



数字化影像技术、光学印模技术、计算机设计软件、3D打印技术、人工智能等众多数字化技术的快速发展,共同促进了数字化种植技术走向成熟。现阶段,口腔种植修复已可以实现全数字化流程,其过程主要包括数字化辅助的种植诊断与设计程序、数字化种植外科和数字化种植修复程序三个部分,具体内容及流程参见图4-1。
图4-1 数字化种植修复流程
数字化放射学在口腔医学的应用开始于1989年法国牙医Francis Mouyen发明的数字化根尖片成影系统。随后,数字化曲面体层、头颅正位和头颅侧位等X线片的数字化影像系统相继问世。但这些成像系统显示的均为口腔颌面部的二维影像。而制订种植手术方案需要准确地获得患者颌骨甚至颅颌面部硬组织的三维影像信息,这一问题的解决得益于CBCT的发明及临床普及。1997年,世界上首台口腔颌面部专用的CBCT问世,1998年New Tom公司推出了第一台商用设备,随后在临床迅速普及。
CBCT的原理是采用锥形X线束通过人体组织,投照到对侧的面状探测器获得二维数据并通过计算机重建得到三维图像。与传统医用CT相比,CBCT具有空间分辨率高、辐射剂量低、体积小等优点,但同时也存在密度分辨率比较低、软组织成像能力差、金属伪影降低图像质量等问题。尽管如此,CBCT目前仍是口腔种植修复领域首选的影像检查手段,其与面部软组织三维扫描系统、口内数字化印模系统的配对与融合,为口腔种植手术的术前规划与手术方案设计提供了直观全面的数字化信息。
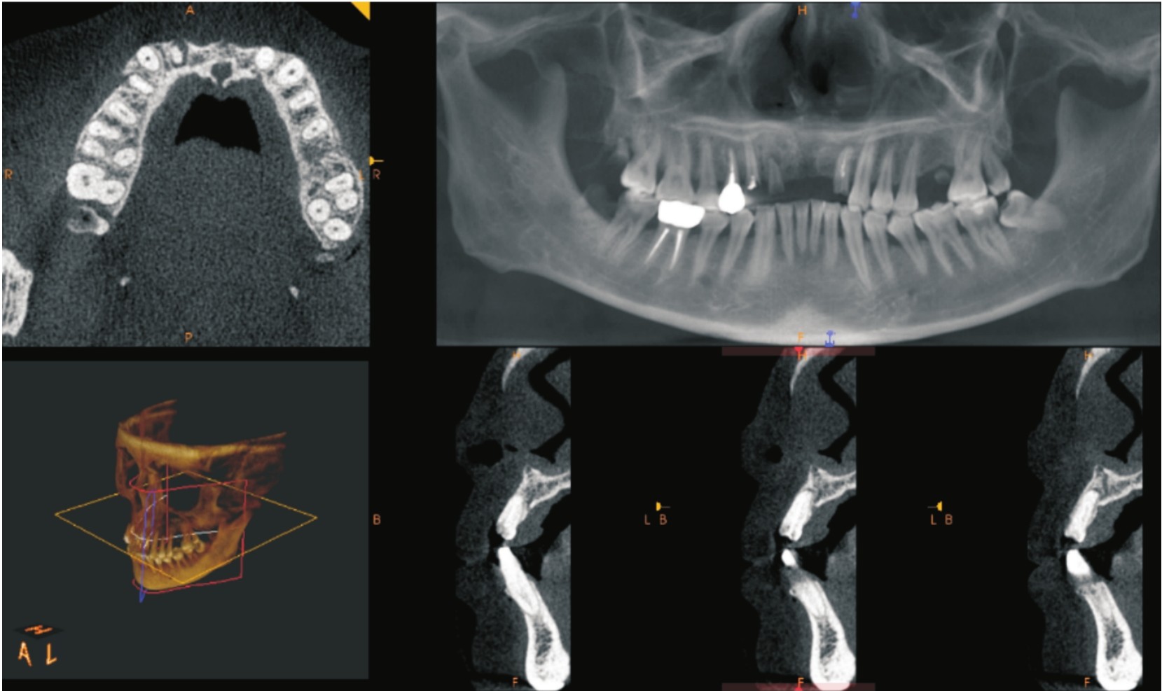
通过CBCT数字化影像,医生可充分了解种植术区可用骨量、牙槽骨密度、牙根走向、邻近重要解剖结构等信息(见图4-2)。
图4-2 CBCT图像
为获取高质量的CBCT影像,CBCT拍摄时应注意:
(1)严格执行CT拍摄的基本规范,适当防护。去除佩戴的首饰、眼镜等金属物品及口内所有金属材料的修复体。
(2)推荐使用中视野及以上的CBCT,对于计划采用翼上颌复合体种植或穿颧种植的病例,建议使用大视野CBCT(扫描视野>15cm×15cm),拍摄层厚<0.3mm。
(3)拍摄时应保持患者头部稳定,上下颌牙齿分开2~3mm,采用双扫描法时应佩戴放射性义齿进行拍摄。拍摄过程中尽量减少移动,避免运动性伪影的产生。
CBCT拍摄完成后,将数据以DICOM格式保存,导入专用的种植导板设计软件。
要实现以修复为导向的种植设计方案,在获得患者颌骨影像的数字化信息后,还需要得到口内准确的牙齿及软组织数据。对于美学区牙齿缺失、颌骨关系异常、无牙颌患者等复杂情况,在获得上述数据基础上,应同时结合患者的面容、微笑设计、咬合关系等,设计理想修复体位置及外形,并经患者确认后,将其转化为数字化信息,一并导入种植规划软件,指导种植修复方案设计。目前可通过口内扫描仪采集光学印模、口外模型扫描仪扫描石膏模型、面部扫描仪扫描面部信息等手段获取上述数据。
