



痔是常见病、多发病,任何年龄都可发病,但痔的患病率随着年龄的增加而升高,其中 35 ~ 59 岁人群患病率最高,儿童及青少年极少患痔病。但随着饮食结构及生活习惯的改变,痔的患病年龄有年轻化倾向。据 2015 年全国肛肠病流行学统计,我国 18 岁以上成人群体肛门疾病发病率为 50.1%,痔病患病率为 49.1%,高于我国高血压(27.9%)、糖尿病(10.9%)这类常见慢性疾病的患病率,也高于英(13% ~ 36%)、美(4.4%)等发达国家的痔病患病率。但中国肛肠疾病患者对疾病认知率仅有 48.1%,就诊率也只有28%,这使得中国痔病就诊患者的症状普遍比较严重,治疗难度也更大。
痔的病因及发病机制一直存在争议,包括对痔的定义的不同意见,这些争论来源于理论假设未得到临床解释及病理证据上的充分支持。以循证医学证据级别制定的痔病诊断及治疗指南,引用了目前普遍公认的痔病发病机制及病因学基础,但其本质仍在被不断揭示及验证中。
人类对痔的认识可追溯到 2000 多年前,在中国迄今所发现的古文献中,《山海经》最早明确提出“痔”的病名。在西方,Hippocrates对痔已有所描述,并认为痔是体液失衡、黏液阻滞、血液淤热所致。中医认为机体功能状况,即身体内部气血虚损、阴阳失调(内因)对痔病的发病起主要作用,外来因素通常在正气不足或机体阴阳平衡失调时,才起到致病作用。对痔本质的探讨至今已有近 300 年的历史,从最早的“柔软静脉团”到现代的“肛垫”理论,以及发现生活起居、工作环境、饮食结构等复杂的外在因素对痔发病的影响,使痔的病因学呈现多样化。
1.内痔的病因
(1)痔静脉曲张:痔静脉曲张是最早比较系统解释痔生成的病因学说,虽然这一观点仍受争议,但从痔病研究进程来看,静脉曲张学说持续了相当长的时间,直到现在还影响着临床医生对其他痔病学说的接受度。从解剖学上看,人类直立行走时,肛门处在躯干最低位置。由于地球重力作用,以及门静脉及其属支无静脉瓣,造成肛门直肠区域静脉系统血液回流受到影响,痔上、痔下静脉丛淤血扩张形成隆起的静脉团(图 2—1)。另外,至今尚未发现动物在自然状态下产生痔的表现,这一现象似乎可以佐证直立行走给人类带来“痔”的事实,也让人很难完全回避“痔静脉曲张”对痔形成的影响。
在一种现象的本质尚未被揭示之前,表象往往疑惑并主导着人们对本质的判断。回顾文献,1749 年,Morgangni提出任何可能引起痔静脉内压增高的因素均可引起痔静脉曲张而成痔。Gallen和Hippocrates发现痔内不连续的静脉扩张,并提出了静脉曲张学说。该学说认为痔是直肠黏膜下和肛管皮肤下痔静脉丛淤血、扩张和屈曲形成的柔软静脉团。在后续近 200 年间,众多学者及临床医生围绕这一学说做了大量研究,包括局部解剖、痔组织病理观察、血管造影等,直到近期的细胞因子生物学角度的研究。目前的研究结果认为,痔并不是曲张的静脉,痔与肛门直肠静脉曲张应被看成两种不同的疾病。把痔病与肛门直肠静脉曲张性疾病区分开,可能是该类研究最有临床意义的一个方面。
 
