



脂肪瘤(lipoma)是最常见的间充质肿瘤,是由纤维囊包绕成熟脂肪组织的良性肿瘤,可发生在身体任何部位,但很少发生在口腔。临床较为常见,涎腺脂肪瘤临床上很少见,其中以腮腺居多,而颌下腺脂肪瘤罕见。患者无自觉症状,多为偶然发现,病程发展缓慢。局部皮肤隆起,呈扁球形,质地柔软,不能压缩,若其中含有纤维组织较多,则质地较硬韧。靠近黏膜下方的脂肪瘤,因覆盖组织薄,可呈黄色。治疗宜沿包膜完整手术切除,术后一般不复发。
切面呈淡黄色,有完整薄层纤维性包膜,内有小梁分隔的脂肪小叶。
瘤细胞主要为成熟的脂肪细胞,偶见少数脂肪母细胞。瘤内一般血管不多,有时可见灶性黏液变性、钙化或骨化。
脂肪瘤包裹着成熟的脂肪组织,根据内部结构可以与周围的脂肪区分开来,CT和MRI表现为边界清楚、脂肪密度/信号的病变,伴纤维间隔。缺乏钙化和囊性成分有助于与皮样囊肿鉴别。
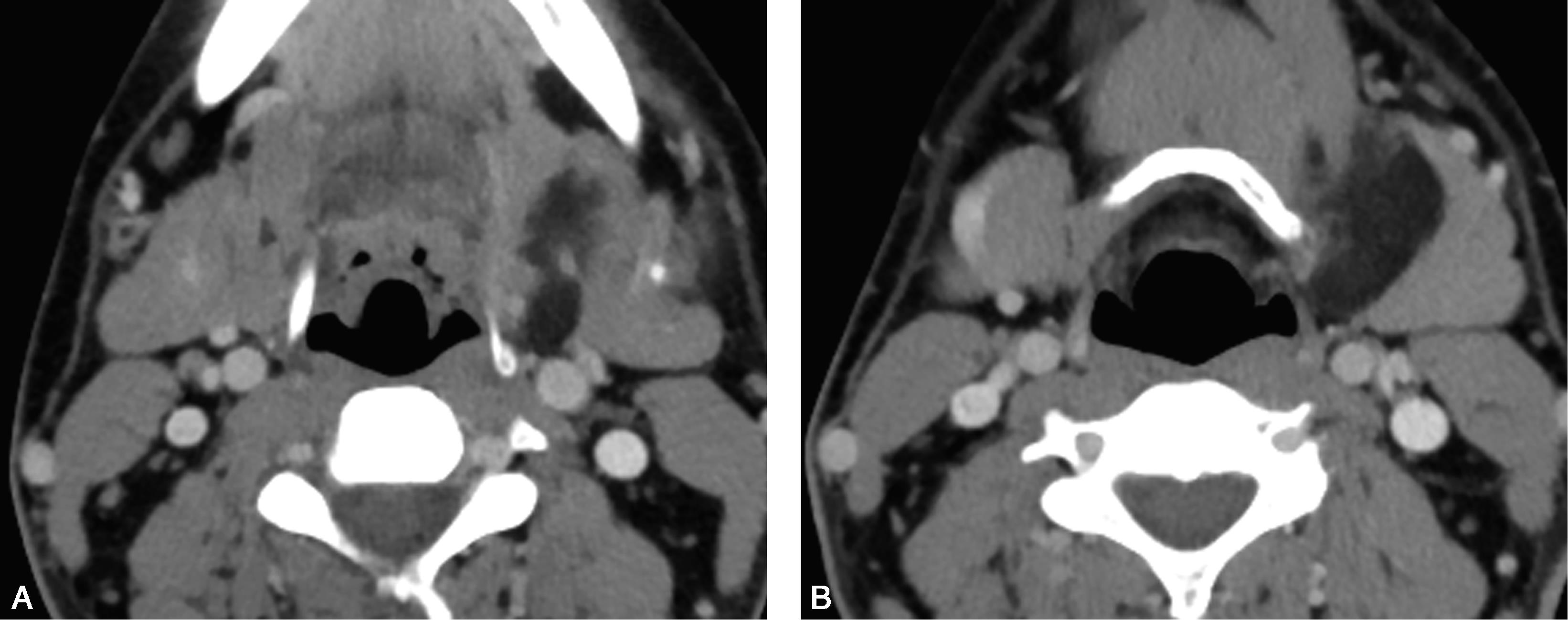
患者,男,29岁,发现颌下肿物8个月(图5-5-1)。
图5-5-1 脂肪瘤1
CT轴位增强(图A、图B)示左侧颌下类椭圆形肿块影,境界清晰,密度均匀,呈低密度,未见明显强化。
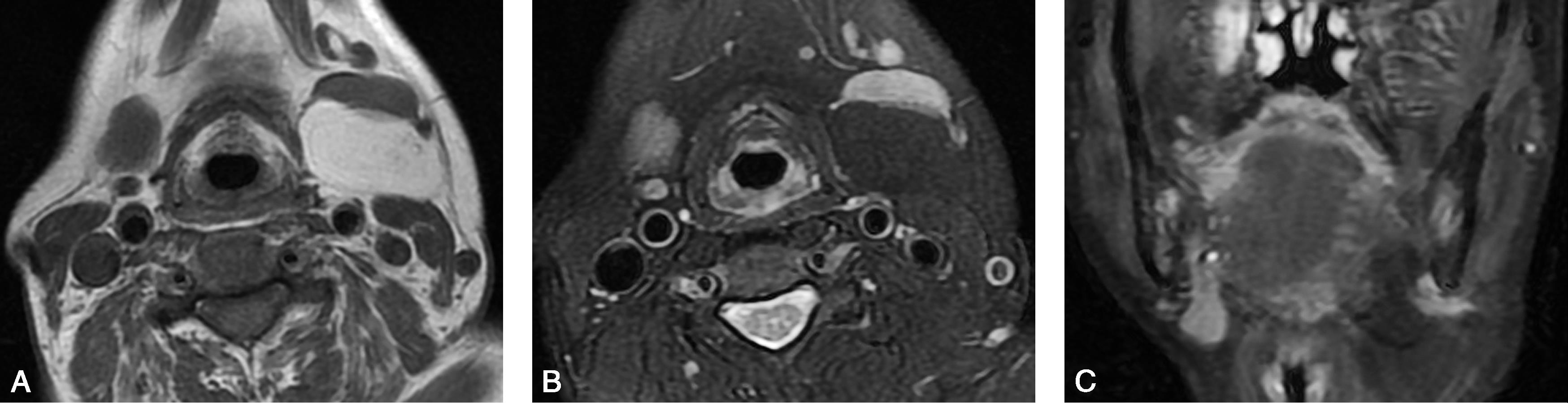
患者,女,43岁,发现左侧颌下肿物1余年(图5-5-2)。
图5-5-2 脂肪瘤2
MRI轴位T
1
WI(图A)呈均匀高信号;轴位水相脂肪抑制T
2
WI(图B)和冠状位脂肪抑制T
2
WI(图C)呈均匀低信号。
颌下腺脂肪瘤少见。患者多无自觉症状,病程发展缓慢。局部皮肤隆起,呈扁球形,质地柔软,不能压缩。影像表现为边界清楚、脂肪密度/信号的病变,伴纤维间隔,缺乏钙化和囊性成分,较易诊断。
多形性腺瘤(pleomorphic adenoma)是颌下腺最好发的良性肿瘤,约占颌下腺良性肿瘤的85%。肿瘤常单发,生长缓慢,病程一般较长,数月至数年不等,好发于中年女性;以颌下腺内实质型肿块居多,其次为囊实混杂型肿块,颌下腺旁型较少见。肿块呈圆形或类圆形,边界清,质地中等或软,活动度可。患者局部皮肤无发热症状,无特异性临床症状,多以颌下无痛性肿块就诊。随着病变的增大,可能出现出血和坏死改变。病变快速生长时可能发生恶变(约15%)。本病抗炎治疗无效。临床治疗多手术切除,若手术切除彻底,基本不会复发,若切除不干净,则易复发,且有恶变可能。