(1)口内扫描仪:通常由手持扫描仪器、配套软件、计算机组成。扫描过程中,软件界面可实时显示扫描得到的三维图像。目前,临床常用的口内扫描仪品牌主要有3 Shape Trios、西诺德Cerec Omnicam、iTero、3M True Definition、广东朗呈、杭州先临等。使用口内扫描仪可直接获取三维牙列影像,扫描后得到的电子文件多以STL格式储存,可直接用于上部修复体的设计及制作。值得注意的是,现阶段口内扫描仪主要用于少数牙缺失的牙列缺损患者,对于全口无牙颌患者及缺牙数目较多且伴有游离端缺失的牙列缺损患者,其精度尚不足以支持临床应用,有待于进一步提高。
(2)模型扫描仪:通过传统方法制取印模,灌制模型后使用模型扫描仪获得数字化信息。模型扫描仪虽然具有相对较高的扫描精度,但制取传统印模过程中可能出现人为操作误差,又受印模及模型材料等问题的影响。因此,制取印模等过程要严格按照操作规范进行,尽可能减少人为操作带来的误差。
(3)面部扫描仪:作为一种非接触、非侵入式技术手段,通过三维扫描技术可获取面部软组织成像,并可重建出高质量彩色的三维图像,目前已逐步应用于口腔正畸、正颌外科、口腔修复等美学预测、诊断治疗方案制订及疗效评价等方面。现有的面部扫描数据可以实现与多种数据配准,完成前牙美学修复设计、虚拟排牙、制作即刻全口义齿等功能。无牙颌种植患者由于涉及修复前后面部丰满度改变、口颌系统重建、与颌骨及牙列精确配准等问题,临床应用仍处于研究阶段。
理想的全数字化设计流程即通过口内扫描仪或者模型扫描仪获得光学印模后,将光学印模与患者面部信息进行拟合,在修复设计软件中进行数字化虚拟排牙,虚拟设计完成的修复体通过3D打印技术打印成临时修复体,在患者口内进行试戴调整。确认修复设计后与患者的CBCT数据拟合,即在软件中同时得到了理想修复体位置与颌骨位置关系,在此基础上完成数字化种植设计方案的制订。
数字化口腔种植外科手术实施主要包括静态数字化手术导板和动态实时手术导航两种方式。两者的相同之处在于术前都可以在配套软件中设计种植方案,术中医生按照术前设计完成手术。两者的不同之处在于,静态手术导板需要在术前制作完成,术中在外科导板的引导下实施手术,不允许改变种植体设计和三维位置,导板手术需要配合专门的外科导板手术工具盒。而动态导航系统术前不需要制作外科模板,术中通过特殊导航设备进行配准,利用种植体植入的三维导向系统进行实时动态导航,允许在术中调整种植设计包括种植体的三维位置。下面以静态手术导板为例介绍种植手术方案设计过程。
