



声音是介质中传播的机械振动。频率高于20kHz的声振动人耳不能感知,称为超声,具有声波的物理特性。
质点振动的方向与波的传播方向一致的波称为纵波。纵波在介质内传播,介质发生周期性的压缩和拉伸,形成交替的疏(负压)、密(正压)周期变化(图1-1-1-1)。
质点振动的方向与波的传播方向垂直的波称为横波。横波在介质内传播,介质发生周期性交替的剪切应变。因此,横波又称剪切波。液体和气体没有切变弹性,因此只能传播纵波,而不能传播横波。
周期和振幅都固定的无间隙波称为连续波。
波间有时间间隔的非连续性波称为脉冲波。超声成像几乎都使用脉冲波。
图1-1-1-1 正弦波示意图
声波完成一次振动(一个波长)所需要的时间( t )。
声波在1秒内完成周期性变化的次数,称为频率,单位是赫兹(Hz)。
声波在一个振动周期内传播的距离,称为波长。
介质质点振动离开平衡位置最大位移。
声波传播时,介质中的压力( P )与静压力( P 0 )的差值称为声压( p )。单位:帕斯卡(Pa)。即
p = P - P 0
声波使介质压缩或伸张,导致介质内压强相对于静压强的周期性变化,即声压正、负周期性交替。
单位时间内与声传播方向相垂直的单位面积所通过的平均声能量,称为声强( I );单位为毫瓦每平方厘米(mW/cm 2 )。自由平面波或者球面波在传播方向的声强为:
式中: p 为有效声压; ρ 0 为介质密度; c 为声速。
声源在单位时间内发射出的总能量,单位:瓦(W)。
在声学领域,声源功率( W )或声压( P )与基准声功率( W ref )或声压( P ref )的比值用分贝(dB)标量。其计算是基于声功率级或声压级,分别为:
(1)声功率级= 10×lg
(2)声压级=20×lg
注意:二者的数值有所不同。
(1)脉冲频率(PF):
单个声脉冲波本身固有的频率。
(2)脉冲重复周期(PRP):
一个脉冲开始发射到下一个脉冲开始发射所需要的时间。
(3)脉冲重复频率(PRF):
单位时间内发射的脉冲数,与脉冲重复周期互为倒数。
(4)脉冲持续时间:
脉冲波所占的时间或脉冲宽度,简称“脉宽(pulse width)”,单位为ms。
(5)空间脉冲长度(SPL):
单个脉冲波所占用的空间长度。
(6)脉冲间隙时间:
两个相邻脉冲波的间隔时间,简称“脉间(interpulse)”。
(7)占空比:
单个脉冲持续时间所占脉冲重复周期的比率。
(8)频带:
探头发射的声频率通常包含多个频率,称为频带。
(9)频带宽度:
简称“带宽(band width)”。一个脉冲波所包括的频率范围称带宽。
根据频谱分析[傅里叶变换(Fourier transform)],声脉冲越长,其带宽越窄;连续波只有一个频率。
单位时间内声波在介质中传播的距离,称为声波的传播速度,简称“声速( c )”;单位为米每秒(m/s)。不同介质中,超声的传播速度不同(表1-1-1-1),在人体软组织中的平均传播速度为1 540m/s。
c 等于波长( λ )与频率( f )的乘积,即
c = λf
可见,同一频率的超声波,在不同介质中传播,其波长会不同。
表1-1-1-1 人体组织、空气及水的声学参量
用于标量介质的声学特性;单位为帕斯卡秒每米(Pa·s/m)。其值等于介质的密度和声速的乘积,即
Z = ρ 0 c
式中 Z 为声特性阻抗, ρ 0 为介质密度, c 为声速。
