



骨盆是由骶骨、尾骨和左右两块髋骨围成的环状骨骼及其形成的骨盆腔组成。以骨盆入口平面为界将骨盆腔分为上下两部分,上部分为假骨盆、下部分为真骨盆(图2.1)。骨产道特指真骨盆,是阴道分娩时胎儿必经的骨性通道。
图2.1 真骨盆与假骨盆
真骨盆有三个具有产科意义的假想平面,即骨盆入口平面、中骨盆平面和骨盆出口平面。这三个平面的形态及大小与胎头的相对位置是评估胎儿能否通过骨产道的关键(图2.2)。
图2.2 骨盆三个平面
连接这三个骨盆平面中点的曲线叫骨盆轴。分娩过程中胎儿即沿此轴娩出。骨盆轴上段向下向后,中段向下,下段向下向前。若胎儿在分娩时未按骨盆轴方向下降,则可能出现产程停滞,发生难产。
1.骨性标志
前方为耻骨联合上缘,两侧为髂耻缘,后方为骶岬上缘。入口平面有4条径线,即入口前后径、入口横径和两条入口斜径(图2.3)。
图2.3 骨盆入口平面及各条径线
1.入口前后径 2.入口横径 3.入口斜径
(1)入口前后径
指从耻骨联合上缘中点至骶岬上缘正中的距离,又称真结合径。由于耻骨的厚度并非上下一致,故耻骨联合与骶岬间的实际最短距离为耻骨联合上缘稍下方骨质最厚处与骶岬上缘正中的距离,通常比真结合径短0.2~0.5 cm,是胎头入盆时必须通过入口平面的最短径线,也称产科结合径。在临床工作中,无论真结合径或产科结合径均无法测量,为便于产科医生判断骨盆入口大小又引入了对角径这一概念,对角径是指从耻骨联合下缘中点至骶岬上缘正中的距离,约比产科结合径大1.5 cm,平均为11.6 cm(图2.3)。
目前临床上较少进行常规测量对角径,但对临产后胎头迟迟不入盆者可测量此径线,具体方法为:检查者用中指尖触及骶岬上缘中点,食指上缘紧贴耻骨联合下缘,另一手食指标记此接触点,测量中指尖到标记点的距离(图2.4A)。正常情况下对角径≥11.5 cm,中指不能触及骶岬,此时可尝试触摸第一与第二骶骨交界处,测量此处与耻骨联合下缘中点间的距离,该距离约等于真结合径(图2.4B)。若检查者中指可触及骶岬上缘,提示骨盆入口狭窄。
图2.4 测量对角径
注:A,检查者中指可触及骶岬,所量的对角径减去1.5 cm等于真结合径;
B,检查者中指触及第一节与第二节骶骨交界处,所量的距离约等于真结合径。
(2)入口横径
指左右髂耻缘间的最大距离,平均为12.3 cm。
(3)入口斜径
左斜径为左骶髂关节至右髂耻隆突间的距离,右斜径为右骶髂关节至左髂耻隆突间的距离,正常情况下两侧对称,长度相等,平均为12 cm。
2.临床意义
骨盆入口平面前后径短于横径,呈横椭圆形,是胎头衔接的主要平面。由于胎头的横径(双顶径)较纵径(枕额径)短,为适应骨盆入口平面的横椭圆形态,胎头多以较短的双顶径通过入口前后径,即以枕横位衔接者最为多见。因乙状结肠占据骨盆腔左后方部分空间,胎头纵径(枕额径)多以右斜径衔接,因此,临床上枕左前位较枕右前位多见,枕右后位较枕左后位多见。
对于不同骨盆类型,由于入口平面的形态不同,胎头会以不同的胎方位进行衔接(入盆)。女型骨盆最有利于阴道分娩,胎头多以枕前位或枕横位入盆;扁型骨盆入口平面前后径短,胎头常以枕横位入盆;类人猿型骨盆的一系列横径均短小,胎头常以枕后位入盆;男型骨盆入口平面呈楔形,最大横径后移,后矢状径缩短致使入口平面前半部及后半部的可利用面积均减少,是最不利于胎头衔接的一种骨盆类型,胎头多以枕横位或枕后位入盆。凌教授通过对117例临产前后胎方位自身配对研究发现:临产后枕后位衔接者男型骨盆占26.47%,狭窄骨盆占35.29%。
由于斜径是入口平面较大的径线,因此当发生肩难产时,胎头娩出后因胎儿双肩嵌顿于入口前后径,需迅速启动肩难产急救:屈大腿+压前肩,使胎儿双肩径从较短的入口前后径移至较长的入口斜径上,方能利用入口斜径使胎儿进入骨盆。
1.骨性标志
前界为耻骨联合下缘,后界为第4、5骶骨之间,两侧为坐骨棘。中骨盆平面是骨盆最狭窄处,其大小与阴道分娩关系最为密切。
(1)中骨盆前后径