    图 2—1 痔静脉丛
1.直肠上静脉 2.髂内静脉 3.直肠下静脉 4.阴部内静脉 5.肛门静脉 6.痔外静脉丛7.痔内静脉丛 8.纵肌层 9.环肌层 10.黏膜 11.肛提肌
(2)肛垫动静脉吻合的异常扩张:便血是痔病的主要临床表现,而且便血呈鲜红色,这不得不考虑到痔组织内血管来源的问题。1963 年,Stelzner提出痔的本质是动脉的变化而不是静脉,直肠上动脉的小分支与伴随的静脉共同形成一种像阴茎海绵体一样的勃起组织网,称为“直肠海绵体”。1976 年日本宫崎治男观察到肛垫内有动脉、静脉吻合血管,称之为窦状静脉。他认为窦状静脉血管的肌层薄弱,弹性纤维少,胶原纤维增多,在排便等压力下,可造成窦状静脉扩张,从而形成痔,提出窦状静脉淤血是产生内痔的解剖学基础。王振军研究认为,窦样血管的破坏是痔形成的重要组织学基础,也是痔发生出血、水肿、肥大等临床表现的基础。在痔组织中,窦样血管本身的结构发生了明显破坏或退行性变化,包括管壁的结构、连续性和厚薄血管比例都有异常,而在相对正常肛垫组织中则没有这些表现。
动静脉吻合血管的异常扩张更好地解释了痔病便血、血色鲜红的原因,注意到痔与组织结构的改变,特别是与血管结构变化的关系。
(3)肛垫移位及支持组织破坏:临床将痔核好发部位称为母痔区,Miles在 1919 年提出,直肠上血管的 3 个终末支为母痔发生的解剖部位。1975 年Thomosn在伦敦大学攻读硕士学位期间,对 95 具尸体(10 名婴儿、3 名少年和 82 名成人)的全盆腔脏器肛门直肠标本进行了相关研究,并提出“血管性衬垫”的概念。根据他的理论,肛管处的黏膜下层呈一系列不连续的衬垫结构,分别位于左侧、右前、右后的位置,是包括扩张的血管、平滑肌(Treitz肌)和结缔组织的肛管黏膜及黏膜下组织,自婴儿出生时就存在。1984 年,Hass等在Thomson研究结果的基础上提出,痔是正常肛管组织垫,当支持性结缔组织系统退变、肛管稳定性破坏、肛垫失去固定下滑时,将导致静脉扩张、破坏、出血与血栓形成,才被视为痔病而需要接受治疗。因此,自 20 世纪 80 年代后,肛垫下移学说,即肛垫是痔发生的解剖基础,肛垫向下移位是痔的发病机制,逐渐被国内外学者所接受并形成共识,继而提出“保护肛垫组织”的治疗理念。
目前还有一些其他的学说来解释导致血管异常扩张的原因,如肛管狭窄学说、括约肌功能下降学说、痔静脉功能下降学说等,仍在探讨之中,这些学说主要解释了内痔的形成。在 2021 年的最新研究中,研究员将痔疮的发病原因概述为神经肌肉运动受损、平滑肌收缩和外基质组织受损。
2.外痔的病因
(1)血栓性外痔:主要因排便努责、剧烈活动或用力咳嗽等外力作用,使肛门周围皮下小静脉破裂,血液外渗至肛门皮下,凝结成血栓;或因肛周静脉丛发生炎症,局部充血,凝结为血栓。
(2)炎性外痔:为肛缘皮肤及皮下组织或皮赘,在反复摩擦、受损及其他炎性刺激下,发生局部充血、水肿而成。
(3)静脉曲张性外痔:为肛缘皮下静脉的扩张和充血所致。
(4)结缔组织性外痔:可发生在炎性外痔的炎症及水肿消退后,其增生的皮肤及结缔组织不能消退或吸收;血栓性外痔的血栓机化过程中,结缔组织形成;因肛门周围结缔组织向外延长或变性后纤维破裂、松弛,形成皮赘,故又可称为皮赘性外痔。
3.痔的其他诱发原因
(1)不良的排便习惯:一直以来,便秘都被认为与痔的形成有密切关系。1972 年,Burkitt提出低纤维饮食使肠道传输时间延长,从而导致粪便量减少,粪便坚硬难以排出,便秘导致静脉曲张引发痔病。Jahanson报告指出,纤维的摄入与痔的发病率没有关联,增加纤维的摄入也没有使痔的患病率下降。虽然痔静脉曲张学说备受争议,但便秘及用力排便肯定是诱发或加重痔病的常见诱因,这在临床中多有印证。有人就提出,肛管高压可致便秘,用力排便时影响痔静脉回流受阻而成痔。事实上,这种学说最终仍认为痔是静脉曲张所致。
