



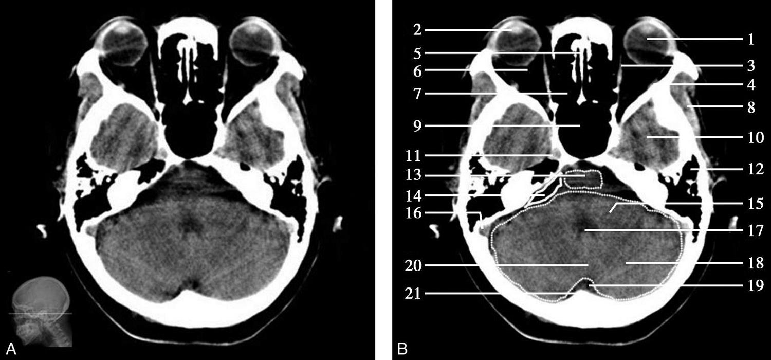
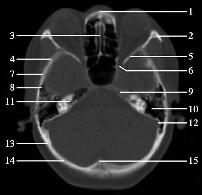
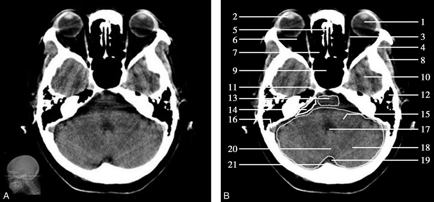
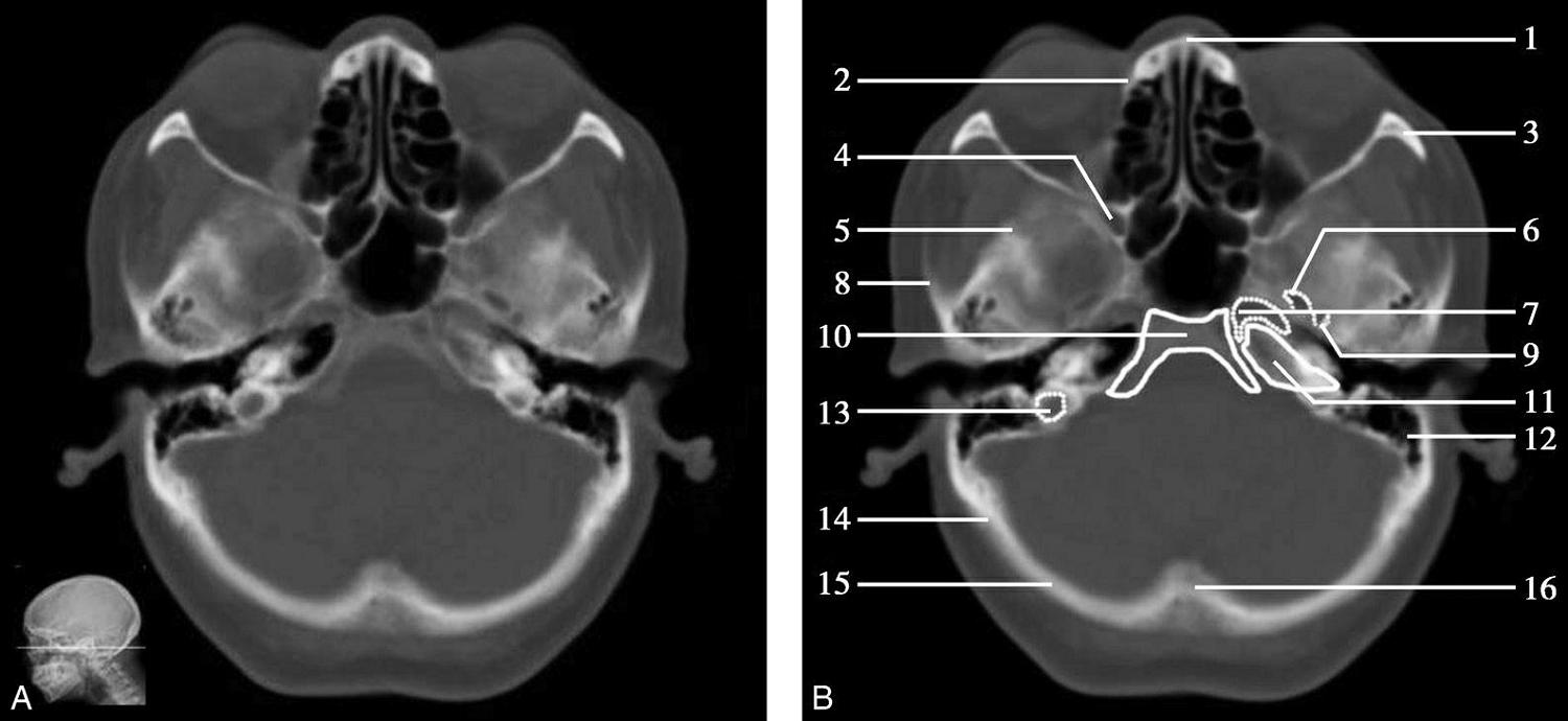
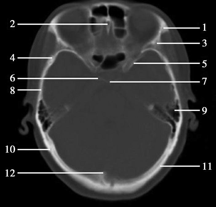
重要结构:卵圆孔、棘孔、破裂孔、斜坡、颞骨岩部、颈静脉孔(图1-2-1、图1-2-2)。
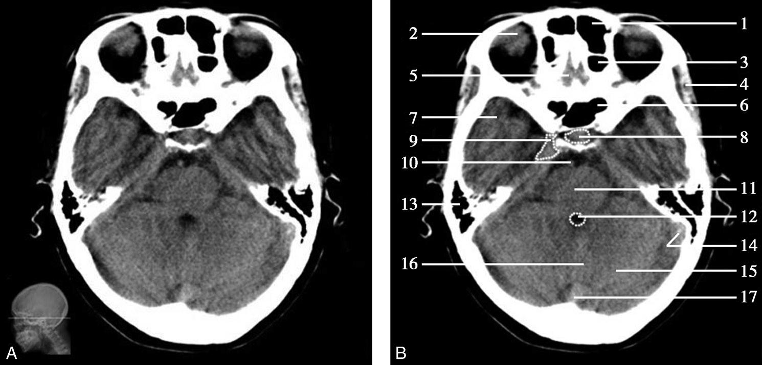
图1-2-1 颅底层面
A.横断面;B.横断面标注
1.晶状体;2.筛窦;3.颞肌;4.中颅窝底;5.外耳道;6.延髓;7.乙状窦;8.小脑半球;9.眼球;10.眼眶;11.上颌窦;12.蝶窦;13.乳突;14.耳郭;15.小脑蚓部;16.枕内隆凸
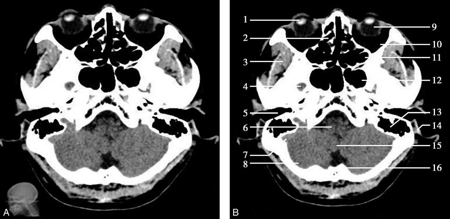
图1-2-2 颅底层面(骨窗)
A.横断面;B.横断面标注
1.鼻骨;2.筛窦纸板;3.颧骨眶突;4.翼腭窝;5.蝶骨大翼;6.卵圆孔;7.破裂孔;8.颞骨颧突;9.棘孔;10.斜坡;11.颞骨岩部;12.乳突;13.颈静脉孔;14.枕乳突缝;15.枕骨;16.枕内隆凸
层面前部呈开口向前的“V”字形,正中为鼻中隔,向两侧依次为筛窦和眼眶,眼眶内前部为眼球,后部为眶脂体。翼腭窝位于眼眶后部,窝内含有脂肪并有上颌神经通过。层面中部为蝶骨体,蝶骨体中部可见含气蝶窦,蝶窦后方为枕骨基底部,两者呈前后关系,其上面构成斜坡。蝶窦两侧为蝶骨大翼,其后外侧缘处由前向后可见卵圆孔和棘孔,分别有下颌神经和脑膜中动脉通过。斜坡外侧、岩骨尖前方为破裂孔。蝶骨大翼与眶外侧壁的颧骨借颧弓相连,颧弓和蝶骨大翼之间有咬肌及颞肌。层面中部外侧为外耳道。颞骨岩部呈“八”字形,相互之间借破裂孔软骨、蝶岩软骨结合和岩枕软骨结合连接。岩部后外侧的乳突部内可见乳突小房,乳突部与枕骨相接。岩骨后部可见颈静脉孔,内有颈内静脉、舌咽神经、迷走神经和副神经通过。层面后部为颅后窝,其内可见延髓,延髓前方为延髓前池,内有椎动脉,后外侧为小脑半球下部,后方为第四脑室、小脑扁桃体及小脑蚓部。
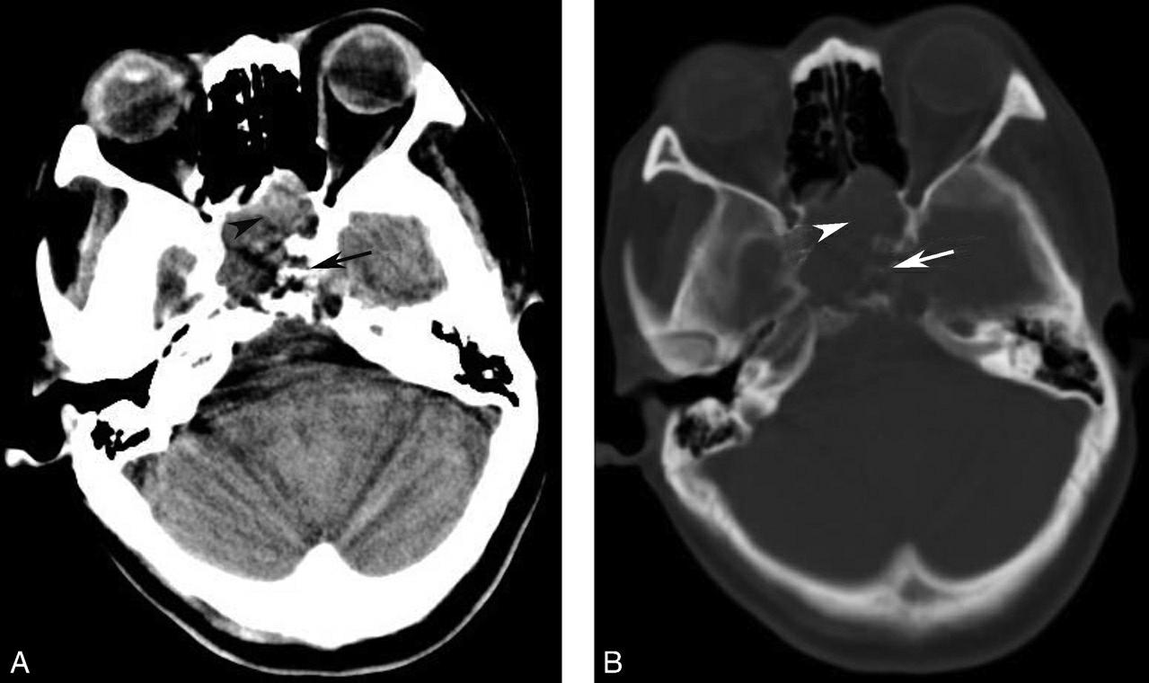
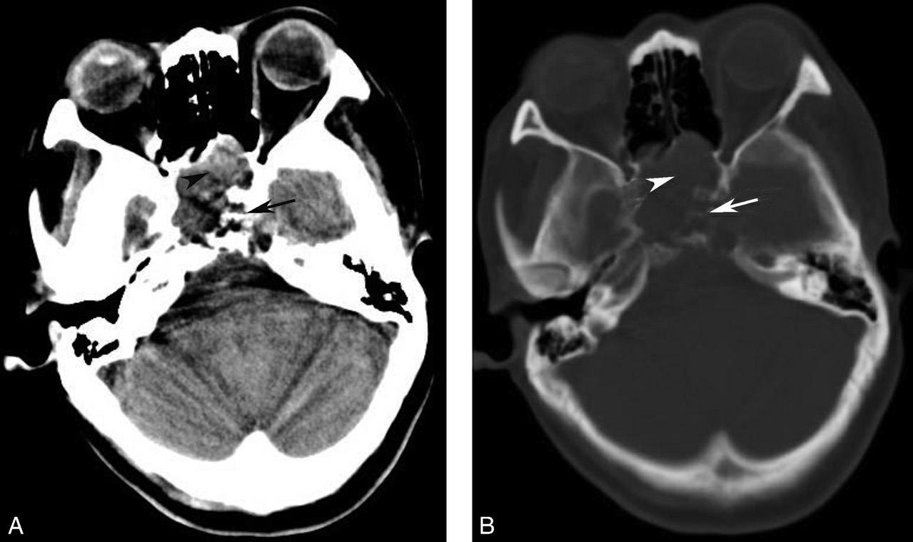
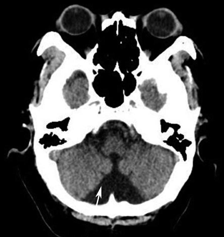
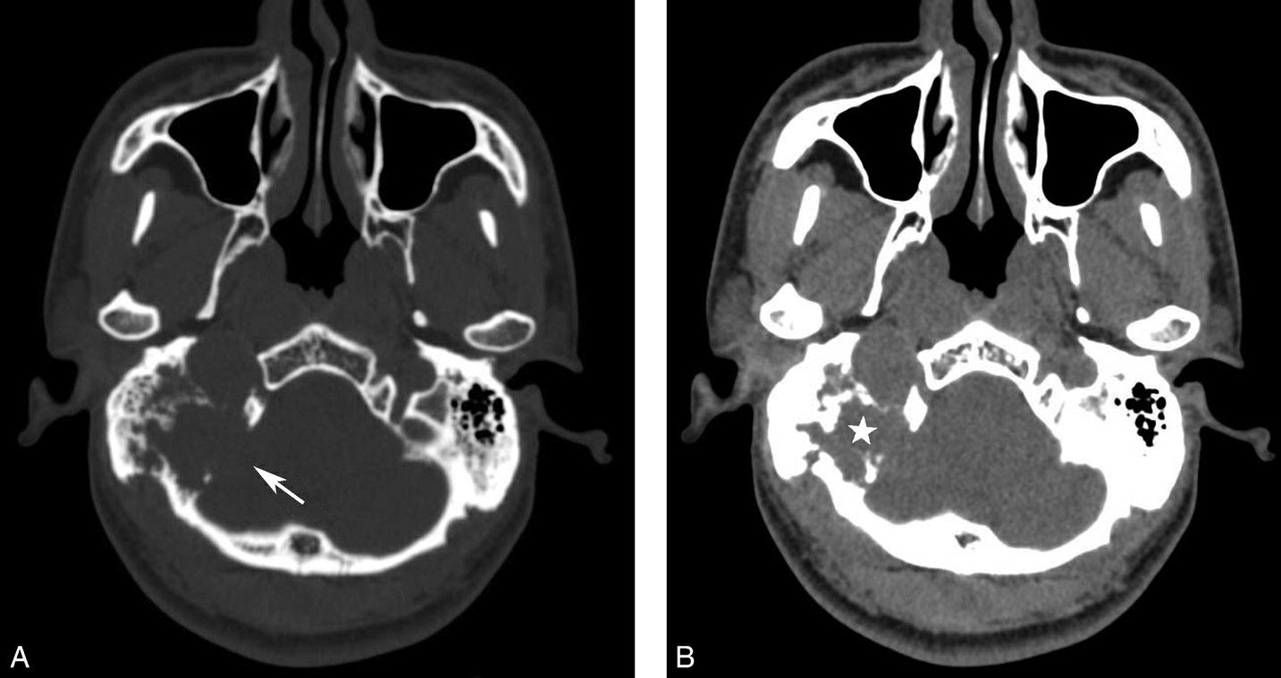
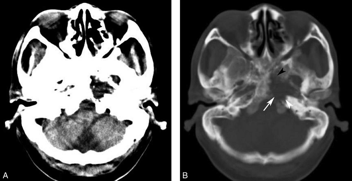
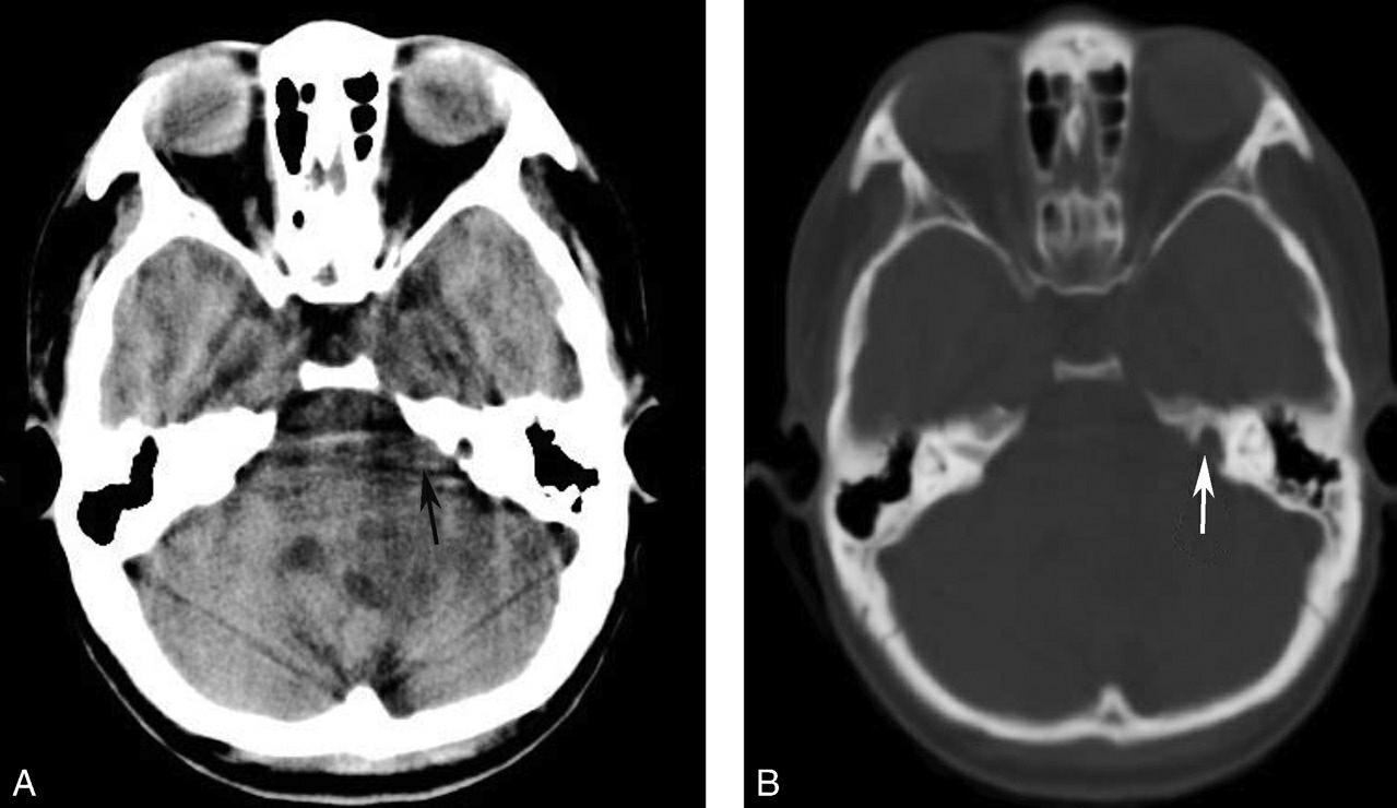
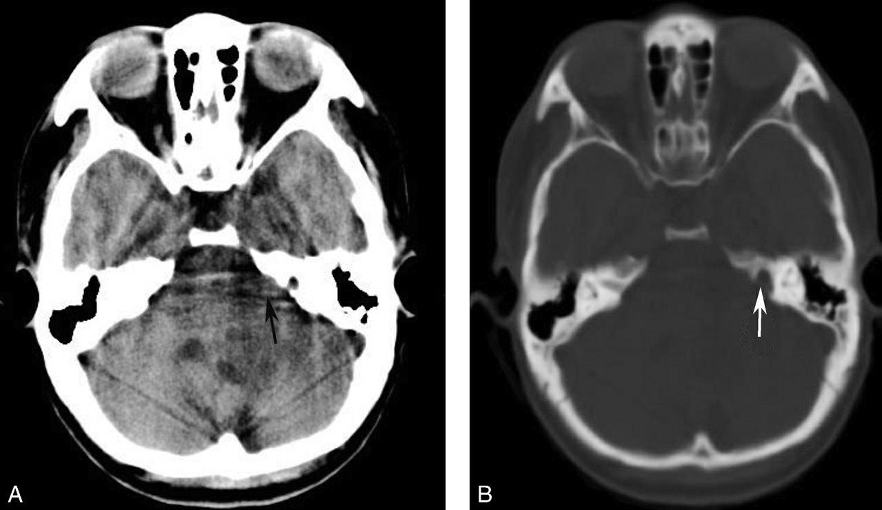
破裂孔、卵圆孔、棘孔及斜坡等均为重要的解剖结构,临床常见疾病如鼻咽癌常侵犯上述结构(图1-2-3)。颈静脉孔区较常见的肿瘤为颈静脉球瘤,常伴有颈静脉孔及其邻近骨质的破坏(图1-2-4)。
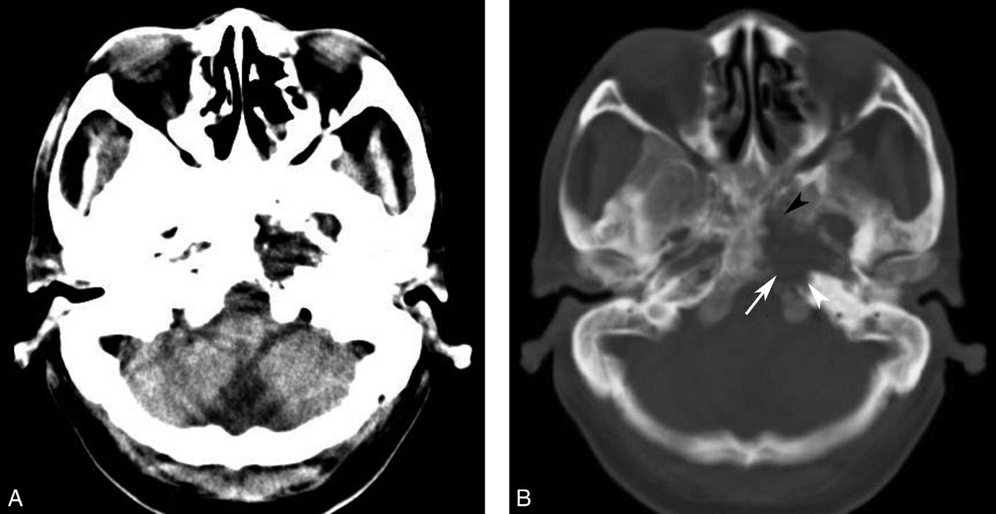
图1-2-3 鼻咽癌颅底骨质破坏
A.横断面;B.横断面(骨窗)
骨窗示左侧岩尖、斜坡、左侧蝶骨大翼骨质破坏、受侵(白箭),肿瘤经破裂孔侵入颅内(黑箭头)
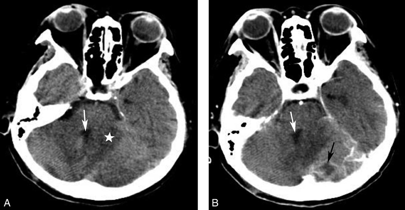
图1-2-4 右侧颈静脉球瘤
A.横断面(骨窗);B.横断面
右侧颈静脉孔区不规则骨质破坏(箭),局部见软组织肿块(☆)
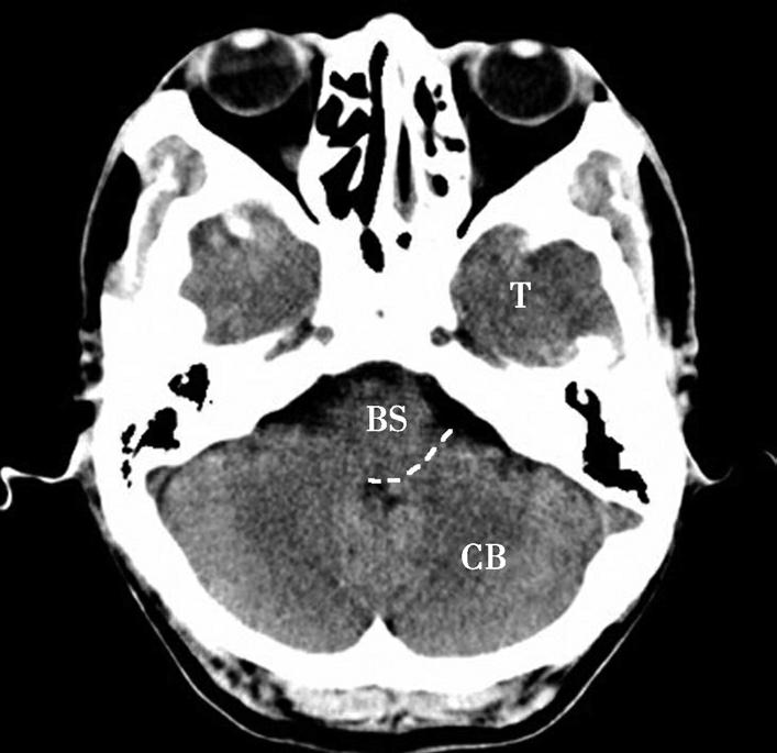
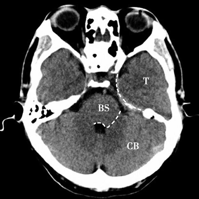
重要结构:脑桥小脑角池、脑桥、小脑、颞骨岩部尖(图1-2-5~图1-2-7)。
图1-2-5 蝶窦上部层面
A.横断面;B.横断面标注
1.眼球;2.晶状体;3.内直肌;4.外直肌;5.鼻中隔;6.视神经;7.筛窦;8.颞肌;9.蝶窦;10.颞叶;11.颈内动脉;12.乳突;13.脑桥;14.脑桥小脑角池;15.桥臂;16.乙状窦;17.第四脑室;18.小脑半球;19.枕大池;20.小脑蚓部;21.枕内隆凸
图1-2-6 蝶窦上部层面(骨窗)
1.鼻骨;2.额骨眶突;3.鼻中隔;4.蝶鳞缝;5.蝶骨小翼;6.眶上裂;7.颞骨鳞部;8.乳突;9.颞骨岩部尖;10.鼓窦;11.内听道;12.乙状窦;13.枕乳突缝;14.枕骨;15.枕内隆凸
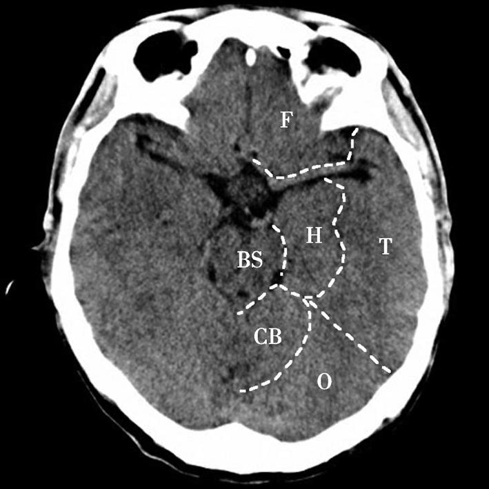
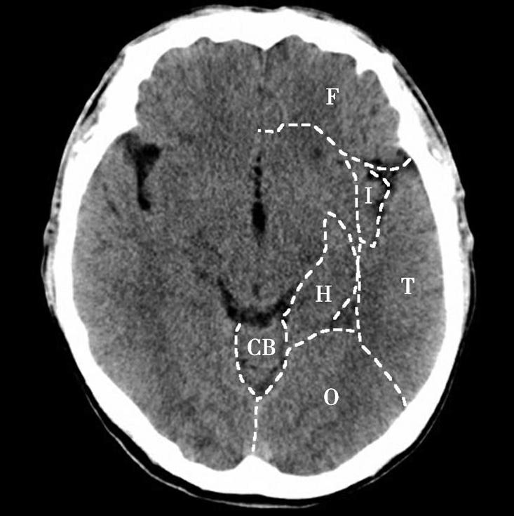
图1-2-7 脑叶划分示意图
CB.小脑;BS.脑干;T.颞叶
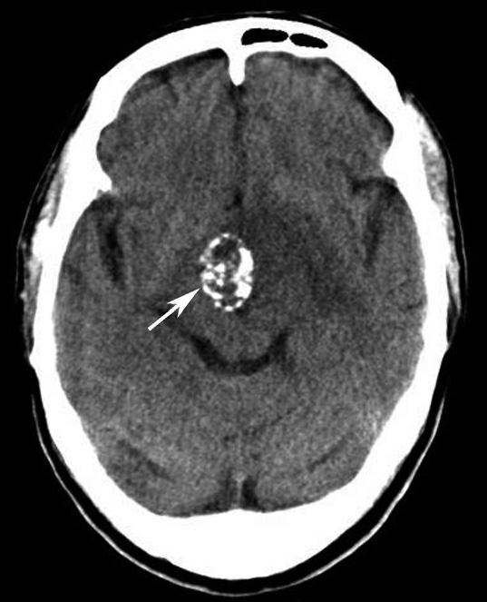
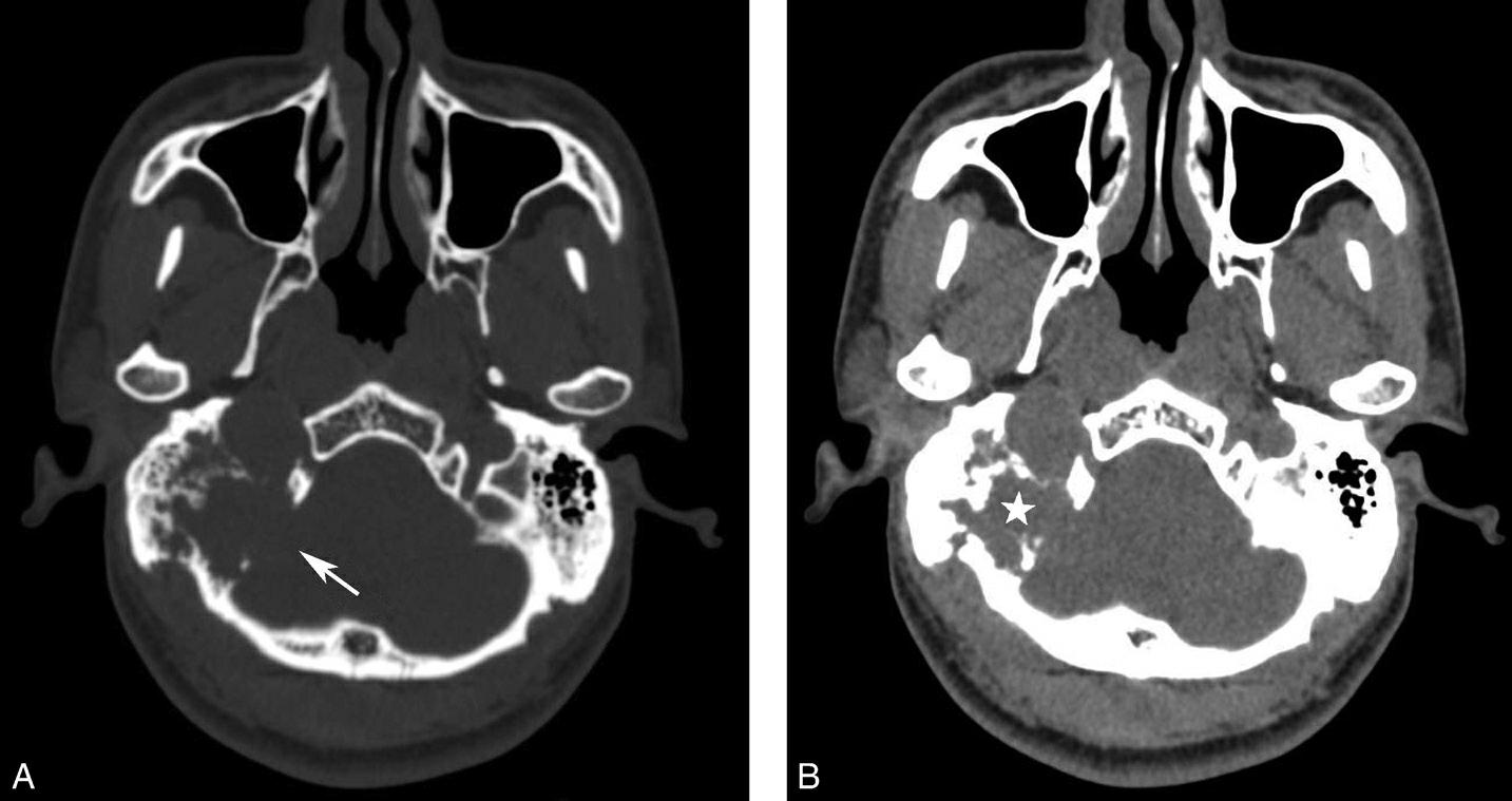
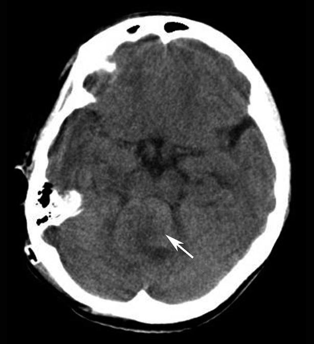
蝶骨体占据层面中部,内部可见蝶窦,中间有骨性分隔。蝶骨体前方正中为鼻中隔,鼻中隔两侧为蜂窝状含气骨性腔隙,即筛窦,筛窦前方为鼻骨。筛窦两侧可见两侧对称的圆形眼球断面位于眼眶内,眼球壁呈厚薄均匀的环状,称为眼环。玻璃体位于眼环内呈均匀低密度影,晶状体位于玻璃体前方,呈双凸透镜状高密度影,眼球后方为锥体形的眶脂体,其内正中可见视神经通行,眶内侧壁与筛窦间隔以菲薄的纸板,眶外侧壁由额骨眶突和蝶骨大翼构成,内、外直肌紧贴眶壁走向眶尖,视神经管位于眶尖。位于蝶窦两侧的有颞叶、颞骨鳞部及颞骨外侧的颞肌。蝶窦后方为斜坡,斜坡后外侧为颞骨岩部尖,后外方为乳突,其内可见乳突小房呈蜂窝状,岩部的内后缘可见两侧对称的内听道,其内第Ⅶ、Ⅷ对脑神经CT上无法分辨,听神经瘤常伴有内听道的扩大(图1-2-8)。内听道后外方的骨性空腔为中耳鼓室。枕骨斜坡及岩骨后方为颅后窝,脑桥位于其前部,脑桥后方可见第四脑室,其后方为小脑蚓部。小脑半球以小脑中脚与脑桥相连,脑桥与斜坡之间为桥前池,其向两侧延伸的部分呈三角形,两侧对称,位于脑桥、小脑中脚及岩骨之间,称为脑桥小脑角池。位于脑桥小脑角池的常见病变有听神经瘤、三叉神经瘤、脑膜瘤和胆脂瘤等(图1-2-9)。
