



内容要点:
1.脑膨出 是指脑组织、脑膜及脑脊液由颅骨缺损处凸出形成疝囊并膨出于体外,主要分为颅前部和颅后部,前者预后较后者好;常合并脑积水及其他颅内外畸形,产前超声及MRI等可明确脑膨出位置及类型,产后MRI及CT等可用于评估手术风险、制订手术方案。
2.Chiari畸形 是以小脑扁桃体通过枕骨大孔不同程度的下疝为主要特征,Ⅰ型发病率最高;多伴脊髓空洞,主要表现为颅内压增高,以及脊髓、小脑、后组脑神经受损等症状;结合典型临床表现及影像学特征可明确诊断;无症状者可动态随诊,有症状者手术是唯一有效的治疗方法。
3.Dandy-Walker畸形 是以小脑蚓部完全或部分缺如、颅后窝扩大伴小脑幕及横窦上移、第四脑室囊性扩张的典型三联表现为主要特征;多为常染色体隐性变异所致,常合并脑积水及其他颅内外畸形,主要依据影像学检查确诊;无症状者无须特殊处理,合并脑积水者可行相应手术治疗。
4.脊柱裂 可引起脊髓脊膜膨出、脊髓膨出和脊膜膨出,常表现为腰段、腰骶段背部先天性肿块,可伴有神经功能障碍,其中脊髓膨出症状最严重、预后最差,绝大多数可通过产前超声及羊水穿刺明确诊断;主要治疗方案为手术,目的是改善神经功能,阻止神经进一步变性。
5.脊髓栓系综合征 是脊髓因各种原因受到异常牵拉造成脊髓神经病理改变而产生的一系列神经功能障碍和畸形,最突出的临床表现是不对称的感觉和运动功能“跳跃区域”性的障碍;MRI对明确诊断具有高敏感性,任何年龄的患儿一经诊断即可进行手术,目前预防性手术治疗越来越受到重视。
6.皮肤窦道 可出现在颅、脊柱轴线的任何区域,头部以枕部最多见,脊柱区窦道以腰骶部最多见;窦道外口多为一个且常位于中线部位,可排出角质蛋白碎片、毛发等,可逆行性感染造成患儿反复发热,常合并皮样囊肿或表皮样囊肿;诊断明确后应早期手术切除,避免诱发中枢神经系统逆行性感染。
脑膨出(encephalocele)是神经管闭合不全的一种类型,指脑组织、脑膜及脑脊液由颅骨缺损处凸出,形成疝囊并膨出于体外。
脑膨出在全球范围内由于地域和种族不同,发病率有所差异。在所有类型的脑膨出中,枕部脑膨出约占75%,颅底区的脑膨出约占10%。
脑膨出的发病机制在分子水平上仍不明确。多数观点认为脑膨出是由于神经管的闭合缺陷引起,该缺陷导致瘢痕形成及皮肤与神经外胚层的粘连,阻止了中胚层的插入而最终形成一颅骨缺损,通过此缺损,异常的硬膜和神经组织疝出颅骨。
枕部脑膨出发生在人字点与枕骨大孔之间的中线处,可分为窦汇上型和窦汇下型。顶骨型脑膨出可以发生在前囟到人字点的任意位置,包括前囟和人字点。枕骨型脑膨出在外观、大小、内容物方面差异很大,患儿出生时局部就有肿块膨出,大的肿块可以比患儿头颅还大。颅后部脑膨出患儿易合并中枢神经系统异常,60%~90%的颅后部脑膨出合并脑积水,尤其多见于窦汇上型,同时可伴小头畸形、Dandy-Walker畸形、ChiariⅢ型畸形;除此之外,颅后部脑膨出还常合并颅外畸形,包括脊髓脊膜膨出和心脏、肾脏、四肢及生殖器的异常。
颅前部脑膨出大体分为前顶型和前颅底型。前顶部脑膨出在出生后面部明显肿胀,而且哭泣或做Valsalva动作(捏鼻鼓气)时团块会增大。前颅底型脑膨出首发症状为鼻塞,还可发生脑脊液漏和反复脑膜炎。与前部脑膨出相关的畸形一般局限在头部。
(1)产前检查:
羊膜腔穿刺测量羊水甲胎蛋白以及乙酰胆碱酯酶的含量,不同膨出物甲胎蛋白和乙酰胆碱酯酶的含量有所不同;胎儿超声和MRI检查可以明确脑膨出的位置和类型。
(2)产后检查:
MRI可以明确脑膨出的位置以及评估囊内组织的功能性程度,还可以判断脑积水的严重程度;MRA/MRV可以明确膨出物周围血管的位置;CT三维重建可以帮助判断颅骨缺损的位置及大小。
(1)手术要点
1)手术可采取纵向切口或横向切口。
2)分离正常组织与异常上皮至颅骨缺损处的囊颈处。
3)可先释放脑脊液减压。
4)异常的胶质样神经组织可以去除,但要注意保护重要神经、血管。
5)硬膜需严密缝合。
6)小的颅骨缺损一般不需修补,如需要修补颅骨,宜待患儿5~6岁后应用人工材料修补。
(2)术后合并脑积水的处理
1)确保术后硬膜缝合无渗漏。
2)每日换药观察伤口情况。
3)定期行头颅CT或超声检查,评估脑室变化。
4)如脑积水进行性加重,应在伤口脑脊液漏之前实施脑脊液分流手术。
(1)经颅手术要点
1)仰卧位,冠状切口,彻底止血,在颅前窝底上方双额开颅。
2)如有较大的、位置靠后的颅底缺损,可行腰椎穿刺术,能降低颅内压、减少未成熟脑组织的回缩效应、有利于修补硬膜。
3)根据需要确定是否保留膨出物、确定结扎或松解疝出组织,尽可能早地缝合硬膜,严密缝合伤口。
4)如果颅底有大的缺损,建议用自体骨片移植。
5)大多前部脑膨出需行内眦肌松解术。
6)为防止双眼距过宽,需行眶骨移位术。
7)鼻泪管必须保留,如堵塞,需插管保持通畅或行鼻腔-泪囊造瘘术,避免术后泪囊炎的发生。
8)为了达到面部及鼻眶区的美观需要缩窄双眼间距、修整额骨与鼻骨使其达到一比较正常的鼻额角。
(2)内镜技术的应用:
内镜技术可以较容易地修补硬膜及颅底。内镜经典入路为经鼻途径,此入路避免了经颅手术的巨大创伤,对于没有较大颅面缺损的前部及颅底脑膨出,内镜技术具有较明显优势。
【典型病例1】
患者,男,1岁,主因“枕部肿物1年”入院。
1.现病史 患儿出生后家长即发现其枕部有一核桃大小的肿物,随患儿生长肿物无明显变化,无破溃及渗液现象,不伴有呕吐、抽搐等不适,行头颅CT检查,提示枕部脑膜膨出,收入院治疗。
