



肝穿刺活组织检查(liver biopsy)是用穿刺针吸取少量肝脏组织进行病理检查的一种有创检查方法,是临床急、慢性肝病,未明原因肝功能异常,未明原因肝脾肿大,肝内占位病因诊断及选择治疗方案的重要工具。肝脏活检不仅有助于各种肝病的诊断与鉴别诊断,还可用于肝脏疾病临床疗效的评价。 Guideline on the Use of Liver Biopsy in Clinical Practice 指南首次全面阐述了肝脏活检的方法、适应证、禁忌证及并发症。近年来,随着医学技术的飞速发展,特别是影像技术及药物疗法(如病毒性肝炎的抗病毒药物治疗)的进步和肝移植术等,大大促进了肝脏疾病的诊断和治疗,由此,也使得作为肝病诊断重要手段的肝脏活检技术取得了新的进步,临床应用也更加广泛。
目前临床最常用的肝脏活检方法包括经皮肝穿刺活检、经颈静脉肝穿刺活检和腹腔镜下肝脏活检3种。临床上最常使用的是经皮肝穿刺活检,特殊情况下采取经颈静脉肝穿刺活检,腹腔镜下肝脏活检一般是术中或需要观察肝脏表面形态色泽时才采取的一种肝活检方法。
经皮肝穿刺活检(percutaneous liver biopsy,PLB)是目前最普遍、最快速、临床应用最多的肝活检技术,已成为不少医院的常规检查方法。操作是在利多卡因局麻下进行,要求患者在呼气末短暂屏住呼吸,之后迅速进针。
经皮肝穿刺活检所用的穿刺针有吸取活检针(Menghini针、Surecu针、Klatskin针、Jamshidi针)、切割活检针(Tru-cut针、Vim-Silverman针)和有可调式弹射机械装置的切割针(ultra-cut needle)即自动活检针。自动活检装置即活检枪发明于20世纪80年代初,使组织学活检技术取得很大进展。活检枪快速穿刺术安全快捷,易于操作,目前广泛用于临床。其中,Menghini针和Tru-cut针是最常用的两种穿刺针,临床通常使用的穿刺活检针可分为外径≥ 1.0mm[14~19gauge(0.9~1.6mm)]的粗针和外径<1.0mm[≥ 20gauge(0.8mm)]的细针。不同的穿刺针需要采取不同的穿刺方法。
采用Menghini针1秒负压抽吸法,在穿刺针进出肝脏的同时依靠抽吸注射器(用橡皮管与穿刺针连接)产生负压将肝组织吸入穿刺针内,并保持在注射器的针芯中。由于穿刺和抽吸均在同一时间完成,传统上是双人操作,需要术者和助手熟练配合,容易出现取材不理想或穿刺失败。改良单人Menghini针抽吸法,为单人操作,简单易行,穿刺针在肝内停留时间较短,穿刺成功率和取材满意度均优于传统的Menghini针1秒负压抽吸法。抽吸法的优点是设备简单(只需要有穿刺针和注射器)、费用比较低,在基层医院就可以开展。另外,Menghini针的针尖相对较钝,遇到结缔组织丰富的大血管、胆管可以将其推开,因此,引起出血和胆道损伤的风险较低,并发症相对较少。其缺点是对操作者技术要求较高,操作不熟练者有时会出现组织堵塞针道、深度不够、停留时间过短、拔针过快或未保持负压状态退出等现象,致使不能抽吸到肝组织或抽吸肝组织甚少;若抽吸负压过大又易导致肝组织破碎,也会影响肝组织标本的质量;肥胖患者、肝缩小的患者一次穿刺成功率相对下降,肝硬化患者往往不能取到满意组织,且不能B超引导穿刺,目前逐渐被切割活检所取代。