图1-2-8 右侧听神经瘤
A.颅脑CT增强示右侧脑桥小脑三角区肿瘤明显不均匀性强化(箭);B.骨窗示右侧内听道明显扩大(箭)
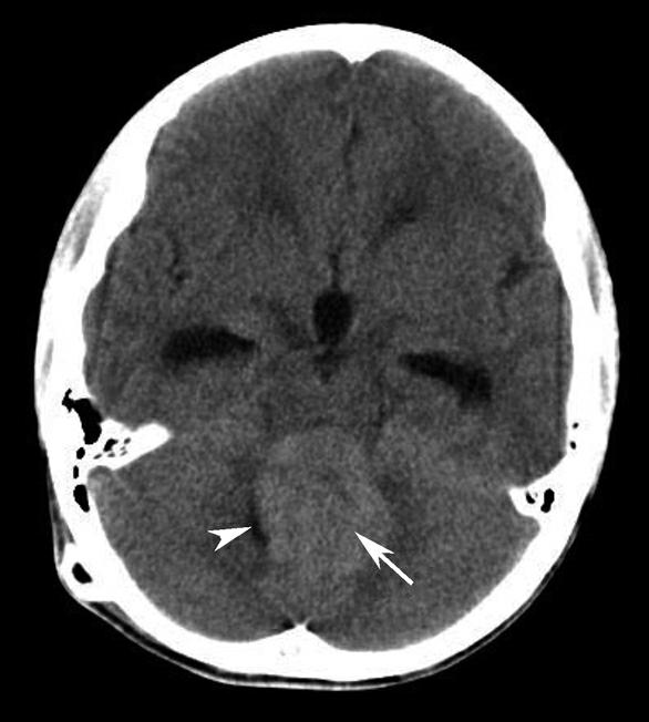
图1-2-9 左侧脑桥小脑角胆脂瘤
CT平扫示两侧脑桥小脑角池不对称,左侧扩大,可见低密度影,脑桥受压变形
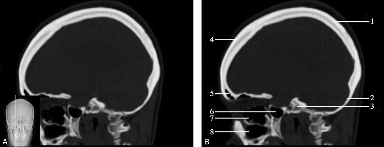
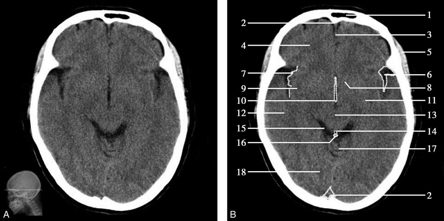
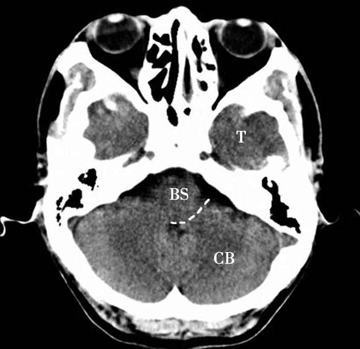
重要结构:垂体、海绵窦和第四脑室(图1-2-10~图1-2-12)。
图1-2-10 蝶鞍层面
A.横断面;B.横断面标注
1.额窦;2.眼球;3.筛窦;4.颞肌;5.额底;6.蝶窦;7.颞叶;8.垂体;9.海绵窦;10.基底动脉;11.脑桥;12.第四脑室;13.乳突;14.乙状窦;15.小脑半球;16.小脑蚓部;17.窦汇
图1-2-11 蝶鞍层面(骨窗)
1.额骨眶突;2.鸡冠;3.蝶骨大翼;4.蝶鳞缝;5.蝶骨小翼;6.后床突;7.鞍背;8.颞骨鳞部;9.乳突;10.枕乳突缝;11.枕骨;12.枕内隆凸
图1-2-12 脑叶划分示意图
CB.小脑;BS.脑干;T.颞叶
层面前部为额骨,额骨中部可见横行的含气腔隙为额窦,中间有骨板分隔,两侧额窦窦腔大小可不一致。额窦外侧为尖朝向后内的锥形眼眶,其内前部为眼球,眼球后方为眶脂体。两眼眶之间正中为鸡冠,其两侧为前颅窝底及其内的额叶底部断面,再外侧为筛窦。前颅窝底的后方为蝶骨体,其内中部可见蝶窦,蝶窦后外侧为蝶骨小翼,后方为前床突,左右前床突之间为鞍结节,鞍结节与鞍背之间为垂体窝,内有脑垂体,后床突居鞍背两端。
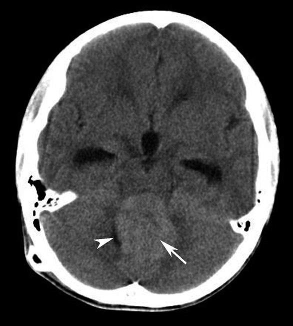
蝶鞍两侧为海绵窦,其内包含颈内动脉及第Ⅲ~Ⅵ对脑神经。海绵窦的密度升高或体积增大常提示病变存在。海绵窦外侧为颞叶,两者之间隔以海绵窦外侧壁。鞍背后方为桥前池及其后方的脑桥,桥前池内可见基底动脉断面,呈圆形稍高密度影。层面中部两侧为颞骨乳突部,其内气化的骨性腔隙为乳突气房。脑桥后方为第四脑室,呈半圆形或新月形,小脑半球的病变(如肿瘤、炎症、出血等)常压迫第四脑室,导致其变形甚至闭塞(图1-2-13)。两侧小脑半球间为小脑蚓部。小脑半球与颞骨乳突部间可见乙状窦。小脑蚓部后方为直窦与上矢状窦汇入窦汇处,窦汇两侧为横窦。静脉窦血栓时可见上述静脉窦增宽、密度明显升高(图1-2-14)。
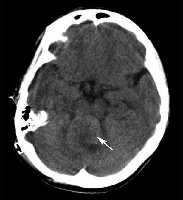
图1-2-13 第四脑室变形(小脑转移瘤)
A.第四脑室受压变形右移(白箭),提示左侧小脑半球病变;B.左侧小脑半球环形强化结节(黑箭),为瘤体,其周围伴有低密度水肿区
图1-2-14 静脉窦增宽、密度升高(静脉窦血栓)
男,47岁,头痛2周,意识模糊2天,无头颅外伤史。A.CT平扫示双侧横窦增宽、密度增高(黑箭),提示静脉窦血栓;B.MRI T 1 WI提示双侧乙状窦、横窦血栓形成(白箭)
重要结构:鞍上池、视交叉、中脑、环池、外侧裂池(图1-2-15~图1-2-17)。
图1-2-15 鞍上池层面
A.横断面;B.横断面标注
1.额窦;2.鸡冠;3.额叶;4.颞肌;5.大脑中动脉;6.外侧裂池;7.视交叉;8.鞍上池;9.乳头体;10.侧脑室颞角;11.海马;12.脚间池;13.中脑;14.环池;15.四叠体池;16.颞叶;17.小脑蚓部;18.直窦;19.枕叶
图1-2-16 鞍上池层面(骨窗)
1.额骨;2.鸡冠;3.蝶骨大翼;4.蝶鳞缝;5.颞骨;6.顶颞缝;7.顶枕缝;8.枕骨
图1-2-17 脑叶划分示意图
CB.小脑;BS.脑干;T.颞叶;F.额叶;O.枕叶;H.海马回及海马结构
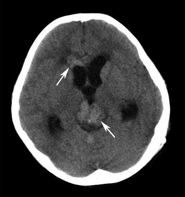
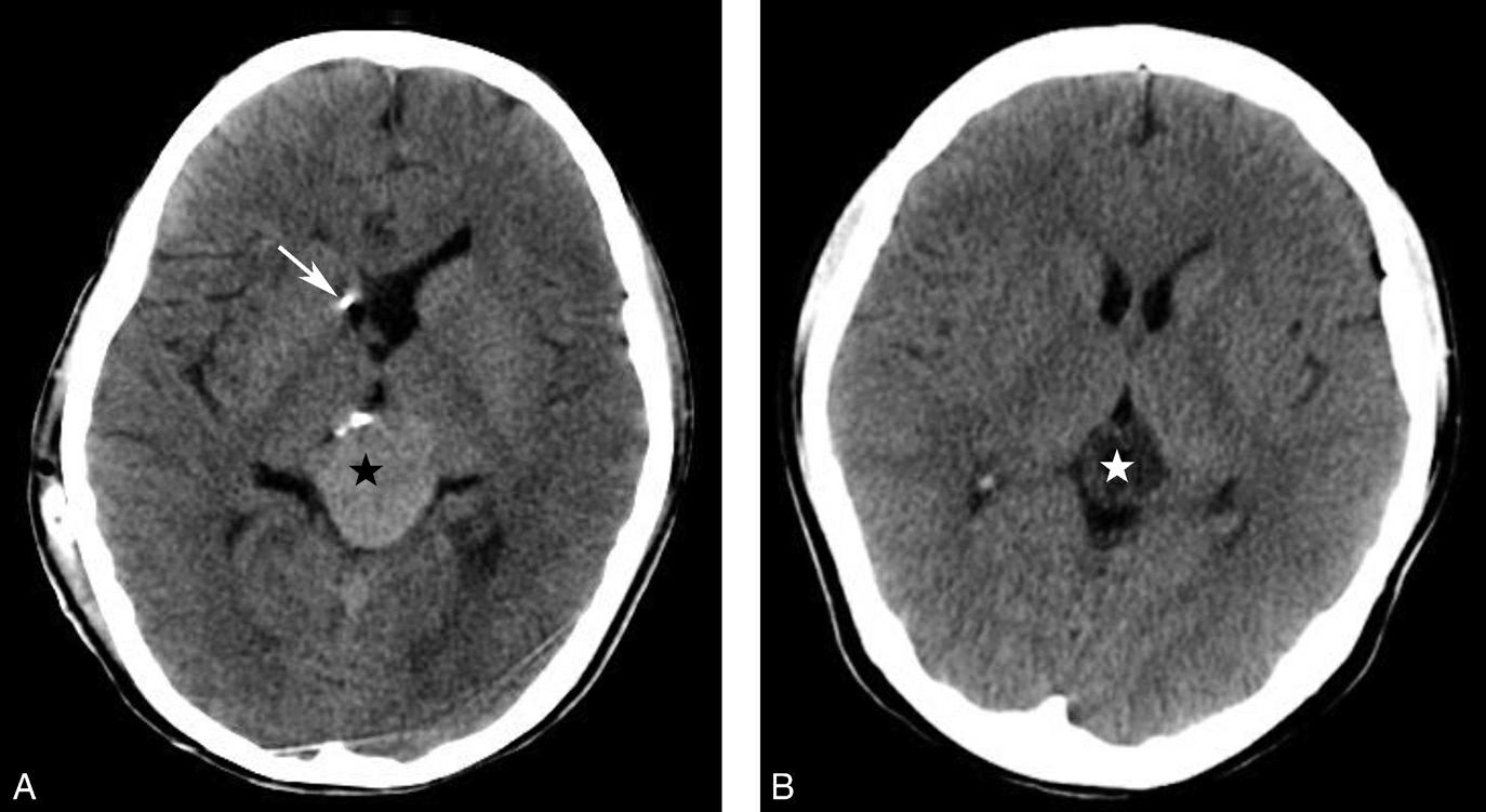
鞍上池位于层面的中部,多数呈六角星形,其前角连大脑纵裂池、两个前外侧角通外侧裂池、两个后外侧角延续为环池,后角为中脑双侧大脑脚之间的脚间池。鞍上池的六条边为前面的两侧额叶底部、外侧边为颞叶钩回,后两条边为大脑脚。如后方为脑桥,则鞍上池呈五角星形。鞍上池内前部有视交叉、视束及漏斗,两侧有颈内动脉。乳头体位于鞍上池后部中脑前方。鞍上池两侧为颞叶,颞叶内侧前部为杏仁体,杏仁体后方为海马,海马内后方向内突出的脑回为海马旁回,海马外侧可见侧脑室颞角。在颞叶前方通过外侧裂池与额叶相隔。鞍上池后方为中脑、中脑后部的中脑导水管及中脑两侧的环池。
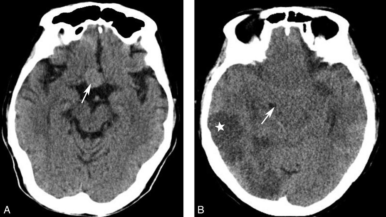
鞍上池是该层面需要重点观察的部位。其形态及密度的改变均提示病变(图1-2-18、图1-2-19),例如鞍上池失去正常五角星或六角星形态、甚至闭塞,或者鞍上池密度升高或不均匀。此外,环池闭塞多见于颅内压严重增高的患者,为诊断脑疝的影像学依据(图1-2-20)。
图1-2-18 鞍上池形态改变
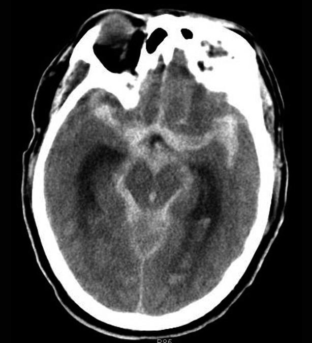
A.鞍上池前角消失,失去正常六角星形态;此例为垂体腺瘤向鞍上生长,占据此区域所致(箭);B.鞍上池闭塞;此病例为双侧大脑半球多发大面积梗死(☆),弥漫性脑肿胀,导致鞍上池闭塞(箭)
图1-2-19 鞍上池密度改变
左侧颈内动脉瘤破裂,血液进入鞍上池,导致其密度明显升高(箭)
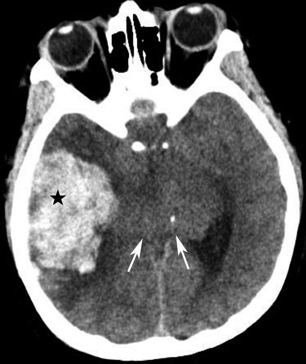
图1-2-20 环池闭塞
右侧颞叶脑内大血肿(★),产生严重的占位效应,环池受压闭塞(箭),脑疝形成
重要结构:中脑导水管、第三脑室、外侧裂池、岛叶、上矢状窦、四叠体池(图1-2-21~图1-2-23)。
图1-2-21 中脑导水管层面
A.横断面;B.横断面标注
1.额窦;2.上矢状窦;3.大脑镰;4.额叶;5.颞肌;6.外侧裂;7.岛叶;8.尾状核头;9.外囊;10.第三脑室;11.豆状核;12.颞叶;13.中脑;14.中脑导水管;15.环池;16.四叠体池;17.小脑上蚓部;18.枕叶
图1-2-22 中脑导水管层面(骨窗)
1.额骨;2.蝶骨大翼;3.蝶鳞缝;4.颞骨;5.顶骨;6.顶枕缝;7.枕骨
