购买
下载掌阅APP,畅读海量书库
立即打开
畅读海量书库
扫码下载掌阅APP

2.1 传统检查方法:食管造影

作为传统检查手段,食管气钡双重对比造影可以判断食管的解剖结构、功能以及病理改变,是一种直接、简便、经济并且较为可靠的影像学方法。目前由于更为有效的计算机断层成像(computed tomography,CT)及内镜检查普遍开展,其应用范围正逐渐减小,但仍是一种不可或缺的食管疾病筛查手段。

常规应用的造影剂包括钡剂和水溶性造影剂。对于诊断性检查,需要使用黏性钡剂悬液来判断食管运动、黏膜和侧面边界。如果怀疑穿孔、破裂或术后瘘,应使用水溶性造影剂。这些造影剂也应用于在怀疑有食管气管瘘可能或存在误吸风险的情况下。将常规的对比剂与气体混合,或静脉应用抗胆碱能药物,可改善食管的双重对比造影效果。

对于吞咽困难的病因筛查,应当使用 100 mm相机或荧光摄像技术。使用这些技术,近端肿瘤性病变可以被初步证实。患者可以以直立位或卧位进行检查,后者目的在于减缓造影剂的通过。要获得胸部器官的影像,应首先进行X线透视检查。这种方法可以看到肺、膈肌和心脏的异常。

标准的投影体位包括正位、右斜位和侧位,投影区域需包含怀疑存在病理变化器官所在区域两个平面以上的靶片。食管造影中的特征性发现通常可以初步区分恶性病变和良性病变。基于这两种病变的生长情况和发病特征,在食管造影中的影像表现有所不同。基于 X 射线形态学,主要有以下三种类型:

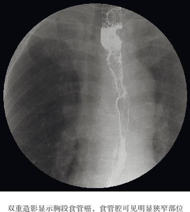
图2.1 双重造影(早期食管癌)

图2.2 双重造影(晚期食管癌)

(1)壁内生长和早期狭窄的硬化性癌。

(2)溃疡性或髓样癌伴溃疡。

(3)外生性息肉样癌,管腔内生长,周围不规则,表面充盈缺损。

斑块状病变是浸润性生长的早期迹象。为了检测小病灶,必须使用双重对比剂进行多平面检查。黏膜皱襞可能会有轻微增厚,并且可能出现连续性破坏的征象,这种情况下病变中可能残留对比剂。早期食管癌管壁的运动是正常的,往往无法从这一点得到明确诊断的证据(见图2.1)。

根据其生长情况,晚期肿瘤会导致食管壁僵硬、正常黏膜结构被破坏、管腔内充盈缺损以及伴有近端扩张的狭窄。部分晚期肿瘤会出现沙漏状圆形狭窄,病灶边缘光滑,但浸润和溃疡不断增加,最终形成不规则轮廓(见图2.2)。

与恶性肿瘤相比,食管良性肿瘤很少见。症状和体征的表现取决于肿瘤的部位、范围、形态和生长方向,大多数良性肿瘤是无症状的。当肿瘤在黏膜下和腔内生长导致管腔狭窄时,吞咽困难成为主要症状。部分良性肿瘤在食管壁内和食管管腔外生长,在临床症状(吞咽困难、呕吐、胸骨后疼痛)出现之前,可能肿瘤体积已非常大。根据其生长模式,良性食管肿瘤可分为腔内型(乳头状瘤、腺瘤、类癌、血管瘤、纤维血管息肉、颗粒细胞成肌细胞瘤)、壁内型(平滑肌瘤)和囊肿。织学检查后,50%~70%的良性肿瘤为平滑肌瘤,其中 90%的平滑肌瘤位于食管中下 1/3。在影像表现上,良性肿瘤呈现出边界清晰的圆形或类圆形充盈缺损,而没有破坏黏膜。与正常食管相比,肿瘤区域的黏膜可能会略微变平,但食管蠕动是正常的。伴有近端扩张的狭窄并不多见。有时,仅凭造影检查良性病变很难与恶性病变如癌、肉瘤或息肉鉴别。并且,造影检查只能观察到腔内生长。食管周围的生长情况必须使用横断面成像技术来判断,包括CT、MRI和超声内镜。 Lmakeqx1Bz/cYiJzqAy+FTwn7IZBgAegwO/GcAXcbmvrn6eCeotEoAR9vwRdEojC

点击中间区域
呼出菜单
上一章
目录
下一章
×