在种植设计软件中,导入患者的CBCT影像信息和牙列数字化信息及最终修复体信息,根据设计思路,拟定种植修复方案,选择合适规格的种植体,即可在颌骨种植位点设计合适的植入位置,包括种植体的三维位置、植入深度、修复空间、固位方式、上部结构等。当种植设计方案确定后,就应该按照预定的设计方案制作种植手术导板,手术导板承载了手术方案的各种信息,按照手术导板的指引,医生可按照手术计划方案实施手术。常用的种植设计软件有Nobel Clini-cian,Simplant,3 Shape Implant Studio,Guide Mia,国内的六维、彩立方等。以下以Nobel Clinician为例,介绍种植修复设计的过程。
(一)导入CT图像
当导入拟种植区域的CT数据后,通常软件中会显示该解剖区域的横断面、矢状面、冠状面和三维重建图像(见图4-3)。医生可通过对不同层面的仔细观察来分析所有的解剖结构。在种植手术规划中,应详细测量术区的牙槽嵴宽度,可用骨高度,观察颌骨密度、邻牙牙根位置、下牙槽神经管走行,有无明显的骨性倒凹,动脉走行,其他颌骨病变等。对毗邻上颌窦的手术还应观察上颌窦底形态,黏膜厚度,上颌窦内有无骨嵴、囊肿、上颌窦炎等情况。对于翼上颌区域种植应详细观察上颌结节处骨宽度、翼上颌区骨高度及翼突高度,上牙槽后动脉分支走形。许多软件可以实现以不同的颜色标记重要的解剖结构,方便医生更直观地观察。
图4-3 CT数据导入Nobel Clinician种植设计软件
(二)整合信息
大多数种植设计软件包含虚拟排牙功能,但建议只在少数牙缺失的简单病例中使用。对于复杂的美学种植修复、无牙颌种植等病例建议按规范的修复流程制作诊断义齿或放射导板,并将这些修复信息包括牙列信息、诊断义齿或复制义齿信息导入软件并和CT数据配对拟合,即可在同一界面同时观察患者的修复信息和解剖信息。
(三)诊断和设计
种植手术方案设计中最重要的步骤就是确定种植体的三维位置。通常在矢状面上,根据最终修复体外形,即可确定种植体的三维位置,包括颊舌向、近远中向及垂直向,如图4-4所示。当理想牙体外形的牙长轴与牙槽骨方向呈一定夹角时,需要平衡“以修复为导向的理想位置”与解剖结构的差异。角度过大时,需要通过软硬组织增量或调整修复方式来实现修复,比如使用角度基台、个性化基台等方法。种植体位置确定后,还应从冠状面、水平面、三维重建等多个角度观察种植体,以保证其位于最佳的种植三维位置。随后可根据之前的修复设计挑选合适的修复基台,并观察修复体穿龈轮廓、中央螺丝开孔位置、最终牙冠形态等是否符合预期。需要强调的是,种植体的位置应在此阶段反复确认,尤其是在解剖条件受限的情况下,以避免或尽量减少设计失误造成的问题或种植并发症。
图4-4 种植体三维位置规划设计
种植设计软件根据其数据库及功能不同可分为封闭式及开放式,原厂或第三方平台。开放式平台往往是第三方开发的设计软件,其数据库包含了临床大多数主流种植系统,但不能完成全程导板的设计,多用于先锋钻导板或半程导板的设计制作。而原厂的种植设计软件多数是封闭平台,只能选择特定品牌的种植体及其配件,包括所有修复配件,可实现全程导板的设计制作。当种植手术方案设计完成后,即可生成种植导板预览文件及订单,完成导板制作。