切割法肝活检是应用切割活检针进行的肝组织活检。依据切割装置的不同可将切割法肝活检分为3种,即手动切割法、半自动切割法和全自动切割法。由于手动切割慢,切割针在肝内停留时间较长,发生并发症的风险也增加。目前,提倡自动切割法。目前临床常用的自动活检针有两种,即有可调式弹射机械装置的切割针(ultra-cut needle)和与活检枪连接的一次性Tru-cut切割针,采取半自动或全自动切割法活检。对操作者要求较低,创伤更小,能精准定位穿刺,取到可疑病变组织,此外,还可有效地避免交叉感染。另外,与Menghini针相比,Tru-cut针由于在穿刺针上有一个20~25mm的凹槽,能够得到更大、更少碎片的标本。
盲穿是通过叩诊确定肝脏的区域后,使用吸引针手动负压吸引活检或使用切针手动活检,是比较传统的肝活检方法,随着B超技术的普及,该穿刺活检技术在临床已经基本淘汰。
超声定位肝活检,即用B超确定穿刺点,测量皮肤到肝包膜的距离,然后移开超声探头,沿着超声探测的方向进针,即所谓的“半盲穿”,在“半盲穿”中,超声可以准确地测量进针点从皮肤到肝包膜的距离及进入肝实质的深度,避开大血管及肝脏附近的脏器如胆囊、结肠。这种B超定位下的“半盲穿”最好在患者床边,由掌握肝脏超声检查技术的医生一人独立完成。定位后患者如果改变体位,其体表标记与肝脏的对应位置会发生改变,因此,定位和穿刺必须连续一次性完成。床边活检避免对患者的搬动和转运,可以降低出血发生率。
超声引导肝活检可在超声直视下看到穿刺针进入肝包膜和肝实质,把自动活检针接上有可调式弹射机械装置的活检枪(biopsy gun)进行穿刺活检。更准确地避开上述结构,此技术尤其适用于肥胖者、不合作者及有异常肝脏解剖结构者。目前多采取B超引导下活检枪穿刺活检。肝穿刺后需要对患者观察一段时间,因为并发症最易出现在穿刺后的最初几小时内,尤其是要预防出血。在肝穿刺前行应行MRI、CT、B超检查,有助于发现肝脏肿瘤(良性或恶性)、囊肿、腹水、肝内胆管扩张或肝脏解剖学变异等,提倡在超声引导下肝脏穿刺活检,能够帮助操作者避免刺入邻近的重要器官和肝内大血管及胆道系统,减少并发症发生。一项对165例患者进行的前瞻性研究发现,有21例患者(12.7%)由于应用了超声检查而改变了预先穿刺位点。对于肥胖的肝硬化患者和慢性阻塞性肺疾病(chronic obstructive pulmonary disease,COPD)患者,超声的应用显得更为重要。
即使对于非常熟练的操作者,经皮肝穿刺活检仍具有其内在的危险,尽管这种危险性很小。因此,仅在明确肝脏的组织学改变对患者的益处超过活检所承受的风险时,肝活检才是必要的。然而,由于新的治疗措施不断涌现,如病毒性肝炎的抗病毒治疗和肝移植等,活检的益处亦需不断再评价。
急性病毒性肝炎通常无肝活检的必要。慢性肝炎患者肝活检可以比较准确地反映肝脏炎症和纤维化的发展阶段和严重程度,能够指导治疗,评估疗效和预后。尤其是丙氨酸转氨酶(ALT)正常(每3个月检查一次),年龄>30岁,伴有肝硬化或HCC家族史的慢性乙型肝炎患者,《慢性乙型肝炎防治指南》建议行肝穿或无创性检查明确肝脏纤维化情况后给予抗病毒治疗。