图1-2-23 脑叶划分示意图
CB.小脑;T.颞叶;F.额叶;O.枕叶;H.海马回及海马结构;I.岛叶
中脑位居此层面的中央,其腹侧可见两侧大脑脚,大脑脚底有黑质与红核,中脑背侧可见左右稍隆起者为上丘,上丘后方为四叠体池,中脑顶盖的前方可见中脑导水管断面呈针孔样,中脑外侧为环池,中脑前方中间为第三脑室下部。第三脑室下部两前外侧有尾状核头及豆状核壳部,尾状核头及壳核部分相连,壳核的外侧为屏状核、岛叶及外侧裂池,再外侧为颞盖,其前部为颞上回,后部为颞中回。外侧裂池分隔前方的额叶和后方的颞叶,可作为区分额叶与颞叶的重要标志。四叠体池后方有小脑上蚓及两侧呈倒“八”字形的小脑天幕,天幕后方为直窦和上矢状窦。
重要结构:丘脑、尾状核头、豆状核、内囊、外囊、侧脑室前角、侧脑室三角区与后角、胼胝体膝、松果体(图1-2-24~图1-2-26)。
图1-2-24 松果体层面
A.横断面;B.横断面标注
1.上矢状窦;2.额叶;3.大脑镰;4.扣带回;5.颞肌;6.胼胝体膝部;7.侧脑室前角;8.外侧裂池;9.尾状核头部;10.内囊前肢;11.透明隔;12.豆状核;13.内囊膝部;14.岛叶;15.内囊后肢;16.外囊;17.丘脑;18.第三脑室;19.松果体(钙化);20.大脑内静脉;21.颞叶;22.侧脑室三角区;23.直窦;24.侧脑室后角;25.枕叶
图1-2-25 松果体层面(骨窗)
1.额骨;2.冠状缝;3.顶骨;4.人字缝;5.枕骨
图1-2-26 脑叶划分示意图
T.颞叶;F.额叶;O.枕叶;I.岛叶
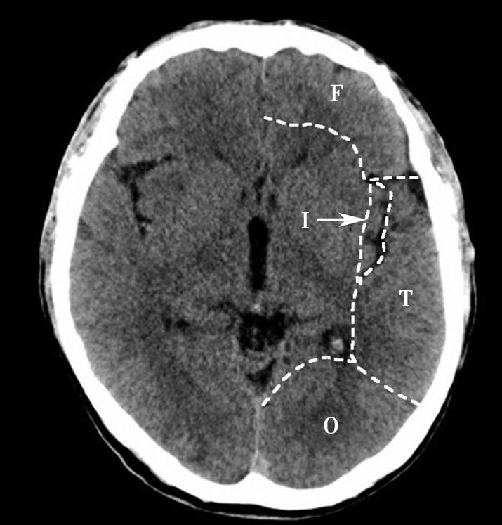
双侧侧脑室前角呈弯角状,由胼胝体膝、透明隔、穹窿柱及尾状核头围成。侧脑室前角经室间孔与位于中线的第三脑室相通。第三脑室两侧为背侧丘脑,后界为松果体。松果体肿瘤常发生于此(图1-2-27)。尾状核头、背侧丘脑与豆状核之间为内囊,内囊分为前肢、膝部和后肢等三部分。豆状核呈三角形,外侧大部为壳核,内侧部分为苍白球。外囊居壳核的外侧,其外侧依次为屏状核、最外囊、岛叶及外侧裂池。外侧裂池弯曲狭长,内有大脑中动脉走行,外侧有颞叶。松果体后方为大脑大静脉池,大脑大静脉池外侧有侧脑室三角区,其后部伸入枕叶,称后角。侧脑室三角区为后角与下角的移行处,为侧脑室最宽处。由侧脑室三角区向外延伸的虚线可作为横断面颞叶和枕叶的大致分界线。
图1-2-27 松果体肿瘤
A.松果体生殖细胞瘤,表现为均质高密度影(★),箭头所指高密度影为脑室内引流管断面;B.松果体囊肿,表现为边界清楚之低密度影(☆)
松果体、苍白球在成人期常出现钙化,属生理性钙化,一般无病理意义。需注意勿误诊为出血灶,尤其是单侧苍白球钙化时(图1-2-28)。
图1-2-28 苍白球生理性钙化
A.双侧苍白球对称性钙化,呈高密度影(箭);B.左侧苍白球钙化(箭),右侧苍白球钙化不明显
重要结构:尾状核头、豆状核、内囊、外囊、丘脑(图1-2-29~图1-2-31)。
图1-2-29 基底节层面
A.横断面;B.横断面标注
1.上矢状窦;2.大脑镰;3.额叶;4.扣带回;5.颞肌;6.胼胝体膝部;7.侧脑室前角;8.岛叶;9.尾状核头部;10.外囊;11.透明隔;12.中央沟;13.中央前回;14.中央后回;15.内囊前肢;16.内囊膝部;17.穹窿柱;18.豆状核;19.内囊后肢;20.丘脑;21.大脑内静脉;22.胼胝体压部;23.大脑大静脉;24.颞叶;25.脉络膜丛;26.顶叶;27.侧脑室三角区;28.顶枕沟;29.视辐射;30.枕叶;31.直窦
图1-2-30 基底节层面(骨窗)
1.额骨;2.冠状缝;3.顶骨;4.人字缝;5.枕骨
图1-2-31 脑叶划分示意图
T.颞叶;F.额叶;O.枕叶;I.岛叶;P.顶叶
双侧侧脑室前角呈倒“八”字形向前外方伸展,其前壁为胼胝体膝部、内侧壁为透明隔、外侧壁为尾状核头。透明隔后方与穹窿柱相连,穹窿柱与两侧背侧丘脑前部间为室间孔,沟通双侧侧脑室及第三脑室。第三脑室居双侧背侧丘脑间,呈纵向走行的裂隙状。尾状核头与背侧丘脑的外侧为“> <”形的内囊,由前肢、膝及后肢三部分组成,内囊与额盖、顶盖之间,由内侧向外侧依次为豆状核、外囊、屏状核、最外囊、岛叶及外侧裂。枕叶与顶叶分界为顶枕沟,此沟在胼胝体压部层面显示最佳。胼胝体压部外侧有侧脑室三角区,内有脉络丛,常见钙化。大脑半球内侧面前部可见额内侧回和扣带回,后部可见扣带回和舌回。
顶枕沟位于胼胝体之后,是半球内侧面的一条较深的沟,此沟后方及大脑镰两侧为枕叶,为顶枕叶的分界标志。外侧裂池位于半球凸面的中点处,并向内、向后延伸,可作为额、颞叶的分界标志。此层面同时出现大脑半球的额、颞、顶、枕4个叶。
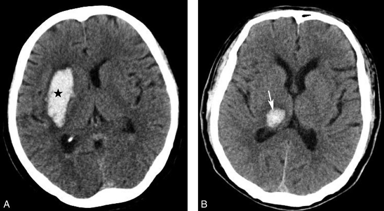
基底节为脑卒中的好发部位,与纹状动脉的解剖特点有关,深穿支动脉的破裂和栓塞可分别引起基底节区的出血和梗死(图1-2-32、图1-2-33)。
图1-2-32 脑出血
A.右侧壳核脑出血,形成高密度血肿(★);B.右侧丘脑出血,呈球形高密度影(箭)
图1-2-33 基底节区脑梗死
A.右侧丘脑梗死,病灶呈圆形低密度影(箭);B.左侧内囊膝部及后肢梗死,呈带状低密度影(箭)
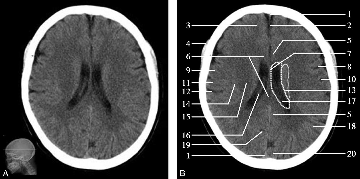
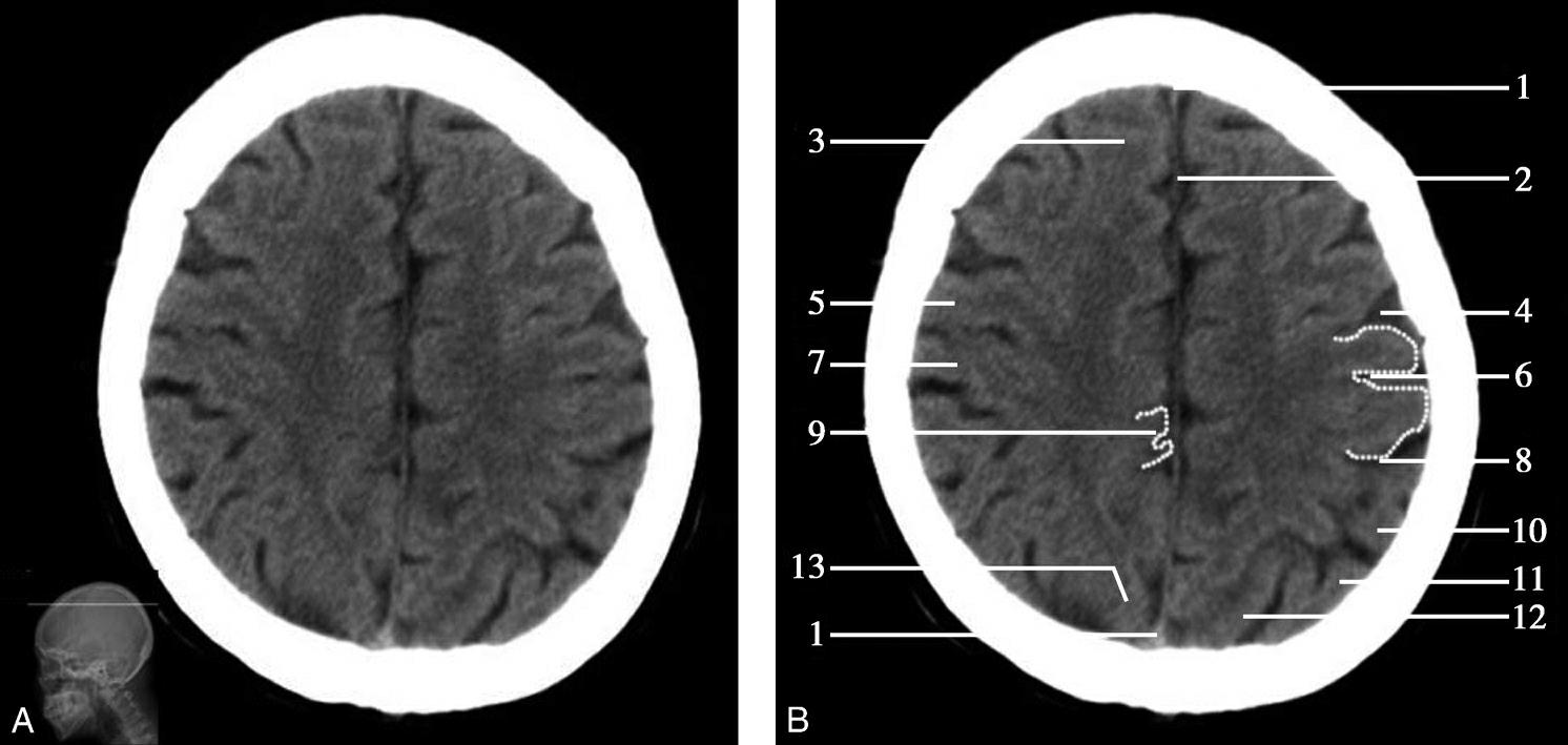
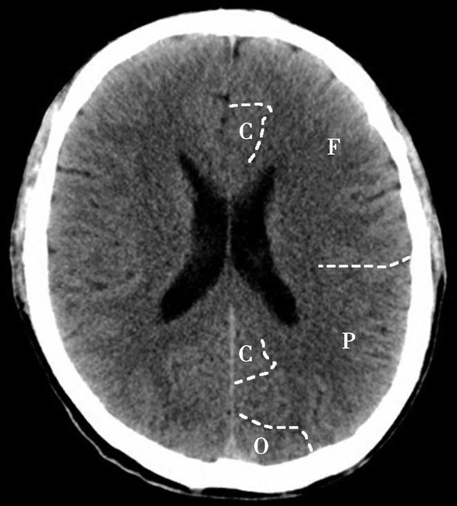
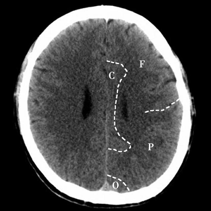
重要结构:尾状核体部、侧脑室体部、放射冠、额叶、顶叶(图1-2-34~图1-2-36)。
图1-2-34 尾状核体部层面
A.横断面;B.横断面标注
1.上矢状窦;2.大脑镰;3.额叶;4.颞肌;5.扣带回;6.胼胝体;7.透明隔;8.中央前沟;9.中央前回;10.中央沟;11.中央后回;12.中央后沟;13.尾状核体部;14.岛盖;15.放射冠;16.脉络膜丛;17.侧脑室体部;18.顶叶;19.顶枕沟;20.枕叶
图1-2-35 尾状核体部层面(骨窗)
1.额骨;2.冠状缝;3.顶骨;4.人字缝;5.枕骨
图1-2-36 脑叶划分示意图
F.额叶;O.枕叶;P.顶叶;C.扣带回
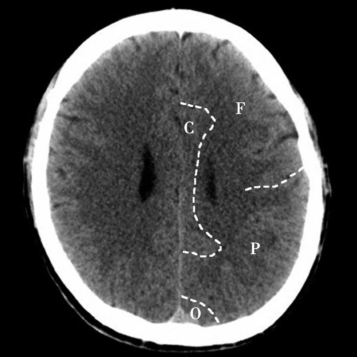
