



患儿,女,9岁。2个月前体检闻及心脏杂音,当地医院行心脏超声检查诊断为“先天性心脏病,室间隔缺损”,未行系统治疗。平时不易感冒,无口唇发绀,无咯血、晕厥,无蹲踞现象,生长发育及智力水平与同龄儿无明显差异。
身高135cm,体重27kg,脉搏85次/min,血压90/50mmHg,上肢SpO 2 99%。
窦性心律不齐,心率75次/min,QRS波时限99ms,余无异常。
双肺纹理大致正常,未见实变;主动脉结不宽,肺动脉段饱满,心影不大。心胸比例0.48。
无。
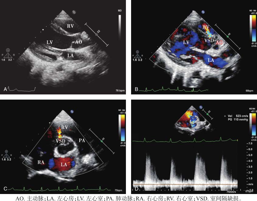
各房室内径大致正常。室间隔与左心室室壁厚度正常,运动幅度正常。室间隔近室上嵴处缺损约3.2mm。房间隔回声连续完整。各瓣膜形态、结构、启闭未见明显异常。大动脉关系及发育正常。主动脉弓降部未见明显异常。
多普勒检查:
收缩期心室水平探及左向右高速分流信号,峰值流速523cm/s,峰值压差110mmHg。见图6-1。
先天性心脏病;室间隔缺损(嵴内型);心室水平左向右分流。
二维超声显示室间隔回声明确中断,胸骨旁大动脉短轴切面显示缺损位于约12点方向,近室上嵴处,为嵴内型。缺损较小,左心房、左心室前负荷增加不明显,因此内径大致正常。彩色多普勒显示左右心室之间为左向右高速分流,连续多普勒测量分流峰值流速523cm/s,峰值压差110mmHg,据此计算肺动脉收缩压不高,患儿尚未出现肺动脉高压。最终诊断为室间隔缺损(嵴内型)。
室间隔缺损修补术。
无。
该患儿因在当地体检闻及心脏杂音发现室间隔缺损行超声心动图检查,发现近室上嵴处室间隔回声明确中断,诊断为室间隔缺损(嵴内型),大小约3.2mm,左心房、左心室内径大致正常,尚未出现肺动脉高压。该患儿室间隔缺损较小,对患儿心脏大小和功能影响较小,但由于缺损位于嵴内,难以自愈。主动脉瓣下无组织支撑,长时间容易导致主动脉瓣脱垂,仍然有手术指征。术前超声心动图检查可以帮助评估室间隔缺损位置、大小及有无肺动脉高压,有利于临床医生选择合适的治疗策略和手术时机。
图6-1 患儿超声心动图表现
A.胸骨旁左心室长轴切面显示左心房、左心室及右心室内径大致正常;B.胸骨旁左心室长轴切面彩色多普勒显示左向右分流信号;C.胸骨旁大动脉短轴切面彩色多普勒显示左向右分流信号;D.连续多普勒测量左向右分流峰值流速523cm/s,峰值压差110mmHg。