



鼻出血(epistaxis)又称鼻衄,是耳鼻咽喉科临床常见症状之一。多因鼻腔、鼻窦病变引起,常见于鼻、鼻窦的急慢性炎症、外伤、肿瘤及肿瘤样病变等。此外,蝶窦周围动脉瘤或颈内动脉海绵窦处的动脉瘤破裂,可以造成致命性的鼻出血。
1.鼻窦CT
用于所有可疑病变的筛查与诊断。常规平扫、仰卧位、下颌稍上抬。扫描范围从额窦上缘至上颌骨下缘。螺旋扫描,软组织算法、并骨算法重建。常规MPR进行横断面、冠状面和矢状面的骨算法重组,推荐窗宽/窗位为2 000/200HU。必要时冠状面增加软组织算法重组,推荐窗宽/窗位350/40HU。
2.鼻窦MRI
需要进一步明确病变范围;鉴别肿瘤及肿瘤样病变时,需要MRI平扫+增强,增强后图像至少选择一个序列加用脂肪抑制,以利于更明确显示病变范围。
3.颅底CTA
用于可疑动脉瘤患者。
4.DSA
用于动脉瘤患者诊断及治疗。
1.炎性病变与肿瘤及肿瘤样病变鉴别诊断。①急性鼻-鼻窦炎一般表现为鼻腔、鼻窦腔内被软组织影填充,骨质改变轻微;②慢性鼻-鼻窦炎可伴有骨质增生硬化或者增生硬化与骨质吸收并存;③肿瘤及肿瘤样病变占位征象显著,邻近骨质吸收或骨质破坏,容易累及邻近器官。
2.急性鼻-鼻窦炎在儿童、免疫力低下人群可以并发急性眼眶蜂窝织炎、颅内感染等并发症;慢性炎性病变邻近骨质不完整时,需要MRI检查明确病变范围,尤其是邻近颅底脑膜是否受累。
3.真菌球型、变应性真菌性鼻窦炎CT诊断敏感性高,MRI检查用于不典型病变的鉴别诊断及病变范围的进一步界定。
4.侵袭性真菌性鼻窦炎多见于免疫力低下患者,需要CT、MRI检查联合诊断。
5.肿瘤及肿瘤样病变鉴别诊断,多数鼻腔鼻窦肿瘤及肿瘤样病变均可发生鼻出血,组织学类型多种多样,常见病变包括鼻腔血管瘤、出血坏死性鼻息肉、鼻腔鼻窦鳞癌、鼻腔鼻窦腺样囊性癌、鼻腔鼻窦恶性黑色素瘤、鼻咽纤维血管瘤、鼻咽癌等。影像学在定位、定量、定性诊断中发挥着重要作用,多数可做出良、恶性病变鉴别,良性病变CT骨质改变轻微或少许吸收、边缘光整;MRI显示病变边界清晰、锐利。恶性病变CT显示骨质边缘毛糙不整,MRI示病变边缘不规则,与邻近组织分界不清。低度恶性肿瘤需与良性病变鉴别诊断。