



学习目标
掌握 肺结核的病因、发病机制、病理生理、诊断及鉴别诊断要点;抗结核药物的正确使用以及不良反应的处理。
熟悉 肺结核常用的辅助检查,包括影像学检查、痰结核分枝杆菌检查、结核菌素试验;结核病的防治原则及措施。
结核病是由结核分枝杆菌引起的慢性传染病,它可累及全身多个脏器,其中以肺结核最为常见。生活条件落后、居住条件拥挤、营养不良、缺乏良好的卫生习惯等均可使肺结核迅速播散传染。新中国成立以来结核病的防治工作使疫情得到有效控制,但是自20世纪80年代中期至90年代以来,全球结核病流行出现了第三次回升。移民及流动人口使结核病难以控制、人类免疫缺陷病毒(HIV)与结核分枝杆菌的双重感染和耐多药结核菌的出现是本次结核病回升的三个主要原因,也是21世纪防治结核病所面临的三大难题。所以,我国的结核病防治工作任重而道远。
结核分枝杆菌是引起结核病的病原菌,属于放线菌目、分枝杆菌科、分枝杆菌属,有人型、牛型、非洲型和田鼠型4类。人类结核病的主要病原菌是人型结核分枝杆菌。结核分枝杆菌为兼性需氧菌,一般不需特殊培养,但其生长缓慢,在改良的罗氏培养液上需4~6周才能繁殖成明显的菌落。分枝杆菌属在镜下为细长微弯的杆菌,抗酸染色为红色,可抵抗盐酸、酒精的脱色作用,故称抗酸杆菌。一般细菌无抗酸性,因此抗酸染色阳性是鉴别分枝杆菌的重要方法之一。
结核分枝杆菌对外界抵抗力较强,在阴湿处能生存5个月以上。但在烈日暴晒2h、5%~12%来苏接触2~12h、70%酒精接触2min或煮沸1min均可被杀灭。
结核分枝杆菌含有类脂质、蛋白质和多糖等成分。在人体内,类脂质能引起单核细胞、上皮样细胞和淋巴细胞浸润而形成结核结节,且与结核病引起的组织干酪样坏死、空洞形成有关;蛋白质是过敏反应的过敏原;多糖是导致免疫反应的抗原物质。
病灶中的结核分枝杆菌按生长速度可分为4类。A群:代谢旺盛不断繁殖的结核分枝杆菌,其致病力强,传染性大,同时易被抗结核药物所杀灭;B群:在吞噬细胞内的酸性环境中受到抑制的结核分枝杆菌;C群:偶尔繁殖菌,只对少数药物敏感,可成为日后复发的根源;D群:休眠菌,一般耐药,可以逐渐被吞噬细胞所消灭,也可导致疾病久治不愈。
耐药结核分枝杆菌可分为天然耐药和继发耐药。前者由于染色体上基因突变发生极少量的天然变异,出现天然耐药菌。结核分枝杆菌未接触过某药而对其自然耐药,称为天然耐药菌。继发耐药是指药物与结核分枝杆菌接触后,部分结核分枝杆菌发生诱导变异,逐渐产生耐药性,常于不规范抗结核治疗1个月后发生;复治患者中结核分枝杆菌多为继发耐药菌。对至少包括异烟肼和利福平两种或两种以上药物产生耐药的结核分枝杆菌为耐多药结核分枝杆菌(MDR-TB)。近年来MDR-TB感染已成为结核疫情回升的主要原因之一,给结核病的防治带来困难。
痰直接涂片阳性的结核病患者是主要的传染源。
结核分枝杆菌主要通过飞沫传播;其他部位结核病灶中的结核分枝杆菌可经血行播散至肺。
自然免疫力下降是结核病主要的易感因素,自然免疫力主要是由巨噬细胞介导并受遗传基因控制。贫困、居住拥挤、营养不良等社会经济因素通过影响自然免疫力也成为对结核病易感的重要因素。婴幼儿、青春期后期和老年人结核病患病率较高,可能与免疫功能不全有关。获得性特异性免疫力源于自然或人工感染结核分枝杆菌后由辅助性T淋巴细胞介导产生。免疫抑制宿主、糖尿病、矽肺和胃大部切除术后等患者均为结核分枝杆菌的高危人群。
感染结核分枝杆菌仅是致病条件,只有当入侵的结核分枝杆菌数量较多、毒性较大并在机体免疫功能低下时才会发病。
感染结核分枝杆菌后机体产生两种形式的免疫反应,即细胞介导的免疫反应和迟发性过敏反应,是对结核病发病和预后具有决定性意义的两大因素。结核病的免疫反应主要是由辅助性T淋巴细胞介导的巨噬细胞免疫反应。入侵的结核分枝杆菌被吞噬细胞吞噬后,经加工处理将抗原信息递呈给辅助性T淋巴细胞,并使之致敏。当致敏的淋巴细胞再次遇到结核分枝杆菌时,即释放出一系列细胞因子,使巨噬细胞聚集在结核分枝杆菌周围,吞噬并杀灭细菌,衍生为类上皮细胞和朗格汉斯细胞,最终形成结核结节,使病变局限化。过敏反应是机体感染结核分枝杆菌后对菌体及其产物产生的一种反应。同样由T细胞介导,以巨噬细胞作效应细胞,但可能由另一亚群T淋巴细胞释放出炎性因子、皮肤反应因子和淋巴毒素等,使局部出现渗出炎症,甚至干酪样坏死,并伴有发热、乏力及食欲减退等全身症状。属于结核感染的过敏反应的表现还有多发性关节炎、皮肤结节性红斑及疱疹性结膜炎等。