PCR检测丙型肝炎病毒阳性的慢性丙型肝炎患者应考虑行抗病毒治疗,肝活检对丙型肝炎的诊断、炎症活动度和肝纤维分期评价、疗效和预后判断等方面有至关重要的作用,但近年来随着肝纤维化非侵入性诊断技术的应用,肝活检在丙型肝炎方面的应用逐渐减少,临床除非与其他疾病相鉴别,通常不行肝活检。活检标本对于评估自身免疫性肝炎(autoimmune hepatitis,AIH)以及区分易混淆疾病如酒精性肝炎、血色病等是十分有益的。
药物性肝损伤(drug-induced liver injury,DILI)的诊断,迄今仍属排他性诊断,明确诊断往往极具挑战性。肝活检在药物性肝损伤的诊断中具有重要价值。一般下列情况应考虑肝组织活检:①经临床和实验室检查仍不能确诊DILI,尤其是AIH仍不能排除时;②停用可疑药物后,肝脏生化指标仍持续上升或出现肝功能恶化的其他征象;③停用可疑药物1~3个月,肝脏生化指标未降至峰值的50%或更低;④怀疑慢性DILI或伴有其他慢性肝病时;⑤长期使用某些可能导致肝纤维化的药物,如甲氨蝶呤等。
尽管基因分析可帮助鉴别血色病、Wilson病和其他原因导致的肝铁负荷增加等疾病,但对于血清铁升高或疑为铜代谢紊乱的患者,肝活检可提供标本以供分析肝实质内的铁及铜含量,对这类疾病的诊断有非常重要的价值。糖原贮积症(glycogen storage disease)、卟啉病(porphyria)等累及肝脏的遗传代谢性疾病肝组织活检也有重要意义。
对于因原发性胆汁性肝硬化(又称原发性胆汁性胆管炎,PBC)及原发性硬化性胆管炎(primary sclerosing cholangitis,PSC)所致的肝内胆汁淤积患者是否需要肝活检仍有较多争论。一方面,有人认为,血清抗线粒体抗体(anti-mitochondrial antibody,AMA)阳性并持续升高即可确认PBC的诊断,也就意味着早期典型的PBC患者无需行肝活检;而另一方面,对于进展性的PBC,肝活检对于准确判断疾病的分期又非常有帮助。PSC相关胆汁淤积的诊断常可通过内镜逆行胰胆管造影(ERCP)或磁共振(MRI)胆管造影获得,而且具有诊断意义的组织学特征在细针活检标本中常常难以见到,因而此类患者通常不被列为肝活检的常规指征之一。
肝活检亦常用于肝脏酶异常患者的病因诊断,但必须兼顾其他检查、检验结果及患者的详细资料,以助诊断。如单项ALP升高对于25岁和80岁的患者来说意义有显著的不同,GGT活性升高被认为是酗酒者的一项敏感指标,而单项GGT的升高大多与肝脏的病理无关,此时肝脏酶异常则不能作为肝活检的合适指征。
经皮肝穿刺活检在局灶性肝脏病变中的作用很大程度上取决于临床提供的特征。多数肝细胞癌患者CT、MRI及血清AFP 检查已能确定诊断。同样,如有结肠切除术病史出现肝脏孤立性占位性病灶并伴有血清癌胚抗原(CEA)升高者,可能也不需要以肝活检来诊断切除后转移的可能。而且,肝活检理论上亦冒着活检通道种植肿瘤的危险,尽管这种可能性有多大尚不明确。但是,对于影像学特征不是很典型的肝内占位性病变常常需要通过肝活检确诊。
