



患者,49岁,已婚。“月经紊乱1年多,月经淋漓不尽11天余”入院。
既往史:无特殊。
月经史:初潮15岁,6~7d/28~30d,经量正常,周期规律,无痛经史。末次月经:10d前。
生育史:G 3 P 1 +2 。
查体:T 36.2℃,P 88次/min,R 20次/min,BP 115/80mmHg。内科查体无阳性发现。
专科查体:阴道畅通,无充血,见少许白色分泌物;宫颈肥大,色红,见多个大小不等子宫颈腺囊肿,无触血;宫体后位,质中软,活动,有压痛,双附件区无明显压痛,未扪及包块。
血常规、肝肾功、血脂、凝血功能、肿瘤标志物、宫颈脱落细胞、白带常规、胸部X线检查及心电图等均未有阳性发现。
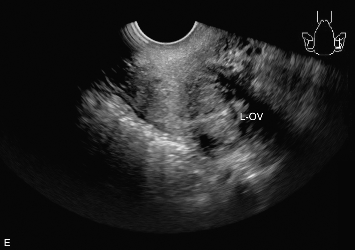
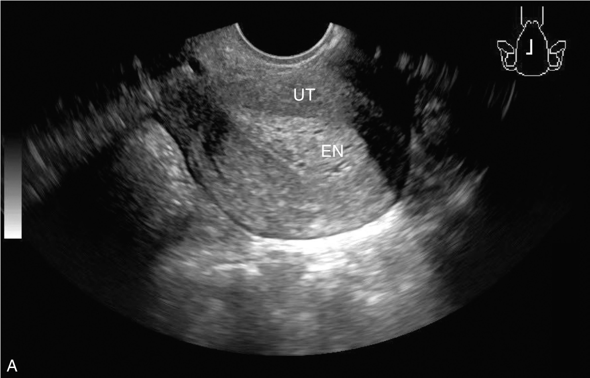