2.查体 T 36.5℃,P 95次/min,R 23次/min,BP 95/50mmHg。神志清楚,前囟平软,枕部可见一约3cm×3cm大小肿物,表面无毛发生长,质软,囊性,按压肿物大小无变化。心、肺、腹未见异常体征,四肢肌力、肌张力正常。生理反射正常,神经病理征阴性。
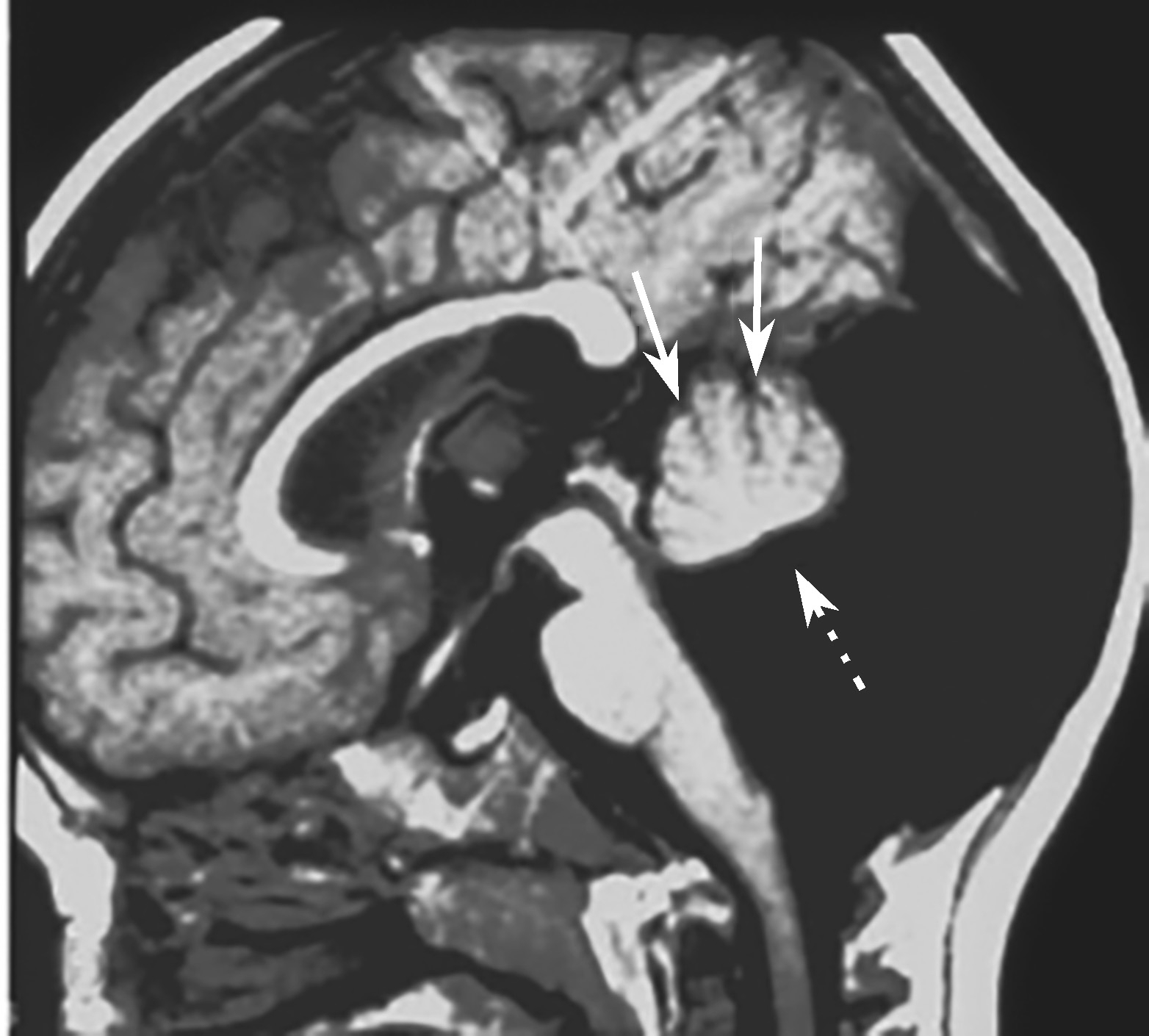
3.辅助检查 头颅CT示枕骨局部缺损,枕部脑膜膨出。头颅MRI示枕部脑膜膨出(图4-1-1)。
图4-1-1 头颅MRI示枕部脑膜膨出
4.诊断 枕部脑膜膨出;枕骨局部缺损。
5.治疗过程 根据枕部脑膨出的治疗原则及手术适应证,建议患者行脑膜修补术。具体的手术方式视术中情况而定,拟修补脑膜,切除膨出废用脑组织,不行颅骨修补术。
全身麻醉下行“枕部脑膜修补术”,取肿物周围纵梭形切口,分离膨出囊至颅骨缺损处,剪开膨出囊表面,有清亮脑脊液流出,可见部分变性胶质样神经组织从囊颈部膨出,显微镜下切除膨出组织,于颅骨缺损水平严密缝合关闭硬脑膜,翻转缝合骨缺损旁骨膜覆盖缺损,逐层缝合皮下皮肤。术后患儿无异常,1周后拆线出院。
6.病理结果回报 枕部脑膜膨出。目前随访恢复良好,复查MRI无异常。
知识点
枕部脑膨出之骨缺损及脑膨出较大如何处理
依据MRA资料注意硬膜静脉窦是否突入膨出物中,术中要仔细解剖膨出的囊颈,以免损伤囊颈周围通过的静脉窦,尽量保留囊壁以便作为硬脑膜修补的材料。自身组织不够时需用生物脑膜补片,紧密缝合后用生物蛋白胶补缀,以防脑脊液漏。巨大广基的脑膨出影像学检查有大量脑脊液,为减少手术风险,手术时应从囊内抽吸脑脊液。若膨出囊内有大量脑组织,术时不可能将之全部回纳至颅腔,必须切除自囊颈疝出的脑组织。
知识点
后部脑膨出预后
后部脑膨出的预后相对较差,导致预后差的因素包括:合并脑积水及其他颅脑畸形,抽搐及功能性脑组织的疝出。脑积水和抽搐在后部脑膨出中更常见,有研究显示后部脑膨出患儿术后在身体发育、神志、认知和总体健康方面均落后于前部脑膨出患儿。最新研究显示脑膨出的位置并不是影响预后的决定因素,脑积水与颅内畸形才与将来发育落后有关系。
脑膨出皮肤有溃破、脑脊液漏或皮肤菲薄将要破溃者应急诊手术。颅底脑膨出者有脑脊液漏或鼻咽阻塞症状应尽快手术,因脑脊液漏可引起中枢感染而危及生命。手术原则是切除脑膨出部分的囊,保护有功能的脑组织,修补硬脑膜。小儿颅骨尚在发育,故缺损的颅骨暂不做修补。
【典型病例2】
患者,男,5日龄,主诉“左额顶部巨大肿块1日”入院。
1.现病史 1日前发现患儿左额顶部巨大肿块,就诊于门诊,考虑左额顶部脑膨出,收入院治疗。
2.查体 T 37.2℃,P 140次/min,R 40次/min,BP 89/55mmHg。神志清楚,左额顶部可见一大小约7cm×7cm肿块,表面皮肤缺损,范围约3cm×3cm,质软,基底部未触及颅骨,肿块挤压左侧眼廓,左眼睁开受限,余心、肺、腹查体未见异常。
3.辅助检查 头颅CT示巨大额骨缺损、额部脑-脑膜膨出。头颅MRI示额部脑-脑膜膨出、额骨缺损。
4.诊断 额部脑-脑膜膨出,额骨缺损。
5.治疗过程 根据前顶部脑膨出的治疗原则及手术适应证,建议患者行额部脑膜修补、额骨修补术。具体的手术方式:沿左额部膨出肿物周缘正常皮肤交界处梭形切开皮肤、皮下,紧贴膨出硬脑膜外壁分离至额骨缺损缘处并切开缺损缘骨膜,暴露颅骨,切开膨出脑膜表面,放出清亮脑脊液,切除部分膨出额叶组织至额骨缺损水平,修剪膨出硬脑膜,严密缝合关闭硬脑膜,三维钛板塑形后固定于骨缺损缘,采用转移皮瓣法缝合头皮切口。术后患儿恢复好,2周后拆线出院。目前随访恢复良好,复查MRI无异常。
知识点
颅前部脑膨出预后
颅前部脑膨出比颅后部脑膨出预后良好,但是,最近研究显示,脑膨出预后跟发病位置并无关系,而与有无并发脑积水和抽搐有关。颅前部脑膨出两个远期并发症为视觉和嗅觉功能异常。
Chiari畸形是一种先天性颅颈交界区畸形疾病,以小脑扁桃体通过枕骨大孔不同程度的下疝为主要特征,又称小脑扁桃体下疝畸形。
Chiari畸形具体分为0型,Ⅰ型,1.5型,Ⅱ型、Ⅲ型、Ⅳ型、Ⅴ型。其中以Chiari畸形Ⅰ型发病率最高,人群发病率0.5%~3.6%,占Chiari 畸形的85%~90%。多发于0~10岁儿童,平均诊断年龄7.6岁,男女比例基本相当。
目前大多仍沿用Hans Chiari的早期分型。Chiari畸形Ⅰ型最为常见,表现为小脑扁桃体下疝至枕骨大孔下(>5mm);多伴随有脊髓空洞。Ⅱ型在Ⅰ型的基础上合并脑干、小脑蚓部和第四脑室向下移位变形,常伴有脊髓脊膜膨出、脑积水;存在颅盖骨发育异常、枕大孔扩大以及一些上颈椎的畸形。Ⅲ型是在Ⅱ型的基础上合并枕部或颈部脑膨出,膨出的囊内包含延髓、小脑、第四脑室及各种病变神经组织成分。Ⅳ型极少见,表现为小脑发育不全或缺如。
枕颈部疼痛是最常见症状,表现为用力咳嗽后短暂性头痛,伴呕吐、眩晕,可有轻微或不典型定位体征,合并脑积水患者可有视神经乳头水肿。
脊髓空洞常累及脊髓中央管腹侧的脊髓丘脑束交叉纤维,导致精细触觉与痛温觉分离的分离性感觉障碍,肢体麻木是患者前来就诊的常见首发症状。脊髓空洞累及脊髓前角可致肢体无力及肌萎缩,如累及皮质脊髓侧索可致脊髓受损长束体征,累及颈胸交界区脊髓侧角者可出现Horner综合征(表现为患侧眼裂缩小、瞳孔缩小、面部无汗、眼窝内陷)。合并颅底内陷或寰枢椎不稳者由于脊髓前索受压可有肌张力增高,病理征阳性。
