



学习目标
掌握 胸膜疾病临床表现、分类、并发症、鉴别诊断及治疗原则。
了解 正常的胸膜腔解剖结构及胸膜疾病的分类、病因、发病机制。
胸膜腔是位于肺和胸壁之间的一个潜在的腔隙。在正常情况下脏胸膜和壁胸膜表面上有一层很薄的液体,在呼吸运动时起润滑作用。胸膜腔内的液体的滤出与吸收处于动态平衡。任何因素加速其产生和/或减缓其吸收时即可出现胸腔积液(pleural effusions)。
胸腔积液常见的病因:①胸膜毛细血管内静水压增高,如充血性心力衰竭、缩窄性心包炎、血容量增加、上腔静脉或奇静脉阻塞等;②胸膜毛细血管通透性增加,如胸膜炎症(肺结核、肺炎)、风湿性疾病(系统性红斑狼疮、类风湿关节炎)、胸膜肿瘤(恶性肿瘤转移、间皮瘤)、肺梗死、膈下炎症等;③胸膜毛细血管内胶体渗透压降低,如低蛋白血症、肝硬化、肾病综合征、急性肾小球肾炎等;④壁层淋巴管引流障碍,如癌性淋巴管阻塞、丝虫病等;⑤损伤,如主动脉瘤破裂、胸导管破裂等,产生血胸、乳糜胸;⑥医源性因素,如药物(如氨甲蝶呤、胺碘酮、苯妥英等)、放射治疗、消化内镜检查和治疗、支气管动脉栓塞术,以及卵巢过度刺激综合征、液体负荷过大、冠脉搭桥手术、骨髓移植、中心静脉置管穿破和腹膜透析等,都可以引起渗出性或漏出性胸腔积液。
胸腔积液的形成和吸收与胸膜腔负压、胸液和胸膜毛细血管中胶体渗透压、静水压有密切关系。在综合压力梯度的作用下,胸腔积液从壁胸膜和脏胸膜的体循环血管通过有渗漏性的胸膜进入胸膜腔,然后通过壁胸膜的淋巴管微孔经淋巴管回吸收。当一些病理因素破坏胸液生成与吸收的动态平衡则引起胸腔积液(图2-13-1)。
图2-13-1 人体正常情况下影响液体进出胸膜腔的压力对比
胸腔积液临床表现因病因、胸腔积液量、胸腔积液形成速度的不同而不同。
胸腔积液的病因较多,胸腔积液出现多伴有基础疾病,包括肺、胸膜、心血管、肾脏、肝脏及全身性疾病,因此仔细询问全身病史和观察患者症状,对于胸腔积液的病因诊断十分重要。
少量胸腔积液可无明显症状或仅有胸痛,并随呼吸运动疼痛加剧;胸腔积液300~500ml时,可感胸闷或轻度气急;随着胸腔积液增多,胸闷、气急逐渐加剧;大量胸腔积液时,可出现呼吸困难和心悸,但胸痛有所缓解。
与积液量有关,少量积液时可无明显体征,或可触及胸膜摩擦感或可闻及胸膜摩擦音。中量或大量积液时,患侧胸廓饱满,触觉语颤减弱,局部叩诊浊音,呼吸音减低或消失。可伴有气管、纵隔向健侧移位。
胸腔穿刺抽液检查对于诊断胸腔积液的性质和病因具有重要价值。
