



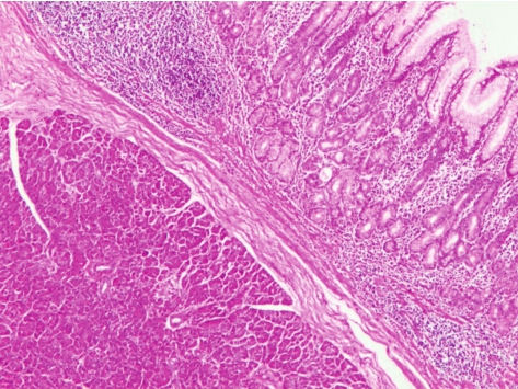
胰腺异位(ectopic pancreas)是一种先天性畸形,是胰腺原基与胚胎原肠粘连或穿透原肠壁,并在发育过程中随原肠旋转而分布于各个异常部位。它与正常胰腺之间无解剖学联系,是孤立的胰腺组织,主要发生于胃,通常位于幽门和幽门窦(图3-8)。胰腺异位罕见发生癌变。
大多数为单发,多发者少见。形状可为圆形或圆锥形,直径约2~4mm,其顶部常呈凹陷,为胰管开口。多位于黏膜下层,少数可位于肌层或浆膜下。
异位胰腺组织主要位于胃黏膜下或肌层,组织学分为3种类型:Ⅰ型可见胰腺导管、腺泡和胰岛,类似正常胰腺组织,较少见。Ⅱ型可见胰腺导管和腺泡,无胰岛,较多见。Ⅲ型可见多量胰腺导管和十二指肠腺,无腺泡或极少,无胰岛,并可见明显增生的平滑肌。
图3-8 胰腺异位至胃窦
胃黏膜下可见异位胰腺腺泡。
慢性浅表性胃炎(chronic superficial gastritis)是一种由多种病因引起的胃黏膜慢性炎症,属于慢性胃炎中的一种,是消化系统的常见病、多发病之一。幽门螺杆菌感染是慢性胃炎尤其是慢性活动性胃炎最主要的病因。
病变胃黏膜充血、水肿,呈深红色。表面分泌物较多,可出现不同程度的出血和糜烂。
黏膜厚度无明显变化,固有腺体无明显萎缩和减少。炎症局限于黏膜浅层,即黏膜固有层。黏膜固有层充血、水肿,较多淋巴细胞、浆细胞浸润,黏膜表面可出现不同程度渗出、变性坏死和修复再生。
慢性萎缩性胃炎(chronic atrophic gastritis)是以胃黏膜内固有腺体萎缩减少为主要病变的一种慢性胃炎,占慢性胃炎的10%~30%,多见于中老年人,好发于幽门和胃小弯。慢性萎缩性胃炎按照病因、发病部位和临床表现分为3种类型:①A型,较少见。病变主要位于胃体部,多弥漫性分布。血清抗壁细胞抗体、抗内因子抗体阳性,血清胃泌素明显升高,胃酸和内因子分泌明显减少或缺少,维生素B 12 吸收障碍,常伴有恶性贫血,又称为自身免疫性萎缩性胃炎。②B型,较多见。病变主要位于胃窦部,呈多灶性分布,与幽门螺杆菌感染密切相关,血清抗壁细胞抗体、抗内因子抗体阴性,血清胃泌素多正常,胃酸分泌正常或轻中度减低,无恶性贫血。③C型,较多见。与胆汁反流和化学物质(乙醇、阿司匹林等非固醇类抗炎药)损伤有关。
早期黏膜红白相间或以白色为主,皱襞变细或平坦(图3-9)。严重者有散在白色斑块或呈颗粒状,黏膜变薄,黏膜下血管清晰可见,易出血,可伴有糜烂。
黏膜固有腺体不同程度萎缩、消失,表现为腺体变小,囊性扩张、减少甚至消失。淋巴细胞、浆细胞弥漫浸润固有膜,可伴有淋巴滤泡形成,处于活动期时可有不等量的中性粒细胞浸润。出现不同程度的肠上皮化生或假幽门腺化生,肠上皮化生多见于胃窦部,固有腺体被肠腺上皮取代,出现吸收上皮、杯状细胞和潘氏细胞。假幽门腺化生多见于胃体和胃底,固有膜内腺体被幽门腺样的黏液分泌细胞取代。黏膜肌层增厚,平滑肌纤维增生伸入到固有膜浅层内。