可以出现步态不稳、躯体性共济失调、眼球震颤及肌张力降低、意向性震颤、爆破性语音、指鼻试验及闭目难立征阳性等小脑定位体征。
以后组脑神经单独受累最为常见,可表现声音嘶哑及饮水呛咳,常见咽反射减退,合并脑积水者可因累及展神经出现复视。
少数患者可出现呼吸暂停综合征及急性呼吸功能障碍。
X线及CT检查可明确合并颅颈交界区骨性畸形、关节变形、关节内碎骨形成等。MRI检查:颈椎MRI可见小脑扁桃体下疝至枕大孔下缘以下,并可见脊髓空洞,空洞内常有分隔,空洞液信号与脑脊液信号一致,空洞常好发于颈段可向延髓及胸脊髓延伸,脊髓常因空洞形成而增粗。合并颅颈交界区骨性畸形如颅底内陷、寰枢椎脱位、环枕融合、脊椎分节不全、脊柱侧弯等可见相应MRI表现。相位对比MRI检查可见脑脊液流动有枕大孔区有中断,小脑扁桃体下缘及上颈段蛛网膜下腔脑脊液尾向流速增快。
根据上述临床表现,同时可根据颈椎MRI检查提示小脑扁桃体低于枕大孔下缘5mm,可合并有脊髓空洞,即可作出诊断。
(1)肌萎缩侧索硬化:
易与本病混淆,且可与本病同时存在。患者首发症状为无力、肉跳、容易疲劳等,伴发进展性全身肌肉萎缩和吞咽困难,最终常因呼吸功能衰竭死亡。查体有肌肉萎缩但常无感觉障碍,病情往往进展较快,肌电图检查显示神经损害呈广泛性分布,MRI检查无脊髓受压或占位病变,以上几点可与本病鉴别。
(2)颈椎病:
由于患者发病年龄多为中年,常伴发颈椎退行性变,神经根型及脊髓型颈椎病临床表现常易与本病混淆,MRI检查可见颈椎间盘退变,继发椎管狭窄,脊髓及神经根受压等征象,可有脊髓空洞形成,常见于脊髓受压上下节段,MRI检查无小脑扁桃体下疝可与本病鉴别。
(3)脊髓髓内肿瘤:
可表现为进行性的脊髓功能障碍,感觉及运动障碍自病变节段由上向下发展,早期可伴发肌肉萎缩。患者病程短,MRI可见脊髓增粗,髓内占位性病变有强化可与本病鉴别,如合并脊髓空洞术中穿刺空洞液常为黄色。
无症状患者可以动态随诊。对于有症状患者,目前手术治疗是唯一有效的治疗方法。
(1)有进行性神经功能恶化的证据。
(2)生活不能自理Karnofsky评分70分以下或表现为难以控制的症状。
(3)MRI随访提示空洞进展。
目前大多认为寰枕区减压术是有效合理的Chiari畸形治疗方法。但具体手术方式仍有不同。
(1)关于减压骨窗:由于以往过大的减压窗术后有致小脑下垂风险,减压范围有缩小化趋势,一般认为减压窗直径应小于4cm。
(2)目前多数医生倾向于行硬膜成形术,认同Chiari畸形合并脊髓空洞症患者行枕大孔区减压硬膜成形术是较为合理的术式,并提倡尽可能保持蛛网膜的完整,以减轻术后蛛网膜的粘连,有利于恢复脑脊液循环和术后空洞的缩小。对于单纯扁桃体下疝患者仅行骨性减压或行寰枕筋膜外层切开术也同样有效,且并发症少。
(3)硬膜修补材料:人工硬膜降低了对患者损伤同时可以缩短手术时间,目前认为是安全的,与自体筋膜相比,术后感染率无显著差异,长期随访发现应用防粘连人工材料进行硬膜修补可改善患者预后。
(1)术后发热:
颅后窝手术常见并发症,与手术中硬膜关闭不严密所致切口下方积液有关,多于术后1周左右出现,常为无菌性脑膜炎,腰椎穿刺检查可见白细胞升高,应用激素治疗多能治愈,少数患者可出现迟发伤口感染需手术清创治疗。
(2)术后小脑下垂:
颅后窝及枕大孔减压范围过大易发生小脑下垂,同时减压窗过大可加重术后寰枢椎的不稳,常于术后6~7年出现,表现为顽固性头痛及神经功能缺失,研究表明骨窗直径大于4cm较易出现小脑下垂,一旦出现,部分枕骨成形术治疗有效。
(3)其他手术并发症:
包括脑脊液漏、皮下积液、假性脊膜膨出以及较少的血管损伤、脑积水、脑干压迫等。
Chiari畸形患者自然病程较长,大部分早期患者症状轻,在减压术后会有不同程度的改善。晚期患者出现严重的感觉缺失,双手骨间肌萎缩,关节变形,不同程度致残,手术效果差,神经功能障碍难以恢复。
【典型病例】
患者,女,15岁,双上肢疼痛伴乏力1年余,加重伴吞咽异常感及双侧肩关节活动受限半年。
1.病例特点
现病史:患者于1年余前无明显诱因出现双上肢疼痛乏力感,开始为双侧上肢肩部疼痛,范围逐渐扩展至双侧上臂,主动及被动活动后均加重。伴有双上肢乏力感,自觉提重物时无力。患者未予特殊诊治。半年前,患者无明显诱因出现上述症状加重,且自觉吞咽异常感,进食含液体较多食物时存在呛咳,伴有肩关节活动范围受限,且进行性加重。来医院门诊,考虑为Chiari畸形,为求进一步诊治收入院。患者自发病以来,神志清,精神可,食欲正常,睡眠可,二便正常,体重无明显变化。
查体:神清语利,双侧瞳孔等大等圆,直径3mm,对光反射存在,伸舌居中,咽反射减弱,双侧转头肌力5级,右上肢指屈及肱二头肌肌力4 + 级,四肢针刺觉正常,腱反射可引出,病理征未引出,轮替实验及Romberg征阴性。
辅助检查:颈椎MRI提示Chiari畸形,合并颈髓空洞(图4-1-2)。
初步诊断:Chiari畸形Ⅰ型。
图4-1-2 颈椎MRI
2.诊断依据
(1)青年女性。
(2)主诉:双上肢疼痛伴乏力1年余,加重伴吞咽异常感及双侧肩关节活动受限半年。
(3)现病史:双上肢疼痛1年余,范围逐渐扩大,活动后加重,伴双上肢乏力感。症状加重半年,并出现吞咽异常感,进流食时呛咳及肩关节活动范围受限。
(4)查体:咽反射减弱,伸舌居中,右上肢肌力下降,共济基本正常。
(5)辅助检查:MRI可见小脑扁桃体下疝,合并颈髓空洞。
3.鉴别诊断
