



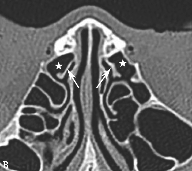
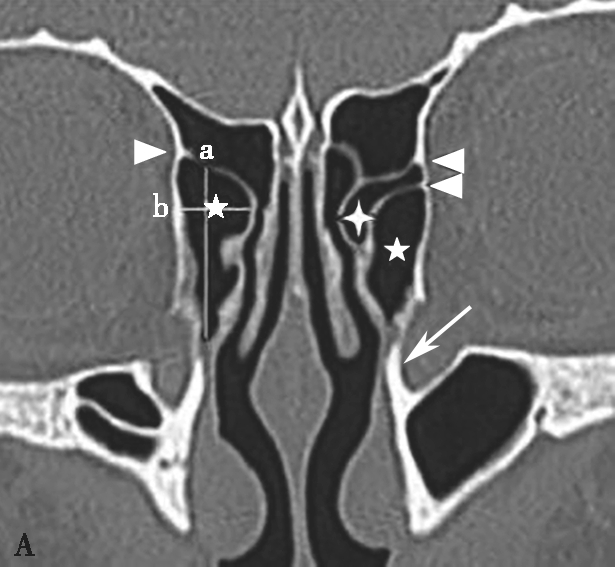
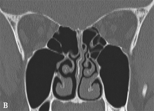
鼻丘气房位于筛漏斗的前上部,与泪骨、上颌骨、筛骨、额骨、鼻骨关系密切。是由筛漏斗直接发展而来。鼻丘气房通常位于额窦底的前部,构成额隐窝的前壁,大小不一,过大、过多可妨碍额窦引流,引起额窦炎。鼻丘气房和钩突眶内壁附着点之间的关系非常密切。当钩突与眶内壁没有附着点时,鼻丘气房不存在;当钩突与眶内壁仅有一个附着点时,鼻丘气房存在;当钩突与眶内壁有两个及以上附着点时,形成上下两个气房,在冠状面观察,偏下的气房称为鼻丘气房,偏上的气房称为额气房,两者内壁均由钩突构成(图1-3-1)。
图1-3-1 鼻丘气房及额气房CT解剖
A~C.鼻丘气房(五角星),额气房(星),钩突(白箭),筛骨纸板(箭头)
(张涵娟 付 琳)
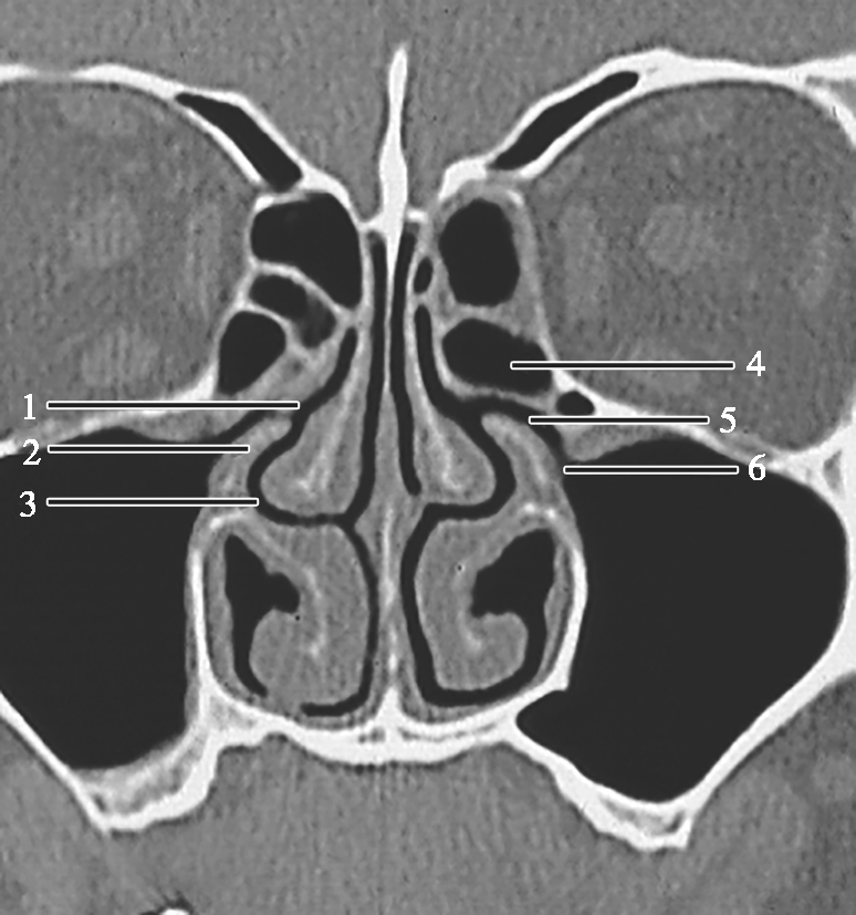
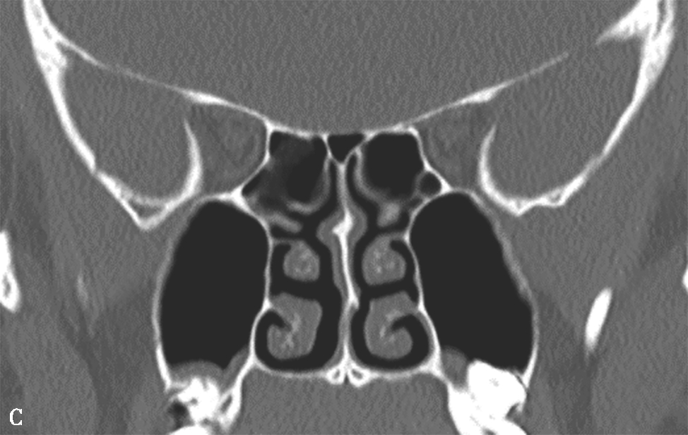
窦口鼻道复合体(ostiomeatal complex,OMC):由于纤维内镜生理性手术的需要,近一二十年来提出了窦口鼻道复合体的概念。窦口鼻道复合体并非一个独立的解剖结构,而是指前组鼻窦自然开口周围的区域,包括中鼻甲、钩突、半月裂、筛漏斗、鼻丘、筛泡、上颌窦自然开口等解剖结构(图1-3-2)。
