



侵入性血流动力学监测的概念在19世纪中叶就已经产生,但直到1970年,Swan和Ganz发明了尖端带有球囊的肺动脉漂浮导管,该技术才在临床上得以广泛应用,因此肺动脉漂浮导管也被称为Swan-Ganz导管。目前,肺动脉漂浮导管主要在手术室、重症监护病房(intensive care init,ICU)中用于血流动力学监测。肺动脉漂浮导管使得临床医生可以在床旁监测右心房压、肺动脉压和肺毛细血管楔压(pulmonary capillary wedge pressure,PCWP)。2013年一项Cochrane系统评价了13项随机对照试验(randomized controlled trial,RCT),共纳入5 686例患者,发现在病死率、ICU入住时间和住院时间方面,用或不用肺动脉漂浮导管并无差异,使肺动脉漂浮导管的应用大大下降,但这种高级血流动力学监测设备仍为医生管理血流动力学不稳定的患者提供了帮助。在无创血流动力学监测技术不断进步的今天,肺动脉漂浮导管在复杂病例的监测中仍有重要价值。
1.复杂的心肌梗死,包括难治性低血压或左心衰竭、因机械性并发症(如二尖瓣反流、室间隔穿孔)导致的血流动力学恶化。
2.其他心脏情况,包括心脏压塞的诊断与治疗、鉴别心源性与非心源性肺水肿、严重心肌病的管理、严重肺高压的诊断与治疗。
3.在脓毒症、创伤、烧伤、多器官功能衰竭等严重状态下,同时出现低血压、少尿、低灌注(皮肤冷、意识障碍、乳酸酸中毒)、严重低氧血症需要高水平呼气末正压(positive endexpiratory pressure,PEEP)(> 10cmH 2 O)(1cmH 2 O=0.098kPa)。
4.高危心脏手术,如高龄患者的冠状动脉旁路移植术、多瓣膜置换术、室壁瘤切除术等。
5.复杂的血管外科手术,如动脉瘤切除术、胸腹主动脉置换术等。
6.其他存在高危因素的手术患者,如最近6个月内的心肌梗死、左心室功能低下等。
(1)三尖瓣或肺动脉瓣狭窄。
(2)三尖瓣或肺动脉瓣置换术。
(3)三尖瓣或肺动脉瓣心内膜炎。
(4)右心房或右心室肿物(肿瘤或血栓)。
(5)法洛四联症(肺动脉漂浮导管刺激右心室流出道会导致流出道痉挛)。
(1)高级别心律失常,尤其是完全性左束支传导阻滞,由于肺动脉漂浮导管尖端可刺激右心室导致一过性右束支传导阻滞,进而可能出现完全性房室传导阻滞。
(2)凝血功能异常,其不仅可以增加导管置入时的出血,还可以增加导管留置时的气道内出血。
(3)新植入的起搏导线。起搏导线在放置4~6周后才能牢固地植入心内膜或心肌内,该时间之前插入肺动脉漂浮导管存在使起搏导线移位的风险。
(1)操作前与患者及家属签署知情同意书。
(2)操作前常规获取血常规、凝血常规、电解质、心电图等检查结果。严重的血小板和凝血异常会使出血风险增加;电解质失衡使心律失常发生风险增加;心电图异常,尤其是存在左束支传导阻滞者应谨慎施行本操作。
(3)患者常规连接心电监护,包括心电图、血氧饱和度和动脉血压监测。
(4)患者存在紧张、焦虑或无法长时间保持固定配合操作时,可给予适量抗焦虑或镇静药物。
(5)入路:肺动脉漂浮导管穿刺最常选用右颈内静脉或左锁骨下静脉,这两个位置导管置入最容易;其次,可选择左侧颈内静脉或右锁骨下静脉;股静脉在没有介入引导的情况下置入难度较大。
(6)操作过程中,患者面部被覆盖,同时由于并存的心、肺疾病等会加重患者的不适及心理恐惧感,在操作过程中应经常询问患者感受,及时发现患者病情恶化。
