



乳腺主要由乳腺小叶、乳管系统、间质成分、脂肪、穿插于其间的血管及淋巴管网组成。
乳腺小叶为构成乳腺的基本单位,由乳腺末梢导管、腺泡和小叶间间质组成。此单位是乳腺功能的基础,每个乳腺由15~20个腺小叶导管系统组成,即15~20个乳腺叶组成。一个乳房所含乳腺叶数目是固定不变的,而小叶的数目和大小可以有很大变化。一般来说青年女性乳腺小叶数目多而且体积大,绝经后小叶明显萎缩。
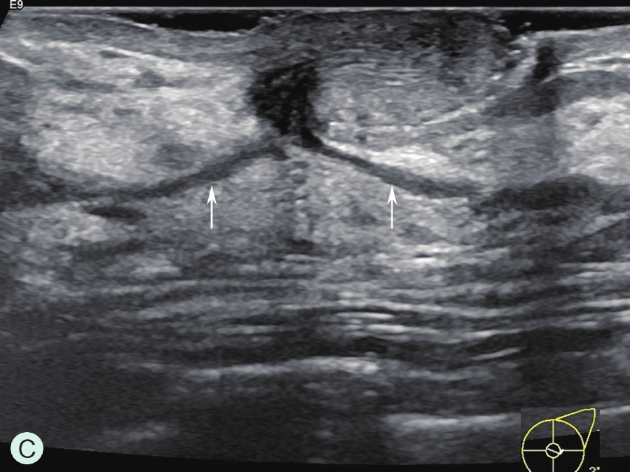
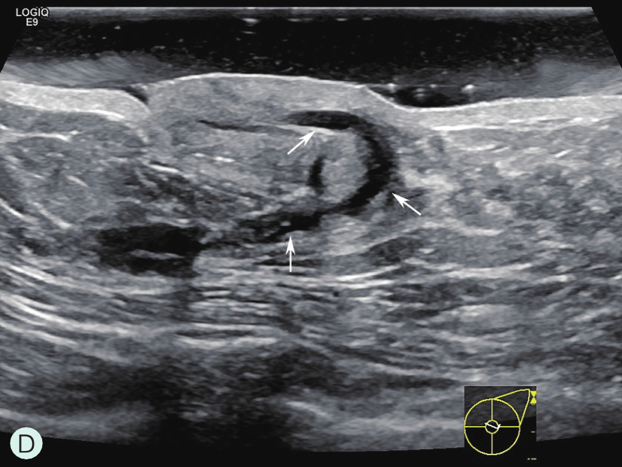
乳管系统为一由输乳管反复分支而呈现树状分支的结构单位,90%以上为2分支型,多分支型最多可达6分支,导管直径一般为2.0~4.5mm,随着导管分支逐渐变细。每个乳腺由15~20个腺小叶导管系统构成(图1-2-1A、图1-2-1B),每个系统组成一个乳腺叶,每个腺叶有其相应的导管系统,每个腺叶以乳头为中心呈轮辐样放射排列,各有一个导管向乳头引流,称输乳管(图1-2-1A),在乳头的基底部,距乳头开口约0.5cm处呈壶腹样膨大(图1-2-1C~图1-2-1E),口径为5~6mm,充满乳汁直径可达6~8mm,供暂时储存乳汁,该膨大区称乳窦。窦外末段输入管口径又缩小,并开口于乳头。从乳管开口到壶腹部的一段导管内衬以多层鳞状上皮细胞,以下的中小导管及腺泡内衬单层柱状细胞。若单个导管内的上皮细胞增殖呈乳头状突入管腔,称为导管内乳头状瘤。乳腺癌主要来源于腺管的柱状上皮细胞,发生于腺泡的癌仅占5%。
图1-2-1 乳腺结构与影像图
A.乳腺模式图;B.乳腺小叶声像图;C、D.乳腺导管声像图;E.乳腺扩张导管MRI图


