



患者,27岁,已婚。因“发现宫腔占位1个月余,不规则阴道流血20余天”入院。
既往史:1余年前于我院行宫腔镜下子宫内膜息肉摘除术。
月经史:初潮14岁,6~7d/35~40d,经量正常,周期规律,无痛经史。
生育史:G 0 P 0 。
查体:T 36.6℃,P 82次/min,R 19次/min,BP 110/70mmHg。内科查体无阳性发现。
专科查体:阴道通畅,无畸形,黏膜色泽正常,少许暗红色血液,无异味。宫颈:不肥大,光滑,无触血,宫颈管内无出血。子宫:前位,子宫增大,如孕50余天大小,质软,表面光滑,无压痛。双附件区未扪及异常。
输血全套检查:乙肝大三阳(院外已确诊),血常规、肝肾功能、血脂、凝血功能、白带常规、胸部X线检查及心电图未见明显异常。
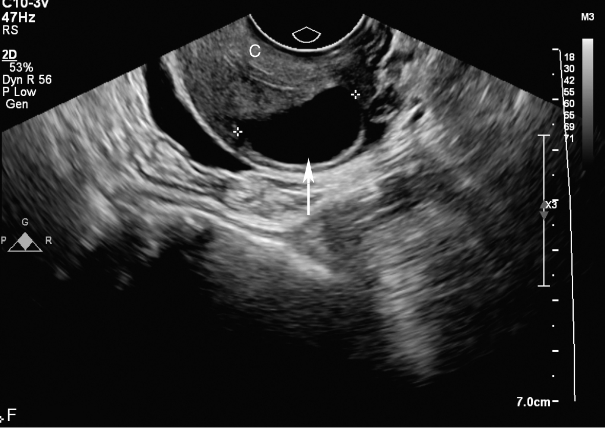
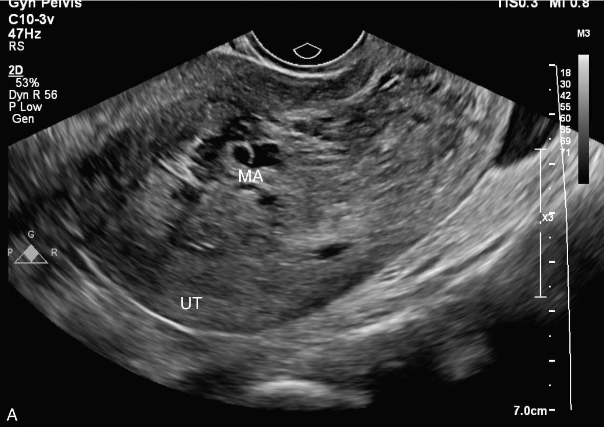
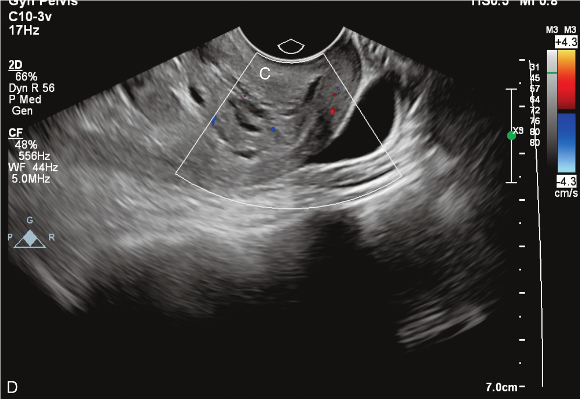
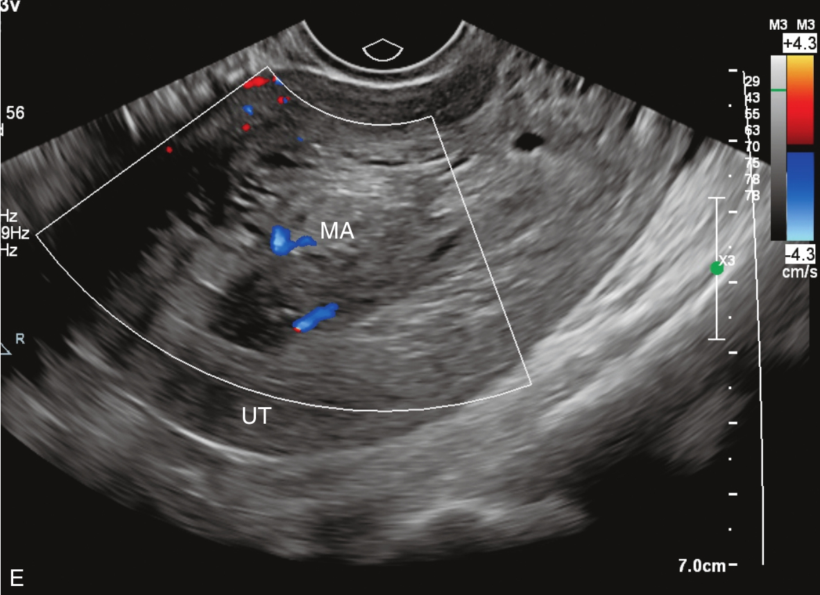
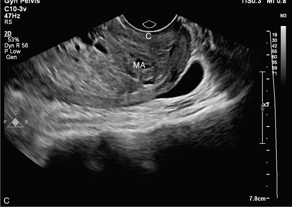
经阴道超声检查见图3-10-1。子宫前位,宫体大小5.6cm×6.9cm×6.5cm,宫腔内查见7.1cm×2.6cm×3.5cm不均质稍强回声,其内回声极不均匀,其内可见多个无回声区,最大无回声区的最大径为0.8cm,周边及其内探及丰富血流信号,该团块与子宫前壁关系密切。宫颈后唇查见囊性占位,大小为2.5cm×1.3cm×1.9cm,囊液清亮,未探及明显血流信号。双附件区未见确切占位。超声检查结果:宫腔内占位,宫颈后唇囊性占位。