漏出液透明清亮,多为淡黄色,静置不凝固,比重< 1.018。渗出液可因病因不同颜色有所不同,混浊,易有凝块,比重> 1.018。血性胸腔积液呈洗肉水样或静脉血样,多见于肿瘤、结核和肺栓塞。乳白色胸液多为乳糜胸。巧克力色胸腔积液多考虑阿米巴肝脓肿破溃入胸腔的可能。黑色胸腔积液可能为曲霉菌感染。黄绿色胸腔积液可见于类风湿关节炎。
胸膜炎症时,胸腔积液中可见各种炎症细胞及增生与退化的间皮细胞。漏出液:细胞数< 100 × 10 6 /L,以淋巴细胞与间皮细胞为主。渗出液:细胞数> 500 × 10 6 /L。脓胸:白细胞> 10 000 × 10 6 /L。中性粒细胞增多时提示为急性炎症;淋巴细胞为主则多为结核性或肿瘤性;寄生虫感染或结缔组织病时嗜酸性粒细胞常增多。胸腔积液中红细胞> 5 × 10 9 /L时可呈淡红色,多由恶性肿瘤或结核所致,应与胸腔穿刺损伤血管导致血性胸腔积液鉴别。红细胞> 100 × 10 9 /L时,应考虑创伤、肿瘤或肺梗死。胸腔积液血细胞比容>外周血血细胞比容的50%时为血胸。恶性胸腔积液有40%~90%可查到恶性肿瘤细胞,反复多次检查可提高检出率。
正常胸腔积液pH接近于7.6。pH降低可见于多种原因的胸腔积液,如脓胸、食管破裂、类风湿关节炎时积液;但pH < 7.0仅见于脓胸及食管破裂所致的胸腔积液。
胸腔积液涂片查找细菌及培养有助于病原诊断。结核性胸膜炎胸腔积液沉淀后做结核菌培养,阳性率约20%。巧克力色胸腔积液应镜检阿米巴滋养体。
渗出液蛋白含量> 30g/L,胸腔积液/血清比值大于0.5,黏蛋白试验(Rivalta试验)阳性。漏出液蛋白含量< 30g/L,以白蛋白为主,Rivalta试验阴性。
乳糜胸的胸腔积液呈乳状,甘油三酯含量> 1.24mmol/L,胆固醇正常,主要见于肿瘤、寄生虫或外伤等原因导致胸导管压迫或破裂。假性乳糜胸的胸腔积液呈淡黄或暗褐色,含有胆固醇结晶及大量退变细胞(淋巴细胞、红细胞),胆固醇多大于5.18mmol/L,甘油三酯含量正常;见于陈旧性结核性胸膜炎、恶性胸腔积液、肝硬化和类风湿关节炎胸腔积液等。
正常胸腔积液中葡萄糖含量与血中含量相近,测定胸腔积液葡萄糖含量,有助于鉴别胸腔积液的病因。漏出液与大多数渗出液葡萄糖含量正常;葡萄糖含量降低主要见于类风湿关节炎并发胸腔积液、结核性胸腔积液、化脓性胸腔积液、少数恶性胸腔积液,而其中脓性胸腔积液和类风湿关节炎并发胸腔积液的葡萄糖可低于1.1mmol/L。
乳酸脱氢酶(LDH)是反映胸膜炎症程度的指标,其值越高,表明炎症越明显。渗出液LDH >200IU/L,胸腔积液/血清LDH比值> 0.6。LDH > 500IU/L常提示为恶性肿瘤或胸腔积液已并发细菌感染。腺苷脱氨酶(ADA)在淋巴细胞及单核细胞内含量较高。结核性胸膜炎时胸腔积液中ADA多高于45IU/L。艾滋病合并结核性胸膜炎患者,胸腔积液ADA不升高。