另外,研究已证实便秘并不是痔的病因。Read发现长期用力排便的严重便秘者,痔的发病率并不高。但是,便秘及用力排便作为痔病的诱因依然重要,在肛垫下移的基础上,便秘可加重痔病的症状。有研究表明,与痔相关疾病的患者中,伴发腹泻病者居多数。Delco等也发现,有的腹泻患者痔的发病率可高达 41.5%。腹泻可能是导致痔病的危险因素,其机制尚不明确,可能是由于腹泻刺激引起括约肌长时间的频繁或持续收缩,使肛管静息压升高,影响肛垫静脉回流,造成肛垫充血性肥大,继而导致出血和脱垂。由于静脉丛在不同高度穿越多个肌层,排便时容易受到挤压,影响血液回流。如果这种机械刺激长时间存在,就逐渐形成了以小动脉为中心的静脉曲张性团块,最后增大形成痔。如蹲厕时间过长,痔静脉压升高而诱发痔疮;由于工作原因,人为控制排便,使粪便在直肠残留时间过长,粪便中水分吸收导致便秘,秘结大便压迫痔静脉,最终导致静脉曲张,若长期久坐不动,下部血流受阻,亦易曲张,均可成痔。
(2)饮食偏嗜:如长期饮酒、嗜食辛辣刺激肛管黏膜,使其充血而诱发痔。此外蛋白质类食物食用过多,水果、蔬菜、粗纤维类食物食用较少,造成了粪便中保水能力下降,阻碍大肠蠕动,造成便秘等症状,加之局部肠黏膜受压,极易充血而引发痔。
(3)妊娠和分娩因素:在妊娠和分娩时,由于子宫的压迫,可导致痔静脉淤血,动脉血流增加;增大的子宫压迫直肠可导致排便困难、生育时腹压明显升高,如原有便秘、痔病的孕妇可出现症状加重;妊娠激素可使血管扩张,易致静脉淤血。这些因素使经产妇患痔病的比率升高,多见有皮体外痔,原有痔病者,可引起痔的急性发作、嵌顿绞榨。
(4)遗传因素:痔病是否具有遗传性一直是个备受争议的问题,虽然我们在临床上可以看到,如果一个家庭中几代人都有痔病的患者,相对于家庭中单发的患者,痔的发病年龄早,病程长,病情严重,体征明显,但是没有基因学上的证据证明痔的遗传性。2021 年 4 月, Gut 上发表的一项研究首次证明,基于单核苷酸多态性数据,遗传因素在痔的发病原因中虽然微弱,但仍存在可预测的 5%的遗传力,该遗传因素容易导致平滑肌、上皮和结缔组织的功能发生障碍。另外,研究结果还表明,痔与消化道、神经情感和心血管领域的其他几种疾病存在一定的遗传相关性。随着后续研究的深入,将会有更详细的机制分析,并在此基础上开发相应的治疗方法,以及针对易感个体提供更有效的预防途径。
4.中医学对痔成因的解释 《黄帝内经》中的《素问·刺法论》“正气存内,邪不可干”是中医病因学的核心,也适用于痔的病因解释。风热肠燥、湿热下注、气滞血瘀、脾虚气陷是最常见的病机,相应的内服、外用方法应用也很广泛。
中医的整体观,不仅体现在全身气血、阴阳的协调统一,也体现在人体组织结构、功能、生理病理上的对应、互见及调控,如耳穴、上病下取、下病上治等。中医对痔的外治法很多,如在龈交穴(位于上唇系带与齿龈之移行处,为任脉、督脉、足阳明之脉交会穴)上实施割治法、刺络放血法或者穴位注射法等。胡佐鸿从达尔文医学角度探讨了龈交穴诊治痔的理论及可能的机制,他认为上唇系带与肛垫的相关性源于摄食与排泄原始口肛结构功能的统一性及原始咽与泄殖腔在发生中的系列同源性,刺激上唇系带龈交穴治疗痔病,是利用了演化留下的神经联系的痕迹。
从中医学角度,对痔的形成原因及机制有了另一种诠释方式,它被认为是整个机体某个环节的生理功能发生障碍后引发的一种局部病理表现。因此,在治疗上并不总是以痔为治疗目标,而是通过去除内、外环境中的致病因素,恢复机体的有序状态,而使痔体消除,或者改善症状。
通过病理研究发现,痔组织主要包括三种成分,即黏膜和肛门上皮、大量的血管和平滑肌纤维、丰富的结缔组织。
1.痔组织黏膜损害 与正常肛垫组织相比,发病的痔组织的黏膜层较薄,柱状上皮常脱落,可见黏膜破坏、糜烂,甚至溃疡;部分杯状细胞萎缩,腺体生长欠佳。
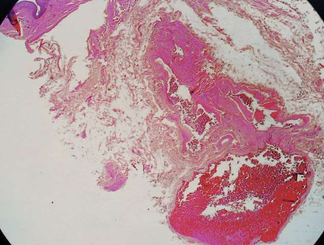
2.痔组织内的血管病变 相对正常肛垫组织,痔组织血管壁结构发育不良,管壁厚薄不均,管壁纤维不连续,部分管壁破坏,呈玻璃样变性、硬化,平滑肌缺失,代之以变性的胶原,或仅见内皮细胞,出血严重,可形成局限血肿,有的血管壁上可见大量新生的小血管,厚壁的窦状血管明显增加。痔的病理切片黏膜下见扩张血管,伴血栓形成和邻近出血。(HE染色×40)(图 2—2,图 2—3)
3.Trietz肌的病理改变 痔组织中的Trietz肌密度低,排列疏松,出现扭曲、断裂,排列十分紊乱;弹性纤维少,胶原纤维多,部分肌纤维组织失活。
4.痔组织弹性纤维的退行性变化
(1) Treitz肌的弹性纤维退行性变化:在痔组织中弹性纤维出现明显的破碎、融合、变性和断裂等形态学改变。痔组织的弹性纤维含量明显减少,密度也比较低。
 