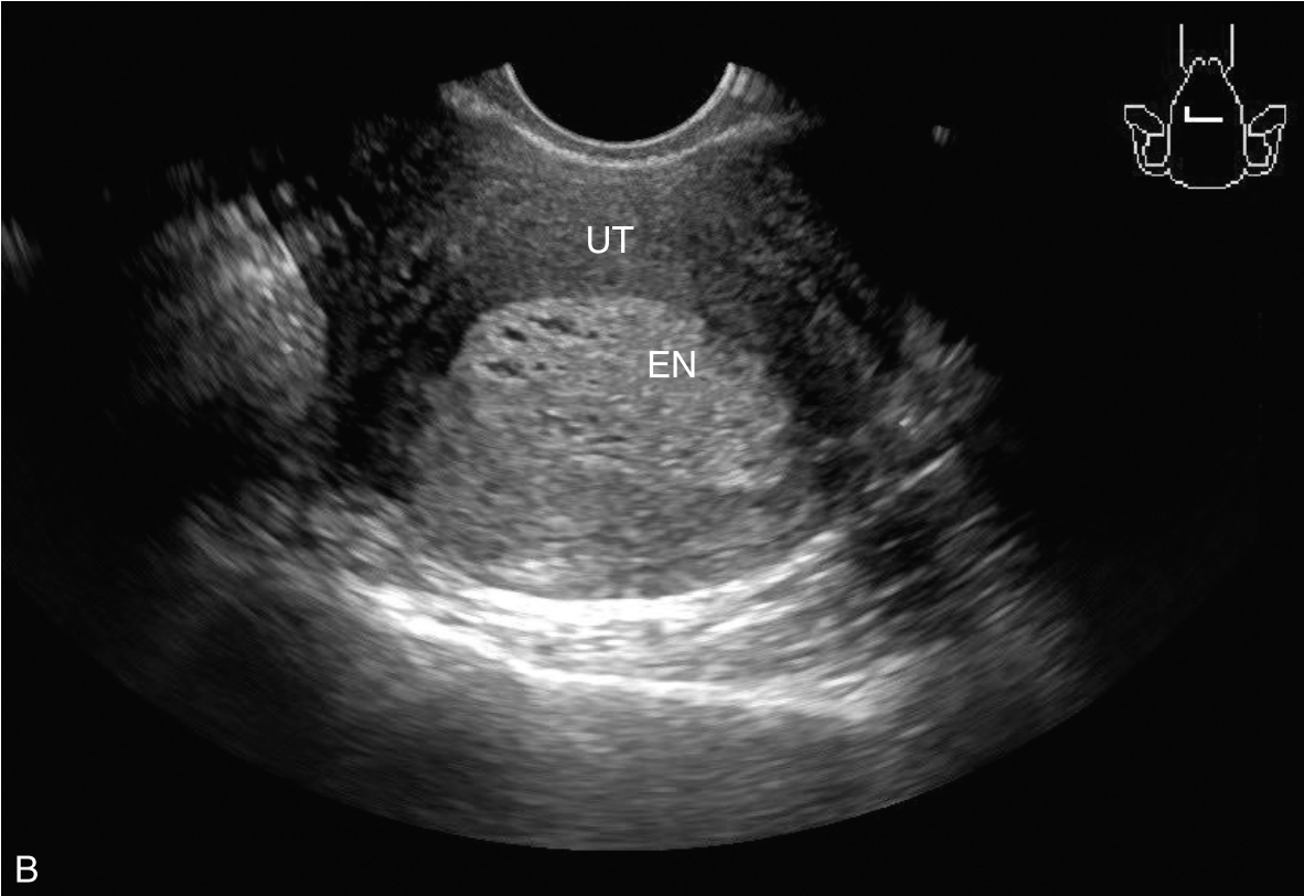
经阴道超声检查见图3-5-1。子宫后位,宫体大小约5.8cm×5.0cm×5.1cm,宫内膜厚约0.75cm(单层),内膜回声不均匀。宫腔未见分离。宫壁回声均匀。内膜内见多个囊性结节,较大者大小约0.5cm,内透声可。CDFI:未见异常血流信号。双侧附件区未见异常回声。盆腹腔未见明显积液。超声检查结果:宫内膜增厚伴回声不均匀。
图3-5-1 常规超声声像图
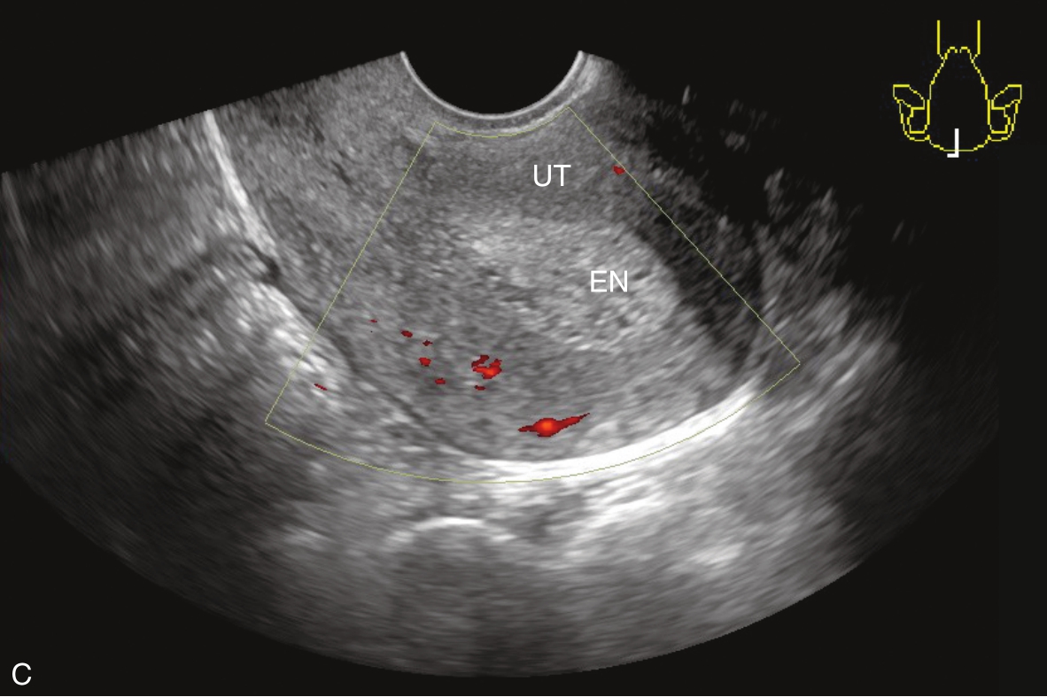
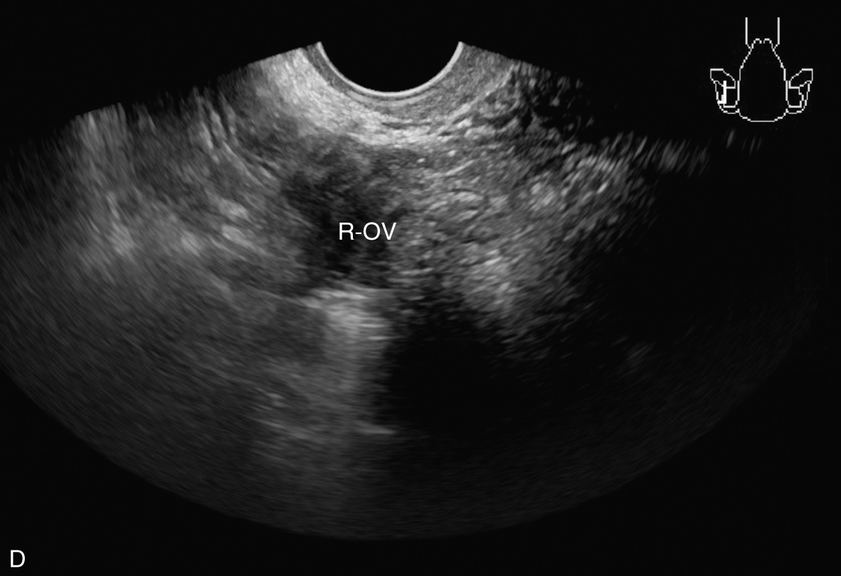
A.后位子宫的矢状切面(经阴道),子宫内膜增厚,单层厚约0.75cm,内见多个小暗区;B.后位子宫的横断面(经阴道);C.后位子宫的矢状切面(经阴道),彩色多普勒能量图超声检查显示子宫未探及明显血流信号;D.右卵巢;E.左卵巢。UT:子宫;EN:子宫内膜;R-OV:右卵巢;L-OV:左卵巢。
