



术前病变范围的判断对手术方式的选择及手术预后预测有重要的意义。临床主要依靠钡剂灌肠检查及24小时钡剂滞留的范围即可作出准确的判断。多数HD患儿钡剂灌肠可显示狭窄段、扩张段和移行段,钡剂残留的范围可作为手术切除的范围(图3-18、图3-19)。不同类型的HD钡剂灌肠显示的病变范围及钡剂残留范围亦不同。
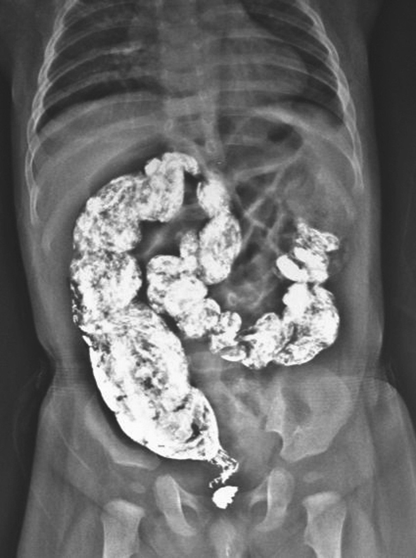
图3-18 钡剂灌肠
可见典型的狭窄段、扩张段及移行段。
图3-19 腹腔镜术中
经肛门拖出的狭窄段、移行段、扩张段及正常肠管。
国外有学者认为钡剂灌肠中由于粪便淤积等原因会使远端肠管被迫扩张,致使影像学中的狭窄段较实际病变肠管要短;亦有学者认为钡剂灌肠在短段型或常见型HD中的准确率更高,而在长段型及全结肠型HD的应用并不可靠。国内有学者报道,钡剂灌肠显示短段型HD的最终病理诊断符合率为77.8%,常见型HD的最终符合率为88.9%,长段型HD的最终符合率为66.7%,钡剂灌肠对诊断短段型及常见型HD的准确性要明显高于长段型HD;钡剂灌肠确定HD肠管病变范围的敏感性为86.9%,特异性为94.1%。钡剂灌肠检查对术前明确病变肠管范围具有重要意义,但在新生儿HD患儿中的诊断意义会降低。