图3-9 慢性萎缩性胃炎
早期黏膜红白相间。
按照幽门螺杆菌、慢性炎症、活动性、萎缩和肠上皮化生,分为轻度、中度和重度。
轻度,偶见或小标本小于1/3有幽门螺杆菌;中度,连续稀疏分布于表面或超过标本1/3未达到2/3;重度,幽门螺杆菌分布于全部标本或成堆出现。
轻度,慢性炎症细胞较少并局限于黏膜层的上1/3;中度,慢性炎症细胞较多局限于黏膜层的2/3;重度,黏膜全层内可见大量慢性炎症细胞浸润。
轻度,可见少量中性粒细胞;中度,可见较多中性粒细胞,分布于表面上皮、小凹上皮和腺管上皮细胞;重度,可见大量中性粒细胞,并形成小凹脓肿。
轻度,固有腺体萎缩消失不超过1/3;中度,固有腺体萎缩消失大于1/3而小于2/3;重度,固有腺体萎缩消失超过2/3。
轻度,化生区域不超过表面上皮和腺体总面积的1/3;中度,化生区域占1/3~2/3;重度,化生区域占2/3以上。
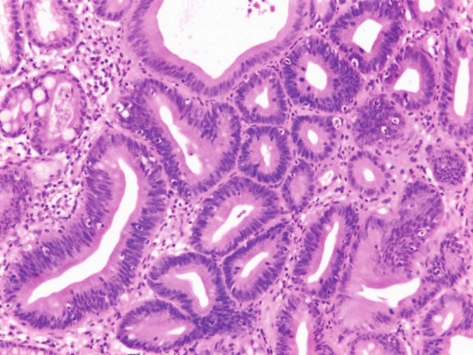
胃黏膜肠上皮化生(intestinal metaplasia)是指胃黏膜上皮细胞被肠型上皮细胞所代替,即胃黏膜中出现类似小肠或大肠黏膜的上皮细胞,如吸收上皮、杯状细胞、潘氏细胞等。
肠上皮化生分为小肠型化生(即完全型肠上皮化生)和结肠型化生(即不完全型肠上皮化生)。小肠型化生(Ⅰ型化生)上皮分化好,化生的上皮内可见小肠黏膜吸收细胞、潘氏细胞、杯状细胞。结肠型化生(Ⅱ型化生),化生的上皮内仅可见柱状上皮细胞和杯状细胞。柱状上皮细胞分泌中性黏液,似胃小凹上皮,杯状细胞分泌涎酸黏液,称为Ⅱa型化生(胃型);柱状细胞分泌硫酸黏液,似结肠腺上皮,杯状细胞分泌涎酸黏液,称为Ⅱb型化生(结肠型)。小肠型化生在各种炎症性病变中检出率高,可能属于炎症反应的性质;而结肠型化生,在良性胃病中检出率很低,但在肠型胃癌旁黏膜中检出率很高,说明结肠型化生与胃癌的发生有密切关系。
胃黏膜上皮内瘤变(intraepithelial neoplasia)分为低级别上皮内瘤变(low grade intraepithelial neoplasia)、高级别上皮内瘤变(high grade intraepithelial neoplasia)和黏膜内癌(intramucosal carcinoma)。
主要病理组织学表现为黏膜组织结构的轻度异常,胃小凹延长增生。腺体由增大的柱状细胞构成,无或极少有黏液分泌。细胞质蓝染,细胞核瘦长、呈雪茄样,假复层排列,有极向,位于基底部。
主要病理组织学表现为黏膜组织结构和细胞形态均出现明显改变。腺体排列紊乱,密集拥挤,形态不规则,出现分支、扭曲或折叠。黏液分泌缺乏或仅极少量。细胞有明显的不典型性,排列成假复层,极性紊乱,细胞核不规则,异型明显,深染,常呈圆形、卵圆形,核仁明显呈双嗜色性,核分裂象增多,并可见病理性核分裂。病变见于整个上皮层,但无间质浸润。