多呈类圆形或分叶状,一般包膜完整,部分包膜可不完整,其内可见软骨组织或半透明的胶冻样黏液组织,有时可见囊变。
肿瘤起源于唾液腺上皮,由上皮细胞、肌上皮细胞和基质细胞组成。
为边界清晰肿块,平扫多呈等或稍低密度,密度均匀或稍不均匀;增强扫描轻中度强化,以渐进性强化为其特征,可见完整或不完整包膜征。少部分肿瘤可见囊变,罕见钙化。早期恶性改变表现为混杂密度、低密度等。
肿块实性部分T 1 WI呈低信号,T 2 WI呈稍高信号,伴斑点状更高的T 2 WI囊变信号,呈砂粒状改变,其病理基础为腺管样结构扩张形成的小囊肿。多有完整包膜,T 1 WI呈低信号,T 2 WI呈低信号。增强扫描呈轻度强化,包膜完整或不完整。瘤体内砂粒状改变的T 2 WI高信号和瘤体周围包膜形成具有特征性,一般较易诊断。早期恶性改变表现为T 2 WI均质高信号消失或纤维包膜破裂。
患者,女,10岁,偶然发现左侧颌下肿物半年(图5-5-3)。
图5-5-3 左侧颌下腺多形性腺瘤
MRI脂肪抑制轴位T
2
WI(图A)、冠状位(图G)及T
1
WI(图B)示左侧颌下腺内一类椭圆形异常信号,边界尚清晰,T
1
WI呈低信号,脂肪抑制T
2
WI呈混杂稍高信号;DWI(图C)呈不均匀高信号;ADC值局部略减低(图D);脂肪抑制增强T
1
WI(图E)示肿块明显不均匀强化;动态增强曲线(图F)呈持续上升型。
患者,男,45岁,偶然发现右侧颌下肿物1年半以上(图5-5-4)。
图5-5-4 右侧颌下腺多形性腺瘤
MRI示右侧颌下腺内一类椭圆形异常信号;轴位T
2
WI(图A)上病变以高信号为主,病灶内见稍低信号;轴位T
1
WI(图B)病变呈低信号;增强轴位(图C)、冠状位T
1
WI(图D)病变明显强化。
多形性腺瘤与影像表现有关的主要有两大病理特点:①包膜完整或不完整;②成分多样,分细胞性、黏液样两类。MRI显示包膜优于CT,也用于肿瘤成分的分析。
CT图像特点:为边界清晰肿块,平扫多呈等或稍低密度,密度均匀或稍不均匀;增强扫描轻中度强化,以渐进性强化为特征;可见完整或不完整包膜征;小部分肿瘤可见囊变,罕见钙化。
MRI图像特点:肿块实性部分T 1 WI呈低信号,T 2 WI呈稍高信号,伴斑点状更高的T 2 WI囊变信号,呈砂粒状改变;包膜完整或不完整,T 1 WI呈低信号,T 2 WI呈低信号;增强扫描呈轻度强化。瘤体内砂粒状改变的T 2 WI高信号和瘤体周围包膜形成具有特征性,一般较易诊断。