1890年Koch给未受过感染的豚鼠注入一定量的结核分枝杆菌,开始无明显反应,10~14d后,注射局部发生红肿,并逐渐形成溃疡,经久不愈,最后豚鼠因结核分枝杆菌播散到全身而死亡。但用同量结核分枝杆菌注入3~6周前已受少量结核分枝杆菌感染,结核菌素皮肤试验阳转的豚鼠体内,2~3d后局部出现红肿,形成浅表溃疡,较快愈合,无淋巴结肿大和全身播散,亦无死亡。这种机体对结核分枝杆菌初感染和再感染所表现出不同反应的现象称为Koch(科赫)现象。前者表示初次感染,机体无免疫反应,也无过敏反应;后者局部反应是迟发性过敏反应,而病灶趋于局限、不播散,表明同时获得了免疫力。
免疫反应与过敏反应常同时存在,两者的出现可能与不同的淋巴细胞亚群所产生的淋巴因子有关。免疫对人体起保护作用,过敏反应则常对组织有破坏作用,但对结核菌也不利。如接种卡介苗后可产生免疫力,同时结核菌素皮肤试验转为阳性;严重疾病或应用免疫抑制剂均可削弱免疫力,过敏反应同时受到抑制,结核菌素皮肤试验阴性,待机体情况好转或停用这些药物后,免疫状况改善,结核菌素皮肤试验又恢复阳性。免疫反应与过敏反应有时也不完全平行,与感染菌的数量和毒力、机体内外环境以及药物的影响等因素有关。
总之,结核病的发生、发展和转归决定于入侵结核分枝杆菌的数量、毒力、机体免疫力和过敏反应强弱。机体免疫力低下时,结核病容易发生和发展,反之感染后不易发病,即使发病也较轻微且易痊愈。
主要出现在结核性炎症初期或病变复发恶化时,可表现为中性粒细胞浸润,继之由巨噬细胞及淋巴细胞取代。当结核分枝杆菌数量多、毒力强、机体免疫力降低、过敏反应强烈时,渗出性病变可向干酪样坏死发展,甚至液化形成空洞。若机体免疫力强,病变可以完全吸收,或转为增生性病变。
典型表现为结核结节,其中央是朗格汉斯细胞(巨噬细胞衍生而来),周围有类上皮细胞成层排列包绕,外围有淋巴细胞和成纤维细胞散在分布和覆盖,由此形成典型的结核结节,为结核病的特征性病变。增生性病变中结核分枝杆菌极少,巨噬细胞处于激活状态,细胞免疫占主导地位,发生在机体抵抗力较强、病变恢复阶段。
以干酪样坏死为主的病变多发生在结核分枝杆菌毒力强、感染菌量多、机体超敏反应增强和抵抗力低下的情况下。干酪样坏死病变镜检为红染、无结构的颗粒状物,含脂质多,肉眼观察坏死组织呈淡黄色,质地较实,状似奶酪,故名干酪样坏死。
由于机体反应性、免疫功能状态、局部组织免疫力不同,感染的结核分枝杆菌数量、毒力和感染方式的差别,以及治疗措施的干预,上述三种基本病理改变可以互相转化,交错存在,很少以单一病变独立存在,而是以其中一种病变为主。
结核病的病理演变可好转、痊愈,也可进展、恶化。当机体免疫力增高或得到有效治疗时,渗出性病变可以完全吸收而不留痕迹;增生性病灶可以成纤维化,形成非特异性条索状或星状瘢痕;被局限化的干酪病灶逐渐脱水、干燥、钙质沉积于内,形成钙化灶,但即使完全钙化的病灶也不一定达到完全生物学痊愈,其中静止的残留菌仍有重新活动的可能;在有效治疗下,空洞内结核菌被消灭和病灶吸收,可使空洞壁变薄并逐渐缩小,最后空洞完全闭合。有些空洞不能完全闭合,但结核特异性病变消失,支气管上皮细胞向洞壁内伸展,成为净化空洞;当空洞的引流支气管阻塞,空洞内干酪坏死物浓缩,周围被纤维组织包绕,形成结核球,在机体免疫力下降时,结核球内病变可发生干酪样坏死和液化,可沿支气管、淋巴管和血行播散;钙化或其他形式的非活动性病灶中潜伏的静止期结核分枝杆菌在机体免疫力低下时可以复燃。
肺结核的临床表现可分为全身症状和呼吸系统症状两方面,这两方面表现均无特异性。
全身表现主要为结核中毒症状,有低热、乏力、食欲减退、盗汗等。多数患者无明显全身症状,经X线胸片检查时被发现。当病灶急剧进展扩散时则出现高热,呈稽留热或弛张热型,可伴有畏寒,但很少有寒战。妇女可有月经失调或闭经。其他特殊表现:如患者临床症状类似风湿热,也称为结核性风湿症,多见于青少年女性,表现为多发性关节痛或关节炎、结节性红斑或环形红斑等;还可见无反应性结核,表现为持续高热、骨髓抑制或类白血病反应,多见于免疫功能极度低下的患者。