(1)颈椎病:此病常见于中老年人,症状可包括颈肩部和上肢的麻木、疼痛、无力等,与该患者部分症状类似,并不能完全除外此病可能。但颈椎病一般不会出现后组脑神经受累的表现,即不会出现咽反射减弱,吞咽困难等症状体征。可考虑进一步查颈椎MRI明确颈椎情况。
(2)颈髓肿瘤:此病可见于任何年龄段的患者,以中老年为发病高峰,症状可包括颈肩部和上肢的麻木,疼痛,无力,甚至可出现下肢症状,如病变位置较高,可能影响呼吸以及副神经等后组脑神经,因此该患者不能完全除外此病可能。但该患者外院MRI及颈椎所见,未见明显占位性病变,未见明显脊髓增粗。可考虑进一步查颈椎MRI明确颈椎情况。
4.治疗过程 患者入院后,查颈椎MRI,提示Chiari畸形,脊髓空洞形成。查肩关节X线提示肩关节退变。完善相关术前检查及准备工作后,于全身麻醉下行“寰枕减压+硬膜成形术”。手术在电生理监测下进行,采用俯卧位。暴露枕骨鳞部和寰椎后弓后,将寰椎后弓切除约1cm宽骨槽,枕骨鳞部形成约4cm×4cm大小骨窗,松解寰枕筋膜后,因右侧硬膜上可见静脉窦,偏左侧大致Y字形剪开硬膜,使用人工硬膜行硬膜扩大成形。术后患者安返病房。
术后患者恢复良好,1周后拆线出院。出院前复查MRI可见通过减压+成形手术,解除了枕骨对小脑的压迫,扩大了寰枕区空间,使小脑扁桃体自然回缩,脑脊液循环恢复通畅。目前随访恢复良好。
临床要点
小骨窗颅后窝减压术要点
小骨窗颅后窝减压术是治疗Chiari畸形的基本手术方式,手术目的是解除小脑扁桃体对脊髓的压迫,恢复枕大孔周围脑脊液循环通畅,重建枕大池。
手术要点:
(1)减压窗不可过大,成人减压骨窗一般为枕大孔后缘宽约3cm、高约2cm的骨窗,寰椎后弓切除宽不超过2cm,骨窗两侧减压过多可导致小脑半球下垂。
(2)术中注意松解寰枕筋膜,寰枕筋膜松解后可以使枕大孔区硬膜弹性增加,解除枕大孔出口的束带压迫。
(3)小脑扁桃体下疝严重者需行硬膜成型,小脑扁桃体还纳,如合并颅底凹陷,颅后窝容积狭小,可做扁桃体部分切除,以免复发。
知识点
Chiari畸形形成脊髓空洞的因素
1.小脑扁桃体下疝导致第四脑室正中孔阻塞,脑脊液流出受阻;或枕大孔区的蛛网膜下腔梗阻,导致枕大池压力升高,均使得脑脊液在脊髓中央管积聚过多,并破坏室管膜进入脊髓实质,从而形成脊髓空洞。
2.小脑扁桃体下疝使延颈髓交界处下行血管受压,颈髓局部血运进行性下降,致脊髓实质局部变性、坏死而成空洞。
Dandy-Walker畸形(DWM)又称第四脑室孔闭塞综合征,是一种罕见的先天性中枢神经系统发育畸形,多系常染色体隐性变异、畸变所致。临床表现以颅后窝扩大伴小脑幕上移,第四脑室囊性扩张,小脑发育不全及小脑蚓部完全或部分缺如为特征,常伴有中枢神经系统其他畸形。
DWM是一种罕见的神经系统先天性发育畸形,多见于婴幼儿,其发生率为活体的1/(35 000~25 000),男女比例约为1∶1.5。约80%DWM患儿可发生脑积水,是4%~12%婴儿脑积水的病因,约占囊性颅后窝畸形的14%。
本病的病理生理过程目前尚不十分明确,多数学者认为其与遗传因素密切相关。推测认为当胚胎发育3~6周时,由于菱脑顶部的斜形唇不能完全分化,来自翼板的斜形唇神经细胞不能正常增殖和移行,导致小脑蚓部发育缺如及下橄榄核异位。患儿最常见的染色体异常为9、13、18和21三体、三倍体、6p和3q22-q24缺失;相关的非染色体综合征包括Meckel综合征和Walker-Warburg综合征等。
本病以婴幼儿多见,大多数患儿2岁以前出现症状,常因运动发育迟缓而就医。就诊时最常见外观特征是头部形状异常、枕骨区突出、全颅非特异性扩大及脑积水等。通常又以脑积水和高颅内压症状为主,多于生后6个月内出现脑积水和颅内压增高,表现为兴奋性增强、头痛、呕吐等。可伴有眼球震颤和第Ⅳ对脑神经麻痹,步态不稳及小脑性共济失调。头颅扩大枕部为主,前后径增宽,年长儿童可出现共济失调、宽基步态等小脑症状,以及智力低下、癫痫发作等。半数以上的DWM患者有精神运动发育迟滞和智力低下。2/3以上的DWM患者可合并其他先天性畸形,如胼胝体发育不全、前脑无裂、枕部脑膜膨出,以及心脏、面部、胃肠道和泌尿生殖系畸形。
本病的诊断除了患儿存在的脑积水和高颅压症状为主的临床表现外,确诊主要依靠超声、CT与MRI等影像学检查。
(1)CT影像学特点:
①小脑蚓部体积变小或缺如,小脑半球分离伴萎缩改变,脑干受挤压向前推移,分离的小脑半球与前移的脑干共同形成横断面上的实质性“臀形”;②扩大的第四脑室和扩大的枕大池相通。
(2)MRI是诊断本病最可靠的方法,其特征表现为:
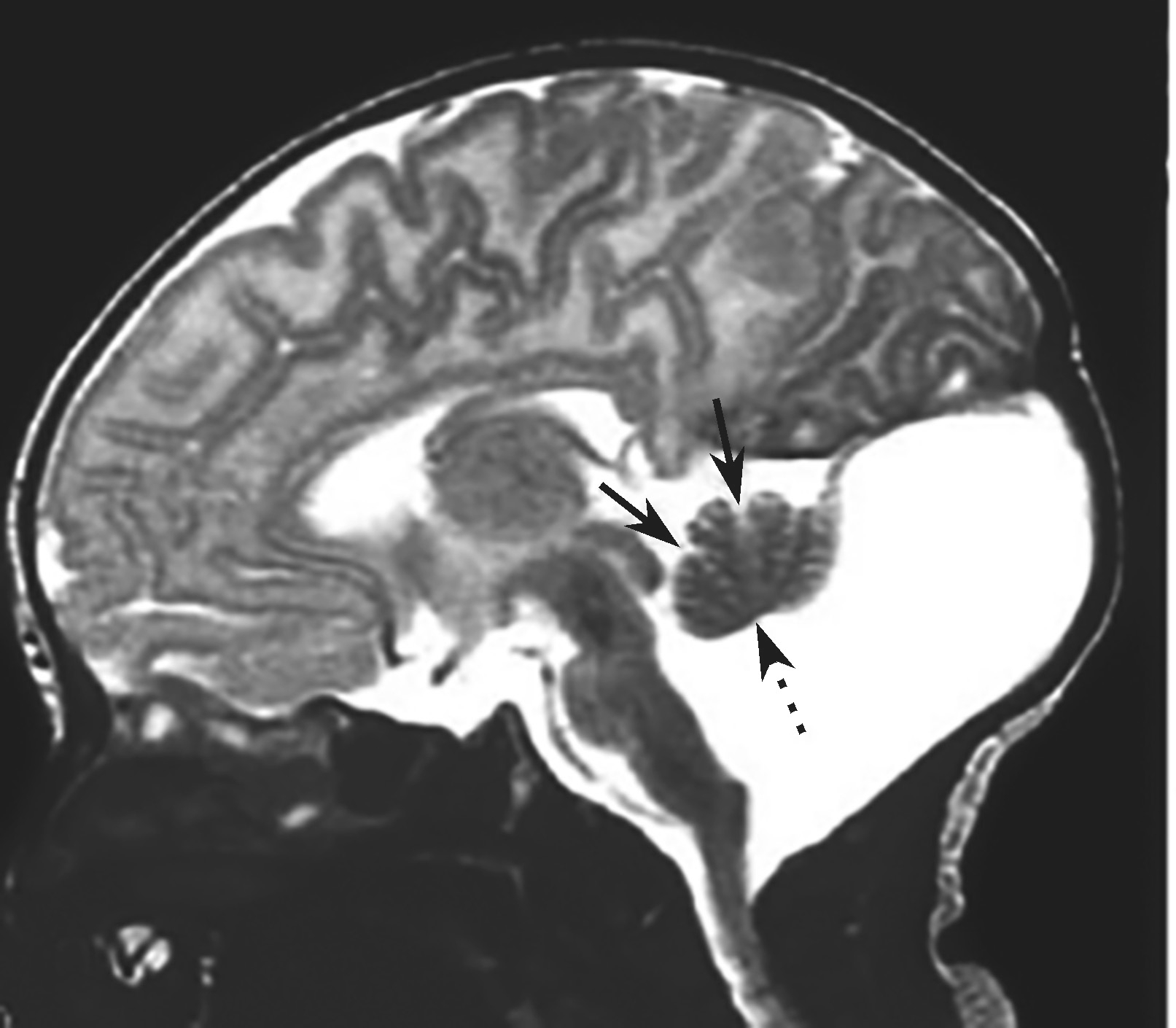
①颅后窝极度增大,伴横窦及窦汇抬高,超过人字缝;②天幕上抬超过人字缝,在冠状位和矢状位上显示尤清;③巨大的囊肿占据了颅后窝中线的绝大部分,并与扩大的第四脑室相通;④常伴有不同程度的脑积水,导水管扭结不通,小脑下蚓部缺如;⑤上蚓部被扩大的第四脑室及后方的囊腔推挤向前上方移位(图4-1-3)。需借助MRI与Blake囊肿、巨脑池、蛛网膜囊肿、单纯蚓部及小脑发育不全鉴别。
图4-1-3 患儿上蚓部向前上方移位
(3)超声检查:
早孕期及中孕早期的阴道超声检查可使本病的诊断率大大增加。DWM的经典声像图:小脑蚓部完全或部分发育不全,小脑半球分开,小脑幕上旋,枕大池明显增宽>10mm,并在妊娠20周后仍存在与第四脑室的沟通为其特征。