人体组织的声特性阻抗见表1-1-1-1。
反射是声波在两种不同声学特性阻抗介质传播时在界面发生返回原介质的现象,当声波入射角超过一定角度(临界角)时可发生全反射;折射是因介质中声速的变化而引起声传播方向改变的现象;透射是声波穿过界面继续传播的现象。
声波 p i 以入射角 θ i 斜射到由介质Ⅰ和介质Ⅱ构成的平滑界面上,若介质Ⅰ和介质Ⅱ的声特性阻抗分别为 Z 1 、 Z 2 ,那么反射波 p r 、反射角 θ r 、折射波 p t 、折射角 θ t 的几何关系如图1-1-1-2。
(1)反射定律:
声波倾斜入射时,入射角等于反射角( θ i = θ r )。即声波的反射定律。
(2)折射定律:
入射角的正弦与折射角的正弦之比等于介质的折射率,即
,其中
n
称为介质的折射率。
声束由声速快的介质进入声速慢的介质( c 1 > c 2 ),折射角小于入射角( θ t <θ i );反之,则 θ t >θ i 。
声波垂直入射,即入射角 θ i = 0,那么反射角 θ r = 0,折射角 θ t = 0。
是指声波在介质中遇到界面线度小于波长的散射体时,产生朝各个方向辐射声波的现象,称为散射。将沿入声束返回的散射称为背向散射。
图1-1-1-2 斜入射声波的反射、折射和透射示意图
超声波在介质内传播的过程中,由于介质的黏滞性、热传导性、分子吸收以及散射等原因导致声能逐渐减小的现象称为衰减。频率越高,衰减越严重。导致超声衰减的原因主要有:
(1)扩散:
由于声波传播空间的扩大而引起的单位面积声能减少。
(2)散射:
因散射体导致声波向不同方向散射而减弱的现象。
(3)吸收:
声波机械振动引起介质内摩擦转化为热能而被介质吸收的现象。
超声在传播的过程中,由于声压正负变化对介质的压缩和拉伸,使对称的正弦波逐渐畸变为锯齿波(图1-1-1-3)。按傅里叶变换原理,这种畸变波形相当于以正弦波为基波( f 0 ),再叠加两倍(2 f 0 )、三倍(3 f 0 )等数倍于基波频率的谐波(harmonic wave)。其中以2 f 0 谐波的强度较大,称为二次谐波(second harmonic)。
正弦波传播过程中畸变为锯齿波,含有多个频率(包括为基波整数倍的谐波频率)。
图1-1-1-3 非线性传播示意图
因声源与接收器相对运动而使声频率发生改变的现象称为多普勒效应(Doppler effect)。频率变化的大小称为频移(图1-1-1-4),频移的大小与相对运动的速度成正比。
图1-1-1-4 多普勒效应
当发射频率为 f 0 的声源以速度( V )朝向接收者运动时,接收到的频率增加( f 1 );背向接收者运动时,接收到的频率减低( f 2 )。 f 2 < f 0 < f 1 。
声源发出的超声波在各向同性的均匀介质中传播,被激发质点产生的振动都可以视为新声源(子波)。由子波到达的各质点所连成的包络构成新的波阵面,称波前。如图1-1-1-5所示,波前的法线方向就是波的传播方向。这一规律称为惠更斯原理(Huyghens principle)。波前为平面的称为平面波;波前为球面的称为球面波。
从图1-1-1-5可见,控制振动源的激发顺序和时间就可以使超声波束向不同方向和角度偏转,实现声束的扇形扫描和电子聚焦。
图1-1-1-5 惠更斯原理示意图
