



不伴甲状腺功能亢进(甲亢)的甲状腺肿大称为非毒性甲状腺肿,分为结节性甲状腺肿和先天性内分泌障碍引起的甲状腺肿。结节性甲状腺肿的病因主要为缺碘,分为3个发展时期:增生期、胶质储积期和结节期。
1.肉眼观察 甲状腺体积明显增大,表面和切面均呈明显的结节状,结节大小不等,常见出血坏死、囊性变、瘢痕形成及钙化。
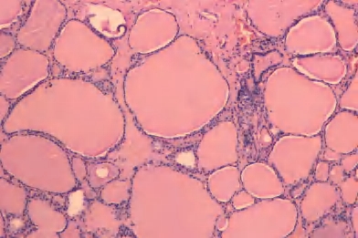
2.镜下 结节内滤泡大小不等,胶质含量多少不等,滤泡上皮扁平、立方形或柱状,部分呈假乳头样结构(被覆柱状上皮并有纤维血管轴心),部分滤泡可融合成大的胶质囊肿形(图3-23、图3-24)。
图3-23 结节性甲状腺肿
图3-24 非毒性甲状腺肿,扁平滤泡上皮,滤泡胶质储积,间质纤维增生