



内容要点:
高压力性脑积水是脑室内平均压力或搏动性压力增高而引起脑室系统扩大,以致不能代偿的脑积水。临床表现以头痛、呕吐等颅内压增高征为主。CT/MRI显示脑室系统普遍扩大,伴有明显的间质性水肿。高压力性脑积水应尽早行手术治疗。
高压力性脑积水又称进行性脑积水,是由于脑室系统和蛛网膜下腔发生阻塞,导致脑室内平均压力或搏动性压力增高而引起脑室系统扩大,以致不能代偿,而出现相应的临床症状。
如中脑导水管先天性狭窄或闭锁、Arnold-Chiari畸形及Dandy-Walker畸形等,因脑脊液循环通路先天性发育异常导致。
如颅内占位、出血及寄生虫等可影响脑脊液循环通路的病变均可能导致脑积水。如侧脑室内病变可阻塞室间孔;第三脑室病变可阻塞第三脑室;第四脑室内、小脑半球及蚓部、脑干和桥小脑角病变可阻塞或压迫第四脑室和中脑导水管出口。颅脑损伤去骨瓣减压术后发生严重脑膨出、移位,可导致脑脊液循环阻碍而产生脑积水。
某些颅内肿瘤,如脑室内脉络丛乳头状瘤,能分泌异常增多的脑脊液,超过机体的吸收能力而产生脑积水。
颅内出血、炎症后使软脑膜和蛛网膜之间发生粘连或阻塞蛛网膜颗粒,造成脑脊液的循环和吸收障碍,也有可能造成颅内压升高。
正常生理条件下,成人脑脊液容积约为150ml,生成速度为每分钟0.3~0.5ml。脑脊液主要由脑室内脉络丛产生,少数来自室管膜和脑实质毛细血管内皮。脑脊液循环开始于侧脑室,经室间孔进入第三脑室,再经中脑导水管进入第四脑室。