(7)患者去枕平卧,头部左偏,操作过程中保持该体位,必须变换体位或移动时需与操作者沟通。
(1)一次性静脉穿刺包:内含穿刺所需的消毒刷、无菌孔巾、注射器、穿刺针等设备(图3-1-1)。
(2)漂浮导管鞘管:肺动脉漂浮导管置入前一般需置入鞘管,该鞘管外径约2.3mm(7F),带有一个侧孔。将扩张器经鞘管插入后备用(图3-1-2)。此鞘管除了用于置入漂浮导管外,还可以用于快速输液,主管的输液速度可以达到15ml/s,但侧孔的速度仅为主管速度的25%。
图3-1-1 穿刺前准备
图3-1-2 漂浮导管鞘管
(3)漂浮导管:目前临床常用的肺动脉漂浮导管有6种,分别为二腔[测定肺动脉压(pulmonary artery pressure,PAP)和肺毛细血管楔压(pulmonary capillary wedge pressure,PCWP)]、三腔[在二腔基础上增加中心静脉压(central venous pressure,CVP)监测]、四腔[增加心排血量(cardiac output,CO)和监测]、五腔[增加静脉血氧饱和度(oxygen saturation in venous blood,SvO 2 )监测]和六腔[两种类型,其中一种增加连续心排血量(continuous cardiac output,CCO)的监测功能;另一种除CCO监测功能外,还增加了RVEF和RVEDV的监测功能]。此处以四腔肺动脉漂浮导管为例(图3-1-3)。首先检查漂浮导管气囊的密闭性,用导管包内准备好的注射器抽入1.5ml空气,将该注射器与红色接口旋转连接好,导管远端球囊置入无菌生理盐水后,将1.5ml气体注入球囊,检查球囊是否漏气,再将卡扣卡紧,检查卡扣是否密闭良好;然后以肝素盐水经肺动脉(pulmonary artery,PA)端(黄色)及中心静脉导管(central venous catheter,CVC)端(蓝色)预充排气。
图3-1-3 肺动脉漂浮导管
(4)漂浮导管无菌保护套:漂浮导管鞘管包内有无菌保护套,该保护套用于导管留置期间保持导管处于无菌环境。在准备好漂浮导管后,将漂浮导管插入无菌保护套内,前段适当露出备用,旋紧保护套尾端旋钮使导管与保护套不会相对滑动。
(5)2%利多卡因,穿刺时用于局部麻醉。
(6)抢救设备:肺动脉漂浮导管置入期间可能出现严重并发症,应事先准备好抢救设备,包括球囊面罩、气管插管等气道管理设备;除颤仪用于复律或除颤;必要时应备好经皮或经静脉临时起搏器。
(7)测压套件:选择合适接口的测压套件,将测压套件连接好,备好250ml肝素盐水用于冲管,将测压套件与肝素冲管液连接好后排气、调零后备用。
(1)核对患者信息,包括姓名、性别、年龄、主诉。
(2)确认禁食、禁饮时间。
(3)询问患者既往有无高血压和心、肺、脑疾病等病史,有无服用抗血小板药物、抗凝药物如阿司匹林、氯吡格雷等的情况及有无出凝血异常疾病病史。
(4)有无麻醉药物过敏史。
(5)查看患者血常规、凝血功能、心电图及既往检查结果。
(6)明确患者有无肺动脉漂浮导管检查禁忌证。
(7)确定患者已签署肺动脉漂浮导管检查同意书。
1.患者取平卧位或15°~20°头低足高位,头偏向左侧。如果患者颈部较短,可以在肩下垫小枕。
