



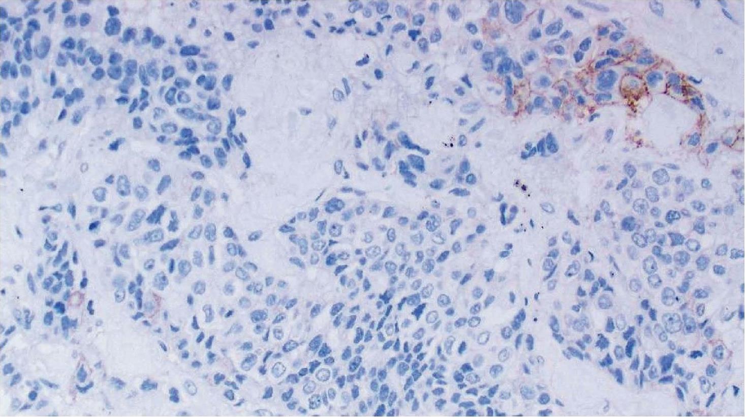
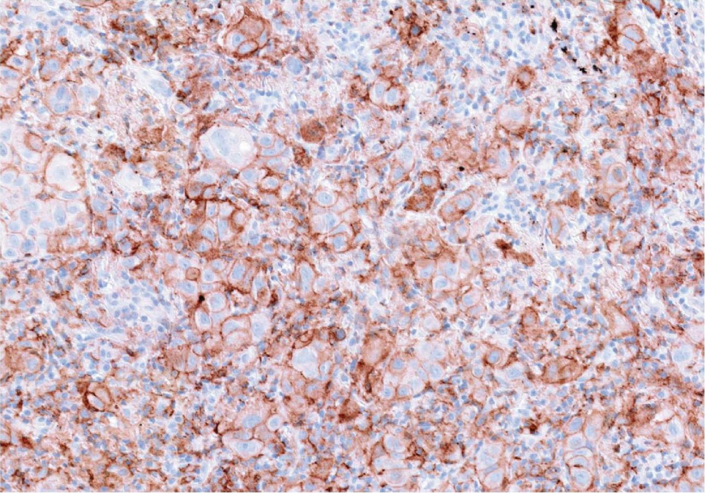
22C3克隆号是国内首个获批的PD-1/PD-L1免疫检测点的伴随诊断试剂。其检测方法固定,检测程序由厂家单独安装,整个检测流程简单高效,只需要熟练操作Dako Autostainer Link 48设备就可胜任检测工作;其自带有批间阴性和阳性对照片,检测结果可重复性高,定位在细胞膜上。PD-L1表达结果以TPS(任何强度部分或完全膜染色的肿瘤细胞占标本中所有肿瘤细胞的百分比)计算;若TPS<1%,诊断为阴性表达;TPS 1%~49%为低表达,TPS≥50%为高表达。图2-3所示为NSCLC PD-L1 (22C3)免疫组织化学染色图,TPS为0;图2-4所示为NSCLC PD-L1 (22C3)免疫组织化学染色图,TPS 1%~49%;图2-5所示为NSCLC PD-L1 (22C3)免疫组织化学染色图,TPS≥50%。
图2-2 PD-L1在肿瘤区域内呈异质性表达 [5]