A.平面波若各个振动源同时振动,波前(波阵面)平行于振源组连线,传播方向与振源组连线垂直;B.一组振动源1~8的依次延迟Δ t 激发振动,振源1~8发出的振动波的传播距离都依次相差 c ·Δ t ,将各子波到达的振动质点连接,其波阵面及传播方向如图,传播方向偏转,偏转角度的大小取决于延迟时间(Δ t )的长短;C.与B相似,若振源8最先振动,振源1最后振动,波阵面及传播向反方向偏转。
超声波的发生与接收由超声探头中的压电材料(压电陶瓷、单晶硅、复合压电材料等)实现。
在压电材料两侧施加高频交变电压,材料将发生与交变电压频率一致的膨胀与收缩(振动),可形成超高频机械振动,将电能转换为机械能,产生超声波。
当压电材料在机械力的作用下发生压缩与膨胀时,两侧产生正、负电荷,称为压电效应,将机械能转化为电能,用以接收超声波。
声波传播时能量分布的空间称为声场。如图1-1-2-1所示,阵元发出的超声波在较小的对称立体角内呈指向性传播,称为声束。其中心轴线称为声轴。声轴周围半声压(-3dB)点包络线间的距离称为声束宽度。
阵元连续发射非聚焦声束,传播到一定距离后,其直径开始迅速增大。这一距离内的声场称为近场区,此后的远侧声场称为远场区。近场的长度( L )与阵元直径的平方成正比,与发射超声波的波长成反比,即:
L ≈ 0.8 R 2 / λ ≈ 0.8 fR 2 / c
R =圆形阵元直径, λ =波长, f =频率, c =声速
由公式可见,阵元直径越大,频率越高,近场区越长。但是近场区的声强起伏较大,分布不均匀;远场区声强分布相对均匀,但声束增宽,逐渐扩散。近声轴的声强最集中,呈细窄瓣状,称为主瓣,在主瓣周围尚有旁瓣(side lobe)。
主瓣外侧边缘线与声轴的夹角称为扩散角( θ ),用以表征声束扩散的程度。阵元频率越高,直径越大,则扩散角越小。
图1-1-2-1 声场示意图声场(声束)能量分布剖面示意图
近场区的声压不均匀;远场区声压较均匀,但声束扩散( θ )。主瓣周围分布旁瓣。
如图1-1-2-2所示,根据惠更斯原理,通过延时电路以不同的延迟顺序和时间依次连续激发振子,就会获得以不同偏转角度连续发射的声束,实现声束的扇形扫描。
用于诊断的声束必须采用多种技术使其变细,即聚焦,才可以用于诊断。实现聚焦的基本方法有:
(1)声透镜:
根据折射定律,利用凸型介质,使进入人体后的声波向中间汇聚,声束变窄。
(2)电子聚焦
1)发射聚焦:
通过控制和调整相邻振子的发射延迟时间,改变波阵面的曲率和方向,达到声束在不同距离的多段聚焦或多点动态聚焦。
图1-1-2-2 电子动态聚焦示意图
控制振子自周边到中央延迟发射:延迟时间短,聚焦区近(蓝色);延迟时间长,聚焦区远(红色);连续控制延迟时间,实现动态多点聚焦。
2)接收聚焦:
见图1-1-1-5,根据同样的原理,控制电路延迟接收反射信号从焦点处到达振子的时间,实现电子动态接收聚焦。
3)动态可变孔径聚焦:
采用改变组成振元的振子数(相当于改变阵元的直径)发射超声束,即增加组成阵元的振子数(相当于增大直径)近场区长;减少组成阵元的振子数(相当于减小直径),近场区短,便可实现动态聚焦。
仪器能够区分两个相邻反射体最小距离的能力称为空间分辨力,包括:
(1)轴向分辨力:
能够分辨声束方向上两个相邻回声源最小距离的能力称为轴向分辨力(AR),又称纵向分辨力,大约等于1/2空间脉冲长度。超声波的频率越高,波长就越短,轴向分辨力也越高。
(2)横向分辨力:
定义为能够分辨同一深度垂直于扫查平面两个相邻回声源最小距离的能力,约等于垂直于扫查方向的声束宽度的1/2。