肝移植术后引起肝功能异常的病因复杂,临床准确诊断十分困难,常见的原因有急性排斥反应、药物性肝损伤、肝炎复发、巨细胞病毒感染、移植肝缺血再灌注损伤等。由于不同病因引起的移植肝的损伤,其病理学改变也有所不同,通过肝活检可以使一部分患者明确病因诊断。
肝活检在自身免疫性肝病、酒精性肝病、非酒精性脂肪性肝炎的诊断和严重程度评估中均是非常有益的。另外,对于不明原因的肝脾肿大、不明原因的发热,肝活检亦有很大帮助。活检物培养对于如结核等感染的诊断亦有帮助。
目前许多经皮肝穿刺活检的禁忌证都是在早些年研究中定义的,那时肝活检的临床应用远不如现在广泛。当时的研究结论定位在自动活检穿刺技术出现之前,并且穿刺针的直径也比现在更粗。其中很大一部分禁忌证似乎变成了常识,被医学教科书作为教条引用,其实它们很少有证据支持。
在经皮肝穿刺活检中,当穿刺针进入肝实质时,可能造成疼痛、挤压和大量出血,患者必须保持镇静不动。如果患者过度紧张,可以给予口服咪达唑仑片等镇静。如果患者仍然不能配合,获取肝组织又对患者诊断非常重要,可考虑在全身麻醉下进行肝活检。
肝外胆道梗阻常被认为是肝活检的禁忌证,因为有并发胆道腹膜炎、感染性休克和死亡的风险。但在一项研究中指出:在经皮肝穿刺活检的患者中,至少2%的患者发生严重并发症(包括胆汁性腹膜炎),另外4%的患者发生了更重大的并发症。当前的影像学技术较为发达(尤其是ERCP和MR胆管成像技术),胆道梗阻的患者行肝活检,应该仅适用于那些诊断有异议或者活检带给患者的益处大于其风险的情况下。在这些情况下经颈静脉肝穿刺活检的方法更合适(见本章第二节)。
由于有并发腹膜炎和感染性休克的风险,胆管炎成为肝活检的相对禁忌证。然而,在给胆道系统感染的患者行肝活检后,肝脏病理学组织也可以提供有意义的病原学信息,尤其是在考虑是结核菌感染和不明原因发热的情况下。
关于哪一项凝血功能异常作为经皮肝穿刺的禁忌证,目前的观点还存在很大的争议。一些学者证明,肝脏穿刺部位出血的程度(通过腹腔镜观察)与外周血液凝血指标(如下文提及的几项参数)适度升高无明显相关。其中一些学者认为这种肝脏穿刺点出血时间的反常现象,可能是由于穿刺后肝脏固有弹性填补穿刺道以及肝脏内局部高水平的凝血因子的共同作用。但值得我们注意的是,在经皮肝穿刺活检的时候,肝脏不是唯一被穿刺的组织,皮肤和皮下组织(偶尔其他器官)也会出血,所以我们在穿刺前仍必须考虑外周凝血指标。
几个大型研究显示凝血酶原时间比对照值高4秒并没有增加出血的风险。迄今关于经皮肝穿刺活检最大规模的回顾性研究,仍没有发现凝血酶原时间较对照值延长7秒和发生出血并发症的相关性。但也有一些其他研究显示凝血功能障碍的患者经皮肝穿刺活检后更容易并发出血。1991年英国胃肠病学会(BSG)对英国189家医疗卫生单位的活检操作进行了统计,证明伴随着INR的升高穿刺出血风险增加。INR在1.3~1.5时出现出血率为3.3%,当INR>1.5时出血率为7.1%,这意味着约90%的出血发生在INR>1.3的患者,让我们进一步认识到INR和凝血酶原时间正常并不能保证患者穿刺后不会出血。