图3-10-1 常规超声声像图
A.子宫矢状切面显示宫腔内稍强回声;B.子宫横断面显示宫腔内强回声;C.子宫矢状切面显示宫颈管内占位;D.宫颈管内占位的血流情况;E.宫腔占位的血流情况;F.宫颈囊性占位(箭头所示)。UT:子宫;C:宫颈;MA:肿物。
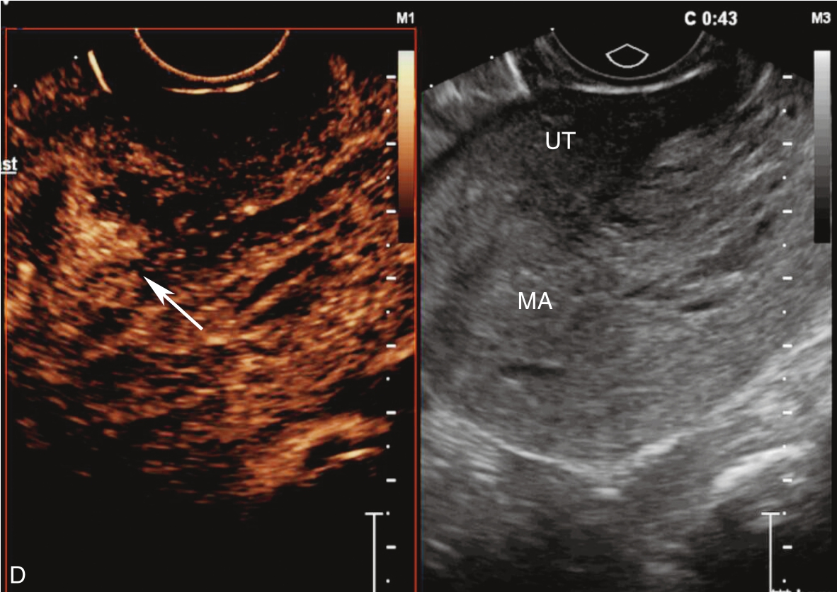
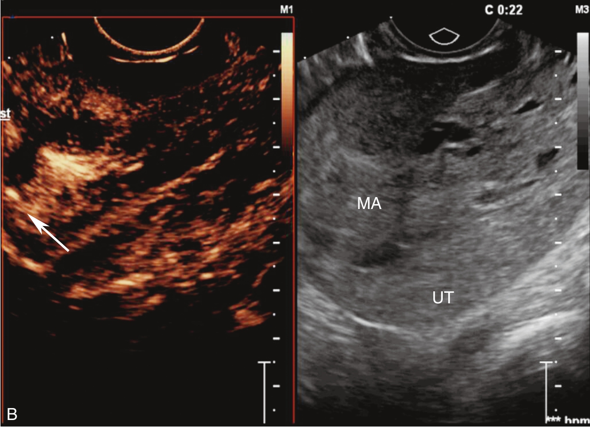
经静脉超声造影见图3-10-2及ER 3-10-1。注入造影剂后11s,宫腔内不均质稍强回声团块开始出现增强(图3-10-2A箭头所示),稍早于子宫肌层增强;注入造影剂后22s,团块根蒂似附着于宫腔上段宫底处(图3-10-2B箭头所示);注入造影剂后26s,宫腔内团块呈高增强,且其内造影剂分布不均匀(图3-10-2C箭头所示);注入造影剂后43s,宫腔内团块造影剂消退晚于子宫肌层(图3-10-2D箭头所示)。
图3-10-2 经静脉超声造影声像图
A.注入造影剂后11s;B.注入造影剂后22s;C.注入造影剂后26s;D.注入造影剂后43s。UT:子宫;MA:肿物。
ER 3-10-1 经静脉超声造影动态图
宫腔内占位(怀疑子宫黏膜下肌瘤伴变性或子宫内膜息肉,恶变不能排除)。
术中见:子宫前位,宫腔深7.5cm,宫腔突向宫颈管见菜花样组织,大小约7cm×3cm×4cm,充满整个宫腔,无明显根蒂,基底部广泛附着于子宫宫底。术后石蜡切片提示:子宫内容物为腺肉瘤;肉瘤成分为低级别子宫内膜间质肉瘤。
病理结果:子宫腺肉瘤,肉瘤成分为低级别子宫内膜间质肉瘤,肿瘤未侵及子宫肌层,未累及颈体交界。
术后诊断:子宫腺肉瘤。