(3)侧向分辨力:
与横向分辨力相似,指能够分辨平行于扫查平面且与声束垂直的两个回声源最小距离的能力。
指能分辨图像变换最短时间的能力称为时间分辨力,是帧频率的倒数,对分析高速运动和血流动力学至关重要。
是指显示和分辨不同回声强度差别(灰阶)的能力。但是人视觉的分辨力仅8~10个灰阶。
超声成像的基本原理是根据超声在人体组织内传播的物理特性将人体的组织解剖和病理生理信息以图像的形式在荧光屏显示。
超声仪器的基本构成单元如图1-1-3-1所示,包括主控制单元、换能器(探头)、脉冲发生和声束形成器(发射单元)、回声接收和处理器(接收单元)、信号处理单元、显示器。
图1-1-3-1 超声仪器的基本构造
是电能-声能相互转换(超声发生和接收)的核心部件。主要由压电材料、背衬、匹配层、声透镜、电极线组成。
声束形成器产生数兆赫兹至数十兆赫兹高频电脉冲,通过控制电路将电脉冲按时间和空间顺序激发换能器的阵元,利用逆压电效应产生超声波,同时实现电子动态聚焦和偏转扫描。
携带有体内组织信息的回声脉冲激励探头的阵元,利用正压电效应转换为电脉冲。
对接收的原始射频信号进行复杂的计算机处理(包括信号提取、滤波、放大、转换等),最终形成视频信号。
显示来自处理器的视频信号。
超声成像基于组织界面的反射和散射。如图1-1-3-2所示,当换能器发出超声短脉冲后,距换能器近(表浅)的组织界面反射的回声波先被接收,即声波往返时间短,而距换能器较远(深部)组织界面反射的回声后被接收,即往返时间较长。依次推进,每一界面和散射微粒的深度( D )都可以用其回声到达换能器的时间( t )精确计算。人体组织的平均声束为1 540m/s,若组织中某一界面反射回探头的时间为 t (s),那么这一界面的距探头的距离即为
D = ct /2 = 770 t (m)
界面和微粒反射和散射的强度取决于组织结构和声学特性。回声的时间和强度携带了组织的空间位置和声学特征信息,被探头接收而转化为电信号,并经滤波、放大、转换等复杂的计算机处理后,最终形成视频信号在显示器一一对应显示,构成声像图。
图1-1-3-2 组织界面反射回声示意图
超声成像主要有幅度调制型显示(amplitude modulation display)和辉度调制型显示(brightness modulation display)。基于此的成像类型包括:
简称“A型法(A-mode)”。以纵轴为回声强度标尺,横轴为深度标尺。回声以波的形式依次在显示器显示。其波幅表征组织声特性阻抗差的大小。均匀介质(如积液、血液)则显示为平段。目前常用于眼科。
简称“B型法(B-mode)”。将回声强度以不同亮度,即灰阶(grey scale)显示。探头每发射一次声脉冲,组织的回声就连成一条与经过组织深度和强度一一对应的辉度线。单声束进行快速扫查或多声束同时扫描,线动成面,即组成反映组织声学特征的实时二维灰阶图像(图1-1-3-3)。声像图像素点的位置和亮度(辉度)与人体解剖切面的空间位置和声学特征对应。
图1-1-3-3 B型法成像原理
常用扫查方式包括扇形扫描(机械扇扫探头、相控阵和环阵探头)、线形扫描、凸阵扫描。
声像图将辉度从无到强(饱和)分为不同等级,称为灰阶(grey scale)。在声像图的一侧以条形标示,称为灰标(mark of grey scale)。