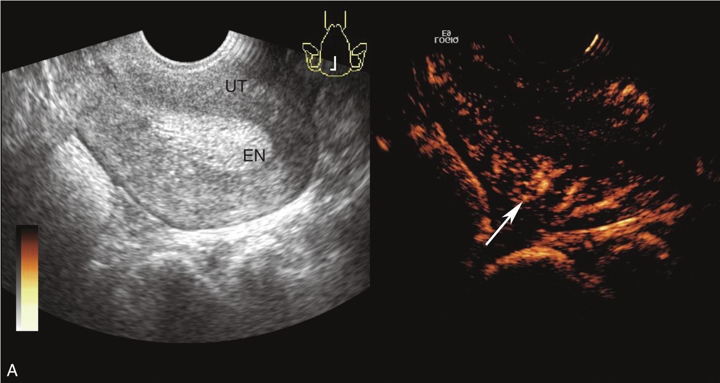
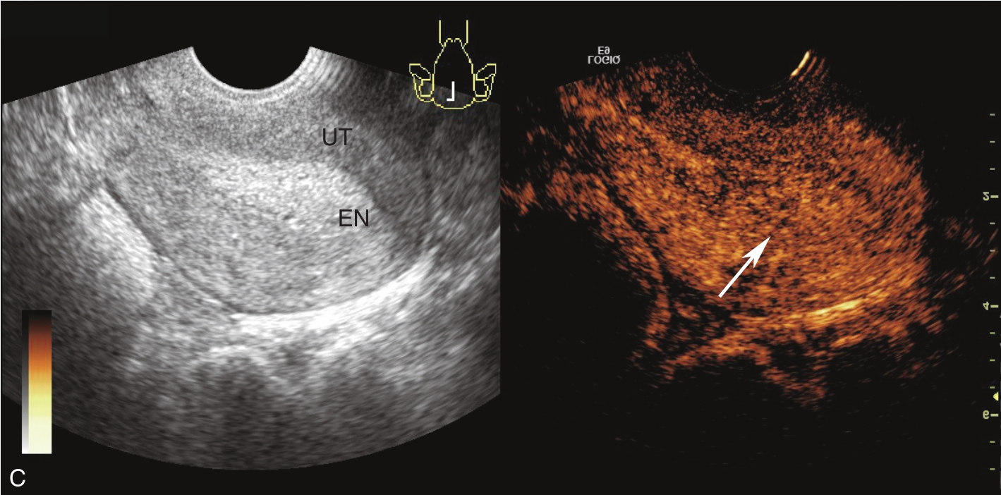
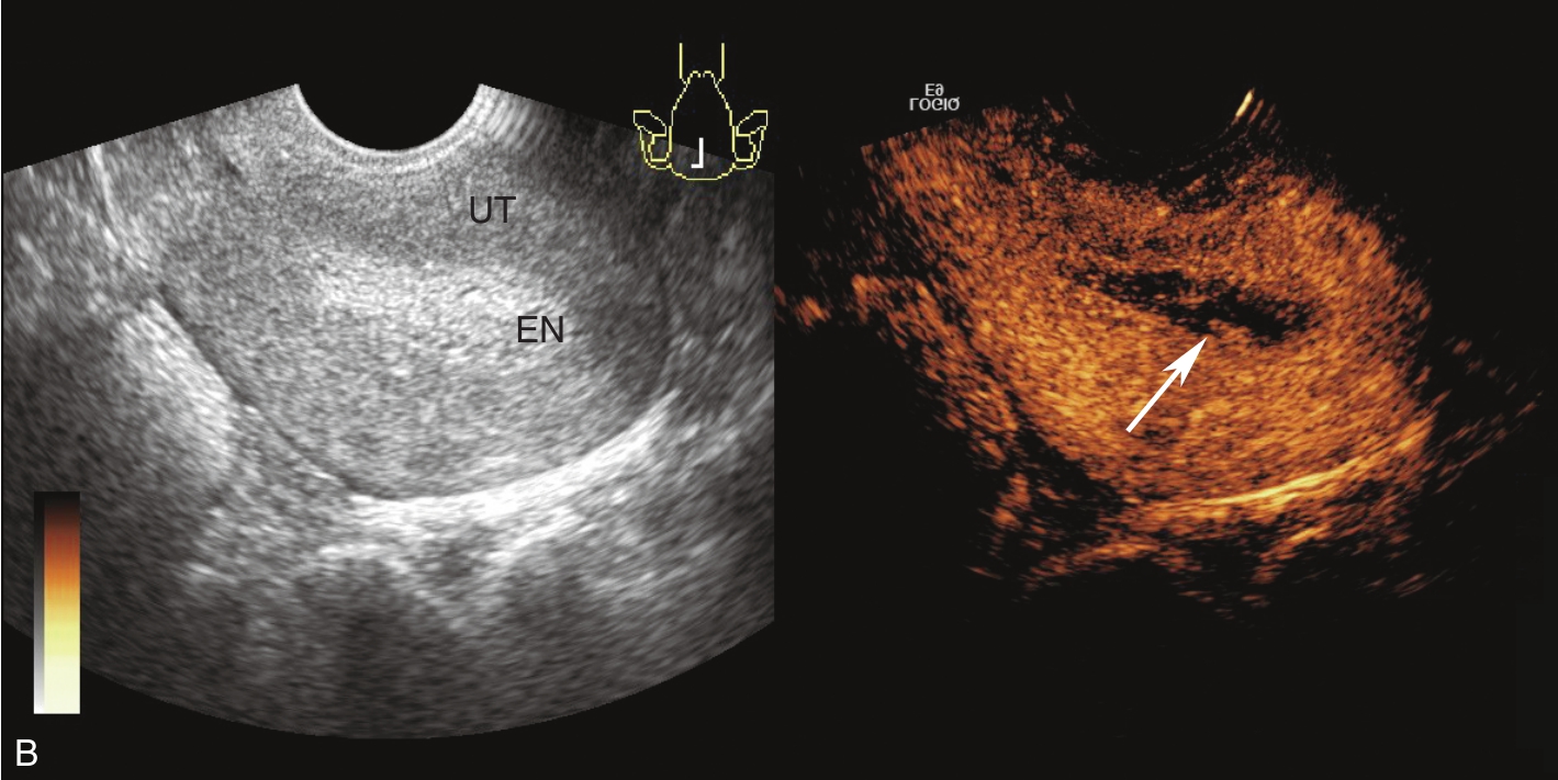
经静脉超声造影见图3-5-2及ER 3-5-1。注入造影剂后14s,子宫肌层开始增强(图3-5-2A箭头所示);子宫内膜始增时间约注入造影剂后21s,从周边开始增强(图3-5-2B箭头所示),晚于子宫肌层,向心性充填;注入造影剂后40s,内膜造影剂达峰,造影剂分布较均匀,呈等增强(图3-5-2C箭头所示);注入造影剂后73s,宫内膜晚于肌壁清退(图3-5-2D箭头所示);TIC曲线显示内膜呈晚增强、等增强、晚清退(黄色曲线代表内膜,绿色曲线代表子宫肌层)(图3-5-2E)。
