



复发性多软骨炎(relapsing polychondritis,RP)是一种罕见的自身免疫病,主要累及耳、鼻、喉气道软骨及关节软骨,病情反复发作可导致软骨破坏塌陷。其他富含蛋白多糖的组织如心脏、血管、内耳、角膜、巩膜及肾脏亦可受累。
尽管人类认识复发性多软骨炎已经近百年,但由于其罕见性、散发性以及软骨受累部位取材的困难性,对该病的研究受到极大限制。因此,其病理生理机制在很大程度上仍属未知。随着研究技术手段的提高,近年来,RP的发病机制研究已有长足进展。
软骨炎是RP的临床标志。耳软骨炎的发生率为90%~95%。典型的耳廓软骨炎体检可见受累耳廓部分的红肿和触痛,但没有软骨的耳垂不累及。反复发作的鼻软骨炎症可导致鼻软骨破坏,引起特征性的“鞍鼻畸形”。气道软骨炎发作将导致致命的气道增厚、钙化和狭窄,但气道软骨炎的发现需要影像学检查的证据。肋软骨炎可导致胸廓畸形。
软骨炎的病理资料多来自软骨活检或尸体解剖标本。
文献检索到最早的RP尸检报道见于1936年。Altherr等在1例14岁起病的男性RP患者体内观察到了软骨的弥漫性变性及破坏。1963年Verity详细报道了2例RP患者的尸检结果:2例患者的病理特征均为软骨的弥漫性破坏,局部钙化,浆细胞浸润及局部纤维化。
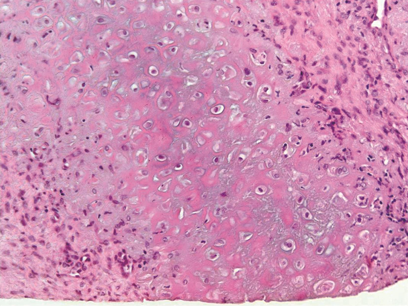
文献总结RP的病理改变表现为:早期软骨基质的嗜碱性丧失,伴随局灶性软骨细胞固缩、软骨陷窝崩解,并可见嗜酸性基质纤维化改变。上述变化在软骨膜处更为明显。镜下亦可见软骨板的边缘性侵蚀,软骨陷窝间隙变窄及软骨细胞受压变形。胶原纤维呈不规则螺旋样排列,散布在浆细胞及淋巴细胞周围(图3-1)。此时尚未出现软骨基质的异染性改变。病变进一步发展可见肉芽组织形成及明显的局部钙化及骨化。硫酸软骨素可抑制钙与受损主动脉结合,而酸性黏多糖的缺失将导致过度钙化。类似的情况也适用于软骨溶解过程。RP最初的病理改变为软骨基质酸性黏多糖缺乏的假说,该假说得到了针对正常及病理软骨对比研究的支持。1984年Homma等还在RP患者血清内检测到了抗Ⅱ型胶原抗体,证实病变软骨内有免疫球蛋白、纤维蛋白原及补体C3的颗粒样沉积。然后,软骨细胞出现浓缩,最终凋亡,软骨基质被严重破坏并被纤维结缔组织替代,还可有胶凝状囊肿和钙化区。
图3-1 软骨炎的病理改变
2015年一篇以气道受累为首发表现RP患者的尸检报道大体病理可见气管支气管软化、气道黏膜炎性改变、软骨环消失。喉气道组织学检查显示软骨的急性炎症及破坏;镜下可见多种炎症细胞浸润,包括淋巴细胞、浆细胞、中性粒细胞及嗜酸性粒细胞。残存软骨岛轮廓不清并被肉芽组织浸润,可见钙化。无血管炎及肉芽肿形成。肺组织切片显示肺内大气道软骨周围慢性炎症改变,邻近肺组织正常。
受累耳软骨细胞周围可见大量类似于基质囊泡或溶酶体的高密度颗粒和囊泡;在损害较轻的软骨细胞,这些颗粒和囊泡似乎是通过挤压胞突(cytoplasmic processes)或以胞突出芽的形式而形成的,颗粒的钙化轻微;在损害较重的软骨细胞,这些颗粒及胞突混合出现。推测:这些高密度的颗粒就是溶酶体,并导致炎症和降低软骨的蛋白多糖含量。