由耻骨联合下缘中点经坐骨棘间径中点至第4或第5骶骨的连线,平均为12.2 cm。该径线以坐骨棘间径中点为界,又分为中骨盆前矢状径和后矢状径。中骨盆前后径可经阴道检查直接测量,准确性较高。具体测量方法:检查者用中指尖触到第4~5骶骨交界处,食指上缘紧贴耻骨联合下缘,用另一手食指标记此接触点,测量中指尖至标记点的距离(图2.5)。
图2.5 测量中骨盆前后径
(2)中骨盆横径
又称坐骨棘间径,为双侧坐骨棘顶点之间的距离。在临床上难以直接测量,常通过其他径线估计坐骨棘间径是否狭窄:①以耻坐径估算坐骨棘间径,耻坐径为耻骨联合下缘至坐骨棘之间的距离,可经阴道检查直接测量。耻坐径与中骨盆前矢状径及1/2中骨盆横径组成一个直角三角形,耻坐径为此三角形的斜边,正常应大于8 cm(图2.6),在中骨盆前矢状径不变的情况下,耻坐径越小则坐骨棘间径越小。②坐骨结节间径短小时,骨盆侧壁内聚,坐骨棘间径也短小。③按坐骨棘突出情况分为三度,Ⅰ度为稍突出(正常),Ⅱ度为较明显突出,Ⅲ度为明显突出;坐骨棘突出越明显,坐骨棘间径越短。④通过米氏菱形横径估算坐骨棘间径,米氏菱形横径可直接在女性后腰部测量,坐骨棘间径约等于米氏菱形横径加1 cm。
图2.6 中骨盆前后径、横径及耻坐径
(1.耻坐径 2.1/2坐骨棘间径 3.前矢状径)
(3)骶骨
骶骨是骨盆的后壁,其类型、长度、翘度都将影响骨盆各平面的前后径,与阴道分娩密切相关,是骨产道异常造成难产的主要原因之一。临床上可通过阴道检查直接了解骶骨情况。
(4)坐骨切迹宽度
代表中骨盆后矢状径,其宽度为坐骨棘与骶骨下部间的距离,即骶棘韧带宽度。检查方法为:将阴道内的食指置于韧带上移动,正常值为5.5~6.5 cm或容纳3指(图2.7)。
图2.7 测量坐骨切迹宽度
2.临床意义
中骨盆平面呈纵椭圆形,骨盆入口平面呈横椭圆,故无论胎头以何种胎方位入盆,在中骨盆平面均需发生内旋转,以适应中骨盆前后径大于横径的特点。由于中骨盆横径(坐骨棘间径)是骨盆各平面的最小径线,如果胎头以枕横位或枕后位衔接,双顶径通过中骨盆横径时受阻,会引起活跃期停滞,持续性枕横位,胎头下降延缓或停滞,而造成难产。如果由于中骨盆平面的狭窄造成难产,且没有及时发现,则胎头在盆底长时间受压导致严重变形和产瘤形成,会引起严重的母儿不良结局,如新生儿窒息、严重会阴撕裂伤等。
坐骨棘间径是产程中了解胎头位置高低的重要标志。
骶骨的类型与阴道分娩有密切的关系。一般认为中弧型骶骨最有利于阴道分娩。骶骨过长会增加阴道分娩的难度。骶骨翘度为40°~49°者较适合正常分娩机转。
中骨盆横径较长、侧壁内聚时,常使胎头持续于枕横位而影响分娩机转。
1.骨性标志
骨盆出口平面实际是由共享底边但不在同一平面中的两个三角形所组成的菱形出口平面,坐骨结节间径为两三角形的共同底边,前三角的顶点为耻骨联合下缘中点,侧边是两侧耻骨降支,后三角的顶点为骶尾关节,侧边是两侧骶结节韧带,坐骨结节间径中点与前、后三角顶点的连线分别为前、后矢状径(图2.8)。
图2.8 骨盆出口平面各径线(斜面观)
(1.出口横径 2.出口前矢状径 3.出口后矢状径)
(1)出口横径
又称坐骨结节间径,为两侧坐骨结节内缘之间的距离,可直接在体表测量。孕妇取30°斜坡仰卧位,双腿尽量向腹部弯曲,双手抱膝,充分暴露会阴部。测量者先以两拇指沿两侧耻骨弓降支,遇到的第一个转角处即为坐骨结节,用一套6~9 cm测量器嵌入两坐骨结节间(图2.9A),或用坐骨结节间径测量仪即可直接测量坐骨结节间径,正常值为8.5~9.5 cm。也可用检查者拳头估测(图2.9B),操作者要先了解自己横置拳头的估测值,若此径线<8 cm应结合后矢状径来判断骨盆是否狭窄。
图2.9 测量坐骨结节间径
(2)出口后矢状径
指坐骨结节间径中点至骶尾关节之间的距离,正常值约为9.3 cm。该径线反映菱形出口平面后三角区的大小,可由骨盆内测量测得(图2.10)。检查者右手食指伸入阴道向骶骨方向,找到骶骨尖端,用尺放于坐骨结节径线上。将汤姆斯骨盆出口测量器一端放于坐骨结节间径中点,另一端放于骶骨尖端处,测量出口后矢状径。当出口后矢状径与坐骨结节间径之和>15 cm时,表明骨盆出口狭窄不明显。
图2.10 测量出口后矢状径