双侧侧脑室体部呈凹缘向外侧的镰刀状居中线两旁,以透明隔为界。尾状核体部紧贴侧脑室体部外侧壁,其外侧为双侧大脑半球白质,即放射冠,再外侧为岛盖。大脑半球内侧面被胼胝体分成前后两部,前部由前向后为额内侧回和扣带回,后部由前向后为扣带回、楔叶和舌回。大脑半球外侧面的脑回由前向后依次为额上回、额中回、额下回、中央前回、中央后回、缘上回、角回。顶枕沟位于半球内侧面后部,沟较深,呈水平走向,易于辨认。中央沟作为额叶与顶叶的分界线在此层面有时不易识别。
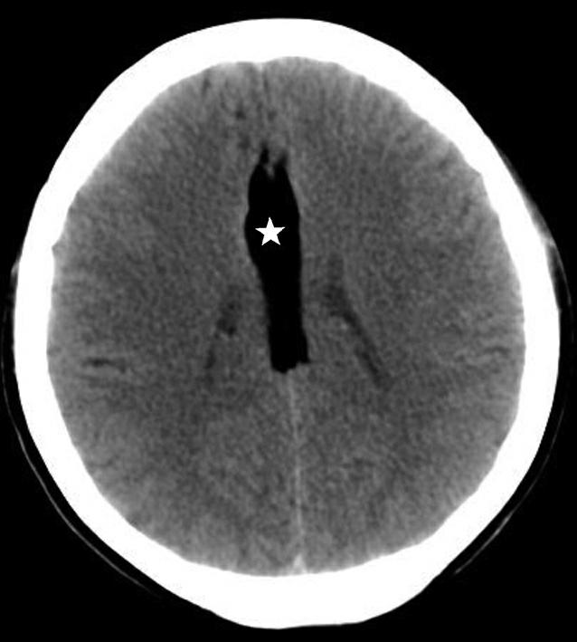
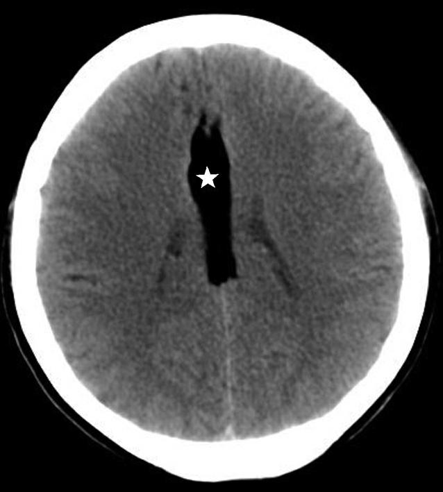
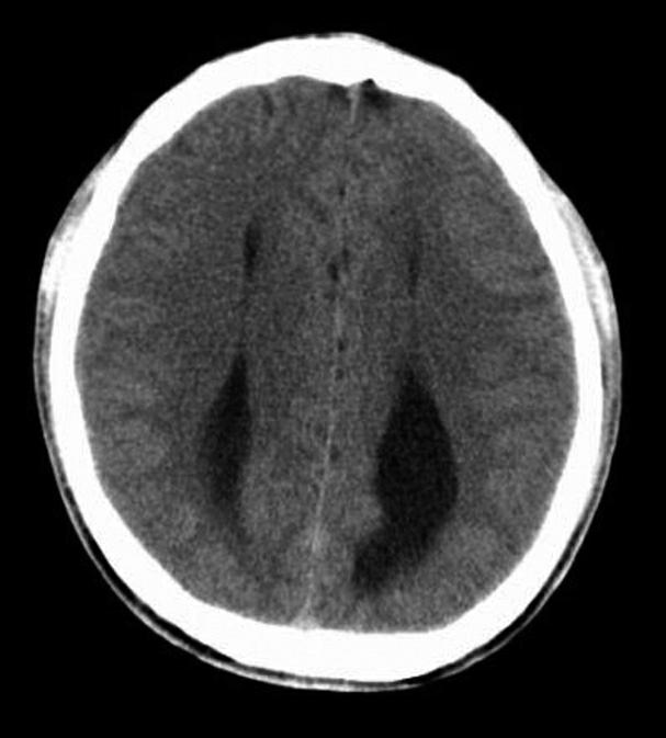
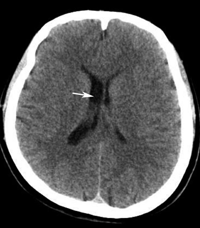
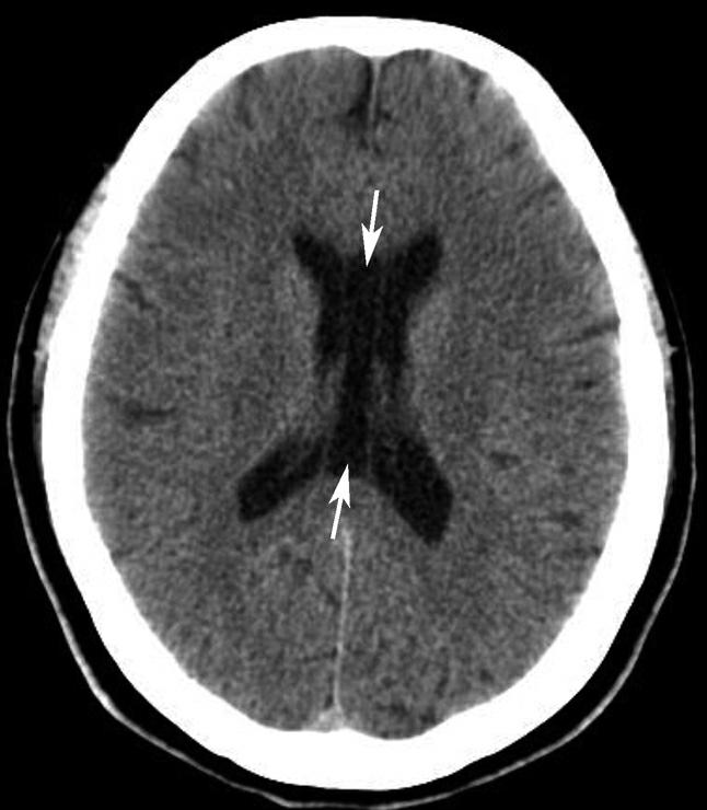
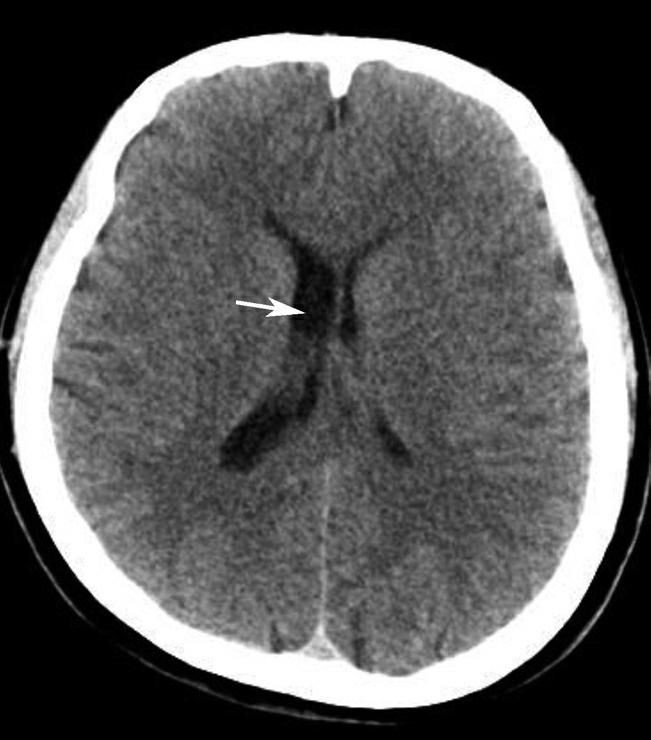
透明隔为两片膜状结构紧贴形成,之间有潜在腔隙,如扩大则形成透明隔腔,内含脑脊液样液体,称透明隔间腔或第五脑室,为正常变异(图1-2-37)。发育因素可导致双侧侧脑室的大小不对称(图1-2-38),一般无临床意义,但是需注意与病理性侧脑室不对称相鉴别(图1-2-39)。发育性因素导致的侧脑室不对称,脑实质及脑室内均无病变,且由大脑镰、透明隔等组成的中线结构无偏移。
图1-2-37 透明隔囊肿
图1-2-38 双侧侧脑室发育不对称
图1-2-39 病理性因素导致的双侧侧脑室不对称
A.右侧大脑半球转移瘤瘤周水肿(☆)引发的占位效应致右侧侧脑室明显受压变形、变小(箭),透明隔向左侧移位(箭头);B.左侧侧脑室旁陈旧性脑梗死、脑软化(☆),病灶体积缩小引发的负占位效应致左侧侧脑室体部外展、扩大(箭头)
重要结构:放射冠、胼胝体体部、侧脑室顶部、中央沟、扣带回(图1-2-40、图1-2-41)。
图1-2-40 放射冠层面
A.横断面;B.横断面标注
1.上矢状窦;2.大脑镰;3.额叶;4.颞肌;5.扣带回;6.中央前沟;7.中央前回;8.中央沟;9.中央后回;10.中央后沟;11.放射冠;12.胼胝体体部;13.侧脑室顶部;14.顶叶;15.顶枕沟;16.枕叶
图1-2-41 脑叶划分示意图
F.额叶;O.枕叶;P.顶叶;C.扣带回
双侧脑室体顶部间以胼胝体体部及扣带回相隔。当胼胝体发育不良或缺如时,双侧侧脑室间距可缩小,可合并脂肪瘤(图1-2-42)。侧脑室体顶部周围白质呈扇形放射状分布连接大脑皮质及皮质下诸结构,故称放射冠。大脑纵裂内有大脑镰及其前、后端的上矢状窦断面构成中线结构。大脑半球内侧面由前至后有额内侧回、扣带沟、扣带回、顶下沟、楔前叶、顶枕沟和楔叶;大脑半球外侧面由前至后依次为额上回、额中回、额下回、中央前回、中央沟、中央后回、缘上回、角回和枕叶。
图1-2-42 胼胝体发育不良合并脂肪瘤
胼胝体体部发育不良,双侧侧脑室间距变小,纵裂内见脂肪瘤,呈低密度影(☆)
中央沟位于半球中部稍偏前,位置大约平侧脑室顶部前1/3处,可作为额顶叶分界并识别中央前、后回的标志。在半球内侧面后部可见一较深的脑沟为顶枕沟,此沟的后方为枕叶。
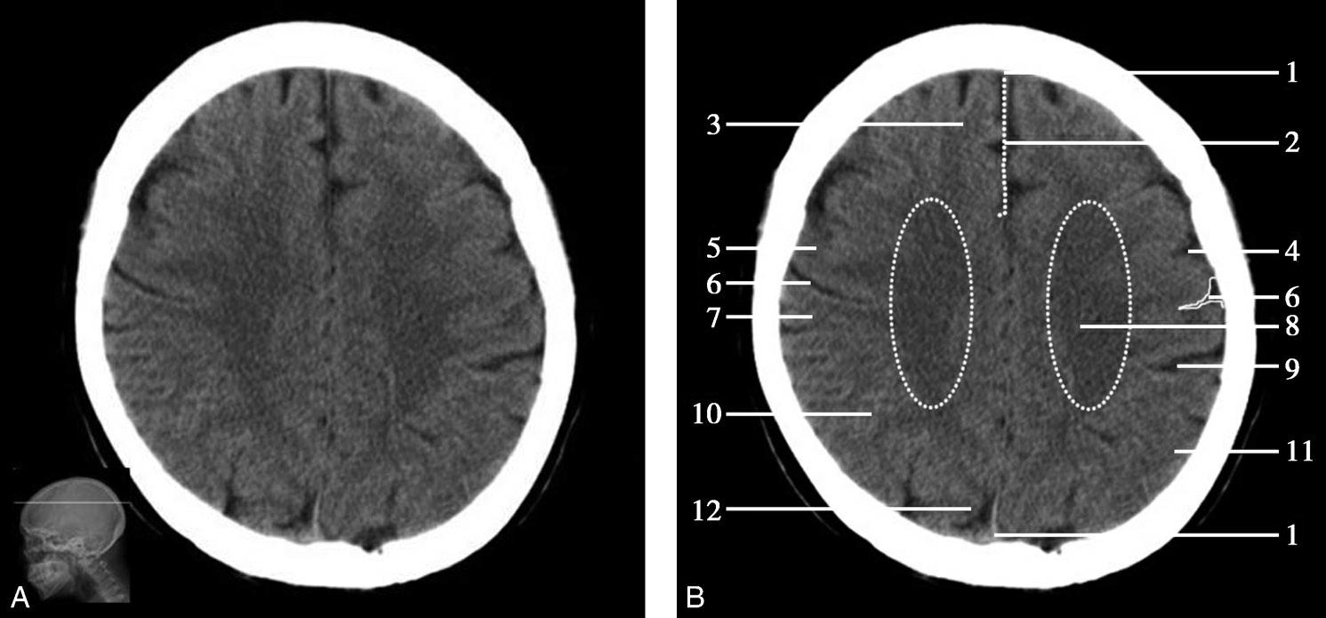
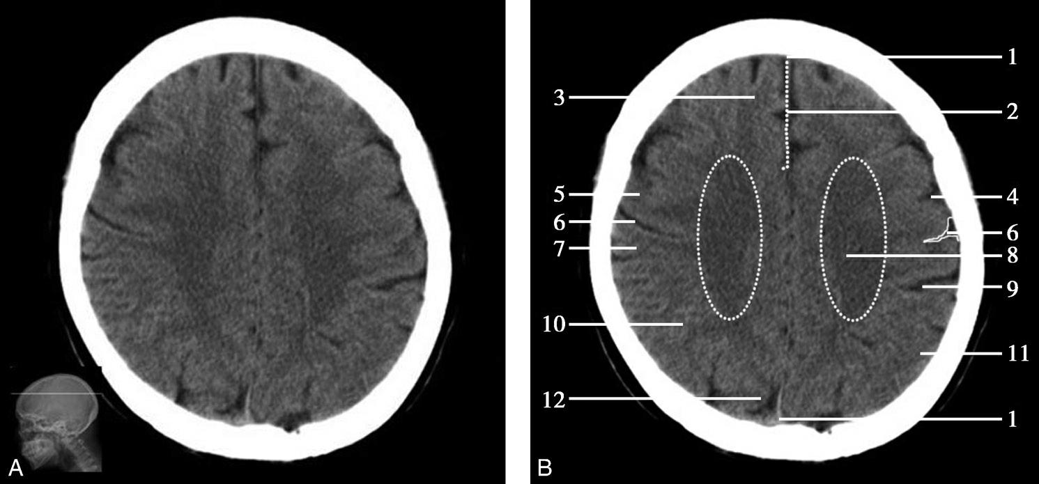
重要结构:半卵圆中心、中央沟、额叶、顶叶、大脑镰(图1-2-43、图1-2-44)。
图1-2-43 半卵圆中心层面
A.横断面;B.横断面标注
1.上矢状窦;2.大脑镰;3.额叶;4.中央前沟;5.中央前回;6.中央沟;7.中央后回;8.半卵圆中心;9.中央后沟;10.顶叶;11.缘上回;12.枕叶
图1-2-44 脑叶划分示意图
F.额叶;P.顶叶
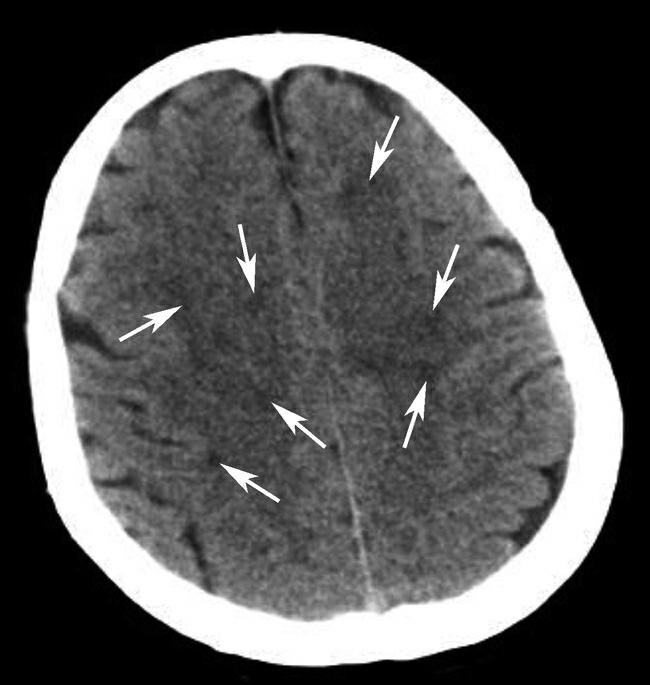
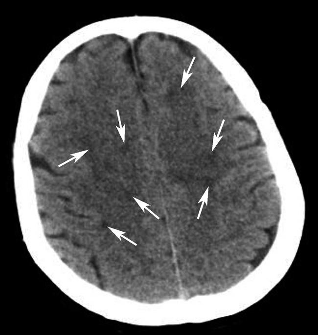
此层面经过胼胝体上方,中线结构仍为大脑镰及大脑纵裂,大脑纵裂前、后端为上矢状窦断面。中线两侧为此层面上大脑半球白质较丰富的区域,断面形态由于近似半卵圆形故称半卵圆中心,临床上脱髓鞘病变如白质变性、多发性硬化多发生于此(图1-2-45)。
图1-2-45 脑多发性硬化
双侧大脑半球半卵圆中心多发斑点状低密度影(箭)
此层面中央沟与其他脑沟较难区别,可供鉴别的是中央沟前沿的皮质较后沿稍厚。额叶紧邻中央沟的脑回为中央前回,顶叶紧邻中央沟的脑回为中央后回。
重要结构:中央沟、额叶、顶叶、中央旁小叶、中央前回、中央后回(图1-2-46~图1-2-48)。
图1-2-46 中央旁小叶下部层面
A.横断面;B.横断面标注
1.上矢状窦;2.大脑镰;3.额叶;4.中央前沟;5.中央前回;6.中央沟;7.中央后回;8.中央后沟;9.中央旁小叶;10.缘上回;11.角回;12.顶上小叶;13.楔前叶
图1-2-47 中央旁小叶下部层面(骨窗)
1.额骨;2.冠状缝;3.顶骨;4.人字缝;5.枕骨
图1-2-48 脑叶划分示意图
F.额叶;P.顶叶
此层面通过扣带沟上方的中央旁小叶,位于大脑镰两侧中部偏后,其前方为额内侧回,后方为楔前叶及楔叶,外侧为两半球的放射冠,放射冠的外侧可见中央沟及中央前、后回,中央沟仍位于大脑凸面中部,常为大脑半球外侧面三条较深脑沟中的中间一条。中央前回的前方为额上回、额中回。断面后部内侧为楔前叶及顶上小叶,此叶外侧为角回,角回前外侧为缘上回。此层面已无枕叶。大脑镰位居中线,其前、后端可见上矢状窦断面。
重要结构:中央沟、中央旁小叶、中央前回、中央后回(图1-2-49~图1-2-51)。
图1-2-49 中央旁小叶上部层面
A.横断面;B.横断面标注
1.上矢状窦;2.大脑镰;3.额叶;4.中央前沟;5.中央前回;6.中央沟;7.中央后回;8.中央后沟;9.中央旁小叶;10.顶上小叶
图1-2-50 中央旁小叶上部层面(骨窗)
1.额骨;2.顶骨;3.冠状缝;4.矢状缝
图1-2-51 脑叶划分示意图
F.额叶;P.顶叶
