



又称为淋巴上皮囊肿,为胚胎发育过程中腮弓和腮裂未能正常融合或闭锁不全。常位于颈上部近下颌角处,胸锁乳突肌上1/3前缘。确切部位取决于病变累及的具体腮裂。与第一腮囊有关的发生于耳前区或下颌骨后半部分;第二腮囊异常正好位于颈中部胸锁乳突肌的前方;第四腮囊一般位于下颈部、胸骨上或锁骨上区。
1.肉眼观察 囊肿质地柔软,界限清楚,可活动。内含黄绿色或棕色清亮液体,或含浓稠胶样、黏液样物。
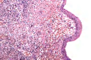
2.镜下 90%以上囊壁内衬复层鳞状上皮,部分囊肿可内衬假复层柱状上皮,纤维囊壁内含大量淋巴样组织并可形成淋巴滤泡。位于下颈部的囊肿还可能含有黏液腺、浆液黏液腺和皮脂腺(图3-2)。
图3-2 鳃裂囊肿,右侧为复层鳞状上皮
腮瘘管实际上大多数为窦道,临床上常将窦道混称为瘘管,是指涎液通过皮肤开口形成异常通道。一般分为3型:①不完全外瘘,仅有外口在面颈部皮肤上;②不完全内瘘,开口于咽部;③完全外瘘,内外口皆有。