



(1)上颌前突。
(2)下颌后缩(占主要因素)。
(3)上前牙唇倾。
Ⅱ类 1 分类错
是Ⅱ类错
里较常见的类型,有很多学者通过头影测量研究该类错
的特点。Drelich发现Ⅱ类 1分类患者下颌骨长度较短,后缩明显,下颌平面较陡峭
[13]
。Craig认为Ⅱ类 1 分类患者的磨牙之所以处于远中关系,主要的原因是该类患者的下颌骨较短
[14]
。Fisk等对Ⅱ类 1 分类患者的颌骨和牙齿的改变进行了总结,包括以下 6 个方面(图 2-6):①上颌骨前突,上颌牙唇倾;②上颌牙唇倾;③下颌骨发育不足;④下颌骨发育正常但后缩;⑤下颌牙处于远中位置;⑥以上几个方面的各种组合
[15]
。Menezes发现Ⅱ类 1 分类患者下颌骨发育不足,上颌切牙明显唇倾
[16]
。Mcnamara测量了 277 例 8~10 岁Ⅱ类错
患者的头颅侧位片,结果显示,Ⅱ类错
患者的上颌骨发育正常、前突或后缩,下颌骨后缩
[8]
。
Ngan等对Ⅱ类 1 分类和Ⅰ类错
的女性在 7~14 岁之间颌骨的生长变化进行了比较,结果显示:与Ⅰ类人群相比,Ⅱ类 1 分类患者的上颌骨发育正常,但下颌升支和下颌体的长度较短,后面高与前面高的比例也较小,而且这些差异在青春发育期最为明显。在 12~13 岁之间,Ⅰ类人群的下颌骨长度明显增加,但Ⅱ类 1 分类患者的下颌骨长度没有明显变化。从垂直向来看,Ⅰ类人群的后面高与前面高比例增加,下颌平面角每年平均减小约 1.1°,Ⅱ类 1 分类患者的后面高与前面高比例随着年龄的增加逐渐减小,这些垂直向的改变都导致Ⅱ类 1 分类患者的下颌骨后缩。而且Ⅱ类 1 分类患者的下颌骨生长量在青春发育期较小,生长方向为向下、向后。除此之外,Ⅱ类 1 分类患者在 7 岁时就表现出明显的上、下颌骨不调,并且不会随着生长得到改善,这说明Ⅱ类 1 分类患者的骨骼生长型在早期即可建立,如果没有早期干预,这种生长型会一直维持下去
[17]
。Stahl等也得出了相似的结论,他们认为Ⅱ类 1 分类患者颅面部骨骼的生长与Ⅰ类人群类似,但下颌骨的生长量明显小于Ⅰ类人群,而且在生长发育高峰期最为显著,并一直持续至生长发育后期。所以,随着生长发育的持续进行,Ⅱ类 1 分类患者的骨骼不调不仅不会得到自我纠正,反而会逐渐加重
[18]
。