是指癌细胞仅局限于胃黏膜层内,未浸润黏膜下层,而无论有无淋巴结转移,均属于早期胃癌。
胃腺瘤(adenoma of gastric)不常见,约占全部胃息肉的10%,好发于胃窦部,通常为单发,一般体积较大,可有蒂或无蒂。
一般呈广基底,多为绒毛状或菜花状。直径一般大于2cm。
病理组织学特征与大肠腺瘤相同(图3-10),增生的腺体多呈绒毛状和管状,腺上皮伴有不同程度的非典型增生(低级别或高级上皮内瘤变)。根据腺体形态可分为绒毛状腺瘤,管状腺瘤和管状-绒毛状腺瘤。多为绒毛状和管状-绒毛状腺瘤,单纯管状腺瘤少见。绒毛状和管状-绒毛状腺瘤伴有高级别上皮内瘤变者易发生癌变。
图3-10 胃腺瘤
病理组织学特征与大肠腺瘤相同,瘤细胞呈现低级别上皮内瘤变表现,细胞核拉长、深染、拥挤,呈假复层排列。
增生性息肉(hyperplastic polyp)是胃黏膜反复损伤修复导致的胃小凹上皮过度增生性病变(图3-11),最多见,约占全部胃息肉的85%,常发生于老年人。
好发于胃窦部,常多发,直径一般小于2.5cm。表面光滑,有蒂或无蒂。
胃小凹上皮增生肥大,使得胃小凹伸长、扭曲、扩张变形,并可延伸至间质(图3-11)。增生的胃小凹上皮无明显异型,有或无肠上皮化生。息肉可包括幽门腺、主细胞和壁细胞。极少数伴有肠上皮化生和高级别上皮内瘤变者可发展为癌。
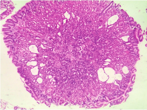
胃底腺息肉(fundic gland polyp)是泌酸性胃底腺上皮增生形成的增生性病变(图3-12)。息肉散在发生,多见于西方人群,与幽门螺杆菌感染无关,无恶变倾向。
胃底、胃体黏膜处可见散在多发、小息肉样隆起性病变,表面光滑。
病变由数量不等的囊性扩张的胃底腺构成,黏液性颈部细胞增生明显(图3-12),还包含主细胞和壁细胞,表面被覆单层柱状上皮,胃小凹变浅。散发的胃底腺息肉无恶变潜能,而家族性息肉病患者的胃底腺息肉可发生恶变。
图3-11 增生性息肉
胃小凹伸长、扭曲、扩张变形,固有层间质有不同程度的水肿和炎症反应。
图3-12 胃底腺息肉
泌酸腺体局限性增生和部分腺体不同程度扩张。
胃腺癌(adenocarcinoma of gastric)是胃黏膜发生的具有腺样分化的恶性上皮性肿瘤,是胃癌最常见的组织学类型。按照腺体组织学形态胃腺癌分为管状腺癌、乳头状腺癌、黏液腺癌、印戒细胞癌。按照Lauren分型分为肠型、弥漫型和混合型(肠型和弥漫型比例大致相当)。
好发于远端胃窦部。
进展期胃癌大体形态主要有息肉型、蕈伞型、溃疡型和浸润型。
胃腺癌形成的恶性腺样结构可以呈管状、腺泡状或乳头状,也可以由黏附力差的、孤立的肿瘤细胞弥漫构成。