注:在低倍镜下,按照肿瘤细胞数量相对均等的原则将肿瘤大致分为4个区域,分别计算4个区域PD-L1的TPS值后取平均值即为PD-L1最终结果。4个区域的TPS评分分别为80%、50%、25%和100%,整个肿瘤PD-L1 TPS评分最终为(80%+25%+50%+100%)/4=63.75%。因此,该病例TPS>50%
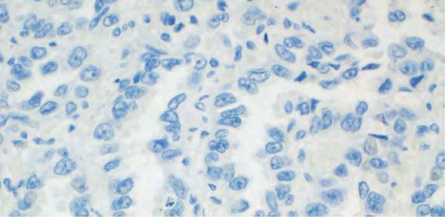
图2-3 NSCLC PD-L1 (22C3)免疫组织化学染色图(×100),TPS=0 [5]
图2-4 NSCLC PD-L1 (22C3)免疫组织化学染色图(×100),TPS为1%~49% [5]
图2-5 NSCLC PD-L1 (22C3)免疫组织化学染色图(×100),TPS≥50% [5]
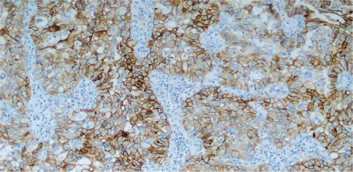
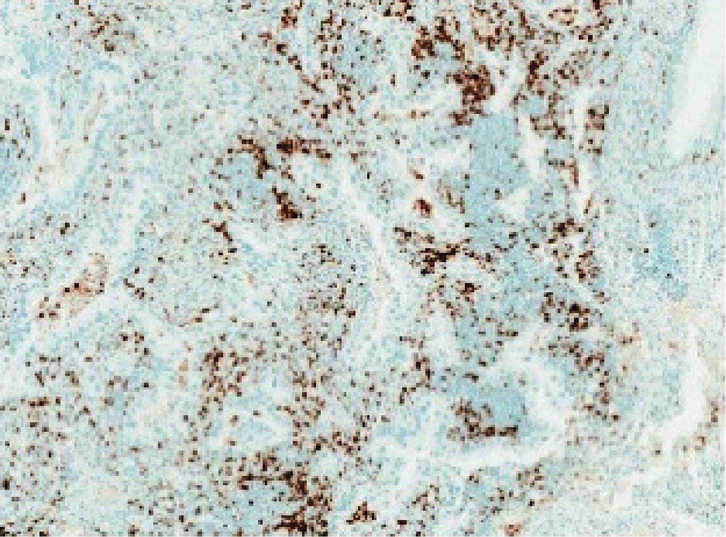
28-8克隆号检测平台及判读标准均与22C3相同,但关注的表达数值区间不同。该抗体PD-L1采用TC值计算,阈值分别为1%≤TC评分<5%、5%≤TC评分<10%、TC评分≥10%。