



产时外科(exuterointrapartum treatment,EXIT),既往也被称为“胎盘支持下手术”(operation on placental support,OOPS),“胎盘支持下气道开放手术”(airway management on placental support),是指一种在分娩时通过维系胎盘循环和胎儿血氧稳定,胎儿部分娩出于子宫腔外以进行相关外科操作或手术的治疗手段。现在所熟知的产时外科这一概念最早是由Mychaliska等人在1997年提出。得益于在胎儿治疗领域上的丰厚经验,Mychaliska等人将这一产时治疗理念标准化(强调和细化了麻醉深度、子宫松弛、胎儿监测等的重要性)并率先应用在胎儿期气管夹闭后的重度膈疝的产时气道建立。而在这之前,产时治疗这一理念已经在其他疾病中开始应用。1989年,Norris和他的团队率先尝试在维系胎盘循环的情况下对一名早产的巨大颈前肿瘤进行气管插管和气管切开。但由于没有对子宫收缩进行抑制,胎盘循环的维持仅持续了10min,胎儿以死亡告终。1992年,Langer等人成功对气道梗阻的胎儿进行了产时气管插管并强调了胎儿仅部分娩出宫腔以及避免压迫脐带的重要性。1993年,Schwartz等人在产时治疗颈部肿物时对麻醉管理进行了详细阐述。1994年,Tanaka提出应用便携式多普勒超声监测胎儿心率。1996年,Skarsgard等人细化了母体的麻醉方案并且提出了 OOPS(operation on placental support)这一概念。在1997年EXIT的提出和标准化后,随着人们对产时外科这一全新的治疗方式的不断认识和产前诊断水平的不断提高,目前,EXIT应用已经不仅仅局限于产前评估为气道梗阻的胎儿。
子宫外产时手术的成功实施需要有经验丰富多学科团队的支持、对子宫外产时处理生理的深刻认识、对处理过程的掌握和对潜在风险的预知与管控。
1.多学科团队构建和人员职责 一个完备和成熟的多学科团队构建对于产时外科的实施至关重要。其人员配备至少需要1~2名小儿外科专家或小儿耳鼻喉科专家、1名产科专家或母胎医学专家、1名小儿超声诊断专家、1名新生儿科专家、2名麻醉医师和2名羊水灌注护士、2名器械护士。产科医生将为产妇进行剖宫产手术并将胎儿部分娩出宫腔外,从而为气道的建立以及其他操作创造条件。小儿外科专家或耳鼻喉专家将协助新生儿科专家进行气管开放的管理并进行随后可能的外科手术操作。2名羊水灌注护士通过输注泵输液管快速将温热林格溶液及时回输宫腔内维持子宫容量,从而降低子宫收缩和胎盘早剥的风险。2名熟悉产时外科手术流程的护士可为手术提供完备的器械供应。2名麻醉医生在术中起着重要的作用。其中一名麻醉医生调控母亲和胎儿麻醉和监测,在剖宫产至胎儿部分娩出阶段,使用高浓度的吸入麻醉剂以尽可能地抑制子宫收缩和降低子宫张力,从而避免胎儿胎盘的过早脱落。但高浓度吸入麻醉剂会使血压不平稳,会有胎盘子宫血流的降低、导致胎儿缺血缺氧的风险。同时使用肾上腺素和去氧肾上腺素来维持母体的血压。当气道安全建立、外科操作结束时,降低吸入麻醉剂浓度,之后注射缩宫素,从而使子宫的张力和收缩力迅速恢复,降低产后大出血的风险。因而麻醉医生要清楚地掌握手术目前阶段并据此做出迅速有效的麻醉调整。另一名麻醉医生则负责保证胎儿气道和实时监测,并为相关的手术性操作提供帮助。胎儿麻醉的监护需要确保良好胎盘血氧交换和胎儿心率。