2.穿刺置入鞘管的方法同颈内静脉置管,即在胸锁乳突肌的胸骨头、锁骨头和锁骨围成的三角形的顶端触诊颈动脉搏动,可以用左手指将颈内动脉轻轻向内侧推移,以22G小针在颈内动脉外侧缘穿刺。穿刺针与皮肤成45°,并指向同侧乳头。穿刺到暗红色血液后,可以移去注射器,观察血流形态,辅助判断是否为静脉。
3.上述步骤完成后,即确认颈内静脉的走行及穿刺深度,此时以18G穿刺针穿刺颈内静脉,并将导丝沿穿刺针置入颈内静脉,导丝置入深度以距皮肤12~15cm为宜,用刀片将导丝入口的皮肤及皮下处切开,以便于鞘管置入。
4.将带扩张管的鞘管沿导丝置入,当扩张管进入颈内静脉2~3cm后,此时鞘管已经进入颈内静脉,保持导丝及扩张管不动,将鞘管完全置入。置入后拔除导丝及扩张管,将鞘管留置在颈内静脉内。回抽侧管通畅后,以肝素盐水冲管。将鞘管缝合固定于颈部皮肤。
5.鞘管置入后,更换手套,取出漂浮导管,保持漂浮导管的自然弯曲度,此弯度有助于将导管置入到位。将漂浮导管PA端连接在压力换能器,使导管尖端指向心脏方向并沿鞘管置入,将导管无菌保护套处的卡扣与鞘管卡牢。将换能器置于腋中线第4肋间隙水平调零。
6.漂浮导管置入15~20cm后,将气囊充气并锁定。持续监测波形变化,以压力波形变化指导导管依次通过右心房、右心室、肺动脉并最终嵌顿(图3-1-4)。导管位于右心房时,压力波形与中心静脉压波形相同;导管进入右心室时会出现压力波形的急剧升高,舒张压一般低于10mmHg;导管进入肺动脉后,收缩压变化不大,但舒张压升高(大于10mmHg);当导管嵌顿后,压力波形再次转为PCWP波形,球囊放气后再次恢复为肺动脉压波形(图3-1-4)。
在心脏大小正常时,导管进入右心房时深度为20~25cm,置入右心室时深度为30~35cm,置入肺动脉时深度为40~45cm。但当存在右心房或右心室扩大时,导管在该扩大心腔内的深度增加。当导管深度异常增加仍不能进入肺动脉内时,可能表明导管在心腔内盘旋或打折,此时应将球囊内气体抽尽后回退导管至上一个心腔。
7.一旦波形显示为PCWP波形时,回抽球囊内气体,再将保护套前段旋钮旋紧使导管位置固定。如果球囊内充气量小于0.75ml即出现PCWP波形,则表明导管置入过深,需要将导管回退至恰当位置。
肺动脉漂浮导管的并发症包括中心静脉穿刺并发症、导管置入时的并发症和导管留置期间并发症。
包括误穿颈内动脉、出血、气胸、血胸、心脏穿孔等。
穿刺过程中房性期前收缩、室性期前收缩较常见,一般不需处理。但当心律失常持续存在时,尤其是伴有血流动力学恶化时,可以实施电复律。完全性房室传导阻滞是严重并发症,尤其是在先前存在左束支传导阻滞时。
图3-1-4 肺动脉漂浮导管置入过程中波形变化
CVP.中心静脉压;RVP.右心室压;PAP.肺动脉压;PCWP.肺毛细血管楔压。
球囊未排空时回退导管可能造成肺动脉瓣及三尖瓣的机械损害。
可发生在任何部位,常见于右心室,其次为肺动脉,主要是导管在相应部位置入过深所致。
患者存在房间隔缺损或室间隔缺损时,导管可能通过缺损进入左心,进而进入主动脉。
该并发症罕见但危重。
球囊在肺动脉远端充气可能会导致相应血管破裂。
(1)肺梗死:导管留置期间球囊未放气,导致远端肺血管血流堵塞,可造成肺梗死。
(2)血栓形成:导管留置时间较长时有血栓形成风险,尤其是当进行抗纤溶治疗时,血栓形成的风险更高。
(3)肺动脉破裂:导管置入早期及晚期均可发生肺动脉破裂,其病死率可达30%~70%。主要因为导管过分嵌入或球囊嵌顿时间过长。
