



患者,47岁,已婚。因“阴道流液1年,外院诊刮病理提示:子宫内膜样腺癌11d”入院。
既往史:无特殊。
月经史:初潮13岁,3~4d/28~30d,经量正常,已绝经 1年。
生育史:G 2 P 1 +1 。
查体:T 36.8℃,P 80次/min,R 20次/min,BP 130/84mmHg。内科查体无阳性发现。
专科查体:阴道通畅,黏膜色泽正常,分泌物多,白色稀糊样,无异味。宫颈:不肥大,光滑,无触血,宫颈管内无出血。子宫:前位,子宫增大,如孕50余天大小,质软,表面光滑,无压痛。双附件区未扪及异常。
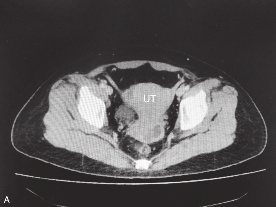
CT检查(入院当天)见图3-12-1,右侧闭孔区淋巴结稍增大,大血管旁未见增大淋巴结;右附件区稍增厚,可见小囊状影。
图3-12-1 盆腔CT图像
A.盆腔子宫底横切面;B.盆腹腔子宫矢状面。UT:子宫。
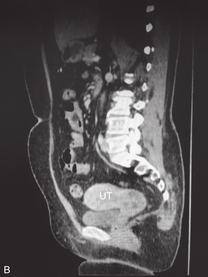
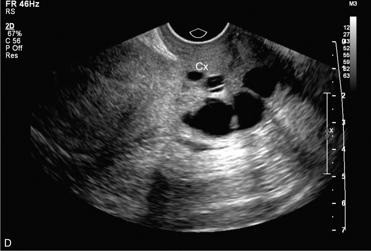
经阴道超声检查见图3-12-2。子宫前位,宫体大小为4.6cm×6.5cm×5.6cm,内膜居中,厚0.2cm(单层),肌壁回声欠均匀,未探及明显异常血流。宫颈查见囊性占位,最大径约3.1cm,液体欠清亮,周边未探及血流信号。右卵巢上查见囊性占位,大小为3.0cm×1.6cm×2.5cm,囊液欠清亮,囊壁可探及血流信号。左附件区未见占位。超声检查结果:右卵巢上囊性占位(多系良性),子宫颈腺囊肿。
