



第一作者:王淼,主治中医师,重庆市中医院风湿免疫科,邮箱:351311291@qq.com
通讯作者:张莹,副主任中医师,重庆市中医院风湿免疫科,邮箱:zhangying_216@126.com
指导老师:吴斌,主任中医师,重庆市中医院院长,邮箱:wuubinn@163.com
患者,女,67 岁;入院时间 2022 年 12 月 17 日,出院时间 2022 年 12 月 27 日,住院时间 10 天。
主诉:患者因“咳嗽、咳痰伴发热 8 天”入院。入院 8 天前,患者无明显诱因出现咳嗽、咳痰,咳大量白色黏痰,伴发热,体温最高 39.0 ℃。喘累明显,胸闷气短,疲倦乏力,项强,纳差,恶心呕吐,无汗,无鼻塞、流清涕,无胃痛反酸,无头晕头痛,无腹痛腹泻,无尿频尿急,自行服用“连花清瘟胶囊、中药(具体不详)”后,未见明显缓解。1 天前,于重庆市中医院急诊科就诊,新冠病毒核酸、抗原检测阳性。血气分析:pH 7.486,PCO 2 33.7 mmHg,PO 2 62.4 mmnHg,钾 3.1 mmol/L,钠 134.0 mmol/L,氯 96.0 mmol/L,静息状态下氧合指数 297 mmHg,指氧饱和度 90%~91%。胸部CT:两侧胸廓对称,气管居中;双肺支气管血管束增多、紊乱,双肺散在条索状、斑片状高密度影及磨玻璃影,大部分分布于胸膜下区;双肺下叶部分支气管欠通畅;余所见气管、支气管及分支无明显狭窄及扩张;两侧肺门不大,纵隔脂肪间隙及血管影清晰,其内未见明显肿大淋巴结影;心脏未见增大,心包未见积液;双侧胸腔未见积液。①双肺散在间质性炎症,考虑特殊感染可能;②双肺下叶部分支气管欠通畅,考虑分泌物阻塞可能。予以“吸氧、抗感染、化痰、补液”等治疗后,为进一步诊治,由急诊科收入风湿免疫科住院治疗。入院后症见:患者精神状态差,恶寒发热,不欲饮食,失眠,大便稀溏,1~2 次/天,体重无明显改变。
流行病学史:久居重庆,居住地为疫情防控区域。
既往史:糖尿病史 20 年,规律服用“二甲双胍、阿卡波糖”降糖治疗;否认肝炎、结核等传染病史,否认冠心病、高血压、慢性支气管炎等病史。
新冠疫苗接种史:1 年前接种 2 针新冠疫苗。
患者咳嗽、咳痰,咳大量白色黏痰,喘累明显,恶寒发热,胸闷气短,疲倦乏力,项强,纳差,恶心呕吐,无汗,大便稀溏,1~2 次/天,体重无明显改变。舌淡红,苔白腻微黄,右寸、关脉浮滑而细数,右尺脉沉,左寸浮细数,左关弦紧,左尺脉沉。
体格检查:T 37.6 ℃,R 21 次/分,P 100 次/分,BP 116/64 mmHg,HR 100 次/分。发育正常,营养中等,精神状态差。呼吸规整,双肺呼吸音粗,双侧肺可闻及湿啰音,无胸膜摩擦音。心前区无隆起,心尖搏动未见异常,心浊音界未见异常,心律齐,各瓣膜听诊区未闻及病理性杂音,腹软,全腹无压痛及反跳痛,肝脾肋下未触及,肠鸣音异常,4 次/分。双下肢无水肿,四肢活动自如。
辅助检查:入院后复查动脉血气分析(吸氧 3 L):pH 7.52,PCO 2 33 mmHg,PO2 144 mmnHg,D-二聚体 1.11 mg/L,铁蛋白635 ng/mL,降钙素原1.5 ng/mL,ESR 53 mm/h。肝功能、肾功能、心肌标志物、术前检查全套 10 项、抗酸染色(结核杆菌)、真菌涂片、尿液分析、粪便常规、大便隐血、心电图未见明显异常。
(1)西医诊断:①肺部感染,新型冠状病毒感染中型;②低钠血症;③低钾血症;④ 2 型糖尿病。
(2)中医诊断:疫病(疫毒闭肺兼夹证)。