图2-6所示为NSCLC PD-L1 (28-8)免疫组织化学染色图,TC评分为0;图2-7所示为NSCLC PD-L1 (28-8)免疫组织化学染色图,1%≤TC评分<5%;图2-8所示为NSCLC PD-L1 (28-8)免疫组织化学染色图,5%≤TC评分<10%;图2-9所示为NSCLC PD-L1 (28-8)免疫组织化学染色图,TC评分≥10%。
图2-6 NSCLC PD-L1 (28-8)免疫组织化学染色图(×200),TC评分为0 [6]
图2-7 NSCLC PD-L1 (28-8)免疫组织化学染色图(×200),1%≤TC评分<5% [6]
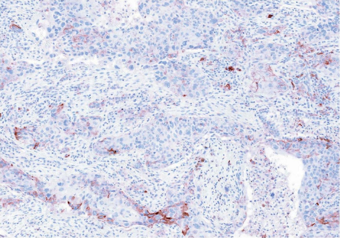
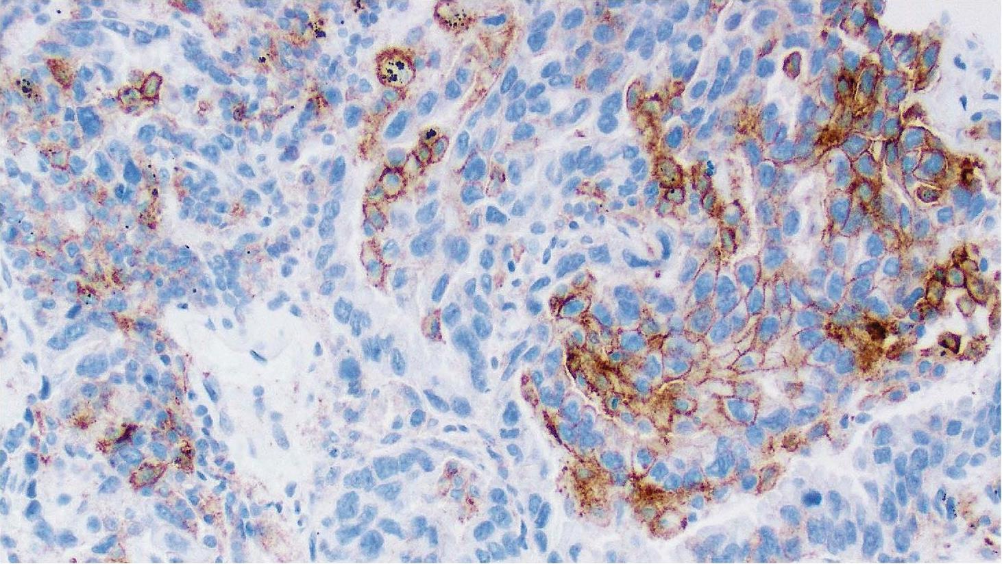
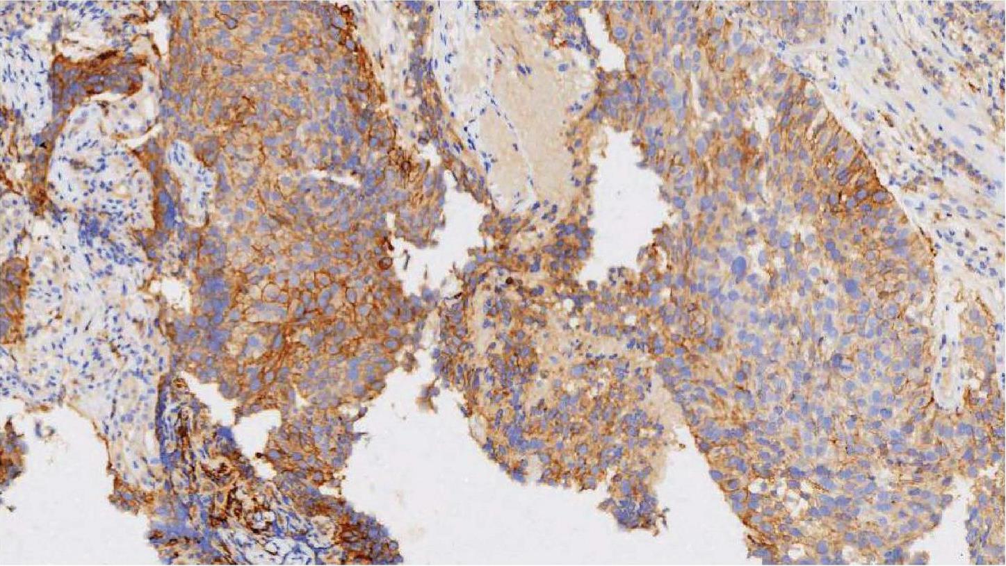
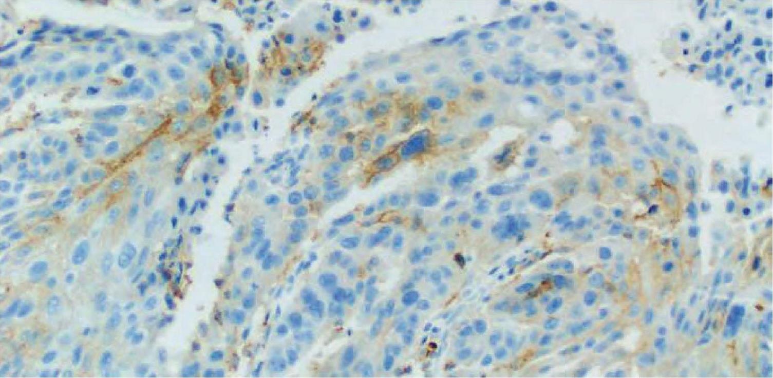
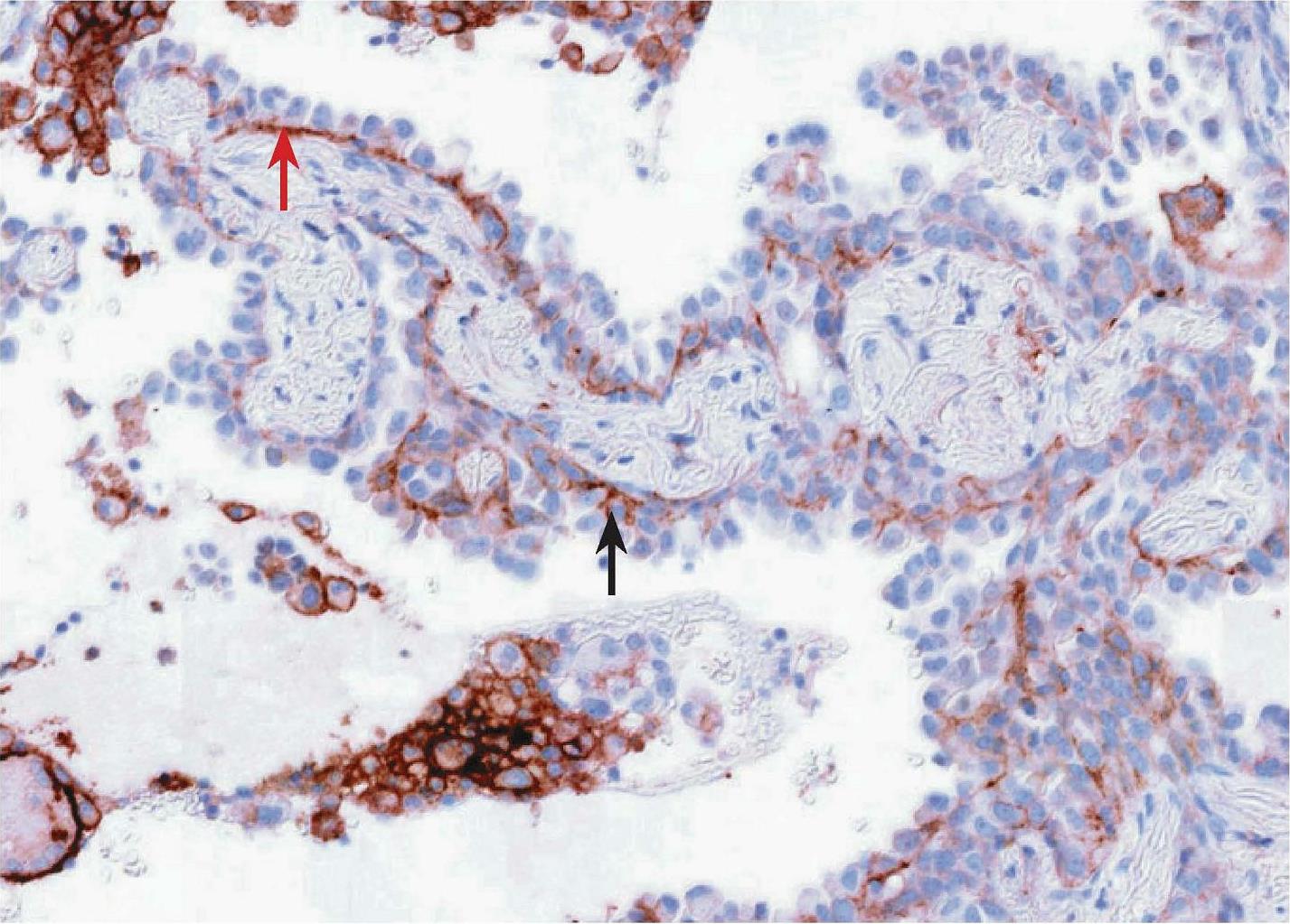
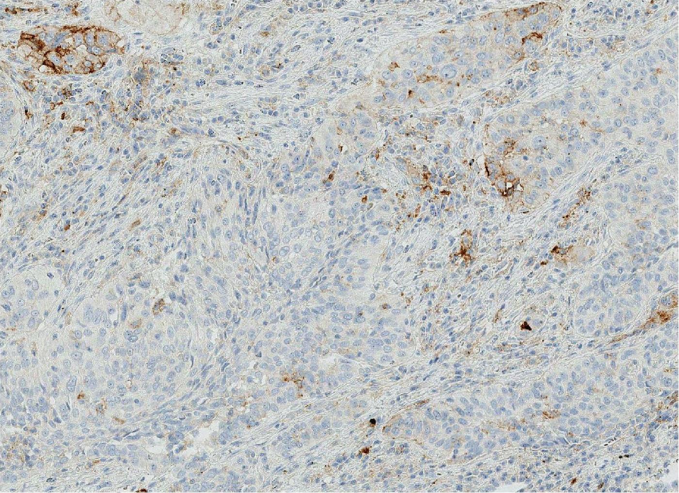
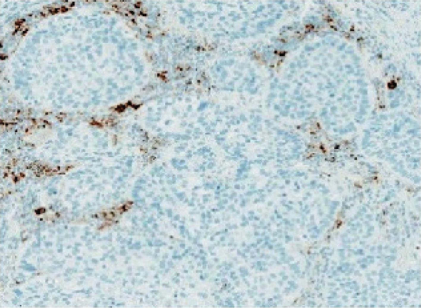
