



热处理的主要过程是加热、保温和冷却。通常无论在热处理过程中产品材料的化学成分是否变化,都会通过改变材料的力学性能或物理化学性能来达到产品需要的服役能力。不论最终获得何种组织,加热和保温过程中材料的组织都会向平衡或稳定的状态变化,因此要全面掌握热处理过程中材料性能的变化,首先必须熟悉材料的组织、成分和性能之间的关系。
【拓展阅读】
英国冶金学家罗伯茨·奥斯汀于1899年完成了第一幅铁碳相图的绘制。洛兹本首先在合金系统中应用吉布斯(Gibbs)定律,于1990年制定了较完整的铁碳相图,为现代热处理奠定了理论基础。
根据碳含量对铁碳合金分类,碳的质量分数小于0.0218%的铁碳合金称为纯铁;碳的质量分数为0.0218%~2.11%的铁碳合金称为钢,碳的质量分数大于2.11%的铁碳合金是铸铁。
铁碳合金组织中结构相同、成分和性能均一,并以界面相互分开的组成部分称为相。铁碳合金的相是随着成分及温度的变化而不同的,但基本上都是由铁素体、奥氏体及渗碳体等基本相所组成。
1.铁素体
碳溶于α-Fe或δ-Fe中所形成的间隙固溶体称为铁素体,以符号F表示。铁素体的晶格是体心立方晶格。这种晶格间隙分布较分散,间隙尺寸很小,因此溶碳能力较差,常温下碳的质量分数不超过0.0008%,在727℃时具有最大的溶解度为0.0218%。因此,可以把铁素体近似看作纯铁。铁素体力学性能的特点是强度、硬度低而塑性、韧性高。在金相显微镜下,铁素体呈现具有明显晶界、大小不一的颗粒状结构,如图2-2所示。
【拓展阅读】
原子球塔是比利时1958年布鲁塞尔世界博览会建造的标志性建筑(见图2-3)。原子球塔高102m,重2200t,包括9个直径为18m的球体,球体之间通过长26m、直径为3m的不锈钢管连接,球体相当于铁原子,其相当于放大1650亿倍的α-Fe的体心立方晶格结构。
图2-2 铁素体显微组织及晶格结构示意图
2.奥氏体
碳溶于γ-Fe形成的间隙固体称为奥氏体。常用符号A表示。奥氏体的晶格是面心立方晶格。由于面心立方晶格中原子间的间隙较大,有利于碳原子的溶入,故碳在奥氏体中的溶解能力较强。碳在奥氏体中的溶解度随温度升高而增加,在1148℃时达到最大溶解度,碳的质量分数为2.11%,随着温度的下降,溶解度逐渐减少,在727℃时,其最大溶解度即碳的质量分数为0.77%。奥氏体是高温相,只在727~1495℃范围存在。由于奥氏体的溶碳能力比铁素体高,所以奥氏体的强度和硬度较铁素体高,且具有良好的塑性,其硬度为110~220HBW,伸长率为40%~50%,因此奥氏体是硬度低而塑性高的相,易于压力加工。故绝大多数钢种在锻造热处理时,都要求加热到奥氏体状态,进而提高塑性,所谓“趁热打铁”就是这个道理。奥氏体的显微组织类似于铁素体,奥氏体晶粒呈多面体形,晶粒中常有孪晶出现。奥氏体的显微组织如图2-4所示。
图2-3 原子球塔
【拓展阅读】
为了纪念在铁碳相图方面做出巨大贡献的英国冶金学家罗伯茨·奥斯汀(Roberts-Austen,1843—1902),法国人奥斯蒙将这种组织命名为奥氏体(Austenite)。
3.渗碳体
当碳含量超过碳在铁中的溶解度时,多余的碳就会和铁以一定比例形成具有复杂晶格的间隙化合物,称为渗碳体,以符号Fe 3 C表示,其碳的质量分数为6.69%。渗碳体具有复杂的八面体结构,硬度很高,为800~1000HV,可以划破玻璃,而塑性和冲击吸收能量几乎为零,强度很低,脆性大,因此不能单独使用。渗碳体是铁碳合金中的强化相,当渗碳体与其他相共存构成机械混合物时,可以呈片状、网状、粒状或条状等,其大小、数量、形状及分布对钢的性能有很大影响。渗碳体显微组织如图2-5所示。
