



腹部影像学检查是诊断HD的重要方法之一。腹部平片可提示HD,也可提示小肠结肠炎的严重并发症;钡剂灌肠作为一种常用的诊断方法,可显示扩张段、移行区及远端狭窄段的长度,动态24小时、48小时后的检查可了解结肠的排空情况及病变的范围,也为手术切除肠管的长度提供依据。
HD患儿立位腹部平片多表现为低位性肠梗阻,腹部可见多发液平、肠管积气、结肠扩张等。这种积气的肠段往往从盆腔开始,顺乙状结肠上行,而其远端则一直未见气体(图3-1)。新生儿时期结肠扩张不如儿童明显,单靠平片诊断比较困难,必须结合病史及其他检查(图3-2)。
图3-1 先天性巨结肠症腹部平片
乙状结肠积气,扩张明显,直肠未见扩张。
图3-2 新生儿先天性巨结肠症腹部平片
肠管广泛积气,结肠扩张不典型。
结肠钡剂灌肠检查可以清晰地显示出病变肠管的部位及累及范围。HD病变肠段肠壁无正常蠕动,无张力,僵直,肠黏膜光滑,肠管如筒状。典型的狭窄段、扩张段及移行段的显示是最具特征性的X线表现,是明确诊断及分型的依据,其准确率达80%左右。狭窄段、扩张段及移行段的特点:狭窄段肠管宽度均在正常值以下,连续观察此段肠管走行僵硬,无法正常扩张;移行段位于狭窄段及扩张段肠管之间,多呈漏斗状或环形狭窄;扩张段位于移行段以上,肠管明显扩张。钡剂灌肠后24小时及48小时摄片可进一步评估钡剂的残留情况,了解动力障碍肠管病变的范围,亦为手术切除方式提供依据。
新生儿及短段型患儿,其狭窄段、移行段及扩张段往往显示不明显,必须进一步行24小时腹部摄片了解钡剂排空情况,钡剂滞留可能为其唯一诊断依据,故钡剂灌肠后24小时复查钡剂排空情况应作为HD的常规检查之一。正常婴幼儿钡剂灌肠拔管后钡剂常较易排出,但HD患儿常不排出或仅有少量钡剂排出,此为诊断HD的重要间接征象。