(1)一般治疗:入院后予以心电监护,监测血氧饱和度,清醒俯卧位通气,鼻导管给氧 1~3 L/min,根据动脉血气分析结果调整吸氧浓度。
(2)抗菌治疗:入院后查铁蛋白 635 ng/mL,降钙素原 1.5 ng/mL,提示合并细菌感染可能,故 2022 年 12 月 17 日予以盐酸莫西沙星氯化钠注射液(0.4g,静脉滴注,qd),在症状好转的情况下连用抗生素 3 天后复查血常规,连用 5 天后复查铁蛋白、降钙素原。体温恢复正常、检查指标好转后停药。
(3)雾化治疗:患者咳嗽、咳痰,故予以 0.9%氯化钠注射液 2 mL+吸入用乙酰半胱氨酸溶液 0.3g+吸入用布地奈德混悬液 1 mg(雾化吸入,bid),连用 9 天后停用。
(4)其他:入院后查电解质,提示低钾、低钠、低钙血症,故予以 0.9%氯化钠注射液500 mL+氯化钾注射液1.5g+维生素C注射液2g,复查电解质未见明显异常后停用;其间因合并低钙血症,故于 2022 年 12 月 18 日、19 日临时予以钠钾镁钙葡萄糖注射液500 mL+氯化钾注射液 10 mL+维生素C注射液2g,维持电解质平衡;患者发热,故临时予以洛索洛芬 60 mg,退热。患者既往糖尿病史诊断明确,密切监测患者的血糖波动,并予以二甲双胍(0.5g,口服,tid)、阿卡波糖(50 mg,口服,tid)降糖治疗。
(1)2022 年 12 月 17 日一诊。
患者望之少神,表情焦虑,面色少华,少气懒言,咳嗽、咳痰,咳大量白色黏痰,气喘,胸闷,寒热往来,体温最高 37.6 ℃,无汗,默默不欲饮食,寐差,大便稀溏,1 次/天,小便正常。舌淡红,苔白腻微黄,右寸、关脉浮滑而细数,左寸浮细数,左关弦紧。患者的舌象如图2-6-1 所示。
图2-6-1 一诊时舌象
四诊合参,中医辨证考虑疫毒闭肺兼夹证。疫毒湿邪外袭太阳,邪气束表,内有郁热,闭遏气机,肺气失于宣发肃降,故咳嗽、咳痰,憋闷气促,无汗,右寸脉浮滑而细数,舌苔白腻微黄;患者平素肝气失于畅达,外邪不解则内传少阳,邪正相争,正胜欲拒邪出于表,邪胜欲入里并于阴,故往来寒热;枢机不利,脾气不运,胃气上逆,故默默不欲饮食,纳差,恶心、呕吐,右关脉浮滑而细数,左关弦紧;胃不和,则卧不安,心神不能内守,故寐差,左寸浮细数。治以调和枢机、宣肺透邪,兼以祛湿解毒。方选小柴胡汤合麻黄汤加减,具体如下:
柴胡15g 黄芩15g 法半夏15g 太子参15g
麻黄5g 桂枝10g 苦杏仁10g 紫苏叶20g
干姜10g 藿香 后下 10g 焦六神曲 包煎 30g 青蒿 后下 15g
葛根30g 泽泻15g 薏苡仁90g 甘草10g
炒白术15g 茯苓15g
共 2 剂,水浓煎,每天 1 剂,每剂取汁 100 mL,早晚各服用 50 mL。
方解:柴胡升散而向外,可透泄少阳半表之邪,并舒畅肝胆郁滞之气机,为君;黄芩降泄而走里,能清泄少阳半里之热,为臣;二者相配调和枢机、解表祛邪;麻黄宣肺透邪、平喘止咳,合桂枝解肌发表,苦杏仁降气止咳,藿香祛湿和胃,青蒿解毒退热,紫苏叶宽胸理气、解表散寒;佐以半夏和胃降逆止呕,干姜温中燥湿、和胃止呕,太子参益气健脾,取其扶正而达邪之义,又有防祛湿伤阴之弊;薏苡仁、泽泻脾利湿,以达利小便而实大便,并使湿气从小便而去,葛根解肌和胃、益气生津,太子参益气生津,白术、茯苓健脾益气,以焦六神曲开胃健脾,开中焦而沟通上下内外,使以甘草止咳,调和诸药。诸药合奏宣肺透邪,调和枢机之功。
(2)2022 年 12 月 19 日二诊。