图3-5-2 经静脉超声造影声像图
A.注入造影剂后14s;B.注入造影剂后21s;C.注入造影剂后40s;D.注入造影剂后73s;E.TIC曲线。UT:子宫;EN:子宫内膜;A、B、k、C:拟合曲线方程式的系数;MSE:均方误差;TtoPk:达峰时间;Area:曲线下面积;Grad:梯度;ATm:到达时间;TI:时间强度。
ER 3-5-1 经静脉超声造影动态图
子宫内膜增厚,超声造影考虑子宫内膜增生。
诊刮术后病检示:子宫内膜复杂性增生。
术后诊断:子宫内膜复杂性增生。
此病例为子宫内膜复杂性增生,其经静脉超声造影有如下特点:①增强早期,增生的子宫内膜与正常内膜增强模式类似,即晚于肌层增强。因复杂性增生无肿瘤血管,故时相无变化。②增强晚期,与正常内膜增强模式不同,晚于肌层清退。③复杂性增生可伴有小血管的增生,呈等增强,并使造影剂增强晚期清退时间延长。综上,内膜增生造影表现为“慢进慢出”均匀等增强。
子宫内膜复杂性增生是指腺体与间质的比例大于3,其临床表现与单纯性增生无明显区别,以月经周期紊乱为特点,称为功能性子宫出血。复杂性增生不伴有上皮细胞形态改变,恶变率较低(0~7%);当伴有非典型增生时,恶变率显著增高(可达8%~45%)。
超声表现:常规超声表现与单纯性增生类似,主要表现为子宫内膜增厚,与宫壁肌层界限清晰,肌层多显示变薄。彩色多普勒超声检查多显示血流信号稀少。
子宫内膜复杂性增生通常需要与子宫内膜癌及子宫内膜息肉相鉴别,鉴别要点如前所述(与子宫内膜息肉鉴别参看病例3-1)。复杂性增生可表现为正常内膜增强模式,也可有部分不同于正常内膜的增强表现,当复杂性增生伴有小血管增生及排列紊乱而出现不同的增强模式时,如等增强、晚消退等;需注意与子宫内膜癌相鉴别,增强早期的快速整体高增强是子宫内膜癌的特征表现,也是鉴别要点。鉴别困难时需结合临床综合考虑。
(谯 朗 徐 嘉)