



1.一根0.018in的澳丝,测量牙模弓形长度,确定弓丝长度。使用细丝钳,圆喙朝外钳夹弓丝末端,弯折成与弓丝平行的小钩(图7-2-1~图7-2-4)。
2.钳子方喙向下,钳夹住弓丝末端小钩,弯折成90°形成挂钩(图7-2-5~图7-2-7)。
图7-2-1
图7-2-2
图7-2-3
图7-2-4
图7-2-5
图7-2-6
3.将弓丝末端挂钩倒挂在第一磨牙近中,弓丝远中段沿牙面托槽龈缘置放,在尖牙与第一前磨牙之间画线做标记点(图7-2-8~图7-2-10)。
4.更换Kim钳,钳夹住弓丝标记点处,圆喙向内弯折(图7-2-11,图7-2-12)。
5.弓丝绕圆喙转动弯制成小圈曲,小圈曲曲突方向与挂钩方向一致(注:小圈曲的弯制需用Kim钳的圆喙弯制)(图7-2-13~图7-2-15)。
图7-2-7
图7-2-8
图7-2-9
图7-2-10
图7-2-11
图7-2-12
图7-2-13
图7-2-14
图7-2-15
6.细丝钳夹住小圈曲远中段,用拇指与食指弯制前牙段弓形弧(图7-2-16~图7-2-18)。
7.将弓丝放置于牙列托槽龈方,在对侧尖牙与第一前磨牙之间画线做标记点(图7-2-19,图7-2-20)。
8.钳夹弓丝依照上述方法弯制对侧小圈曲,然后用手指弯制前牙弓弧度,注意两侧远中段弓丝要放置于前牙段弓丝的外侧(图7-2-21~图7-2-26)。
9.用镊子作标尺,取弯制好的一端小圈曲与挂钩间的距离作标准(图7-2-27,图7-2-28)。
10.用笔在对侧依照镊子所取的长度画线做标记点(图7-2-29,图7-2-30)。
图7-2-16
图7-2-17
图7-2-18
图7-2-19
图7-2-20
图7-2-21
图7-2-22
图7-2-23
图7-2-24
图7-2-25
图7-2-26
图7-2-27
图7-2-28
图7-2-29
图7-2-30
11.在标记点的末端5mm处切断弓丝(图7-2-31)。
12.更换细丝钳,圆喙朝外钳夹弓丝弯折平行小钩,然后方喙朝下钳夹小钩向下弯折90°形成末端挂钩(图7-2-32~图7-2-36)。
13.调整弓形,使两端弓丝对称协调(图72-37~图7-2-39)。
14.圆喙放置于小圈曲内,前牙段弓丝向下弯折30°(图7-2-40,图7-2-41)。
图7-2-31
图7-2-32
图7-2-33
图7-2-34
图7-2-35
图7-2-36
图7-2-37
图7-2-38
图7-2-39
图7-2-40
图7-2-41
15.另一侧同样操作,将前牙段弓丝调整成30°~40°的角度(图7-2-42,图7-2-43)。
16.已弯制好的蛤蟆弓形态(图7-2-44~图7-2-47)。
图7-2-42
图7-2-43
图7-2-44
图7-2-45
图7-2-46
图7-2-47
1.短腿蛤蟆弓放置在塑料牙模上的步骤是将蛤蟆弓一侧末端的挂钩倒挂在第一磨牙颊面管近中的主弓丝上(图7-2-48,图7-2-49)。
2.蛤蟆弓腿沿着第二前磨牙和第一前磨牙托槽的结扎翼沟龈方向摆放,张开的蛤蟆嘴(前倾弯)位于前庭沟底处(图7-2-50)。
3.先用一根结扎丝固定蛤蟆嘴(前倾弯),即用0.25mm结扎丝套住蛤蟆嘴(前倾弯)段弓丝,结扎丝的两侧游离端均穿过中切牙托槽下方的主弓丝,用持针钳夹住结扎丝朝托槽方拧紧打结,注意蛤蟆眼(圈簧)应放置于尖牙与第一前磨牙之间的正畸主弓丝的内侧(图7-2-51,图7-2-52)。
4.用0.25mm结扎丝分别套住蛤蟆嘴(前倾弯)段弓丝对应的其余3颗切牙,结扎丝均穿过每颗切牙托槽下方的主弓丝,用持针钳逐个夹住结扎丝朝切牙托槽
方向拧紧打结(图7-2-53~图7-2-55)。
图7-2-48
图7-2-49
图7-2-50
图7-2-51
图7-2-52
图7-2-53
图7-2-54
图7-2-55
5.用细丝切断钳截断结扎蛤蟆弓后过长的结扎丝(保留3~4mm末端),然后用持针钳依次逐个将结扎丝末端紧贴牙面塞入正畸主弓丝的内侧(图7-2-56,图7-2-57)。
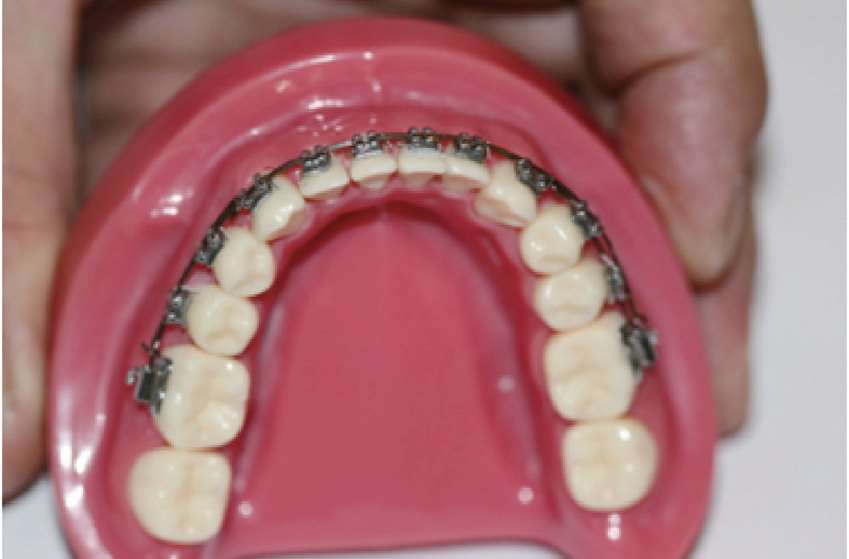
6.蛤蟆弓结扎完毕,固定于牙列后的牙模正位观、侧位观及
面观(图7-2-58~图7-2-61)。
图7-2-56
图7-2-57
图7-2-58
图7-2-59
图7-2-60
图7-2-61
1.其两侧的蛤蟆脚(挂钩)是从里朝外倒置挂在正畸主弓丝上的。
2.长腿蛤蟆弓,除了4颗切牙要常规结扎外,一般还加用0.25mm结扎丝分别套住蛤蟆腿,在两侧第二前磨牙托槽上与正畸主弓丝进行结扎固定。