约1/5的DWM患者无明显临床症状,不需要特殊治疗,对合并有脑积水的DWM患者的外科治疗方法主要有3种。
(1)单纯囊肿切除术:适用于无脑积水患者。
(2)脑室分流术、囊肿分流术以及侧脑室和囊肿双分流术。
(3)内镜治疗:目前多数临床研究者认为联合分流可能是最佳的治疗方法,该术式可使颅后窝囊肿和侧脑室同时得到减压,是DWM最有效的手术方法。Mohanty等的研究认为内镜治疗对于儿童DWM患者是一种可接受的有效方法,然而其在减小脑室和囊肿体积方面的效果不如分流术显著。
手术步骤如下:
(1)术前基础麻醉或全身麻醉,取仰卧位,头转向左侧,备好头、颈、胸腹部皮肤。
(2)头部切口:右耳郭上4~5cm,向后至枕外隆凸,向下至颈1水平。
(3)颅后窝钻孔:皮瓣向枕下翻开,暴露枕骨鳞部,于中线旁右侧2.0cm钻孔,扩大骨窗,直径约1.5cm。切开硬脑膜,于小脑皮质无血管处,以导针导引分流管,自外侧方斜向对侧外耳道方向穿刺,置入第四脑室或囊肿后,拔除导针将管再置入2~3cm。脑脊液流出通畅后,将引流管固定于硬脑膜或骨膜上,于骨孔剪一斜面,将第四脑室管引至右乳突后,安装分流泵。
(4)枕部颅骨钻孔,行同侧侧脑室枕角脑室穿刺置管。
(5)分离皮下隧道,安装腹腔导管同V-P术。
(6)采用“Y”形连接管,将侧脑室、第四脑室引流管共同接入同一分流阀,共用一条腹腔管。为防止脑脊液通过“Y”形管倒流,可分别在两管近端安装单向阀门。
术中注意要点:①第四脑室穿刺需斜线穿刺,可以减少引流管对第四脑室底部的损伤;②采用“Y”形管时,由于局部连接装置较多,连接要牢靠,避免弯折,并需防止两管相互倒灌。
【典型病例】
患儿,男,5月龄。主因“出生后进行性头围增大4个月”入院。
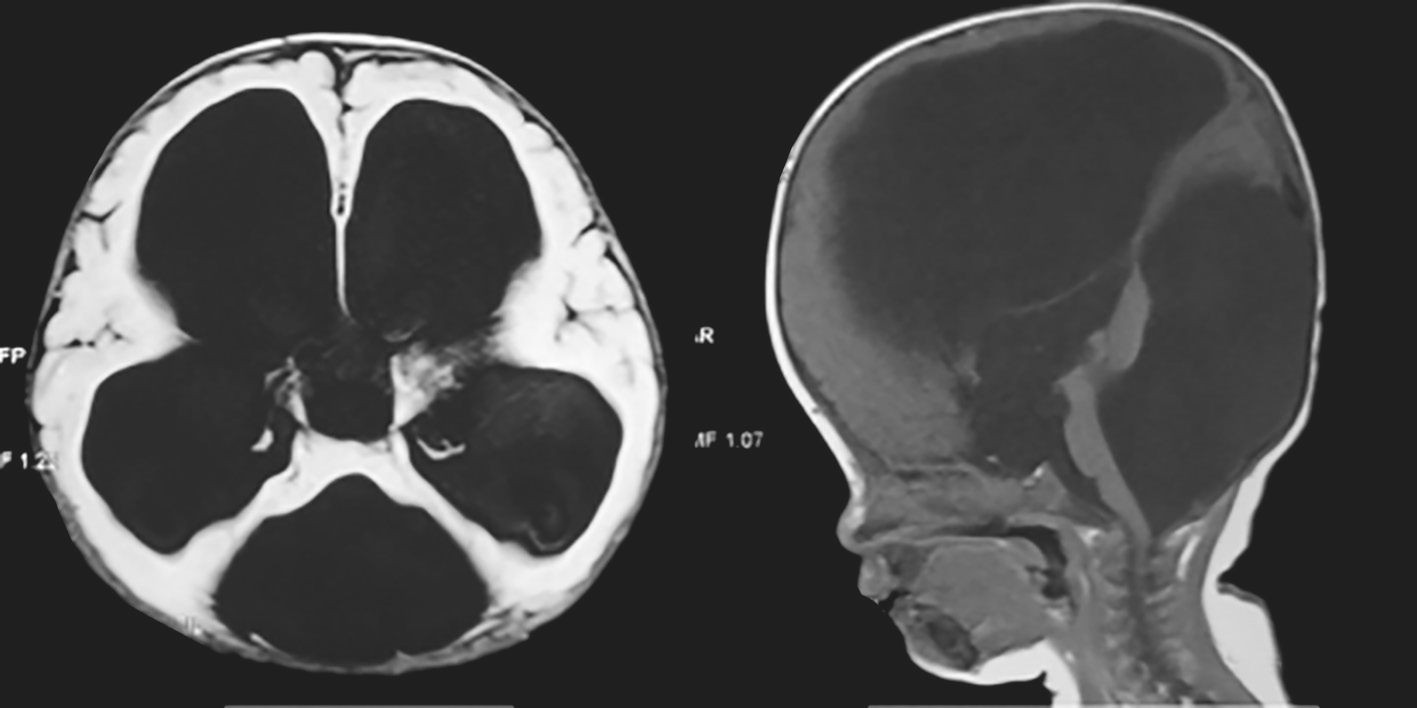
现病史:患儿系其母孕第一胎,围产期无异常,足月顺产出生,出生时无异常,后发现其头围进行性增大,反应呆滞,与同龄儿相比生长发育缓慢。1周前在当地医院就诊行头颅CT检查提示第四脑室和颅后窝扩大呈囊状相通,小脑蚓部发育不良,第三脑室及侧脑室显著扩张,考虑脑积水,为进一步治疗来院就诊并收治入院。
查体:T 36.8℃,P 22次/min,R 118次/min,BP 86/53mmHg,身高68cm,体重7kg。神志清楚,精神差,表情呆滞,营养差。头颅异常增大,头围54cm,前囟较正常同龄儿明显增宽,约5cm×5cm,触诊张力稍高。头颅叩诊呈破罐声,头皮可见静脉血管怒张。双侧眼球下视,呈现落日征,未见眼球震颤,双侧瞳孔均3mm,瞳孔对光反射存在。四肢肌张力差,下肢肌肉轻度萎缩。
辅助检查:头颅MRI(图4-1-4)检查示双侧脑室系统对称性显著扩大,脑室前、后角变钝,双侧大脑半球脑实质明显变薄,脑实质内未见明确异常信号,颅后窝枕大池扩大,双侧小脑半球受压、上抬,小脑幕抬高,小脑蚓部缺如。
图4-1-4 头颅MRI检查
治疗过程:患儿家长诉患儿出生后进行性头围增大,反应迟钝4个月。查体:神志清楚,精神差,表情呆滞。头颅异常增大,头围54cm,前囟较正常同龄儿明显增宽,约5cm×5cm,触诊张力稍高。头颅叩诊呈破罐声,头皮可见静脉血管怒张。双侧眼球下视,呈现落日征。头颅MRI检查示双侧脑室系统对称性显著扩大,颅后窝枕大池扩大,双侧小脑半球受压、上抬,小脑幕抬高,小脑蚓部缺如。诊断为:Dandy-Walker畸形,脑积水。
入院后对症治疗,完善相关术前检查后在全身麻醉下行右侧侧脑室及第四脑室囊肿联合腹腔分流术,术中侧脑室与第四脑室分流管以“Y”形接口连接(图4-1-5)。手术顺利,术毕患者安返PICU。术后24小时内行头颅CT检查,未见明显出血,引流管位置良好。术后查体:神志清楚,反应可。头围偏大。前囟张力不高,双眼球运动自如,双侧瞳孔等大同圆,直径约2.0mm,对光反射灵敏。颈部无明显抵抗、活动受限,四肢肌张力正常,病理反射Babinski征阳性,脑膜刺激征Kernig征阴性,Brudzinski征阴性。患者手术8日拆线出院。目前随访恢复良好,复查MRI脑室及第四脑室囊肿均明显缩小。
图4-1-5 侧脑室及第四脑室囊肿联合腹腔分流术中体位
知识点
侧脑室-囊肿联合分流术适应证及禁忌证
适应证:①伴脑积水的Dandy-Walker畸形;②合并脑积水的孤立性第四脑室。
禁忌证:①颅内感染尚未控制者;②腹腔有炎症或腹水者;③脑脊液蛋白含量过高超过500mg/L,或有新鲜出血者;④头颈部或胸腹部皮肤有感染者。
脊柱裂(spina bifida)是一种常见的先天性畸形,发病率2‰~3‰,有较高的致死、致残率。
引起本病的病因目前尚不明确,目前主要认为该病是基因、代谢、环境及营养共同作用导致的。
显性脊柱裂根据病理形态可分为脊髓脊膜膨出、脊髓膨出、脊膜膨出。
此型外观为一背部肿块,囊肿壁由硬脊膜、蛛网膜、软脑膜及发育畸形的脊髓组成,通过椎管缺损突出到皮肤外。该类患儿Chiari畸形和/或脑积水发生率可高达99%,其次可伴有脊髓空洞、脊髓纵裂及蛛网膜囊肿等。
表现为背部一肿块,肿块中央呈现一紫红色的肉芽面,实质上为疝出的脊髓,直接暴露在皮肤外面。此型神经损害症状最严重。
目前发现,单纯脊膜膨出常常伴有脊髓栓系,随着年龄的增长,也会逐渐出现神经功能损害症状。
显性脊柱裂多因背部先天性肿块而就诊,以腰段、腰骶段多见,表面覆盖或不覆盖正常完整的皮肤,可伴有神经损害症状,其中又以脊髓膨出的神经损害症状最严重。大多数脊髓脊膜膨出及脊髓膨出患者还伴有脑积水。