(4)感染性心内膜炎:导管留置时间较长时发生感染、肺动脉破裂、血栓形成等风险均增加。一般导管留置时间不超过72小时。
(5)感染或脓毒症。
(6)球囊破裂或导管折断。
1.肺动脉漂浮导管鞘管扩张管置入时应避免将鞘管和扩张管同时完全置入,这样易造成颈内静脉损伤,术后颈内静脉血栓形成风险较高。
2.导管置入时保持其自然弯曲度,此弯曲度与心脏解剖结构相适应,可以提高置管成功率。
3.如果导管由右心房进入右心室时困难,可以将患者体位改为头高位;如果导管由右心室进入肺动脉困难,可以将患者体位改为头高并右侧位,此时导管漂流方向与肺动脉起始处方向一致。
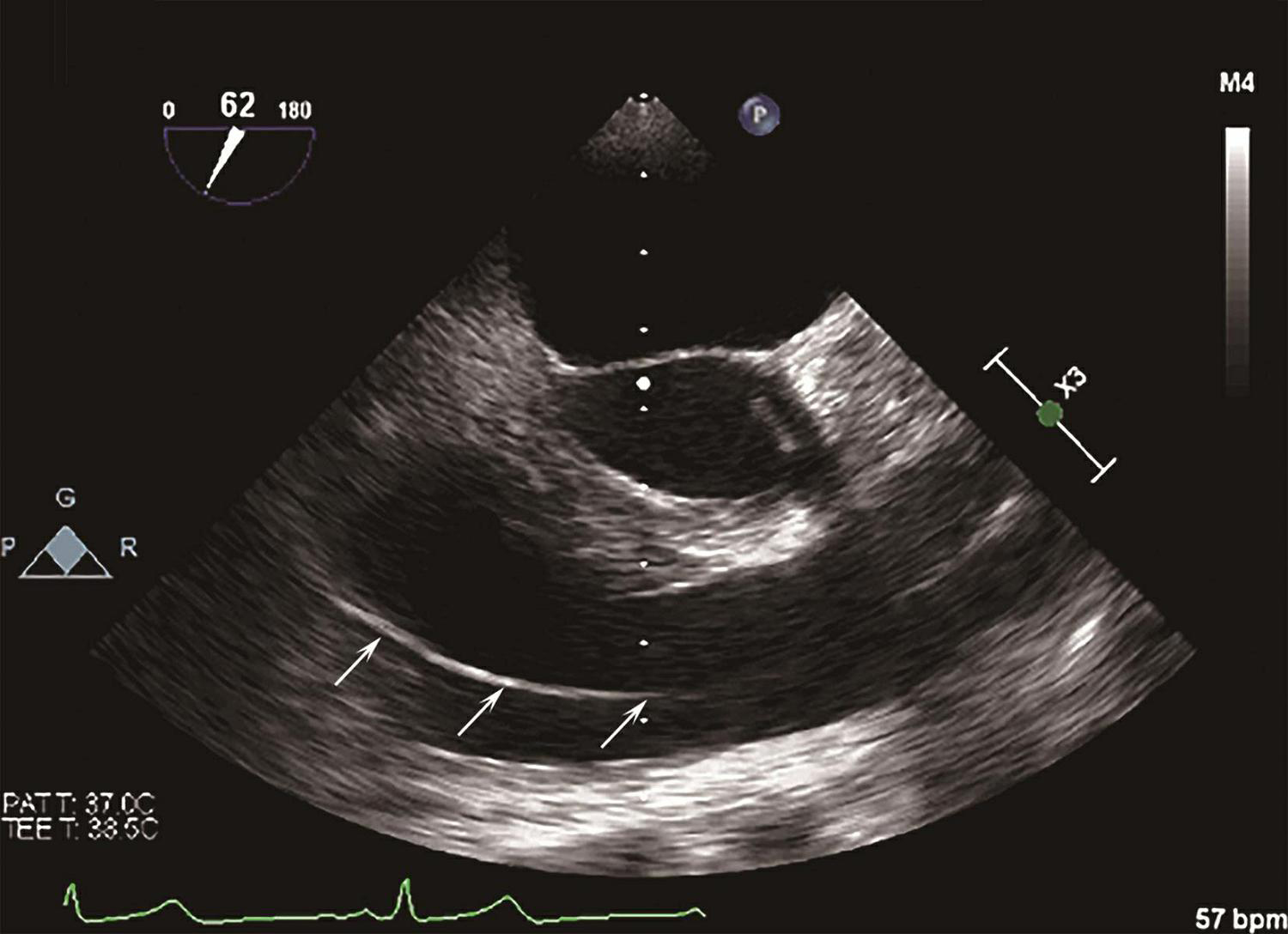
4.如果置入困难,或患者存在复杂心内畸形,如大房间隔缺损、大室间隔缺损、单心室、右心室双出口等,可以通过经胸心脏超声或经食管心脏超声辅助提高成功率(图3-1-5)。
图3-1-5 肺动脉漂浮导管食管超声影像
白色箭头示经右心室向肺动脉走行的肺动脉导管。
5.熟记导管位于每个心腔时的置入深度,当置入深度远超该深度仍未能通过此腔时不要盲目置入,以免导管打结、盘旋、心脏或肺动脉穿孔。
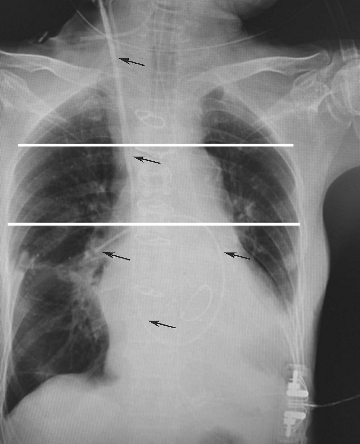
6.导管置入完成后,常规行床旁胸片检查,明确导管位置。漂浮导管的最佳位置是肺的west分区Ⅲ区,此处的压力由高到低为肺动脉压(P a )、肺静脉压(P v )、肺泡压(P A ),因此左心房压估测的准确度相对较高(图3-1-6)。
图3-1-6 漂浮导管置入至正确位置的胸片表现
黑色箭头示肺动脉导管。
1.肺动脉漂浮导管全长110cm,外径2.3mm(约7F),自尖端开始每10cm处有一细线标记,50cm处为粗线标记。导管有两个内腔,一个位于导管尖端,另一个距离导管尖端30cm,正常情况下位于右心房内。导管尖端附近有一温敏探头,可以感知血液温度及其变化,是测量心排血量的必备元件。导管远端有4个接口,分别连接温敏探头、肺动脉腔、右心房腔和球囊(图3-1-2)。目前,在这种常规漂浮导管基础上开发了一些含有更多功能的漂浮导管,包括带有起搏功能、能连续测量心排血量及连续测量混合静脉血氧饱和度的导管。
2.肺动脉漂浮导管能够测量多种参数,同时可以通过公式计算出更多的衍生参数。压力参数包括中心静脉压(central venous pressure,CVP)、肺动脉压(PAP)、肺毛细血管楔压(PCWP);循环功能参数包括心排血量(CO)、心脏指数(cardiac index,CI)、每搏量(stroke volume,SV)、每搏量指数(stroke volume index,SVI)、体循环血管阻力(systemic vascular resistance,SVR)(指数)、肺血管阻力(pulmonary vascular resistance,PVR)(指数);氧代谢参数包括混合静脉血氧饱和度(SvO 2 )、氧输送、氧摄取、氧摄取率等。
3.肺动脉漂浮导管的重要功能之一是测量心排血量,所采用的方法是热稀释法,为目前测量心排血量的金标准。根据肺动脉漂浮导管生产厂家的说明书要求,将一定容积的室温或冰盐水快速注入右心房,与右心房的血液混合后导致血液温度下降,流经肺动脉漂浮导管后,导管尖端的温敏探头探测到温度的改变,并记录其随时间变化的曲线,最后根据Steward-Hamilton公式计算获得心排血量。该心排血量与曲线下面积成反比。