据已发表的数据,目前还没有血小板低到何种水平的明确标准作为经皮肝穿刺活检的禁忌证。被大家公认的英国文献中提出血小板计数超过80×10 9 /L,而经调查大多美国医疗中心机构认为血小板计数高于50×10 9 /L更合适。一项对87例患者的研究发现,那些血小板计数低于60×10 9 /L的患者在经皮肝穿刺活检后较血小板计数高于此值的患者更容易出血。不考虑血小板的功能异常,目前针对血小板截断值的证据仍然稀少。另外,需要注意的是,脾功能亢进引起的血小板减少与骨髓再生障碍造成的血小板减少相比,其出血的情况还没有被详细研究,显然不同疾病引起的血小板减少对穿刺后出血的影响不同。因为,血小板功能正常与否也是影响出血的重要因素。据一个小型研究报道,血液透析的终末期肾衰竭患者经皮肝穿刺活检出血风险增高(高达50%)。
综述所述:关于凝血功能的安全上限,没有统一的标准和共识,参照大多数文献,当PLT<50.00×10 9 /L和INR>1.5时,患者行经皮肝穿刺活检应谨慎。对于慢性肾衰竭患者应该从严把控。对于凝血功能障碍的患者为了安全起见可采用充填式PLB,即通过鞘内注射形成穿刺道的栓塞或经颈静脉肝穿刺活检。
大量腹水,被许多文献认为是经皮肝穿刺活检的禁忌证。原因是有人认为,腹壁距离肝脏较远,有可能得不到想要的肝脏组织,也有人认为由于腹水可导致出血难以控制。虽然这些理由看似正确,但是并没有在临床随机对照研究中被证实。有证据指出,在CT或超声引导下进行有腹水的肝活检不影响并发症发生率。尽管认为临床上大量腹水的患者行肝活检则有多种选择,但最多进行的是经皮活检。其他选择包括影像学引导下活检、经颈静脉肝穿刺活检或腹腔镜活检。
现代影像技术通常可以识别良性的肝脏囊性病变,因此某些情况下减少了肝活检的需要。肝脏囊性病变可与肝内多种结构相关,比如胆道系统,因此存在肝活检后出现胆汁性腹膜炎的风险。
肝棘球蚴病(肝包虫病)是肝囊肿中最常被认为是经皮肝穿刺活检的禁忌证,因为棘球蚴可能会播散至整个腹腔,以及造成过敏反应。但是在治疗肝棘球蚴病的最新进展中指出,目前情况已经和以前不同了,在超声引导下使用19~22号细针对肝棘球蚴病穿刺,不仅安全,而且可以用于诊断和治疗,如在阿苯达唑使用的情况下注射高渗盐水或95%乙醇。
1928年首次使用肝活检诊断肝脏淀粉样变性。Volwiler和Jones报道了第一例肝淀粉样变性患者肝活检后因出血死亡的病例。这一例报道以及之后的淀粉样变性患者还有肝穿后出血的报道,导致淀粉样变性的肝病作为经皮肝穿刺活检的禁忌证。迄今为止,并没有大型对照研究显示肝脏淀粉样变性的患者肝活检后出血风险增加。
肥胖的患者比较难通过叩诊来定位肝脏,在B超定位后超声引导下活检,肥胖不应视为禁忌证。
虽然PLB 是一项较安全的操作,但还是约有6%的患者会出现不同程度的并发症,甚至有0.04%~0.11%的患者会出现危及生命的并发症。最常见的并发症有疼痛、出血(腹腔出血、肝内或被膜下血肿和胆道出血)、感染、气胸和误穿其他腹膜内器官。并发症的发生率取决于穿刺技术和患者两方面因素。技术因素主要包括:①操作人员的经验(如每年穿刺活检超过100例的科室并发症发生明显减少);②肝脏活检是否在超声引导下进行;③穿刺针的类型(细针穿刺的并发症较少);④进针的次数。而患者因素主要包括:肝病的性质,例如:肝脏血管疾病(例如Budd-Chiari综合征)、肝硬化等并发出血的风险加大。因此,应做好充分的术前准备。认真熟悉患者的临床资料,了解病情。