目前脊椎MRI因其无创伤、组织分辨力强而成为脊柱裂诊断及其分型的主要辅助检查。MRI可见脊膜通过脊柱缺损部位向背侧膨出,内含脑脊液,如同时伴有脊髓疝出者为脊髓膨出或脊髓脊膜膨出。
通过产前超声,90%~95%的胎儿显性脊柱裂可被诊断出,而母体血清AFP检查能够监测出50%~90%。如上述检查提示胎儿患有显性脊柱裂,需进一步做羊水穿刺监测羊水中AFP及乙酰胆碱酯酶水平,可进一步将诊断的准确率提高至97%。
胎儿出生后根据患儿腰背部肿物的典型体征,结合其症状及MRI检查,可明确脊柱裂诊断,并对其进行分型。
(1)背部良性肿瘤:
如婴儿纤维错构瘤、脂肪瘤等,患儿可有背部肿块或皮肤异常改变,多不伴有神经损害症状,MRI可鉴别诊断。
(2)骶尾部畸胎瘤:
该病X线检查可发现骶骨前后软组织影内钙化影,MRI可发现肿块与椎管腔不相通以鉴别显性脊柱裂。
脊柱裂的治疗主要是手术,目的是改善神经功能,阻止神经进一步变性。
对于没有皮肤覆盖的脊髓膨出和脊髓脊膜膨出,通常在患儿出生后即行缺损关闭手术。预防性抗生素的应用以及手术关闭缺损最好在出生后24~72小时内。
对于术前已经明确有中枢神经系统感染或潜在中枢神经系统感染的患者,应考虑先行脊髓/脊膜膨出修补手术,待脑脊液漏愈合、中枢神经系统感染被控制后,二期行脑积水分流手术。
使脊髓从粘连的病灶上分离下来,切除病灶,解除脊髓压迫和栓系。
(1)脊髓膨出:
由于疝出的脊髓表面没有皮肤覆盖,处理比较特殊。当患儿进入诊室后,应迅速用蘸有盐水的湿纱布覆盖极易发生脑脊液漏的缺损部位,以避免外露的神经基板干燥和造成直接损伤。应避免使用具有神经毒性的碘络酮等消毒剂。患儿取俯卧位或侧位,静脉应用抗生素。
手术开始时,沿着外露的神经基板边界切开,将基板从四周组织上分离开,使其回纳入椎管腔内。再将基板上肉芽成分修剪掉。接着重新构建一个与脊髓形状相似的管型神经基板,使沿着基板两侧边缘的软膜-蛛网膜向中线相互卷拢,将其缝合。必须保护所有的神经组织,因部分基板还有残存的功能,在电凝时要特别注意,以防出现基板热灼伤。接着分离硬脊膜,在保证脊髓不受压迫的情况下,可以使用5-0可吸收线将硬脊膜密封缝合。
(2)脊髓脊膜膨出:
分离出囊肿后,有时需要在脊柱裂区上下各切除1个椎板,以广泛显露囊的基底部,并切开正常硬脊膜,有利于看清正常脊髓与膨出脊髓之间的关系,以免分离囊壁时误伤神经。彻底分离、松解与囊壁粘连的脊髓及神经纤维。修剪硬脊膜,用自身硬脊膜或补片扩大缝合硬脊膜囊,防止对神经组织的压迫与粘连。
(3)单纯脊膜膨出:
分离出膨出的脊膜囊后,顶部切开囊肿壁,探查囊内有无神经组织。根据术前MRI的结果,略微扩大囊腔的底部,探查椎管腔,有无终丝脂肪变性、纤维束带牵拉脊髓等,解除相应脊髓栓系。修剪多余囊壁,于基底缝合硬脊膜。
先天性脊柱裂手术采用神经电生理监测,可以在术中实时监测神经通路的完整性、鉴别神经和非神经结构以及神经结构是否具有功能性,从而减少手术的盲目性,提高手术效率。在神经功能受影响时及时提醒手术者,采取立刻暂停手术操作或调整手术方案等保护措施,最大程度提高手术的安全性。
手术仅能部分恢复神经功能,对于严重的患儿甚至无法达到改善的目的。
手术预后良好,大多数患儿可以终身无症状。
【典型病例】
患儿,女,7岁,主因“出生时发现腰臀部包块并进行性增大,伴小便失禁、便秘1年”入院。
现病史:出生时发现左臀腰部约1.5cm×1.5cm包块,质软,遂至当地医院就诊,未予治疗。包块体积逐年增大,现约10cm×8cm×6cm,质软,无痛,无走路不稳,近1年偶有小便失禁,大便2~3日1次,有便秘;无肢体肌力下降,为进一步诊治,就诊于医院,门诊以“脊柱裂伴脊膜膨出”收入院。
查体:神清语利,查体合作,双瞳孔等大等圆,双瞳孔直径3mm,光反射灵敏,眼球向各方向运动可,口角无偏斜,伸舌居中,颈软。左臀腰部肿块约10cm×8cm×6cm,质软,无压痛,表面皮肤略青紫。四肢活动好,肌力5级,肌张力不高,双侧病理征未引出;肛门略松弛。
辅助检查:MRI(图4-1-6)示脊柱裂伴脊膜膨出、脊髓栓系低位。CT(图4-1-7)示S 1 、S 3 ~S 5 骶椎裂,伴骶尾部脊膜膨出;脊髓栓系低位可能。
图4-1-6 MRI图像
图4-1-7 CT图像
治疗过程:患儿出生后即发现腰骶部肿物,初时较小,未予特殊处理。目前包块逐渐增大至约10cm×8cm,表面无毛发生长,质软,囊性,按压肿物大小无变化。腰骶CT三维重建示:S 1 、S 3 ~S 5 骶椎裂。腰骶MRI示:①脊柱裂伴脊膜膨出;②脊髓栓系低位。结合病史及症状体征和影像学检查,诊断为:脊柱裂伴脊膜膨出,脊髓栓系。
患儿在全身麻醉下行“脊膜膨出修补术”,取腰骶部肿物周围横梭形切口,分离膨出囊至椎板棘突缺损处,剪开膨出囊表面,有清亮脑脊液流出,完全敞开囊壁后可见终丝末端附着于囊颈附近,显微镜下切除膨出囊壁,分离切断终丝附着处,于椎板缺损水平严密缝合关闭硬脊膜,逐层缝合皮下皮肤。术后患儿无异常,2周后拆线出院。
病理结果:脊膜膨出及脊髓栓系。术后随访至今无复发,复查CT及MRI未见异常。
专家解读
先天性脊柱裂的常见类型及手术对策专家共识(2016)
背侧单纯脊膜膨出的特点是脊膜自骨缺损处向背侧膨出,囊内含脑脊液,无脊髓及马尾神经。过去认为,单纯脊膜膨出,无神经功能损害症状。现在发现,单纯脊膜膨出常常伴有脊髓栓系,如终丝牵拉、脊髓纤维束带牵拉等,随着年龄的增长,会逐渐出现神经功能损害症状。