患者无发热,仍有咳嗽、喘累,咳大量白色黏痰,纳差,往来寒热,项强,胸闷,疲倦乏力较前好转,大便较前改善,每天 1 次,小便正常,吸氧(2 L/min)状态下血氧饱和度 96%。舌淡红,苔白微腻,右寸、关脉滑而细,左寸细,左关弦。辨病为疫病恢复期,证属枢机不利、阴虚夹湿。治以调和枢机,兼以滋阴化湿。方选小柴胡汤、玄麦甘桔饮加减,具体如下:
柴胡15g 黄芩15g 法半夏15g 党参15g
厚朴10g 玄参20g 桔梗10g 炒枳壳10g
丹参25g 前胡15g 羌活15g 藿香 后下 10g
焦六神曲 包煎 30g 茯苓15g 莱菔子15g 甘草10g
共 2 剂,水浓煎,每天 1 剂,每剂取汁 100 mL,早晚各服用 50 mL。
方解:柴胡疏风清热、疏肝理气为君,合以黄芩调和枢机,配法半夏祛湿和胃降逆止呕,枳壳、桔梗一升一降,调和气机,肺与大肠相表里,配厚朴通大肠之气以降肺气,前胡止咳化痰,藿香祛湿解表和胃止呕,羌活散寒祛风、除湿止痛为臣,佐以玄参生津解毒,丹参活血养血,使以焦六神曲开胃健脾,茯苓健脾利湿,开中焦而沟通上下内外,甘草止咳,调和诸药。
(3)2022 年 12 月 23 日三诊。
患者仍诉咳嗽、咳痰,纳可,疲倦乏力较前缓解,无恶心、呕吐,无腹泻。舌红,苔白微腻,有齿痕(图2-6-2),右寸、关脉滑而细,左寸细,左关弦。
辨病为疫病恢复期,证属枢机不利、脾虚痰湿。治以调和枢机,宣肺化痰,益气健脾。方选小柴胡汤和三子养清汤加减,具体如下:
图2-6-2 三诊时舌象
蜜麻黄6g 燀苦杏仁6g 甘草10g 北柴胡15g
法半夏10g 酒黄芩15g 党参10g 陈皮10g
茯苓30g 炒芥子10g 炒莱菔子10g 山药30g
炒麦芽30g 炒稻芽30g
共 2 剂,水浓煎,每天 1 剂,每剂取汁 150 mL,早中晚各服用 50 mL。
方解:柴胡疏风清热、疏肝理气为君,合以黄芩调和枢机,配法半夏祛湿和胃降逆止呕,调和气机,配陈皮、茯苓健脾化痰,炒芥子、莱菔子化痰降气,党参、山药健脾益气为臣,佐以麻黄、苦杏仁宣肺止咳、化痰平喘;使以炒麦芽、炒稻芽开胃健脾、行气疏肝,沟通上下,甘草止咳,调和诸药。
(4)2022 年 12 月 25 日四诊。
患者无发热,咳嗽、咳痰减轻,自觉咽部有黏痰不易咳出,偶见黄痰,咽干,无明显咽痛,喘累较前明显好转,大便正常,每天 1 次,小便正常,静息状态下血氧饱和度97%。舌红,苔薄黄,右寸、关脉滑而细,右尺脉沉,左寸细,左关弦,左尺脉沉。辨病为疫病后期,证属气阴两虚。治以润肺止咳,益气下痰。方选止嗽散加减,具体如下:
蜜百部10g 紫菀15g 化橘红15g 桔梗15g
北沙参15g 紫苏叶 后下 15g 川贝6g 浮石30g
地龙30g 当归15g 炒稻芽30g 炒麦芽30g
太子参20g 甘草10g 赤芍15g 炒莱菔子15g
共 2 剂,水浓煎,每天 1 剂,每剂取汁 150 mL,早中晚各服用 50 mL。
方解:方中紫菀、百部为君,两药味苦,都入肺经,其性温而不热,润而不寒,皆可止咳化痰,对于新久咳嗽都能使用。桔梗味苦辛,善于开宣肺气,化橘红长于降气化痰,两者协同,一宣一降,以复肺气之宣降,莱菔子增强君药止咳化痰之力,川贝润肺清热、化痰止咳,浮石降肺气而化顽痰,为臣药。佐以北沙参润肺滋阴,太子参生津益胃,紫苏叶宽胸理气,地龙活血通络、止咳平喘,赤芍、当归活血养血,稻芽、麦芽一升一降、疏肝和胃,使以甘草止咳,调和诸药。
(5)2022 年 12 月 26 日五诊。