尽管组织学类型多样,部分肿瘤及肿瘤样病变有典型临床和影像学特征,通过影像可以做出较明确诊断。例如,青少年鼻咽纤维血管瘤(图1-2-4),发生于青少年男性、起自蝶腭孔区,邻近颅底骨质呈溶骨性骨质破坏,病变在咽旁呈侵袭性生长,MRI可见血管流空信号,增强后病变呈显著不均匀强化;临床及CT表现酷似青少年鼻咽癌(图1-2-5),MRI检查有助于鉴别诊断。出血坏死性鼻息肉,CT表现占位征象显著,邻近骨质呈膨胀性改变、部分骨质吸收不完整,MRI显示信号混杂,增强扫描呈显著不均匀强化,实性强化部分的强化程度和时间与邻近动脉相似。鼻腔鼻窦恶性黑色素瘤,CT表现为恶性肿瘤,呈溶骨性骨质破坏;MRI示病变内部显示短T 1 、短T 2 信号可提示诊断,增强扫描呈不均匀强化。其他肿瘤的诊断与鉴别诊断详见后面章节。
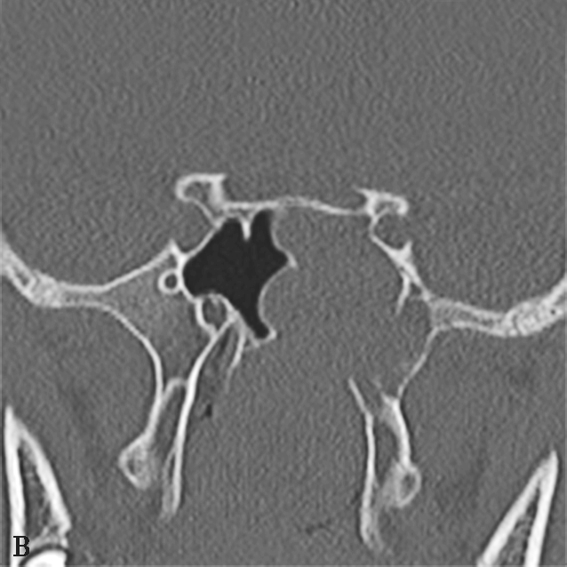
图1-2-4 青少年鼻咽纤维血管瘤
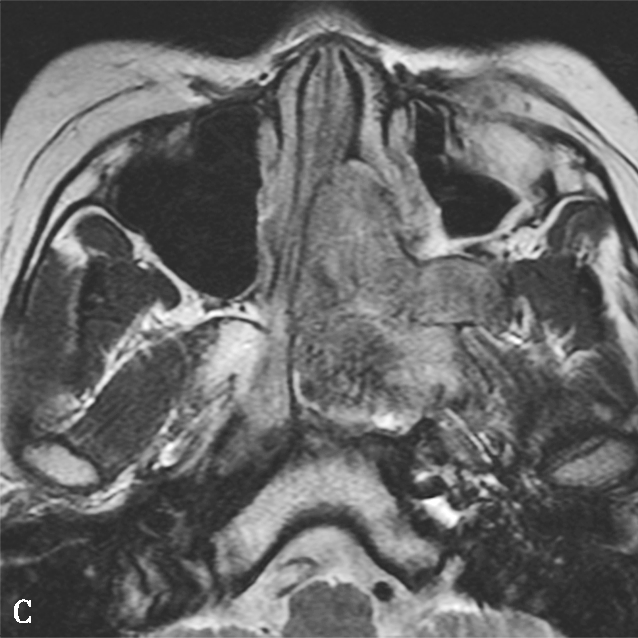
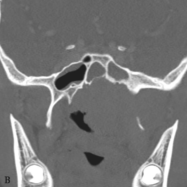
患者男,12岁,间断鼻出血1年。A.鼻窦CT横断面骨窗,示左侧蝶腭孔扩大,被不规则软组织肿块占据,病变累及左侧鼻腔、鼻咽、翼腭窝,邻近骨质可见溶骨性骨质破坏;B.鼻窦CT冠状面重组骨窗,示病变累及鼻腔、蝶窦,邻近骨质可见溶骨性骨质破坏;C.鼻咽部MR T 2 WI横断面,示左侧鼻咽、鼻腔不均匀等信号肿块,病变通过扩大蝶腭孔累及翼腭窝,病变内可见多发血管流空信号;D.鼻咽部MR T 1 WI横断面,示病变呈不均匀低信号;E.鼻咽部MR T 1 WI横断面增强+脂肪抑制序列横断面,示病变显著不均匀信号,与邻近组织分界尚清
6.外伤或经鼻鞍区术后患者鼻出血,除了局部骨折、鼻腔鼻窦软组织损伤导致鼻出血,对于反复出血,尤其出血量较大者,需要进一步排除中颅底骨折致颈内动脉海绵窦段假性动脉瘤突入蝶窦的可能性,颅底CTA检查可以明确诊断,DSA检查则可以兼顾诊断与治疗(图1-2-6)。
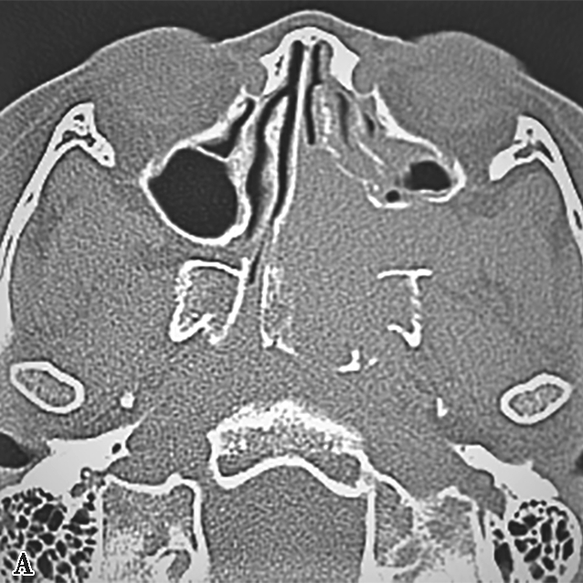