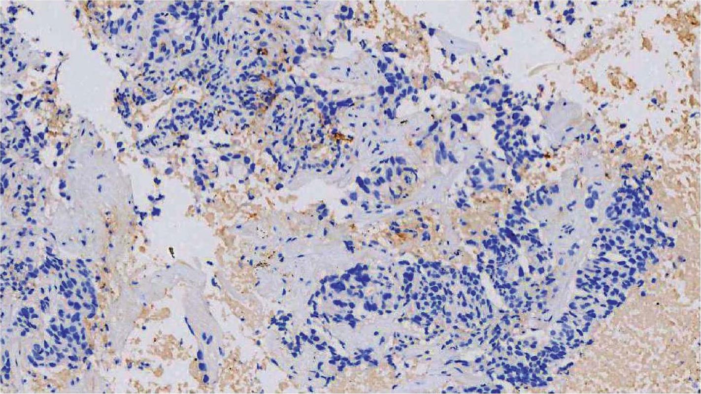
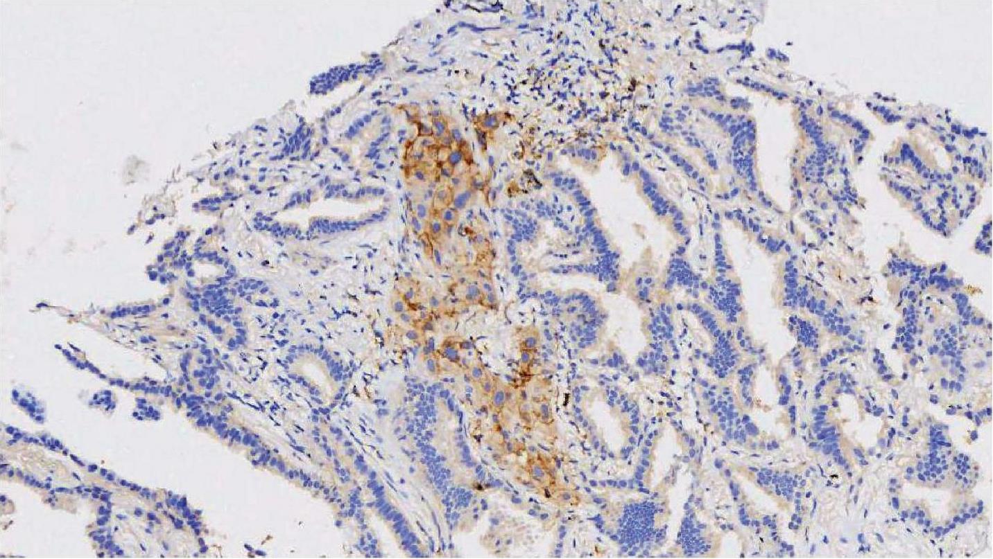
SP263克隆号检测平台及结果判读与22C3和28-8标准大致相同,判读结果以TC计算,不同的是若SP263仅有肿瘤细胞基底膜染色不能算作阳性,需基底膜及侧膜同时染色时才可判为阳性,根据肿瘤细胞PD-L1的表达分别为1%≤TC评分<5%、5%≤TC评分<10%、10%≤TC评分<50%、TC评分≥50%。图2-10和图2-11所示为肺浸润性腺癌HE染色图和PD-L1 (SP263)免疫组织化学染色图,图2-11显示肿瘤细胞基底膜及侧面均染色,应纳入PD-L1评估,TC评分≥50%。图2-12和图2-13所示为肺浸润性腺癌HE染色图和PD-L1 (SP263)免疫组织化学染色图,部分肿瘤基底膜及侧面均染色的肿瘤细胞(如黑色箭头所示),应纳入PD-L1百分比评估中,而染色的免疫细胞应排除PD-L1评估;部分肿瘤细胞仅基底膜染色,侧面未染色(如红色箭头所示),不应纳入阳性肿瘤细胞。不同TC评分的NSCLC PD-L1 (SP263)免疫组织化学染色结果如图2-14至图2-17所示。