患者无发热,咳嗽、咳痰好转,痰较前易咳出,无黄痰,咽干较前缓解,可做八段锦、外出散步,活动后可见汗出,仍有胸闷、气短,纳可,二便调,静息状态下血氧饱和度99%。舌淡红,苔薄,脉沉细。胸部CT提示双肺散在多发感染性病变,较前有所吸收、减少,双肺下叶部分支气管内条片状高密度影较前明显减少。辨病为疫病后期,证属气阴两虚。治以润肺止咳,通络化痰。方选止嗽散加减,具体如下:
北沙参20g 紫菀15g 化橘红15g 桔梗15g
紫苏叶 后下 15g 红景天30g 浙贝30g 浮石30g
地龙30g 当归15g 炒稻芽30g 炒麦芽30g
猫爪草30g 烫水蛭3g 皂角刺15g 甘草10g
共 7 剂,水浓煎,每天 1 剂,每剂取汁 150 mL,早中晚各服用 50 mL。
方解:方中北沙参润肺止咳、益气养阴为君;紫菀,止咳化痰,对于新久咳嗽都能使用。桔梗味苦辛,善于开宣肺气,化橘红长于降气化痰,两者协同,一宣一降,以复肺气之宣降,紫苏叶行气宽中、宣肺解表;浙贝清热散结,化痰止咳,浮石降肺气而化顽痰;红景天活血养血,补气清肺,当归活血养血;佐以猫爪草、皂角刺入肺经,配少许烫水蛭通肺络以清余邪,散结消瘀;使以甘草调和诸药、祛痰止咳。
(6)2022 年 12 月 17 日—2022 年 12 月 21 日中医理疗。
予以普通针刺联合手指点穴,基于“左升右降”原理,治以健脾和胃、宣肺疏肝。取穴:左侧阴陵泉,右侧足三里,双侧太渊、尺泽、太冲等。
(1)体温变化:患者入院后经中西医结合治疗,体温逐渐下降至正常,未见升高。
(2)主要症状:患者属于新冠病毒感染中型,病程前期以胸闷气短、咳嗽、咳痰、不欲饮食、疲倦乏力等症状为主,经中西医结合治疗后,呼吸道及消化道症状明显改善,恢复期以体虚症状为主。
(3)实验室检查:炎症指标逐渐降低,氧合指数、淋巴细胞数逐渐升高,新冠病毒核酸检测转阴,如表2-6-1—表2-6-3 所示。
表2-6-1 主要检验指标
表2-6-2 血气分析变化
表2-6-3 核酸Ct值变化
(4)胸部影像变化。
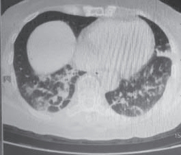
2022-12-16 胸部CT(图2-6-3):双肺散在间质性炎症,考虑特殊感染可能。
2022-12-25 胸部CT(图2-6-4):双肺散在多发感染性病变,较前有所吸收、减少。
2023-02-26 胸部CT(图2-6-5):双肺散在少许炎变可能,较前明显吸收、减少。
图2-6-3 2022-12-16 胸部CT
图2-6-4 2022-12-25 胸部CT
图2-6-5 2023-02-26 胸部CT
患者无发热,咳嗽好转,自觉喉部有痰,痰少、较前易咳出,咽干较前缓解,可做八段锦、外出散步,活动后可见汗出,活动后仍有胸闷、气短,饮食正常,腹胀缓解,大便正常,每天 1 次,小便正常,静息状态下血氧饱和度 99%。舌淡红,苔薄腻,脉沉细。胸部CT提示炎症较前吸收,伴少许间质性改变。
患者冬日发病,久居重庆,气候阴冷潮湿,且身处某疫区,加之患者平素性情急躁,木火刑金,故肺卫之气本不固,更易外感寒湿疫毒之气。
一诊时,疫毒湿邪外袭太阳,邪气束表,内有郁热,闭遏气机,肺气失于宣发肃降,故咳嗽、咳痰,憋闷气促,无汗,右寸脉浮滑而细数,舌苔白腻微黄;患者平素肝气失于畅达,外邪不解则内传少阳,邪正相争,正胜欲拒邪出于表,邪胜欲入里并于阴,故往来寒热;枢机不利,脾气不运,胃气上逆,故默默不欲饮食,纳差,恶心、呕吐。予以小柴胡汤合麻黄汤调和枢机、解表退热。