由分支状和显著扩张或裂隙样的管状结构组成,管腔大小不一,形态各异。肿瘤细胞呈柱状、立方状或扁平状,也可见透明细胞。肿瘤分化很差时,无管腔结构,称为实体癌。淋巴细胞明显浸润时称为髓样癌或伴有淋巴间质的癌。
此型属于分化好的外生性癌,有伸长的乳头状突起,表面被覆柱状或立方上皮,轴心为纤维血管结缔组织。细胞分化良好,极向尚存。可见急性或慢性炎症细胞浸润。极少数病例可见微乳头形成。肿瘤边缘与周围组织界限清楚。
细胞外黏液池占肿瘤组织的50%以上。主要有2种组织形态:①腺体由黏液柱状上皮构成,间质腔隙中存在黏液;②肿瘤细胞呈串珠状或不规则状散在漂浮于黏液池内。
肿瘤内腺体结构可以辨认,肿瘤细胞的分化从高分化到中分化,有时肿瘤边缘可见低分化癌。典型者具有明显的肠上皮化生背景。可较多出现明显的结缔组织和炎症反应。
肿瘤细胞黏附性差,弥漫浸润胃壁,可有少量腺体分化或无腺体。肿瘤细胞常呈小圆形或印戒细胞样,或排列成中断的花边状或网状。相似于WHO分类中的印戒细胞癌,核分裂明显少于肠型胃癌。
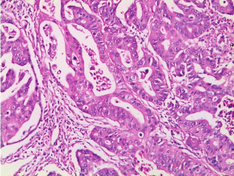
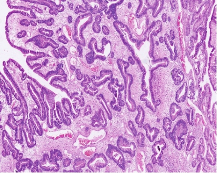
具有规则的腺体结构,常与化生的肠上皮非常相似(图3-13)。
形态介于高分化与低分化之间。
由难以辨认的、高度不规则的腺体构成,或是单个细胞孤立排列或呈大小不一的实性条索,其中可见黏液分泌或形成腺泡样结构。主要用于管状腺癌的分级,其他类型的癌不分级。
可以直接浸润生长、转移或经腹膜扩散。肠型胃癌一般先经血行转移至肝脏,而弥漫型胃癌则先转移至腹膜表面。两种类型的胃癌淋巴结转移率是相同的。混合型癌具有两种类型的转移方式。弥漫型胃癌肿瘤细胞直接浸润周围邻近器官,常浸润十二指肠,这一型浆膜浸润、血管淋巴管浸润和淋巴结转移率都很高。早期胃癌中,小黏膜癌、浅表癌和PenB型淋巴结转移率和血管浸润率低,手术切除预后好;PenA型血管浸润率和淋巴结转移率高,手术切除预后差。进展期胃癌的TNM分期提供了非常重要的预后信息,常可见淋巴结转移和血管浸润,患者预后差。
图3-13 胃腺癌
肿瘤由分化较好的管状腺体构成,腺体形态不规则。
根据胃癌病理诊断规范,胃癌诊断时需同时提供Laurén分型,Laurén分型与WHO分型的对应情况见表3-2。
表3-2 Laurén分型与WHO分型对应情况
Laurén分型共分为4型。
肿瘤内腺体结构可以辨认,肿瘤分化程度从高分化到中分化。
由黏附力差的细胞弥漫性浸润胃壁构成,可见少量腺体或无腺体形成。细胞常呈小圆形,或呈印戒细胞形态,排列呈中断的花边状腺样或网状结构丛。
肠型及弥漫型比例大致相当的癌。
未分化癌及鳞状细胞癌等少见类型癌归为不确定类型。
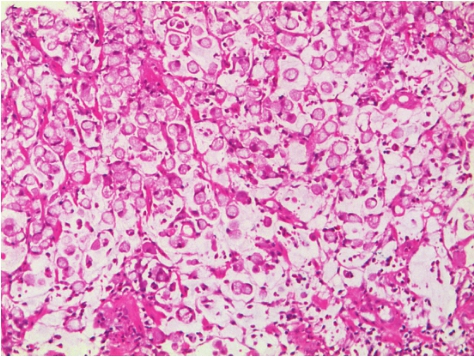
