



影像学检查在鼻咽癌临床应用中的意义有:①协助诊断;②评估原发病灶范围、颈部淋巴结转移情况及远处转移病灶情况,准确分期;③帮助设计放疗射野,确定治疗靶区;④动态监测和评价肿瘤的治疗反应;⑤治疗后跟踪随访,帮助判断病灶性质。
CT图像上骨结构为高密度影,因此CT对诊断颅底骨质的侵犯破坏有重要价值。鼻咽腔所含气体为极低密度影,但鼻咽部各壁黏膜、肌肉、血管和淋巴组织等结构均表现为软组织密度影而不易分辨。正常鼻咽各壁结构左右对称,颅底骨质结构完整,双侧卵圆孔、棘孔、破裂孔对称,骨质边缘清晰。
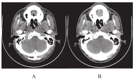
鼻咽癌好发于鼻咽部咽隐窝,CT主要表现总结如下。
肿瘤浸润鼻咽顶后或侧壁,使鼻咽腔变形、狭窄,咽隐窝变浅、消失,鼻咽壁增厚或形成肿块向腔内突出,CT平扫呈软组织密度,增强后肿块呈中等程度强化(图2-3-1)。
图2-3-1 鼻咽癌CT表现
A—鼻咽部平扫CT;B—增强扫描。
肿瘤可向邻近结构侵犯,局部出现异常软组织密度,增强扫描可见强化。肿瘤向外侧突破咽颅底筋膜侵及咽旁间隙时,表现为咽旁间隙密度增高,脂肪层变窄、消失;侵及颈动脉鞘区时,表现为增厚软组织;向下生长时,表现为口咽壁增厚;向前扩展时,表现为后鼻孔及鼻腔有肿物堵塞。
可表现为局部骨皮质变薄、中断,骨小梁模糊消失,骨髓腔密度增高;翼突和斜坡骨质硬化;颅底卵圆孔、棘孔、破裂孔、颈静脉孔、舌下神经孔扩大及骨质缺损;蝶骨大翼、翼突基底部、翼突内外板、蝶骨基底部、斜坡、枕骨基底部以及寰椎、枢椎、蝶鞍等骨质破坏,部分为肿瘤软组织密度所取代,增强扫描明显强化。
肿瘤可沿颅底孔道、破坏颅底骨质侵及颅内、海绵窦。海绵窦结构侵犯表现为海绵窦增宽并形成边缘清楚的软组织肿块,增强扫描有明显强化。肿瘤也可形成颅内硬膜外肿块,或侵及颞叶,增强扫描可见颅内病灶强化,或破坏斜坡突入后颅窝桥脑前池。
表现为软组织密度结节,如有坏死,则表现为内部低密度区,增强扫描可见边缘强化。
除用于评估鼻咽癌原发病灶浸润范围及颈部淋巴结转移情况外,CT同时也是诊断及检测肺部、纵隔及腹部淋巴结、肝脏等腹腔脏器、骨骼等部位转移病灶的重要影像学手段。
MRI具备良好的软组织分辨率,能清楚显示鼻咽腔及其周围软组织结构、颅底骨质的解剖、层次,可显示鼻咽镜及活检无法发现的黏膜下病变及咽旁浅、深层间隙的浸润程度,已成为鼻咽癌的首选影像学检查。
鼻咽癌在T1加权图像(T1-weighted imaging,T1WI)呈中等、较低信号,而在T2加权图像(T2-weighte d imaging,T2WI)呈中等偏高信号;注射造影剂后的T1WI图像可见病灶实质部分明显强化。部分肿瘤的边缘较清楚,可呈肿块样突入鼻咽腔,或向黏膜下生长突入咽旁间隙的内后方;大部分病灶呈浸润性生长,此时肿瘤多与周围结构分界不清,脂肪间隔模糊、消失(图2-3-2)。鼻咽癌周围结构受侵的MRI表现,见表2-3-1。
图2-3-2 鼻咽癌MRI表现
A—T2WI平扫;B—T1WI平扫;C—T1WI增强扫描。
表2-3-1 鼻咽癌周围结构受侵磁共振表现
转移淋巴结在MRI平扫上表现为T1WI低或中等信号,T2WI中或高信号,但淋巴结内坏死区在T1WI呈更低信号,在T2WI上呈更高信号。MRI增强扫描时,淋巴结呈中度至显著强化,内部坏死区无强化。颈部淋巴结转移的MRI诊断标准:①横断面图像上淋巴结最大短径≥10mm;②中央坏死或环形强化;③同一高危区域≥3个淋巴结呈簇状聚集,且最大横断面的最大短径≥8mm(高危区定义:N0者,Ⅱ区;N +者,转移淋巴结所在区的下一区);④淋巴结包膜外侵犯(征象包括淋巴结边缘不规则强化;周围脂肪间隙部分或全部消失;淋巴结相互融合;淋巴结浸润周围肌肉或腺体);⑤咽后淋巴结:最大横断面的最大短径≥5mm。
由于MRI软组织分辨率高,在评估远处转移灶方面也有独特的价值,特别是检测CT或PET/CT未能发现的肝脏小病灶,因此,对怀疑有肝转移的患者,有条件的情况下应进一步行腹部MRI平扫+增强扫描。
PET/CT成像原理是利用正电子发射体标记的示踪剂(葡萄糖、氨基酸、胆碱、胸腺嘧啶及血流显像剂等),从分子水平显示机体及病灶组织细胞的代谢、功能、血流、细胞增殖状况,结合CT扫描提供的解剖信息,准确显影功能性代谢物质在人体中的聚集情况。目前,PET肿瘤显像最常使用的显像剂为氟代脱氧葡萄糖( 18 F-fl urodeoxyglucose, 18 F-FDG)。PET/CT在鼻咽癌的临床应用主要包括:①鼻咽癌原发肿瘤的诊断,鼻咽癌在PET/CT表现为鼻咽腔内结节状异常放射性代谢浓集影,对于隐性鼻咽癌、早期微小病灶鼻咽癌、黏膜下鼻咽癌的诊断,PET/CT有助于发现常规影像学检查难以发现的病灶;②鼻咽癌转移与复发病灶的检测,PET/CT一次检查即可获得全身影像,对肿瘤转移和复发病灶的诊断灵敏性可达90%,特异性可达85%;③鼻咽部良恶性肿瘤的鉴别诊断;④协助放疗计划的制定,PET/CT能同时获得肿瘤组织的生物学和解剖学信息,在勾画肿瘤区(gross tumor volum,GTV)的同时进行生物学靶区定位;⑤放化疗疗效的动态观察和评价。由于PET/CT检测局部及远处转移的出色能力,在条件许可的情况下,建议患者治疗前进行这一检查,特别是高危鼻咽癌患者,例如T3-4、N2-3或EBVDNA拷贝量高以及复发转移的患者。
胸部正侧位片可以了解胸部疾患,是排除肺部转移的基础检查,也是随访时监测肿瘤是否转移的初筛手段。
腹部超声是排除肝、腹主动脉旁淋巴结转移的基础检查。颈部多普勒超声检查可以帮助判定肿大淋巴结的性质及指导诊断性穿刺。
是诊断骨转移的基础检查,一般认为全身骨ECT可在骨转移症状出现前2~3个月或X线片检出骨破坏前3~6个月出现放射性浓集表现。但需要与骨外伤、骨髓炎、骨代谢性疾病、原发性甲状旁腺功能亢进症等疾病出现的骨放射性浓集表现相鉴别。唾液腺ECT检查可以用于放射治疗前及放疗中唾液腺分泌功能改变的检测。