    图 2—2 痔的病理切片(1)
 
    图 2—3 痔的病理切片(2)
(2)窦状血管内弹力板的变化:痔组织的弹力板常见断裂或不连续,或者结构模糊,呈碎片状。
5.痔组织内的出血和血栓性病变 痔组织内存在明显的出血,范围弥漫,固有层、黏膜肌下层、Trietz肌间、窦状血管周围均有大量红细胞。痔组织中血栓形成也比较多见,或新鲜,或陈旧,多呈机化后再通状态。
 
    图 2—4 痔的分类
1.内痔 2.混合痔 3.外痔
从解剖学上,以齿状线(简称齿线)为参照,将痔分为内痔、外痔、混合痔三类(图 2—4)。内痔发生在齿线以上,由黏膜下痔静脉丛扩大曲张而形成。外痔发生在齿线以下,由痔外静脉丛曲张或肛缘皮肤发炎、肥大、结缔组织增生或血栓淤滞而形成。混合痔由内痔向下发展或内外痔相连融为一体而形成,齿线沟可消失。
1.内痔的分型
(1)血管肿型:由毛细血管增生扩张而成,表面粗糙而柔软,色鲜红,痔体与周围黏膜分界较清楚,痔体多数较小,可见小出血点或浅表糜烂,易出血(图 2—5,图 2—6)。
 
    图 2—5 血管肿型内痔(1)
 
    图 2—6 血管肿型内痔(2)
(2)静脉瘤型:痔核内见有血栓和扩张的静脉瘤,痔体较大,可由多处融合为一体,隆起明显,黏膜较坚厚,色紫暗,不易出血,易受腹压变化影响,排便时隆起可增大,便后可缓解(图 2—7)。
(3)纤维肿型:结缔组织增生,可呈乳头状,表面黏膜较硬,呈灰白色,不易出血,易脱出(图 2—8)。
 
    图 2—7 静脉瘤型内痔
 
    图 2—8 纤维肿型内痔
2.外痔的分型
(1)血栓性外痔:在肛缘皮下呈圆形或近圆形隆起,好发于肛门两侧,胀痛明显(图 2—9)。
(2)炎性外痔:肛缘皮赘或皮肤皱襞因损伤或感染发生充血、水肿,触痛明显(图 2—10)。
 
    图 2—9 血栓性外痔
 
    图 2—10 炎性外痔
(3)静脉曲张性外痔:齿线以下痔外静脉丛曲张,在肛门缘形成的软块。如有炎症,痔体可增大,胀痛明显,手术中切开皮肤后见静脉团暴露(图 2—11 ~图 2—13)。
(4)结缔组织性外痔:由肛缘皱襞皮肤发炎、肥厚、结缔组织增生所致。多在肛门前、后中位置,有时亦可环绕肛门一圈(图 2—14,图 2—15)。
 
    图 2—11 静脉曲张性外痔伴水肿
 
    图 2—12 静脉曲张性外痔伴血栓
 
    图 2—13 暴露的静脉团
 
    图 2—14 结缔组织性外痔
 
    图 2—15 结缔组织性外痔伴增生
3.混合痔的分型 梁林江主张根据外痔的形态将混合痔进行分类,他认为,混合痔尤其是环状混合痔的分型与手术方式的选择有密切关系。
(1)静脉曲张型混合痔由齿线上下静脉屈曲且相连通而成(图 2—16)。
(2)皮赘型混合痔由肛缘皮赘部分与内痔部相连而成(图 2—17)。
 