鉴于内耳无软骨组织,内耳病变的成因多为内听动脉耳蜗支或前庭支的血管炎。Hoshino等采用扫描电镜观察了伴突发性聋RP患者的内耳结构。镜下可见螺旋器[又称科蒂器(organ of Corti)]显著变性脱位,耳蜗内盖膜压缩,椭圆囊斑及球囊斑内感觉细胞显著下降。前庭半规管壶腹嵴内感觉纤毛完全丧失。有学者认为突发性聋可能与病毒感染有关。
1987年Mayo Clinic报道的伴肾脏受累RP患者的肾穿结果显示:病变主要表现为轻度系膜扩张及细胞增殖、节段坏死性肾小球肾炎伴新月体形成。电镜下可见系膜区少量电子致密物沉积。免疫荧光染色证实系膜区有微量C3和/或IgG或IgM沉积。
2013年法国学者总结了RP病理改变,认为早期RP损害似以软骨边缘伴不同比例程度的淋巴细胞、巨噬细胞、中性粒性细胞和浆细胞成分的多形浸润为特点,而此时软骨多是正常的。浸润的T淋巴细胞多为CD4 + T细胞,在软骨边缘浸润部位的抗原呈递细胞表达HLA-DR标志提示激活状态。直接免疫荧光检查显示在软骨膜与软骨交界区有不连续的Ig和C3沉积。随着疾病进展,上述炎症细胞导致软骨弥漫性嗜碱性下降,软骨内蛋白多糖含量降低。在此阶段,蛋白水解酶如基质金属蛋白酶(matrix metalloproteinase,MMP)-3和组织蛋白酶K及L高度表达、软骨细胞周围包绕溶酶体。随黏多糖降解,软骨被逐步降解并丧失其嗜碱性,弹性蛋白酶及胶原纤维结构破坏并碎片化。最终,软骨基质被严重破坏并被纤维结缔组织替代;软骨细胞出现浓缩,最终凋亡。还可以见到胶凝状囊肿和钙化区。
在外耳及中耳内,Ⅱ型胶原分布于耳廓、外耳道、鼓膜及鼓膜环。Miyazawa等采用免疫组化法检测3例伴感音神经性聋RP患者颞骨内的Ⅱ型胶原,发现富含Ⅱ型胶原的盖膜发生了特殊变性,认为其与耳聋发生相关。针对Ⅱ型胶原的自身免疫反应恰好可解释鼓膜红肿及外耳道炎症。
Ouchi等以经外科手术获得的7份耳廓软骨及2份气道软骨标本为研究对象,对软骨周围肉芽组织内的炎症细胞进行分析发现:组织病理见软骨基质嗜碱性丧失;软骨周围可见局灶或弥漫性单个核细胞浸润及纤维肉芽组织形成,偶见多形核白细胞及浆细胞浸润。免疫组化显示LCA阳性细胞,包括巨噬细胞/单核细胞、粒细胞及淋巴细胞在软骨周围肉芽组织内弥漫性浸润。在各种炎症细胞中,LCA、CD68、CD3及CD4阳性细胞比例最高。在CD3 + T淋巴细胞中,CD4 + T淋巴细胞及组织细胞显著增高,而CD8 + 的细胞毒性T细胞较少。MMP-8、MMP-9和弹性蛋白酶仅在软骨周围肉芽组织内表达,且 MMP - 9 基因强烈表达,而MMP-3和组织蛋白酶K和L在软骨细胞及肉芽组织内均有表达。6/9的受检标本软骨细胞凋亡超过50%,且凋亡细胞数与MMP-3阳性及组织蛋白酶K阳性细胞数密切相关。变性软骨内软骨细胞NO表达显著。提示:RP的软骨破坏不仅受软骨周围炎症介导,也与软骨细胞的内在因素如特殊种类蛋白水解酶的表达及凋亡有关。