4.肺动脉漂浮导管相关参数正常值及解释
(1)CVP:肺动脉导管的一个通道位于上腔静脉或右心房时,可以直接测定CVP和右心房压力(right atrium pressure,RAP),正常值范围6~10mmHg。RAP < 4mmHg通常表示心腔充盈欠佳或血容量不足,RAP > 12mmHg通常表示右心功能不全或输液超负荷。
(2)PAP:目前仅能通过肺动脉导管直接测定肺动脉压,其正常值为15~28/8~15mmHg,平均肺动脉压(mean pulmonary artery pressure,MPAP)10~25mmHg。如果静态下MPAP > 25mmHg,动态下MPAP > 30mmHg,即可诊断肺动脉高压。PAP受胸腔内压力的影响,测定压力时应在呼气相开始时进行。
(3)PCWP:由于左心房和肺静脉之间不存在瓣膜,左心房压可逆向经肺静脉传至肺毛细血管,如无肺血管病变,PCWP可反映左心房压。如无二尖瓣病变,PCWP可间接反映左心室舒张末期压力(left ventricular end diastolic pressure,LVEP),用于判定左心室的前负荷,其正常值范围6~12mmHg。
(4)SVR:为了维持全身组织器官的血液灌注,必须维持一定的组织灌注压,血管内容量、心肌收缩力和外周血管阻力是决定灌注压的主要因素。SVR的正常值为800~1 200dyn/(s·cm 5 )。SVR < 800dyn/(s·cm 5 )提示全身血管阻力低,可能使血压降低,如药物影响、败血症等;SVR > 1 200dyn/(s·cm 5 )提示全身血管阻力高,可能会影响心脏射血功能和组织器官的血液灌注。
(5)PVR:PVR正常值为120~240dyn/(s·cm 5 )。PVR > 250dyn/(s·cm 5 )提示肺血管阻力增高,如原发性或继发性肺动脉高压(慢性肺部疾病、肺水肿、左心衰竭、急性呼吸窘迫综合征)。
(6)SV和SVI:SV是指心脏每次收缩的射血量,正常值为60~90ml;SVI正常值为25~45ml/(b·m 2 ),主要反映心脏的射血功能,取决于心室前负荷、心肌收缩力及全身血管阻力,是血流动力学重要的参数。
(7)CO和CI:CO是指左心室或右心室每分钟射入主动脉或肺动脉的血量。正常成人的CO为5~6L/min,CI的正常值为2.5~4.0L/(min·m 2 )。CO反映心肌的射血功能,测定CO对判断心功能、计算血流动力学其他参数如CI、外周血管总阻力等,对指导临床治疗具有十分重要的意义。
肺动脉漂浮导管置入操作规范评分表见表3-1-1。评分标准如下。
5分:操作过程流畅,无卡顿,检查熟练,导管置入及退出方法正确,能及时发现并正确处理并发症,参数测量正确,人文关怀到位,有术前交流、术中安慰及术后注意事项的交代。
4分:介于5分与3分之间。
3分:操作过程能整体完成,错误次数少于3次,导管置入方法基本正确,可发现严重并发症,并能提出大致的治疗方案,能基本正确测量相关参数,有部分术前交流、术中安慰及术后注意事项的交代。
2分:介于3分与1分之间。
1分:操作过程错误次数大于5次,操作粗暴,严重并发症发生时未能正确发现及处理,不能正确测量相关参数,无人文关怀。
表3-1-1 肺动脉漂浮导管置入操作规范评分表