图1-3-2 窦口鼻道复合体解剖
1.半月裂;2.钩突;3.中鼻道;4.筛大泡;5.筛漏斗;6.上颌窦开口
1.中鼻甲(middle concha)
中鼻甲为筛骨迷路向内卷曲的骨片,前端起自鼻丘,长约4cm。前1/2较宽,上缘起自筛板外缘,垂直向下,为垂直部,后1/2呈90°弯曲向外,附于筛骨纸板,为水平部,两部之间有一冠状面骨板,称为基板,分隔前、中组筛房与后组筛房。中鼻甲发育过窄,特别是垂直部发育过窄时,中鼻道过宽,半月裂暴露于总鼻道内,易受吸入气体冲击出现黏膜的炎症。
筛骨迷路过度气化时中鼻甲也可气化,发生在中鼻甲前部时称为甲泡,发生于中部时称为筛甲气房。中鼻甲气化可使中鼻道狭窄,可能影响半月裂的引流(图1-3-3)。
图1-3-3 中鼻甲解剖变异
A.双中鼻甲气化;B.左中鼻甲反曲;C.左中鼻甲发育小
2.钩突(uncinate process)
为筛骨迷路下部的镰形骨板,前宽后窄,向内上倾斜约45°,后部约2/3上缘游离,与上方相邻的筛泡间形成半月裂。钩突下缘不光整,下缘及后端与上颌骨内侧的上颌窦裂孔下缘与后下缘间的间隙由两层黏膜封闭,缺乏骨性分隔,称为上颌窦囟。可分为前囟与后囟,CT影像上不要误为骨破坏。钩突可发生变异,如肥大、直立,使筛漏斗变窄、向内弯曲,甚至抵在中鼻甲上,造成中鼻道狭窄,可能影响前组鼻窦的引流(图1-3-4)。
图1-3-4 钩突解剖变异
A.左钩突肥大;B.右钩突内偏;C.左侧钩突高位
3.半月裂(hiatus semilunaris)