2.产时外科实施与生理产时外科的正确实施得益于对该治疗手段的准确认识。首先需要纠正的一个错误观念便是产时外科等同于剖宫产手术。事实上,两者之间是截然不同的概念并且存在诸多区别。在麻醉方式选择上,剖宫产手术常使用椎管内麻醉;子宫外产时外科需要全身麻醉以使子宫能降低张力和收缩力达到松弛状态。在胎儿处理上,剖宫产手术不需要胎儿进行麻醉处理;子宫外产时外科不仅需要对进行操作的胎儿进行监护,还要依据手术的需求对胎儿进行麻醉。在团队组建方面,剖宫产手术更多的是依托产科医生技术;子宫外产时手术需要有多学科团队支持、互动和密切配合。在操作目的上,剖宫产手术仅需要关注增加子宫的张力、收缩力、减少子宫容量而避免产后大出血风险;而子宫外产时外科要求降低子宫张力、收缩力、维持子宫内容量以保证胎盘循环的维持,从而进行胎儿手术性操作。
1.按时间轴线 子宫外产时外科的实施可以分为术前、术中。
术前,所有的多学科团队成员需要集中讨论患者诊断、产时外科实施的适应证、禁忌证、手术准备、手术中可能发生的风险和应对措施、患者预后。术中潜在风险有:①妊娠妇女无法达到深度麻醉状态,子宫无法足够松弛,造成子宫-胎儿血氧交换不足;②无法处理羊水过多,超声无法确认胎盘边缘,造成子宫切开时胎盘血管损伤而出血;③无法维持足够的妊娠妇女血压,导致子宫动脉灌注不足或影响子宫胎盘血氧交换;④未能及时辨识术中脐带受压,造成胎儿心动过缓;⑤未能维持子宫腔内容量,导致胎盘早剥;⑥未能及时辨识术中胎盘早剥,造成胎儿出血、持续胎心过缓;⑦无法处理胎儿气道或完成相关操作,可能不得不立即终止产时手术,甚至胎儿死亡;⑧未能迅速恢复子宫的张力和收缩力,造成产妇产后大出血。相关的伦理问题也是术前需要考虑的。
手术时机的选择与疾病种类和母胎情况有关。在保证母胎安全的前提下,胎儿的胎肺成熟度是一个重要衡量依据。成熟的胎肺可避免安全气道建立后胎儿呼吸窘迫状况发生。手术时间一般选择在孕37~38周。对于早产的胎儿,成功建立安全气道后,可以使用促胎肺成熟的药物。手术室的空间需保证可容纳接生婴儿的团队和构建安全气道的团队人员。当团队人员进入手术室后和手术开始前,每一位成员均应该明确自己在术中扮演的角色、职责和站位(图6-13),并提前通知血库以应对可能的产后出血情况。
图6-13 经EXIT恢复气道通气站位图
术中,产时外科大体分为:①静吸复合全身麻醉诱导,使用高浓度吸入麻醉剂提供母亲和胎儿的麻醉;②产妇剖腹手术;③评估子宫松弛程度;④超声检查胎盘位置;⑤子宫切开位置距胎盘边缘需至少5cm,在子宫下段低位全层切开子宫;⑥娩出患者头部和上半身,胎儿下半身留在子宫内并且通过羊水灌注维持宫腔内压;⑦监测胎儿:连续胎儿超声心动图和胎儿脉搏血氧仪;⑧建立安全气道和/或进行手术性操作;⑨减少吸入的麻醉药物量并使用子宫收缩剂;⑩使胎盘自发地与子宫分离;
缝合子宫和关闭腹腔;
转运至新生儿监护室或另一手术室行手术治疗。
2.按照处理对象及环节的不同,可以将产时外科分为三大环节。
(1)母体处理:与剖宫产相似,产妇的体位应向左侧倾斜,以最大限度地减少或防止主动脉的压迫,保证子宫血供和胎盘血流量。切口的选择取决于胎盘的位置、需要暴露的程度和胎儿畸形的种类。产科医生应在超声反复仔细确认胎盘的边缘,使切口边缘与胎盘边缘距离大于5cm。低位水平切口是常用切口,但在某些疾病中也可使用垂直切口。切口的大小应足够暴露胎儿头部和上半身。母体的密切监护包括有创动脉血压、脉搏、血氧、电解质和呼气末CO 2 。
母体吸入麻醉过程分为两个不同阶段。第一个阶段是用地氟醚、异氟烷或七氟醚维持0.5MAC(最小肺泡浓度),然后在母亲手术切开前需上升维持到2~3MAC。有研究试图通过采用全静脉麻醉以避免吸入药物进入胎盘进而导致心率过缓。吸入麻醉药物只在子宫切开时使用以达到子宫松弛的作用。有时,保胎药物包括吲哚美辛、特布他林或硝酸甘油也用于子宫松弛。麻醉的第二阶段是在结扎脐带前和结束子宫外产时手术时。在这个阶段,外科医生和麻醉医生的紧密配合对避免子宫收缩乏力和母亲过度出血是至关重要的。吸入麻醉药需要降低到0.5MAC或完全停止,使子宫张力恢复正常。通常先应用缩宫素以加强宫缩,必要时,可以使用子宫按摩、应用0.25mg麦角新碱或卡前列素氨丁三醇250mg降低子宫收缩乏力风险。在EXIT手术操作过程中,维持子宫内容量对于避免子宫收缩是至关重要的,手术中需要避免胎儿完全离开子宫并通过输注泵输液管快速向子宫内注入温热的林格液。
