



心脏起搏治疗的并发症是指植入起搏器患者的正常诊疗过程中出现的不良反应,并产生了一定的临床后果。起搏器的并发症按发生时间的早晚,可以分为植入术中并发症、早期并发症以及晚期并发症。并发症的产生可以与手术操作有关,也可以与起搏系统有关。
穿刺并发症是在穿刺锁骨下静脉时发生的,主要是锁骨下动脉的损伤以及气胸/血气胸。
由穿刺误入胸腔刺破肺脏引起,少量气胸不必特殊处理,张力性气胸应做紧急处理。
如血管被损伤且有通道流到胸腔可致血胸,单纯血胸少见,常为血气胸,必要时应同胸外科医师积极处理。
则可见鲜红的搏动性血液流出。只要拔出针头,局部压迫即可。预防:熟悉解剖结构及X线影像特点;X线指导下穿刺,必要时可行肘正中静脉造影指导穿刺;分步前进,步步确认穿刺针或钢丝位置;认识解剖学标记变异,必要时可选用头静脉。
一般很少出现,若术中使用硬的指引钢丝及操作粗暴可以导致。患者感胸痛、膈肌跳动,少数患者可发生心脏压塞。心电图有起搏和感知异常,程控测试可见起搏、感知和阻抗异常。发生此并发症时,应及时将起搏导线撤入心腔,重新放置,以免引起心脏压塞。
电极导线植入时的机械刺激可引起室早、室性心动过速(室速),甚至心室颤动(室颤)。尤其在三度房室传导阻滞,逸搏点位于希氏束以下的患者。术中由于心室导线跨过三尖瓣后,导线刺激心室肌,可引起室速、室颤和心脏停搏。因此植入导线时必须配备除颤器,另外对于三度方式传导阻滞的患者,先植入临床起搏器给予心率支持,也是避免术中出现严重心律失常的办法。
此并发症由于导线误入冠状静脉窦后,由导线头端穿破冠状静脉窦血管壁所致,可引起心包渗出和心脏压塞。需要及时将导线撤离冠状静脉窦,并进行心包穿刺引流,必要时需外科开胸引流。
较少见,多数由于心室被动固定导线头端翼状电极穿入腱索,在操作导线时,动作过度粗暴引起。对于上述并发症的预防,手术医师应该熟悉患者的心脏结构、导线应无阻力/障碍操作,术中随时观察患者反应及生命体征监测,备好除颤器。
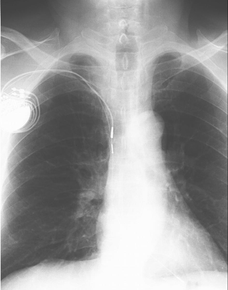
图1-15 导线穿孔
心室导线穿孔的正侧位片,导线已穿孔至膈肌下。
局部手术的出血,大致为三种情况:①锁骨下静脉穿刺处出现;②小动脉破裂出血;③插入头静脉结扎不妥出血。出血多者可形成血肿,如持续出血,可局部压迫,或切开取出血块清理出血点。预防的方法包括术前评价出血和栓塞风险,必要时停抗血小板药物以及抗凝药。术时注意止血,术后局部加压包扎。尤其对于服用双联抗血小板药物的患者,术中尤其要注意止血,用电刀可以及时止血、减少术后出血风险。
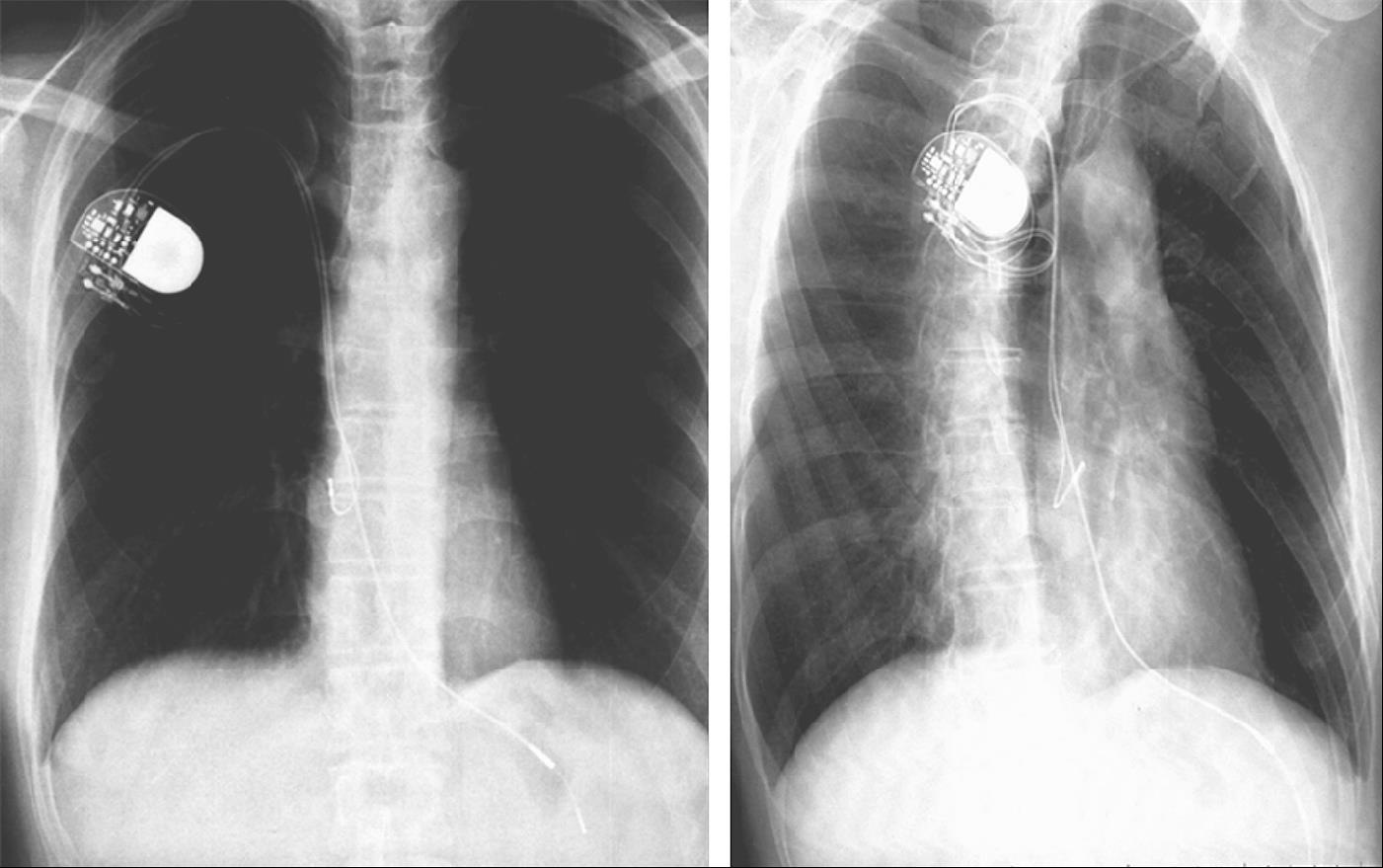