    图 2—16 静脉曲张型混合痔
 
    图 2—17 皮赘型混合痔
对于痔这类良性疾病,如何确定保守治疗或手术治疗的界限,以及界定疾病的复杂性,涉及痔的临床分期。1975 年英国学者根据痔的便血、脱垂程度制定的Goligher分类法是目前国内外最为常用的一种内痔分期方法,它以内痔进展过程中症状的变化作为分期依据,能够反映病情加重的过程,但并不能全面体现疾病的复杂性,而疾病的复杂性与治疗后产生的并发症、后遗症及预后密切相关。
越来越多的肛肠专家提出对Goligher分类法的改进及修订,Nyström等提出了一种将重要的痔病伴随症状(疼痛、灼烧感、出血、渗漏和脱垂)纳入考虑的评估系统。Lunniss等基于解剖位置提出原发性痔(在肛垫的三个典型部位)和继发性痔(在肛门其他部位)的分类,基于痔核数量及相互间关系提出独立痔核或相互融合占据肛管环周痔核的分类,并根据症状描述为脱垂和非脱垂。2016 年印度结直肠外科医师协会关于痔的分类方案,增加了痔核的数量、占据肛管环周的比例、是否伴有血栓或坏疽的考虑。国内陈文平于 2020 年底建立了依据出血(bleeding)、脱垂(prolapse)、外痔(external hemorrhoids)、内痔大小(circumference)、肛管括约肌张力(tone)五个因素对痔病进行评估,并根据评估的综合结果对痔病进行分期的新方法,简称BPECT分期。李玉英团队提出以内痔、混合痔作为评估对象,选取痔的脱垂程度(degree of prolapse)、痔病的出血症状(bleeding of hemorrhoids)、痔核占据肛管环周的比例(the proportion of anal canal circumference occupied)、混合痔的外痔部分类型(types of external hemorrhoids if it is mixed hemorrhoids)共四个因素对内痔、混合痔进行评估,称为“四因素”评估方案。
我们认为,痔的症状决定疾病的严重程度,而痔的体征提示疾病的复杂性。既然痔分为内痔、外痔、混合痔,它的复杂性必然基于全部痔体的综合呈现。在做治疗决定时,既要考虑疾病对患者健康的损伤及威胁,以此决定治疗的迫切性,也要顾及治疗的难度及预后,凭此制定治疗策略。因此,对痔病病情的判断需将痔的症状与体征相结合,才能窥见痔病的全貌。
1.Goligher分期法
(1)Ⅰ期内痔排便时带血、滴血或喷射状出血,排粪后便血可自行停止,无痔脱出。
(2)Ⅱ期内痔常有便血,排便时有痔脱出,排粪后可自行回纳。
(3)Ⅲ期内痔偶有便血,排粪或久站咳嗽劳累、负累时有痔脱出,需用手回纳。
(4)Ⅳ期内痔偶有便血,痔持续脱出或还纳后易脱出,偶伴有感染、水肿、糜烂、坏死和剧烈疼痛。
2.2016 年印度结直肠外科医师协会关于痔的分类方案 见表 2—1。
3.BPECT分类方案 见表 2—2。
4.内痔与混合痔的“四因素”痔评估方案 见表 2—3。
表 2—1 《印度结直肠外科医师协会(ACRSI)痔的管理实践指南 2016》关于痔的分类方案
 
   表 2—2 BPECT评估内容
 
   表 2—3 内痔与混合痔的“四因素”痔评估方案
 
    注:主痔,指与患者痔病临床症状或体征直接相关,需要进行针对性治疗,甚至手术处理的痔核。痔核持续脱出于肛门外,指内痔长期脱垂至肛门外,肛门检查时可在肛门外见到齿状线。由痔导致的贫血,指因痔出血导致的贫血(临床需排除其他原因引起的贫血)。痔出血次数的算法,单独 1 次排粪时痔出血,或 7 日内虽有多次排粪时痔出血,但自行停止出血或经药物治疗后停止出血,均记为痔出血 1 次;如排粪时痔出血持续超过 7 日,记为第 2 次;如排粪时痔出血持续超过 14 日,记为近期持续出血。
1.内痔的症状和体征
(1)便血:是内痔的最主要症状。Ⅰ期内痔以便血为主,随着痔黏膜表面纤维化程度严重,便血反而减少。但以血管肿型为主的内痔,随着痔核增大,痔核内血管网日益丰富,痔核表面黏膜变薄,便血量将逐渐增加,甚至呈喷射状,若伴有脱出,由于括约肌的收缩作用,使痔核内压力增高,便血难以自止,每次出血量很大,日久可致贫血。在女性,月经前及行经中,内痔出血更易发作,可能与经期盆腔充血有关。亦有在食用辛辣刺激食物出现便血的,这可能由黏膜受刺激后充血所致。
(2)脱出:是内痔发展至中晚期的主要症状。痔核由脱出后可自行回纳发展至需手托纳,其过程可长可短,与患者的排便习惯有很大关系。其间也可因为突然的大便努责导致痔核脱出不能回纳,成为嵌顿性内痔。为避免排便后肛门清洗的不便及脱出物的不适,很多患者限制了长时间的外出,对患者的生活有很大影响。在老年人中,常见痔核连带直肠黏膜一起脱出肛外,对于此类病例需明确脱出组织性质及范围,与治疗方式的选择密切相关。(图 2—18 ~图 2—20)
(3)肛门坠胀:齿线区是肛门最敏感的区域,是排便运动的诱发区,还可以区别肠内容物的性质。齿线附近增大痔核的隆起,痔核表面的炎症,都可以刺激齿线区产生坠胀感、便意感。临床上有一部分患者以肛门坠胀为主诉,晨起减轻,午后加重,而没有便血、脱出的主症。此时,需与功能性肛门直肠痛相鉴别,若无明显相应体征,不可盲目手术,以免造成误诊误治。有的患者在痔疮手术后肛门坠胀感仍不能缓解,故在术前,医患双方对感觉异常类的症状要有充分沟通,以免患者对疗效不满意。
 