(3)出口前后径
指骨质围绕的出口平面之前后径,为耻骨联合下缘中点与骶尾关节之间的距离,平均为11.5 cm。检查者中指尖触到骶尾关节,食指上缘紧贴耻骨联合下缘,另一手食指固定标记此接触点,抽出阴道内的手指,测量中指尖到此接触点的距离,此距离可粗略等于出口前后径(图2.11)。若骶尾关节固定,应测量耻骨联合下缘中点至尾骨尖的距离,此时的出口前后径常小于正常值。
图2.11 测量出口前后径
2.临床意义
(1)出口平面前三角略小,两侧边均为骨质构成,胎头可利用空间较小,而后三角较大,两侧边由可伸展的韧带构成。若出口横径偏短时,只要后矢状径够长,胎头仍可充分利用后三角的空间娩出。因此当坐骨结节间径≤7.5 cm时需测量出口后矢状径,当两径线之和>15 cm时,正常大小的足月胎头可经出口平面后三角娩出。在行阴道助产术前,建议测量出口前后径以排除出口前后径狭窄的漏斗型骨盆。
(2)除上述菱形出口平面,中外教科书中均提及骨质围绕的出口平面这一概念,即由耻骨联合下缘至骶尾关节,通过坐骨棘间径或略低处的一个平面。骨质围绕的出口平面是骨盆的实际最窄面,且中骨盆与骨质围绕的出口平面极其接近甚至重叠(图2.12),凌教授认为中骨盆—出口平面是骨盆真正的出口,胎头双顶径一旦通过该平面,绝大多数均可经阴道分娩;该观点与Benson和Danforth一致。Danforth认为中骨盆与出口平面可统归为出口问题,而将难产分为骨盆入口及出口难产。
图2.12 骨盆三个面
(1.入口平面 2.中骨盆平面 3.出口平面)
(3)坐骨结节间径可间接反映坐骨棘间径的大小,而中骨盆—出口平面狭窄往往以横径狭窄为主,故准确测量此径线对评估阴道试产条件至关重要。
在凌萝达“头位难产理论”中,每一个骨盆平面均具有重要临床意义的径线,见表2.1。
表2.1 凌萝达“头位难产”理论骨盆重要径线及临床意义
注:以上径线平均值与《妇产科学》(第9版)略有不同。
骨盆倾斜度是指女性直立时骨盆入口平面与地平面所成的角度(图2.13),非孕时为50°~55°,孕晚期一般为60°,若超过70°则为骨盆倾斜度过大。骨盆倾斜度过大或过小,是造成胎头衔接困难、头盆不称和会阴裂伤的原因之一。据报道足月妊娠阴道分娩中,约有7.8%的孕产妇因骨盆倾斜度异常而导致难产。让孕妇取坐位或半卧位以改变骨盆入口平面方向,有利于胎头入盆;采取膀胱截石位或McRobert体位(屈大腿将膝关节贴近腹壁)可纠正骨盆倾斜度过大的问题。
图2.13 骨盆倾斜度
以下情况提示可能存在骨盆倾斜度过大,需要进行测量:①孕妇腹壁松弛呈悬垂腹;②背部腰骶椎交界处向内深陷,骶骨上翘;③腹部检查发现胎头跨耻征可疑阳性或假阳性;④耻骨联合低,平卧位时耻骨联合下缘降低1~2 cm,更接近床面;⑤孕妇平卧于硬床上,检查者的拳头能通过其腰骶部与床之间的空隙。
骨盆倾斜度测量方法包括:①骨盆X摄片测量骨盆入口平面与水平面之间的角度,目前很少采用;②使用骨盆倾斜度测量器进行测量。
临床常用带量角器的马丁氏外测量器(图2.14)进行骨盆倾斜度测量;测量方法为:孕妇脱鞋站立,将测量器两端分别置于耻骨联合上缘中点和米氏菱形区上角,调节量角器直边,使其与骶耻外径平行、使垂线保持稳定,读出量角器上的数值,求出补角,即可得到骨盆倾斜度数值(图2.14)。
图2.14 带量角器的马丁氏外测量器
重庆医科大学附属第二医院刘云等发明的改良骨盆倾斜度测量器(中国专利号:02221501.8)(图2.15),结合马丁氏外测量器和骨盆倾斜度测量器的优点。测量方法:孕妇采用水平站立位,按测量骶耻外径的方法放置测量器,保持量角器平面与地面垂直,量角器上带活动轴的金属指针在重力作用下,始终与地面保持垂直,此时,量角器中的读数即为所测骨盆倾斜度值(图2.15)。通过与马丁氏外测量器对比,对68例孕妇进行136次测量,比较分娩结局,结果表明改良骨盆倾斜度测量器除了操作更简便,还具有更高的准确性。
图2.15 改良骨盆倾斜度测量器