起搏导线脱位是起搏器术后常见的并发症(图1-16)。Most研究报道心房导线的脱位发生率为2.3%,心室导线的脱位发生率为0.9%。导线脱位大多发生在1个月内,心电图表现为起搏和/或感知异常,明显的脱位可以通过胸片以证实。根据起搏器植入的时间、患者临床表现、脱位的导线情况以及起搏器功能障碍的程度不同,处理方法亦不同,应尽可能及早发现、及早复位。预防导线脱位的方法是术中定位可靠、张力合适、固定牢靠,必要时选用主动固定导线。
是起搏器植入后的严重并发症,可表现为囊袋局部红、肿、热、痛及局部破溃(图1-17)。严重时可有败血症,需取出起搏系统,全身使用抗生素,局部清创。发病率为0.4%~0.6%。一旦感染发生应积极处理,根据局部伤口、心律失常发作及全身情况可有以下处理方法:①全身抗生素治疗,对于切口浅表感染者,可单纯使用抗生素治疗,并注意观察伤口情况。②局部囊袋清创术。③经静脉拔除心内膜导线。④外科开胸取出导线,对于不适合经静脉拔除起搏导线或经静脉拔除失败者,可外科开胸取出心内膜导线。
图1-16 导线脱位
心房导线脱位至上腔静脉。
图1-17 囊袋感染
起搏器植入术后囊袋感染,脉冲发生器及导线外露。
国外文献报道囊袋感染主要与手术时的无菌操作、是否发热、有无早期手术干预(如导线移位复位等)以及临时起搏器有关。一旦发生囊袋感染,会给患者带来很大痛苦,而且医师处理也非常棘手,因此预防感染非常重要,加强无菌概念、控制患者全身情况、选择合适的植入部位、制作大小合适的囊袋等可减少其发生率。
导线断裂和绝缘层破裂是植入起搏器后又一严重的并发症,国外报道起搏导线断裂发生率为2%~3%,ICD导线为3.5%,中国医学科学院阜外医院报道了26例导线断裂的患者,起搏导线断裂的发生率0.6%,ICD导线断裂的发生率1.2%。断裂部位通常发生在锁骨下,通常认为其原因可能与锁骨下结构的挤压、摩擦有关(图1-18)。但有学者研究发现持续的压力负荷和反复的扭曲作用使导线“疲劳”,可产生损伤。导线断线或绝缘层破裂的临床表现主要为患者又出现了起搏器植入前症状。心电图表现为起搏和感知功能不良。明显的断裂可以通过X线胸片以证实。起搏器程控检查有助于发现此问题。导线导体断裂时,导线阻抗增加;而绝缘层破裂时,导线阻抗降低。其他参数测试如起搏、感知阈值也可以出现异常。一旦发现,一般应及时更换导线。预防的方法主要是经锁骨下静脉外侧点穿刺、合适的缝扎,或者采用腋静脉穿刺或头静脉切开作为静脉路径。
图1-18 导线断裂
导线绝缘层及外线圈断裂:胸片显示导线在锁骨下变细。
植入起搏器后静脉血栓形成可发生于任何时期,国外文献报道静脉血栓形成的发生率约为9%,也有报道高达31%~50%的患者有不同程度的静脉阻塞。血栓发生的常见阻塞部位为锁骨下静脉、无名静脉-上腔静脉交界区及上腔静脉-右心房交界区。血栓的发生率和严重程度与所选的血管途径无关,多根导线植入及充血性心力衰竭患者可能更易发生。静脉血栓形成后临床表现,轻者植入侧上肢肿胀,重者可出现患侧颈静脉曲张,同侧面部肿胀、头痛及患侧肢体明显肿胀、发绀。长期治疗可给予华法林或新型口服抗凝药抗凝治疗。部分患者也可以外科手术治疗。