组织谐波成像和造影剂增强超声(contrast-enhanced ultrasound,CEUS)采集的回声信号不同,但本质上仍属于B型成像。
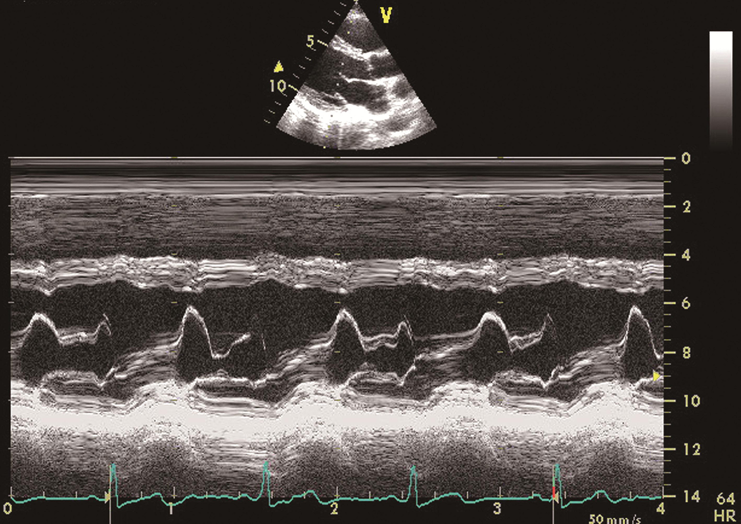
以纵轴为深度,横轴为时间。将各层组织界面在声束内位置移动随时间的变化以位移-时间动态曲线显示(图1-1-3-4),具有非常高的时间分辨力。
利用声传播的多普勒效应频移与相对运动速度的关系,显示运动速度随时间的变化。因此又称Doppler型,简称“D型”。
(1)连续波多普勒(CW):
CW是采用一个阵元发射连续超声波,另一个阵元接收声束内运动体的频移,以曲线显示频移大小速度和方向( Y 轴)随时间( X 轴)的变化(图1-1-3-5),称为多普勒频谱(spectral Doppler)。红细胞的运动速度代表了血液的流动速度,计算公式为:
式中 V =血流速度; c =声传播速度; f d =频移; f t =发射频率; θ =声束与血流的夹角。
图1-1-3-4 M型成像
显示心动周期内室间隔、二尖瓣、左心室后壁的运动。
图1-1-3-5 Doppler超声成像
由图所示,引起频移的是红细胞在声束方向的分速度,血流的真实速度必须通过公式中的cos θ 矫正。当 θ > 60°时, θ 的微小变化会使测值误差显著增大。因此,必须使声束与血流方向的夹角<60°。
CW将声束内组织运动的频移信号都无选择地接收。其优点是几乎不受高速血流的限制;缺点是不能准确定位目标。
(2)脉冲波多普勒(PW):
一个阵元发射超声短脉冲,通过控制接收时间的早晚和脉冲持续时间的长短来调节接收频移回声的取样位置和范围,实现检测感兴趣部位内的血流分布。取样的时间窗称为取样容积(sample volume),或称取样门(sample gate)。
探头发射超声短脉冲后,必须有足够的时间接收频移回声信号。否则就会出现接收回声的混叠。因此,最大距离与最大测量速度(频移)相互制约。当最大频移( f max )大于PRF/2,就会出现混叠。这一临界频率称为奈奎斯特频率(Nyquist frequency)。
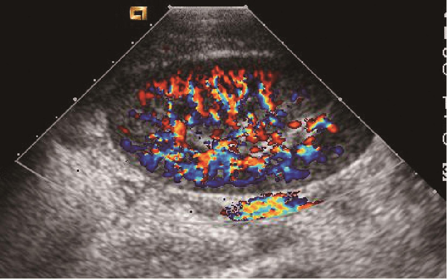
(3)彩色多普勒成像(color Doppler flow imaging,CDFI):
采用多声束进行快速采样,对所获得的多普勒频移(速度)信息进行自相关处理和彩色编码。将朝向探头的血流标记为红色,背向探头的血流标记为蓝色,以彩色亮度显示速度的高低,并将其叠加于二维声像图上的相应位置,获得血管在组织内的空间分布和实时血流速度信息(图1-1-3-6)。
对人体组织的低速运动(如心肌)产生的频移,通过低通滤波法滤除高频率频移,只显示低频率频移信号,称组织多普勒成像(tissues Doppler imaging,TDI)或组织速度成像(tissue velocity imaging,TVI)。
此外,也可以通过提取红细胞运动散射的幅度信号进行血流成像,称多普勒能量图(Doppler power imaging,DPI),对低速血流有更高的敏感性。
图1-1-3-6 彩色多普勒成像显示肾脏的血流
(1)组织谐波成像(tissues harmonic imaging):
利用超声的非线性传播特点,采用滤波等办法抑制基波和旁瓣回声,仅接收其回声的谐波(主要是二次谐波)信号。达到提高信噪比、空间分辨力和对比分辨力的目的。