(1)咳嗽、咳痰:
一般为干咳,或少量黏液样痰,若合并支气管结核可有剧烈持续干咳。有空洞形成时痰量增多,并发细菌感染时,痰可呈脓性。
(2)咯血:
1/3~1/2患者有不同程度的咯血。多数患者为少量咯血,少数为大咯血。
(3)胸痛:
结核病灶累及胸膜时可表现为胸痛,为胸膜性胸痛。随呼吸和咳嗽加重,患侧卧位症状减轻,疼痛放射至肩部或上腹部提示膈胸膜受刺激。
(4)呼吸困难:
多见于干酪样肺炎和大量胸腔积液者。
体征多寡不一,取决于病变性质和范围。病变范围小或位于肺组织深部可无异常体征。若渗出性病变范围大,可表现为患侧肺部呼吸运动减弱,叩诊呈浊音,听诊呼吸音减低,或为支气管肺泡呼吸音。继发性肺结核好发于上叶尖后段或下叶背段,故锁骨上下、肩胛间区叩诊略呈浊音,咳嗽后可闻及湿啰音。肺部病变发生广泛纤维化或胸膜增厚粘连时,患侧胸廓下陷,肋间隙变窄,气管向患侧移位,叩诊浊音,听诊呼吸音减弱,而对侧可有代偿性肺气肿征。结核性胸膜炎时可有胸腔积液体征,如气管向健侧移位,患侧胸廓饱满、肋间隙增宽,触觉语颤减弱,叩诊浊音或实音,听诊呼吸音消失。支气管结核可有局限性哮鸣音。
肺结核可导致自发性气胸、脓气胸、肺心病、支气管扩张,以及随血液播散而并发结核性脑膜炎、泌尿生殖道结核和骨结核等,可出现相应的症状和体征。
痰结核分枝杆菌检查是确诊肺结核病的主要方法。痰结核分枝杆菌检查有以下几种方法:
具有快速、简便、易行的优点,但敏感性欠佳。
具有很高的敏感性和特异性,特别是培养后可进行药物敏感性测试,在目前耐药结核菌日益增多的趋势下,药敏试验愈显出其重要性。但结核分枝杆菌生长缓慢,检查费时。因为肺结核患者的排菌具有间断性和不均匀性的特点,所以应注意给予患者多次反复查痰,无痰者可采用诱导痰技术获取痰标本。
是肺结核诊断的重要手段,通过X线胸片检查可以早期发现肺结核病灶,还可以对病灶的范围、性质、发展情况和治疗效果作出判断,对选择治疗方案很有意义。
肺结核常见X线胸片表现有:纤维钙化的硬结病灶(斑点条索结节状、密度较高、边缘清晰);浸润性病灶(云雾状、密度较淡、边缘模糊);干酪样病灶(密度较高、浓密不一);空洞。
肺结核的病灶一般在肺的上部,上叶的尖后段和下叶的背段为结核的好发部位,呈单侧或双侧发病,存在时间较长,常有多种性质不同的病灶混合存在和肺内播散迹象。活动性病变表现为浸润、空洞形成,或动态观察病变恶化或好转;非活动性病变表现为条索状、结节状病灶,经一定时间观察稳定不变,或已形成纤维硬结。
可以更详细地了解病变情况,发现微小或隐蔽病变,对了解病变范围及组成、诊断和鉴别诊断很有帮助。
结核菌素是结核分枝杆菌的代谢产物,主要成分为结核蛋白,从生长人型结核分枝杆菌的液体培养基经滤液制备而成。目前世界卫生组织推荐使用的结核菌素为纯蛋白衍化物(purified protein derivative,PPD)和PPD-RT23。
该试验常用皮内注射法,在前臂内侧皮内注射某一稀释度的结核菌素液0.1ml,使局部形成皮丘,并于48~72h后观察和记录结果。流行病学和临床一般以5IU为标准剂量。结果判断以48~72h后皮肤硬结平均直径大小为依据,平均直径=(横径+纵径)/2。小于5mm为阴性,5~9mm为弱阳性反应(+),10~19mm为阳性反应(++),大于等于20mm或未超过此直径但局部有水疱、坏死者为强阳性反应(+++)。
结核菌素试验阳性仅表示存在结核感染,并不一定表明发病。成人阴性反应较阳性反应对于鉴别诊断更有价值。
结核菌素试验阴性除提示没有结核分枝杆菌感染外,还见于下列情况:①处于过敏反应前期,结核分枝杆菌感染后需4~8周才有过敏反应建立,故可阴性;②应用免疫抑制药物,如应用糖皮质激素、细胞毒药物等;③严重结核病和各种危重病患者;④麻疹、百日咳、营养不良和老年患者;⑤淋巴细胞免疫系统缺陷病如淋巴瘤、白血病、结节病和艾滋病等。
一般无异常,严重病例可继发贫血;急性粟粒型肺结核可有外周血白细胞总数减低或类白血病反应。
活动性肺结核血沉常升高,但无特异性。血沉正常并不能除外活动性结核。
对支气管结核或肺内病灶可以提供病理学诊断,同时可以收集分泌物或灌洗液标本,提供病原学资料,还可与肿瘤等进行鉴别诊断。