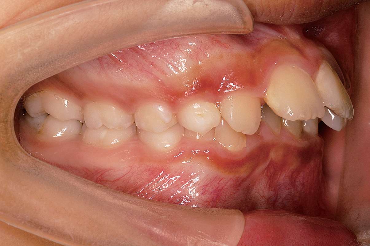
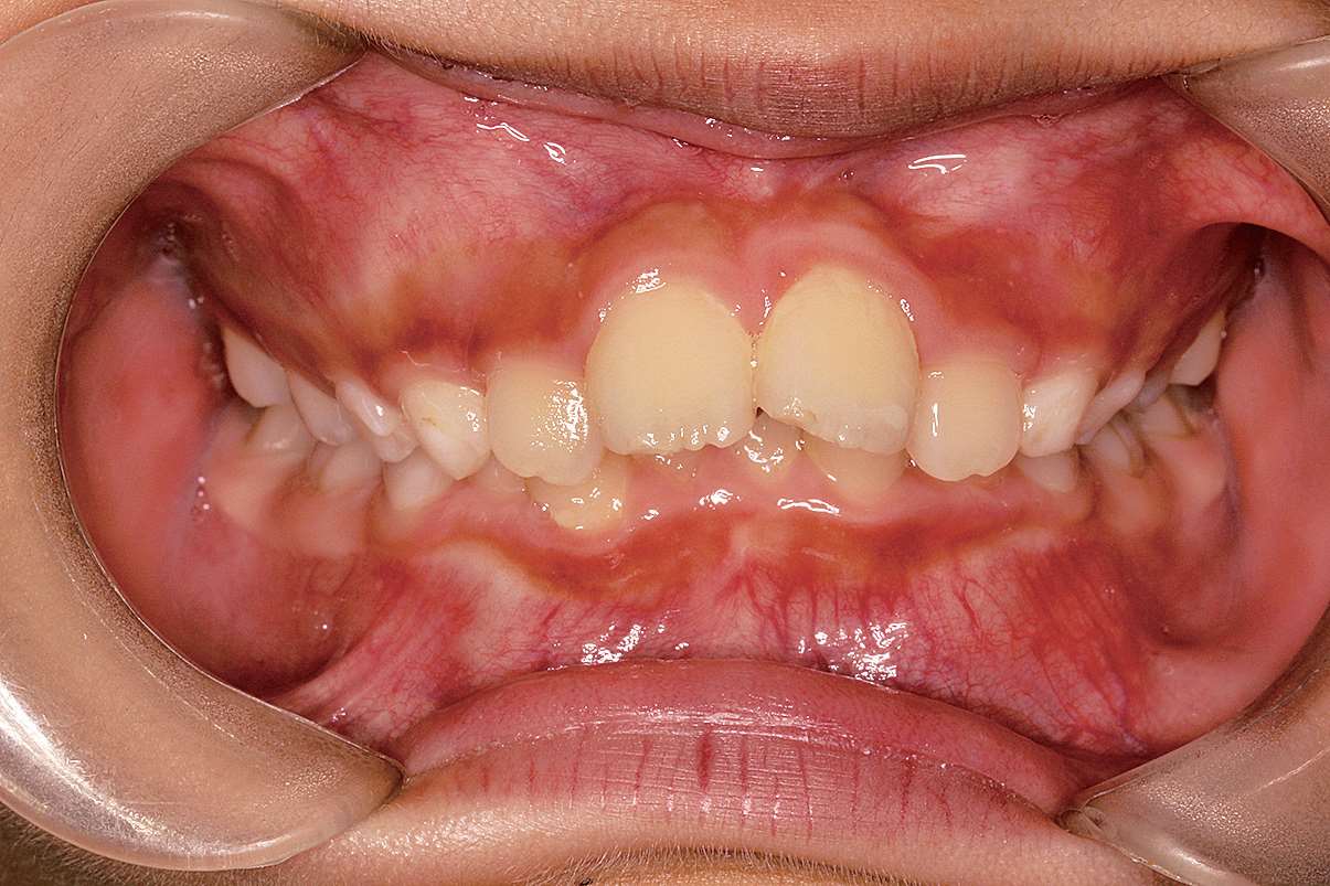
图 2-5 Ⅱ类 1 分类口内照片
图 2-6 Ⅱ类 1 分类错
的特点
A.正常
;B.上颌牙唇倾;C.上颌前突;D.上、下颌后缩,上、下前牙唇倾;E.上、下颌后缩,上颌前牙唇倾;F.上颌前突,上、下前牙唇倾;G.下颌后缩(摘自Eustáquio A. Araújo and Peter H. Buschang
[1]
)
Baccetti等发现,从青春期晚期至成年早期,Ⅱ类 1 分类患者颅面部骨骼因为生长发育所带来的变化较小 [19] 。Jacob和Buschang认为,与Ⅰ类人群相比,Ⅱ类 1 分类患者的下颌骨更为后缩,下颌骨的生长量较小,但男性的下颌骨生长量多于女性 [20] (图 2-7)。
图 2-7 在 10~15 岁之间,Ⅱ类 1 分类患者和Ⅰ类人群的下颌骨垂直向和水平向的生长改变图中显示 10 岁时,下颌骨的初始位置位于“0”点(X轴和Y轴)(摘自Helder B. Jacob and Peter H. Buschang [20] )
Bishara等对 37 例Ⅱ类 1 分类错
和 55 例正常
的模型进行了测量研究,结果显示从乳牙列期到混合牙列期,再到恒牙列期,两组的上、下牙弓生长趋势基本相同,但是在3 个牙列期,Ⅱ类 1 分类患者的上、下颌磨牙间宽度均显著小于正常
,而且牙弓宽度的不调不会随着生长发育得到自我纠正
[21]
。
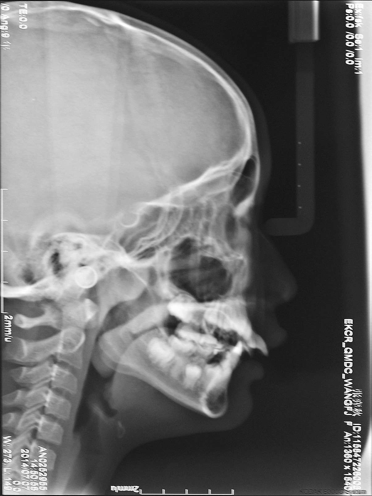
(1)Mcnamara统计学研究表明,Ⅱ类主要表现在下颌后缩(Ⅱ类的原因,主要是SNB过小,而不是SNA过大)。
(2)Ⅱ类上前牙更唇倾,比正常角度大 10°。
(3)上颌骨位置和上颌骨本身长度基本正常。
(4)相比Ⅰ类,Ⅱ类患者前面高增加。
(5)Nelson研究表明:Ⅱ类患者的下颌生长量不足,并且随着年龄增长而严重。7~10 岁时,Ⅱ类患者的下颌升支比正常小 1~3mm,下颌骨长度比正常少 1~4mm,11~14岁时升支和下颌骨长度都比正常少 2~6mm。
(6)Ⅱ类和Ⅰ类相比,下颌角差别不大。
(7)均角或者低角的Ⅱ类,下前牙位置基本正常或者唇倾。
图 2-8 Ⅱ类上前牙更唇倾,下颌生长量不足