购买
下载掌阅APP,畅读海量书库
立即打开
畅读海量书库
扫码下载掌阅APP

激光进行窝沟封闭的适应证与禁忌证

1.适应证

与传统方法进行窝沟封闭的适应证一致,更加适合于低龄儿童及不宜隔湿的牙位。

2.禁忌证

牙面尚未完全萌出,不能有效隔湿。

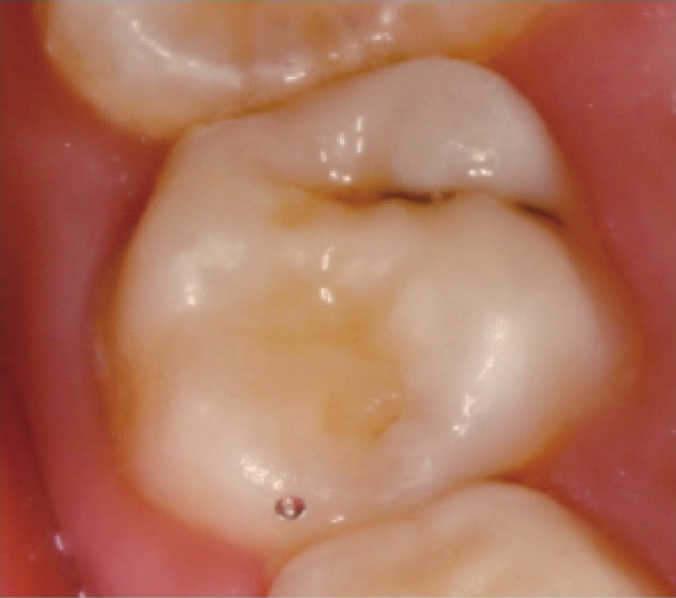
需要封闭的窝沟已经发生龋坏(图2-2)。

图2-2 窝沟已经发生龋坏的恒磨牙 L9QOUQiQGcUpqewL+QzmJ7tkyacI9f171hMMe5QPgXFSlXBfARH9KiTkNELJvqF4

点击中间区域
呼出菜单
上一章
目录
下一章
×