔时或病变形成早期,患者的症状通常比较轻微。鼻石生长过程中可能间断出现相关的症状,但易被误诊为鼻窦炎。典型症状为逐渐加重的单侧鼻塞,脓性鼻涕,多伴有腥味,其他少见症状包括鼻出血、鼻区痛、嗅觉丧失、头痛等。
1.最佳诊断线索
渐进性鼻塞伴脓涕,鼻腔内均匀高密度团块或空心高密度团块,伴周围鼻腔鼻窦炎性病变。
2.发生部位
多见于下鼻道,少许位于中鼻道。
3.形态学表现
多为不规则形,表面粗糙、不规则。
4.病变数目
绝大多数为单发病变,少数患者可为多发小结石,呈簇状堆积。
5.CT平扫表现
有核的鼻石核心为低密度影,周围环绕高密度影。无核鼻石表现为均匀高密度(图 1-3-30)。
图1-3-30 鼻石症
A、B.横断面及冠状面CT骨窗,示左侧鼻腔底部不规则形高密度影,病变密度类似骨皮质
6.MRI表现
①T 1 WI表现:均匀或不均匀低信号;②T 2 WI表现:均匀或不均匀低信号,周围炎性病变呈高信号;③增强扫描表现:病变无强化,病变周围黏膜炎性增厚,可见强化。
7.最佳影像学检查方法选择
CT是鼻石症首选检查方法,可以对病变进行准确定位,评估病变数量、大小。并可与常见的骨性或软骨源性病变进行鉴别。
1.鼻腔骨瘤
骨瘤多位于筛窦、鼻甲周围,形态多规整,较少出现炎症反应。
2.骨纤维异常增殖症
沿原骨质形态生长;常多骨受累;CT表现为骨质增厚,骨小梁紊乱、模糊,呈磨玻璃样改变。
较小的鼻石可从鼻孔取出,较大的鼻石可用鼻钳夹碎,分块取出或经鼻内镜取出;同时可在鼻内镜下处理并发症。
典型的鼻石症呈鼻腔内均匀高密度团块或空心高密度团块,伴周围鼻腔鼻窦炎性病变。
(李 铮 韩晓伊)
1.概念
鼻硬结病是一种由硬鼻结克雷伯菌感染引起的慢性进展性上呼吸道肉芽肿性病变,人类是唯一确定的宿主,该疾病已影响人类至少1 500年,甚至认为早在300—600年中美洲即已流行。病变常首先累及鼻前庭与皮肤交界部位,可向下累及鼻咽、口咽、喉咽、喉及气管等处,造成相应部位的结构和功能损害。
2.人口统计学特点
该病变好发于欠发达地区,中非、埃及、热带非洲、印度、东南亚、中东欧、中美及我国相对常见。目前研究认为男性易受感染。患者多为20岁左右的年轻人,也有发生于老年人的报道。
3.病因
目前认为鼻硬结病是由硬鼻结克雷伯菌感染引起,该细菌属于肠杆菌科克雷伯菌属,革兰氏染色阴性,具有低传染性。但硬鼻结克雷伯菌侵入人体的具体方式尚不清楚,近年研究表明,鼻硬结病可作为人类免疫缺陷病毒(HIV)的机会感染,也可作为侵袭性真菌病的机会感染。
病理组织形态分为三期:Ⅰ期为慢性卡他性炎症期;Ⅱ期为肉芽肿期;Ⅲ期为纤维化瘢痕期。但大多数患者处于肉芽肿期。慢性卡他性炎症期以急性或慢性活动性炎症为特征,黏膜肿胀充血,局部有脓性分泌物及结痂。镜下鳞状上皮化生,上皮下中性粒细胞浸润,可见肉芽组织形成。因为此期的炎症表现不具有特异性,因此很难准确诊断。肉芽肿期大体病理可以表现为质脆的炎性息肉样病变,逐渐进展为白色、质硬的肿块;也可表现为多个小的、质硬的白色溃疡性炎性肿块,遍布并破坏黏膜表面,甚至可侵犯骨组织。镜下可见丰富的小血管,黏膜萎缩或增生,以后者更常见;间质含有许多慢性炎细胞,以密集的淋巴细胞、浆细胞浸润、Russell小体(拉塞尔小体)和Mikulicz细胞(鼻硬结细胞)为特征。纤维化瘢痕期镜下表现为受累组织广泛致密瘢痕化,残存的肉芽肿周围绕以玻璃样变的胶原纤维。
