



患儿,女,9岁。
身高149cm,体重31kg,脉搏106次/min,血压95/58mmHg,上肢SpO 2 99%。
血常规:Hb 125g/L。
窦性心律不齐,室内阻滞,V 1 导联R/S > 1,ST-T改变,心率84次/min。
肺血多先天性心脏病;右心房、右心室增大。心胸比例0.50。
先天性心脏病;房间隔缺损(中央型);部分型肺静脉异位引流(心内型)。
右心房及右心室扩大,左心房及左心室内径正常;室间隔与左心室后壁运动正常,收缩增厚率正常。房间隔顶部缺损12mm×19mm,右中肺静脉回流入右心房,左侧肺静脉与左心房相连,室间隔延续完整。三尖瓣环扩大,瓣膜闭合欠佳。余瓣膜形态、结构、启闭正常。大动脉关系及发育正常,主动脉弓降部正常。心包腔未见异常。
多普勒检查:
心房水平左向右分流,右中肺静脉回流入右心房。二尖瓣微量反流。三尖瓣少量反流,估算肺动脉收缩压为30mmHg。见图22-1。
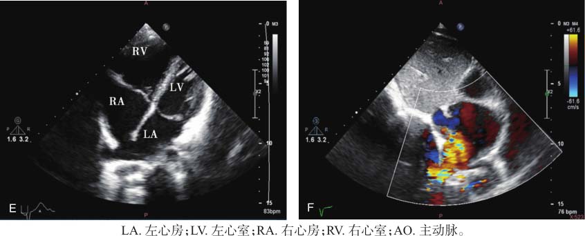
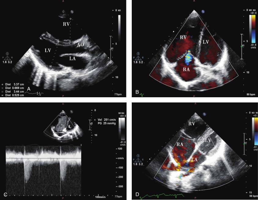
图22-1 患儿超声心动图表现
A.左心室长轴切面显示右心房及右心室增大;B.四腔心切面显示右心房及右心室增大,三尖瓣少量反流;C.三尖瓣反流频谱估测肺动脉压力;D.非标准四腔心切面彩色多普勒显示右中肺静脉回流入右心房;E.二维超声非标准四腔心切面显示房顶部房间隔缺损;F.剑突下双心房切面彩色多普勒显示心房水平左向右分流。
先天性心脏病;房间隔缺损(中央型);部分型肺静脉异位引流(心内型)。
本病例左心室长轴切面显示右心房及右心室明显增大,提示存在左向右分流可能。非标准四腔心切面可进一步明确房间隔缺损及肺静脉异位引流至右心房。部分型肺静脉异位引流合并房间隔缺损时,分流量较单纯房间隔缺损或部分型肺静脉异位引流大。此类部分型肺静脉异位引流可于斜四腔心切面直接观察到肺静脉回流途径,相对不易漏诊和误诊。
肺静脉异位引流矫治术,房间隔缺损修补术。
无。
此种类型异位引流路径为右肺静脉-右心房,在部分型肺静脉异位引流中占68.7%~83%。择期手术前建议进一步行CT检查,常规排查是否有混合型肺静脉异位引流。