(2)造影剂谐波成像:
又称增强超声(contrast-enhanced ultrasound,CEUS)或超声造影。超声造影是近年发展起来的一种观测微循环和组织灌注的新技术。利用造影微泡的非线性谐振特点,提取微泡的谐振信号,并同时发射反向脉冲抑制基波信号,显著提高对比分辨力,显示组织的血流分布和灌注特征。
三维超声成像是在二维超声图像的基础上,利用计算机强大的图像采集、存储和处理功能,重建并显示人体脏器的空间立体形态及其内部的回声信息,即三维容积信息。若采集和处理速度足够快,能实现实时采集和显示,称为实时三维成像,俗称四维超声。三维超声成像便于医生剖析各组织结构间的空间相互关系。
超声弹性成像(ultrasound elasticity imaging)用超声波检测人体组织对施加力的反应,检测的是组织的生物力学特征,主要是硬度。借助于外部或人体内部的静态或动态力,使人体组织产生局部弹性应变或剪切波,用超声波跟踪并捕获其应变或剪切波速(或换算成杨氏模量)信息,以彩色编码形式叠加在灰阶影像上一并显示。根据其检测信息的不同,目前通常将通过检测靶组织应变评估其与周围组织相对硬度的方法称为“静态”弹性成像;通过聚焦超声波脉冲激发组织产生剪切波,并检测剪切波传播速度,利用剪切波传播速度( c )与杨氏模量( E )的近似关系( E ≈3 ρc 2 )间接定量组织硬度,这一方法称为“动态弹性成像”。
超声波导致生命活动和组织结构发生的具有生物学意义的变化,称为生物学效应(biological effect),主要包括:
因声辐射力、声流、声扭等机械应力引起的组织结构和/或功能改变。
超声波在组织中传播时部分声能转化为热能,导致组织升温。产热量主要取决于超声波的空间峰值时间平均声强和组织的吸收衰减系数。对人体易受升温影响的组织,如早孕胎儿,应尽量减少辐照能量和时间。
在一定强度的声压作用下,组织中产生微小气泡的现象。微气泡爆破的瞬间会产生高压声流,对组织有很大的损伤作用。微泡超声造影剂的存在将使产生空化的危险显著增加。
超声的生物学效应与仪器的输出指数直接相关,最重要的两个参数是:
机械指数(mechanical index,MI)被定义为“表示潜在的源于空化生物效应的显示参数”,其与声压和声频率的关系为:
MI = P/f 1/2
由于声波负半周期的负压可导致空化,因此,MI与超声使用的安全性最为密切。
热指数(thermal index,TI)被定义为“指定点的衰减后声功率与指定组织模型中该点温度升高1℃所需要的衰减后声功率的比值”,即
TI =输出功率/界面温升1℃所需功率
部分仪器对TI不予标注。
自20世纪90年代以来,世界卫生组织(WHO)等多国权威机构均发布有关超声安全使用的指导原则。其基本共识是诊断超声可能有潜在风险。但是,到目前为止,还没有空间声强时间平均声强低于100mW/cm 2 的超声输出对哺乳动物引起不良影响的报道。而诊断超声的功率远低于100mW/cm 2 。然而,为了确保超声诊断的安全性,仍然建议要遵循ALARA原则(as low as reasonably achievable),即“在获得所需要诊断信息的前提下,采用尽可能低的声输出功率和尽可能短的辐照时间”。目前,超声造影和特性成像等新技术采用了非常规的成像方法,有可能使超声使用出现不确定的安全性隐患,应引起临床注意。
(王金锐)