RP的发病机制不清。外伤、化学试剂等曾被认为与本病相关;目前认为RP的发病与自身免疫相关;后者又与不同激发因素(如创伤、毒物、感染)诱导的易感个体的自身抗原表位暴露相关;后续的炎症反应导致酶及氧代谢介导的结缔组织退化、细胞因子释放及临床症状,且常与其他风湿免疫病重叠。
少数病例提示物理或化学刺激直接作用于软骨结构可能触发易感个体发病。
软骨外伤为软骨炎起病的原因是最早提出的假设之一。RP的启动机制可能是软骨损伤后暴露了软骨细胞或细胞外软骨基质的免疫原性表位。
2001年和2003年文献报道了2位女性在一侧耳廓软骨部位打孔后发生典型的RP表现:耳、鼻及喉气管受累。基于RP发病与打耳洞之间明确的时间相关性,认为软骨机械损伤与RP发病相关。在2012年哥伦比亚大学学者回顾性分析的18例RP患者中7例病前有软骨创伤史、11例无相关病史;而伴创伤史者多系统表现及自身免疫反应更常见,多倾向于在年轻时起病。这一学说符合现代免疫学中抗原暴露后激发自身免疫反应的基本理论。同理,气管切开后远离切口部位的气道狭窄也能用此理论解释。
化学物质(药物)导致软骨的直接或间接损伤而改变其抗原性,为软骨炎发病的另一假设。
Furer等报道了1例患者在服用氨基葡萄糖和硫酸软骨素后出现了双侧耳廓软骨炎。Hernández等报道2例脊柱关节炎患者在应用TNF-α抑制剂后出现了RP样症状,停药后症状改善,此例RP的发病抑或与TNF-α或其副作用相关。上述资料提示:作用于软骨的化学(药物)刺激在罕见情况下可能通过使软骨内隐秘抗原释放而触发易感个体发病。
微生物HSP与人的HSP结构具有同质性。因此,自身免疫的触发可能与感染性疾病通过分子模拟激活免疫系统相关。Menge等发现来源于RP患者B细胞的自身抗体可与软骨及结核分枝杆菌的HSP60结合。提示外源性抗原可与疾病相关的自身抗原发生交叉反应。目前尚不能确定RP是否由某种感染源触发。
抗原成分可以通过细胞免疫机制导致软骨炎症的持续性。为了解免疫病理机制在RP软骨退化及炎症发生中的作用,1973年Herman等将3例RP患者经过分层离心技术获得的人肋软骨蛋白多糖提取物、无损伤的单层培养软骨细胞、包含抗原物质的匀浆及合成产物作为研究底物,经免疫扩散、红细胞凝集、免疫荧光或补体介导的软骨细胞毒技术( 51 Cr 铬释放测定技术)均未能测到针对这些抗原的循环抗体。同样,经放射免疫扩散技术、软骨细胞(经神经氨酸酶处理及未处理的)免疫吸收技术及免疫共沉淀技术检测外周血淋巴细胞抗体的从头合成均为阴性。然而,采用外周淋巴细胞研究针对软骨成分的迟发超敏反应获得了阳性结果,且与疾病的活动性相关。同样的结果亦见于伴关节破坏的经典RA患者。
1974年英国学者通过对比研究进一步证实在RP患者体内存在针对软骨蛋白多糖的细胞免疫反应。
1978年美国学者采用直接免疫荧光法证实在RP患者耳软骨的纤维软骨结合处存在颗粒状IgG、IgA及补体C3的沉积,证实了体液免疫在RP发病机制中的作用。
RP 具有 TNF-α 介导疾病的诸多标志。例如,RP患者体内存在对Ⅱ型胶原敏感T细胞克隆,提示Th1表型的自身免疫反应引起的一系列TNF-α驱使的前炎症因子“瀑布”;体外实验发现:TNF-α可以诱导软骨细胞的基质降解蛋白酶合成及释放(导致RP损伤)。一些个例报道及小型队列研究显示TNF-α拮抗剂用于对其他抗炎及免疫抑制治疗失败的患者有效。因此,TNF-α拮抗剂可以作为疾病早期的激素替代治疗。
