



又称假结核性甲状腺炎、亚急性甲状腺炎等。病因倾向于病毒感染,中青年女性多见,病变可局限于部分或累及双侧甲状腺。
1.肉眼观察 病变甲状腺肿大呈结节状,切面灰黄色或灰白色,质实,橡皮样(图3-26)。
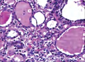
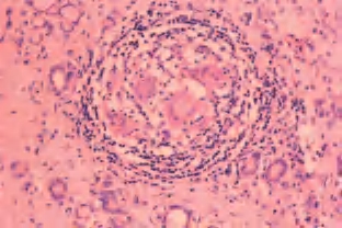
2.镜下 甲状腺部分滤泡破坏,溢出的胶质周围有组织细胞和多核巨细胞包绕,形成肉芽肿,但无干酪样坏死。间质可见多量嗜酸性粒细胞、淋巴细胞和浆细胞浸润。愈合期表现为滤泡上皮再生、间质纤维化及瘢痕形成(图3-27、图3-28)。
3.鉴别诊断 主要与肉芽肿性炎鉴别,如结核和结节病。亚急性肉芽肿性甲状腺炎的肉芽肿内有残留的胶样物,无干酪样坏死,特殊染色无抗酸杆菌。
图3-26 亚急性肉芽肿性甲状腺炎大体
图3-27 亚急性肉芽肿性甲状腺炎
图3-28 亚急性肉芽肿性甲状腺炎,残留胶质周围有多核巨细胞围绕、炎细胞浸润形成的肉芽肿