



尽管研究者花了半个世纪的时间研究SDV中的二氧化硅沉积,但该隔间的起源仍有争议。有一些假说认为它是从高尔基体 [59,62-64] 、内质网 [59,62,65] 或高尔基体、内质网和质膜之间的复杂相互作用 [66] 演变而来的。
我们建议再次回到这个问题上来。质膜和硅质膜之间存在着明显的个体发育联系,最终,一部分硅质膜在成熟瓣膜从细胞(显然是从SDV)排泄时加入质膜。我们必须承认,当囊泡接近质膜并发生膜融合时,瓣膜排泄并不完全遵循经典的胞吐机制。因此,囊泡内容物在细胞外排泄,最后质膜表面随着囊泡外膜的增加而增加。硅藻中存在这种胞吐现象,当粘液被排泄到细胞外空间时(见图5.8),但这不是成熟瓣膜离开细胞的方式。观察到硅质膜和质膜在新瓣膜的覆盖层附近融合;在这种情况下,上硅膜和旧质膜的碎片夹在两个子细胞之间 [59,67-71] 。后来,它们或者降解,或者通过某种未知的机制,成为瓣膜有机涂层和硅藻土的一部分 [10] 。基本上,质膜在硅藻分裂期间形成两次:在胞质分裂之后和瓣膜形态发生期间,以及SDV的生长。考虑到质膜和硅膜之间紧密的结构连接,以及质膜在瓣膜吐出后形成深套陷的能力,这似乎是第一环带的初始SDV的形成(见图5.9),我们认为相反的过程是可能的。质膜可能通过内陷形成未来SDV的初级囊泡。这种囊泡可能仍然附着在质膜样小窝上 [72] ,并通过高尔基体或内质网囊泡的同化而生长(如许多瓣膜形态发生研究所示) [27] 。
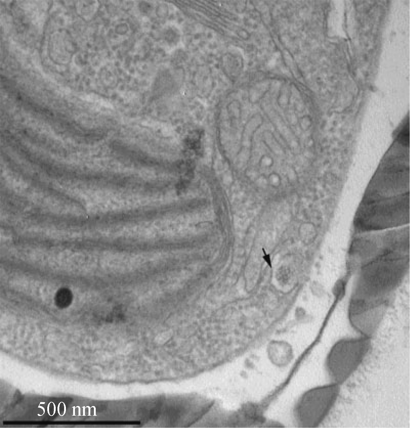
图5.8 质膜细胞的胞吐囊泡(箭头指向)的TEM图
Chl—叶绿体;N—细胞核。
图5.9 瓣膜胞吐后的细胞(a)和具有第一环带形态发生的初始阶段(b)的TEM图箭头指出形成了主要的SDV
因此,我们认为SDV是古硅藻祖先细胞内体溶酶体系统的一部分,这一假设得到了质膜和硅膜之间的密切联系、瓣膜胞吐过程中的连接、SDV内的酸性pH值 [73] 以及生长中的瓣膜被溶酶体的重要荧光染料Lysotracker Yellow主动染色这一事实的支持(见图5.10)。
图5.10 Lysotracker Yellow染料染色的瓣膜形成(a)和成熟瓣膜(b)