RP自身免疫反应的主要靶抗原目前尚属未知,因此,尚未发现RP特异的自身抗原及抗体。
RP突出的软骨受累提示软骨组织成分作为潜在抗原的可能。1973年Rogers等通过间接免疫荧光法证实RP患者血清内存在抗软骨成分抗体。目前,已在RP患者体内检测到了针对软骨、胶原(主要是Ⅱ型胶原,也包括Ⅸ、Ⅹ及Ⅺ型胶原)、基质蛋白-1及软骨寡基质蛋白(cartilage oligomeric matrix protein,COMP)的自身抗体。组织学研究也已证实了直接作用于软骨组分的体液和/或细胞反应。
还有文献报道:检测到了针对耳蜗、前庭(抗迷路抗体)、角膜上皮和肌间线蛋白的抗体。Papo等在33例RP患者血清中发现8例(24%)抗中性粒细胞胞质抗体(antineutrophil cytoplasimic antibody,ANCA)滴度升高,且与疾病活动性显著相关。
1)胶原:
RP发病机制的主要假设是最初针对软骨的自身免疫反应,并进一步扩散到非软骨组织。
目前,针对Ⅱ型胶原的研究较多。胶原自身免疫参与RA及RP的发病机制。已在这两种疾病中发现了抗Ⅱ型胶原的循环抗体。RA患者血清中也存在抗Ⅸ型及Ⅺ型胶原抗体,但检出率低。抗Ⅱ型胶原抗体亦见于RA患者,对RP不具特异性,但两者抗原决定簇的特异性不同。RA患者软骨及滑膜抗Ⅱ型胶原抗体的阳性率远高于血清,提示关节内的抗原驱使免疫反应。
动物研究显示:皮下注射同源或异源Ⅱ型胶原可诱导多种动物的炎性多关节炎模型。用天然Ⅱ型胶原免疫小鼠可导致耳部病变,表现为软骨炎,免疫荧光可见IgG及补体C3沉积,血清内存在与天然Ⅱ型胶原反应的IgG。Foidart等报道在15例RP患者中有5例(33%)血清内存在抗Ⅱ型胶原抗体及免疫复合物。这些抗体在RP起病时即存在,且其滴度与疾病严重性相关,但未测到抗软骨蛋白多糖抗体及抗其他类型胶原的抗体。
已证实在1例RP患者体内存在针对Ⅸ型及Ⅺ型胶原的强烈免疫反应,同时亦存在对Ⅱ型胶原的免疫反应,提示细胞免疫及体液免疫均参与了针对天然及变性胶原Ⅱ、Ⅸ及Ⅺ的RP发病机制。
尽管T细胞在关节炎症的维持方面发挥着作用,但目前尚不清楚T细胞能否独立诱发关节炎。此外,通过胶原诱导建立的动物模型有助于研究细胞因子及其他生物介质在关节损伤中的作用及其作为新型治疗手段的应用前景。
另外,针对这些软骨主要纤维骨架及调节胶原与蛋白多糖相互作用胶原的抗体还可见于显微镜下结节性多动脉炎,其他类型胶原的作用多为推断。
2)基质蛋白-1:
基于基质蛋白-1在喉软骨组织中高表达及RP患者喉部软骨受累高发的特性,推测基质蛋白-1或许是RP患者潜在的靶抗原。