此后脑脊液分别通过第四脑室的正中孔和外侧孔进入脊髓和脑的蛛网膜下腔,被矢状窦旁的蛛网膜颗粒吸收流入静脉血中。当颅内发生脑脊液分泌过多、循环通路受阻或吸收障碍时,脑室将发生进行性扩大,产生高压力性脑积水。
在大体解剖上,高压力性脑积水表现为大脑皮质菲薄、脑回平坦、脑沟变浅;胼胝体、基底节及脉络丛等结构因长期受压而萎缩;第三脑室底向下凸出;室管膜细胞的侧突肿大、伸长,继而室管膜逐渐消失;脑室的进行性扩大,使脑脊液进入脑室周围组织而导致白质水肿,严重时可扩展至灰质;侧脑室周围可形成憩室或囊肿,穿破大脑皮质时可发生脑室与蛛网膜下腔穿通。
是指在数小时至1周内进行性颅内压增高的脑积水。常见于急性脑出血、脑室内出血所致脑室系统及中脑导水管的梗阻。患者多表现为急性高颅压征象,以头痛、呕吐为主要症状,可伴有视力减退、复视等。病情进展,可出现嗜睡、反应迟钝等表现。严重时出现昏迷、瞳孔散大、对光反射消失、血压升高、脉搏徐缓、呼吸不规则等。若不及时救治,可因呼吸循环衰竭而死亡。
亚急性高压力性脑积水常发生于原发病后2~3周,慢性高压力性脑积水病程进展缓慢。多继发于各种原因引起的蛛网膜下腔出血、感染或颅内占位性病变。主要有以下临床表现:
①头痛:以双颞侧为主,卧位时加重,站立位时缓解。随着病情的进展,可出现持续性全颅疼痛。②呕吐:多伴有与头部位置无关的剧烈头痛,呕吐后头痛可有缓解。③视力减退:脑积水中晚期可出现视物不清、复视及眼底视神经乳头水肿。晚期时扩大的侧脑室枕角损伤枕叶视皮质或扩大的第三脑室压迫视交叉,引起视力减退甚至失明。④脑室的异常扩张牵拉、损伤脑室周围的皮质脊髓束纤维,导致四肢轻瘫、肌张力增高,晚期可有锥体束征、四肢痉挛性瘫、去脑强直等。⑤脑室系统地进行性扩大导致明显的脑萎缩,引起记忆力和智力减退。⑥脑积水进展期可出现精神不振、反应迟钝,晚期可出现嗜睡、昏迷、癫痫发作。如病情继续进展,可发生脑疝而死亡。
目前诊断高压力性脑积水的辅助检查主要为CT、MRI。对于有头痛、呕吐等症状者,应及时行头颅CT或MRI平扫和增强扫描,不仅能早期诊断高压力性脑积水,还能明确阻塞的部位和原因、脑室扩大程度及皮质厚度等情况。另外,CT和MRI检查还可用于术后复查或追踪脑积水病情的进展。
①有无头部外伤或手术史;②有无颅内感染史;③有无颅内血管性疾病所致出血史;④有无脑积水家族史;⑤有无寄生虫流行疫区接触史。
以颅内压增高为主要特征。
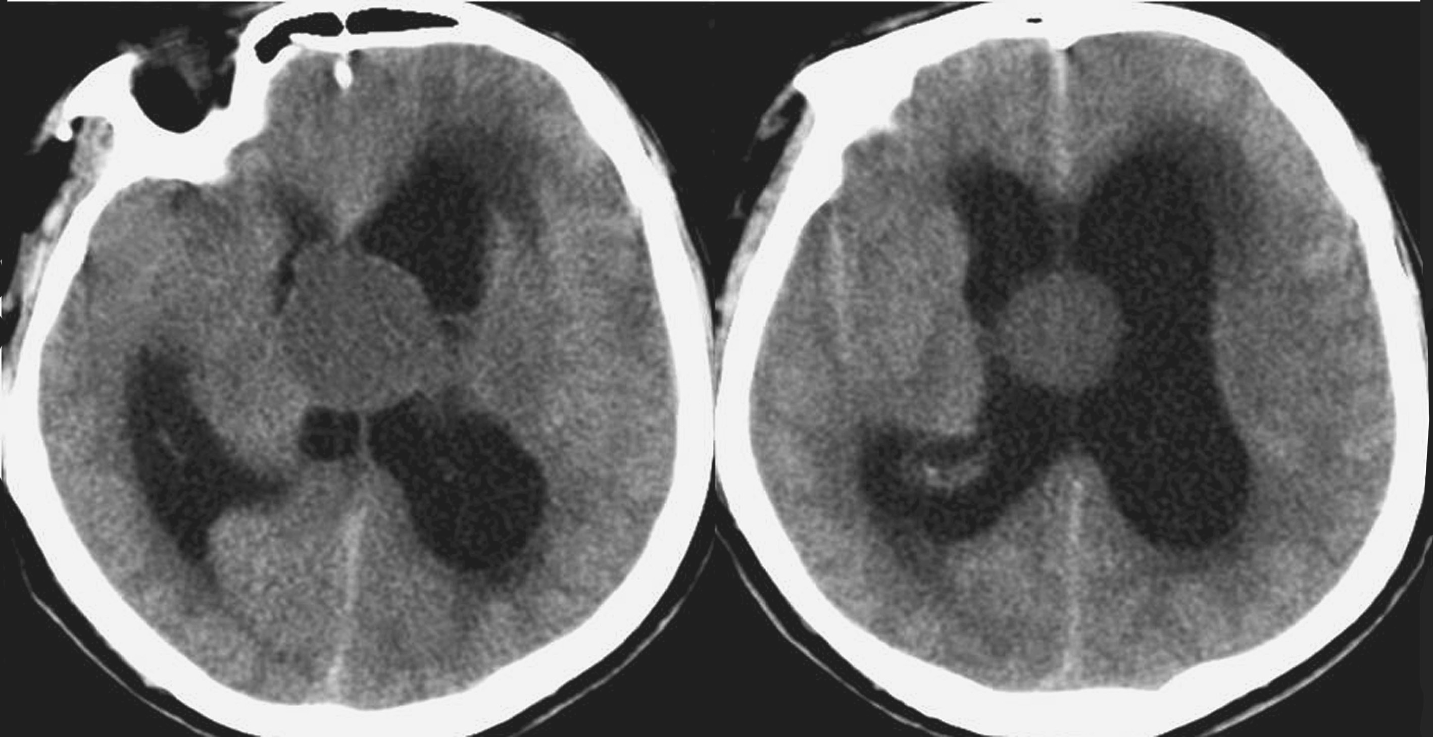
(1)CT表现(图5-1-1):
①脑室系统普遍扩大而蛛网膜下腔变浅或消失;②侧脑室额角和颞角变钝、变圆,枕角扩大出现较晚;③侧脑室周围白质内可见明显的低密度水肿带。
图5-1-1 高压力性脑积水的CT表现
(2)MRI表现(图5-1-2):