印戒细胞癌(signet-ring cell carcinoma)是胃癌的一种特殊病理类型,散在的或小团状的胞质内含有黏液的恶性肿瘤细胞占肿瘤细胞50%以上。因细胞内充满大量黏液,细胞核偏向一侧,外形酷似一枚戒指,故而得名。该病具有高侵袭转移的生物学特征,病程进展快,自然病程仅为3~6个月,较其他类型胃癌容易发生腹水转移。本病多见于中青年,特别是青年女性。
镜下观察:含有黏液的癌细胞占50%以上,不形成管腔或腺管,呈弥漫浸润性生长。胞质内黏液增多将细胞核挤压到细胞的一侧周边,使癌细胞呈印戒状(图3-14)。有时也形成黏液湖,细胞漂浮其中。肿瘤细胞有5种主要形态:①细胞核被细胞内黏液挤向一侧细胞膜,形成典型印戒样形态,阿辛蓝(pH 2.5)染色阳性;②细胞较小,核位于细胞中央,形态类似组织细胞样,缺乏分裂活性;③细胞小呈嗜酸性,胞质内含中性黏液颗粒,PAS染色阳性;④不含或含少量黏液的小细胞;⑤退行发育的细胞含或不含黏液。以上几种细胞混合排列,数量不一,形成不同的病理组织学形态,可以是花边状或纤细的梁状腺样结构,也可以呈带状或实性条索排列。
主要与某些类型的恶性淋巴瘤和具有印戒细胞样形态的胃肠道间质瘤鉴别。恶性淋巴瘤细胞黏液染色为阴性,而印戒细胞癌黏液染色为阳性,包括PAS、黏蛋白卡红或阿辛蓝染色。免疫组化染色恶性淋巴瘤多为角蛋白阴性,而印戒细胞癌多为阳性。胃肠道间质瘤多为CD117、DOG1和CD34阳性,角蛋白阴性,而印戒细胞癌角蛋白阳性,CD117、DOG1和CD34阴性。
图3-14 印戒细胞癌
肿瘤细胞弥漫分布,胞质内充满淡蓝色黏液,将细胞核挤压至一侧,呈印戒样形态。
神经内分泌肿瘤(neuroendocrine tumor)是一类少见、生长缓慢的,能够产生、储存和分泌不同肽和神经胺等物质,并能相应引起某些特定临床表现的肿瘤。其好发于胃肠道和胰腺,约占神经内分泌肿瘤的75%,其次还可发生在肺和支气管。绝大多数发生在成人,儿童的神经内分泌肿瘤极为罕见。
WHO(2019)“消化系统肿瘤分类”将消化系统神经内分泌肿瘤分为6类:神经内分泌瘤1级、神经内分泌瘤2级、神经内分泌瘤3级、神经内分泌癌、混合性腺癌神经内分泌癌,以及产生特异激素的神经内分泌肿瘤。发生于胃的神经内分泌肿瘤大部分为高分化非功能性肠嗜铬样细胞神经内分泌瘤,来源于胃底、胃体的泌酸性上皮,分为3种类型:①Ⅰ型,与自身免疫性慢性萎缩性胃炎相关;②Ⅱ型,与多发性神经内分泌肿瘤Ⅰ型和佐林格-埃利森综合征(Zollinger-Ellison syndrome)有关;③Ⅲ型,散发性,与高胃泌素血症或自身免疫性慢性萎缩性胃炎无关。
(1)部位:
Ⅰ型、Ⅱ型、Ⅲ型多发生于胃体及胃底黏膜,少见的G细胞肿瘤发生于幽门区。小细胞神经内分泌癌多发生于胃体和胃底,也可发生于胃窦。
(2)大体观察:
Ⅰ型多为多发,呈黄褐色小结节或息肉。Ⅱ型多发的黏膜或黏膜下结节较Ⅰ型增大,直径通常<1.5cm。胃壁增厚,体积增大。Ⅲ型常为单发,直径一般>2cm,多浸润肌层,甚至浆膜层。