1989年瑞典学者Saxne T在人的软骨提取物中发现一种非胶原成分(148kD软骨基质蛋白)在气管软骨表达、但正常软骨及关节软骨不表达(并证实了之前此种蛋白在牛软骨高表达的现象);在RA及多关节炎的幼年型特发性关节炎(juvenile idiopathic arthritis,JIA)患者的血清中此蛋白的浓度明显增高,而在反应性关节炎(reactivearthritis,ReA)、寡关节炎的JIA及激素治疗中的RA患者血清中不增高;环磷酰胺治疗可使此蛋白的浓度降低。1995年Saxne和Heinegrd的进一步研究显示:RP疾病活动期血浆基质蛋白-1水平升高,提示基质蛋白-1是由受累软骨释放入血的,并且发现另一种仅存在于软骨的由5个亚单位组成的100kD软骨寡聚基质蛋白(cartilage oligomeric matrix protein,COMP)。
1999年该研究组成功造模(基质蛋白-1诱导的RP):用基质蛋白-1免疫接种小鼠2~3周后,一些小鼠出现了严重的吸气性喉部哮鸣,伴鼻肿及鼻出血,但没有关节及外耳肿。一些小鼠出现了肾脏的炎性浸润,病变表现形式与人类RP极为相似。有17%的实验动物出现了抗Ⅱ型胶原抗体,提示该抗体的产生很可能是软骨受损后Ⅱ型胶原释放的结果。并且还发现该疾病的易感性受MHC及非MHC基因控制。
2001年该研究组成员Hansson等发现13/97(13.4%)的RP患者抗基质蛋白-1抗体滴度升高,69%的该抗体阳性者存在呼吸道症状;另外,从RP患者血清提取的抗体可在体内与新生小鼠喉气管及鼻软骨结合并能抑制抗基质蛋白-1特异性单克隆抗体的结合。2004年Hansson AS等利用基质蛋白-1诱导的RP鼠模型研究发现:组织特异性抗体及补体激活均参与了RP的发病机制。2006年Lamoureux等证明缺乏内源性鼠H2-A和H2-E表达的DQ6αβ/8αβ和DQ6α/8β转基因小鼠在相当于人类中年时(4.5~6个月和40~50岁)出现了自发的软骨炎表现。其中一些小鼠出现了多关节炎、耳廓软骨炎和鼻软骨炎,症状与人类RP极为相似。在这些小鼠体内检测到了大量针对基质蛋白-1的IgG,未见针对Ⅱ型胶原的IgG,提示基质蛋白-1可能作为潜在的自身抗原,参与RP的发生发展过程。
上述资料提示:至少对于部分患者而言,与Ⅱ型胶原相比,基质蛋白-1更可能是RP的潜在自身抗原。
3)软骨寡聚基质蛋白(chondrooligomeric matrix protein,COMP):
COMP 是一种从牛软骨提取的分子量为524kD的寡聚蛋白,由二硫键相连接的五个约100kD的亚单位组成,因富含天冬氨酸、谷氨酸和易被负电碳水化合物取代而带有明显的负电荷,仅见于软骨——局限于软骨细胞周围的基质中。
在RP患者中,疾病活动期血清COMP浓度低于正常,缓解期恢复正常水平,提示COMP的释放可能反映了软骨基质的修复和重新合成过程。抗COMP抗体见于7/97(7.2%)的RP患者。在该研究中,所有抗COMP抗体阳性者伴有抗基质蛋白-1抗体阳性。用基质蛋白-1免疫小鼠后可检测到抗COMP抗体滴度升高。提示针对COMP的免疫反应导致了由基质蛋白-1介导的软骨破坏过程。