图2-8 NSCLC PD-L1 (28-8)免疫组织化学染色图(×200),5%≤TC评分<10% [6]
图2-9 NSCLC PD-L1 (28-8)免疫组织化学染色图(×200),TC评分≥10% [6]
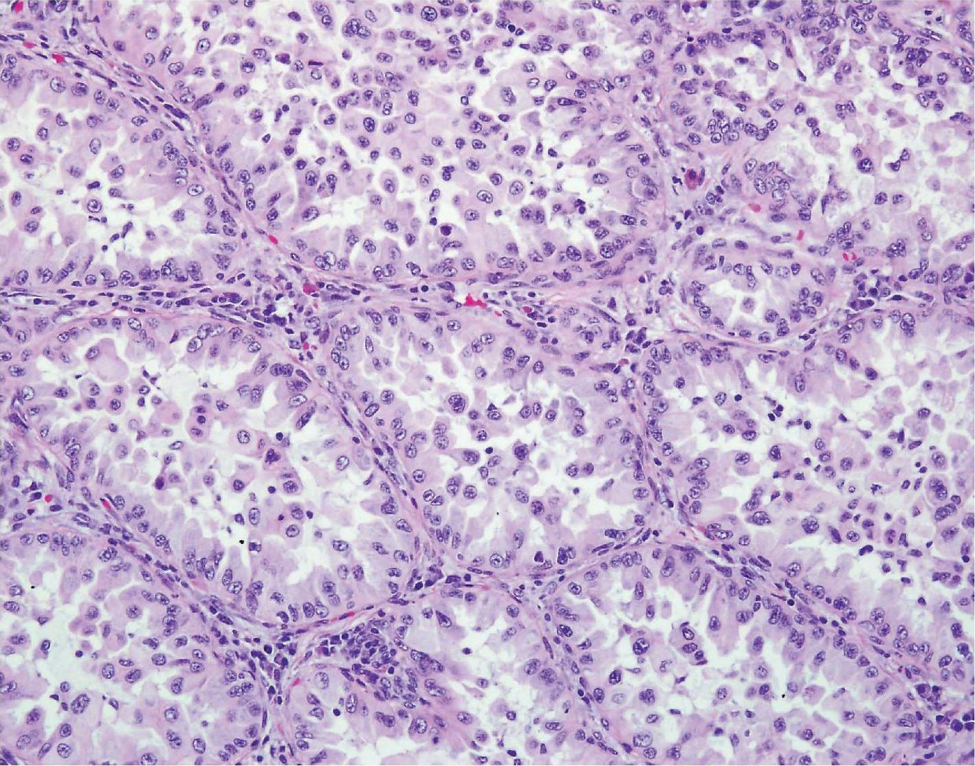
图2-10 肺浸润性腺癌HE染色图(×400) [7]
图2-12 肺浸润性腺癌HE染色图(×400) [7]
图2-13 肺浸润性腺癌PD-L1 (SP263)免疫组织化学染色图(×400) [7]
注:部分肿瘤基底膜及侧面均染色的肿瘤细胞(如黑色箭头所示),应纳入PD-L1百分比评估中;部分肿瘤细胞仅基底膜染色,侧面未染色(如红色箭头所示),不应纳入阳性肿瘤细胞;染色的免疫细胞应排除PD-L1评估
图2-14 NSCLC PD-L1 (SP263)免疫组织化学染色图(×200),1%≤TC评分<5% [7]
图2-15 NSCLC PD-L1 (SP263)免疫组织化学染色图(×200),5%≤TC评分<10% [7]
图2-16 NSCLC PD-L1 (SP263)免疫组织化学染色图(×200),10%≤TC评分<50% [7]