结核性与恶性胸腔积液中T淋巴细胞增高,以结核性胸膜炎为显著,可高达90%,以CD4 + 为主,而且胸腔积液中γ-干扰素增高。系统性红斑狼疮及类风湿关节炎引起的胸腔积液中补体C3、C4成分降低,免疫复合物含量增高。系统性红斑狼疮胸腔积液中抗核抗体效价可达1∶160以上。类风湿关节炎中类风湿因子> 1∶320。
恶性胸腔积液中癌胚抗原(CEA)可升高,且比血清更显著。若胸腔积液CEA > 10μg/L或胸腔积液/血清CEA > 1,常提示为恶性胸腔积液。
胸腔积液量在0.3~0.5L时,X线仅见肋膈角变钝;积液量多时显示外高、内低、凹面向上的积液影。平卧时积液影散开,使整个肺野透亮度降低。液气胸时可见气液平。大量积液时,纵隔推向健侧,患侧肺野透光度减低。积液包裹时可见边缘光滑的阴影,不随体位改变而变化(图2-13-2)。
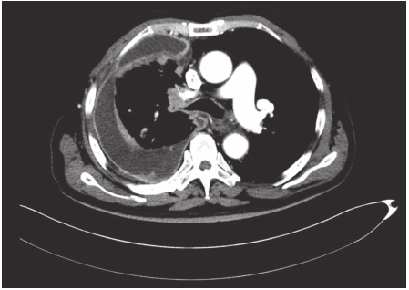
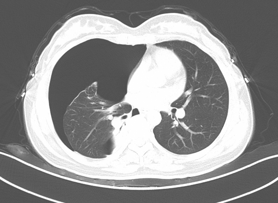
通过CT检查少量的胸腔积液亦能显影。CT的优点还包括通过病灶密度观察可将局限包裹性积液与肺实质病变加以鉴别;强化造影后可较好地显示纵隔、肺门、气管旁淋巴结、肺内肿块及胸膜病变等(图2-13-3)。
图2-13-2 渗出性胸膜炎胸片
图2-13-3 渗出性胸膜炎强化CT
超声探测胸腔积液具有灵敏度高、定位准确的优点。临床用于估计胸腔积液深度和积液量,协助胸腔穿刺定位。超声引导下胸腔穿刺用于包裹性和少量胸腔积液。
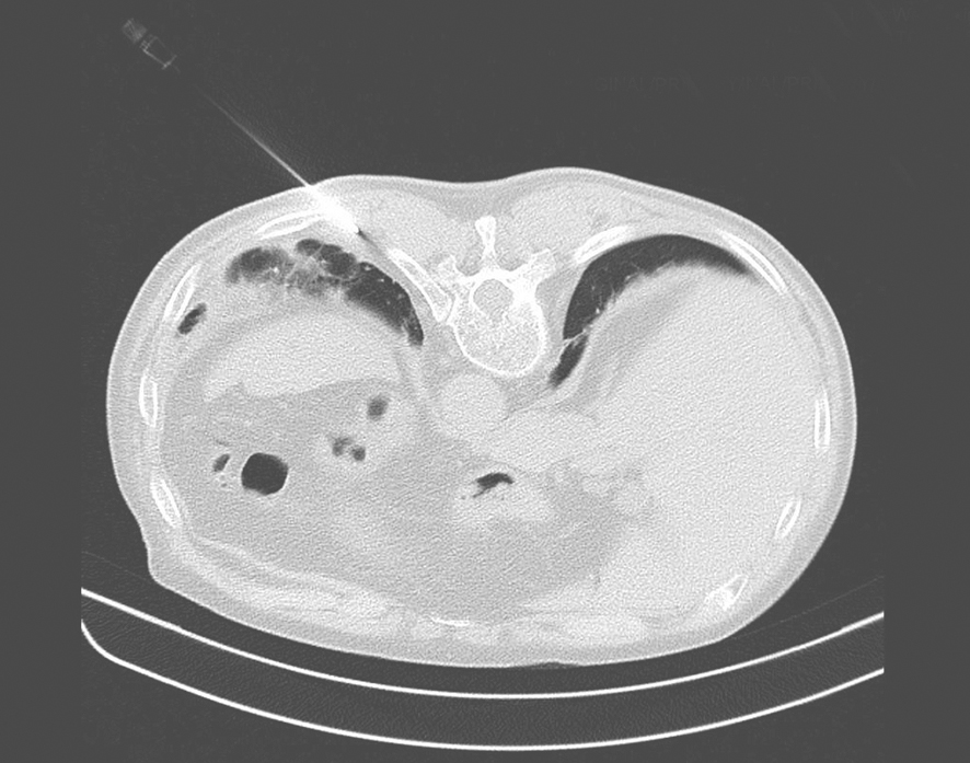
经皮闭式胸膜活检对胸腔积液病因诊断有重要意义,胸膜针刺活检具有简单、易行、损伤性较小的优点,诊断阳性率为40%~75%。CT或超声引导下活检可提高成功率,研究显示CT或超声引导下的胸膜活检(图2-13-4)对恶性胸膜疾病诊断的敏感性达70%~91%。
对于上述检查不能确诊者,必要时可经胸腔镜直视下活检。通过胸腔镜检查术(图2-13-5)可以直观、清晰地观察90%~100%的脏、壁胸膜,选择可疑部位钳取组织进行活检,组织标本较大且在直视下获得,因而阳性率大大提高,可达90%以上。
图2-13-4 CT引导下胸膜穿刺活检
图2-13-5 胸腔镜直视下胸膜活检
对有咯血或疑有气道阻塞者可行此项检查。
胸腔积液的诊断和鉴别诊断分三个步骤。
中量以上的胸腔积液据症状和体征可以作出判断。少量积液(0.3L)仅表现肋膈角变钝,有时易与胸膜粘连混淆,超声、CT等检查可确定有无胸腔积液。