由入口平面的髂耻隆突至出口平面坐骨结节中点的垂直距离是骨盆的深度。临床上可用骨盆外测量器测其长度,女性骨盆深度平均为8.5 cm,而男性骨盆深度为10 cm,约有6%的女性骨盆深度和男性骨盆一样。骨盆深对阴道分娩不利,尤其是较正常狭小的男型、类人猿型骨盆深度增加时,可影响胎头向前旋转或使胎头下降停止于骨盆下半部。扁平型骨盆前半部宽,而且骨盆最浅,可影响胎头内旋转和下降,若有相对头盆不称、胎头颅骨重叠、胎头水肿明显,可表现为胎头拨露的假象,如果盲目助产,会引起严重不良后果。
耻骨联合后方两耻骨间的夹角,正常约为156°(图2.16)。耻骨联合后角的大小反映骨盆前部的大小。男型骨盆的入口平面呈楔形,耻骨联合后角狭小,骨盆入口平面可利用的前后径较短。测量方法:虽然该角度不能直接测量,但可以将食指与中指沿水平方向插入阴道,触诊耻骨联合后方确定其角度和倾斜度。根据耻骨联合纵向轴和骶骨关系,其倾斜度可分为平行、前倾和后倾;角度可分为宽、中、窄。
图2.16 耻骨联合后角(图中黑粗线标示夹角)
耻骨弓由两侧耻骨坐骨支构成,其顶端形成的夹角为耻骨弓角度,正常约90°。女型与扁型骨盆耻骨弓角宽大,类人猿型骨盆中等,男型骨盆狭小。耻骨弓角度狭小者,骨盆菱形出口平面前三角可利用的面积减小,需借用后三角空间娩出胎头,会增加会阴裂伤的概率。测量时两手拇指指尖斜着对拢放置在耻骨联合下缘,左右两拇指平放在耻骨降支上,测量所得的两拇指间角度为耻骨弓角度(图2.17)。
图2.17 耻骨弓角度测量
1.类型
20世纪50年代美国学者基于X线骨盆摄片将骶骨形态分为以下6种类型:直型、浅弧型、中弧型、深弧型、上凸型及钩型(图2.18)。后续研究补充了弓型和多节型两种类型,并阐述了不同类型骶骨对分娩的影响。如何通过临床检查而非X线骨盆摄片来客观评估骶骨类型较难,因此有关骶骨形态与分娩关系的研究较少。
图2.18 骶骨分型示意图
1983年,根据凌萝达教授对上海第一医学院妇产科医院300例X线骨盆摄片资料的研究发现:中弧型最多见,占33%,上凸型占22%,浅弧型占15.33%,钩型及深弧型分别占10.33%及10.00%,直型最少见,占7.33%,其他难以归类的类型占2%。
凌教授认为中弧型骶骨最有利于阴道分娩,骶骨上段的弧度有利于胎头的衔接与下降,下段的弧度有利于胎头的俯屈与内旋转。直型骶骨使入口平面以下各平面前后径缩短,妨碍胎头一系列分娩机转的进行。浅弧型骶骨对阴道分娩的影响则介于中弧型与直型之间。深弧型骶骨因弧度过大,骶岬及骶骨末端均向前突出,使入口平面及出口平面前后径明显缩短,不利于阴道分娩,常见于佝偻病患者。上凸型骶骨凸出部分妨碍胎头衔接,若双顶径能通过入口平面则可顺利下降。钩型骶骨常上部直,缺乏应有的弧度,妨碍胎头衔接与下降,下部弯转如钩,使出口平面前后径缩短,妨碍胎头娩出。
2.节数
骶骨正常节数为5节,占66%;6节者占31.7%;7节及8节者占1.6%;4节者占0.7%。骶骨节数少于正常对阴道分娩无不利影响。但若骶骨节数超过正常,则可能对阴道分娩有不利影响,如骶尾椎使骶骨下部延长成钩型,可使骨盆出口平面前后径变短。
3.长度
骶骨长度是指骶岬至骶骨末端的垂直距离,是反映骨盆深浅的指标,骶骨过长会增加阴道分娩的难度。骶骨长度的差异很大,最短的仅7.7 cm,最长达13.7 cm。上凸型骶骨比较长,钩型与深弧型骶骨比较短。从骶骨的长度可以推测骨盆的类型,上凸型骶骨最长,多系类人猿型骨盆;钩型与深弧型骶骨最短,常系扁型骨盆。
4.翘度
骶骨翘度是指在孕妇直立时骶骨内面上下端联线与垂直线形成的角度,可影响骨盆入口平面以下各平面的前后径。骶骨翘度分为<40°、40°~49°、≥50°三种(图2.19)。其中,40°~49°者最常见,占48%,较适合正常分娩机转;<40°者为翘度过小,占34%,其中骨盆及出口平面前后径缩短较明显;≥50°者为翘度过大,仅占18%,其骶岬往往向前突出,使入口平面前后径缩短。
图2.19 各种骶骨翘度示意图
