



本品为鳞毛蕨科植物粗茎鳞毛蕨 Dryopteris crassirhizoma Nakai的干燥根茎和叶柄残基。
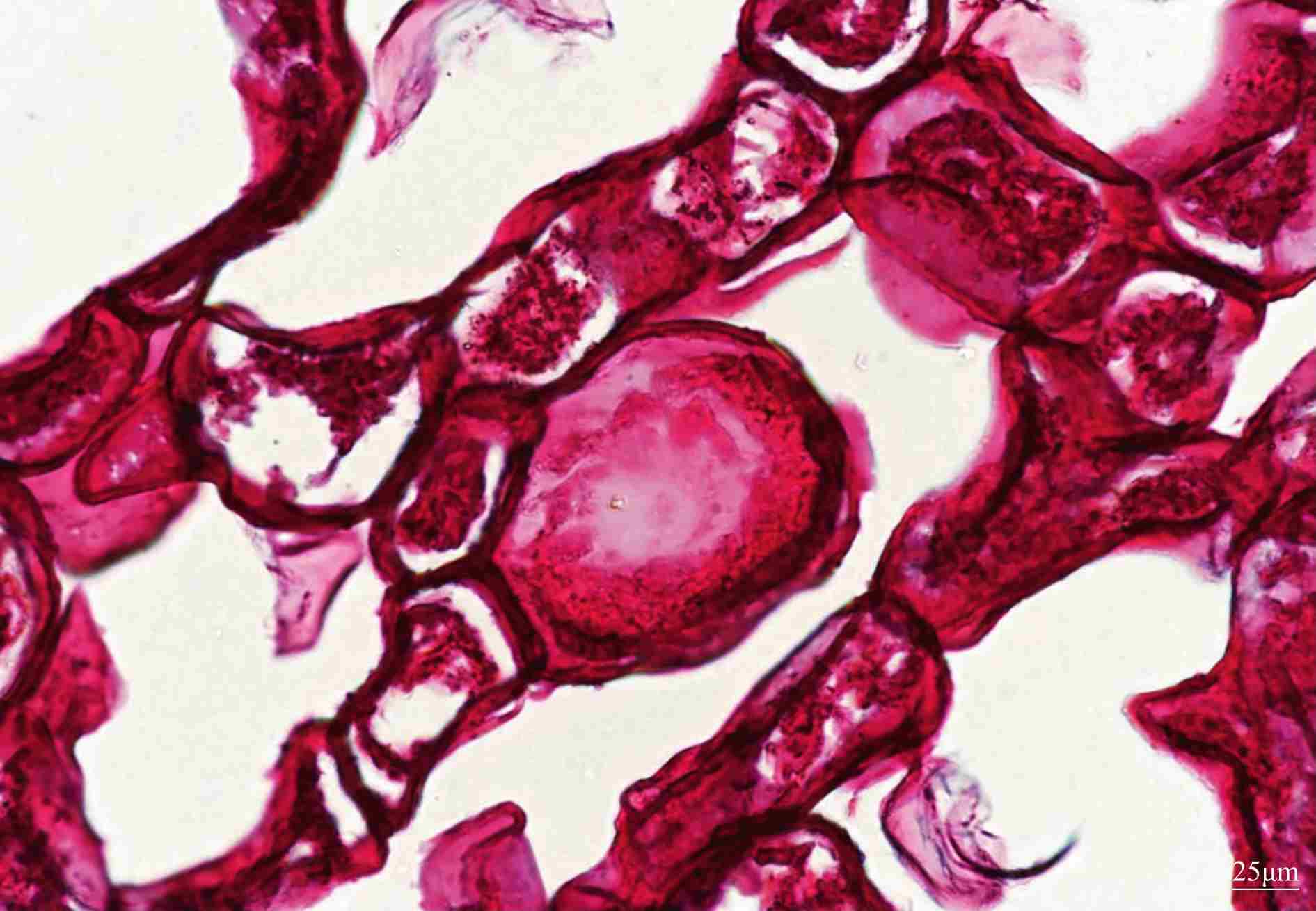
叶柄基部横切面 近椭圆形。表皮细胞为1列外壁增厚的小型细胞,常脱落。下皮为10余列多角形厚壁细胞,棕色至棕褐色。基本组织细胞疏松排列,细胞间隙中有单细胞间隙腺毛,头部呈球形或梨形,内含棕色分泌物。周韧维管束(分体中柱)5~13个,环列,每个维管束周围有1列扁小的内皮层细胞,凯氏点明显,有油滴散在;韧皮部较窄,包围木质部;木质部管胞多角形或类圆形。薄壁细胞内含棕色分泌物和淀粉粒。(图1—1~图1—7)
图1—1 绵马贯众叶柄基部横切面全息普通光(左)与偏振光(右)对比
1.表皮 2.下皮 3.基本薄壁组织 4.分体中柱 5.间隙腺毛 6.内皮层 7.木质部 8.韧皮部
图1—2 绵马贯众叶柄基部横切面全息(普通光)
图1—3 绵马贯众叶柄基部横切面全息(偏振光)
图1—4 绵马贯众叶柄基部横切面普通光(左)与λ干涉偏振光(右)对比
1.表皮 2.下皮 3.基本薄壁组织 4.间隙腺毛 5.内皮层 6.韧皮部 7.木质部
图1—5 绵马贯众叶柄基部横切面维管束部位普通光(左)与λ干涉偏振光(右)对比
1.内皮层 2.韧皮部 3.木质部
图1—6 绵马贯众叶柄基部横切面间隙腺毛(普通光)
图1—7 绵马贯众粉末间隙腺毛(普通光)
本品为乌毛蕨科植物顶芽狗脊蕨(单芽狗脊蕨) Woodwardia unigemmata (Makino)Nakai带叶柄残基的干燥根茎。为绵马贯众易混品。
叶柄基部横切面 近半圆形或近梯形。表皮细胞1列,部分脱落,下皮为10余列深褐色厚壁细胞。基本薄壁组织散在纤维束;周韧维管束(分体中柱)5~8个,腹内面1对分体中柱较大,肾形,呈“八”字形排列,木质部两端呈弯钩状,其余分体中柱较小,与较大的2个分体中柱排列成半环状。每个维管束周围有1列扁小的内皮层细胞,韧皮部较窄,包围木质部,管胞多角形或类圆形。薄壁细胞微木化,内含棕色物与淀粉粒。(图1—8~图1—12)
图1—8 顶芽狗脊蕨叶柄基部横切面全息普通光(左)与偏振光(右)对比