表2-13-1 漏出液和渗出液的鉴别
注:根据外观、比重、蛋白含量和细胞数诊断的敏感性和特异性较差,目前多根据Light标准。①胸液中总蛋白/血清总蛋白> 0.5;②胸液中LDH/血清LDH > 0.6;③胸液中LDH大于血清正常值高限的2/3。符合上述标准中任何1条可诊断为渗出液。有些积液难以确切地划入漏出液或渗出液,见于恶性胸腔积液,系由于多种机制参与积液的形成。
漏出液常见病因是充血性心力衰竭,多为双侧胸腔积液,积液量右侧多于左侧。心包疾病引起的胸腔积液多为双侧,且左侧多于右侧。肝硬化胸腔积液多伴有腹水。肾病综合征胸腔积液多为双侧,可表现为肺底积液。低蛋白血症的胸腔积液多伴有全身水肿。
在我国渗出液最常见的病因为结核性胸膜炎,多见于青年人,表现有胸痛,并伴有干咳、潮热、盗汗、消瘦等结核中毒症状,胸腔积液检查以淋巴细胞为主,总蛋白多大于40g/L,ADA及γ-干扰素增高。胸膜活检阳性率达60%~80%,结核菌素试验皮试多呈阳性或强阳性。
类肺炎性胸腔积液指肺炎、肺脓肿和支气管扩张感染引起的胸腔积液,如积液呈脓性则称脓胸。患者多有发热、咳嗽、咳痰、胸痛等症状,外周血白细胞升高,中性粒细胞增加伴核左移。X线胸片先有肺实质的浸润影,或肺脓肿和支气管扩张的表现,然后出现胸腔积液,积液量一般不多,呈草黄色甚或脓性,白细胞明显升高,以中性粒细胞为主,葡萄糖和pH降低。
恶性肿瘤侵犯胸膜引起恶性胸腔积液,常由肺癌、乳腺癌和淋巴瘤直接侵犯或转移至胸膜所致,其他部位肿瘤包括胃肠道和泌尿生殖系统。也可由原发于胸膜的恶性间皮瘤引起。以中老年人多见,有胸部钝痛、痰中带血和消瘦等症状,胸腔积液多呈血性、量大、增长迅速,CEA或其他肿瘤标志物升高,LDH多大于500IU/L,胸腔积液脱落细胞检查、胸膜活检、胸部CT、支气管镜及胸腔镜等检查,有助于进一步诊断和鉴别。
胸腔积液的病因治疗十分重要。漏出液在病因纠正后可自行吸收。渗出液常见病因为结核、肺癌和肺炎。
1.一般治疗 包括休息、营养支持和对症治疗。
2.抽液治疗 对于少量胸腔积液,一般不需抽液或只作诊断性穿刺。中等量以上积液应当抽液2~3次,直至积液不易抽出为止。每次抽液量不宜超过1 000ml,且抽液速度不宜过快。抽液时应经常观察患者的反应,若出现头晕、出汗、面色苍白、心悸、脉细、四肢发凉等症状时为胸膜反应,应立即停止抽液,使患者平卧,必要时皮下注射0.1%肾上腺素0.5ml,并密切观察血压,注意休克的发生。抽液过多过快时,胸腔内压力骤减,可发生肺复张后肺水肿。患者有咳嗽、气促、咳大量泡沫痰,双肺满布湿性啰音。此时应立即吸氧,酌情使用糖皮质激素和利尿剂,控制补液量并注意酸碱平衡,有时需气管插管机械通气。