痰、支气管肺泡灌洗液、胸液结核分枝杆菌聚合酶链反应(PCR)和探针检查为结核病细菌学基因诊断提供了可能,其敏感性和特异性较高,且省时快速,成为结核病病原学诊断重要参考,但尚有一些技术性问题需进一步解决。血清抗核抗体检查是一种快速辅助诊断手段,但特异性不高,敏感性较低,需进一步研究。
通过特异抗原ESAT-6及CFP-10与全血细胞共同孵育,然后检测γ-干扰素水平或采用酶联免疫斑点试验测量计数分泌γ-干扰素的特异性T淋巴细胞,可区分结核分枝杆菌自然感染、卡介苗接种和大部分非结核分枝杆菌感染,其具有高度的敏感性和特异性。
大约86%活动性肺结核患者和95%痰涂片阳性肺结核患者有可疑症状。主要可疑症状为咳嗽、咳痰持续2周以上,咯血;其次是午后低热、乏力、盗汗、月经不调或闭经,有肺结核接触史或肺外结核。上述情况应考虑到肺结核病的可能,要进行痰抗酸杆菌和X线胸片检查。
凡X线胸片检查肺部发现有异常阴影者,必须通过系统检查确定病变性质是结核性质还是其他性质。如一时难以确定,可经2周左右观察后复查,大部分炎症病变会有所变化,肺结核则变化不大。
如果诊断为肺结核,应进一步明确结核有无活动性,因为结核活动性病变必须给予治疗。活动性病变在X线胸片上通常表现为边缘模糊不清的斑片状阴影,可有中心溶解和空洞,或出现播散病灶。X线胸片表现为钙化、硬结或纤维化,痰检查无排菌,无任何症状,为无活动性肺结核。
确定活动性后还要明确是否排菌,是确定传染源的唯一方法。
通过药物敏感试验确定是否耐药。
病史询问明确初、复治患者,两者治疗方案迥然不同。
我国实施的结核分类标准(WS 196—2001)突出了对痰结核分枝杆菌检查和化疗史的描述,取消按活动性程度及转归分期的分类,使分类法更符合现代结核病控制的概念和更具备实用性。
(1)原发型肺结核:
原发型肺结核为原发结核感染所致的临床病症。包括原发综合征及胸内淋巴结结核。
典型病变包括肺部原发病灶、引流淋巴管炎和肺门或纵隔淋巴结的结核性炎症,三者称为原发综合征。若X线胸片只有肺门淋巴结肿大,则称为胸内淋巴结结核。本型多见于儿童,也可见于边远山区或农村初次进入城市的成人。此时机体尚未形成特异性免疫力,病菌沿所属淋巴管到肺门淋巴结,进而出现早期菌血症。数周后免疫力形成,上述病变迅速被控制,原发灶和肺门淋巴结炎消退,仅遗留钙化灶,90%以上患者不治自愈。随菌血症到达其他脏器的结核分枝杆菌可潜伏于该脏器而不发病,成为以后孤立性肺外结核的来源。
(2)血行播散型肺结核:
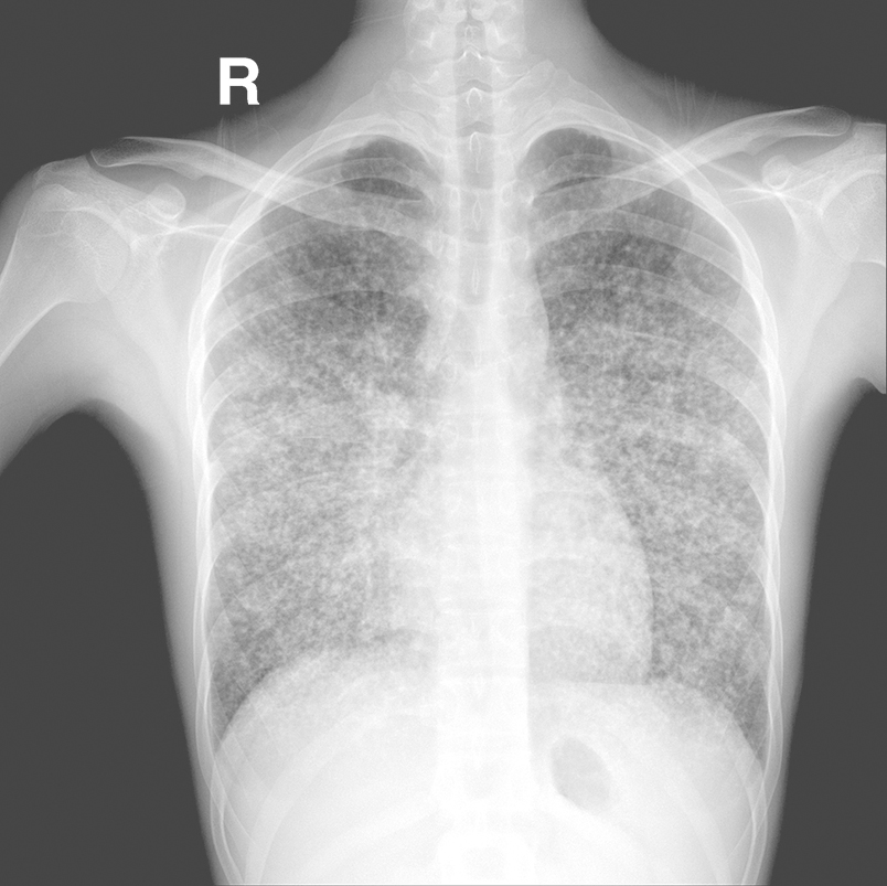
此型包括急性血行播散型结核(急性粟粒型肺结核)及亚急性、慢性血行播散型肺结核。原发型肺结核的早期菌血症可演进为血行播散型肺结核。此型也可由于肺或其他脏器继发活动性结核病灶侵蚀邻近淋巴管、血管而引起。血行播散型肺结核根据病程可分为急性、亚急性或慢性。前者为急性全身血行播散型结核病的一部分,起病急,持续高热,全身中毒症状严重,可伴发结核性脑膜炎。X线胸片显示双肺均匀分布大小一致(约2mm)的粟粒样结节影(图2-9-1)。早期病灶在X线胸片下常表现为肺纹理增多,易被忽视而漏诊或误诊,故当疑及本病时,应短期复查X线胸片。在人体免疫力较强的情况下,少量结核分枝杆菌分批经血行进入肺部时,则播散病灶大小不一、新旧不等,较对称地分布于两肺中上部,此为亚急性或慢性血行播散型肺结核。患者多无明显中毒症状,病情发展较缓慢,经X线胸片检查时才发现。
图2-9-1 血行播散型肺结核
(3)继发性肺结核:
继发性肺结核是肺结核中的一个主要类型,包括浸润性、纤维空洞性及干酪样肺炎等。继发性肺结核多由于初次感染后体内潜伏病灶中的结核分枝杆菌重新活动而发病,极少数可以是外源性重复感染。继发性肺结核可以发生在原发感染后的任何年龄,其诱因除全身免疫力降低外,肺局部因素使静止的纤维包裹性病灶或钙化灶破溃亦可诱发。但临床上绝大多数继发性肺结核并无明确诱因可寻。由于免疫和过敏反应的相互重叠以及治疗措施的影响,继发性肺结核在病理和X线胸片形态上又有浸润性肺结核、空洞性肺结核、结核球、干酪样肺炎、纤维空洞性肺结核等区分。