    图 2—18 直肠黏膜松弛堆积
 
    图 2—19 努责后,痔核连带直肠黏膜向下移行
 
    图 2—20 取出肛门镜后痔核黏膜一圈脱出肛外
(4)疼痛:单纯的内痔无疼痛,如痔核发生水肿嵌顿、感染、血栓、溃疡时,可以引起较剧烈的疼痛,甚至影响到患者的排便排尿。
(5)肛门溢液、潮湿、瘙痒:有少数患者以肛门溢液、潮湿或伴有瘙痒为就诊原因,多数因不能忍受而要求手术治疗。至Ⅲ期内痔时,肛门括约肌有所松弛,肠腔内分泌物可自肛内流出,或痔黏膜外翻黏液外溢,患者常诉内裤不洁。日久可形成肛门湿疹,瘙痒明显。
(6)肛门检查:指诊对内痔的判断不是很明确,但较大的内痔可感受到痔核的隆突感,肛镜检查是观察内痔最直接的方法,对内痔的分期分型、生长部位、牵涉范围都可以有较全面的判断。镜下可以见到齿线上方黏膜的隆起,大小不等,黏膜颜色可为鲜红或暗红,或灰白,有的黏膜表面有糜烂、出血。
(7)放射影像表现:内痔的组织结构包括黏膜层、黏膜下层、毛细血管网,及更深层次的基质结构,包括肌肉、结缔组织,其中含有血管结构(大部分为扩张的静脉),这部分结构在磁共振影像中呈现出黏膜层的透亮影(图 2—21黑箭头所指区域)。
2.外痔的症状和体征
(1)血栓性外痔:疼痛为第一主诉,导致患者行动不利,个别患者主诉肛口有异物感,坠胀不适,疼痛不是很明显。以肛缘突发肿块为体征,青紫色,有触痛,质硬,可移动。发病的第 2 ~ 3 日为疼痛高峰期,以后疼痛可逐渐减轻,但血栓的吸收较慢,快的 2 ~ 3 日,慢的达 10 日至 2 周,有的不能完全吸收而机化为包块(图 2—22),患者诉有异物感。期间可因皮肤溃烂,血栓排出,偶尔有感染者。
 
    图 2—21 磁共振下痔的表现
 
    图 2—22 剥离的血栓
(2)炎性外痔:肛门皮赘肿胀疼痛,行坐不便。肛门检查可见局部红肿,皮色光亮,触痛明显。1 周内为急性期,疼痛较剧烈,其后疼痛可逐渐缓解,但皮赘消退需 2 周左右。
(3)静脉曲张性外痔:一般无明显不适,患者常因便后肛口有柔软突出物来就诊,偶有肛门坠胀感。初起者肛门可无明显体征,病程长者可见肛门有柔软的半圆形隆起,努责后隆起明显。
(4)结缔组织性外痔:无明显不适感,患者常抱怨便后肛门难以擦拭干净,内裤不洁;或长时间行走后,肛口有异物夹持感。肛门检查可见肛缘有散在或呈半环状、环状的皮赘,形状不规则,质软。肛门前、后中有结缔组织性外痔的,可伴有肛裂。
3.混合痔的症状和体征 混合痔具有内痔和外痔的症状和体征,在表现上亦有偏重,或以内痔为主,或以外痔为重。
与痔相鉴别的常见疾病有肠道炎性疾病、肠道息肉、肠道肿瘤、直肠脱垂、肛周皮肤病等。近年来,结肠毛细血管扩张症成为不明原因下消化道出血,特别是老年患者不明原因下消化道出血的常见病因(图 2—24)。如果患者到肛肠科就诊,尤其是那些确实有痔核存在的患者,很容易被误认为痔疮出血。影像学检查有助于明确诊断,包括腹部X线检查、CT、肠系膜血管造影等。
 