(3)镜下观察:
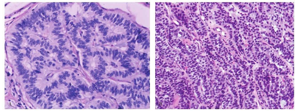
①大部分Ⅰ型和Ⅱ型的神经内分泌肿瘤特点为规则镶嵌排列的细胞聚集成小梁状结构;瘤细胞胞质较丰富且红染,细胞核无明显异型性,无明显核仁,核分裂象少,可见瘤细胞浸润血管。②EC细胞,5-羟色胺生成性神经内分泌瘤,在胃极少见。由体积较小的肿瘤细胞紧密排列成巢状(图3-15A),周边肿瘤细胞常排列成栅栏状。瘤细胞强嗜银,免疫组化CgA和5-羟色胺呈阳性反应;电镜检查可见肿瘤细胞内多形性强嗜锇颗粒,类似正常EC细胞。③胃泌素瘤,肿瘤细胞排列成纤细的小梁状(图3-15B)或实性巢状,肿瘤细胞大小一致,胞质少。免疫组化染色胃泌素呈强阳性。
图3-15 神经内分泌肿瘤
A.肿瘤细胞排列成巢状,呈菊形团样结构;B.肿瘤细胞排列成小梁状。
与发生在肺的小细胞癌相似,属于高度侵袭性的恶性肿瘤。镜下见肿瘤细胞呈实性或片状生长,偶伴有小梁状结构,基底呈栅栏状排列。间质血管较多,坏死多见。细胞小或中等,呈圆形或短梭形,胞质稀少,细胞核规则一致,染色深,无明显核仁,核分裂和凋亡极多。
是一种由大细胞构成的罕见恶性肿瘤。瘤细胞排列成器官样、巢状、小梁状及栅栏状。肿瘤细胞胞质丰富,核空泡状明显,核仁清楚,核分裂易见。
相对少见,既含有普通腺癌成分又有神经内分泌癌成分,且普通腺癌和神经内分泌癌成分均必须超过30%,否则应该诊断腺癌伴神经内分泌分化(诊断要点见表3-1)。
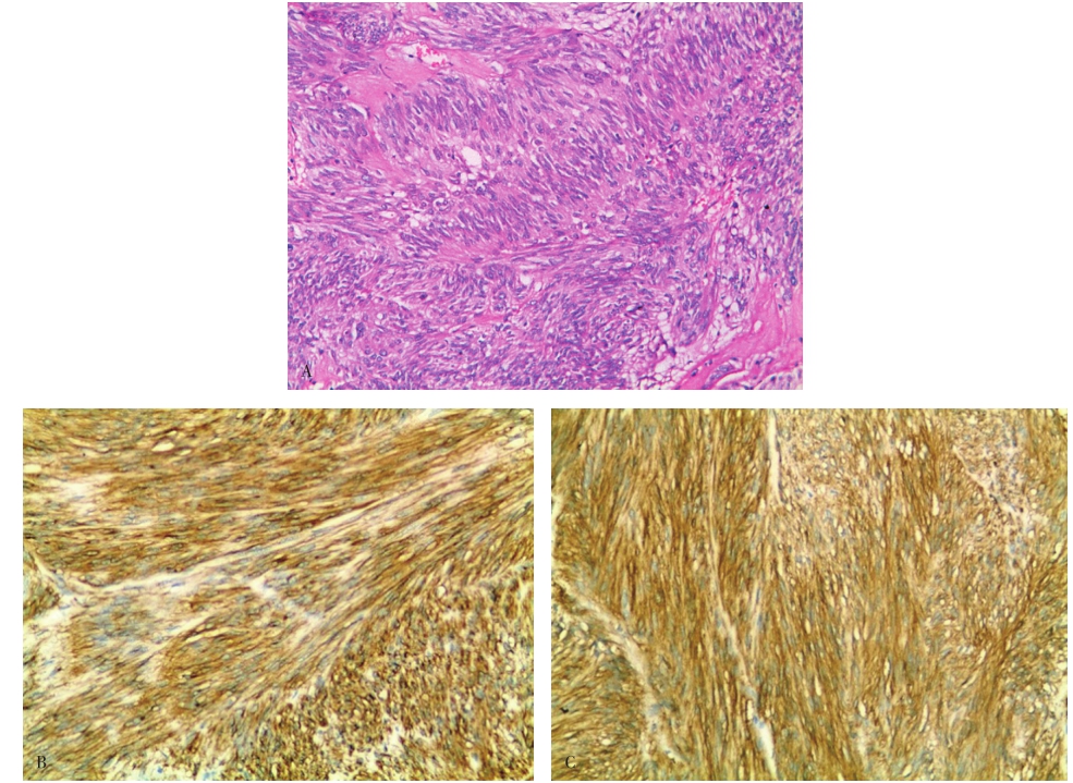
胃肠道间质瘤(gastrointestinal stromal tumor,GIST)是胃肠道最常见的间叶源性肿瘤,由突变的 c - kit 或血小板源性生长因子受体( PDGFRA )基因驱动;组织学上多由梭形细胞、上皮样细胞,偶或多形性细胞排列成束状或弥漫状,免疫组化检测通常为CD117和/或DOG-1阳性。
可发生于胃肠道的各段,也可发生于网膜和肠系膜。胃最常见(60%~70%),其次是小肠(20%~30%)、结肠和食管(小于10%)。
胃的GIST可为浆膜、黏膜下和胃壁内结节,直径从1~2cm到大于20cm不等,呈局限性生长,大多数肿瘤没有完整的包膜,偶可看到假包膜,体积大的肿瘤可伴随囊性变、坏死和局灶性出血,向腔内生长者多呈息肉样肿块,常伴发溃疡形成,向浆膜外生长形成浆膜下肿块。肿瘤大体形态呈结节状或分叶状,切面呈灰白色、红色,均匀一致,质地从硬韧到软,可见出血、坏死、黏液变及囊性变。
在组织学上,GIST与平滑肌瘤相似,由梭形细胞、上皮样细胞或两种细胞由不同比例混合构成,大部分主要由梭形细胞构成,常可见核旁空泡改变。组织形态多样,可以呈漩涡状、花边状、栅栏状、菊形团样、古钱币样等多种结构。肿瘤中胶原丰富,细胞稀少,血管周玻璃样变明显,并伴有黏液样变(图3-16A)。