大脑纵裂内有大脑镰,位居中线,分隔左、右大脑半球。此层面脑沟、脑回明显,脑沟深度正常不超过5mm。在每一侧大脑半球中部可见中央沟,为额叶与顶叶的界线,中央沟前方有中央前回、中央前沟及额上回,后方有中央后回、中央后沟及顶上小叶,中央沟的内侧端为中央旁小叶。在断面上可根据以下几点辨认中央沟:①中央沟较深,自半球断面外缘约中份处向后内延伸,几乎达半球的内侧面;②中央沟弯曲走行,大部分不被中断;③中央沟的前方和后方分别可见中央前沟、中央后沟与之伴行;④中央前回厚于中央后回;⑤先通过位于大脑半球内侧面的扣带沟缘支辨认出中央旁小叶,再进一步辨认中央沟。大脑镰前、后两端可见上矢状窦的横断面,呈三角形或椭圆形。
重要结构:视交叉、尾状核头、额叶、颞叶、外侧裂池(图1-2-52、图1-2-53)。
图1-2-52 视交叉层面
A.冠状面;B.冠状面标注
1.上矢状窦;2.大脑镰;3.额叶;4.扣带回;5.胼胝体体部;6.侧脑室前角;7.尾状核头部;8.内囊前肢;9.透明隔;10.豆状核;11.隔核;12.伏隔核;13.视交叉;14.鞍上池;15.外侧裂池;16.前床突;17.颞叶;18.海绵窦;19.蝶窦
图1-2-53 视交叉层面(骨窗)
A.冠状面;B.冠状面标注
1.矢状缝;2.顶骨;3.顶颞缝;4.前床突;5.颞骨;6.蝶鳞缝;7.蝶窦;8.颧弓;9.翼突内侧板;10.翼突外侧板
此层面正中线上部有大脑纵裂池及其内的大脑镰,大脑镰的上端与上矢状窦相连,下端毗邻胼胝体体部,胼胝体纤维连接双侧额叶。双侧额叶的外侧面,自上而下有额上回、额中回及额下回。胼胝体体部上方大脑镰的两侧有扣带回及扣带沟。胼胝体体部下方正中是透明隔,其两侧近似三角形为侧脑室前角,侧脑室前角顶壁为胼胝体,内侧壁上部为透明隔,底壁由隔核与伏隔核组成,外侧壁为尾状核头部。尾状核头外侧依次为内囊前肢、豆状核、外囊及屏状核。内囊位于尾状核头的外下方,是大脑皮质与皮质下中枢间的上下行纤维组成的投射纤维的主要通路。豆状核位于内囊的外下方,分为内侧的苍白球及外侧的壳核。胼胝体嘴部下方自上而下依次为大脑纵裂池、视交叉、鞍上池。视交叉两侧外下方为前床突的骨性断面,前床突内下方为海绵窦,其内可见颈内动脉断面,前床突外侧为两侧颞叶,两侧额叶与颞叶借外侧裂池分隔,额叶位于外侧裂池上方,颞叶位于外侧裂池下方。海绵窦下方中线区为蝶窦,蝶窦下方中部为鼻腔,鼻腔两侧为颞下窝。
重要结构:垂体、视交叉、垂体柄、海绵窦、胼胝体体部(图1-2-54、图1-2-55)。
图1-2-54 垂体层面
A.冠状面;B.冠状面标注
1.上矢状窦;2.大脑镰;3.额叶;4.扣带回;5.胼胝体体部;6.侧脑室前角;7.尾状核头部;8.豆状核;9.内囊前肢;10.透明隔;11.内囊膝部;12.内囊后肢;13.外侧裂池;14.丘脑;15.第三脑室;16.视交叉;17.垂体柄;18.鞍上池;19.垂体;20.颞叶;21.麦克尔腔;22.海绵窦;23.蝶窦
图1-2-55 垂体层面(骨窗)
1.矢状缝;2.顶骨;3.顶颞缝;4.颞骨;5.鞍底;6.蝶鳞缝;7.蝶窦;8.颧弓;9.翼突内侧板;10.翼突外侧板
此层面中线结构上部大脑纵裂池内有大脑镰,其上端连上矢状窦,下端邻近胼胝体体部,胼胝体体部上方有扣带回及扣带沟。胼胝体体部下方正中自上而下依次为透明隔及其两侧的侧脑室前角、第三脑室、视交叉、垂体柄、蝶鞍及其内的垂体、蝶窦及鼻咽部。侧脑室前角外侧壁为尾状核头部,尾状核头部外侧为内囊前肢,下方为内囊膝部。第三脑室两侧为丘脑,丘脑向外侧依次为内囊后肢、豆状核、外囊、屏状核、岛叶及外侧裂池。外侧裂池的上、下方分别为额叶与颞叶,其内有大脑中动脉。蝶鞍内有垂体,视交叉位于垂体上方,两者之间可见垂体柄,垂体柄穿经鞍膈的膈孔连于垂体。在视交叉与蝶鞍之间的间隙为鞍上池。垂体两侧为海绵窦,颈内动脉海绵窦段穿行其中。此层面稍后方,在海绵窦的后下方可见卵圆形由硬脑膜形成的麦克尔腔,容纳三叉神经根和半月神经节。鞍内最常见的肿瘤为垂体腺瘤,垂体大腺瘤常对周围正常组织造成压迫、导致移位(图1-2-56)。
图1-2-56 垂体大腺瘤
鞍区肿瘤向上突入鞍上池,视交叉明显受压上抬(箭)
重要结构:丘脑、第三脑室、鞍背、卵圆孔、麦克尔腔(图1-2-57、图1-2-58)。
图1-2-57 丘脑下部层面
A.冠状面;B.冠状面标注
1.上矢状窦;2.大脑镰;3.额叶;4.扣带回;5.胼胝体体部;6.侧脑室前角;7.尾状核头部;8.顶叶;9.透明隔;10.内囊前肢;11.内囊膝部;12.外侧裂池;13.岛叶;14.豆状核;15.第三脑室;16.内囊后肢;17.丘脑;18.鞍上池;19.颞叶;20.鞍背;21.海绵窦;22.麦克尔腔;23.蝶窦
图1-2-58 丘脑下部层面(骨窗)
A.冠状面;B.冠状面标注
1.矢状缝;2.顶骨;3.顶颞缝;4.颞骨;5.鞍背;6.蝶骨体部;7.蝶鳞缝;8.蝶窦;9.颞骨颧突;10.卵圆孔
此层面的中线结构由上而下依次为上矢状窦、大脑前纵裂池及其内的大脑镰、胼胝体体部、透明隔、第三脑室、鞍上池、鞍背、蝶骨体部和鼻咽部。大脑镰的两侧仍可见扣带回及扣带沟。大脑半球的外侧面自上而下依次有额上回、中央前回、中央后回。胼胝体下方透明隔两侧是侧脑室体部,其外侧为尾状核体及内囊前肢。第三脑室呈纵行裂隙状位于双侧丘脑之间,丘脑向外侧依次为内囊后肢、豆状核、岛叶和外侧裂池。外侧裂池的上方为顶叶,下方为颞叶。丘脑与第三脑室下方为鞍上池后部,其下方的高密度影为鞍背,鞍背连于其下方的蝶骨体,蝶骨体内可见蝶窦偏后部的一部分。蝶骨体两侧为海绵窦,海绵窦外侧为麦克尔腔,其内之三叉神经节下方发出下颌神经向外下行穿卵圆孔穿出颅。蝶骨体下方为鼻咽部,鼻咽部两侧为颞下窝。
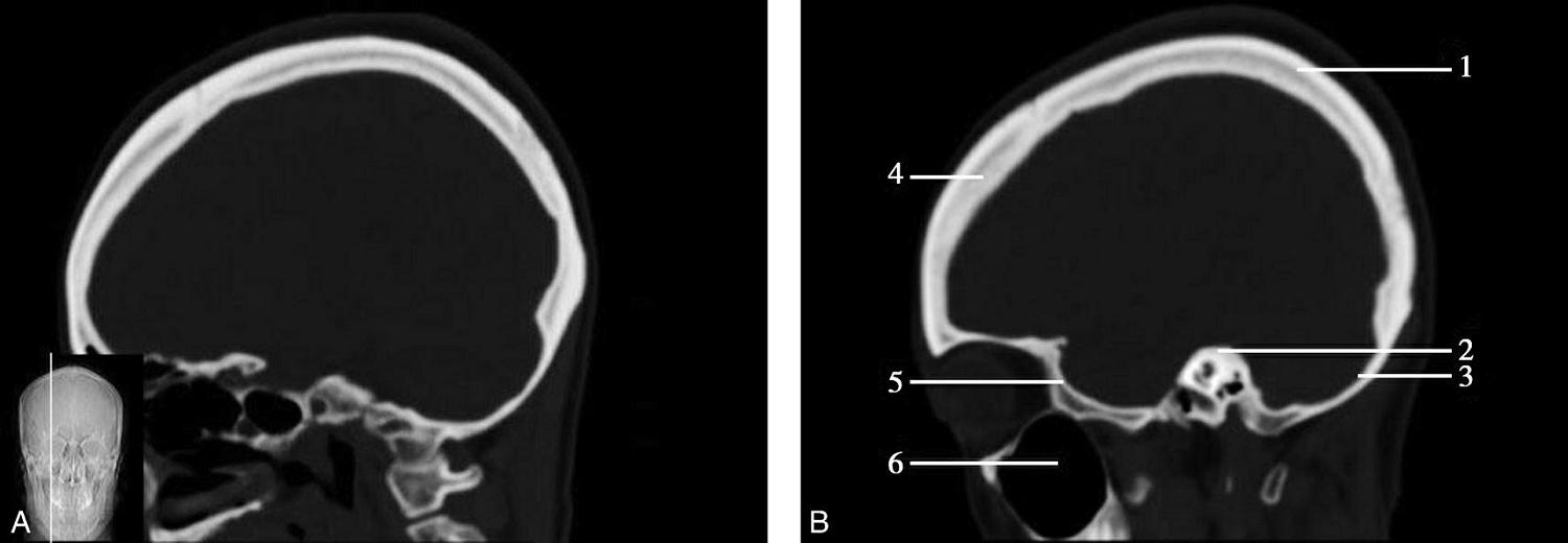
重要结构:胼胝体、垂体、中脑导水管、扣带回、中央沟、第三脑室、斜坡(图1-2-59、图1-2-60)。
图1-2-59 正中矢状面CT
A.矢状面;B.矢状面标注
1.中央沟;2.扣带回;3.胼胝体体部;4.侧脑室;5.中脑;6.胼胝体膝部;7.穹隆;8.第三脑室;9.胼胝体压部;10.垂体;11.中脑导水管;12.第四脑室;13.脑桥;14.蝶窦;15.斜坡;16.小脑扁桃体;17.延髓
图1-2-60 正中矢状面骨窗CT
A.矢状面;B.矢状面标注
1.顶骨;2.枕骨;3.斜坡;4.额骨;5.蝶鞍
此层面可显示胼胝体全貌,它位于层面中央区域,是呈上凸下凹的弧形结构,由前向后分为嘴、膝、体和压四部分。扣带回环绕胼胝体上方,扣带沟位于扣带回的上方。大脑半球中部和后部分别可见较深且恒定的中央沟和顶枕沟。中央沟为是额叶顶叶分界标志。