为了提高钡剂灌肠诊断准确性,检查时应注意:①钡剂灌肠前不宜行清洁洗肠,尤其对新生儿,以免由于结肠灌洗后肠内容物排出,扩大肠段萎瘪致扩张肠段消失而影响诊断;②选用不带球囊的软橡胶肛管,根据不同年龄段选用不同粗细的肛管,尤其新生儿必须用细肛管,防止引起痉挛段肠管被动扩张而漏诊;③导管不可插入过深,否则可导致钡剂注入乙状结肠以上,而病变部分未能显影;④注入钡剂的压力切勿太高,用50ml注射器缓慢注入钡剂,显示扩张段后停止注入,立即摄片;⑤拍摄正侧位片对比观察,侧位片对于显示狭窄段的长度更为准确;⑥检查期间避免任何人为因素的影响,患儿正常饮食,24小时后复查,观察钡剂排空情况,对新生儿及超短段型患儿尤其重要;⑦检查结束后建议患儿进行清洁灌肠,以免钡剂凝结不易排出。
不同类型的HD钡剂灌肠检查的表现亦不同,见图3-3~图3-9。
图3-3 短段型先天性巨结肠症钡剂灌肠
直肠下端狭窄,直肠上段及乙状结肠扩张明显。
图3-4 常见型先天性巨结肠症钡剂灌肠
直肠狭窄,乙状结肠扩张。
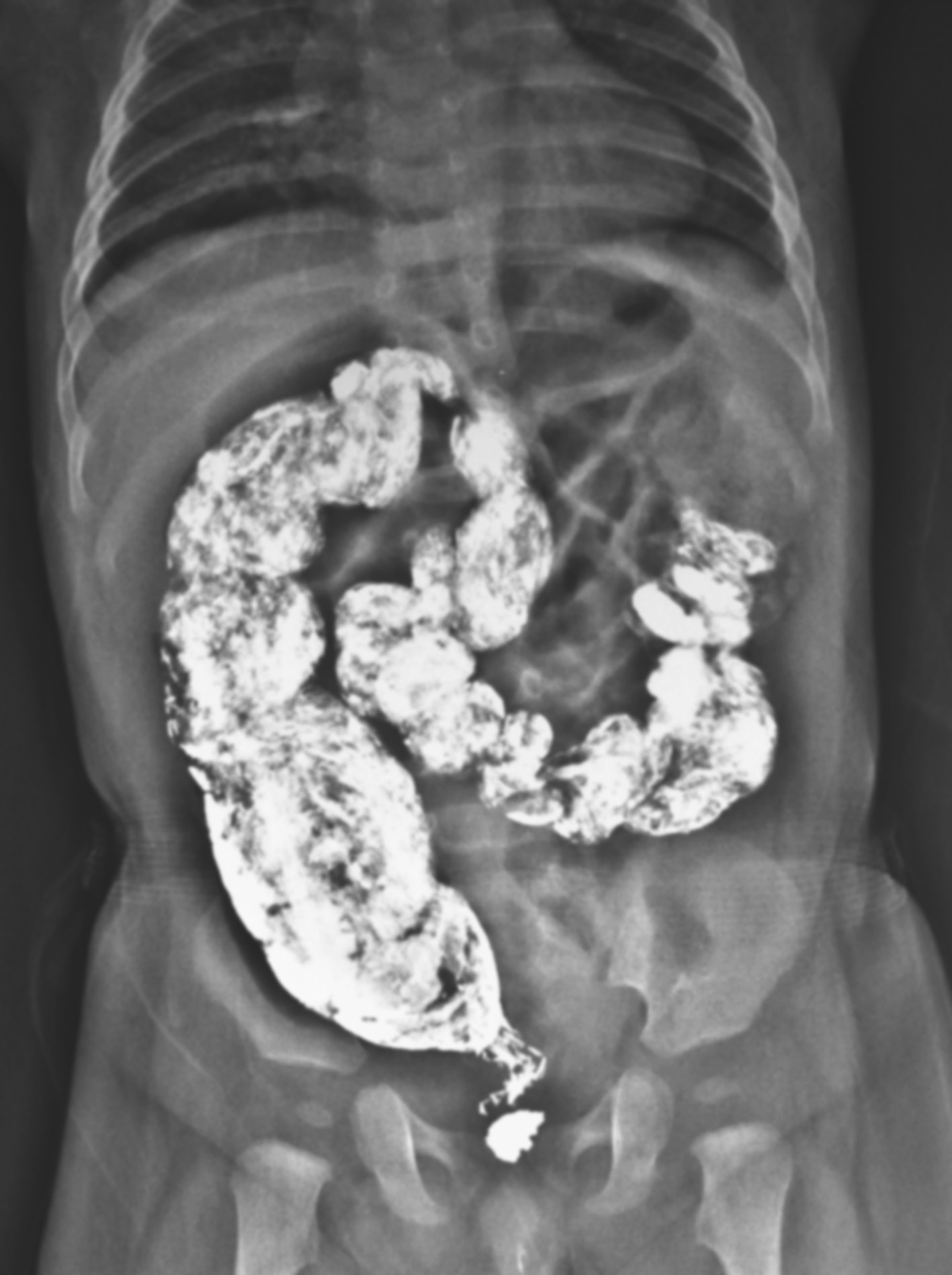
图3-5 常见型先天性巨结肠症钡剂灌肠24小时后复查平片
乙状结肠扩张,大量钡剂滞留。
图3-6 长段型先天性巨结肠症钡剂灌肠
狭窄段累及直肠、乙状结肠及降结肠。
图3-7 长段型先天性巨结肠症横结肠造瘘术后钡剂灌肠
结肠肠管如筒状,无扩张。
图3-8 全结肠型先天性巨结肠症钡剂灌肠
结肠充稀钡后整段结肠无明显扩张。
图3-9 全结肠型先天性巨结肠症钡剂灌肠24小时后复查平片
全段结肠狭窄,钡剂残留。