(2)胎儿处理:在胎儿娩出、暴露胎儿上半身时,保留胎盘循环的状态下,立即通过脉搏、血氧饱和度、无菌超声心动图和临床观察进行胎儿生命体征监测。紧接着建立安全气道管理或进行气管插管,建立通畅气道后,再根据不同疾病设计进一步手术方案;或先处理原发疾病如行颈部囊肿穿刺后再行气管插管;若气管插管失败,则立即行气管切开,建立呼吸。解除气道阻塞的原因,恢复气道通畅,经充分氧合后,再结扎脐带,使胎儿从母体分离。
胎儿处理过程中,胎儿心率的监测是非常重要的。与足月儿不同,胎儿心输出量主要靠心率,而足月儿主要依靠心搏量。应激时,胎儿最早依靠心率以增加心输出量和重新血流分配。这保证了大脑的血液和氧供应。除了胎儿生理的特殊性,胎儿血流动力学的不稳定因素还来自于吸入麻醉剂,药物可直接抑制胎儿心肌收缩、导致血管扩张、动静脉分流改变。因而需要在EXIT过程中持续性监测胎儿,以确保胎儿有足够的氧合、保持良好状态。研究显示,正常的胎儿动脉血氧饱和度在60%~70%,动脉血氧饱和度大于40%已经足以提供胎儿机体的氧合需求。
另外,在胎儿处理过程中,麻醉作用包含了两个部分。一部分来自于母亲麻醉药物的弥散作用,另一部分是为了支持手术性操作而添加的。若患者麻醉深度不足,为了手术性操作的顺利进行,可肌内注射20μg/kg的阿托品和10~20μg/kg的芬太尼,还有肌肉松弛剂(0.2mg/kg维库溴铵)以维持胎儿麻醉和术后镇痛效果。
(3)新生儿处理:从母体上分离的新生儿,其进一步处理取决于手术的需要。若需要进一步手术,则转入另外一间备好的手术室治疗。若已行手术治疗或不需要紧急手术,则新生儿科医生将帮助新生儿的复苏及转运新生儿至新生儿科监护室(NICU)或新生儿外科监护室(SNICU)。
产前影像技术的发展为胎儿畸形的诊断和评估提供了可能,而如何选择合适患者进行干预是子宫外产时治疗一个重要问题。目前,EXIT手术已经应用于先天性高位气道阻塞综合征、颈部巨大肿物、颅面发育不全综合征(hypoplastic craniofacial syndrome)、纵隔肿物、肺部肿物和畸形、先天性膈疝、先天性心脏病、腹壁缺损、连体婴儿等疾病中。归结起来,目前产时外科主要应用于产前诊断评估分娩时和分娩后可能出现严重气道梗阻、心肺功能不全的胎儿。
具体的,EXIT应用可以主要分为:
1.经EXIT恢复气道通气(EXIT-to-airway)经EXIT为气道梗阻/通气障碍类疾病胎儿建立安全气道是EXIT最为常用和重要的适应证。经EXIT恢复气道通气可以是独立的一个治疗操作也可以是一个过渡性的治疗操作。
(1)先天性高位气道阻塞综合征(congenital high airway obstruction syndrome, CHAOS):包括喉部瓣膜、喉闭锁、喉部囊肿、气管闭锁和狭窄,其特征为肺部和远端气道扩大、膈肌外翻、腹水乃至胎儿水肿,此类疾病非常罕见却是致死性的。经EXIT恢复其气道通气,CHAOS患者有了存活的可能。虽然CHAOS患者远期生活质量仍然需要进一步随访,但这一成果是具有划时代意义的。
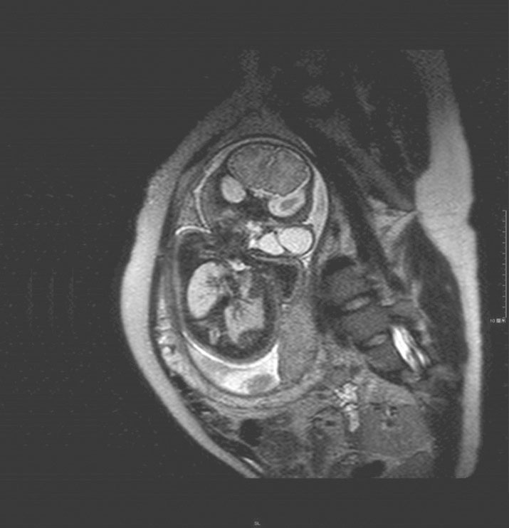
(2)颈部巨大肿物:主要为畸胎瘤、淋巴管瘤、血管瘤、食管重复畸形、咽后壁肿块、颈部巨大鳃源性囊肿、甲状腺肿、神经母细胞瘤等。此类疾病患者在生后可因颈部巨大肿物压迫气道、无法通气而死亡,由于EXIT的应用,在胎儿胎盘循环下进行气管插管或气管切开建立气道通气后、断脐,再处理肿物(如切除瘤体),已大大提高了患者的存活率(图6-14、图6-15)。