浸润性肺结核多发生于肺尖和锁骨下,以浸润渗出性和/或纤维干酪增殖病变为主;空洞性肺结核的空洞形态不一,可有虫蚀样空洞,伴有周围浸润病变的薄壁空洞等;肺结核干酪样病变吸收和周边纤维膜包裹或干酪空洞阻塞性愈合可形成结核球,其内多有钙化,周围多有卫星灶,直径多小于3cm;干酪性肺炎多发生于机体免疫力低下和体质衰弱患者受到大量结核分枝杆菌感染时,患者高热等结核中毒症状明显;如果肺结核病程长,反复进展恶化,可形成纤维空洞性肺结核,患者双肺或单肺出现纤维厚壁空洞和广泛的纤维增生,肺组织破坏严重,肺功能严重受损。但继发性肺结核在形态上极少是单一性的,常是多形态并存,而仅以其中一种为主。继发性肺结核好发于两肺上叶尖后段和下叶背段,肺门淋巴结较少肿大,病灶趋于局限,但易有干酪样坏死和空洞形成,排菌较多,与大多数原发型肺结核不治自愈、很少排菌的特点不同,在流行病学上更具重要性。
(4)结核性胸膜炎:
为临床上已排除其他原因引起的胸膜炎。在结核性胸膜炎发展的不同阶段,有结核性干性胸膜炎、结核性渗出性胸膜炎、结核性脓胸。
(5)其他肺外结核:
其他肺外结核按部位及脏器命名,如骨关节结核、结核性脑膜炎、肾结核、肠结核等。
(6)菌阴肺结核:
为三次痰涂片及一次培养阴性的肺结核。诊断标准为:①典型肺结核临床症状和X线胸片表现;②抗结核治疗有效;③临床可排除其他非结核性肺部疾患;④PPD试验(5IU)强阳性,血清抗结核抗体阳性;⑤痰结核分枝杆菌聚合酶链反应和探针检测呈阳性;⑥肺外组织病理证实结核病变;⑦支气管肺泡灌洗液(BALF)中检出抗酸杆菌;⑧支气管或肺部组织病理证实结核病变。具备①~⑥中3项或⑦~⑧中任何1项可确诊。
以涂(+)、涂(-)、培(+)、培(-)表示。当患者无痰或未查痰时,则注明(无痰)或(未查)。
(1)初治:
①尚未开始抗结核治疗的患者;②正进行标准化疗方案用药而未满疗程的患者;③不规则化疗未满1个月的患者。有上述情况之一者为初治。
(2)复治:
①初治失败的患者;②规则用药满疗程后痰菌又复阳的患者;③不规则化疗超过1个月的患者;④慢性排菌患者。有上述情况之一者为复治。
肺结核病变范围按左、右侧,每侧以上、中、下肺野记述。上肺野指第二前肋下缘内端水平以上;中肺野指上肺野以下第四前肋下缘内端水平以上;下肺野为中肺野以下。
(1)按分类类型、病变部位及范围、痰菌情况、化疗史程序书写,如原发型肺结核右中涂(+),复治;结核性胸膜炎左侧,涂(-),初治。
(2)必要时可在类型后加括弧说明,如血行播散型肺结核可注明(急性)或(慢性);继发性肺结核可注明(纤维空洞)或(干酪样肺炎)等。并发症(如自发性气胸、肺不张等)、伴随疾病(如硅沉着病、糖尿病等)及手术(如肺切除术后胸廓成形术后等)。可在化疗史后按并发症、伴随疾病、手术等顺序书写。
肺结核需与下列疾病鉴别:
肺癌多发生在40岁以上男性,多有长期吸烟史,表现为刺激性咳嗽、明显胸痛和进行性消瘦,常无结核毒性症状。X线胸片等影像学检查示病灶边缘常有切迹、毛刺,而结核球周围可有卫星病灶或钙化。痰结核分枝杆菌和脱落细胞学检查,以及支气管镜检、病灶组织活检有助于鉴别诊断。应注意肺结核与肺癌并存的可能。
支原体肺炎、病毒性肺炎以及过敏性肺炎等有轻度咳嗽、低热。X线胸片上有肺部炎症征象,应与早期继发性肺结核鉴别。支原体肺炎在短时间内可自行消散。过敏性肺炎有时外周血中嗜酸性粒细胞增多,肺内浸润常呈游走性。细菌性肺炎有发热、咳嗽、胸痛和肺内渗出性炎症,需与干酪样肺炎鉴别。肺炎起病急骤,常有高热、寒战,口唇可有疱疹,咳铁锈色痰,痰结核分枝杆菌阴性。经有效抗菌药物治疗,症状多可明显改善。
伴有空洞的继发性肺结核需与肺脓肿鉴别。肺脓肿起病较急,表现为高热、大量脓痰,痰中无结核分枝杆菌,而有多种其他细菌,外周血白细胞总数及中性粒细胞增高,抗菌药物治疗有效。慢性纤维空洞合并感染时易与慢性肺脓肿混淆,后者痰结核菌阴性。
慢性支气管炎的慢性咳嗽、咳痰有时酷似某些继发性肺结核。慢性支气管炎X线胸片下仅见肺纹理增多或正常,而肺结核X线胸片可显示结核病灶,痰结核分枝杆菌阳性。支气管镜检查有助于支气管结核的诊断。
支气管扩张症常有慢性咳嗽、咳痰和反复咯血史,应与某些继发性肺结核鉴别。支气管扩张X线胸片可见局部肺纹理粗乱、卷发状阴影,痰结核分枝杆菌阴性,支气管造影或高分辨率CT可以确诊。但肺结核常并发支气管扩张。
肺结核的临床表现常与临床上许多疾病十分相像,尤其是许多伴有长期或反复发热的疾病,应注意鉴别,如伤寒、败血症、纵隔淋巴瘤和结节病等。
