购买
下载掌阅APP,畅读海量书库
立即打开
畅读海量书库
扫码下载掌阅APP

概述

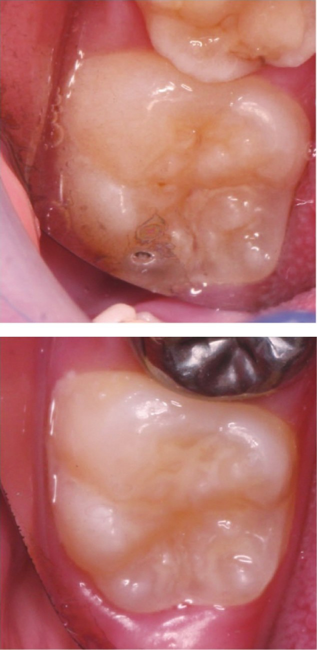
窝沟封闭(Pit and Fissure Sealant):应用某种材料于龋易感的咬合面点隙和窝沟,形成一个微机械粘接保护层,切断致龋菌的营养来源,达到防龋的效果。窝沟封闭是预防窝沟龋最有效的方法(图2-1)。

图2-1 窝沟封闭前(上)后(下) QxfBddHU3NFrt84rrvvpLGc6Oa3CD0hEgSy0CjJiEG2JosaMbaD82Jz5yeZHeWq6

点击中间区域
呼出菜单
上一章
目录
下一章
×