购买
下载掌阅APP,畅读海量书库
立即打开
畅读海量书库
扫码下载掌阅APP

病例9

【病史】

患者,女性,51岁,腹主动脉夹层保守治疗后复查。

【超声表现】

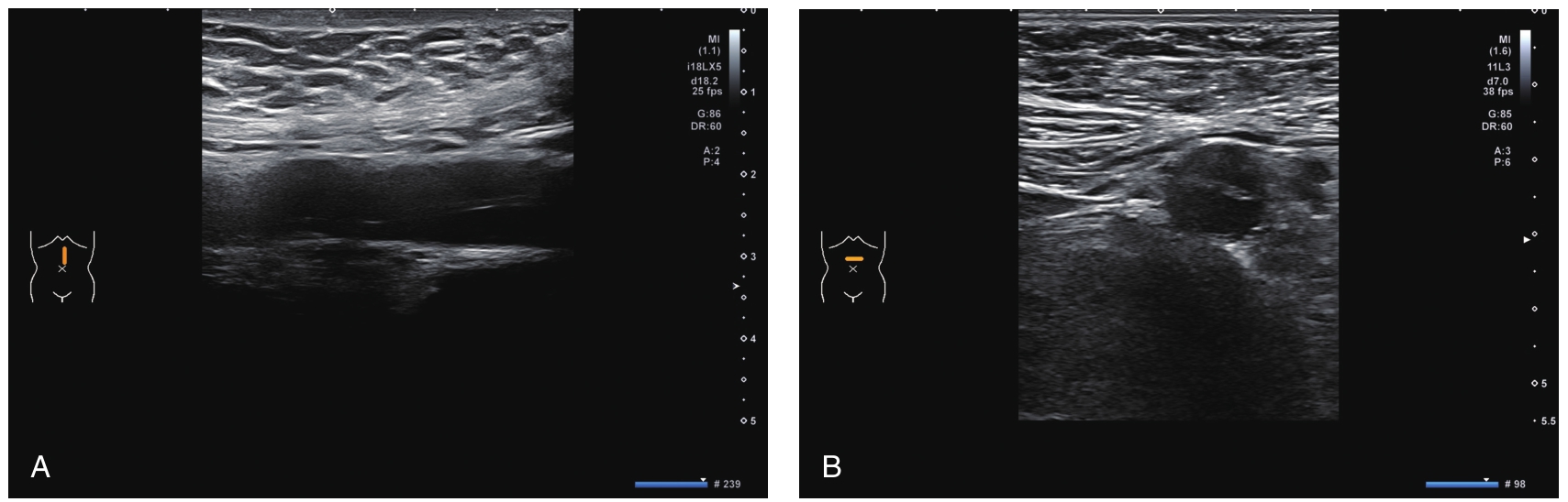
二维灰阶超声:腹主动脉下段内见漂浮线状高回声,将腹主动脉分为真假两腔(图9-1A、B),真腔内径约6mm,假腔内径约5mm。夹层累及长度约3.0cm。上方破口距肾动脉约3.0cm,下方破口近腹主动脉骑跨处,未累及髂动脉。肾动脉、肠系膜上动脉、肠系膜下动脉开口于正常腹主动脉,血流通畅。

