



不同人种女性乳腺组织构成的比例不尽相同,导致了不同女性间乳腺密度(致密性)的差异。相较于欧美白种女性及黑人种族/族群女性,亚裔女性乳房相对较小,皮肤、血管、腺小叶、导管及间质成分构成的腺体(在乳腺X线上表现为不透光或白色)较脂肪(在乳腺X线上表现为透光或黑色)的比例更高。乳腺X线上的乳腺密度定义为影像上不透光(白色)成分与透光的(黑色)脂肪的相对比例。不透光成分的比例增加,则乳腺X线显示乳腺密度就更大。乳腺密度与体格检查发现不相关,而是影像学表现,主要以乳腺X线检查进行评估。超声由于不能显示乳房的整体观,评估的重复性及一致性相对较差,所以超声仅用于初步评估或对病灶周围乳腺密度进行评估。乳腺密度增加可能导致乳腺影像学检查中良性肿块甚至乳腺癌的漏诊,尤其对乳腺X线影响较大。
影响乳腺密度测量值的因素较多。乳腺的生理构成可有很大的变异性。脂肪、结缔组织,以及导管和小叶成分所占比例的不同,导致乳腺X线显示的密度有所差异。乳腺X线显示的密度与乳腺大小或硬度无关。年轻女性的乳腺密度较高,也受各种因素的影响,例如月经状态、遗传因素、产次、雌激素和化学预防(他莫昔芬)的使用情况,以及体型等。在月经周期的不同阶段,乳腺密度也可能有所不同,乳腺在黄体期的密度比在卵泡期略有增加。这表明,对于绝经前女性来说,在卵泡期(即月经后1~2周)进行乳腺影像检查的诊断敏感性可能略有增高,尤其是对于已使用口服避孕药者。绝经期激素治疗可延缓乳腺组织因年龄因素而从致密型向脂肪型的转变。乳腺密度与患者年龄呈负相关,致密乳腺最常与50岁以下或绝经前的女性相关。然而,很多年龄较大的女性也存在致密乳腺,60~69岁的女性中多达44%,70~79岁女性中多达36%。