骶骨翘度与骨盆倾斜度共同影响骨盆形态及前后径大小。若骨盆倾斜度大,骶骨翘度亦大,骨盆前后壁无内聚,若能通过改变体位协助胎头衔接,则有机会经阴道分娩。若骨盆倾斜度大而骶骨翘度不够大时,则骨盆前后壁内聚,中骨盆及出口平面前后径变短(图2.20)。这种形态的骨盆常引起持续性枕横位而导致难产。临床中常重视骨盆侧壁内聚,而忽略了骨盆前后壁内聚,因此凌教授建议增加骨盆出口前后径的测量。
图2.20 骶骨翘度与骨盆倾斜度的关系
5.骶骨检查
如何通过临床检查而非X线骨盆摄片评估骶骨类型及其对分娩的影响是产科医生面临的一大难题。凌教授提出通过肛查或阴道检查了解骶骨形态。孕妇取左侧卧位,屈膝、屈髋,检查者用食指放入肛门或阴道内,相较之下肛查更有助于了解骶骨中下段的形态,检查者食指由尾骨向上沿骶骨内面自下而上进行检查。先了解骶尾关节是否活动,若固定即为尾椎骶化,骶骨末端呈钩状,骨盆出口平面前后径缩短;随后将食指顺着骶骨内面向上一般可触及第5、4、3节骶骨,同时了解骶骨下段的弧度、翘度和长度,并可用食指测量坐骨切迹的宽度,估计中骨盆后矢状径的长度。怀疑骶骨为深弧型时,食指经肛门伸向骶岬方向,若触及骶岬证明骶骨严重弯曲,多系佝偻病性骨盆或扁型狭窄骨盆。
站立时下腰部可见对称的菱形凹陷,称为米氏菱形区,其上顶点为腰骶关节,下顶点为骶尾关节,两侧以髂后上棘与骶骨交界处为界。米氏菱形区左右不对称提示骨盆变形,过去常为佝偻病、骨结核、小儿麻痹症等疾病所致,近年来车祸、外伤所致比例更高(图2.21)。米氏菱形区不对称、一侧髂后上棘突出者偏斜骨盆可能性大;米氏菱形区对称但过扁者可能伴有扁型骨盆;米氏菱形区对称但过窄者可能伴有中骨盆狭窄;两髂后上棘对称突出且狭窄者可能为类人猿型骨盆。
图2.21 米氏菱形区
正常骨盆的米氏菱形区纵径约为10.5 cm,反映骶骨长度;横径约为9.4 cm,反映骶骨宽度,并可间接推算中骨盆横径。米氏菱形区上三角的高度与骨盆入口的形态密切相关,此径越短,入口平面前后径越短,入口平面形态也越扁(图2.22)。这种间接估算法因皮下脂肪及骨质厚薄等干扰因素而存在较大误差,目前临床上并未常规测量米氏菱形区径线。但考虑到中骨盆横径难以直接测量,米氏菱形区观察简单易行,因此建议在孕产妇临产前通过观察米氏菱形区是否对称及测量其横径初步评估中骨盆形态及大小。
图2.22 正常与异常骨盆的米氏菱形区示意图
注:严重佝偻病患者的骶岬向前下方突出,致使腰骶关节(即米氏菱形区上三角之顶点)下降至与左右髂后上棘连线(即米氏菱形区上三角之底边)同一水平,故米氏菱形区上三角消失。
手腕围是尺骨桡骨头周径,反映骨质厚薄,中国妇女的右手腕围正常值为14 cm。手腕围为14 cm者的骶耻外径与内径相差8 cm,骶耻内径即入口平面前后径,因此可得出:骶耻外径-8 cm=入口平面前后径,手腕围越大,骨质越厚。手腕围每增加1 cm,骨盆外测量的径线须相应多减0.5 cm;手腕围每减少1 cm应少减0.5 cm,依此类推,就可得到以手腕围纠正后的入口平面前后径(如表2.2)。由于该测量方法简单,可以在妊娠晚期门诊进行测量。
表2.2 以手腕围估算入口平面前后径
由于种族、营养、遗传、内分泌等多种因素的影响,骨盆形态及结构的个体差异较大。Caldwell和Moloy基于147例女性骨盆研究,于1933年至1934年提出了考-莫氏骨盆解剖学分类法。目前国际上仍沿用这一分类法,即按骨盆入口平面最大横径及其前后两部分形状将骨盆分为女型、扁平型、类人猿型和男型(图2.23)。然而入口平面以下部分包括耻骨弓角度、坐骨棘、坐骨结节以及中骨盆、出口平面的形态和径线也各相迥异。结合凌教授对骨盆的研究,总结不同类型骨盆特点见表2.3。
图2.23 考-莫氏分类法所提出的四种基本类型骨盆
骨盆入口最大横径将入口平面分为后部(P)和前部(A)
表2.3 各种类型骨盆特征
但实际上人骨盆也像人脸一样无绝对相同者,上述4种基本类型只是理论上的分类,临床上很难找到典型类型的骨盆,多数是混合型的,不但形态不同,大小也不相同。
通常根据入口平面的形态分类,以入口平面后部形态决定骨盆主型,前部形态决定骨盆倾向,二者结合共同描述骨盆类型。例如,女型骨盆男型倾向(简称女男型骨盆)是指入口平面后部为女型骨盆形态而前部为男型骨盆形态。按这种分类标准,临床上存在4种单一型和10种混合型骨盆。