胼胝体下方为侧脑室及穹窿,第三脑室借穹窿与前上方的侧脑室体部分开,背侧丘脑的内侧面以及中脑顶盖分别为第三脑室的外侧壁和底。第三脑室向前籍室间孔与侧脑室相通,向下经中脑导水管通第四脑室。中脑腔狭窄呈管状,即称为中脑导水管,中脑导水管畸形,常见者为导水管的分叉畸形和狭窄,其次可见中脑导水管膈膜,造成先天性脑积水。
脑干由中脑、脑桥和延髓组成,自第三脑室底向下后稍斜行,移行于颈髓。由上至下,脑干腹侧可见脚间池、桥前池和延髓池,脑干背侧可见大脑大静脉池、四叠体池和小脑延髓池。
垂体位于蝶鞍内,其前部为腺垂体,后上部分为神经垂体。垂体下方为鞍底及蝶窦,上缘因鞍膈存在而平直,垂体借垂体柄向上连于丘脑下部。垂体的前上方见视交叉和视束。斜坡作为前颅窝底的重要组成部分与多个重要结构相比邻,矢状位呈三角形,颅内肿瘤或颅外鼻咽部恶性肿瘤均可侵犯至此,原发肿瘤常见为脊索瘤。小脑幕居枕叶和小脑之间,向后下连接窦汇,向前至中脑后方游离,称小脑幕切迹。小脑幕下方为小脑扁桃体。成年人小脑扁桃体下缘由枕骨大孔向下疝入椎管超过5mm称为Chiari畸形,以矢状位显示最佳。
重要结构:顶枕沟、胼胝体、丘脑内侧面(图1-2-61、图1-2-62)。
图1-2-61 丘脑内侧层面CT
A.矢状面;B.矢状面标注
1.中央沟;2.扣带回;3.胼胝体;4.额叶;5.顶叶;6.顶枕沟;7.枕叶;8.侧脑室;9.尾状核;10.丘脑;11.脚间池;12.脑桥;13.桥前池
图1-2-62 丘脑内侧层面骨窗CT
A.矢状面;B.矢状面标注
1.顶骨;2.枕骨;3.斜坡;4.额骨;5.鼻骨
大脑半球前半部为额叶,后半部有顶叶和枕叶。大脑半球最高位置处可显示的沟为中央沟,前后分别有中央前回、中央后回。大脑半球内侧面后部较深的沟为顶枕沟。胼胝体位于层面中央,其上方为扣带回,下方为侧脑室。胼胝体下方为尾状核,脑干上方为丘脑内侧面。脑干由上到下依次为中脑和脑桥、延髓。脑干腹侧自上而下依次为视束、垂体、桥前池、斜坡。小脑半球占据幕下较大空间。大脑脚间可见脚间池,池内有动眼神经和血管,它与视交叉周围的交叉池在影像学上统称为鞍上池。脑桥基底部与斜坡间可见桥前池,池内有基底动脉走行。在枕骨延髓段与小脑之间可显示小脑延髓池,又称为枕大池,是颅内最大的脑池,也是正常脑室与蛛网膜下腔相通的必经之路。
重要结构:苍白球、壳核、尾状核、中央沟、内囊(图1-2-63、图1-2-64)。
图1-2-63 苍白球层面CT
A.矢状面;B.矢状面标注
1.中央沟;2.中央前回;3.中央后回;4.半卵圆中心;5.顶叶;6.尾状核;7.丘脑;8.额叶;9.苍白球;10.上颌窦;11.内囊;12.小脑
图1-2-64 苍白球层面骨窗CT
A.矢状面;B.矢状面标注
1.顶骨;2.枕骨;3.斜坡;4.额骨;5.额窦;6.筛窦;7.蝶窦;8.鼻咽腔
该层面中央区域为基底核,尾状核与豆状核呈上下关系,其间为内囊前肢,豆状核后部为丘脑。丘脑上方为侧脑室。依中央沟可识别额叶与顶叶,依顶枕沟可识别顶叶与枕叶。中央沟前、后方分别为中央前回、中央后回。大脑半球内的半卵圆中心白质区增大,主要由上纵束和胼胝体辐射的纤维构成。侧脑室中央部在向颞叶延伸形成侧脑室下角,海马位于其下壁。此层面内囊膝部大部分已消失,苍白球是内囊前肢与内囊后肢的分界标志。壳、苍白球与尾状核头之间的白质为内囊前肢;苍白球与背侧丘脑、尾状核体之间的白质是内囊后肢。
此层面小脑呈卵圆形,其上方是小脑幕,后上方是横窦,前方与颞骨岩部相邻,岩部内走行的是颈内动脉的岩骨段。
重要结构:海马、中央沟、侧脑室三角区(图1-2-65、图1-2-66)。
图1-2-65 海马层面CT
A.矢状面;B.矢状面标注
1.中央沟;2.中央前回;3.中央前沟;4.中央后回;5.顶叶;6.内囊;7.壳核;8.枕叶;9.侧脑室三角区;10.额叶;11.海马头;12.海马尾;13.颞叶;14.小脑
图1-2-66 海马层面骨窗CT
A.矢状面;B.矢状面标注
1.顶骨;2.枕骨;3.斜坡;4.额骨;5.额窦;6.蝶窦;7.筛窦;8.上颌窦
豆状核壳部位于此层面中央区域,其后方可见侧脑室三角区,其下方为海马及海马旁回。海马前方颞叶内尚可见到较窄的侧脑室下角。此层面顶枕、颞枕分界欠清,枕叶已较小。小脑幕下方为小脑半球。
海马位于颞叶的内侧面,海马结构一般分为海马头、海马体、海马尾,海马在记忆和学习中起着重要作用。
重要结构:小脑、侧脑室下角、中央沟(图1-2-67、图1-2-68)。
图1-2-67 侧脑室下角层面CT
A.矢状面;B.矢状面标注
1.中央沟;2.额叶;3.顶叶;4.岛叶;5.外侧裂;6.侧脑室下角;7.侧脑室三角区;8.海马;9.颞叶;10.小脑上半月叶;11.小脑下半月叶
图1-2-68 侧脑室下角层面骨窗CT
A.矢状面;B.矢状面标注
1.顶骨;2.枕骨;3.额骨;4.额窦;5.蝶窦
侧脑室下角居层面近中央,呈自后上向前下延续的裂隙状,其前下方为大脑颞叶的颞下回。颞下回上方可见外侧裂和岛叶,其中以岛叶显示较清楚,为一略呈三角形的皮质区,尖端指向前下。大脑凸面自前向后为额叶、顶叶和枕叶。枕叶范围较小,其内可见侧脑室三角区。在颞叶内侧还可见到侧脑室下角。小脑半球位于枕叶下方。
重要结构:岛叶、海马、额叶、顶叶、枕叶、颞叶、中央沟(图1-2-69、图1-2-70)。
图1-2-69 岛叶层面CT
A.矢状面;B.矢状面标注
1.中央沟;2.中央前回;3.中央后回;4.半卵圆中心;5.岛叶;6.顶叶;7.额叶;8.外侧裂沟;9.枕叶;10.颞叶;11.上颌窦;12.小脑
图1-2-70 岛叶层面骨窗CT
A.矢状面;B.矢状面标注
1.顶骨;2.颞骨(乳突);3.枕骨;4.额骨;5.蝶骨大翼;6.上颌窦
此层面可见中央沟和外侧裂,并可同时辨认大脑半球5个叶,即额叶、顶叶、枕叶、颞叶与岛叶,其中外侧裂以上为额叶和顶叶。中央沟位于大脑半球上缘中点稍偏前并深向前下的深沟,此沟可作为额叶和顶叶的分界。中央沟的前后分别是中央前回和中央后回。岛叶位于外侧裂后方。
重要结构:外侧裂、中央沟、颞下颌关节(图1-2-71、图1-2-72)。
图1-2-71 经颞下颌关节层面CT
A.矢状面;B.矢状面标注
1.中央沟;2.顶叶;3.角回;4.中央前回;5.额中回;6.外侧裂;7.乳突;8.颞上回;9.颞中回;10.颞下回;11.颞下颌关节;12.下颌骨髁突
图1-2-72 经颞下颌关节层面骨窗CT
A.矢状面;B.矢状面标注
1.顶骨;2.枕骨;3.乳突;4.外耳道;5.下颌骨髁突;6.额骨;7.上颌窦