乳腺密度分级:目前有几种方式用于报告乳腺X线检查中的密度。最常用的方法是2012年第5版乳腺影像报告和数据系统(Breast Imaging Reporting and Data System,BI-RADS),由影像科医师通过直视评估来确定乳腺密度,所以有观察者间差异。
BI-RADS按照量表将乳腺组织密度分为以下4级:
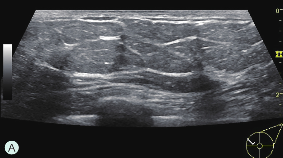
A级:几乎完全为脂肪型(图1-3-1A、图1-3-2A、图1-3-3A)。
图1-3-1 乳腺X线不同乳腺密度
A.脂肪型;B.散在致密型;C.不均匀致密型;D.极度致密型
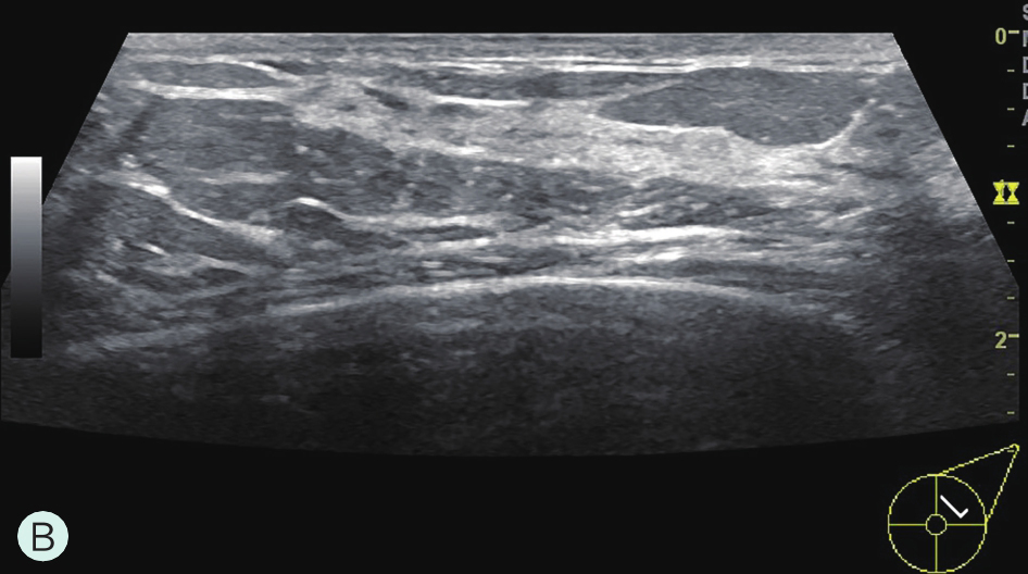
B级:散在纤维腺体致密型(图1-3-1B、图1-3-2B、图1-3-3B)。
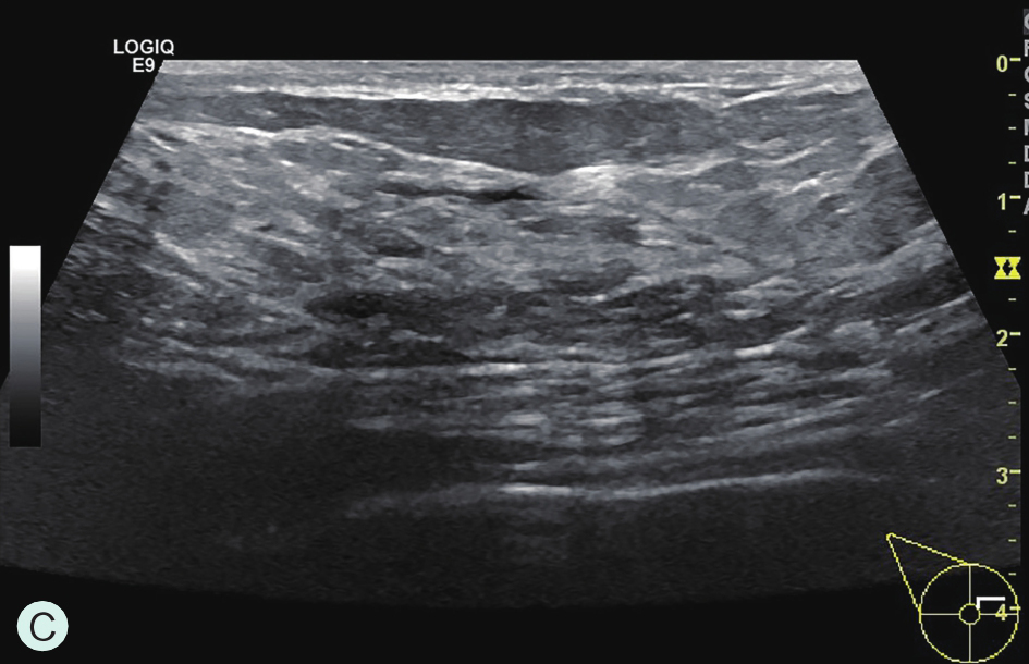
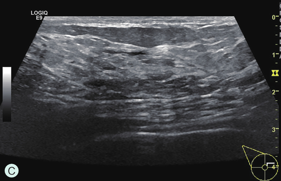
C级:不均匀致密型(可能掩盖小肿块)(图1-3-1C、图1-3-2C、图1-3-3C)。
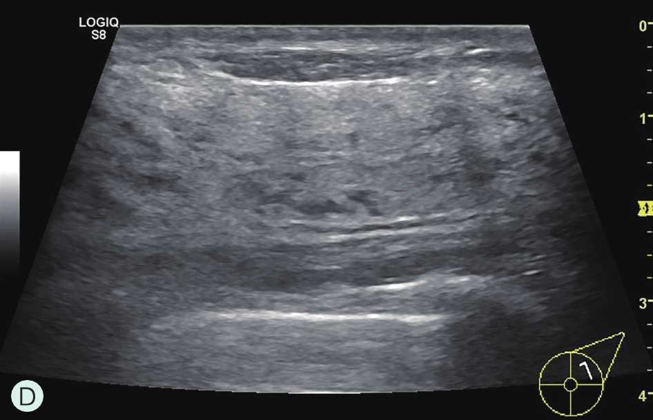
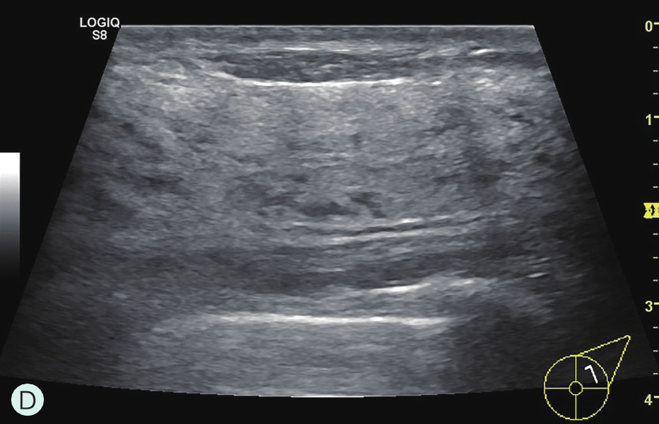
D级:极度致密型(降低乳腺钼靶摄影的敏感性)(图1-3-1D、图1-3-2D、图1-3-3D)。
图1-3-2 乳腺超声不同乳腺密度
A.脂肪型;B.散在致密型;C.不均匀致密型;D.极度致密型
图1-3-3 乳腺MRI不同乳腺密度
A.脂肪型;B.散在致密型;C.不均匀致密型;D.极度致密型