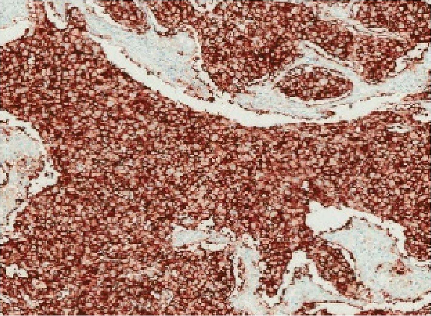
图2-17 NSCLC PD-L1 (SP263)免疫组织化学染色图(×400),TC评分≥50% [7]
SP142克隆号的操作平台为罗氏诊断Ventana BenchMark Ultra。试剂盒配套完善,只需要灌注好大容量缓冲液及试剂,操作简单,做好质控结果同样稳定可靠,判读结果以TC和IC计算。具体评分时,TC、IC各采用4等级评分。其中TC膜染色4等级:0≤0级<1%、1%≤1级<5%、5%≤2级<50%、3级≥50%;IC染色也同样分为4等级:0≤0级<1%、1%≤1级<5%、5%≤2级<10%、3级≥10%。评分采用逐级评分步骤,先评估TC染色,若TC评分≥50%,则不必再评估IC;若TC评分<50%,则需要进一步评估IC染色。建议检测时TC和IC各自给出评分和(或)级别。TC评分0~3级的NSCLC PD-L1 (SP142)免疫组织化学染色结果分别如图2-18至图2-21所示。
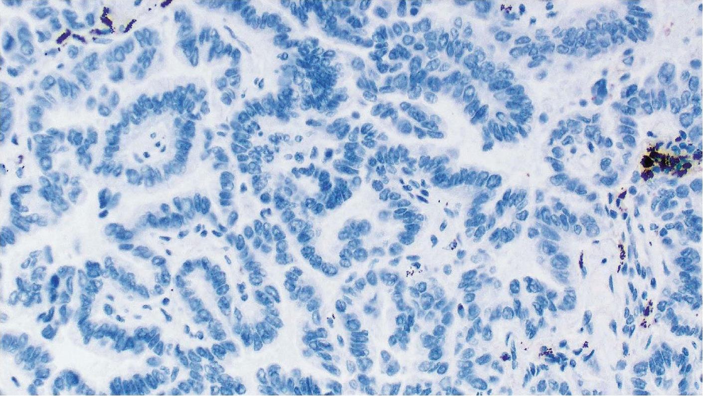
图2-18 NSCLC PD-L1 (SP 142)免疫组织化学染色图(×100),TC评分0级 [8]