与患者及其家属充分沟通,并签署知情同意书。所有经皮肝穿刺活检患者应查血常规、血型(并保留血清,以备输血时做血交叉)、PT(或 INR)、血小板计数。若 PT 延长超过4s(或 INR>1.5)则应设法纠正后再行活检。血小板计数在50×10 9 /L以上可能并不增加并发症发生率,常用改善凝血指标的药物有维生素K 1 、冻干血浆和血小板等。焦虑的患者可予咪达唑仑镇静。镇静可参考内镜检查。但对于肝病患者,镇静剂的使用应谨慎。
决定非直视下经皮肝穿刺活检后留院时间的长短有赖于多种因素,然而主要的是可能发生并发症的时间。研究显示,活检后主要并发症多发生在活检后3h,患者应于活检后留院6h。Piccininio等统计68276例肝活检患者资料显示,活检后主要并发症发生率按时间依次为:2h 61%,10h 82%,24h 96%。
活检后患者采取何种体位尚无研究。一般取仰卧或右侧卧位。标准的经皮肝穿刺活检后观察包括最初2h监测生命体征,15min一次。随后2h每30min一次,其后改1h一次至6h。一周内避免剧烈运动或重体力劳动。
从诊断水平讲,长度≥15mm的PLB标本对于慢性肝脏疾病的准确诊断是必要的,原则上应分析6~8个完整汇管区(CPT)以助于提高诊断的准确性。由于受取材标本大小以及CPT数量的限制,有限的标本很难确切地反映整个肝脏的病理损伤情况。而且,随着对慢性病毒性肝炎纤维化程度等评价指标需求增加以及对炎症分期和纤维化分级精确性的提高,对肝脏组织标本的需求亦越来越多。但是为了达到“金标准”,临床上就要进行多次穿刺取材,这样就增加了并发症的风险。
肝活检是一种有创检查,有一定的并发症,甚至是危及患者生命的并发症,如非病情诊治所需,尽量减少不必要的肝活检。坚决反对为了科研之目的让患者遭受不必要的痛苦和风险。患者的安全和健康必须高于对科学和社会利益的考虑。
肝活检在肝脏疾病的诊断和治疗中起着非常重要的作用,但是对于有大量腹腔积液及严重凝血功能异常的患者,应用经皮肝穿刺活检发生腹腔内出血的风险很高,为其禁忌证。在这种情况下,经颈静脉入路肝活检则是一种理想的替代和补充。经颈静脉肝穿刺活检(transjular liver biopsy,TJLB)是一种得到确认的获取肝组织标本的技术。尽管与经皮肝穿刺活检比较,TJLB 操作复杂,需要训练有素的医务人员,花费更多的时间和更高的费用,但在一些特殊的临床情况下却是一种安全的替代技术,可获得充足的肝组织进行病理诊断以确定进一步治疗方案。
TJLB是应用于弥漫性肝病合并严重凝血功能障碍和/或腹腔积液患者的肝活检。TJLB适应证主要是大部分PLB的禁忌证:①凝血障碍(血小板计数<50×10 9 /L,凝血酶原时间延长>4s);②大量腹腔积液;③严重肥胖;④血管性肿瘤或肝紫癜;⑤需要进行其他血管操作(血流动力学研究、门静脉造影);⑥PLB失败;⑦行经颈静脉肝内门腔内支架分流术(TIPSS)同时行肝、肾活检;⑧肝脏、肾脏、心脏移植前后的评估(+);⑨Budd-Chiari综合征;⑩肝萎缩;⑪PLB不能配合的患者。其中凝血障碍和/或中度、重度腹腔积液是最常见指征。