为筛骨钩突后部的游离缘与其上方筛泡间的新月形裂隙,宽约3mm,自前上向后下走行,是筛漏斗通向中鼻道的通道(图1-3-2)。
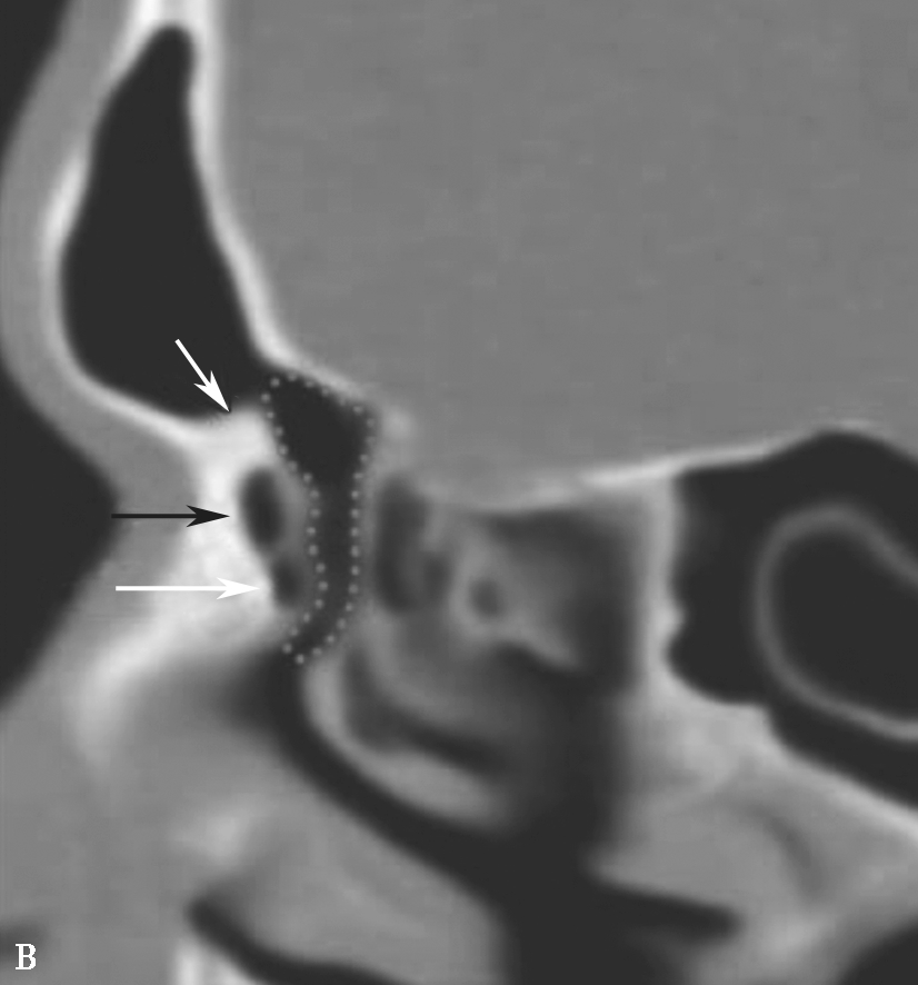
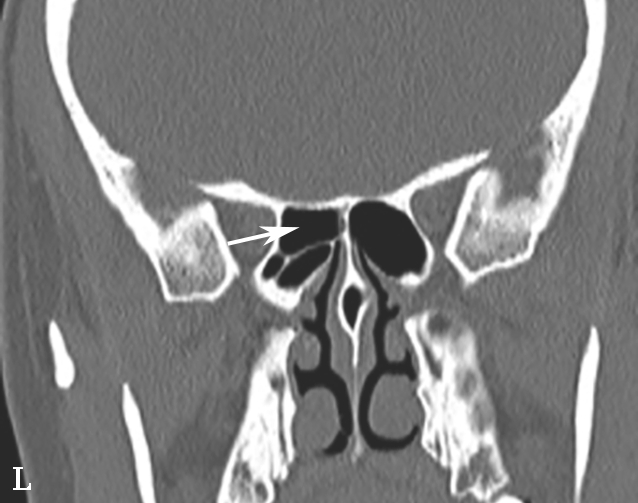
4.筛漏斗(ethmoidal infundibulum)
为筛骨钩突外侧与筛骨迷路间的漏斗形间隙,由前上向后下走行,前部较宽大,为额隐窝,当筛骨钩突前上部起自筛板外缘时,额隐窝为额窦的引流通道;外侧为上颌窦的自然开口;内侧为筛内钩突,后为上颌窦后囟(图1-3-5)。
图1-3-5 筛漏斗解剖
A、B.额隐窝(虚线),鼻丘气房(白箭),额气房(黑箭)
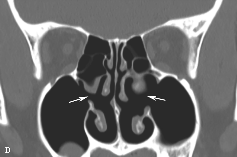
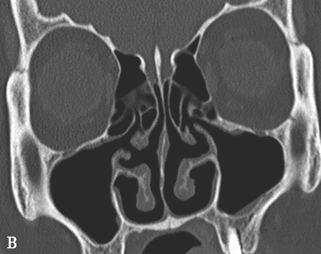
5.筛泡(bulla ethmoidalis)
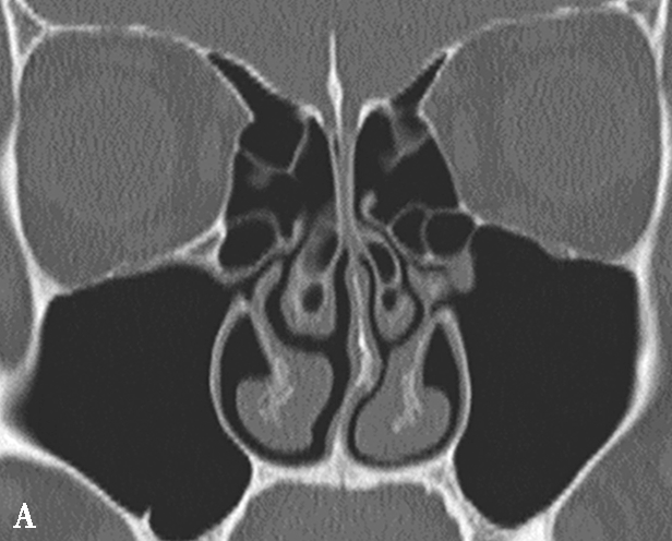
即中组筛房,位于鼻丘后,由1~3个气房构成,内下壁与筛骨钩突间形成半月裂间隙。筛泡过度气化,可能造成筛漏斗及半月裂狭窄,影响引流;过度气化至眶下壁时,称为眶下气房,又称Haller气房,也可能影响上颌窦的引流(图1-3-6)。
图1-3-6 筛泡解剖变异
A.双侧Haller气房;B.左侧筛大泡
(张涵娟 付 琳)
蝶窦气化可扩展到前窗突、翼突,分别称为前窗突气化、翼突气化,有时后床突、蝶骨小翼或鞍背也可气化,这些变异增加了损伤周围的重要结构(比如视神经管、翼管、圆孔等)的机会,术前应仔细地观察。