图2-4 奥氏体金相及晶格示意图
图2-5 渗碳体金相及晶格示意图
a)金相 b)晶格
4.珠光体
铁素体和渗碳体组成的机械混合物称为珠光体,用符号P表示。珠光体是奥氏体在冷却过程中在727℃恒温下共析转变得到的产物,铁素体与渗碳体片层状交替排列,平均碳的质量分数为0.77%。珠光体中铁素体与渗碳体片层的粗细及形态,对其性能影响很大,因此又将片层粗细不同的珠光体分为普通片状珠光体(P)、索氏体(S)、屈氏体(T,也称为托氏体)。另外,将片状珠光体中的碳化物熔断后形成球状,得到球状珠光体。珠光体强度较高,硬度适中,有一定的塑性,如图2-6所示。
5.莱氏体
莱氏体是由奥氏体或珠光体和渗碳体组成的机械混合物,平均碳的质量分数为4.3%。在1148℃时,从液体中结晶出奥氏体和渗碳体的机械混合物称为高温莱氏体,用符号Ld表示。由于奥氏体在727℃时转变为珠光体,所以室温时的莱氏体由珠光体和渗碳体组成,称为低温莱氏体,用符号L′d表示。莱氏体的性能和渗碳体相似,硬度很高、塑性很差,如图2-7所示。
图2-6 珠光体
a)片状珠光体 b)球状珠光体
图2-7 莱氏体金相图
铁素体、渗碳体和珠光体都是铁碳合金室温平衡组织中基本组成物,表2-1列出了它们的力学性能。可以看出:铁素体的塑性和韧性最好,硬度最低;珠光体的强度最高,塑性、韧性和硬度介于渗碳体和铁素体之间,综合力学性能最好。
表2-1 铁碳合金室温平衡组织中基本组成物的力学性能
铁碳相图是表示在极缓慢加热(或极缓慢冷却)情况下,不同成分的铁碳合金在不同温度时所具有的状态或组织的图形,可以表示平衡条件下铁碳合金的成分、温度和状态之间的关系和变化规律。铁碳相图是研究铁碳合金的组织与性能及其加工工艺的基础,也是制定铁碳合金热处理工艺的主要依据。虽然铁和碳可以形成Fe 3 C、Fe 2 C、FeC等化合物,但是具有使用价值的只有Fe-Fe 3 C部分。因此,本书只探讨Fe-Fe 3 C部分,如图2-8所示。
图2-8 Fe-Fe 3 C相图
1)特征点。Fe-Fe 3 C相图中各特征点的意义、温度、碳含量见表2-2。
表2-2 Fe-Fe 3 C相图中各特性点
2)特征线。相图中的特征线是各不同成分的合金具有相同意义的临界点的连接线。Fe-Fe 3 C相图中各特征线的温度及意义见表2-3。
表2-3 Fe-Fe 3 C相图中的特征线
现对几条重要的特征线说明如下:
①包晶转变线。1495℃的水平线 HJB 为包晶转变线, J 点为包晶点,1495℃是包晶温度。合金结晶时,在这条线上发生下述包晶转变:
包晶转变的产物是奥氏体。此转变在碳的质量分数为0.09%~0.53%的铁碳合金中发生。
②共晶转变线。1148℃的 ECF 水平线是共晶转变线, C 点为共晶点,1148℃是共晶温度。碳的质量分数为2.11%~6.69%的合金液相在这条线上发生下述共晶转变:
共晶转变的产物是碳的质量分数为2.11%的奥氏体和渗碳体,产物称为莱氏体。
③共析转变线。727℃的 PSK 水平线是共析转变线, S 点为共析点,727℃是共析温度,用符号 A 1 表示。碳的质量分数大于0.0218%的铁碳合金在这条水平线上发生下述共析转变:
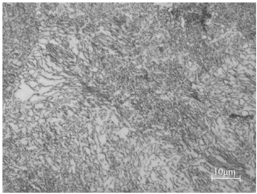
共析转变的产物是铁素体与渗碳体的机械混合物,称为珠光体。珠光体一般是铁素体与渗碳体以层片状相间分布而形成的机械混合物。由于珠光体中渗碳体的数量较铁素体少,所以珠光体中较厚的片是铁素体,较薄的片是渗碳体,片层排列方向相同的领域称为一个珠光体团。当放大倍数较高时,可以清晰地看到珠光体中平行排列分布的薄片渗碳体,如图2-9所示。 PSK 线还表示各种成分的铁碳合金,在缓慢冷却(或加热)时,γ相向α相转变的终了温度(或α相向γ相转变的开始温度)。
图2-9 珠光体显微组织
以上三条水平线均处于三相平衡状态,反应过程为恒温转变过程。
④ ES 线。碳在奥氏体中的饱和溶解度曲线(固溶线),用符号 A cm 表示。奥氏体最大溶解量位于1148℃,可溶碳的质量分数为2.11%。随着温度下降,奥氏体的溶碳量逐渐减少,727℃时,可溶碳的质量分数为0.77%,过饱和的碳以渗碳体形式从奥氏体中析出。为了区别由液相中结晶出的一次渗碳体,以Fe 3 C Ⅰ 表示,将由奥氏体中析出的渗碳体称为二次渗碳体,以Fe 3 C Ⅱ 表示。
ES 线还表示,一定成分的铁碳合金在缓慢加热(或冷却)时,二次渗碳体完全固溶于奥氏体中的终了温度(或从奥氏体析出二次渗碳体的开始温度)。
⑤ GS 线。固溶体的同素异构转变线,也即冷却时奥氏体析出铁素体的开始线,加热时铁素体转变为奥氏体的终了线,用符号 A 3 表示。奥氏体与铁素体之间的转变是溶剂铁发生同素异构转变的结果,也称为固溶体的同素异构转变。只是固溶体的同素异构转变温度随溶碳量的增加而降低。
⑥ PQ 线。碳在铁素体中溶解度曲线,也称固溶线。随着温度的下降,碳在铁素体中的溶解度也随之减少,室温时几乎为零,铁素体中过饱和的碳以渗碳体形式从铁素体中析出,这种渗碳体称为三次渗碳体,以Fe 3 C Ⅲ 表示。
3)相区。简化后的Fe-Fe 3 C相图共有11个区,4个单相区,5个双相区,2个三相区,具体见表2-4。
表2-4 Fe-Fe 3 C相图的相区
(1)共析钢 碳的质量分数为0.77%的共析钢结晶过程如图2-10所示。当温度在1点以上时,合金全部为液体。当液态合金冷却至1点时,开始结晶,从液体中结晶出奥氏体。在1~2点之间,液态合金和奥氏体共存,随着温度的逐渐降低,结晶的奥氏体越来越多,此时液相成分沿 BC 线变化,奥氏体的成分沿 JE 线变化。冷却至2点时,合金全部结晶为碳的质量分数为0.77%的奥氏体。在2~3点之间,单相奥氏体缓慢冷却,组织不发生变化。当合金继续冷却至3( S )点时(727℃),奥氏体发生共析转变,从奥氏体中同时析出铁素体和渗碳体的机械混合物珠光体。温度继续下降,共析转变结束后,奥氏体全部转变为珠光体。共析钢室温下的组织是由层片状的铁素体与渗碳体组成的珠光体。
在球化退火条件下,珠光体中的渗碳体呈粒状,称为粒状珠光体。
(2)亚共析钢 碳的质量分数为0.028%~0.53%的亚共析钢,缓冷至1495℃时发生包晶转变。碳的质量分数为0.53%~0.77%的亚共析钢,缓冷时不发生包晶转变,而是直接从液相中结晶出奥氏体。碳的质量分数为0.45%的亚共析钢结晶过程示意图如图2-11所示。
图2-10 共析钢结晶过程示意图
图2-11 亚共析钢结晶过程示意图