①脑室系统明显扩大,蛛网膜下腔消失;②脑室额角和/或颞角呈圆形,伴脑室周围呈低或等T 1 信号、高T 2 信号的间质性水肿带;③第三脑室呈球形扩大,视隐窝和漏斗隐窝变浅变钝;④胼胝体位置抬高。
图5-1-2 高压力性脑积水的MRI表现
高压力性脑积水需要与以下疾病相鉴别:
常位于一侧大脑半球白质内,边界不清。CT表现为均匀或不均匀的等或低密度灶,伴有一定的占位效应和瘤周水肿。MRI表现为低或等T 1 、高T 2 信号,可伴有轻度瘤周水肿,脑室系统扩大较为少见。
常有头部外伤史,可出现头痛、呕吐等颅内压增高临床表现。CT或MRI上表现为单侧或双侧新月形病灶,蛛网膜下腔变浅或消失,侧脑室受压变形,无脑室扩大和周围水肿带。
高压力性脑积水一旦明确诊断,应尽早行手术治疗。
下列情况不适合做分流手术:
(1)处于急性脑积水所致脑疝晚期,出现双侧瞳孔散大、呼吸、循环衰竭征象者。
(2)有严重的心、肺、肝、肾等系统疾病不能耐受手术者。
(3)有严重的凝血功能障碍者。
(4)脑脊液异常者(蛋白升高,白细胞和/或红细胞增多)。
(5)拟行脑室-腹腔分流术患者,存在腹水和颅内、腹腔或分流通道感染者。
(1)病因治疗,切除引起梗阻的肿瘤或病变。
(2)脑室外引流术:急性高压力性脑积水暂无脑脊液分流术或颅内原发病变切除术条件时,应急诊行侧脑室外引流术救治。待病情允许后,择期行进一步手术治疗。
(3)梗阻性脑积水首选脑室镜下终板造瘘术。
(4)侧脑室-腹腔分流术:是治疗高压力性脑积水的主要脑脊液分流术式。另外还有脑室-矢状窦分流术、脑室-心房分流术等。