图3-12-2 常规超声声像图
A.前位子宫的矢状切面;B.子宫横切面;C.右附件区囊性占位;D.宫颈囊性占位。UT:子宫;C:囊肿;Cx:宫颈。
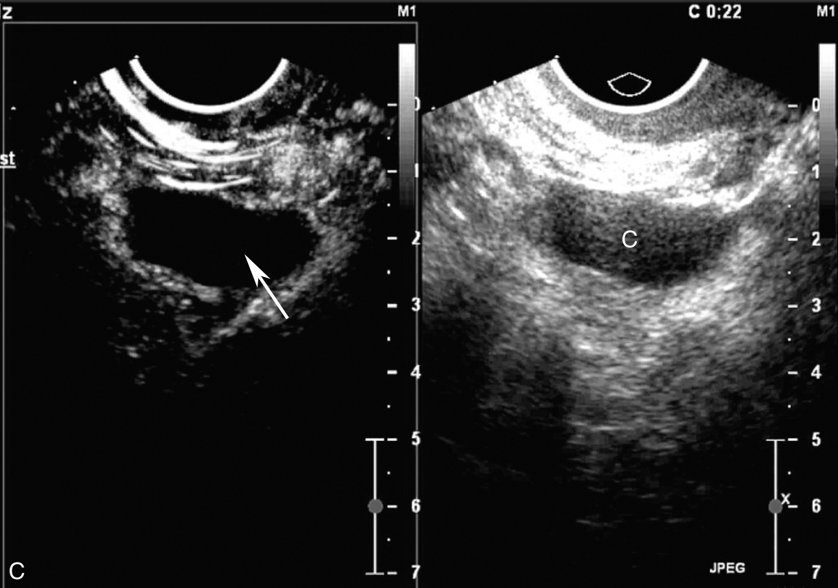
子宫经静脉超声造影见图3-12-3及ER 3-12-1。注入造影剂后16s,子宫内膜开始出现增强(图3-12-3A箭头所示),晚于子宫肌层增强;注入造影剂后23s,子宫内膜呈等增强,造影剂分布不均匀(图3-12-3B箭头所示),其周边出现造影低增强区;注入造影剂后42s,子宫肌层未见异常造影剂聚集(图3-12-3C箭头所示),子宫内膜消退与子宫肌层同步。
图3-12-3 子宫经静脉超声造影声像图
A.注入造影剂后16s;B.注入造影剂后23s;C.注入造影剂后42s。UT:子宫;EN:内膜。
ER 3-12-1 子宫经静脉超声造影动态图
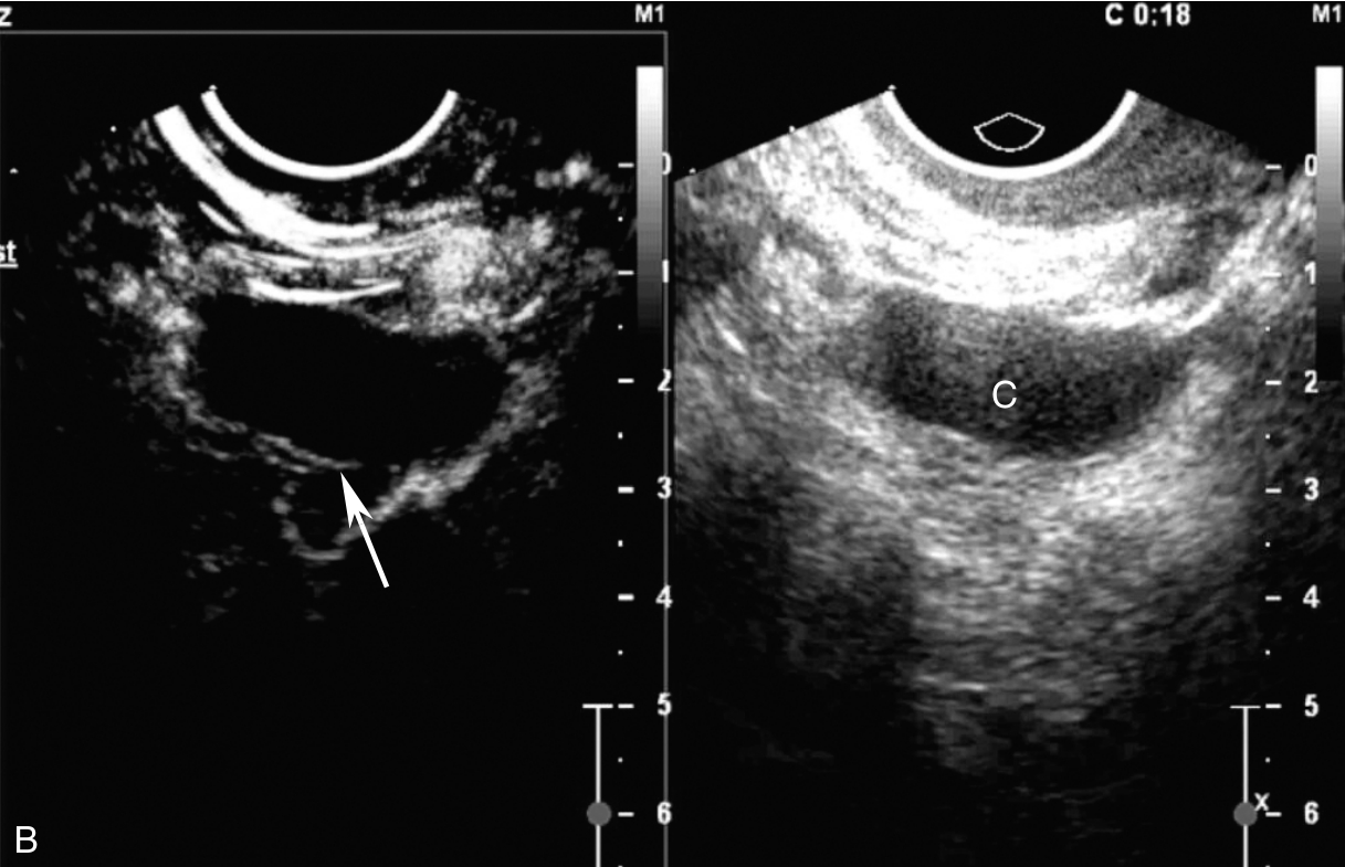
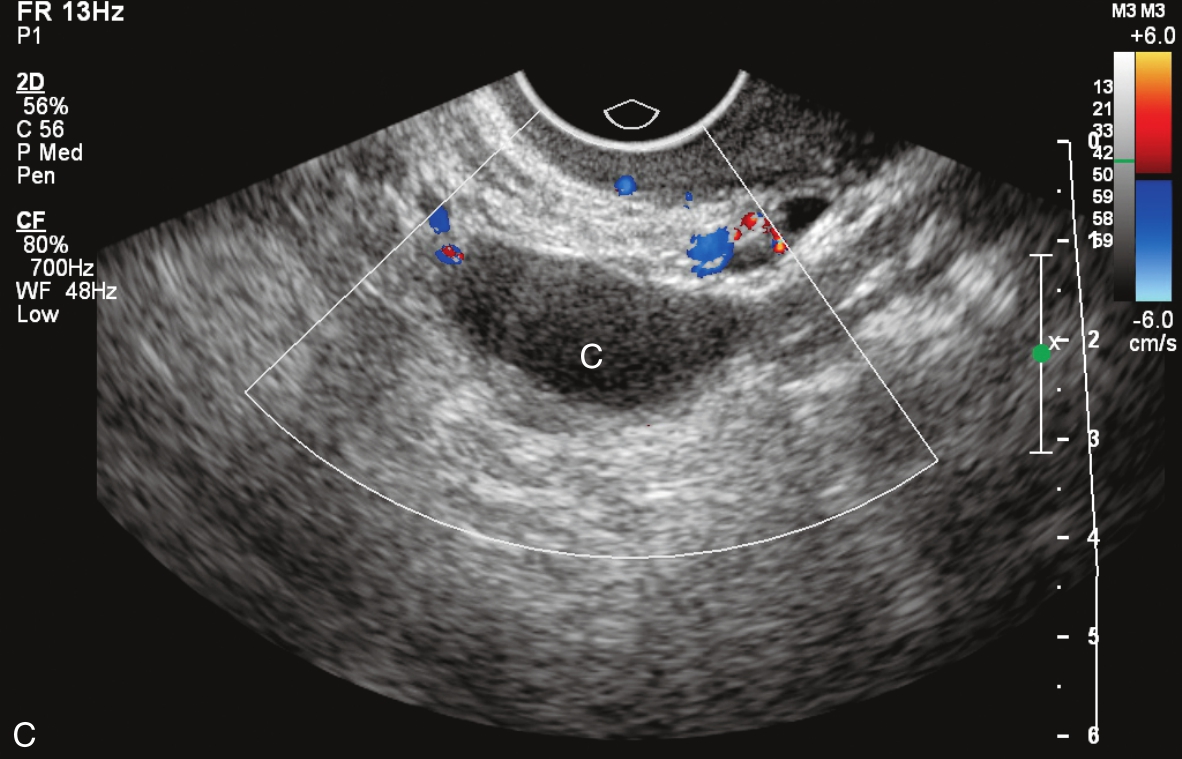
右卵巢上囊肿的经静脉超声造影见图3-12-4及ER 3-12-2。注入造影剂14s,囊肿囊壁开始出现增强(图3-12-4A箭头所示),晚于子宫肌层增强;注入造影剂后18s,囊壁呈较均匀等增强(图3-12-4B箭头所示);注入造影剂后22s,囊肿内始终未见造影剂进入(图3-12-4C箭头所示)。
