



又称坏死性淋巴结炎或菊池病(Kikuchi disease)。临床发病率不低,持续高热并淋巴结肿大而常常需要与淋巴瘤鉴别。以年轻人较多,女多于男,发病酷似“感冒”。咽痛、高热,对抗生素治疗无效。随之淋巴结肿大,以颈部最常见,血沉加快。
1.肉眼观察 淋巴结境界清楚,中等大小,直径多<2cm,很少>3cm,质软;切面可见灰红色点状坏死灶。
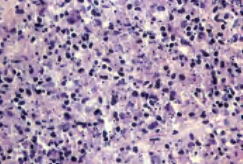
2.镜下 淋巴结结构可部分被破坏,滤泡增生,界限不清,严重时生发中心凝固性坏死呈碎片状,形成楔形坏死灶,即所谓“甜饼形”,基底直达被膜。可见大量核碎屑,无干酪样坏死和化脓性渗出,坏死边缘浆细胞增生明显。被膜内可见小淋巴细胞浸润,病变累及淋巴结的一部分或全部(图3-20、图3-21)。
图3-20 组织细胞性坏死性淋巴结炎
图3-21 组织细胞性坏死性淋巴结炎
3.鉴别诊断 容易误诊,因混杂有大核的免疫母细胞和浆样单核细胞需与外周T细胞淋巴瘤结核鉴别;另一方面因为大片的凝固性坏死易误诊为结核。
病毒性淋巴结炎中还包括传染性单核细胞增多症、麻疹、人免疫缺陷病毒感染(艾滋病相关淋巴结病)、人疱疹病毒-8感染、巨细胞病毒淋巴结炎、水痘-带状疱疹病毒淋巴结炎等。