3.抗结核治疗。
4.糖皮质激素 疗效不确定。对于全身中毒症状严重、有大量积液者,可以在积极抗结核化疗的同时加用小剂量糖皮质激素,以减少全身毒性反应,加快胸腔积液吸收并减少胸膜粘连。可尝试加用泼尼松30mg/d,待症状消退,胸液减少时,逐渐减量,一般疗程为4~6周。注意不良反应或结核播散,应慎重掌握适应证。
一般积液量少,经有效的抗菌治疗后可吸收,积液多者应胸腔穿刺抽液。
形成脓胸的常见感染病原体为革兰氏阴性杆菌、金黄色葡萄球菌及肺炎链球菌;若为肺脓肿或支气管扩张并发脓胸,多为以厌氧菌为主的混合感染;使用免疫抑制剂患者中,真菌和革兰氏阴性杆菌多见。治疗原则是控制感染、引流胸腔积液,并促使肺复张,恢复肺功能。抗菌药物要足量,体温恢复正常后再持续用药2周以上,防止脓胸复发,全身及胸腔内给药。引流是脓胸最基本的治疗方法,可反复胸腔穿刺或肋间切开闭式引流。慢性脓胸应改进原有的脓腔引流,也可考虑外科胸膜剥脱术等治疗。此外,一般支持治疗亦相当重要,应给予高能量、高蛋白及富含维生素的食物,纠正水电解质紊乱及维持酸碱平衡。
恶性胸腔积液常继发于肺癌(腺癌居多)、乳腺癌等。处理恶性胸腔积液时,应尽可能抽尽胸液,并向胸腔内注入抗癌药物(如顺铂、阿霉素、丝裂霉素、氟尿嘧啶、博来霉素等),生物免疫抑制剂(白细胞介素-2、干扰素等),或胸膜粘连剂(滑石粉、四环素、多西环素等)。恶性胸腔积液常为大量,反复抽液可使蛋白丢失太多,应注意全身支持治疗。在局部处理胸腔积液的同时,应针对不同肿瘤酌情进行全身治疗(化疗、靶向治疗、放疗等)。
正常人的胸膜腔是由脏胸膜和壁胸膜围成的一个不含气体的、密闭的潜在腔隙。任何原因造成的胸膜腔积气统称为气胸(pneumothorax),是内科常见的急症。气胸可分为自发性、创伤性和医源性三类,以自发性气胸最为常见。创伤性气胸多见于各种胸部外伤,医源性气胸由于诊断和治疗所致。本章主要讲述自发性气胸。
自发性气胸系指肺泡及脏胸膜自行破裂而引起的气胸。根据有无原发疾病可分为原发性气胸和继发性气胸。
常规X线检查肺部无显著病变者所发生的气胸,但可有胸膜下肺大疱,多在肺尖部。此型气胸好发于20~40岁体型瘦长男性,右侧多见,并且易复发(30%见于同侧复发,10%发生于对侧)。吸烟可增加原发性气胸的危险度。
在原有肺部疾病基础上发生,常见病因为慢阻肺和肺结核。肺囊性纤维化、支气管哮喘、间质性肺病、肺癌、尘肺、急性细菌性肺炎(金黄色葡萄球菌性肺炎)等均可引起继发性气胸。月经性气胸仅在月经来潮前后24~72h内发生。妊娠期气胸可因每次妊娠而发生,可能与激素变化和胸廓顺应性改变有关。
