



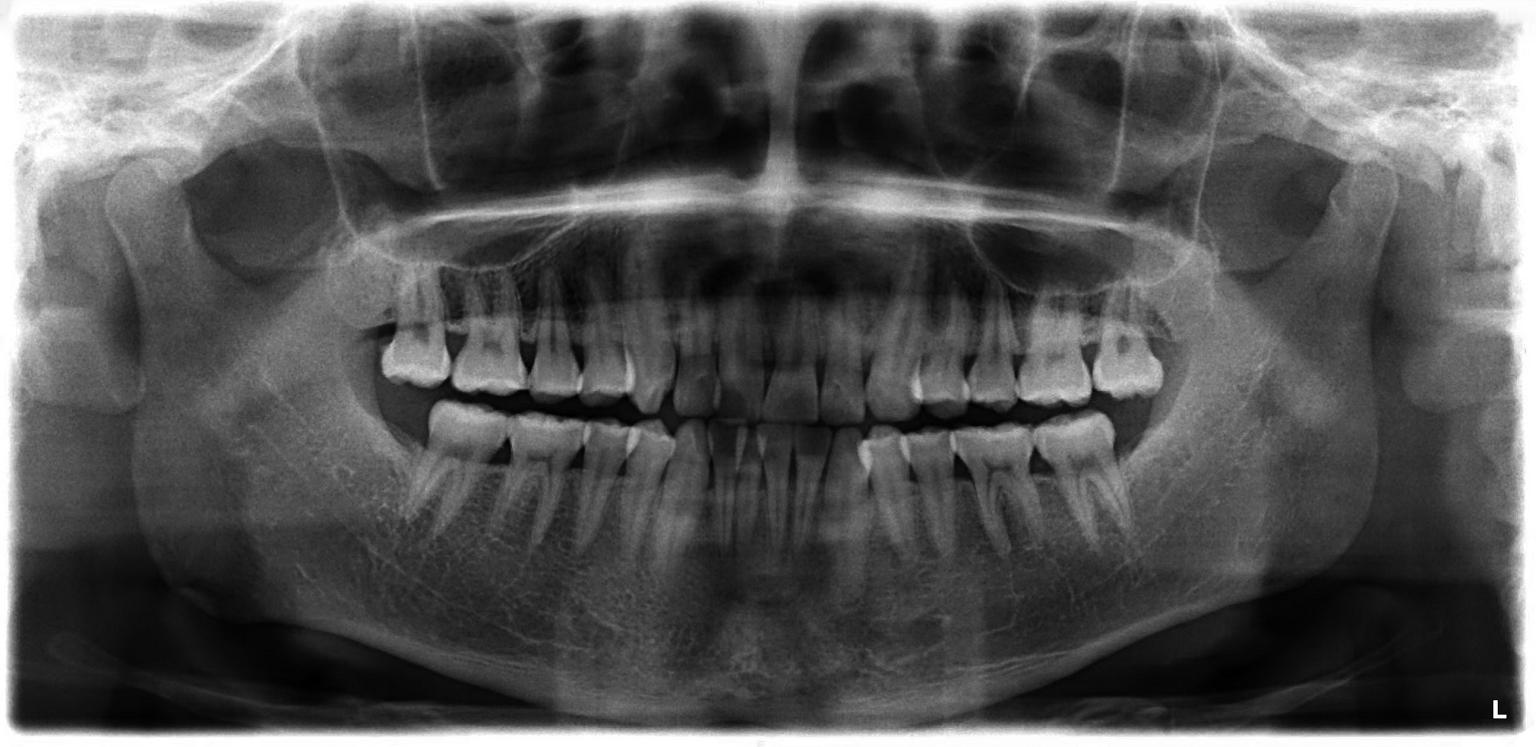
在为口腔癌患者制订治疗计划时,医生需要考虑到牙齿和颌骨这两个因素。全景片,也称“全颌曲面断层片”,能够显示全口牙齿和上下颌骨,可以直观地了解口腔癌患者的口腔内牙齿整体情况,尤其是龋齿、残根及智齿等,为治疗计划的制订,特别是牙齿的处理方案,提供直观的依据。此外,全景片还可以显示鼻腔、上颌窦及颞下颌关节等解剖结构,能够大致观察口腔癌对颌骨组织是否有影响以及影响程度,辅助医生判断是否需要切除颌骨组织及切除的安全范围。全景片是二维的影像检查,操作简单、辐射剂量很小、价格便宜,是临床上口腔癌诊疗的基础检查手段之一。