抗结核化学药物治疗是当前治疗结核病的主要手段,根据病情需要还可辅以对症治疗或手术治疗。
肺结核化学治疗应坚持早期、联合、规律、适量和全程的原则。早期活动性病灶处于渗出阶段,或有干酪样坏死甚至空洞形成,病灶内结核分枝杆菌以A群为主,生长代谢旺盛,且此时病灶局部血管丰富,药物可达较高浓度,有利于抗结核药物迅速发挥其杀菌作用,病变可被较好地吸收,故早期进行合理化疗可以取得满意疗效。单用一种药物易形成敏感菌被淘汰而耐药菌优势生长,若联合两种或两种以上药物,则耐药菌少见,且联合用药可减少或防止结核分枝杆菌耐药性的产生。应严格按照医嘱规律用药,严防漏服和随意停药,避免耐药性产生。为保证疗效,用药剂量要适量。药量不足,组织内药量达不到有效浓度,疗效受影响,同时细菌易产生继发性耐药。药量过大则易产生毒副作用,且造成浪费。结核分枝杆菌生长缓慢,偶尔繁殖菌群(B群和C群)是结核复发的根源。因此,须使药物在体内长期保持有效浓度,应保证全程用药,完成规定的治疗期,不可过早停药。为保证以上原则的贯彻实施,管理上必须采取督导化疗。
血液中(包括巨噬细胞内)常规剂量下药物浓度达到试管内最低抑菌浓度(MIC)10倍以上才能起到杀菌作用,否则为抑菌作用。常规剂量的异烟肼和利福平在细胞内外均能达到此要求,称为全杀菌剂。链霉素在偏碱环境中具有最大杀菌作用,其很少渗入吞噬细胞内,对细胞内结核分枝杆菌无效;吡嗪酰胺只有在偏酸环境中才能发挥杀菌作用,可渗入吞噬细胞内,是细胞内杀菌剂,此两药称为半杀菌剂。乙胺丁醇、对氨基水杨酸等均为抑菌剂。
早期病灶内的结核分枝杆菌大部分在细胞外,此时异烟肼杀菌作用最强,链霉素次之。炎症使组织局部pH下降,细胞代谢减慢(C群),部分结核分枝杆菌被吞噬在巨噬细胞内(B群),此时利福平和吡嗪酰胺可杀灭这些结核分枝杆菌,从而减少日后的复发。
理想的抗结核药物应该具有杀菌、灭菌或较强的抑菌作用,且毒性低、不良反应小、使用方便、价格便宜、药源充足,经口服或注射后药物能在血液中达到有效浓度,并能渗入吞噬细胞内、浆膜腔和脑脊液内,疗效迅速而持久。常用药物有异烟肼、利福平、吡嗪酰胺、乙胺丁醇、链霉素和对氨基水杨酸钠等(表2-9-1)。
(1)异烟肼(isoniazid,INH,H):
具有强杀菌作用,是治疗肺结核的基本药物之一。对于巨噬细胞内和细胞外、代谢繁殖活跃或近乎静止的结核分枝杆菌均有杀菌作用。口服后可通过血脑屏障,组织浓度高,胸腔积液及干酪性病灶中均可达到较高浓度。成人剂量每日300mg(或每日4~8mg/kg),顿服;儿童每日5~10mg/kg(每日不超过300mg)。对急性血行播散型肺结核和结核性脑膜炎,剂量可适当增加。本药常规剂量时毒副作用发生率低,主要包括周围神经炎、中枢神经系统中毒,可用维生素B 6 缓解中毒症状,但正因维生素B 6 能影响异烟肼的疗效,所以常规应用时应注意避免同时应用。偶有肝功能损害,应注意定期监测。
(2)利福平(rifampin,RFP,R):
属于利福霉素的半合成衍生物,对存在于巨噬细胞内和细胞外的结核分枝杆菌,以及代谢旺盛和偶尔繁殖的结核分枝杆菌均有杀菌作用。正常情况下不通过血脑屏障,但脑膜炎症时可增强其血脑屏障的渗透力,使脑组织浓度增高。主要在肝脏代谢、胆汁排泄,肾功能损害患者一般不需减量,一般推荐早晨空腹服用。利福平及其代谢产物为橘红色,患者服药后大小便、眼泪等可被染为橘红色。成人空腹每日450~600mg(或8~10mg/kg),顿服。主要不良反应有胃肠道不适、肝功能损害、皮疹和发热等。其他如流感样反应、溶血性贫血和血小板减少症,一般在高剂量和间歇疗法时出现,一旦发生,应予以停药。其他利福霉素类药物还有利福喷汀(rifapentine,RFT)。
(3)吡嗪酰胺(pyrazinamide,PZA,Z):
类似于异烟肼的烟酸衍生物,但与异烟肼无交叉耐药性,能杀灭巨噬细胞内尤其是酸性环境中的结核分枝杆菌,已成为结核病短程化疗中不可缺少的主要药物。成人剂量为1.5~2.0g/d,每周3次,胃肠道吸收好,组织浓度高。常见不良反应是高尿酸血症、肝功能损害、关节痛等。
表2-9-1 常用抗结核药物成人剂量及主要不良反应
(4)乙胺丁醇(ethambutol,EMB,E):
