



患儿,女,6岁。
身高115cm,体重20kg,脉搏140次/min,血压80/40mmHg,上肢SpO 2 99%。
血常规:Hb 107g/L。
窦性心律,心电轴右偏,心率106次/min。
肺血多先天性心脏病;右心房、右心室增大。心胸比例0.48。
先天性心脏病;部分型肺静脉异位引流;右心房、右心室增大。
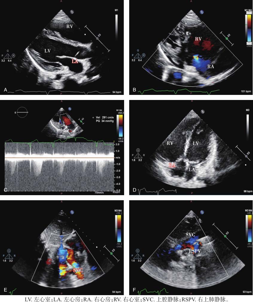
右心房及右心室轻度增大,左心房及左心室内径大致正常。室间隔与左心室室壁运动幅度正常,室壁收缩增厚率正常,右心室室壁厚约3mm,运动幅度正常。房室间隔无明显回声缺失。右上肺静脉未与左心房连接,开口于上腔静脉距右心房入口约18mm处,余肺静脉与左心房连接正常。三尖瓣环稍增大,前叶、隔叶对合略欠佳,余瓣膜未见明显异常。肺动脉明显增宽,主动脉弓降部无明显异常。
多普勒检查:
右上肺静脉血流经上腔静脉回流入右心房。未探及明显心房或心室水平分流。三尖瓣少量反流,估算肺动脉收缩压为40mmHg。见图21-1。
先天性心脏病;部分型肺静脉异位引流(右上肺静脉连接上腔静脉);轻度肺动脉高压,请结合右心导管检查结果。
本病例于常规标准切面可观察到右心增大,而并无房间隔缺损。剑突下双心房切面显示上腔静脉回流增多,提示可能存在肺静脉异位引流入上腔静脉。高位胸骨旁切面证实上腔静脉异常血流汇入,进而确诊部分型肺静脉异位引流入上腔静脉。部分型肺静脉异位引流也产生类似于房间隔缺损的左向右分流效应,单支肺静脉异位引流分流量不大且常规切面不易显示,超声诊断部分型肺静脉异位引流相对困难,通过寻找异位引流肺静脉在右心房侧的入口血流来证实或除外肺静脉异位引流的诊断更为清晰明了。上腔型肺静脉异位引流需要观察异位引流的肺静脉有无梗阻,开口距右心房入口的距离,评估肺动脉压力。
肺静脉异位引流矫治术。
无。
此种类型异位引流路径为右肺静脉-右上腔静脉-右心房,在部分型肺静脉异位引流中占10%~19%。右心扩大、肺动脉增宽、肺动脉压力增高等是肺静脉异位引流的间接征象,超声检查时观察到左向右分流的间接征象而未见间隔缺损,需进一步找寻直接征象,如肺静脉回流入上腔静脉。此外,需要重点排查是否有混合型肺静脉异位引流。
图21-1 患儿超声心动图表现
A.主动脉长轴切面显示右心房及右心室轻度增大,左心房及左心室内径大致正常;B.右心室流入道切面显示三尖瓣少量反流;C.三尖瓣反流频谱估测肺动脉压力增高;D.四腔心切面显示右心房及右心室增大;E.剑突下双心房切面显示上腔静脉回流增多;F.右侧高位胸骨旁切面显示右上肺静脉回流入上腔静脉,上腔静脉增宽,于此处可测量右上肺静脉距右心房入口的距离。