①包虫囊肿和其他囊肿性病变。由于一次偶然的穿刺,可能会导致过敏性休克。其他囊肿性病变存在穿刺后与静脉沟通、出血的潜在风险。②胆总管阻塞、肝内胆管扩张,存在胆管出血的风险。③心脏异常,可能会引起心律失常者。④颈部有创伤瘢痕者。
(1)术前患者应进行血常规、血型、肝肾功能、凝血功能及心电图等检查,充分了解患者身体的一般情况;
(2)影像学检查:彩超、CT、MRI等影像学检查,充分了解肝脏及其血管的影像学改变;
(3)术前4~6h禁食禁水;
(4)过度紧张的患者,可于术前1~2h给予口服盐酸羟嗪片等镇静剂和止痛剂;
(5)肘正中静脉留置针。
TJLB 套装,9F导管鞘(11cm),导管(单弯、Cobra或猎人头),导丝(0.89mm导引导丝和超滑导丝)。
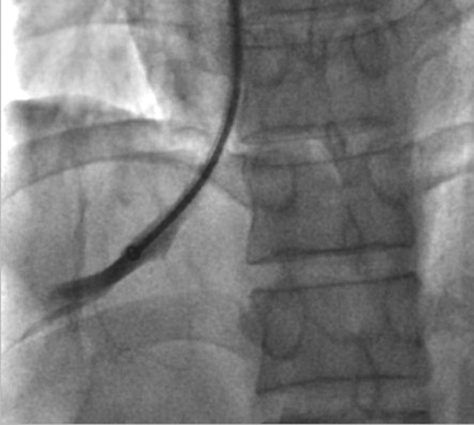
TJLB需要有经验的介入医生进行操作,患者仰卧于DSA检查床,常规予心电、血压及血氧饱和度监测。头左偏暴露右侧颈静脉区域,常规消毒、铺巾;2%利多卡因5mL局部麻醉后,采用Seldinger技术穿刺右侧颈内静脉,引入9F导管鞘(头端预成形为弯形),导管导丝配合将导管鞘经右心房进入下腔静脉;首先行下腔静脉DSA确认无明显下腔静脉狭窄,再将导管鞘进入肝静脉(常规选择肝右或肝中静脉),再造影确认肝静脉无明显狭窄闭塞(图5-22-1),其间分别检测右房、下腔静脉及肝静脉压力;将导管鞘头端进一步深入肝右静脉远端、距离下腔静脉3~4cm处,经鞘引入7F肝穿活检针;确认位置后嘱患者屏住呼吸,旋转导管鞘头端指向正下方,开启活检枪完成肝实质活检(图5-22-2);退出活检针,视获得肝组织大小决定是否再次获取肝组织,最后行肝静脉造影排除明显异常。术后患者平卧并监测心电、血压、血氧饱和度4h,术后24h 复查血常规、凝血功能等指标。
 
    图5-22-1 肝静脉造影
 
    图5-22-2 经颈静脉肝穿刺活检
并发症可以分为轻微和严重并发症。由于TJLB常用于严重凝血功能障碍和大量腹腔积液患者,其经颈静脉、肝静脉途径获得肝实质标本,任何穿刺都会存在出血的风险,虽然TJLB的出血仍然流入肝静脉,这样减少了出血风险,但同时也存在一定数量的并发症。Kalambokis等系统分析了64篇文献共7649例TJLB,总的并发症发生率为7.1%,轻微并发症的发生率为6.5%,主要有发热、颈部血肿、颈部出血、误穿颈动脉、Horner综合征、发音困难、上臂麻木或麻痹、室上性心律失常、低血压、腹痛、肝包膜穿孔、肝内小血肿、肝静脉门静脉瘘、肝动脉瘤、胆瘘、胆管出血;其中最多见的为腹痛(1.6%)和肝包膜穿孔(1.4%)。严重并发症的发生率为0.5%,主要有大的肝内血肿、腹腔内出血、下腔静脉损伤、肾静脉损伤、室性心律失常、气胸、呼吸抑制。因TJLB导致死亡的发生率为0.1%,死亡原因是腹腔内出血、室性心律失常。严重的出血多发生在术后数小时,延迟的出血可以发生在术后几天或十几天,存在较高的死亡风险。
TJLB术后,压迫穿刺点10min以避免颈部血肿,患者卧床休息至少4h,并进行心电血氧监护4~24h,患者的监测没有统一标准,如果出现腹痛或血红蛋白水平降低,应继续监测血红蛋白水平,进行腹部B超检查有无腹腔积液、肝内出血,然而腹部CT扫描也是经常进行的检查。
(李东良)