仅对各种生长繁殖状态的结核分枝杆菌有抑菌作用,对静止状态的细菌几乎无影响。口服易吸收,成人剂量为0.75~1.0g/d。常见不良反应有球后视神经炎、过敏反应、皮肤黏膜损伤等,如患者出现视力异常应及时就医。鉴于儿童症状判断和倾诉能力差,不推荐使用。
(5)链霉素(streptomycin,SM,S):
对巨噬细胞外碱性环境中的结核分枝杆菌有杀菌作用。用法为肌肉注射,成人剂量0.75~1.0g/d,常见不良反应主要为耳毒性、前庭功能损害和肾毒性等,严格掌握使用剂量。
(6)对氨基水杨酸钠(sodium para-aminosalicylate,PAS,P):
对结核分枝杆菌抑菌作用较弱,仅作为辅助抗结核治疗的药物。成人剂量8~12g/d,常见不良反应主要为胃肠道刺激、肝功能损害、溶血性贫血及过敏反应等。
20世纪70年代前我国结核病治疗采用异烟肼、链霉素和对氨基水杨酸钠联合治疗,疗程为12~24个月,常称之为常规疗法。多数患者因不能坚持全程治疗而影响疗效。利福霉素药物的问世以及对吡嗪酰胺、乙胺丁醇作用的认识,促使短程化疗的出现。联用异烟肼、利福平等2个以上杀菌剂,对A、B、C各菌群均有较强杀菌作用的方案,使疗程缩短至6~9个月,称为短程化疗。短程化疗的疗效、复发率与常规化疗无差异。
一般化疗采取分阶段治疗,即强化治疗阶段和巩固治疗阶段,治疗开始后的前2个月为强化阶段。研究证明结核分枝杆菌与药物接触数小时后,延缓数天生长,当临床上有规律地每周3次用药,能够达到与每天用药同样的效果,此为间歇用药。间歇用药时也需联合用药,每种药物剂量可以适当加大。间歇用药因减少用药次数,而使药费、药物的毒性反应均降低,方便患者使用,使患者依从性增高,可保证全程化疗,使疗效增强且更稳固。
患者自行中断治疗或停止治疗是成功控制结核病的主要障碍。医护人员按时督促患者用药,加强访视宣教,取得患者合作是做好全程管理的重要环节。世界卫生组织提出:督导下(即直视下)的短程化疗(directly observed treatment short-course,DOTS)是当今结核病控制的首要策略,也是21世纪控制结核病的重要策略之一。
(1)每日用药方案:
①强化期用异烟肼、利福平、吡嗪酰胺和乙胺丁醇,每日用药,疗程2个月;②巩固期用异烟肼、利福平,每日用药,疗程4个月。简写为:2HRZE/4HR。
(2)间歇用药方案:
①强化期用异烟肼、利福平、吡嗪酰胺和乙胺丁醇,隔日或每周3次用药,疗程2个月;②巩固期用异烟肼、利福平,隔日或每周3次用药,疗程4个月。简写为:2H 3 R 3 Z 3 E 3 /4H 3 R 3 。
(1)每日用药方案:
①强化期用异烟肼、利福平、吡嗪酰胺、链霉素和乙胺丁醇,每日用药,疗程2个月。②巩固期用异烟肼、利福平和乙胺丁醇,每日用药,疗程6~10个月。巩固期治疗4个月时,痰涂片结核菌未转阴,可继续延长治疗期6~10个月。简写为:2HRZSE/6~10HRE。
(2)间歇用药方案:
①强化期用异烟肼、利福平、吡嗪酰胺、链霉素和乙胺丁醇,隔日或每周3次用药,疗程2个月;②巩固期用异烟肼、利福平和乙胺丁醇,隔日或每周3次用药,疗程6个月。简写为:2H 3 R 3 Z 3 S 3 E 3 /6~10H 3 R 3 E 3 。
上述间歇方案为我国结核病规划所采用,但必须采用直接督导下的短程化学疗法(DOTS),即肺结核患者(主要是痰菌涂片阳性的患者)在整个治疗过程中,每次用药必须在医务人员的目睹下进行,以保证患者不间断地规律用药。
对至少包括利福平和异烟肼两种或两种以上药物产生耐药的结核病为MDR-TB,所以耐多药肺结核必须要有痰结核菌药敏试验结果才能确诊。
制订MDR-TB治疗方案的通则是:详细了解患者用药史,该地区常用抗结核药物和耐药流行情况;尽量作药敏试验;严格避免只选用一种新药加到原失败方案;世界卫生组织推荐尽可能采用新一代的氟喹诺酮类药物;不使用交叉耐药的药物;治疗方案至少含4种二线的敏感药物;至少包括吡嗪酰胺、氟喹诺酮类、注射用卡那霉素或阿米卡星、乙硫或丙硫异烟胺和对氨基水杨酸钠或环丝氨酸;药物剂量依体重决定;强化期应为8个月,总治疗期为20个月或更长,以治疗效果决定。监测治疗效果最好以痰培养为准。