自发性气胸多发生于气道和肺内压突然增高时,如抬举重物用力过猛、打喷嚏、剧烈咳嗽、屏气、大笑、用力排便等可能是气胸发生的诱因。但部分自发性气胸患者也可发生于静息状态。
根据脏胸膜裂口和胸膜腔压力情况,气胸可分为以下类型。
胸膜裂口小,当肺脏受压回缩时,胸膜裂口可随肺萎缩而自行闭合,气体不再进入胸膜腔。胸膜腔内呈负压或接近大气压。抽气后压力下降而不复升,气体逐渐吸收后,肺组织复张。
胸膜裂口较大,或因两层胸膜间有粘连,使裂口持续开放,与支气管相通,随着呼吸过程,气体自由地进出胸膜腔。胸膜腔压力在零位上下波动。抽气后可呈负压,但数分钟后,压力又复升至抽气前水平。
胸膜裂口形成活瓣样阻塞,吸气时活瓣开放,气体进入胸膜腔;呼气时胸膜腔内压升高,压迫活瓣闭合,胸膜腔内的气体无法排出,致使胸膜腔内的气体量迅速增多、压力持续上升,肺组织明显受压,纵隔移位,影响回心血流。胸膜腔为较高正压,可达10~20cmH 2 O。抽气后,胸膜腔内的压力可暂时降低,但很快复升。对机体呼吸和循环影响最大,必须紧急抢救处理。
典型的自发性气胸多有突然胸痛,针刺样或刀割样,时有向患侧肩部放射。伴有不同程度的胸闷和呼吸困难,可有刺激性咳嗽。若原已存在严重肺功能减退,即使积气量小,也可有明显的呼吸困难;年轻人即使一侧肺被压缩面积达90%以上,有的症状亦可以很轻。张力性气胸由于发生迅速、积气量大、肺压缩严重,常伴有纵隔移位和大血管受压,一般表现为严重呼吸困难、剧烈胸痛,并可向肩背及前臂放射。患者常表现为焦虑不安、强迫端坐、发绀、出冷汗、有窒息感,甚至出现呼吸衰竭、休克和意识障碍。
典型体征包括患侧胸廓饱满、呼吸动度减弱、肋间隙增宽;语音震颤减弱,气管向健侧移位;叩诊呈鼓音,心或肝浊音界缩小或消失;听诊呼吸音减弱或消失,健侧可伴呼吸音代偿性增强。液气胸时,上方叩诊为鼓音,下方叩诊呈浊音,并可能出现振水音。少量气胸的体征不明显,特别在原有肺气肿的患者,更难发现气胸的阳性体征。
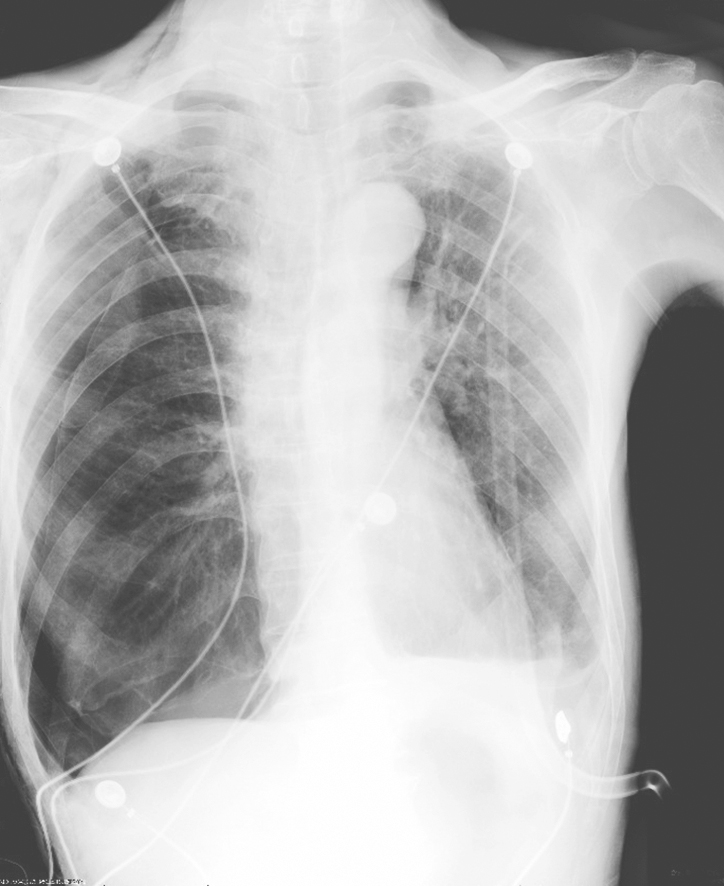
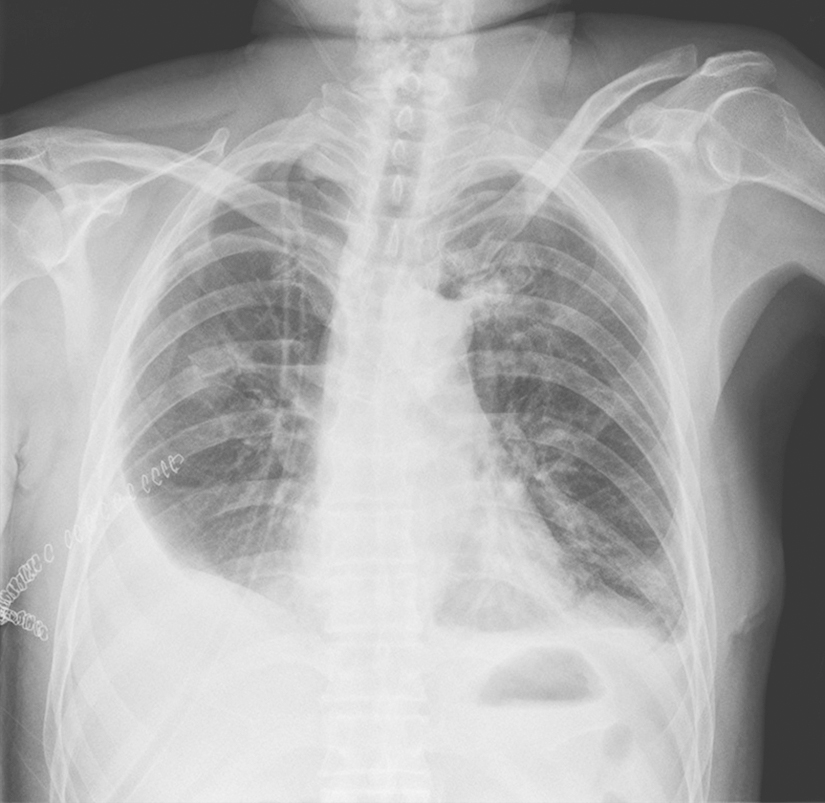
是诊断气胸的重要方法,也是监测治疗效果的重要手段。典型的气胸X线检查可见肺组织向肺门方向压缩,边缘呈外凸弧形的细线条形影,称气胸线。气胸线以外透亮度增强,无肺纹理可见,气胸线以内透亮度降低,为被压缩的肺组织(图2-13-6)。大量胸腔积气时,肺组织被压向肺门,呈团块状,外缘呈弧形或分叶状,并可出现纵隔及心脏向健侧移位。气胸量的多少可根据后前位X线胸片判断。侧胸壁至肺边缘的距离为1cm时,约占单侧胸腔容量的25%,2cm时约占50%。故侧胸壁与肺边缘的距离≥2cm为大量气胸,< 2cm为小量气胸。如从肺尖气胸线至胸腔顶部估计气胸大小,距离≥3cm为大量气胸,< 3cm为小量气胸。