颈内动脉管突入蝶窦内,有时颈内动脉管壁可缺如,在行蝶窦手术时应注意此种情况,避免损伤造成严重的并发症,而这些变异只能根据CT来确定。
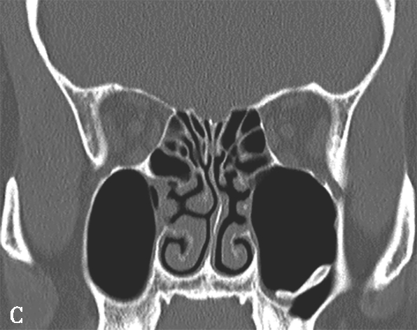
蝶窦常见解剖变异包括:①有分隔的蝶窦,可为纤维或骨性分隔分成几个不对称的部分,此变异容易导致蝶窦手术引流不完全而残留病变;②介甲型蝶窦,窦腔略有气化,发育很小,窦腔后缘与鞍结节垂直线之间尚有10mm厚骨质;③鞍前型蝶窦,蝶窦发育较小,窦腔后缘与鞍结节垂直线相齐,恰好位于蝶鞍之前,蝶鞍底大部分为松质骨;④半鞍型蝶窦,发育尚好,后上缘占鞍底前半部;⑤全鞍型蝶窦,发育良好,自鞍结节至鞍背连线的全鞍底与蝶窦只一层薄骨板;⑥枕鞍型蝶窦,与全鞍型相似,但发育更大,后缘超过鞍背垂线,蝶窦侵入枕骨使斜坡骨板更薄(图1-3-7)。
图1-3-7 蝶窦及蝶窦区解剖变异
A.颈内动脉管突入蝶窦;B.蝶窦间隔(白箭);C.左侧翼突气化;D.蝶嵴(星)、蝶骨大翼(白箭)、鞍背气化(虚箭);E.蝶骨小翼气化(白箭);F、G.鞍前型蝶窦(三角);H、I.甲介型蝶窦;J、K.鞍型蝶窦;L.Odoni气房(白箭)
1.上颌窦发育不全
根据CT表现可将其分为三型:一型,只有轻度发育不全,钩突和筛漏斗正常;二型,上颌窦体积轻至中度减小,并有钩突发育不全或筛漏斗缺如;三型,上颌窦缺如,仅由1个嵴组成,并有钩突缺如。上颌窦发育不全的同侧鼻腔和眼眶常扩大。上颌窦不对称在平片上就可显示,但是窦腔较小可被误认为有慢性上颌窦炎的窦腔,尤其当患者有持续性上呼吸道症状时更易误诊。