颅内压增高程度较轻时,可以使用高渗药物和利尿剂治疗,如静脉滴注甘露醇或口服乙酰唑胺、静脉注射呋塞米等。药物治疗仅能暂时缓解临床症状,并不能阻止病情的继续发展。
高压力性脑积水患者的预后与脑积水病情发展程度、手术治疗时机及病因治疗效果等因素相关。因此,若能达到尽早诊断、及时手术和有效解除致病因素,高压力性脑积水患者将能够获得相对良好的预后。
【典型病例】
患者,男,58岁,主诉“头痛半年,突发抽搐伴昏迷10小时”。
现病史:患者半年前无明显诱因出现头痛,为双颞侧胀痛,能自行缓解,未予特殊诊治。近1个月来患者头痛症状明显加重,伴有呕吐,于当地诊所静脉滴注甘露醇注射液治疗有效。10小时前患者排尿后突发抽搐2次,表现为神志不清、四肢痉挛、口吐白沫,每次持续约30秒。于当地医院行头颅CT检查显示颅内占位病变伴脑积水,镇静、脱水治疗后未再有抽搐发作,为求进一步治疗急诊转来医院。
查体:嗜睡状态,查体不配合。双瞳孔等大正圆,直径约4.0mm,对光反射迟钝,无眼球震颤或斜视;颈强直;心肺未闻及异常;腹平软,无肌紧张;四肢刺痛有躲避反应,肌张力增高。膝反射亢进;双侧征阴性。
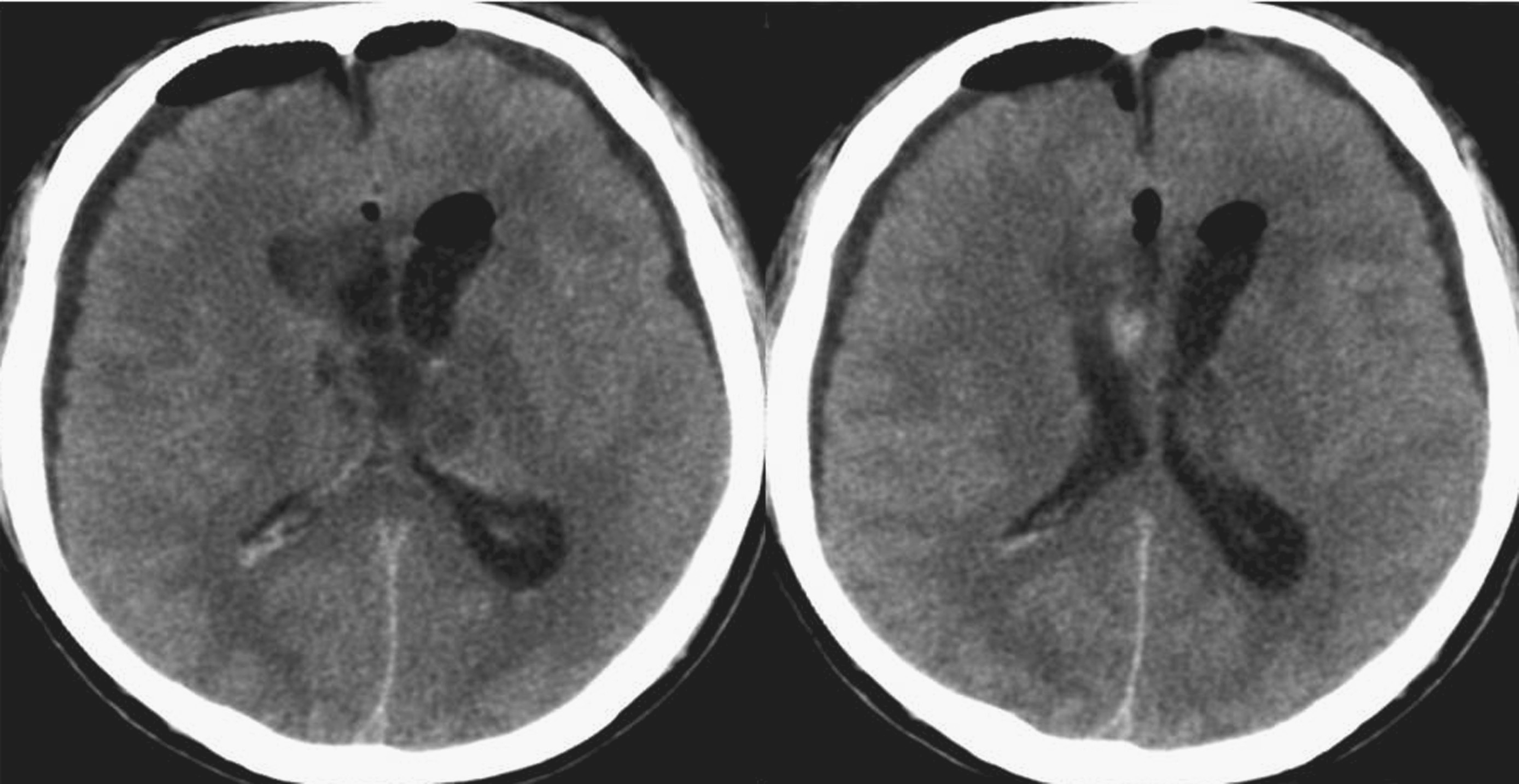
辅助检查:头颅CT(图5-1-3)提示第三脑室见类圆形低密度病变,脑室普遍扩大,脑沟消失,伴侧脑室周围低密度水肿带。
图5-1-3 头颅CT表现