图3-12-4 右卵巢上囊肿经静脉超声造影声像图
A.注入造影剂后14s;B.注入造影剂后18s;C.注入造影剂后22s。C:囊肿。
ER 3-12-2 右卵巢上囊肿经静脉超声造影动态图
造影后宫内膜造影剂分布不均匀(可疑内膜病变);右卵巢上囊性占位(多系良性);子宫颈腺囊肿。
全身麻醉下行“腹腔镜下全子宫切除术”。术中所见:子宫前位,增大如孕50余天大小,形态饱满,表面凹凸不平。乙状结肠与盆侧壁粘连。左侧闭孔淋巴结增大约2cm×3cm×1cm,质硬。术毕剖视子宫见:子宫肌层不均匀增厚,宫内膜肉眼未见异常。宫颈膨大,宫颈内口可见最大径约3cm范围坏死样改变,质硬,切开后见较多白色黏稠液体流出。取少许该处组织送术中冰冻切片分析,结果提示:慢性宫颈炎伴腺体增生扩张。
术后病理结果:中分化子宫内膜样腺癌,诊刮后再次手术标本仅见小灶癌残留,侵及浅表肌层。
术后诊断:子宫内膜样腺癌。
此病例有两处病灶。
子宫内膜样腺癌病灶的经静脉超声造影有如下特点:①子宫内膜增强呈“慢进同出”,未表现出高代谢的造影表现,分析可能与患者刚行宫腔诊刮且病灶仅侵及浅表肌层有关,故病灶较小且不典型;②局部内膜呈等增强,其周边出现造影低增强区,提示内膜增强不均匀;③子宫肌层未见异常造影剂聚集,提示肌壁无浸润。典型的子宫内膜癌造影表现为“快进慢出”的高增强,并可观察到内膜与子宫肌层界限不清。综上,该病例没有典型子宫内膜癌的高代谢造影表现,分析与患者刚行宫腔诊刮且病灶仅侵及浅表肌层有关。
