



肝是一个实质性器官,内部结构复杂,丰富的血液循环长期以来阻碍着肝外科的发展。门静脉是肝脏血液的主要来源(约占70%),起源于腹腔消化器官(消化管、胰、脾等)的毛细血管,经逐级汇集形成(图6-1)。在行PVE前准确掌握门静脉的解剖结构、位置关系及常见的分支变异情况对每一个外科医师来说都是十分必要的。
图6-1 门静脉及其属支
门静脉主要属支包括:① 肠系膜上静脉,位于同名动脉的右侧并与之伴行,除收集同名动脉分布区的血液外,还收纳胃十二指肠动脉分布区的血液。② 脾静脉,由脾的数支静脉组成,在胰腺后方走行,除收集同名动脉分布区的血液外,还接受肠系膜下静脉的汇入。③ 肠系膜下静脉,收纳同名动脉分布区的血液,居于同名动脉的左侧,在胰腺后面汇入脾静脉,有时汇入肠系膜上静脉或直接汇入门静脉(在脾静脉和肠系膜上静脉汇合的交角处)。④ 胃左静脉,胃冠状静脉,与同名动脉伴行并收集同名动脉分布区的血液,沿胃小弯左行再转向右后汇入门静脉主干。在贲门处食管静脉丛有小支汇入胃左静脉,其主支食管静脉汇入奇静脉或半奇静脉,从而使门静脉系和上腔静脉系沟通。⑤ 胃右静脉,与同名动脉伴行,汇入门静脉干。胃右静脉常接受幽门前静脉的汇入,该静脉在术中常用以作为确定幽门的标志。⑥ 胆囊静脉,收集胆囊壁的血液,汇入门静脉干或其右支。⑦ 附脐静脉,为数条细小的静脉,起于脐周静脉网,沿肝圆韧带走行,汇入门静脉或其左支(图6-1)。
在肝十二指肠韧带游离缘,一般没有门静脉的属支。在十二指肠第一部后方,有来自胃、胰十二指肠的静脉直接注入门静脉。在第一肝门的位置,门静脉分为粗短的右干和细长的左干,门静脉左干和右干分别发出1~3条小静脉至尾状叶和左右段,有部分患者的右前支门静脉也直接从门静脉主干发出,或来自门静脉左干的横部。门静脉在胰颈后方约相当于第2腰椎高度,下腔静脉的前方,由肠系膜上静脉和脾静脉以直角汇成。肠系膜下静脉汇入脾静脉者占52.02%,汇入肠系膜上静脉者占24.60%,或由脾静脉,肠系膜上、下静脉共同汇成门静脉,占13.29%。
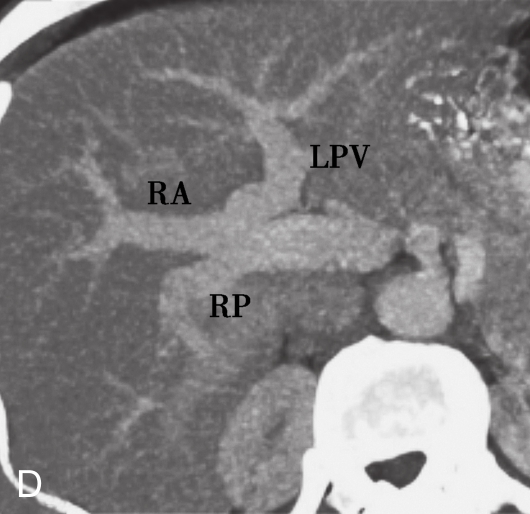
门静脉的变异虽不常见(10%~15%),但熟知门静脉变异对于术前PVE及手术切除的成功尤为重要。门静脉可分3叉(11%),也可以分4叉。只有1%的门静脉是没有分叉的,其中右侧门静脉肝内分支的变异类型较多(图6-2)。
图6-2 肝门静脉及分支变异
A.冠状面增强CT造影;B.模拟图;C.肝门静脉的三种常见解剖结构;D.Ⅱ型变异:增强造影CT显示肝门静脉分叉成右后、右前肝门静脉和左肝门静脉;E.Ⅲ型变异:增强造影CT显示来自门静脉主干的右后支。
LPV.肝门静脉左支;RPV.肝门静脉右支;RA.右前支;RP.右后支;PV.门静脉;SV.脾静脉;SMV.肠系膜上静脉。
门静脉在肝内反复分支,最终形成小叶间静脉,与肝动脉的小分支一起进入肝小叶内的肝血窦,经中央静脉汇入小叶下静脉,最后经肝静脉进入下腔静脉。小叶间静脉在进入肝血窦前,与肝动脉的小分支之间存在着交通支。正常情况下这些交通支不开放,只有在肝硬化窦状间隙变窄时才开放,压力高的肝动脉血流又流入压力低的门静脉,从而增高门静脉的压力。错误地选择分支栓塞会导致肝衰竭甚至死亡。