不同人种和种族的骨盆在形态及大小上存在明显差别,骨盆类型也有较大的种族差异性。女型骨盆在亚洲女性和白人女性中均占多数,黑人女性以类人猿型骨盆为主,扁平型骨盆在亚洲女性中较常见,而亚洲女性罕见的男型骨盆在白人女性中并不少见。柯应夔等对我国天津地区妇女骨盆进行X线摄片研究,发现女型骨盆占58.9%,扁平型占23.2%,类人猿型占14.2%,男型占3.7%。美国学者Steer等报道美国妇女中女型骨盆占41.75%,男型占24.10%,类人猿型占32.00%,扁平型占2.15%。国内外研究资料表明,影响女性骨盆形态的主要因素是基因、文化和环境,凌教授在20世纪50年代参加上海第一医学院妇产科医院王淑贞院长领衔的难产小组,对2 500例中国女性骨盆外测量研究中指出:南方人比北方人的骨盆各径线略狭小,旧时代妇女缠足影响女性下肢发育,容易造成难产。而同一人种骨盆的形态和大小受气候、营养、饮食及劳作习惯等多方面因素的影响,也会随着时间的推移而变化。王淑雯等通过对比1955年与1985年天津市育龄经产妇骨盆测量数据,发现在30年间女性骨盆的径线和类型发生了明显的变化:①骨盆入口平面Mengert指数(该平面前后径乘以最大横径之积)增加(与身高变化相一致);②扁平型骨盆比率增加(1955年为23.3%,1985年为41.13%);③类人猿型骨盆比率减少(1955年为14.2%,1985年为4.8%)。这些变化可能与我国居民生活、医疗水平明显改善,女性身高持续增长且身体素质显著提高有关。随着时代的变迁,营养状况改善及城市化进程加快,女性生活方式和工作状况改变,骨盆形态、大小是否亦发生改变是值得研究的方向。
骶骨以骶髂关节与髋骨相连接,经骶尾关节与尾骨相连接,两髋骨在前方以耻骨联合相连接。耻骨联合是由纤维软骨和上耻骨韧带以及下耻骨韧带(往往称为耻骨弓状韧带)所组成(图2.24),有一定程度的可动性,此可动性在妊娠时增加,尤以经产妇为甚。骶髂关节也略有可动性。
图2.24 耻骨联合正面切片
骶结节韧带为骶骨、尾骨与坐骨结节之间的韧带;骶棘韧带为骶骨、尾骨与坐骨棘之间的韧带。骶棘韧带的宽度即为坐骨切迹宽度,是判断骨盆是否狭窄的重要指标。
1.骨盆关节与韧带的变化
妊娠期激素(松弛素)水平改变可能使骨盆的关节、韧带变松弛,以有利于阴道分娩。耻骨联合从妊娠早、中期开始松弛,在妊娠最后3个月更为松弛,至妊娠末期可增宽5 mm左右,最多不超过10 mm,经产妇较初产妇增宽得更多,在阴道分娩过程中可出现轻度分离,有利于胎儿娩出,但很少会撕裂,分娩后立即开始消退,一般产后3~5个月可完全消退。
2.不同体位改变骨盆径线的意义
骶髂关节是滑膜关节,在妊娠期受女性激素影响略有移动,至妊娠末期仅轻微增宽,耻骨联合与左右两侧骶髂关节横向增宽约1 cm,对胎头衔接无太大帮助。X线骨盆摄片检查发现,妊娠足月时骶髂关节向上滑动引起较明显的移动性,最大的移位是在膀胱截石位时,可延长骨盆入口及出口前后径,尤以后者更为明显。胎头抵达盆底时,若孕妇采取McRobert体位(仰卧位,双腿外展,将双膝拉向肩膀使双膝尽量靠近腹壁),则可使骨盆出口前后径增加1.5~2 cm,有利于胎头娩出。发生肩难产时即可采取McRobert体位协助解除胎肩嵌顿。此外,骶尾关节也是滑膜关节,有一定的活动度,尾骨后移和伸展可增大出口前后径。
在阴道分娩过程中,孕妇采取不同体位可以在一定程度上改善骨盆某些径线以适应胎儿通过。Gherman等于2000年对34例孕周≥37周的孕妇分别在截石位和McRobert体位下行X线骨盆摄片,对比发现采用McRobert体位可以明显增加由耻骨联合与骶岬之间连线构成的骨盆倾角,更有利于阴道分娩。2002年Michel等对35名非妊娠期志愿者分别于仰卧位、胸膝位和蹲位下行MRI骨盆测量,并比较了各相关骨盆径线,其研究显示,在胸膝位和蹲位时不仅出口矢状径较仰卧位时明显增大,而且蹲位时的坐骨结节间径也大于仰卧位,因此其认为与传统仰卧位相比,胸膝位和蹲位更有利于阴道分娩。