图2-19 NSCLC PD-L1 (SP 142)免疫组织化学染色图(×100),TC评分1级 [8]
图2-20 NSCLC PD-L1 (SP142)免疫组织化学染色图(×100),TC评分2级 [8]
图2-21 NSCLC PD-L1 (SP142)免疫组织化学染色图(×100),TC评分3级 [8]
IC评分0~3级的NSCLC PD-L1 (SP142)免疫组织化学染色结果分别如图2-22至图2-25所示。
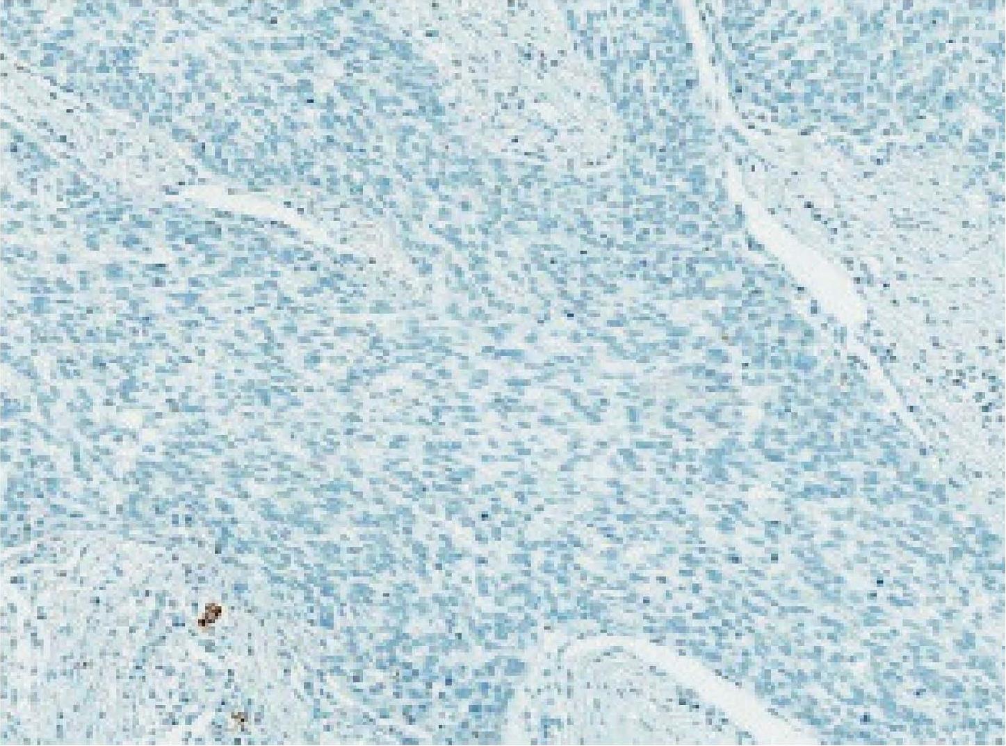
图2-22 NSCLC PD-L1 (SP142)免疫组织化学染色图(×100),IC评分0级 [8]
图2-23 NSCLC PD-L1 (SP142)免疫组织化学染色图(×100),IC评分1级 [8]
图2-24 NSCLC PD-L1 (SP142)免疫组织化学染色图(×100),IC评分2级 [8]
图2-25 NSCLC PD-L1 (SP142)免疫组织化学染色图(×100),IC评分3级 [8]