    图 2—23 内镜下止血
遇到有痔疮伴便秘的患者大量直肠内出血,要考虑粪块性溃疡,由于存留粪块长时间直接压迫结肠或直肠,导致肠黏膜缺血坏死,形成局部溃疡出血。这类出血比较隐匿,来势凶险,需要得到临床足够重视(图 2—23)。
1.正确判断症状与体征的相关性 Marino曾提出:“不要在没有肛门体征的情况下治疗症状,也不要在没有症状的情况下治疗肛门体征。”前半句话涉及痔病的鉴别诊断,在临床上确实应该引起重视。如常见于功能性疾病的功能性肛门直肠痛,患者的各种不适主诉会非常多,这种不适的感觉可以让患者达到抑郁的程度,甚至自杀,可以伴随或不伴随肛门体征。医生如果不能客观地评价症状与体征的相关性,盲目手术,将会导致更严重的后果。后半句话是关于手术指征的界定,提出了不能任意手术或不必要地扩大手术范围,突出了保护肛门功能的重要性。这一点在环状混合痔的治疗中体现得最为明显。从患者的角度来看,他们总是希望一次治疗就能完全清除病灶,不能理解为什么要分次手术,或者选择病灶治疗。此时,医生要正确判断引起主要症状的痔核部位,可能会引发怎样的症状,治疗时才能重点突出,主次分明,既能将主要病灶清除,又能减少损伤,在获得最佳治疗效果的同时,最大限度地保护肛门功能。
所以,梁林江认为治疗痔病,在充分了解患者治疗意愿的基础上,一定要严格规范手术指征,可保守治疗的就不手术,治疗有突出症状的体征,以消除症状为主要目的。
2.选择最适宜的治疗方法 治疗时一般都先采用保守的方法,通过内服或外用及其他非手术疗法,达到缓解症状的目的。尤其是那些从未接受过正规治疗,没有明确的手术指征的患者,更应该先用保守治疗。比如便血,即使患者有痔核存在,也不一定需要直接针对痔进行治疗。换而言之,治疗应针对出血的原因。
图2—24 中,该患者为 86 岁女性,反复便血 3 个月,以排便时滴血、喷血为主要表现,肛门无脱出,无疼痛,肛门检查见痔核轻度隆突,未见明显充血,但在直肠肛管交界处黏膜充血明显,在该区域予注射治疗,便血止。
 
    图 2—24 典型病例
若患者便秘,可通过适当的饮食调整、排便调节、缓泻剂治疗等措施进行干预,排便改善,便血自止。当有明确的手术指征时,则可尽早手术,以减轻患者的痛苦。各种手术方式都有各自的适应证和禁忌证,各有优缺点,要根据不同的症状及体征,选择最适宜的手术方法。目前围绕痔的治疗方法,主要包括针对痔体治疗的痔切除术,及保留肛垫的痔上黏膜切除术,如痔上黏膜切除吻合术(procedure for prolapsing hemorrhoids, PPH)、选择性痔上黏膜切除吻合术(tissue-selecting therapy stapler, TST),以及套扎(弹力线套扎术)、注射(软化剂注射术)、冷冻等器械治疗。治疗方法越多,对临床医师治疗经验及技术的要求就越高,因为方法的选择及效果的实现,都需要医生来完成。在这个过程中,各类诊疗指南可以作为指导,但医生的决策仍然是关键,因此,统一行业内治疗原则非常重要。
梁林江认为,痔病是良性疾病,对于良性疾病的治疗,最基本的原则就是不能给患者造成不必要的伤害,增加不必要的痛苦。无症状的痔对人体健康没有明显影响,所以我们的治疗也就应该针对有症状的痔体,锁定治疗边界。医生不要为了炫技而过度手术,或者扩大手术范围,将原本简单的治疗复杂化,使患者承受附加的痛苦。比如,部分经历过PPH治疗的患者会产生肛门坠胀疼痛感,严重者可持续数年,影响正常生活,甚至产生焦虑、抑郁的情绪。不可否认,因为我们对自己的身体结构、功能及其相互间影响的结果还没有透彻的了解,手术总有并发症、后遗症。正因为如此,医生在选择治疗方式时更应该慎重,避免掺杂其他社会因素的影响。图片中的患者10 年前接受了PPH治疗,出现肛门持续疼痛,肛门指诊可以触摸到后中齿线黏膜下的残钉,有触痛,由此长期炎症刺激导致多发肛乳头肥大,手术将残钉取出后,疼痛感即解除(图 2—25 ~图 2—28)。
另外,人是一个整体,患者经历了一次局部手术,其结果会对全身造成怎样的影响,目前的科学尚无法完全预判。最佳的远期疗效是检验手术成功与否的金标准,而这个疗效里,不仅是症状消除,还应该包括功能、感觉的最小损失或者恢复,以及不产生与手术相关的其他障碍,我们对于这个终极目标的追求一直在路上。
 