2.有分隔的上颌窦
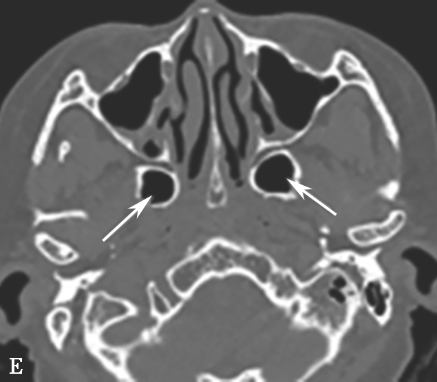
可由纤维或骨性分隔分成2个不对称的部分,这些隔常从眶下管到窦的外侧壁,把上颌窦分成外上和内下部分。此变异应该引起注意,因为分隔可使上颌窦手术引流不完全而使病变残留。双上颌窦是少见的变异,在一侧上颌骨有2个独立的窦腔并通过独立的开口引流到中鼻道(图1-3-8)。
图1-3-8 上颌窦解剖变异
A.右上颌窦未发育;B.上颌窦发育小;C.磨牙突入上颌窦;D.双侧上颌窦副口
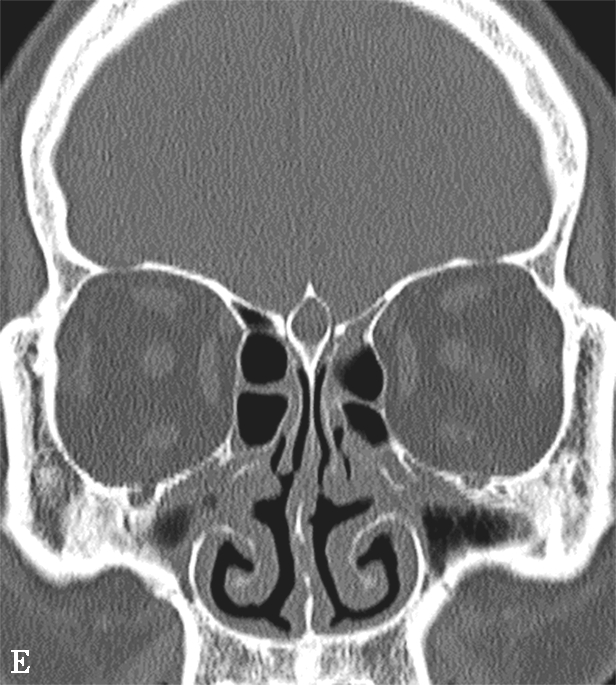
鼻窦过度气化、未发育或发育不良均以额窦最为常见,过度气化的额窦可伸展至颧突,向上至额结节水平以上,或超过眶顶至视神经孔(图1-3-9A),未发育或发育不良的额窦表现为额窦间隔缺如,只有单侧一个额窦窦腔,或双侧额窦窦腔均发育不良(图1-3-9B)。眶上筛房是额窦区域外侧的气房,亚洲人少见,冠状面上表现为随着扫描层面的后移,它的横径逐渐延长(图1-3-9C)。鼻中隔偏曲是指鼻中隔向一侧或两侧弯曲(图1-3-9D),或鼻中隔一侧或两侧局限性凸起,可引起鼻塞、鼻出血以及头痛。鸡冠可以发生气化,引流至额隐窝,如果开口闭塞,鸡冠内可产生黏膜囊肿(图1-3-9E)。
图1-3-9 其他常见解剖变异
A.额窦过度气化;B.额窦未发育;C.眶上筛房;D.鼻中隔偏曲,形成嵴;E.鸡冠气化并感染
(张涵娟 付 琳)