可见胸膜腔内出现极低密度的气体影,伴有肺组织不同程度的萎缩改变(图2-13-7)。CT检查较X线检查在以下情况时更为准确和敏感:①小量气胸;②局限性气胸;③气胸与肺大疱的鉴别诊断。
图2-13-6 气胸X线表现
图2-13-7 气胸CT表现
根据临床症状、体征及影像学(X线或CT)表现,典型的自发性气胸的诊断通常并不困难。突发一侧胸痛伴有呼吸困难,并有气胸体征,则可作出气胸的初步诊断。X线或CT检查显示的气胸影像学特征是确切依据。若病情十分危重无法搬运作X线检查时,应当机立断在患侧胸腔体征最明显处试验穿刺,如抽出气体,可证实气胸的诊断。
气胸主要与支气管哮喘和慢阻肺、急性心肌梗死、急性肺血栓栓塞症、肺大疱等相鉴别(表2-13-2)。
表2-13-2 气胸的鉴别诊断
治疗目的在于尽早使患侧肺复张,消除病因并减少复发。应根据以下方面综合考虑制订治疗方案:气胸的类型与病因、发生的频次、肺压缩程度、患者病情状态、有无并发症。
适用于稳定型小量气胸,胸片提示肺被压缩面积在20%以下、首次发作、不伴有呼吸困难的患者,可采用保守治疗的办法,包括休息和严密的临床观察,一般在7~14d可自行吸收。给予鼻导管或面罩吸氧治疗,可加快胸腔内气体吸收,缩短肺复张时间。临床上常用40%左右吸氧浓度,可收到较好疗效。年龄偏大,并有肺基础疾病如慢阻肺,其胸膜破裂口愈合慢,呼吸困难等症状严重,即使气胸量较小,原则上不主张采取保守治疗。此外,不可忽视肺部基础疾病的治疗。
胸片提示肺被压缩面积大于20%的气胸,且有呼吸困难症状者,可予以胸腔穿刺抽气治疗。一般选择患侧锁骨中线第2肋间为穿刺点,局限性气胸应在X线或CT定位下穿刺抽气。每次抽气不宜超过1 000ml,可每日或隔日抽气1次,剩余的少量积气可任其自行吸收。张力性气胸病情危急,为迅速缓解患者的呼吸困难症状,在无其他抽气设备时,可用粗针头迅速插入胸膜腔,缓解胸腔内气体的迅速积聚,达到暂时减压的目的。