    图 2—25 黑色箭头所指为残钉在CT中的显影
 
    图 2—26 慢性炎症造成多发性肛乳头肥大
 
    图 2—27 手术取下的残钉
 
    图 2—28 手术切除多发性肛乳头肥大
1.细辨病症,不盲目手术 梁林江认为,有些病家虽有痔疾,但其肛门不适感并非痔疾所致,倘若不明确病因而盲目手术,恐难得显效,平生医患纠纷。故辨病识疾,果敢决策,乃上医所必备。
2.设计最佳手术路线 对于病情复杂,痔核丛生者,这点尤为重要。梁林江在术前对每一位患者都仔细检查,默想手术路线,趋利避害,选择最佳方案,对预后有充分估计,方可进行手术治疗。
3.严格把握手术适应证 痔的手术治疗方法多样,可以单种或多种治疗方式结合运用,但必须严格掌握手术适应证,才能达到最佳的治疗效果。例如伴有直肠黏膜松弛的,可配合套扎治疗,伴有弥漫性黏膜充血的,可结合注射疗法。
4.针对主要病灶,不过度手术 梁林江认为,肛门皮肤、黏膜不及方寸之间,多留一分便为病家多留一分好处。医者在选择病灶上要稳准,在手术方法上要精细,方可做到减少手术创伤,减轻病家术后不适,缩短疗程,又有最佳的远期疗效,这是医家不断修进之处。他针对静脉曲张型环状混合痔采用分段分离外剥内扎术,皮赘型环状混合痔采用分段分离外切内扎术,都是为保留肛门正常组织设计的手术方案,能很好地保护肛门外形及功能。
5.注重细节,防微杜渐 梁林江强调修剪外痔需要有肛门整体观,要顺着皮肤纹理进行修剪,即使在牵拉时也要保持纹理的正常走向。修剪时举重若轻,控制修剪层面深度,尽量避免侵犯皮下肌层。对于环状混合痔的患者,在术后每周行一次肛指检查,以防止创面粘连引发肛门狭窄。
6.嵌顿痔手术时间的选择 过去认为嵌顿痔不宜立即手术,应当等待嵌顿痔核炎症消退后方可手术治疗,否则有感染之虞,因此患者要忍受长时间的痛苦。梁林江认为,嵌顿痔核的肿痛非感染性炎症所致,而是局部淋巴回流受阻的结果。这时采用手术方法解除痔核绞榨,改善局部循环及肿胀,患者疼痛可立即缓解。到目前为止,嵌顿痔手术并未发现术后感染、肛门功能受损等不良后果。
7.是否必须保留黏膜桥 以往一直认为,在环状混合痔手术中,必须保留足够的黏膜桥和皮桥,否则会出现肛管狭窄的后遗症。但在环状混合痔中,尤其是内痔黏膜一圈相连,分界不清,又全部脱出肛外的,要进行有效的治疗,必须将脱出的痔核全部扎除,这时很难做到保留黏膜桥。
梁林江在临床实践中发现,肛管皮桥必须留,而且尽可能多留。但在权衡最佳疗效与保留黏膜桥的必要性之间的关系时,仍以疗效为重,不十分强调保留黏膜桥。当然,这也是针对痔核沿直肠纵径方向上跨度较小,即纵径范围在齿线上下 1 cm之内者。若痔核纵径过长,造成黏膜缺损过多,也有引起肛管狭窄之虞。术后 2 周内的指诊可以尽早发现肛管狭窄迹象,及时采用手法或器械扩肛治疗,可防止肛管狭窄的不良后果。