知识点
单纯脊膜膨出手术原则
单纯脊膜膨出分离出膨出的脊膜囊后,顶部切开囊肿壁,探查囊内有无神经组织。根据术前MRI的结果,略微扩大囊腔的底部,探查椎管腔,有无终丝脂肪变性,纤维束带牵拉脊髓等,解除相应脊髓栓系。修剪多余囊壁,与基底缝合硬脊膜。
单纯脊膜膨出预后
手术预后良好,大多数患儿可以终身无症状。
脊髓栓系综合征(tethered cord syndrome,TCS)是指脊髓因各种原因受到异常牵拉,造成脊髓神经病理改变而产生的一系列神经功能障碍和畸形。
TCS病因分为原发性及继发性。原发性多见于先天性神经管缺陷,如脊髓脊膜膨出、皮肤窦道、终丝牵拉等;继发性可见于脊髓手术后、脊髓蛛网膜下腔出血后粘连等。
脊髓栓系导致功能紊乱的机制可能是脊髓血流氧供不足,削弱了神经元的电生理和代谢活动。
新生儿期多无神经损伤症状,但多有显著的外观特征,可能伴发骨骼肌肉畸形。稍年长患儿可观察到存在步态异常、跑动姿势异常或笨拙、双下肢粗细不等、足高弓内翻畸形、膀胱括约肌功能障碍、肛门括约肌功能障碍。
对于任何年龄的患者,只要存在TCS的可能,均应认真执行神经系统检测。TCS最突出的表现是不对称的感觉和运动功能“跳跃区域”性的障碍。
MRI是脊髓栓系综合征的主要检查手段,对明确儿童的TCS诊断具有高敏感性。MRI检查可发现TCS的一些典型表现,如圆锥低位(圆锥下端位于L 3 ~L 4 以下)、脊髓空洞、马尾退变综合征、皮肤窦道、脊髓纵裂、脂肪瘤、皮样囊肿、终丝增粗缩短(终丝直径>2mm)、终丝脂肪变性等。
但是MRI并不能完全替代临床医生通过病史和体格检查评价患者病情。部分存在TCS神经损害症状的患者MRI不具有典型TCS表现。
患者特征性的腰骶部皮肤表现及不对称下肢萎缩、肌张力低下或亢进以及腱反射不对称性改变,再结合步态不稳、膀胱功能障碍、频繁疼痛等病史,辅助以MRI检查是否存在脊髓栓系的典型表现可诊断。
脑瘫患儿多有早产病史,轻偏瘫的脑瘫患儿检查通常可以发现单侧上下肢腱反射亢进和痉挛以及单侧上路神经元征,如跖反射。双侧痉挛性瘫痪多双侧对称存在,而TCS患者大多为下运动神经元损伤表现,有时有上运动神经元损伤表现,但以下肢不对称功能障碍为显著表现。
幼儿患者很难被诊断。进行性肌无力直至无法行走的阳性家族史有助于与TCS鉴别诊断,DNA检查可明确诊断。
脊髓灰质炎患者也可具有TCS的一些特点,如肢体不对称的无力和肌肉萎缩。
由于小儿外科手术技术的成熟、儿童专用手术室的建立、监测手段及显微外科手术的成熟,任何年龄的患儿一经诊断即可进行手术。目前预防性手术治疗越来越受到重视。症状显著的患儿,更需要尽快手术解除栓系,主要是将压迫脊髓的脂肪瘤组织尽量切除、椎管内皮样囊肿剥离、皮肤窦道完整切除、病变终丝切断、分离粘连束带并切除、松解脊髓及马尾神经粘连等。
将终丝从马尾神经中分离出来,双极电凝后切断。
将脊髓从硬膜囊末端分离并自由活动。
切口大小从病变椎体开始至脊髓纵裂以下水平,将椎板移除直至头侧的正常硬膜囊。通常可见纵裂的硬膜囊间有异常的骨性突起。将骨性突起咬除,此时骨突中央的动脉可有大量出血,可使用骨蜡封填止血,并适当输血。剪开纵裂两侧硬膜囊,分离脊髓粘连,背侧硬膜扩大缝合。
中线切口,沿头侧分离直至正常椎板,移除椎板暴露正常硬脊膜,打开硬脊膜,向下延伸至脂肪瘤膨出部位,从脂肪瘤样肿物两侧分离硬脊膜,并延伸向下至正常硬脊膜或异常的硬脊膜末端。
脊髓栓系松解术后患者症状少有显著改善。大多数患者获得神经功能的稳定,阻止病情进一步恶化。
【典型病例】
患者,男,4岁。主诉:跛行半年,进行性加重,伴便秘。
现病史:患儿半年前开始逐渐出现跛行,逐渐加重,伴便秘,大便每3~4日1次。小便有力,无漏尿、失禁等。就诊于医院神经外科门诊,行MRI(图4-1-8)提示脊髓栓系,收入院。
图4-1-8 患者MRI图像
查体:神志清楚,骶尾部可见皮肤凹陷,周边有毛发生长。会阴部感觉正常,肛门松弛。右下肢较左下肢细,右下肢肌力4级,左下肢肌力5级,右足内翻畸形。
辅助检查:MRI提示骶椎裂,圆锥位于L 3 水平。
诊断:脊髓栓系综合征;骶椎裂;圆锥低位。
治疗过程:全身麻醉下行“枕部脑膜修补术”,取肿物周围纵梭形切口,分离膨出囊至颅骨缺损处,剪开膨出囊表面,有清亮脑脊液流出,可见部分变性胶质样神经组织从囊颈部膨出,显微镜下切除膨出组织,于颅骨缺损水平严密缝合关闭硬脑膜,翻转缝合骨缺损旁骨膜覆盖缺损,逐层缝合皮下皮肤。
病理结果回报:枕部脑膜膨出。目前随访恢复良好,复查MRI无异常。
患儿入院后完善相关术前检查,于入院后第2日在全身麻醉下行“终丝切断术”。术中沿窦道分离至骶椎裂处,扩大打开骶椎裂处椎管腔,切除皮下窦道,剪开硬膜后见终丝位于马尾神经后方中间,电生理监测下分离出终丝,双极电凝后S 2 水平切断。术后患儿无异常,10日后拆线出院。
知识点
终丝增粗综合征
正常终丝从脊髓末端发出,向下行走,穿过腰脊膜底部,固定在骶骨上。当终丝受到脂肪纤维组织浸润而变性甚至增粗时,将牵拉脊髓,引起神经功能缺损症状。常见如腰背疼痛,遗尿、大小便失禁、便秘等轻度膀胱、肛门括约肌功能障碍,双足畸形等。此时圆锥可低位,也可在正常位置。
知识点
终丝牵拉的手术
根据中线的位置、终丝黄色或银白色变、郎飞结的消失及脂肪浸润来确认终丝。将其与周围的神经分离,然后略微旋转以确定腹侧没有神经粘连。电凝并切断约5mm长的终丝。