大部分GIST呈CD117和DOG1阳性(图3-16B、图3-16C),70%~80%的GIST呈CD34阳性,30%~40%呈灶状或弥漫a-SMA阳性,少数呈结蛋白阳性,绝大多数呈S-100阴性。
图3-16 胃肠道间质瘤
A.肿瘤细胞呈梭形,排列呈典型的栅栏状,血管周可见玻璃样变;B.CD117阳性表达;C.DOG1阳性表达。
原发肿瘤的部位、大小、核分裂及是否发生破裂等是影响危险度评估和分级的重要因素。目前采用2008版美国国立卫生研究院(National Institutes of Health,NIH)的原发GIST切除后的风险分级,见表3-3。
表3-3 原发胃肠道间质瘤切除术后危险度分级
注:2008版美国国立卫生研究院改良版,中国共识2017修改版。
①发生于胃者病例数较少,尚无循证学证据。
主要与平滑肌肿瘤、神经鞘瘤相鉴别。平滑肌肿瘤表达a-SMA、结蛋白等肌源性标志物,CD117、DOG1和CD34均为阴性。而大多数GIST表达CD117、DOG1和CD34,肌源性标志物结蛋白为阴性。神经鞘瘤S-100呈阳性,而CD117、DOG1和CD34呈阴性,GIST与其相反。
胃黏膜相关淋巴组织边缘区淋巴瘤(marginal zone lymphoma of mucosa-associated lymphoid tissue)是原发于胃的一种结外淋巴瘤。肿瘤由形态多样的小B细胞组成,其中可见边缘区(中心细胞样)细胞、单核细胞样细胞、小淋巴细胞及散在的免疫母细胞和中心母细胞样细胞。部分可伴有浆细胞分化。该肿瘤占原发胃淋巴瘤的50%,多发生于成人,女性稍多于男性。幽门螺杆菌的抗原持续刺激作用是重要的致病因素。
最常见于胃窦部。
病变处黏膜增厚,皱襞粗大,可伴有糜烂和小溃疡,有时也呈结节状或息肉样。病变可为多灶性。
组织结构与正常的黏膜相关淋巴组织(mucosal-associated lymphoid tissue,MALT)基本相似,形态学上属于边缘区B细胞。最初,肿瘤细胞在滤泡间、套区外部浸润,分布于边缘带。随着病变进展,肿瘤细胞浸润超出滤泡范围,并扩散融合成大片区域,形成模糊的结节样或弥漫分布。瘤细胞类似典型的边缘区细胞,小或中等大小,胞质中等淡染,核不规则,核仁不明显,与滤泡中心细胞相似,称为中心细胞样。瘤细胞有时可呈单核细胞样形态,胞质丰富淡染,细胞界限清楚。有时也可类似小淋巴细胞样。约1/3伴有明显的浆细胞分化。瘤细胞浸润破坏邻近的腺体,形成典型的淋巴上皮病变,并引起上皮形态变化。肿瘤如果出现簇状成片中心母细胞样或免疫母细胞样转化,应诊断为弥漫大B细胞淋巴瘤。
瘤细胞的免疫表型与边缘区B细胞相似,表达CD20、CD79a、CD21、CD35,不表达CD5、CD10、CD23。肿瘤细胞特征性表达IgM,较少表达IgA和IgG。抗角蛋白抗体可以更好地显示肿瘤内的淋巴上皮病变,对诊断非常有帮助。