鼻硬结病早期的临床表现无特异性;肉芽肿形成时,较特异的表现包括鼻尖浸润、变硬,呈结节状,外鼻增宽、变硬。瘢痕期,鼻腔狭窄和外鼻明显变形,典型症状包括鼻塞、鼻干、鼻臭和失嗅。鼻窦硬结病多表现为鼻塞、鼻出血等非特异性症状,与其他炎性或肿瘤性病变难以鉴别。侵及眼眶、颅内等邻近结构时可出现相应症状如复视、视力下降、头痛。
1.最佳诊断线索
易破坏鼻中隔,中、下鼻甲变形、萎缩或完全破坏,周围骨质破坏,残存的骨质常有明显硬化。结合组织学检查发现克雷伯菌确诊。
2.发生部位
鼻腔硬结病主要累及中、下鼻甲及鼻中隔。鼻窦硬结病最常原发于上颌窦,其次为筛窦、蝶窦,额窦罕见。
3.形态学表现
肉芽肿期病变多呈不规则肿块,易侵犯眼眶,造成眼外肌移位,包绕眼外肌或视神经;侵犯颅内常出现脑膜增厚、脑实质肉芽肿。
4.病变数目
鼻硬结病通常两侧对称性发病,少数病例为局限性或非对称分布。
5.CT表现
①平扫表现:早期表现为非特异性黏膜增厚,肉芽肿期表现为实性软组织影,中、下鼻甲可破坏,可有鼻中隔、鼻窦破坏,窦壁骨质增生硬化(图1-3-31A);②增强扫描表现:多为均匀轻、中度强化。
6.MRI表现
早期鼻腔硬结病仅为黏膜增厚,与其他炎性病变不易鉴别。①肉芽肿期T 1 WI和T 2 WI表现为轻度到明显高信号,信号通常不均匀,T 1 WI表现为高信号较有特征性,可提示该病诊断;瘢痕期T 1 WI表现为低或等信号,T 2 WI表现为明显低信号。鼻窦硬结病MRI表现同鼻腔硬结病,但更易向眼眶、颅内、翼腭窝等邻近的结构蔓延,鼻腔通常不受累(图1-3-31B~D)。②增强扫描表现,通常为较均匀的明显强化。
7.最佳影像学检查方法选择
鼻窦硬结病的诊断需结合骨质改变及信号特点综合分析;CT可清楚地显示病变及骨质改变情况。MRI根据信号特点可为鉴别诊断提供更多依据,并可帮助临床分期。
1.萎缩性鼻炎
①典型症状有鼻干、鼻臭,但多无鼻出血;②鼻甲萎缩,以下鼻甲最常见,通常不伴有明显实性软组织影;③一般不侵犯鼻窦,呼吸道其他部位受累罕见。
2.Wegener肉芽肿
①肺、肾脏、呼吸道多部位受累;②鼻腔中线区骨质破坏伴鼻腔缩窄;③血清胞质型抗中性粒细胞胞质抗体(c-ANCA)升高。
3.淋巴瘤
①主要与发生于中线区的NK-T淋巴瘤鉴别,B细胞淋巴瘤多发生于鼻窦;②病变进展相对较快;③鼻中隔、鼻甲等中线结构破坏,不伴骨质硬化;④呈均匀等T 1 、等T 2 信号,明显弥散受限,呈轻、中度均匀强化。
4.鼻腔及鼻窦恶性肿瘤
①进展快;②多有明显骨质破坏,一般无明显骨质塑形或硬化,常形成不规则实性肿块;③MR T 1 WI、T 2 WI多为中等信号,常为不均匀强化。
图1-3-31 鼻硬结病
A.横断面CT软组织窗,示鼻中隔前部缺损,鼻腔边缘软组织增厚,鼻背部塌陷,鼻部及双侧颌面部软组织肿胀;另外可见双侧上颌窦炎表现;B.MRI横断面T 1 WI,示鼻腔边缘软组织增厚,呈等信号,上颌窦内病变呈低信号;C.MRI横断面T 2 WI,示鼻腔病变呈等信号,双侧上颌窦增厚的黏膜呈高信号;D.横断面T 1 WI+FS+C,示鼻腔边缘轻度强化,双侧上颌窦黏膜边缘可见强化
1.抗感染治疗
常用的抗生素包括头孢类、喹诺酮类、磺胺类。
2.放射治疗
主要机制是抑制肉芽肿增生,减少瘢痕形成,而对鼻硬结杆菌无直接杀伤作用。
3.综合疗法
根据病程,结合放射和抗生素治疗,对瘢痕闭锁、狭窄引起功能障碍可行手术切除或修复,恢复鼻腔功能。通过上述治疗,如细菌培养转变为阴性,活检已无硬结病变特征,可以认为治愈。
1.少见的慢性进行性肉芽肿病变,多从鼻部起病。
2.CT主要表现为鼻中隔、鼻甲及窦壁变形、萎缩及破坏,残余骨质增生硬化。
3.确诊需要结合组织学活检发现克雷伯菌感染的证据。
(李 铮 韩晓伊)