此层面主要显示大脑半球外侧面中部皮质,其前部自上而下是额中回、额下回、颞上回、颞中回、颞下回。中央沟前、后方分别为中央前回和中央后回。外侧沟末端后方的为缘上回,颞上沟后方为角回。颅后窝仅有乙状窦沟和其内走的乙状窦。
由乳突向前是外耳道、颞下颌关节、关节结节、颞肌和颧弓。颞下颌关节的关节头与关节窝有S形的关节盘,厚约1mm。
CT血管成像(CT angiography,CTA及CT venography,CTV)通过三维重建技术可显示颅内动静脉的走行、血管壁及血管周围等情况(图1-2-73~图1-2-75)。
图1-2-73 正常颅脑CTA
1.大脑前动脉;2.大脑中动脉;3.颈内动脉;4.大脑后动脉;5.基底动脉;6.椎动脉
图1-2-74 正常椎基底动脉CTA
1.基底动脉;2.颈内动脉;3.颈总动脉;4.颈外动脉;5.椎动脉
图1-2-75 正常颅脑CTV
A.侧位;B.侧位标注
1.上矢状窦;2.直窦;3.乙状窦;4.窦汇;5.大脑大静脉
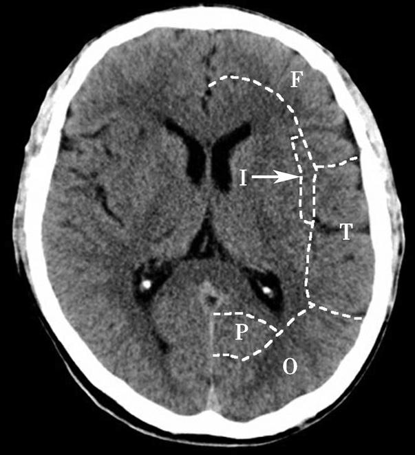
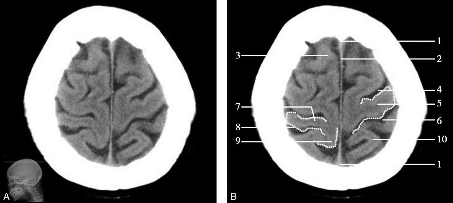
Alberta卒中项目早期CT评分(Alberta stroke program early CT score,ASPECTS)是一种评价急性缺血性卒中患者大脑中动脉供血区早期缺血性改变的简单、可靠、系统化的方法,是常用的脑卒中评定量表之一,可对缺血性病变快速进行半定量评价,有助于判定溶栓效果和远期预后。该评分主要基于CT平扫,具体分区如下(图1-2-76)所示,即选取大脑中动脉供血区2个层面。分区后共10个区域,每个区域记1分。评分时任何区域只要有低密度灶,则扣除该区域得分。正常脑ASPECTS评分为满分(10分),若MCA供血区广泛梗死累及全部区域时,则ASPECTS评分为0分。
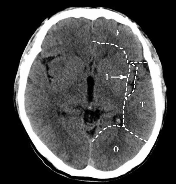
图1-2-76 ASPECTS评分脑组织分区
A.在基底节层面(即丘脑和纹状体平面),分为各级分支M 1 、M 2 、M 3 、岛叶(缩写I)、豆状核(缩写L)、尾状核(缩写C)和内囊(缩写IC)后肢等7个区域;B.在基底节以上层面(基底节层面上2cm),包括M 4 、M 5 和M 6 。
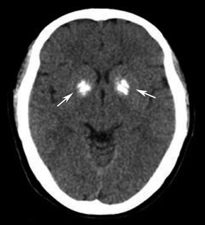
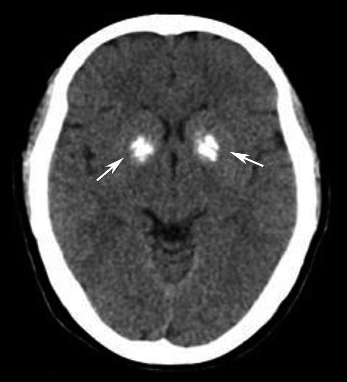
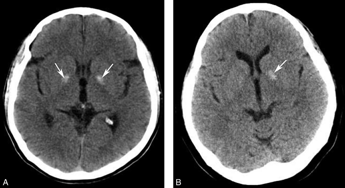
40岁以上正常人可出现基底节钙化,通常双侧对称,也可不对称,以苍白球钙化最为常见。如果30岁以下出现基底节钙化,应警惕病理性钙化。基底节病理性钙化主要为代谢性或内分泌性疾病所致(图1-2-77)。一侧基底节钙化时需注意与脑出血鉴别。
图1-2-77 双侧基底节病理性钙化
女,31岁,甲状旁腺机能减退。双侧基底节见大片钙化(箭)
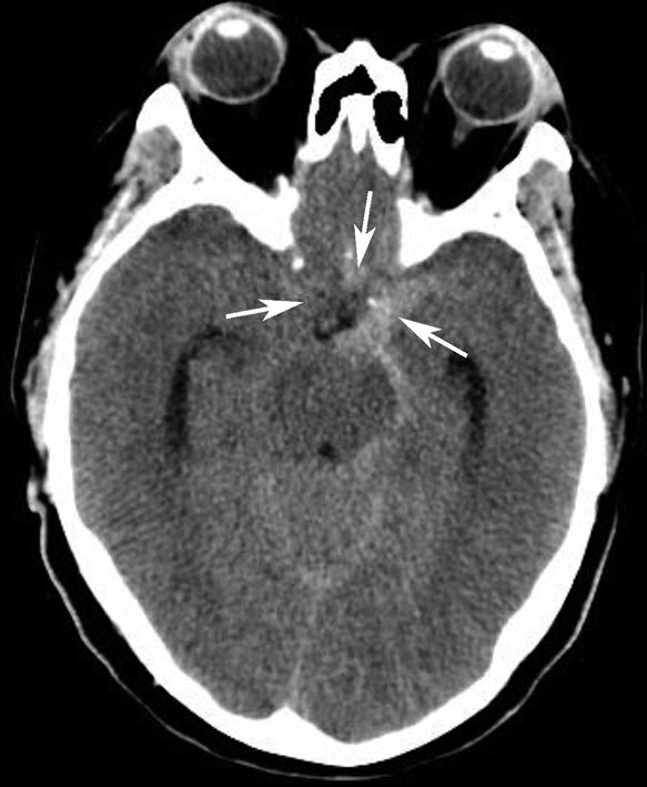
基底动脉开窗畸形的发生机制被认为是胚胎第5周时成对的胚胎性神经动脉融合障碍,或为原始侧动脉残留所致(图1-2-78)。
图1-2-78 基底动脉开窗畸形(箭)
永存三叉动脉是颈内动脉海绵窦段与基底动脉之间的胚胎性吻合,为颈内动脉系统与椎基底动脉系统之间最常见的异常交通,是根据它伴行的颅神经而命名的。其他异常吻合包括永存听动脉、永存舌下动脉及永存寰前节间动脉(图1-2-79)。
图1-2-79 永存三叉动脉
A、B.异常吻合支沟通至右侧海绵窦(箭);基底动脉(长箭)
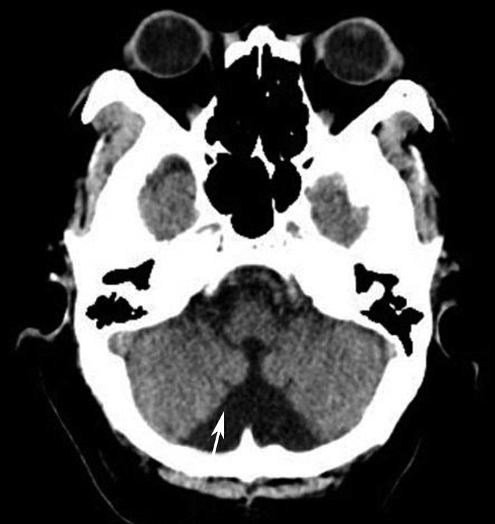
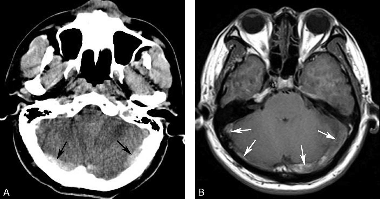
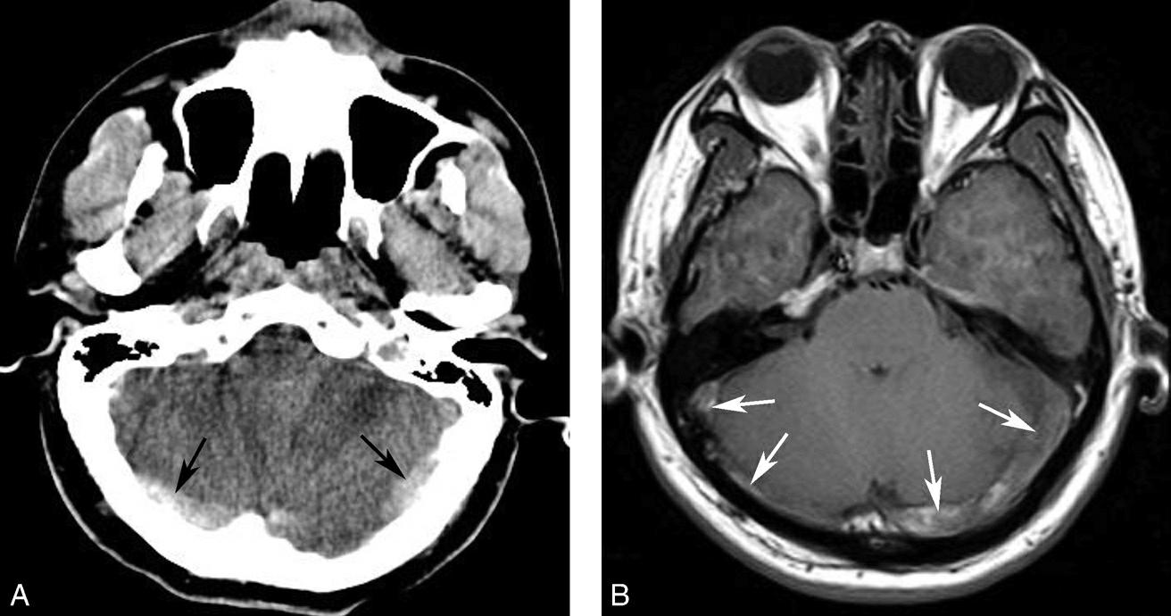
枕大池在小脑皮质或小脑蚓部距枕骨内板超过10mm以上,即可认为是大枕大池。一般第四脑室正常,后颅窝大小正常,无占位效应,无脑积水,无枕骨受压变薄,无小脑蚓部萎缩等可能引起临床症状的因素(图1-2-80)。
图1-2-80 大枕大池(箭)
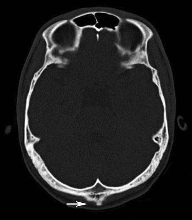
枕骨隆突位于枕部正中间偏下面部分,为一骨性隆突。部分人骨性隆突较为突出,可触及(图1-2-81)。
图1-2-81 枕骨隆突(箭)
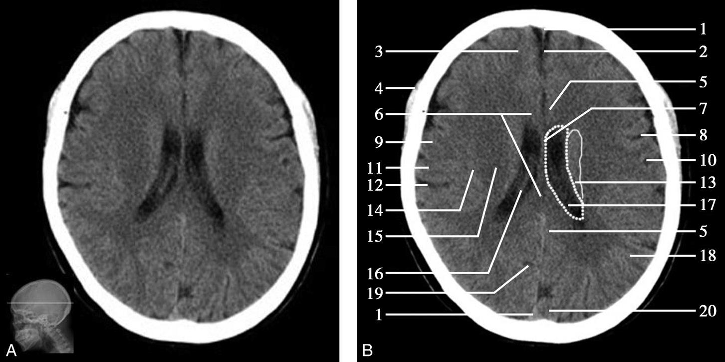
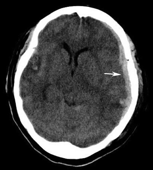
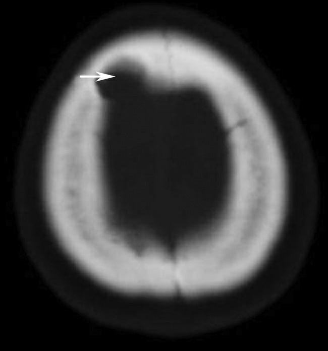
脑蛛网膜在硬脑膜构成的上矢状窦附近形成许多绒毛状突起,称为蛛网膜颗粒。蛛网膜颗粒粗大时,可突入硬脑膜窦内,可压迫邻近颅骨内板导致局部骨质吸收等改变(图1-2-82)。
图1-2-82 蛛网膜颗粒(箭)
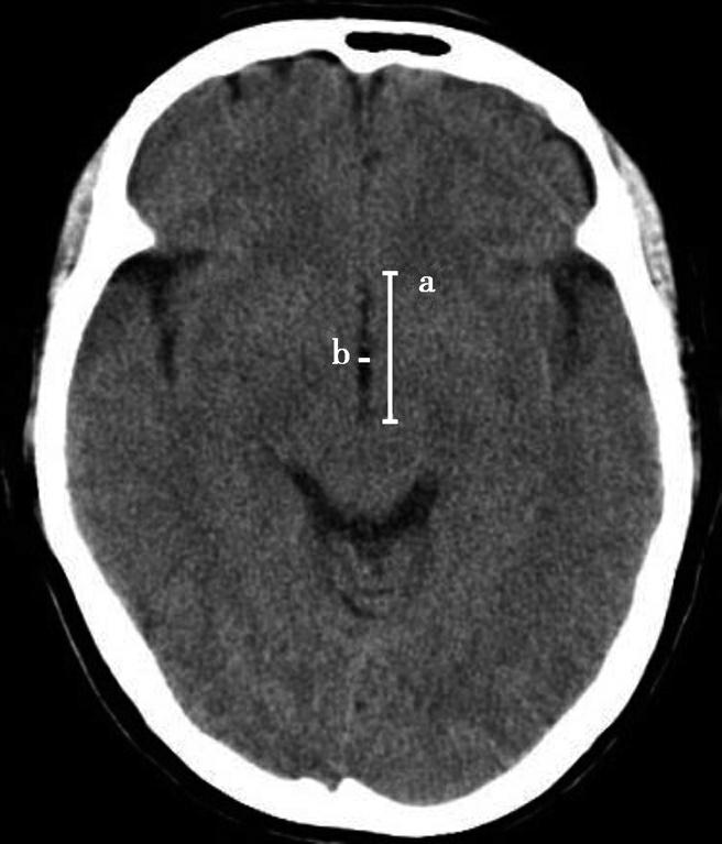
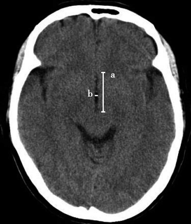
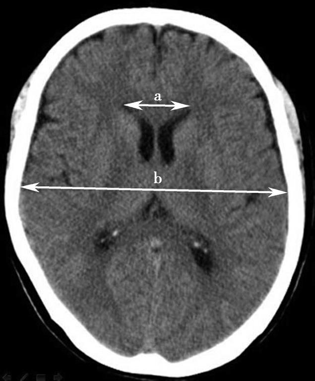
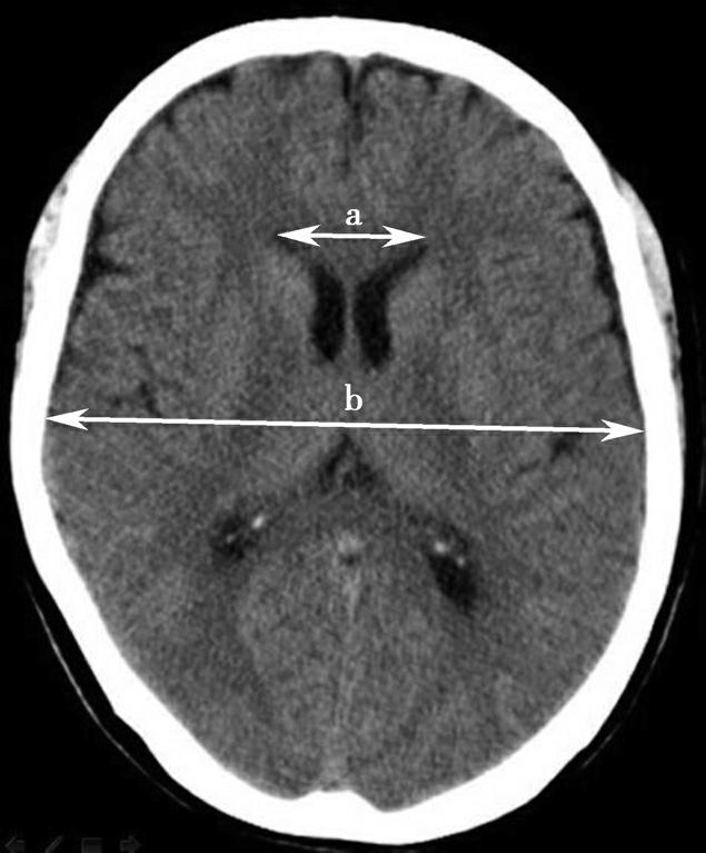
第三脑室正常成人前后径约12mm,左右宽约5mm,上下径也约为12mm。侧脑室后角两侧有时大小不等,右侧后角上下径约为38mm,左右径约为20mm;左侧后角上下径约为28mm,左右径约为15mm。测量双侧侧脑室前角间径与同平面脑横径的比值(R),正常平均值为30%。轻度扩大时为31%~39%,中度扩大为40%~46%,重度扩大时>47%。脑积水或脑萎缩等病理情况下脑室系统会扩大。不同年龄组正常脑室系统测量值存在差异,整体表现出测量值随着年龄增大而增大的趋势(图1-2-83、图1-2-84)。
图1-2-83 第三脑室测量
a线.第三脑室前后径;b线.第三脑室宽径
图1-2-84 侧脑室测量
R=双侧侧脑室前角间径(a)/同平面脑横径(b)
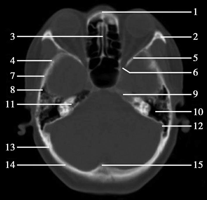
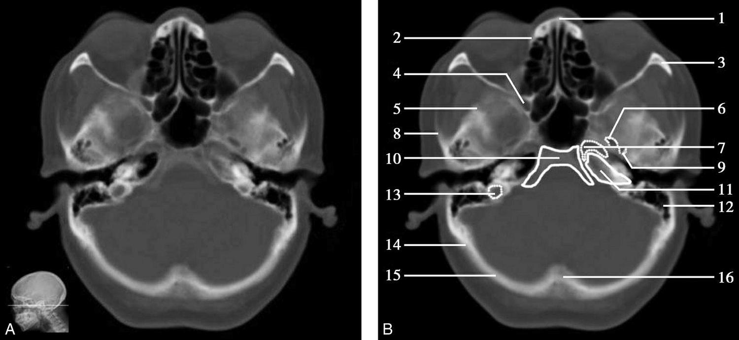
