



患儿,女,1岁3月龄。患儿10月龄前体检发现心脏杂音,当地医院行心脏超声检查诊断为“先天性心脏病,动脉导管未闭,二尖瓣关闭不全”,未行系统治疗。患儿平素易感冒,感冒后气促,活动量可。未见口唇或指端发绀。发育略差,智力水平与同龄儿无明显差异。
身长72cm,体重8kg,脉搏125次/min,血压96/58mmHg,上肢SpO 2 100%。
窦性心律。
双肺血增多,未见实变;主动脉结不宽,肺动脉段饱满,左心房、左心室增大。心胸比例0.58。
无。
左心房、左心室内径增大,右心房、右心室内径正常。室间隔与左心室室壁厚度正常,运动幅度正常。房室间隔回声连续完整。二尖瓣环扩大,前后径约21mm,内外径约18mm,瓣叶结构未见明显异常,后叶活动度偏低,致A1~A2区对合缘减小,瓣叶对合不佳。余瓣膜形态、结构、启闭未见明显异常。降主动脉峡部与左肺动脉之间探及管型导管,主动脉侧宽约9mm,肺动脉侧宽约8mm,长度约4mm。大动脉关系及发育正常。主动脉弓降部未见明显异常。
多普勒检查:
动脉水平探及左向右连续性分流信号,峰值流速396cm/s,峰值压差63mmHg。二尖瓣中量反流,缩流颈宽约3.7mm。见图15-1。
先天性心脏病;动脉导管未闭(管型);动脉水平左向右分流;二尖瓣中量反流。
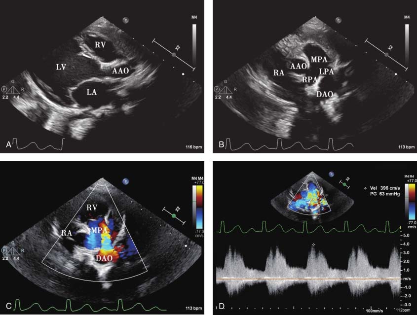
图15-1 患儿超声心动图表现
A.胸骨旁左心室长轴切面显示左心房、左心室内径增大,右心室内径正常;B.胸骨旁肺动脉长轴切面显示降主动脉与左肺动脉开口之间未闭的动脉导管,为管型,降主动脉侧和肺动脉侧内径相近;C.胸骨旁肺动脉长轴切面彩色多普勒显示降主动脉与左肺动脉之间左向右连续性分流信号;D.连续多普勒测量降主动脉与左肺动脉之间分流峰值流速为396cm/s,峰值压差为63mmHg;E.心尖四腔心切面显示二尖瓣环扩大,瓣叶对合缘减小;F.彩色多普勒显示二尖瓣中量反流;G.胸骨上窝切面彩色多普勒显示降主动脉与左肺动脉之间左向右连续性分流信号。
二维超声显示降主动脉峡部和左肺动脉之间导管回声,呈管样,主动脉侧与肺动脉侧内径相近。左心房、左心室内径增大,符合动脉导管未闭导致的左心前负荷增加的血流动力学改变。动脉水平为左向右高速连续性分流,连续多普勒测量分流峰值流速为396cm/s,峰值压差为63mmHg,据此计算肺动脉收缩压不高,患儿尚未出现肺动脉高压。由于左心内径增大,二尖瓣环扩大,导致二尖瓣叶对合缘减小,瓣叶对合不良,二尖瓣中量反流。最终诊断为动脉导管未闭(管型),二尖瓣中量反流。
动脉导管结扎术,直视下二尖瓣成形术。
无。
该患儿10月龄前体检发现心脏杂音,行超声心动图检查发现未闭的动脉导管,主动脉侧与肺动脉侧内径相近,诊断为动脉导管未闭(管型),二尖瓣中量反流。患儿左心房、左心室内径增大,尚未出现肺动脉高压。该导管内径较大,且已经导致左心增大和继发的中量二尖瓣反流,如不手术,患儿左心房、左心室内径会更加增大,二尖瓣反流量也会增多,并且有发展为肺动脉高压的可能,最终可能会形成艾森门格综合征,从而失去手术机会,因此应择期行动脉导管结扎术,同时对二尖瓣进行成形,改善患儿预后。术前超声心动图检查可以帮助评估动脉导管的位置、大小、类型,有无肺动脉高压,以及有无继发的二尖瓣反流及其程度,有利于临床医生选择合适的治疗策略和手术时机。