此病例为子宫腺肉瘤,为宫腔内恶性病变,有如下特点:①宫腔内不均质稍强回声团块造影表现为“快进慢出”;②团块的造影剂分布显示与宫腔上段肌壁关系密切,可疑病变似附着于宫腔上段宫底处;③宫腔内团块呈高增强;④团块内造影剂分布不均匀,分析与恶性团块内有坏死组织有关。综上,造影表现为“快进慢出”的高增强,提示高代谢状态,符合恶性肿瘤的造影表现。
子宫腺肉瘤属于子宫体上皮和间叶组织混合性肿瘤,是由良性肿瘤性腺体成分和肉瘤性间质成分构成的混合性肿瘤。80%的子宫腺肉瘤来自于子宫内膜,其次是宫颈或宫体肌肉层。子宫腺肉瘤的发病年龄多为14~89岁,平均58岁。可以发生在子宫或子宫外。最常见的临床表现包括异常阴道出血、盆腔肿块、宫腔肿物及子宫增大。
子宫腺肉瘤超声表现分为以下类型:①子宫肌层单发巨大占位,病灶位于肌层内使子宫不规则长大,呈分叶状或外形不规则,内部回声失去典型的平滑肌瘤漩涡状回声,边界不清,呈浸润性生长,回声为不均质弱回声伴内部不规则液性暗区;②子宫肌层多发占位或子宫弥漫性病变,部分患者表现为子宫肌层散在分布的实性中低回声或囊实性占位,边缘模糊,回声减低;③内膜或宫腔内占位,病变可以表现为内膜的不均匀增厚,也可表现为宫腔内息肉或结节状囊实性占位。彩色多普勒血流分布可表现为丰富血流,也可表现为少血流或无血流信号显示,这与肿瘤的组织病理及肿瘤分化程度有关。
宫腔占位型子宫腺肉瘤需要与子宫内膜癌鉴别。内膜癌常表现为宫腔内稍强回声,病灶内部回声较均匀;而子宫肉瘤则多呈不规则的息肉或结节状不均质回声病灶,内部回声不均匀。但部分病例图像特点相似,超声鉴别困难。
临床工作中应该熟悉子宫肉瘤的病理特点及分型,熟悉子宫腺肉瘤超声图像特点,与子宫肌瘤、子宫内膜癌及宫颈癌等疾病的超声图像鉴别,减少子宫肉瘤的误诊和漏诊。
(徐 红)