在3点之前,亚共析钢结晶过程与共析钢类似。当缓冷至与 GS 线交点3点时,开始从奥氏体中析出铁素体,温度越低,铁素体数量越多,成分沿 GP 变化,奥氏体不断减少,成分沿 GS 线向共析成分接近。当缓冷至与 PSK 线的交点4点时,剩余奥氏体中的碳含量达到共析成分(碳的质量分数为0.77%),剩余奥氏体发生共析转变,转变为珠光体。5点以下至室温,合金组织不再发生变化。亚共析钢的室温组织由珠光体和铁素体组成。只是碳含量不同,珠光体和铁素体的比例也不同,碳含量越多,转变产物中的珠光体数量也越多。
(3)过共析钢 在3点之前,过共析钢结晶过程与共析钢类似,如图2-12所示。当缓冷到3点时,奥氏体中的碳的溶解度达到饱和,随着温度的降低,多余的碳以二次渗碳体形式析出,并以网状形式沿奥氏体晶界分布。随着温度的降低,二次渗碳体不断增多,奥氏体不断减少,其成分沿 ES 线向共析成分接近。当缓冷至4点时,达到共析成分(碳的质量分数为0.77%)的剩余奥氏体发生共析转变,形成珠光体。温度继续下降,组织基本不发生变化,故室温下组织为珠光体与网状二次渗碳体。但是随着碳含量的增加,组织中的二次渗碳体相对含量增加,珠光体相对含量减少。
图2-12 过共析钢结晶过程示意图
高碳铬轴承钢中碳的质量分数为0.95%~1.05%,属于过共析钢,其结晶过程类似于上述过共析钢转变。
(4)共晶白口铸铁 图2-13所示为碳的质量分数为4.3%的白口铸铁结晶过程示意图。温度在1点以上时全部为液相,当缓冷至1点时,发生共晶转变,结晶出成分为 E 点的奥氏体和成分为 F 点的渗碳体(共晶点 K ),形成高温莱氏体。继续冷却,从共晶奥氏体中析出二次渗碳体,同时奥氏体中碳含量沿 ES 线逐渐减小,向共析成分接近。当缓冷至2点时,碳的质量分数达到0.77%,剩余的奥氏体发生共析转变,转变为珠光体,分布在渗碳体的基体上,构成低温莱氏体(珠光体+二次渗碳体+共晶渗碳体)。温度继续下降,组织基本不发生变化。故共晶白口铸铁室温组织为低温莱氏体。图中黑色部分为珠光体,白色基体为渗碳体。二次渗碳体在珠光体周围,与共晶渗碳体连成一片,难于分辨。由于低温莱氏体基本相是渗碳体,所以低温莱氏体硬度高,塑性差。
图2-13 共晶白口铸铁结晶过程示意图
(5)亚共晶白口铸铁 图2-14所示为亚共晶白口铸铁结晶过程示意图。在温度1点以上全部为液相。缓冷至1点时,开始从液相中析出奥氏体。随温度下降,在1~2点之间,液相中析出奥氏体数量不断增加,成分沿 AE 线变化,剩余液相逐渐减少,成分沿 AC 线变化,向共晶成分接近。当缓冷至2点(1148℃),剩余液相成分达到共晶成分,发生共晶转变,形成莱氏体,此时成分是奥氏体和莱氏体。继续冷却,奥氏体中开始析出二次渗碳体,成分沿 ES 线向共析成分接近。随温度降低,二次渗碳体量不断增多,而奥氏体量逐渐减少。当冷却至3点时,达到共析成分的奥氏体发生共析反应,转变为珠光体。故室温组织由珠光体、二次渗碳体和低温莱氏体组成。所有亚共晶白口铸铁的冷却过程都与上述相似,其室温组织是珠光体、二次渗碳体和低温莱氏体。但随碳含量的增加,低温莱氏体量逐渐增多,其他量逐渐减少。
(6)过共晶白口铸铁 图2-15所示为过共晶白口铸铁结晶过程示意图。在1点以上全部为液相,当缓冷至1点时,开始从液相中结晶出板条状的渗碳体,这种由液相中结晶出来的渗碳体称为一次渗碳体。随着温度继续下降,在1~2点之间时,一次渗碳体量逐渐增多,剩余液相中碳含量不断下降,成分沿 DC 线变化,向共晶成分接近。当冷却至2点温度(1148℃)时,剩余液相成分达到共晶成分而发生共晶转变,形成莱氏体。继续冷却,开始从奥氏体中析出二次渗碳体,当冷却至3点时,发生共析转变,形成珠光体,其冷却过程和共晶白口铸铁一样,故室温下,过共晶白口铸铁组织是低温莱氏体和一次渗碳体。