二诊时,患者外邪已祛半,湿邪内存,但因燥湿之药甚多恐伤津液。治以调和枢机,兼以滋阴化湿。方选小柴胡汤、玄麦甘桔饮加减。
三诊时,患者仍诉咳嗽、咳痰,纳可,疲倦乏力较前缓解,无恶心、呕吐,无腹泻。舌红,苔白微腻,有齿痕,结合脉象提示仍证属枢机不利、脾虚痰湿,兼有外邪未尽。治以调和枢机,宣肺化痰,益气健脾。方选小柴胡汤和三子养清汤加麻黄、苦杏仁。
四诊时,患者痰不易咳出,痰少且黏,偶见黄痰,咽干,饮食正常,提示气阴两虚,为疾病后期,故予以止嗽散加减,加川贝、浮石化顽痰且不伤肺津。饮食正常,提示外邪已从少阳而解,故停用小柴胡汤,予以炒稻芽、炒麦芽一升一降,调和肝脾之气。患者胸闷、气短,予以益气活血之品,赤芍,地龙止咳且通肺络。
五诊时,患者无发热,咳嗽、咳痰好转,痰较前易咳出,无黄痰,咽干较前缓解,可做八段锦、外出散步,活动后可见汗出,仍有胸闷、气短,纳可,二便调,提示气阴两虚,为疾病后期。结合患者胸部CT提示肺络不通,肺司呼吸、朝百脉,若肺络不通,则百脉郁滞,气血运行必然受阻,故予以滋润肺阴、调理肺气宣发肃降之药,配合化痰、活血、通络之品。
本案是一例中西医结合治疗新冠病毒感染中型的案例,中医药治疗有确切疗效。西医注重吸氧、抗炎,化痰、维持电解质平衡等。中医辨证为疫毒闭肺兼夹证,根据病机、病位变化调整中药的治法应用,使病情在少阳截断,鼓邪从太阳而出,防止邪进一步深入少阴、厥阴。故先以调和枢机为主,辅以解表祛邪、健脾祛湿等,可使病邪从少阳枢机而出,顾护脾胃,以祛除病邪,提高机体免疫功能,保护脏腑功能,后期加用活血养血、生津润燥之品,以减轻机体微循环障碍和抗组织纤维化程度等。“祛邪需给邪气以出路”结合“利小便而实大便”,予以发汗、利小便,既可退热,又可除湿。另外,中焦为上下沟通之要道,气血生化,散布津气之枢纽,故调动机体鼓邪外出,必健脾和胃,以顾护正气,推动邪气外出,无须加黄芪、人参等大补之品,以免留邪。
(1)本案是中医药联合西医成功治疗新冠病毒感染中型伴消化系统症状的案例,我们发现此类患者大多为初期治疗不当,邪入少阳,表证虽有但不及少阳证之显著,故及时采取中医药干预,调和枢机,鼓邪外出较单纯解表剂的使用更为重要。
(2)患者虽然每天大便次数不多,但大便稀溏,结合重庆地区的气候特征,考虑太阴受邪,故予以健脾化湿,利小便而实大便,一则可顾护太阴,通畅胆气,减少郁木对弱土的克伐,二则可防邪气深入少阴。
(3)治疗后期,我们根据患者的症状及舌脉,考虑邪从少阳转出,但因燥湿太多更易伤及肺阴,故以滋养扶正为主,之后再以润肺生津、活血养血为主,辅以健脾化痰,解除炎症网络平衡紊乱,改善细胞免疫系统功能。今后再遇此等证型,万不可只顾祛湿,还应兼顾肺为娇脏、喜润之特性。
(4)五诊时,患者的症状已祛除大半,仅剩胸闷、气短,偶有咳嗽,故仍予以止嗽散加减,在前方基础上加红景天。根据现代药学研究,红景天具有能清除血管垃圾、增加血红蛋白数量、提高血氧含量的作用,故予以红景天可改善患者血红蛋白与氧的结合能力,提高血氧饱和度,降低机体耗氧量,增加运动耐力。另加猫爪草、烫水蛭、皂角刺,从中医理论角度而言,三者能入肺经、肝经,通络散结,化痰解毒,对顽痰、瘀血均有良效;从现代医学角度而言,药理学发现三者具有抗感染、抑制免疫、抗纤维化、散结节的作用,新冠病毒感染分为 3 期,即病毒复制期、肺部炎症期、肺纤维化期,在新冠病毒感染后期加用猫爪草、烫水蛭、皂角刺可有效防止肺组织纤维化改变。患者服用7 剂后,于 2023 年 2 月 26 日复诊,诉活动后已无胸闷、气短,复查胸部CT未见明显纤维化改变,提示上述中药方案有效。