1.表皮 2.下皮 3.纤维束 4.基本薄壁组织 5.分体中柱 6.棕色物 7.内皮层 8.木质部 9.韧皮部
图1—9 顶芽狗脊蕨叶柄基部横切面全息(普通光)
图1—10 顶芽狗脊蕨叶柄基部横切面全息(偏振光)
图1—11 顶芽狗脊蕨叶柄基部横切面维管束部位普通光(左)与偏振光(右)对比
1.表皮 2.下皮 3.纤维束 4.基本薄壁组织 5.分体中柱 6.内皮层 7.木质部 8.韧皮部 9.棕色物
图1—12 顶芽狗脊蕨叶柄基部横切面纤维束部位普通光(左)与偏振光(右)对比
1.纤维束
本品为乌毛蕨科植物狗脊蕨 Woodwardia japonica (L.F.)Sm.带叶柄残基的干燥根茎。为绵马贯众易混品。
叶柄基部横切面 近肾形。表皮细胞1列,部分脱落。下皮为10余列深褐色厚壁细胞。基本薄壁组织中具周韧维管束(分体中柱)2~4个,腹内面的1对分体中柱较大,肾形,呈“八”字形排列,木质部两端呈弯钩状,其余较小,与较大的2个分体中柱排列成半环状。每个维管束周围有1列扁小的内皮层细胞,韧皮部较窄,包围木质部,管胞多角形或类圆形。薄壁细胞微木化,内含棕褐色物与淀粉粒。(图1—13~图1—17)
图1—13 狗脊蕨叶柄基部横切面全息普通光(左)与偏振光(右)对比
1.表皮 2.下皮 3.基本薄壁组织 4.分体中柱 5.棕色物 6.内皮层 7.韧皮部 8.木质部
图1—14 狗脊蕨叶柄基部横切面全息(普通光)
图1—15 狗脊蕨叶柄基部横切面全息(偏振光)
图1—16 狗脊蕨叶柄基部横切面普通光(左)与偏振光(右)对比
1.表皮 2.下皮 3.基本薄壁组织 4.内皮层 5.棕色物 6.韧皮部 7.木质部
图1—17 狗脊蕨叶柄基部横切面维管束部位普通光(左)与偏振光(右)对比
1.内皮层 2.韧皮部 3.木质部 4.棕色物
本品为球子蕨科植物荚果蕨 Matteuccia struthiopteris (L.)Todaro带叶柄残基的干燥根茎。为绵马贯众易混品。
叶柄基部横切面 近三角形,背部隆起。表皮多已脱落,下皮层厚壁组织为10余列棕褐色不规则多角形的厚壁细胞,侧棱处较厚。周韧维管束(分体中柱)2个,呈条状,排成“八”字形,内皮层明显;韧皮部窄,包围木质部;木质部两端呈弯钩状折叠,管胞多角形或类圆形。分体中柱周围可见棕褐色分泌细胞。薄壁细胞微木化,内含淀粉粒。(图1—18~图1—19)