图2-14 亚共晶白口铸铁结晶过程示意图
图2-15 过共晶白口铸铁结晶过程示意图
铁碳合金金相平衡组织归纳见表2-5。
表2-5 铁碳合金金相平衡组织
碳是铁碳合金中影响合金性能的主要元素。在室温下,碳主要以渗碳体形式存在于合金中。因此,碳含量多少对合金的组织和性能有很大影响。碳含量越多,合金中渗碳体的数量就越多。合金的组织和性能也与渗碳体的形状、大小及分布情况有关。
1.碳含量对平衡组织的影响
由Fe-Fe 3 C相图可知,随着碳含量的增加,合金的室温组织变化如下:
F→F+P→P+Fe 3 C Ⅱ →P+Fe 3 C Ⅱ +L′d→L′d→L′d+Fe 3 C Ⅰ
通过对典型铁碳合金结晶过程的分析可知,不同成分的铁碳合金,其室温组织不同,这些室温基本组织都是铁素体、珠光体、低温莱氏体和渗碳体中的某一种或两种。而珠光体是铁素体和渗碳体的机械混合物,低温莱氏体是珠光体、渗碳体的机械混合物。因此,铁碳合金室温组织都由铁素体和渗碳体两种基本相组成,只不过随着碳含量的增加,铁素体量逐渐减少,渗碳体量逐渐增多,并且渗碳体的形态、大小和分布也发生变化,如低温莱氏体中共晶渗碳体都比珠光体中的渗碳体粗大得多。正因为渗碳体的数量、形态、大小和分布不同,致使不同成分铁碳合金的室温组织及性能也不同。
2.碳含量对力学性能的影响
铁碳合金在室温时的基本组织结构是铁素体、渗碳体和珠光体。根据合金碳含量的不同,铁和碳可以不同的形式结合。而铁碳合金的强度主要取决于珠光体的含量。在铁碳合金中,铁素体是软韧相,渗碳体是硬脆相,渗碳体以细片状分散地分布在铁素体的基体上组成珠光体时起了强化作用,因此珠光体有较高的强度和硬度。随着碳含量的增加,钢中珠光体的数量逐渐增多,钢的强度和硬度不断上升,而塑性和韧性不断下降。
在亚共析钢中,组织由铁素体和珠光体组成,随着碳含量的增加,珠光体逐渐增多,强度、硬度升高,而塑性、韧性下降。当碳的质量分数达到0.77%时,组织全部由片层状的珠光体组成,其性能就是珠光体的性能,片层状珠光体分布使共析钢的强度、硬度较亚共析钢高,但塑性、韧性下降。在过共析钢中,组织由珠光体和二次渗碳体组成,随着碳含量的增加,二次渗碳体的数量逐渐增加,增加了钢的硬度和脆性。当碳的质量分数接近0.9%时,强度达到最高值,碳含量继续增加,强度下降,这是因为脆性的二次渗碳体形成网状包围着珠光体组织,从而削弱了珠光体组织之间的联系,使钢的强度和韧性降低,如图2-16所示。
图2-16 碳含量对合金力学性能影响
当渗碳体以基体形式存在时,合金硬度继续升高,而强度继续下降,塑性和韧性几乎为零。碳的质量分数大于2.11%的铁碳合金,又硬又脆,不适合做结构材料。因此为了保证工业上使用的铁碳合金具有适当的塑性和韧性,碳的质量分数一般不超过1.3%。
硬度大小主要取决于组成相的数量和硬度。因此,随着碳含量的增加,硬而脆的渗碳体增多,软韧的铁素体减少,铁碳合金的硬度呈直线升高,而塑性下降。
冲击吸收能量对组织十分敏感。碳含量增加时,脆性的渗碳体增多,当出现网状的二次渗碳体时,韧性急剧下降。总体来看,韧性比塑性下降的趋势要大,如图2-16所示。