动物实验显示与胶原相关的疾病具有种系/基因特征,如用Ⅱ型胶原致敏实验动物可诱导特定品系的大鼠、小鼠及高级灵长类动物出现类似类风湿关节炎及RP的侵蚀性多关节炎,而Ⅺ型胶原可致敏大鼠却不能致敏小鼠;Ⅸ型胶原可诱导大鼠及小鼠的自身免疫反应,但不能诱发关节炎。与自体软骨Ⅱ型胶原结合的补体结合抗体可诱发关节炎,且上述抗体的产生是受MHC限制性及T细胞依赖的。胶原相关基因缺陷将导致轻至重度发育异常,包括骨骺发育不良伴快速进展的骨关节炎。
Bradley等通过RP的动物模型强调了遗传易感性的重要性。他们采用Ⅱ类分子缺陷小鼠(DQ6αβ/8αβ)建立了同时表达HLA-DQ6和HLA-DQ8的双转基因小鼠。与亲代不同,经胎牛Ⅱ型胶原免疫后,DQ6αβ/8αβ转基因小鼠出现了耳廓软骨炎和多关节炎,伴随强烈的抗Ⅱ型胶原特异性的体液及细胞免疫反应。
依据RP的临床表现进行分型很重要,但2016年的一项研究显示了RP的遗传特性,与健康人及类风湿性关节炎(RA)、系统性红斑狼疮(SLE)、白塞病(BD)及大动脉炎(TA)相比,102例RP的发病似乎与HLA-Ⅱ类抗原6个位点中的3个( HLADRB1*16 : 02 , HLA-DQB1*05 : 02 和 HLA-B*67 : 01 ,呈连锁不平衡性)相关,但与临床表型不相关。
已有研究证实本病与HLA-DR4有关,但器官受累范围与HLA-DR6无关。一些有关MHC Ⅱ等位基因分布的研究显示RP患者的部分等位基因出现频率显著增高,提示免疫学机制或许在本病的发病机制中起到了一定的作用。Lang等发现41例RP患者DR4抗原频率较204例无关对照显著提高。与巨细胞动脉炎、类风湿关节炎及其他与HLA-DR4等位基因相关的疾病不同,在DR4阳性的RP患者中并未显示出DR4等位基因的主导地位。Keller等在1例RP患者体内发现了一种新型DR4等位基因( DRB1 * 0421 ),但这并不被认为是RP的高危因素。RP的器官受累范围与HLA-DR6呈负相关。Hue-Lemoine等评估了64例白人RP患者及507例无关健康对照体内HLA-Ⅱ类等位基因的分布情况,发现存在DR4等位基因与 DQB1 * 0601 、 DQA1 * 0103 和 DQA1 * 0301 等位基因的连锁失衡。
自身免疫假说是RP发病机制的基础,依据如下:①常与其他自身免疫病伴发;②激素及免疫抑制剂治疗有效;③软骨结构中的CD4 + T细胞浸润;④不同病理损害中免疫球蛋白及浆细胞的存在;⑤部分病例中主要针对Ⅱ、Ⅸ及Ⅺ胶原的自身抗体及软骨蛋白成分如软骨基质蛋白-1和软骨寡基质蛋白(COMP)自身抗体的存在。
假设的自身免疫的发病机制是:不同病因(如创伤、毒素或感染源)导致遗传易感个体的结缔组织或细胞膜自身抗原表位暴露,进而促发针对Ⅱ型胶原、基质蛋白-1及软骨寡聚基质蛋白免疫反应的级联瀑布效应(包括趋化因子介导的炎症细胞募集、抗原提呈、促炎性细胞因子合成、软骨细胞凋亡、基质金属蛋白酶导致的软骨基质及弹性纤维破坏),最终导致软骨及其他富蛋白聚糖组织的炎症性破坏。推测的RP发病过程参见表3-1。
表3-1 软骨炎发病机制推测
因此,在RP患者体内存在针对多种靶抗原的免疫反应,但其特异的靶抗原尚不明确。来自人类研究及动物模型间接反映软骨破坏过程的资料均强烈提示Ⅱ型胶原及基质蛋白-1作为潜在靶抗原的可能。
(陈 楠)