图1—18 荚果蕨叶柄基部横切面全息普通光(左)与偏振光(右)对比
1.下皮 2.内皮层 3.基本薄壁组织 4.韧皮部 5.木质部
图1—19 荚果蕨叶柄基部横切面分体中柱部位普通光(左)与偏振光(右)对比
1.下皮 2.基本薄壁组织 3.内皮层 4.韧皮部 5.木质部 6.管胞
附注 《中国药典(2020年版)》一部分别收载了绵马贯众和紫萁贯众2种药材。由于地方用药习惯及历史原因,药材市场常见绵马贯众、紫萁贯众混用现象,另有乌毛蕨科植物顶芽狗脊蕨 Woodwardia unigemmata (Makino)Nakai及球子蕨科植物荚果蕨 Matteuccia struthiopteris (L.)Todaro等蕨类带叶柄残基的根茎作为绵马贯众及紫萁贯众的混淆品出现。贯众类植物种类众多,药材品种比较混乱,因基原药材收集所限,本书仅体现部分品种。绵马贯众、紫萁贯众及混淆品药材组织显微鉴别主要异同点见表1—1。
表1—1 贯众类药材叶柄基部横切面显微特征比较
参考文献
[1]国家药典委员会.中华人民共和国药典(2020年版)·一部[M].北京:中国医药科技出版社,2020.
[2]赵中振,陈虎彪.中药显微鉴定图典[M].福州:福建科学技术出版社,2016.
[3]楼之岑,秦波.常用中药材品种整理和质量研究(北方编,第2册)[M].北京:北京医科大学中国协和医科大学联合出版社,1995.
[4]香港特别行政区卫生署中医药事务部.香港中药材标准第六期[S].香港:香港特别行政区卫生署,2013.
[5]陕西省食品药品监督管理局.陕西省药材标准(2015年版)[S].西安:陕西科学技术出版社,2016.
[6]湖北省食品药品监督管理局.湖北省中药材质量标准(2018年版)[S].武汉:湖北科学技术出版社,2019.
[7]李萍.生药学[M].第3版.北京:中国医药科技出版社,2015.
[8]黄璐琦.中草药与民族药药材图谱[M].北京:北京医科大学出版社,2005.
[9]艾铁民,张定媛,付挂芳,等.西北产贯众生药学的研究[J].中药通报,2020,12(2):7—9.
[10]赵志礼.药用植物学[M].上海:上海科学技术出版社,2020.