初步诊断:第三脑室内占位性病变;高压力性脑积水。
治疗过程:双侧侧脑室外引流术。
知识点
梗阻性脑积水的影像学表现
头颅X线片:颅骨内板可见指压痕(慢性病例)。
头颅CT:见脑室扩大,双额角径或颅内径(Evans指数)>0.33是诊断脑积水的指标;额角变锐<100°;颞角宽度>3mm;脑室边缘模糊,室旁低密度晕环;基底池,脑沟受压/消失。
头颅MRI:矢状位可显示导水管是否梗阻,幕上脑室扩大;胼胝体变薄,向上拉伸;穹窿、大脑内静脉向下移位、第三脑室底疝入扩大的蝶鞍;脑脊液样的指纹状高信号向脑室外延伸到脑组织,间质水肿在脑室周围明显;脑室内脑脊液形成湍流;导水管流空消失。
指南解读
梗阻性脑积水治疗方式的选择
中国脑积水规范化治疗专家共识(2013版)
1.脑室-腹腔分流术适合于大多数类型的脑积水。
2.脑室-心房分流术常用于不适合做脑室-腹腔分流术者,如腹腔内感染,有严重呼吸、循环系统疾病者为禁忌证。
3.第三脑室底造瘘术适合于非交通性和部分交通性脑积水患者。
4.脑室穿刺外引流可作为急诊抢救的手段。
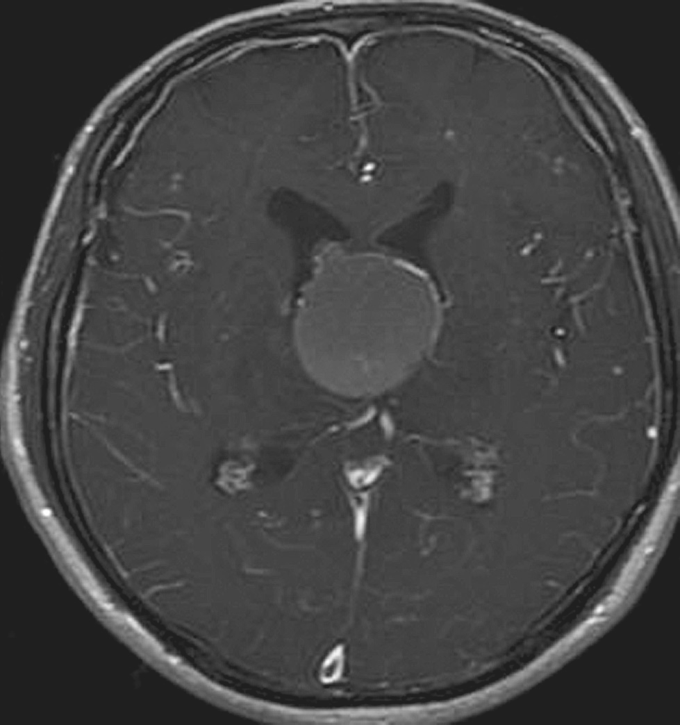
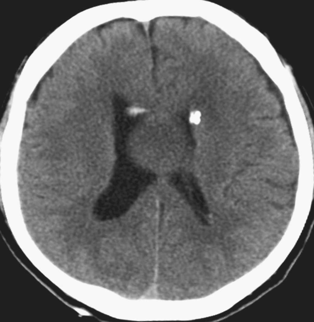
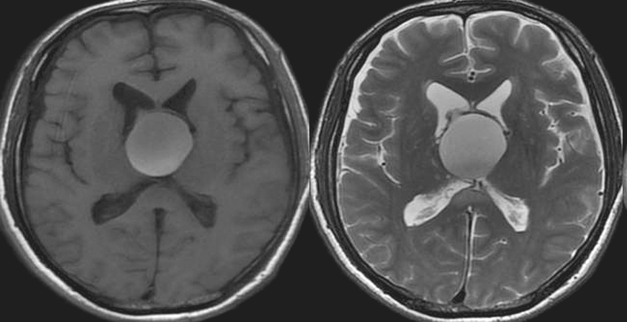
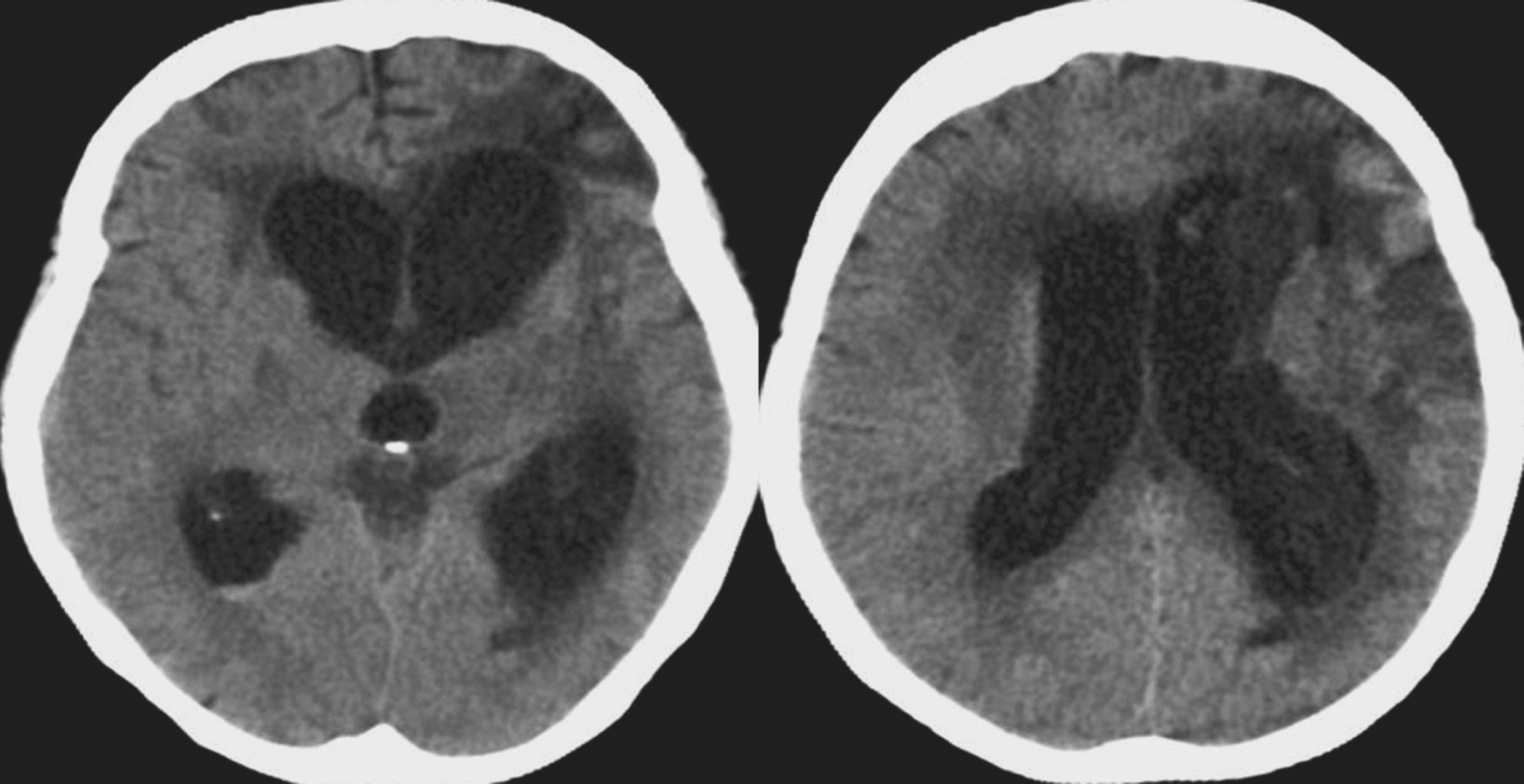