1.肺动脉漂浮导管进入下腔静脉。这往往是由于未将导管弯曲度朝向患者左侧所致。漂浮导管的自然弯折是依据右心解剖结构设计的,置入时导管尖端朝向10~11点方向,可以使导管更易进入右心室和肺动脉。
2.肺动脉漂浮导管进入左心系统。常见于存在先天性心内分流的患者,当缺损较大或存在右向左分流时,导管沿血流方向进入左心系统。
3.导管留置期间未将套囊放气。未严格按照操作流程进行,或测量肺毛细血管楔压后忘记将套囊放气,往往会造成肺梗死、肺动脉破裂等严重并发症。
4.回退导管时未将套囊放气。未严格按照操作流程进行,拔除导管或回退导管调整位置时,忘记将套囊放气,可能会导致导管拔除困难,或损伤肺动脉瓣及三尖瓣。
1.下列选项中,属于置入肺动脉漂浮导管禁忌证的是
A.窦性心动过速
B.完全性左束支传导阻滞
C.房间隔缺损
D.主动脉瓣狭窄
E.二尖瓣狭窄
2.下列选项中,描述正确的是
A.置入漂浮导管鞘管时,应将鞘管和扩张管一同完全置入颈内静脉,然后再拔除扩展管
B.当漂浮导管位于肺的Ⅰ区时,所测的肺毛细血管楔压最准确
C.漂浮导管嵌顿到位的标志是肺动脉压力波形转变为左心房压波形,松开套囊后再次转变为肺动脉压力波形
D.导管位于右心房时的深度为30~35cm
E.漂浮导管通过右心室时需要尽可能缓慢通过
3.在置入漂浮导管的过程中,导管置入了60cm,波形显示仍为右心室压。此时应该
A.继续置入导管直到出现肺动脉压波形
B.将套囊抽气后再继续置入直到出现肺动脉压波形
C.将套囊抽气后回退至右心房再尝试置入
D.行床旁胸片检查确认导管位置
E.将套囊进一步充气以增强漂浮引导效果
4.在漂浮导管置入到右心室时,心电监护突然出现频发室性心律失常,患者诉有明显的心悸不适。此时应该
A.不做处理,继续置入导管
B.立即进行电复律治疗
C.将导管气囊排气后退出,待心律失常消失后再尝试置入
D.导管留在右心室内等待心律失常消失
E.立即使用抗心律失常药物
5.下列选项中, 不属于 肺动脉漂浮导管能够获取的参数是
A.肺动脉压
B.心排血量
C.体循环阻力(指数)
D.血管外肺水指数
E.中心静脉压
答案: 1.B 2.C 3.C 4.C 5.D
(宋宗斌)
[1]中华医学会麻醉学分会.围术期肺动脉导管临床专家共识.临床麻醉学杂志2009, 25 (3): 196-199.
[2]CHATTERJEE K. The Swan-Ganz catheters: past, present, and future. A viewpoint. Circulation, 2009,119 (1): 147-152.
[3]RAJARAM S S, DESAI N K, KALRA A, et al. Pulmonary artery catheters for adult patients in intensive care. Cochrane Database Syst Rev, 2013, 2013 (2): D3408.
[4]IKUTA K, WANG Y, ROBINSON A, et al. National trends in use and outcomes of pulmonary artery catheters among medicare beneficiaries, 1999-2013. JAMA Cardiol, 2017, 2 (8): 908-913.