需要鉴别的诊断包括反应性炎症性病变和其他小B细胞淋巴瘤(套细胞淋巴瘤、滤泡性淋巴瘤和小淋巴细胞性淋巴瘤)。与反应性炎症性病变的主要区别是MALT淋巴瘤具有边缘区B细胞形态的细胞破坏性浸润。套细胞淋巴瘤表达Cyclin D1和CD5,而MALT淋巴瘤不表达。滤泡性淋巴瘤表达CD10和BCL-6,而MALT淋巴瘤不表达。小淋巴细胞淋巴瘤表达CD23和CD5,而MALT淋巴瘤不表达。
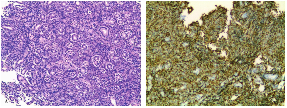
弥漫大B细胞淋巴瘤(diffuse large B cell lymphoma,DLBCL)是由大B细胞样细胞构成的一类肿瘤,呈弥漫性生长。胃是结外最好发部位,多见于50岁以上老年人。
肿瘤好发于胃的远端1/2。
肿瘤呈大的分叶状或息肉样肿块,伴有浅表或深在溃疡。
形态学上很难与结内原发的弥漫大B细胞淋巴瘤区分。瘤细胞弥漫浸润并破坏胃黏膜结构(图3-17)。肿瘤细胞体积大,胞质丰富,核呈空泡状,核仁明显,核分裂多见。
肿瘤细胞表达广泛的B细胞标志物CD19、CD20、CD22和CD79a,也可丢失一种或多种。可以表达CD30和CD5,但不表达Cyclin D1。通过联合使用CD10、BCL-6和Mum-1可以将弥漫大B细胞淋巴瘤分为生发中心来源和非生发中心来源。CD10阳性细胞数大于30%或CD10阴性、Mum-1阴性、BCL-6阳性均为生发中心来源,其余表达模式均为非生发中心来源。
胃黄斑瘤(xanthelasma of gastric)又称黄色素瘤、脂质岛或胃黏膜黄斑,是一种在胃黏膜内形成的黄白色瘤样斑块,属于良性病变。由于慢性胃炎引起胃黏膜局灶性破坏,残留的含脂碎屑被巨噬细胞吞噬并聚集而成泡沫细胞巢结构,多发生于胃,多见于50岁以上的患者,男性多见。
图3-17 胃弥漫大B细胞淋巴瘤
A.瘤细胞弥漫浸润并破坏胃黏膜结构;B.免疫组织化学CD20弥漫阳性。
好发于胃窦部。
表现为境界清楚的近圆形、黄白色、单发或多发的黏膜结节或斑块(图3-18A),大小不一,直径一般在5mm以内。
由大的含有胆固醇和脂蛋白的泡沫细胞在黏膜固有层聚集形成,周围可以围绕慢性炎症细胞(图3-18B)。瘤细胞大小一致,胞质丰富呈泡沫状,核小,卵圆形淡染,位于中央,可见一个或多个小核仁,染色质细,无核分裂,肿瘤间质无黏液。
主要与印戒细胞癌相鉴别。胃印戒细胞癌的胞质呈浅蓝色,核大深染,多位于细胞一侧,有异型,染色质粗而分散,可见核分裂象,肿瘤间质可见黏液湖,黏液染色PAS/AB阳性,免疫组化CD68阴性,CK、CEA阳性。而黄斑瘤PAS/AB阴性,免疫组化CD68阳性,CK、CEA阴性。
图3-18 胃黄斑瘤
A.大体为境界清楚的近圆形、黄白色、单发或多发的黏膜结节;B.镜下可见含有胆固醇和脂蛋白的泡沫细胞聚集。
(李月红)