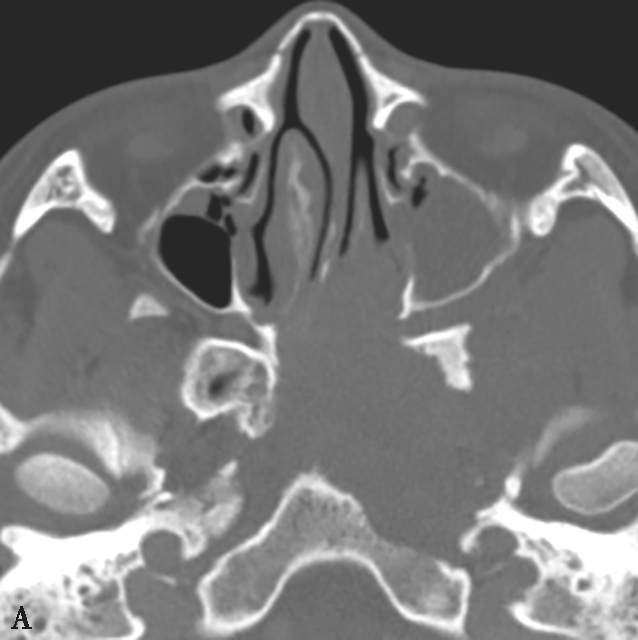
图1-2-5 青少年非角化型鼻咽癌
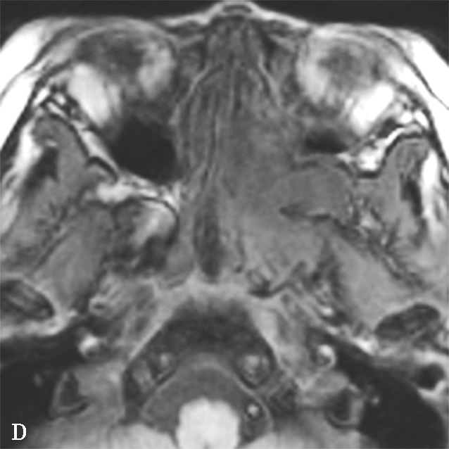
患者男,14岁,反复间断鼻出血、头晕头痛20余天。A.鼻窦CT横断面骨窗,示鼻咽顶后壁左侧软组织肿块,累及后鼻孔区,邻近左侧岩尖、蝶骨翼突骨质破坏、不完整,边缘毛糙;B.鼻窦CT冠状面重组骨窗,示左侧鼻咽顶后壁软组织肿块,邻近蝶骨翼突溶骨性骨质破坏,累及蝶骨体,边缘毛糙不整;C.鼻咽部MR T 2 WI横断面,示鼻咽左侧壁软组织肿块呈不均匀稍高信号,其间可见条状高信号,未见血管流空影;病变累及左侧翼内肌、窦后脂肪间隙;左侧上颌窦内可见积液呈明显高信号;D.鼻咽部MR T 1 WI横断面,示鼻咽部软组织肿块呈等信号,左侧上颌窦内积液呈低信号;E.鼻咽部MR T 1 WI横断面增强脂肪抑制序列,示鼻咽部病变呈明显强化,累及鼻咽左侧壁、顶后壁并跨越中线累及右侧咽隐窝,右侧咽后间隙淋巴结可见,与软组织肿块同步强化;F.鼻咽部MR T 1 WI冠状面增强脂肪抑制序列,示病变累及左侧咽旁间隙,左侧上颌神经明显增粗强化,并经上颌神经累及左侧海绵窦致其增厚、强化。活检病理符合鼻咽癌(非角化型)
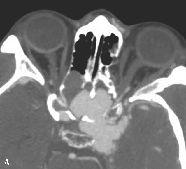
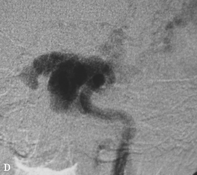
图1-2-6 左侧颈内动脉创伤后假性动脉瘤突入蝶窦
患者男,36岁,车祸伤后左侧额部硬膜外血肿清除并颅骨去骨瓣减压术后半年,间断大量鼻出血半个月就诊。A.颅脑CTA检查MPR横断面重组,可见蝶窦内软组织密度影,部分与颈内动脉同步均匀强化,并通过蝶窦骨质缺损与海绵窦游离段颈内动脉内侧壁相连,蝶窦内病变前缘部分未见强化;B.CPR(曲面重组)重建,示假性动脉瘤瘤体与邻近颈内动脉以宽基底相连,骨折断端与颈内动脉壁关系密切;C.CTA VR重建,示瘤体与左侧颈内动脉海绵窦段相连;D.左侧颈内动脉DSA检查可见海绵窦段假性动脉瘤显影,因瘤体盗血致其远端分支显影不满意