



患儿,男,4岁。外院心脏超声检查提示先天性心脏病复杂畸形。
身高90cm,体重15kg,脉搏92次/min,血压80/60mmHg。
血常规:正常。
窦性心律,心率92次/min,电轴左偏,PR间期延长。
无。
无。
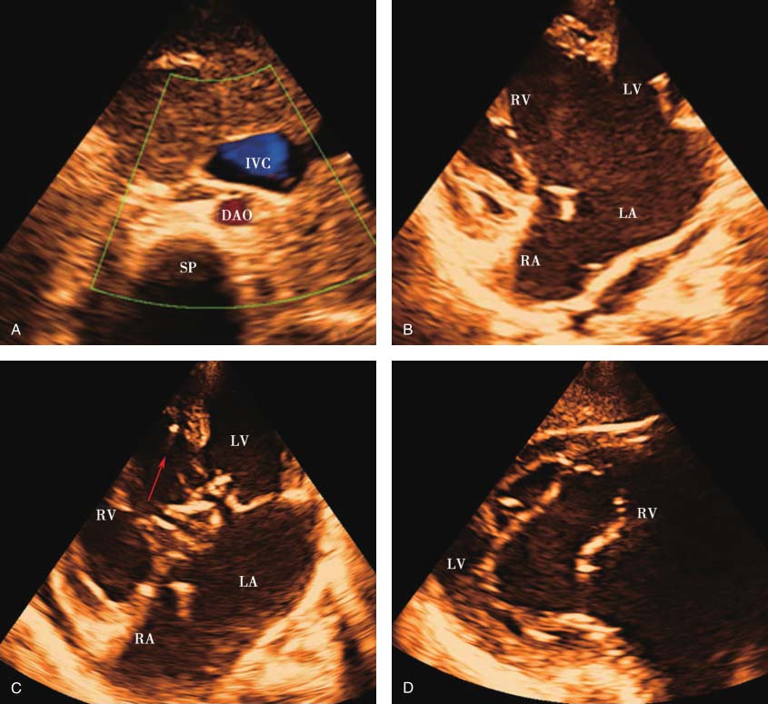
右心、左心房扩大。室间隔与左心室室壁厚度正常,运动幅度正常。房间隔下部至室间隔上部可探及宽约40mm回声失落,探及共同房室瓣环及共同房室瓣启闭,前桥瓣腱索骑跨,系于室间隔右心室面。流出道切面见肺动脉和主动脉均发自解剖学右心室,肺动脉在左,主动脉在右,肺动脉瓣增厚,回声增强,开放受限。左心房房壁未探及肺静脉切迹,其后方探及四支肺静脉均引流入共同肺静脉腔。主动脉弓降部未见明显异常。心包无异常。见图13-1。
先天性心脏病;右心房异构;完全型心内膜垫缺损(B型);右心室双出口(double outlet of right ventricle,DORV);肺动脉瓣狭窄;完全型肺静脉异位引流;肺动脉高压。
上腹部横切面显示水平肝,无脾,腹主动脉和下腔静脉位于脊柱同侧,由此可判断患者为右心房异构。二维超声显示四腔心切面十字交叉结构消失,房间隔下部至室间隔上部可探及回声失落,无正常的相互独立的左右心室流入道,探及共同房室瓣环和共同房室瓣启闭,前后桥瓣之间未粘连,前桥瓣腱索系于室间隔右心室侧,可诊断为完全型心内膜垫缺损,Rastelli分型为B型。主动脉和肺动脉起始部交叉包绕现象消失,二者均发自右心室,起始部平行走行,诊断为DORV,且肺动脉瓣存在狭窄。对右心房异构患者应特别关注是否存在肺静脉异位引流,重点观察左心房房壁是否有肺静脉切迹,是否存在肺静脉腔。
图13-1 患儿超声心动图表现
A.上腹部横切面显示腹主动脉和下腔静脉均位于脊柱左侧,下腔静脉在前,腹主动脉在后;B.四腔心切面显示十字交叉结构消失,房间隔下部至室间隔上部可探及回声失落,并见共同房室瓣启闭;C.四腔心切面显示前桥瓣腱索骑跨,并系于室间隔右心室面(箭头);D.剑突下切面瓣口水平心室短轴切面显示共同房室瓣启闭;E.流出道切面显示肺动脉和主动脉均发自解剖学右心室;F.肺动脉瓣增厚,回声增强,开放受限,呈圆顶征(箭头);G.舒张期肺动脉瓣反流速度约360.82cm/s,估测平均肺动脉压约52.08mmHg;H.左心房房壁未探及肺静脉切迹,左心房后方探及四支肺静脉引流入共同肺静脉腔。
择期行房间隔缺损+室间隔缺损修补术,房室瓣成形术,DORV矫治术,肺静脉异位引流根治术。
无。
完全型心内膜垫缺损最关键的是十字交叉结构消失,共同房室瓣启闭。四腔心切面仔细观察前桥瓣腱索的连接是判断Rastelli分型的关键切面,Rastelli A型和B型的区别在于前桥瓣腱索系于室间隔嵴顶部还是由一侧心室骑跨至另一侧心室。因Rastelli B型的患者有腱索骑跨,影响补片缝合,需将其切断。另外,完全型房室间隔缺损易合并心房异构,尤其是右心房异构,检查时应注意仔细扫查避免漏诊,同时应关注心室-动脉连接、心房-静脉连接是否存在异常。