E1L3N 克隆号为美国Cell Signaling Technology公司的产品。说明书推荐使用徕卡公司Bond-Max全自动免疫组织化学机(1∶400比稀释),但各实验室也可有自己的选择。其判读标准及阈值区间均同22C3,即肿瘤细胞未见明确膜染色或膜染色肿瘤细胞<1%的病例判读为PD-L1阴性;全片1%~49%的肿瘤细胞膜呈现不同程度的着色或完全着色,同时细胞核无着色的病例判读为PD-L1弱阳性(低表达);全片≥50%的肿瘤细胞膜呈现不同程度的着色或完全着色,同时细胞核无着色的病例判读为PD-L1阳性(高表达)。基于PD-L1 (E1L3N)在实际工作中的应用,我们评价了E1L3N和22C3的一致性。既往发表的相关研究 [9] 显示,在活检或手术标本中,E1L3N与22C3具有较高的一致性。不同TPS评分的NSCLC PD-L1 (E1L3N)免疫组织化学染色结果分别如图2-26至图2-28所示。
图2-26 NSCLC PD-L1 (E1L3N)免疫组织化学染色图(×100),TPS评分0(阴性)
图2-27 NSCLC PD-L1 (E1L3N)免疫组织化学染色图(×100),TPS评分1%~49%(低表达)
图2-28 NSCLC PD-L1 (E1L3N)免疫组织化学染色图(×100),TPS评分≥50%(高表达)