骨盆检查与测量是产科医生的基本技能,也是妊娠晚期初步决定分娩方式及临产后了解头盆情况的重要手段。
骨盆外测量是孕晚期了解骨盆大小的重要方法之一,虽不能精确地反映骨盆各平面的大小,但因其简便、无创,有一定的参考价值,目前尚无其他可以取代的方法。虽然国内外许多学者对骨盆外测量持否定态度,亦有许多国家与单位已废弃不用,但结合我国国情,特别是在基层,骨盆外测量仍然是孕晚期产前检查时了解骨盆的重要手段。
骨盆外测量建议测量以下内容:右腕围、坐骨结节间径、耻骨弓角度、骨盆倾斜度,并进行跨耻征检查。跨耻征检查方法:嘱孕妇排空膀胱后取30°斜坡仰卧位,两腿伸直,检查者位于孕妇右侧,一手放在孕妇耻骨联合上缘,另一手推压胎头向盆腔方向。若胎头低于耻骨联合上缘,表示胎头可以入盆,为跨耻征阴性(图2.25A);若胎头高于耻骨联合上缘则为跨耻征阳性,提示存在头盆不称(图2.25B);若胎头与耻骨联合在同一平面,为跨耻征可疑阳性,提示可疑头盆不称(图2.25C)。凌教授指出,当存在骨盆倾斜度过大时,需注意是否存在跨耻征假阳性;此时让孕妇采取McRobert体位,再用手按压胎头,若可将其推至耻骨联合水平以下,就表明存在骨盆倾斜度过大,而不是骨盆入口狭窄导致的头盆不称。
图2.25 跨耻征检查
A.阴性 B.阳性 C.可疑阳性
为使测量结果尽可能反映真实情况,应考虑到软组织与骨质厚度等各种因素的影响。凌教授认为骨盆狭窄与形态异常是造成难产的首要因素,因此经骨盆外测量怀疑骨盆狭窄或头盆不称者,应在妊娠晚期或临产后进行骨盆内测量及内诊检查。
以往骨盆内测量可通过肛查或(和)阴道检查进行,肛查有助于了解骨盆后半部的情况,尤其是骶骨情况,但由于肛查会给患者带来不适感,且对医生要求较高,而阴道检查在严格消毒情况下较肛查更清楚,故临床上基本采用阴道检查进行骨盆内测量。检查内容包括:耻骨联合后角、对角径、中骨盆前后径、骨盆侧壁、坐骨棘、坐骨棘间径、耻坐径、坐骨切迹宽度、骶骨和尾骨的形状及活动度、骨盆出口前后径。
为减少检查中孕妇的不适以及避免遗漏检查内容,建议按一定顺序从外向内依次检查:耻骨联合后角、骨盆侧壁、坐骨棘、坐骨棘间径、坐骨切迹宽度、尾骨、骶骨、对角径、骨盆出口前后径。进行完阴道检查后,抽出手指再进行耻骨弓角度及坐骨结节间径的检查,具体检查技巧、步骤及内容见表2.4。在骨盆检查中,还应注意骨盆的肌肉结构,是否有突出的闭孔内肌占据骨盆腔内的空间,导致骨盆腔容积减小。
表2.4 骨盆检查步骤及内容
妊娠晚期骨盆外测量无异常,应在孕妇第一次阴道检查时评估骨盆情况。检查内容要全面,包括骨盆内测量、宫颈情况、胎方位、胎头位置等,充分了解骨盆大小与形态,评估是否存在头盆不称,是否可继续阴道试产。若考虑骨盆倾斜度过大,在每次宫缩时,可让孕妇尽量屈曲双髋关节并外展以纠正骨盆倾斜度,让胎头入盆。
1.产程中的评估
临产后应严密监测产程,当产程进展不顺利时应再次进行头盆关系评估,此时应由高年资产科医师和助产士进行阴道检查,检查内容包括骨盆内测量、宫颈情况、胎方位、胎先露位置等,结合产程图和头位分娩评分法,对分娩做出正确的判断与处理。
2.医学影像技术在骨盆测量中的进展
随着医学辅助技术的飞速发展,研究者希望能够得到更精准的骨盆径线数据和真实的骨盆三维重建模型,X线、CT三维重建技术由于受电离辐射在孕期使用的局限性被逐渐弃用,MRI三维重建和超声影像技术有望成为今后临床骨盆研究和预测头盆不称的热点。
(1)X线摄片测量骨盆
X线摄片是最早应用于骨盆测量的影像学技术,能提供手测所不能测量的重要径线值,使用X线摄片对女性骨盆测量的基本方法是对女性行X线骨盆前后位(评估骨盆入口、中骨盆及出口平面的横径),侧位(评估骨盆各平面前后径),甚至耻骨弓位的投影后再对其进行测量分析。凌教授团队利用X线骨盆摄片对骨盆狭窄类型进行了分析,发现骶骨翘度过小或过大时(<40°或≥50°)均不利于阴道分娩。虽然研究认为X线检查能够预测难产,协助分娩方式的选择,但有更多的研究不能确定或者说没有足够的证据支持在头位分娩时使用X线摄片骨盆测量与成功阴道分娩相关。X线骨盆摄片测量的精确度因角度等原因仍存在偏差,同时妊娠期辐射暴露潜在的风险仍存在争议,不建议在妊娠期常规开展X线检查。