MDR-TB治疗药物选择见表2-9-2。第1组为一线抗结核药,依据药敏试验和用药史选择使用。第2组为注射剂,首选卡那霉素和阿米卡星,两者效果相似并存在百分之百的交叉耐药;如对链霉素和卡那霉素耐药,应选卷曲霉素。链霉素毒性大,尽可能不用。第3组为氟喹诺酮类药,菌株敏感度按效果从高到低选择是莫西沙星、左氧氟沙星和氧氟沙星。第4组为口服抑菌二线抗结核药,首选为乙硫/丙硫异烟胺,该药疗效确定且廉价,应用从小剂量250mg开始,3~5d加大至足量。对氨基水杨酸钠也应考虑为首选,但价格较贵。环丝氨酸国内少用。第5组药物疗效不确定,只有当1~4组药物无法制订合理方案时,方可考虑选用,但应至少选用上述四种药物中的两种。
表2-9-2 治疗耐多药结核(MDR-TB)药物分组
结核病的毒性症状常在有效抗结核治疗后1~2周消退,不需要特殊处理。对于干酪样肺炎、结核性脑膜炎等伴严重结核毒性症状患者,可在使用有效抗结核药的同时加用糖皮质激素。常用泼尼松每日20mg,顿服,根据症状控制情况逐渐减量,总疗程4~8周。
小量咯血时嘱患者安静休息,可选用止咳、镇静药物。大量咯血时应采取患侧卧位,将气管内存留的积血咳出。止血药物可选用垂体后叶素,可用5~10IU加入25%葡萄糖40ml中缓慢(15min左右)静脉推注,也可将垂体后叶素加入5%葡萄糖500ml中,按0.1IU/(kg·h)静脉滴注。垂体后叶素有收缩小动脉和毛细血管的作用,除了可减少肺血流量、减少咯血,还可引起冠状动脉、子宫、肠平滑肌收缩,故对冠心病、高血压患者慎用,妊娠妇女禁用。药物治疗效果不好者,可经支气管镜确定出血部位,局部应用止血措施,如用冷生理盐水灌洗、应用肾上腺素、凝血酶或用Fogarty导管气囊压迫止血,也可行支气管动脉栓塞。抢救大咯血时应特别注意保持呼吸道的通畅。发生窒息征象时,应立即取头低脚高体位,轻拍背部,以便血块排出,并尽快挖出或吸出口咽、喉、鼻部血块,必要时作气管插管或气管切开。
外科手术治疗的适应证有:①化疗无效,尤其是经过规则的强有力的化疗药物治疗9~12个月后,痰菌仍阳性的干酪样病灶、厚壁空洞、阻塞型空洞;②一侧损毁肺、支气管结核管腔狭窄伴远端肺不张或肺化脓症者;③结核脓胸或伴支气管胸膜瘘;④不能控制的大咯血;⑤疑似肺癌或并发肺癌可能。这些患者大多病情严重、有反复播散病史或病变范围广泛,因此是否适宜手术尚需考虑患者心肺功能状态以及播散灶控制与否等,就手术效果、风险程度及康复等方面进行全面衡量,以作出合理选择。
控制传染源是综合防治结核病的重点环节。发现并治愈痰直接涂片阳性的结核病患者是切断传染源的最有效方法。
①主动发现:定期健康查体。进行X线胸片及痰菌检查,可以发现早期患者。②被动发现:因有症状而到医院就诊时,各科接诊医师嘱其进行X线胸片及痰菌检查,使之得到及时诊断和治疗。
实践证明,DOTS是目前有效控制结核病的主要措施。DOTS几乎能使每一例结核病患者获得治愈。DOTS应继续被推广实施并扩大覆盖率。
主要应用于易受结核分枝杆菌感染的高危人群,包括HIV感染者、涂阳性肺结核患者的密切接触者、未治疗的肺部硬结纤维病灶(无活动性)、矽肺患者、糖尿病患者、长期使用糖皮质激素或免疫抑制剂者、吸毒者、营养不良者等。化学预防药物一般采用异烟肼300mg/d,顿服6~9个月,儿童用量为4~8mg/(kg·d);或异烟肼和利福平,每日顿服3个月;或利福喷汀和异烟肼每周3次,疗程3个月。
肺结核主要通过呼吸道传播。因此,改善居住条件,保持良好的环境卫生,加强卫生宣教,倡导良好的生活卫生习惯,严禁随地吐痰等,都对结核病预防起到积极作用。
包括适当的运动锻炼、合理的饮食营养、充分的休息和睡眠、良好的心理状态等,均对机体的免疫功能和抗病能力有积极的影响。
卡介苗是活的减毒牛型结核分枝杆菌疫苗。接种卡介苗对预防血行播散引起的结核性脑膜炎和粟粒型肺结核有一定作用。接种对象为未受感染的人群,主要是新生儿和婴幼儿。
(赖国祥)
本章主要介绍了肺结核,从病因和发病机制、病理、临床表现、实验室及辅助检查、诊断和鉴别诊断、治疗和预防等方面进行了阐述。学生通过本章的学习可以初步了解肺结核的临床表现和主要的诊断治疗原则。
1.结核的病理基本病变有哪些?
2.肺结核的化疗原则是什么?
3.结核菌素试验阴性有何临床意义?