适用于胸腔穿刺抽气效果不佳的交通性气胸、张力性气胸和部分心肺功能较差而症状较重的闭合性气胸患者。插管部位通常选择患侧锁骨中线第2肋间或腋前线4~5肋间,局限性气胸或有胸膜粘连者,应在X线或CT定位下确定最佳插管部位。常规消毒、局麻后,沿肋骨上缘切开皮肤后,经钝性分离肋间组织达胸膜,用套管针刺入胸膜腔,拔出针芯,通过套管将灭菌胶管插入胸腔,导管固定后,另一端置于水封瓶的水面下1~2cm(图2-13-8),使胸膜腔内压力保持在1~2cmH 2 O以下,插管成功则导管持续逸出气泡,呼吸困难迅速缓解,压缩的肺可在几小时至数天内复张。对肺压缩严重,时间较长的患者,插管后应夹住引流管分次引流,避免胸腔内压力骤降产生肺复张后肺水肿。如未见气泡逸出1~2d,患者气急症状消失,经X线或CT见肺已全部复张时,可以拔除导管。若经水封瓶引流后未能使胸膜破口愈合,肺持久不能复张,可在引流管加用负压吸引装置(图2-13-9)。
图2-13-8 气胸水封瓶闭式引流示意图
图2-13-9 水封瓶引流装置示意图
A.单瓶;B.三瓶负压吸引。
又称为化学性胸膜固定术,指向胸腔内注入硬化剂,产生无菌性胸膜炎症,使脏胸膜和壁胸膜粘连,从而消灭胸膜腔间隙,减少胸膜裂口的再发,达到预防复发的目的。主要适应证:①持续性或复发性气胸;②双侧气胸;③合并肺大疱;④肺功能不全,不能耐受手术者。常用的硬化剂有滑石粉、四环素、多西环素等。
适应证为经内科治疗无效的气胸,主要适用于长期气胸、血气胸、双侧气胸、复发性气胸、张力性气胸引流失败者、胸膜增厚致肺膨胀不全或影像学有多发性肺大疱者。根据手术方法分为胸腔镜治疗和开胸手术治疗。
(1)纵隔气肿与皮下气肿:
肺间质内的气体沿血管鞘可进入纵隔,甚至进入胸部或腹部皮下组织,导致皮下气肿。如果积气量大,器官压迫症状明显,影响呼吸及循环功能,可行胸骨上窝横行切口引流排气。吸入浓度较高的氧可增加纵隔内氧浓度,有利于气肿消散。
(2)脓气胸:
可抽取脓液行细菌培养以选择敏感抗菌药物。除全身应用抗菌药物外,患者应插管引流,并给予生理盐水或抗菌药物反复胸腔冲洗。注意营养支持治疗,慢性脓胸或形成支气管-胸膜瘘者应考虑手术治疗。
(3)血气胸:
应作胸腔闭式引流,排出胸膜腔内积气和积血。一般肺完全复张后,出血多能自行停止。如出血量较大,应给予适当输血治疗。如果经积极治疗,胸膜腔内仍出血不止,应及时开胸手术结扎出血的血管。
积极防治易引起气胸的慢性肺胸疾病。教育易发生气胸的患者注意避免提举重物、便秘、屏气、剧烈咳嗽等可导致气胸的诱发因素。医务人员在进行针灸、胸膜腔穿刺、肺活检等操作时应细心谨慎。行机械通气时应避免过高的气道压力和潮气量,以防止并发气胸。
(文富强)
本章主要介绍了胸腔积液和气胸的病因与发病机制、临床表现、辅助检查、诊断与鉴别诊断、治疗及预防。学生通过本章的学习可初步了解胸膜疾病的临床特征和诊治原则。
1.胸腔积液的常见病因有哪些?
2.胸腔积液的诊断步骤是什么?
3.自发性气胸的分型有哪几种?
4.气胸如何鉴别诊断?