颅底分前、中、后颅窝,借孔道与颅外相通。前颅窝底筛孔内穿行嗅神经。中颅窝底视神经管,内有视神经及眼动脉走行;眶上裂走行眼静脉、动眼神经、滑车神经、外展神经、三叉神经眼支;圆孔内穿行三叉神经的上颌支,卵圆孔穿行三叉神经下颌支;棘孔内可有脑膜中动脉及静脉走行,三叉神经下颌支的脑膜支亦经棘孔进入中颅窝;颈内动脉经破裂孔进入颅内,颈上神经节发出交感神经丛的颈内动脉神经穿破裂孔在海绵窦内形成海绵丛。后颅窝内枕骨大孔内可有延髓、椎动脉穿行,副神经脊髓根经枕大孔入颅与副神经颅根汇合;颈静脉孔内穿行颈内静脉、迷走神经、副神经及舌咽神经;内耳道穿行面神经及前庭蜗神经、迷路动静脉;舌下神经管穿行舌下神经(图1-2-85)。
图1-2-85 颅底孔道CT解剖
1.筛孔;2.视神经管;3.破裂孔;4.内耳道;5.颈静脉孔;6.眶上裂;7.圆孔;8.卵圆孔;9.棘孔;10.舌下神经管;11.枕骨大孔
大脑动脉环又称Willis环,为连接大脑两半球前部循环及椎基底系统的大吻合环,呈多边形,由下列结构组成:两条大脑前动脉(ACA)交通前段(A 1 ),两侧大脑后动脉(PCA)交通段(P 1 ),两侧颈内动脉(ICA)末端,前交通动脉(ACoA),两侧后交通动脉(PCoA),两侧ICA在脑底通过ACoA相通,并且借PCoA与椎基底动脉系统相通(图1-2-86)。
图1-2-86 正常大脑动脉环
1.左侧大脑前动脉(ACA)交通前段(A 1 );2.前交通动脉(ACoA);3.右侧大脑前动脉(ACA)交通前段(A 1 );4.右侧后交通动脉(PCoA);5.左侧后交通动脉(PCoA);6.左侧大脑后动脉(PCA)交通段(P 1 );7.右侧大脑后动脉(PCA)交通段(P 1 )
大脑动脉环小而重要的穿支血管给许多重要结构供血,如垂体柄、垂体腺、丘脑、下丘脑视神经交叉、视神经、视束、基底节及中脑。对于闭锁性血管疾病,大脑动脉环是侧支血流最充分的供血来源,熟知其正常解剖、变异与异常十分必要。
通过病例观察病变情况下的解剖变化(图1-2-87~图1-2-114)。
图1-2-87 脑挫裂伤并脑室内积血
右侧颞叶(白箭)、左侧基底节区(白箭头)大片状高、低混杂密度影。左侧侧脑室后角积血(黑箭)
图1-2-88 弥漫性轴索损伤
双侧额顶叶多发小片状高、低密度混杂影(箭)
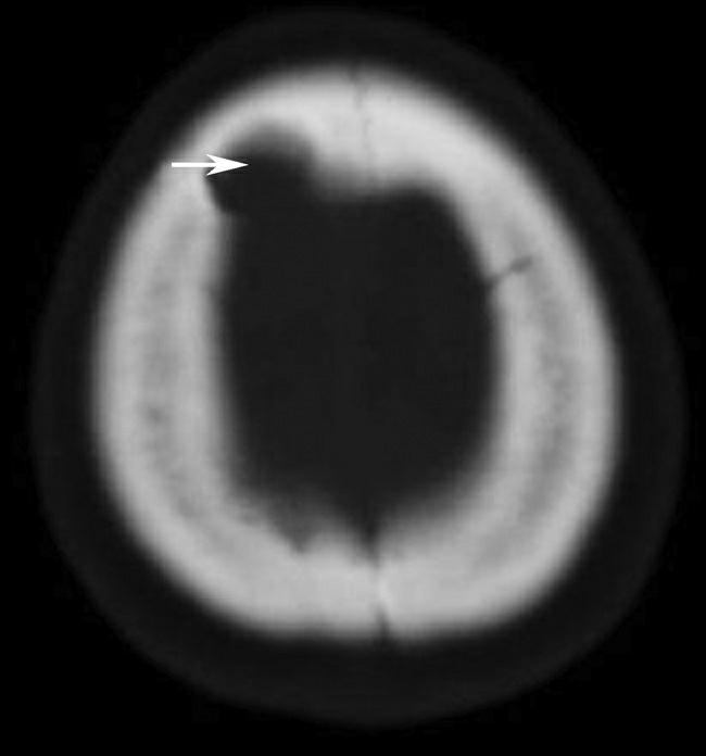
图1-2-89 右顶骨凹陷性骨折伴右颞顶部硬膜外血肿
A.右颞顶部硬膜外血肿呈颅骨内板下梭形高密度影(箭头);B.骨窗示右顶骨多发线形骨折线(箭),局部骨质明显向内凹陷
图1-2-90 左侧基底节区血肿
左侧基底节区示一团块状高密度病变(箭),CT值约为80HU,周边示轻度低密度水肿影。左侧侧脑室受压,中线结构右移
图1-2-91 左侧顶枕部硬膜外血肿(急性期)
左侧顶枕部颅骨内板下示一类梭形高密度影(箭),CT值约为76HU,左侧侧脑室后角受压,中线结构右移
图1-2-92 硬膜下血肿(急性期)
左侧额颞顶部硬膜下示新月形高密度影(箭),中线结构右移
图1-2-93 硬膜下血肿(慢性期)
右侧额颞部硬膜下示新月形低密度影(箭),中线结构左移
图1-2-94 蛛网膜下腔出血
双侧外侧裂池、环池、鞍上池、四叠体池、纵裂池及双侧大脑半球脑沟内示多发高密度影,CT值为72HU,双侧侧脑室后角可见高密度影
图1-2-95 海绵状血管瘤
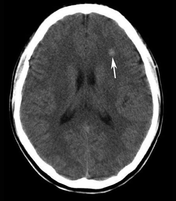
左侧额叶皮层下白质内示类圆形结节状稍高密度影(箭),CT值为53HU,边界清楚,周围未见水肿影,未见明显占位效应
图1-2-96 右侧顶枕叶动静脉畸形
右侧顶枕叶示多发粗细不均的迂曲条状稍高密度影堆积成团(箭),其内可见多发斑片状高密度钙化影(箭头),周围未见明显水肿
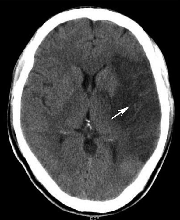
图1-2-97 左侧大脑中动脉供血区大面积脑梗死
左侧额、颞、岛、顶叶及左侧基底节区示大片状低密度影(箭),边界不甚清晰,相应脑沟及脑裂变窄;左侧侧脑室受压、变窄
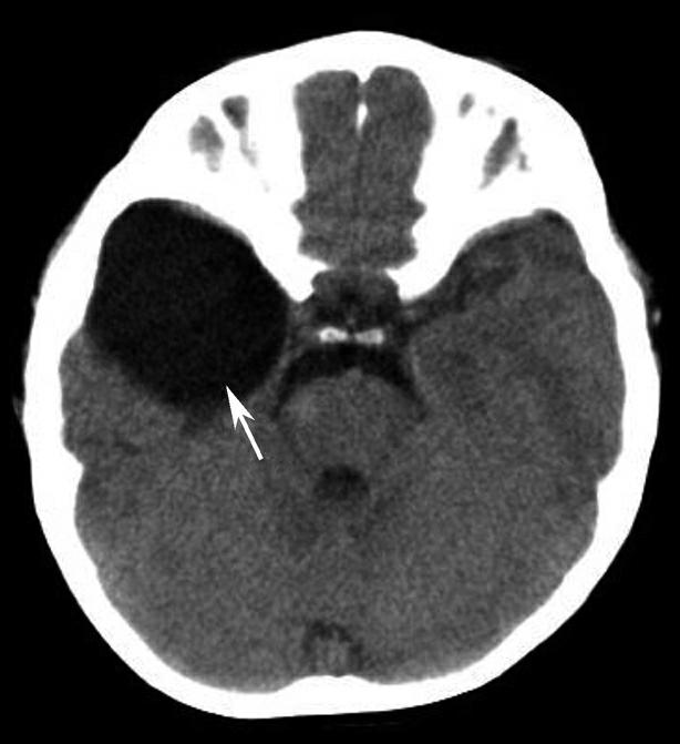
图1-2-98 右侧颞极蛛网膜囊肿
右侧颞极示一类圆形低密度影(箭),CT值为4HU,边界清晰,邻近右侧颞叶脑突质受压
图1-2-99 结节性硬化
双侧侧脑室室管膜下示多发点片状钙化影(箭),边界清晰
图1-2-100 胼胝体发育不良
双侧侧脑室后角扩大,侧脑室体部平行,间距增宽,胼胝体缺如
图1-2-101 左侧额叶多形性胶质母细胞瘤
左侧额叶不甚规则的囊实性占位性病变,囊性部分呈低密度(白箭),实性部分呈等密度(白箭头);周围见脑水肿(黑箭)。左侧侧脑室前角明显受压,中线结构右移
图1-2-102 脑转移瘤
双侧大脑半球脑实质内多发类圆形病灶(箭),密度高于脑灰质,大部分病灶周围可见片状水肿影。右侧脑室受压、变窄,中线结构向左移位
图1-2-103 室管膜瘤
四脑室内示一占位性病变(箭),呈软组织密度影,密度均匀,四脑室扩大,前方大脑脚受压
图1-2-104 髓母细胞瘤
小脑蚓部可见一类椭圆形稍高密度影(箭),边缘尚清,第四脑室受压变形(箭头);幕上脑积水
图1-2-105 生殖细胞瘤
松果体区及右侧侧脑室前角区多发团状高密度影(箭),中线结构居中。幕上脑室扩大、积水
图1-2-106 颅咽管瘤
鞍上池内不规则形占位性病变(箭),其内呈略低密度改变,外周见环形钙化,双侧基底节区、视交叉及第三脑室底部受压
图1-2-107 镰旁脑膜瘤
左侧额顶部镰旁巨大占位,以等密度为主(白箭),其周边可见斑片状钙化影(白箭头),肿瘤周围可见大片状水肿影(黑箭),中线结构右移
图1-2-108 脊索瘤
A、B.鞍区、斜坡及蝶窦腔内可见一不甚规则的占位性病变,病变以稍低密度为主(箭头),其内可见多发斑点状明显高密度影,部分斜坡骨质破坏(箭)
图1-2-109 左侧听神经瘤
A.左侧脑桥小脑三角区一不规则形占位病变(箭),呈等低混杂密度影,左侧小脑半球受压,第四脑室受压变扁,向右偏移;B.骨窗示左侧内听道扩大(箭)
图1-2-110 颅脑动脉硬化
CTA示大脑前、中、后动脉主干迂曲僵硬
图1-2-111 前交通动脉瘤
CTA示前交通囊状动脉瘤,瘤颈较宽
图1-2-112 大脑后动脉瘤
双侧大脑后动脉各见一宽颈、囊状动脉瘤(箭、箭头)
图1-2-113 基底动脉瘤
基底动脉尖一类圆形动脉瘤(箭)
图1-2-114 颈内动脉瘤
颅脑CTA示右侧颈内动脉C 7 段囊状突起(箭),表面光滑