(2)CT平扫测量骨盆
通过计算机三维断层技术研究发现,未孕妇女的耻骨弓角度、坐骨棘间径、产科结合径可预测难产。CT三维重建测量的准确性较X线骨盆测量、CT传统测量的准确性高,其敏感度为85%,特异度为85%。但因设备类型和技术不同,CT骨盆测量的剂量存在差异,同时对胎儿近、远期不良影响仍然存在争议。
(3)磁共振(MRI)检查测量骨盆
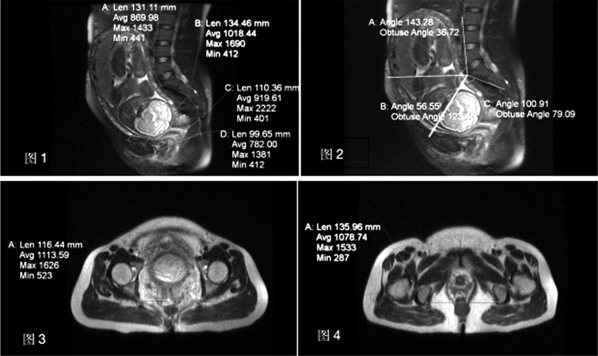
磁共振成像提供了优于CT的对比度分辨率,且是在无电离辐射情况下进行骨盆测量。在妊娠期间尤其是中晚孕期间,MRI能够克服胎头遮挡等进行成像,弥补了超声衰减的短处,是妊娠期骨盆检查的最佳方法。Zaretsky发现MRI测量的骨盆径线与难产密切相关,但准确预测较难,Hoffmann Janine提出棘突间径≥11 cm的患者在臀先露阴道分娩中具有较高的预测价值,并建议将真结合径的底限参考值设为11 cm(图2.26)。利用MRI三维重建能实现骨盆精确的三维测量,并指导分娩体位改变,有利于阴道分娩,但仍没有一种研究表明MRI能准确筛查出头盆不称或可能发生难产的孕妇,且因价格相对较贵,对设备及测量人员要求高,目前普及范围受到较大限制。
图2.26 MRI骨盆参数
图1:
A.CV(conjugata vera):耻骨联合上缘中点至骶岬前缘正中的距离(cm)
B.PW(pelvic width):耻骨联合后方表面与第三骶椎中部之间的矢状距离(cm)
C.SOD(sacral outlet diameter):耻骨联合下缘与骶尖之间的矢状距离(cm)
D.CPO(coccygeal pelvic outlet):尾骨尖到耻骨联合下缘的矢状距离(cm)
图2:
A.PAA(pelvic aperture angle):真结合径与第一骶椎腹侧线的夹角角度(°)
B.PIA(pelvic inlet angle):真结合径与尾腰椎结合处腹面线的夹角角度(°)
C.PI(pelvic inclination):真结合径与水平线之间的角度(°)
图3:
A.ISD(interspinous diameter):坐骨棘端点之间的距离(cm)
图4:
A.ITD(intertuberous diameter):坐骨结节末端(后缘)之间的距离(cm)
(4)超声在骨盆测量中的应用
随超声技术的发展,超声测量骨盆径线多有报道,但超声骨盆测量因成像干扰因素较多,设备和操作人员技术要求较高,未广泛应用。Mudrov(图2.27)等报道,综合应用经腹、经阴道和会阴超声进行骨盆测量,诊断狭窄骨盆的狭窄程度,其与Merz一样认为超声骨盆测量结果可与X线、CT和MRI骨盆测量类似。Yi Man Wah与Sarah Choi等也对超声检测骨盆径线进行了相关研究,认为孕早期使用超声测量骨盆入口径线的方法可靠,由经验丰富的操作者使用3D经会阴超声测量耻骨联合后角具有重复性。任炜等指出临产前超声测量孕妇骶耻外径及胎儿双顶径可作为产前头盆筛查的方法。
图2.27 超声检测骨盆径线
A.CV(conjugata vera):耻骨联合上缘中点至骶岬前缘正中的距离(cm)
B.PW(pelvic width):耻骨联合后方表面与第三骶椎中部之间的矢状距离(cm)
C.SOD(sacral outlet diameter):耻骨联合下缘与骶尖之间的矢状距离(cm)
D.CPO(coccygeal pelvic outlet):尾骨尖到耻骨联合下缘的矢状距离(cm)
近年来,有学者将Laborpro数字三维导航仪应用于产科骨盆测量及产程监测中,其结合了低频电磁空间定位技术与超声成像技术,3D重构头—盆图像,动态显示头—盆关系;有研究通过对分娩前孕妇坐骨棘间径的精确测量,结合B超测量双顶径值,认为其预测难产比单一双顶径值及坐骨棘间径更有优势。但该系统在检测骨盆各径线方面的研究较少,仍需进一步论证。
(董晓静 欧文君 罗小东)