先天性皮肤窦道是由于神经外胚层发育异常而导致的一种较少见的先天性体表病变。先天性皮肤窦道可出现在颅、脊柱轴线的任何区域,在头部以枕部最多见,脊柱区窦道以腰骶部最多见,皮肤开口多为一个且常位于中线部位,少数也可位于中线旁两侧,并有多个开口。
多数学者认为先天性皮肤窦道系胚胎发育时期皮肤外胚层与神经外胚层分离障碍引起的一种少见的先天性病变。当皮肤外胚层在神经管某处分离障碍,形成彼此相连的覆盖皮肤成分的管道,在皮肤与脊柱间形成永久性的管道。
皮肤窦道向深部延伸的深度不同,常穿过皮下组织层和中缝或通过裂开的椎板伸向硬膜;少数也可终止于蛛网膜下腔,形成开放的管道,出现脑脊液外溢,或造成感染逆行性进入椎管。
窦道外口多在头部、脊柱中线处,少数也可在中线旁可见,以单个开口多见,少数可见两个以上开口,呈酒窝样细小开口。周围可伴有色素沉着或减少、毛发丛、毛细血管瘤等改变。窦道外口有时可排出角质蛋白碎片、毛发。
窦道外口成逆行性感染的病原体的入口,部分患儿初期仅表现为不明原因的反复发热,当脑脓肿、脊髓脓肿时出现神经功能障碍。因合并中枢系统感染,少数患者尚可并发脑积水表现。
皮肤窦道常合并皮样囊肿或表皮样囊肿,发生在颅内病变体积较大变时,可出现头痛、呕吐等颅内高压症状。
少数患者合并脊髓栓系,出现运动功能或排尿控制或发育过程中典型征象的退化,尚可表现出背部和下肢疼痛。
超声常用于小于6月龄的小儿筛查是否合并隐性脊柱裂。年长儿推荐MRI检查。MRI检查皮肤窦道常呈线样,边界规则,在T 1 WI、T 2 WI上均呈等或低信号,增强后可见线样强化。
(1)病史:
在儿童中,头、臀裂间以上水平脊柱中轴线区域体表皮肤上见酒窝样开口。
(2)部位:
在头部以枕部最多见,脊柱区窦道以腰骶部最多见。
(3)影像学表现:
MRI检查皮肤窦道常呈线样,边界规则,在T 1 WI、T 2 WI上均呈等或低信号,增强后可见线样强化。
(4)病理学诊断:
根据术后病理结果可明确诊断。皮肤窦道是一内壁覆盖复层鳞状上皮,开口于皮肤,延伸至深层组织的类管型结构。
需与以下两种情况相鉴别:
(1)假性皮肤窦道:
可能起源于中胚层,纤维性实性管道,有半透明皮肤组织覆盖开口。一般见于腰部、腰骶部,有更明显皮损表现,烟烫征,局部水疱征,更多见于合并脑膜膨出、脊髓栓系出现。
(2)骶尾部小凹:
在4%的新生儿中可见,此部位发生臀间褶,呈盲管状。
皮肤窦道的治疗原则是手术治疗。为避免诱发中枢系统逆行性感染,诊断明确后,早期手术切除。当合并感染时,积极抗感染,炎症控制后再手术。皮肤窦道常合并皮样囊肿或表皮样囊肿、脊髓栓系、椎管内脂肪瘤等,无禁忌证时同期手术治疗,手术的方式一般根据窦道、合并病变位置进行常规全身麻醉下手术。
适应证:
(1)患者有明确的头颅、脊柱中线区域皮肤窦道与颅内、椎管内关系密切。
(2)患者合并颅/椎管内皮样囊肿、表皮样囊肿等占位性病变。
(3)患者合并脊髓栓系。
(4)患者合并颅/椎管内感染控制后。
(5)患者自愿接受手术。
禁忌证:
(1)严重心、肺、肝、肾功能障碍,不能手术者。
(2)合并皮肤窦道、中枢神经系统感染急性期。
(1)窦道止于硬脊膜外的将其切除病变即可。
(2)窦道终止于硬脊膜,将皮肤窦道以及硬脑/脊膜窦道内口切除,严密缝合硬脑/脊膜防止脑脊液漏。
(3)若窦道穿过硬脑/脊膜的则需打开,以确定窦道仅仅是终止于硬脑/脊膜,或窦道穿过硬脊膜终止于终丝、马尾神经或脊髓。
影响预后的主要因素包括:是否合并中枢系统感染、脊髓栓系、术前出现不可逆性神经功能障碍。未出现神经功能障碍,早期切除一般预后良好。
【典型病例】
患儿,男,10月龄,发现双下肢无力8个月,加重2周。
现病史:患儿于8个月前被家属发现无明显诱因双下肢踢腿活动渐减少,未重视,未行诊治。于2周前双下肢无力加重,未见明显活动,于外院行MRI检查显示腰椎管髓内病变,转诊医院。
既往史:患儿于出生后即发现腰骶部皮毛窦,偶有液体流出。出生后1个月即有不明原因反复间断发热,体温最高可达39℃,不正规抗感染治疗,体温可短期恢复正常。
查体:腰骶部中线区见一小窦道口,直径约2mm双下肢肌张力低,双下肢肌力1级。双下肢痛觉减退。
辅助检查:MRI示脊髓低位并骶部皮毛窦,胸8以下椎管内异常强化。
治疗过程:予头孢曲松抗感染治疗7周,患儿双下肢活动好转,以左下肢肌力改善明显,肌力达3~4级。2个月后复查MRI示:胸腰段脊髓脓肿消失。抗感染治疗10周后行脊髓圆锥松解术+终丝离断+骶部皮肤窦道切除术。术后病理报告镜下见表皮形态大致正常,皮下纤维增生伴炎细胞浸润,灶区可见微脓肿形成。术后继续抗感染2周,患儿术口甲级愈合。随访恢复良好,术后10个月复查MRI脊髓低位。
专家解读
《先天性脊柱裂的常见类型及手术对策专家共识》(2016)
背部皮下窦道(back dermal sinus)可发生在脑脊髓轴背侧,由枕部到骶尾部之间的任何部位,其中以腰骶多见。位于骶尾部窦道很少进入椎管腔内,若位于骶尾水平以上,窦道可穿过硬脊膜进入椎管腔内或终止在脊髓表面。50%的窦道终端为一皮样囊肿,可位于椎管腔内或脊髓内,脊髓因此被牵拉或压迫。皮肤外观可见针眼样孔,周围往往有异常的毛发、色素沉着或毛细血管瘤样改变。很多患者可继发囊肿感染、脑脊膜炎等。
知识点
皮肤窦道手术
皮肤窦道手术需要将脊髓内外皮样囊肿及窦道完全切除。必须探查窦道的终止点,虽然有时皮肤窦道在影像学上显示终止于硬脊膜的表面,但仍有必要打开硬脊膜探查,因为硬脊膜内细小的皮样囊肿MRI常常显示不清。