(3)先天性膈疝(CDH):EXIT 原是设计为了取出重症CDH胎儿气管夹或气道球囊后、支气管镜下气管插管、并应用肺表面活性物质等治疗。
(4)其他:如小颌畸形等。
2.经EXIT 肿物切除(EXIT-to-resection)颈部巨大肿物和胸腔占位性病变的切除是EXIT的一个重要应用。部分颈部肿物胎儿若无法通过气管插管和气管切开成功建立气道,直接经EXIT手术切除肿物,或是挽救胎儿的重要措施。一般情况下,胎儿血氧交换可以通过胎盘循环维持约60min。而据国外有关文章报道,在胎盘循环的维持下,某颈部肿物胎儿切除并成功建立气道共耗时2.5h。据国内已发表文章,胎盘循环的维持时间可达70min。
图6-14 胎儿颈部巨大淋巴管瘤MRI
图6-15 EXIT在颈部巨大包块中成功建立气管插管
胸腔占位性病变包括了肺部肿瘤和纵隔肿瘤。肺部肿瘤,如先天性肺气道畸形、隔离肺;纵隔肿瘤,如畸胎瘤、淋巴管瘤。胸腔占位性病变较大者在出生时或生后不久即出现严重呼吸困难、发绀、呼吸窘迫等,经EXIT切除肿物不仅对生后有效的机械通气大有帮助,而且还有效提高了回心血量,降低病死率。
3.经EXIT过渡至体外膜肺(extracorporeal membrane oxygenation,ECMO)(EXIT-to-ECMO)重度先天性膈疝(LHR<1.0合并肝脏疝入)、先天性心脏疾病(如左心发育不全、主动脉瓣闭锁、肺动静脉畸形)以及两者同时存在的危重胎儿。
4.经EXIT腹壁畸形修补术(EXIT-to-repair)腹壁缺损中的腹裂和脐膨出是可致命的畸形,肠管外置时间越长,肠腔积气及肠管水肿就越重,增加复位难度及感染机会,甚至发生肠坏死,同时也可能因水电解质严重失衡、脱出肠管系膜嵌顿缺血等导致全身情况迅速恶化,因此巨大腹裂或脐膨出在EXIT下行一期修补或应急处理曾被认为是合适的。但是,随着对疾病的认识加深,腹裂和脐膨出的预后与是否伴发严重畸形、手术时机的选择及有无并发症等因素有关。国内外有关研究已将其排除在EXIT候选适应证中。
5.经EXIT连体胎儿分离 连体胎的分离是EXIT的一个罕见适应证。2002年,Bouchard和他的同事们报道了将EXIT手术作为分离连体双胞胎儿的桥梁的案例。在一名怀有双胞胎儿妊娠妇女产前检查中,他们发现该组胎儿存在胸脐连体胎儿畸形现象,且其中一名胎儿只有一个心室。同时该产妇孕期存在严重羊水过多情况。应用EXIT,他们成功对双胞胎进行插管,并进行超声心动图检查,以确定对出生时立即分离至关重要的共享血管解剖结构。
EXIT在国外已开展二十余年,而近年来国内也陆续有大型医院进行数例尝试。EXIT在国内很多医院无法实施,除了技术层面的问题,无法组建多学科团队、部分患者后期治疗费用高昂也是重要的因素。国外,早期Noah等人研究已显示,与传统的剖宫产手术相比,EXIT手术伤口并发症和出血较多,而住院时长和血细胞比容并无统计学差异。就整体来看,两者短期预后基本一致。Farrell等在45名接受胎儿手术的受访者研究中显示,35人尝试再次妊娠,32人成功,31人成功分娩。尤为值得注意的是,其中两名妇女有不孕病史。从这些数据看来,胎儿干预似乎不会对产妇的长期生育能力产生不利影响。并且,无妊娠妇女因EXIT的实施而死亡。胎儿行EXIT的长期预后与胎儿原发疾病种类、是否合并畸形及气管是否合并严重扭曲、困难插管相关。但可以肯定的是,EXIT的出现为既往认为一出生就将死亡的气道梗阻胎儿或难以建立安全气道、保证充足回心血量的胎儿带来了存活的希望。未来随着胎儿诊断和治疗的不断发展,母体与胎儿管理及子宫收缩控制的不断进步,小儿外科、产科、麻醉技术相对成熟,EXIT中的充分配合可更好保证母、胎安全及提高手术成功率。
(钟微 夏慧敏)