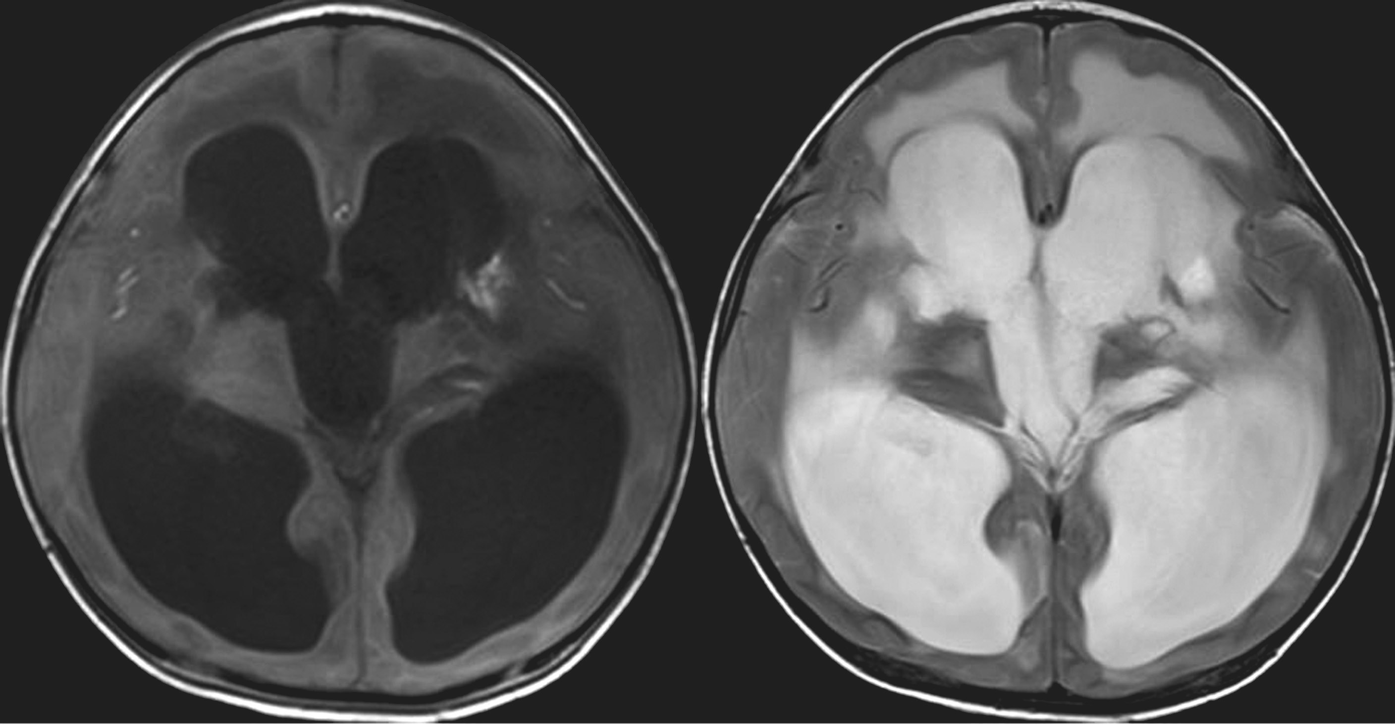
术后查体:神志恍惚,能简单回答问话。双瞳孔等大正圆,直径4.0mm,对光反射灵敏。颈软。四肢自主活动良好,肌张力略高。双侧Babinski征阴性。给予抗炎、脱水及对症治疗。术后24小时内复查头颅CT结果显示脑室系统明显变小(图5-1-4)。术后第3日患者神志清楚,问答合理。双侧脑室引流管通畅。术后第4日完善头颅MRI检查(图5-1-5)。双侧侧脑室外引流术后第6日于全身麻醉下行“经纵裂-胼胝体-穹窿间入路第三脑室内占位病变切除术”。手术过程顺利,复查头颅CT显示完全切除肿瘤,脑室大小基本正常(图5-1-6)。病理检查结果回报:胶样囊肿。患者2周后出院。目前随访恢复良好,未见肿瘤和脑积水复发。
图5-1-4 脑室外引流术后CT表现(引流术后24小时)
图5-1-5 脑室外引流术后MRI表现(引流术后第4日)
图5-1-6 肿瘤切除术后CT表现
临床要点
合并颅内占位的脑积水患者应该如何处理,医学界对其认识也在逐渐提高。较为传统的认识:若估计手术不能全部切除肿瘤,或不能解除梗阻因素,做术前脑室-腹腔分流术有助于肿瘤切除术后安全度过围手术危险期。由于手术技术和辅助手段的提高,解除颅内梗阻的可能性有很大提高,术前分流的情况有所减少。同时由于神经内镜的应用,可以在部分梗阻性脑积水病例中进行终板造瘘,做到了脑脊液的内引流,不必行分流手术。