右卵巢上囊性占位病灶,经静脉超声造影有如下特点:①囊肿囊壁增强呈“慢进”;②囊壁呈较均匀等增强,其内始终未见造影剂进入。综上,造影表现为囊壁呈“慢进”的均匀等增强,囊内始终未见造影剂灌注;均提示囊肿良性可能。随访观察发现该囊肿自行消失。
子宫内膜癌是发生于子宫内膜的上皮性恶性肿瘤,来源于子宫内膜腺体的腺癌最常见。占女性全身恶性肿瘤的7%,占女性生殖道恶性肿瘤的20%~30%,为女性生殖道三大恶性肿瘤之一。临床分期的重要诊断特性包括:子宫肌层的侵入深度,是否侵及宫颈;是否扩展到输卵管、卵巢或盆腔淋巴结;是否有远处转移到肺部或其他器官。
超声表现:早期病灶细小,无法与内膜增生过长鉴别,需根据病史和诊断性刮宫诊断;随病情的发展,子宫内膜增厚,增厚内膜病灶区呈弱回声或强弱不均杂乱回声;当病变累及宫颈或癌肿脱入宫颈管引起阻塞时,可出现宫腔积液;累及肌层时,局部内膜与肌层界限不清;彩色多普勒超声检查显示于子宫内膜内或内膜基底部可见一至数个条状、短棒状或点状彩色血流信号,有肌层侵犯时,受累肌层局部血流信号增多,血供丰富,可根据此彩色多普勒超声表现辅助判断肌层侵犯程度;可探及低阻力型动脉血流频谱,舒张期成分丰富,阻力指数低于0.40,大多低至0.35以下。
子宫内膜样腺癌超声图像需要与子宫内膜息肉,子宫黏膜下肌瘤等疾病鉴别。子宫内膜息肉超声表现:宫腔内等回声或稍强回声团,形态多呈乳头状、水滴状、舌状、条索状,形态较规则,边界较清楚。子宫黏膜下肌瘤的超声表现:宫腔内可见不均匀的低回声团,呈圆形、不规则椭圆形,边界清楚,似有包膜,内部血流呈点线状。
(徐 红)