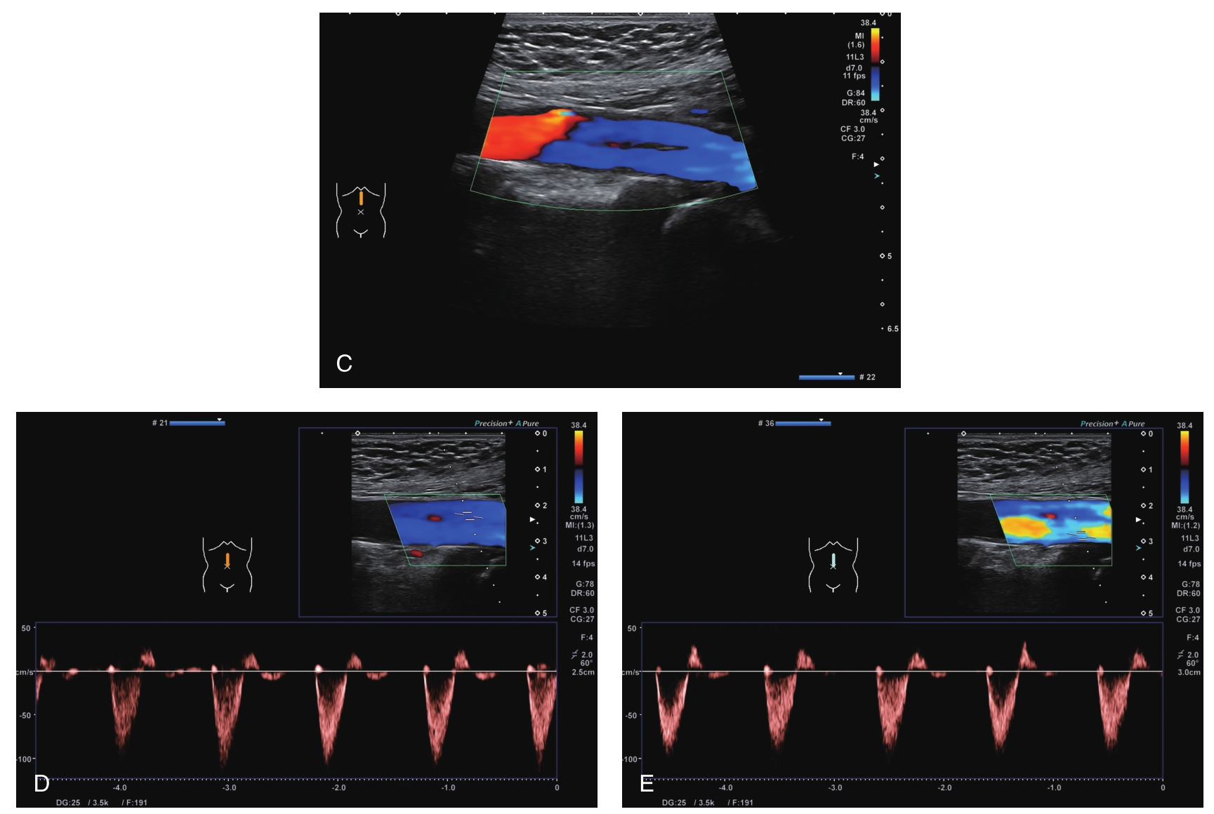
CDFI及脉冲多普勒超声表现见图9-1C、D、E。

图9-1 腹主动脉夹层动脉瘤超声图像

二维灰阶超声(A、B)示腹主动脉下段见漂浮线状高回声。CDFI(C)示真腔、假腔血流均充盈良好。脉冲多普勒超声(D、E)示真腔、假腔血流流速基本一致。

【超声诊断】

腹主动脉夹层。

【超声诊断依据】

二维灰阶超声显示腹主动脉内膜分离,腔内可见漂浮线状高回声,将腹主动脉分为真腔和假腔。彩色多普勒超声显示真假腔血流充盈良好。

【点评】

本病老年患者居多,男性多于女性。主动脉夹层的危险因素有主动脉中层囊性坏死或退变、遗传性结缔组织疾病、先天性二叶主动脉瓣、动脉炎、动脉瘤、高血压、动脉粥样硬化和医源性损伤等。主动脉夹层起病急、进展快、死亡风险高,其明确诊断依赖影像学检查。

超声在腹主动脉夹层的诊断中起重要作用,其主要超声特点包括:①动脉直径增宽;②动脉腔内见漂浮的内膜声像,将管腔分为真腔和假腔;③偶可在内膜破口处探及湍流。夹层腔内修复术治疗需要鉴别真假腔。超声可根据以下特点来区分真假腔:假腔内径一般大于真腔;彩色多普勒超声显示真腔血流速度快,方向与正常动脉一致,血流色彩鲜艳,假腔血流速度慢,血流色彩暗淡;收缩期撕脱内膜向假腔侧移动,真腔扩大。但本例患者真假腔内径相近,彩色多普勒超声显示真假腔均充盈良好,此种情况下超声可以通过观察管壁内膜完整性来进行鉴别。该患者超声扫查条件好,超声仪可清晰分辨血管壁的内膜结构,真腔侧管壁内膜完整,故可区分真假腔。超声扫查时还需要注意腹主动脉主要分支血流情况,判断分支血管开口于真腔或假腔,有助于评估病变范围和制订治疗方案。 5WmcQ02AHj114CzB4J7rCftwo7SnuhZt0qdo9UAogV9rXv5i7l5E7+TsY8lO5h9l

点击中间区域
呼出菜单
上一章
目录
下一章
×